Constituents of Aquilaria sinensis Leaves Upregulate the Expression of Matrix Metalloproteases 2 and 9
Abstract
1. Introduction
2. Results
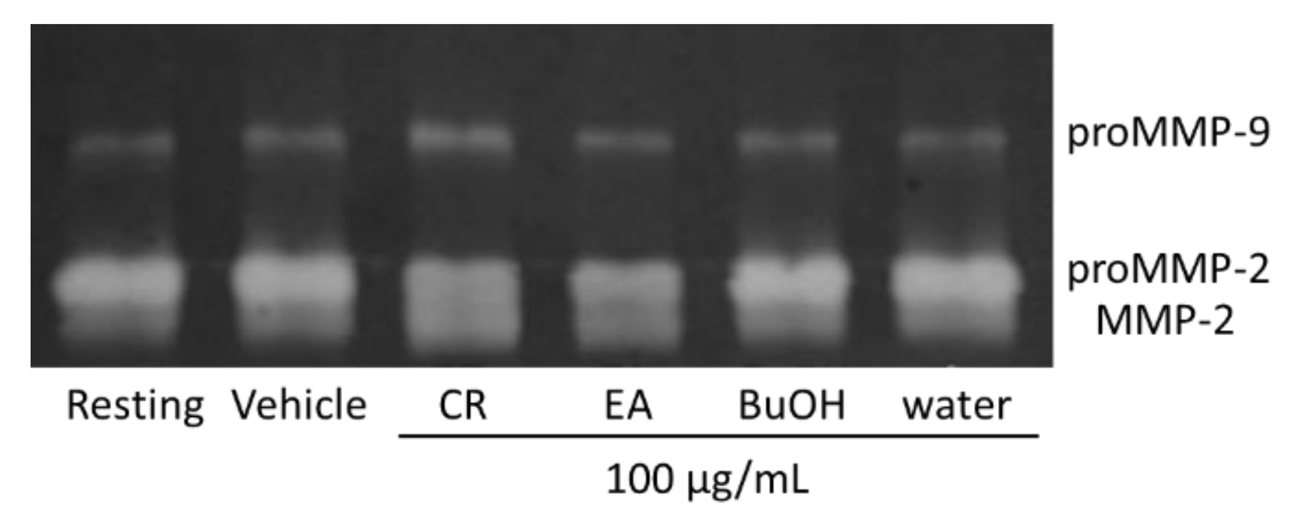
2.1. Bioassay Guided Compound Isolation from A. sinensis Leaves
2.2. Compounds Isolated from the Ethyl Acetate Layer of of Aquilaria sinensis Leaves
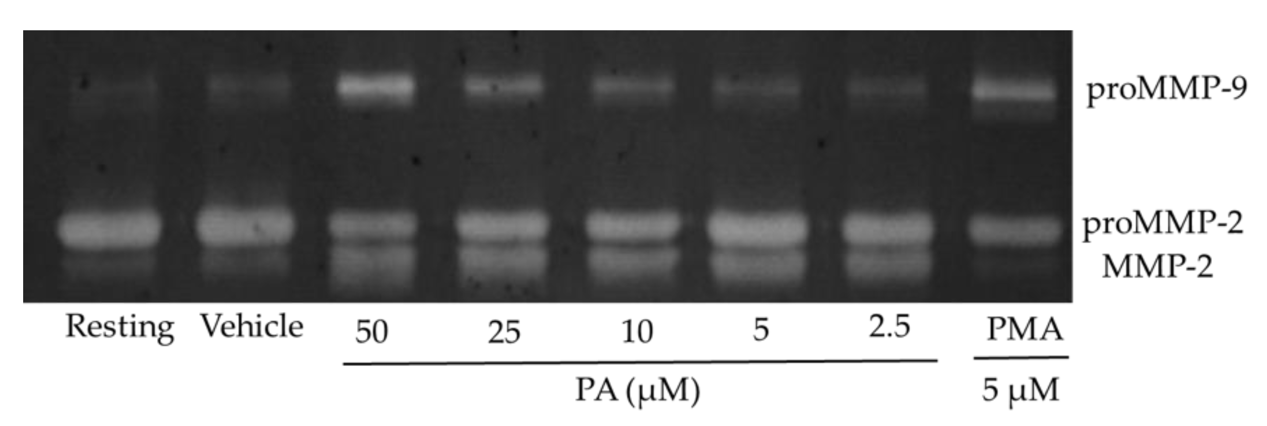
2.3. Evaluation of Regulatory Effects on MMP-2 and MMP-9 Expression in HT-1080 Cells
3. Discussion
4. Materials and Methods
4.1. General
4.2. Plant Material
4.3. Extraction and Isolation
4.4. Cell Culture
4.5. Gelatin Zymography
4.6. MTT Cell Viability Assay
Supplementary Materials
Author Contributions
Funding
Institutional Review Board Statement
Informed Consent Statement
Acknowledgments
Conflicts of Interest
Sample Availability Statement
References
- Yuan, H.-W.; Zhao, J.-P.; Liu, Y.-B.; Qiu, Y.-X.; Xie, Q.-L.; Li, M.-J.; Wang, W. Advance in studies on chemical constituents, pharmacology and quality control of Aquilaria sinensis. Digit. Chin. Med. 2018, 1, 316–330. [Google Scholar] [CrossRef]
- Feng, J.; Yang, X.-W.; Wang, R.-F. Bio-assay guided isolation and identification of α-glucosidase inhibitors from the leaves of Aquilaria sinensis. Phytochemistry 2011, 72, 242–247. [Google Scholar] [CrossRef] [PubMed]
- Lin, H.-Z.; Li, H.-N.; Mei, Q.-X. Study progress of Aquilaria sinensis leaves. Pharm. Today 2011, 21, 547–549. [Google Scholar]
- Yang, M.-X.; Chen, H.-R. Antitumor constituents from the leaves of Aquilaria sinensis. In Chinese Medicinal Chemistry Symposium; Chinese Pharmaceutical Association: Guangzhou, Guangdong, 2011. [Google Scholar]
- Yang, M.-X.; Liang, Y.-G.; Chen, H.-R. Chemical constituents from leaves of wild Aquilaria sinensis. Zhong Cao Yao 2014, 45, 1989–1992. [Google Scholar]
- Zhou, M.-H.; Wang, H.-G.; Kou, J.-P.; Yu, B.-Y. Antinociceptive and anti-inflammatory activities of Aquilaria sinensis (Lour.) Gilg. Leaves extract. J. Ethnopharmacol. 2008, 117, 345–350. [Google Scholar] [CrossRef] [PubMed]
- Qi, J.; Lu, J.-J.; Liu, J.-H.; Yu, B.-Y. Flavonoid and a rare benzophenone glycoside from the leaves of Aquilaria sinensis. Chem. Pharm. Bull. 2009, 57, 134–137. [Google Scholar] [CrossRef] [PubMed]
- Hara, H.; Ise, Y.; Morimoto, N.; Shimazawa, M.; Ichihashi, K.; Ohyama, M.; Iinuma, M. Laxative effect of agarwood leaves and its mechanism. Biosci. Biotechnol. Biochem. 2008, 72, 335–345. [Google Scholar] [CrossRef]
- Yang, X.-B.; Feng, J.; Yang, X.-W.; Zhao, B.; Liu, J.-X. Aquisiflavoside, a new nitric oxide production inhibitor from the leaves of Aquilaria sinensis. J. Asian Nat. Prod. Res. 2012, 14, 867–872. [Google Scholar] [CrossRef]
- Cheng, J.-T.; Han, Y.-Q.; He, J.; De Wu, X.; Dong, L.-B.; Peng, L.-Y.; Li, Y.; Zhao, Q.-S. Two new tirucallane triterpenoids from the leaves of Aquilaria sinensis. Arch. Pharm. Res. 2013, 36, 1084–1089. [Google Scholar] [CrossRef]
- Yang, M.-X.; Liang, Y.-G.; Chen, H.-R.; Huang, Y.-F.; Gong, H.-G.; Zhang, T.-Y.; Ito, Y. Isolation of flavonoids from wild Aquilaria sinensis leaves by an improved preparative high-speed counter-current chromatography apparatus. J. Chromatogr. Sci. 2018, 56, 18–24. [Google Scholar] [CrossRef] [PubMed]
- Jiang, S.; Jiang, Y.; Guan, Y.-F.; Tu, P.-F.; Wang, K.-Y.; Chen, J.-M. Effects of 95% ethanol extract of Aquilaria sinensis leaves on hyperglycemia in diabetic db/db mice. J. Chin. Pharm. Sci. 2011, 20, 609. [Google Scholar] [CrossRef]
- Chakrabarti, S.; Patel, K.D. Matrix metalloproteinase-2 (MMP-2) and MMP-9 in pulmonary pathology. Exp. Lung Res. 2005, 31, 599–621. [Google Scholar] [CrossRef] [PubMed]
- Vincenti, M.P. The matrix metalloproteinase (MMP) and tissue inhibitor of metalloproteinase (TIMP) genes. In Matrix Metalloproteinase Protocols; Humana Press: Tortowa, NJ, USA, 2001; Volume 151, pp. 121–148. [Google Scholar]
- Zhang, X.; Wang, X.; Zhong, W.; Ren, X.; Sha, X.; Fang, X. Matrix metalloproteinases-2/9-sensitive peptide-conjugated polymer micelles for site-specific release of drugs and enhancing tumor accumulation: Preparation and in vitro and in vivo evaluation. Int. J. Nanomed. 2016, 11, 1643. [Google Scholar]
- Albright, C.F.; Graciani, N.; Han, W.; Yue, E.; Stein, R.; Lai, Z.; Diamond, M.; Dowling, R.; Grimminger, L.; Zhang, S.-Y. Matrix metalloproteinase–activated doxorubicin prodrugs inhibit HT1080 xenograft growth better than doxorubicin with less toxicity. Mol. Cancer Ther. 2005, 4, 751–760. [Google Scholar] [CrossRef]
- Singh, A.; Chaudhuri, R.; Ghosal, S. Chemical constituents of Gentianaceae XX: Natural occurrence of (—)-loliolide in Canscora decussata. J. Pharm. Sci. 1976, 65, 1549–1551. [Google Scholar] [CrossRef]
- Itoh, D.; Kawano, K.; Nabeta, K. Biosynthesis of chloroplastidic and extrachloroplastidic terpenoids in liverwort cultured cells: 13C serine as a probe of terpene biosynthesis via mevalonate and non-mevalonate pathways. J. Nat. Prod. 2003, 66, 332–336. [Google Scholar] [CrossRef] [PubMed]
- Wu, T.S.; Chang, F.C.; Wu, P.L.; Kuoh, C.S.; Chen, I.S. Constituents of leaves of Tetradium glabrifolium. J. Chin. Chem. Soc. 1995, 42, 929–934. [Google Scholar] [CrossRef]
- Ouyang, M.-A.; Wein, Y.-S.; Zhang, Z.-K.; Kuo, Y.-H. Inhibitory activity against tobacco mosaic virus (TMV) replication of pinoresinol and syringaresinol lignans and their glycosides from the root of Rhus javanica var. roxburghiana. J. Agric. Food Chem. 2007, 55, 6460–6465. [Google Scholar] [CrossRef] [PubMed]
- Pattabiraman, M.; Kaanumalle, L.S.; Natarajan, A.; Ramamurthy, V. Regioselective photodimerization of cinnamic acids in water: Templation with cucurbiturils. Langmuir 2006, 22, 7605–7609. [Google Scholar] [CrossRef]
- Darwish, F.M.; Reinecke, M.G. Ecdysteroids and other constituents from Sida spinosa L. Phytochemistry 2003, 62, 1179–1184. [Google Scholar] [CrossRef]
- Durand, S.; Parrain, J.-L.; Santelli, M. A large scale and concise synthesis of γ-linolenic acid from 4-chlorobut-2-yn-1-ol. Synthesis 1998, 1998, 1015–1018. [Google Scholar] [CrossRef]
- Barbosa, J.V.; Oliveira, F.; Moniz, J.; Magalhães, F.D.; Bastos, M.M. Synthesis and characterization of allyl fatty acid derivatives as reactive coalescing agents for latexes. J. Am. Oil Chem. Soc. 2012, 89, 2215–2226. [Google Scholar] [CrossRef]
- Akita, C.; Kawaguchi, T.; Kaneko, F.; Yamamoto, H.; Suzuki, M. Solid-state13C NMR study on order disorder phase transition in oleic acid. J. Phys. Chem. B 2004, 108, 4862–4868. [Google Scholar] [CrossRef]
- Utaka, M.; Nakatani, M.; Takeda, A. Dye-sensitized photooxygenation of 1, 2-cyclopentanediones in methanol. J. Org. Chem. 1986, 51, 1140–1141. [Google Scholar] [CrossRef]
- Yu, C.-M.; Fathi-Afshar, Z.R.; Curtis, J.M.; Wright, J.L.; Ayer, S.W. An unusual fatty acid and its glyceride from the marine fungus Microsphaeropis olivacea. Can. J. Chem. 1996, 74, 730–735. [Google Scholar] [CrossRef]
- Zhao, Q.; Mansoor, T.A.; Hong, J.; Lee, C.-O.; Im, K.S.; Lee, D.S.; Jung, J.H. New lysophosphatidylcholines and monoglycerides from the marine sponge Stelletta sp. J. Nat. Prod. 2003, 66, 725–728. [Google Scholar] [CrossRef]
- Zeng, X.; Xiang, L.; Li, C.-Y.; Wang, Y.; Qiu, G.; Zhang, Z.-x.; He, X. Cytotoxic ceramides and glycerides from the roots of Livistona chinensis. Fitoterapia 2012, 83, 609–616. [Google Scholar] [CrossRef]
- Yang, L.; Qiao, L.; Xie, D.; Yuan, Y.; Chen, N.; Dai, J.; Guo, S. 2-(2-Phenylethyl) chromones from Chinese eaglewood. Phytochemistry 2012, 76, 92–97. [Google Scholar] [CrossRef] [PubMed]
- Isaev, I.; Agzamova, M.; Isaev, M. Genkwanin and iridoid glycosides from Leonurus turkestanicus. Chem. Nat. Compd. 2011, 47, 132–134. [Google Scholar] [CrossRef]
- Bentamene, A.; Baz, M.; Boucheham, R.; Benayache, S.; Creche, J.; Benayache, F. Flavonoid aglycones from Centaurea sphaerocephala. Chem. Nat. Compd. 2008, 44, 234–235. [Google Scholar] [CrossRef]
- Nunez-Alarcon, J. Pilloin, a new flavone from Ovidia pillo-pillo. J. Org. Chem. 1971, 36, 3829–3830. [Google Scholar] [CrossRef]
- Herz, W.; Sosa, V.E. Sesquiterpene lactones and other constituents of Arnica acaulis. Phytochemistry 1988, 27, 155–159. [Google Scholar] [CrossRef]
- Guo, Y.; Zhao, Y.; Zheng, C.; Meng, Y.; Yang, Y. Synthesis, biological activity of salidroside and its analogues. Chem. Pharm. Bull. 2010, 58, 1627–1629. [Google Scholar] [CrossRef]
- Yoneda, Y.; Krainz, K.; Liebner, F.; Potthast, A.; Rosenau, T.; Karakawa, M.; Nakatsubo, F. “Furan endwise peeling” of celluloses: Mechanistic studies and application perspectives of a novel reaction. Eur. J. Org. Chem. 2008, 2008, 475–484. [Google Scholar] [CrossRef]
- Cateni, F.; Bonivento, P.; Procida, G.; Zacchigna, M.; Favretto, L.G.; Scialino, G.; Banfi, E. Chemoenzymatic synthesis and antimicrobial activity evaluation of monoglucosyl diglycerides. Bioorg. Med. Chem. 2007, 15, 815–826. [Google Scholar] [CrossRef]
- Hargus, J.A.; Fronczek, F.R.; Vicente, M.G.H.; Smith, K.M. Mono-(l)-aspartylchlorin-e6. Photochem. Photobiol. 2007, 83, 1006–1015. [Google Scholar] [CrossRef] [PubMed]
- Ahn, M.-Y.; Kwon, S.-M.; Kim, Y.-C.; Ahn, S.-G.; Yoon, J.-H. Pheophorbide a-mediated photodynamic therapy induces apoptotic cell death in murine oral squamous cell carcinoma in vitro and in vivo. Oncol. Rep. 2012, 27, 1772–1778. [Google Scholar] [PubMed]
- Lee, T.H.; Lu, C.K.; Kuo, Y.H.; Lo, J.M.; Lee, C.K. Unexpected novel pheophytin peroxides from the leaves of Biden pilosa. Helv. Chim. Acta 2008, 91, 79–84. [Google Scholar] [CrossRef]
- Kessenbrock, K.; Plaks, V.; Werb, Z. Matrix metalloproteinases: Regulators of the tumor microenvironment. Cell 2010, 141, 52–67. [Google Scholar] [CrossRef]
- Sawicki, G.; Marcoux, Y.; Sarkhosh, K.; Tredget, E.E.; Ghahary, A. Interaction of keratinocytes and fibroblasts modulates the expression of matrix metalloproteinases-2 and-9 and their inhibitors. Mol. Cell Biochem. 2005, 269, 209–216. [Google Scholar] [CrossRef]
- Soo, C.; Shaw, W.W.; Zhang, X.; Longaker, M.T.; Howard, E.W.; Ting, K. Differential expression of matrix metalloproteinases and their tissue-derived inhibitors in cutaneous wound repair. Plast. Reconstr. Surg. 2000, 105, 638–647. [Google Scholar] [CrossRef] [PubMed]
- Manuel, J.A.; Gawronska-Kozak, B. Matrix metalloproteinase 9 (MMP-9) is upregulated during scarless wound healing in athymic nude mice. Matrix Biol. 2006, 25, 505–514. [Google Scholar] [CrossRef]
- Saide, A.; Lauritano, C.; Ianora, A. Pheophorbide a: State of the Art. Mar. Drugs 2020, 18, 257. [Google Scholar] [CrossRef] [PubMed]
- Dolmans, D.E.; Fukumura, D.; Jain, R.K. Photodynamic therapy for cancer. Nat. Rev. Cancer 2003, 3, 380–387. [Google Scholar] [CrossRef] [PubMed]
- Lee, H.; Park, H.-Y.; Jeong, T.-S. Pheophorbide a derivatives exert antiwrinkle effects on UVB-induced skin aging in human fibroblasts. Life 2021, 11, 147. [Google Scholar] [CrossRef]
- Ra, H.-J.; Parks, W.C. Control of matrix metalloproteinase catalytic activity. Matrix Biol. 2007, 26, 587–596. [Google Scholar] [CrossRef]






| Concentration (μM) | Expression Level (%) 1 | |
|---|---|---|
| pro-MMP9 | MMP-2 | |
| 50 | 230 ± 11.5 ** | 188 ± 6.5 ** |
| 25 | 146 ± 3 ** | 163 ± 2.5 ** |
| 10 | 118 ± 16 | 147 ± 7 ** |
| 5 | 104 ± 4 | 135 ± 2 ** |
| 2.5 | 104 ± 4 | 132 ± 11 * |
Publisher’s Note: MDPI stays neutral with regard to jurisdictional claims in published maps and institutional affiliations. |
© 2021 by the authors. Licensee MDPI, Basel, Switzerland. This article is an open access article distributed under the terms and conditions of the Creative Commons Attribution (CC BY) license (https://creativecommons.org/licenses/by/4.0/).
Share and Cite
Hsiao, S.-W.; Wu, Y.-C.; Mei, H.-C.; Chen, Y.-H.; Hsiao, G.; Lee, C.-K. Constituents of Aquilaria sinensis Leaves Upregulate the Expression of Matrix Metalloproteases 2 and 9. Molecules 2021, 26, 2537. https://doi.org/10.3390/molecules26092537
Hsiao S-W, Wu Y-C, Mei H-C, Chen Y-H, Hsiao G, Lee C-K. Constituents of Aquilaria sinensis Leaves Upregulate the Expression of Matrix Metalloproteases 2 and 9. Molecules. 2021; 26(9):2537. https://doi.org/10.3390/molecules26092537
Chicago/Turabian StyleHsiao, Sui-Wen, Yu-Chin Wu, Hui-Ching Mei, Yu-Hsin Chen, George Hsiao, and Ching-Kuo Lee. 2021. "Constituents of Aquilaria sinensis Leaves Upregulate the Expression of Matrix Metalloproteases 2 and 9" Molecules 26, no. 9: 2537. https://doi.org/10.3390/molecules26092537
APA StyleHsiao, S.-W., Wu, Y.-C., Mei, H.-C., Chen, Y.-H., Hsiao, G., & Lee, C.-K. (2021). Constituents of Aquilaria sinensis Leaves Upregulate the Expression of Matrix Metalloproteases 2 and 9. Molecules, 26(9), 2537. https://doi.org/10.3390/molecules26092537

