Wikstroemiaganpi Extract Improved Atopic Dermatitis-Like Skin Lesions via Suppression of Interleukin-4 in 2,4-Dinitrochlorobenzene-Induced SKH-1 Hairless Mice
Abstract
1. Introduction
2. Materials and Methods
2.1. Plant Materials and Extraction
2.2. Animals
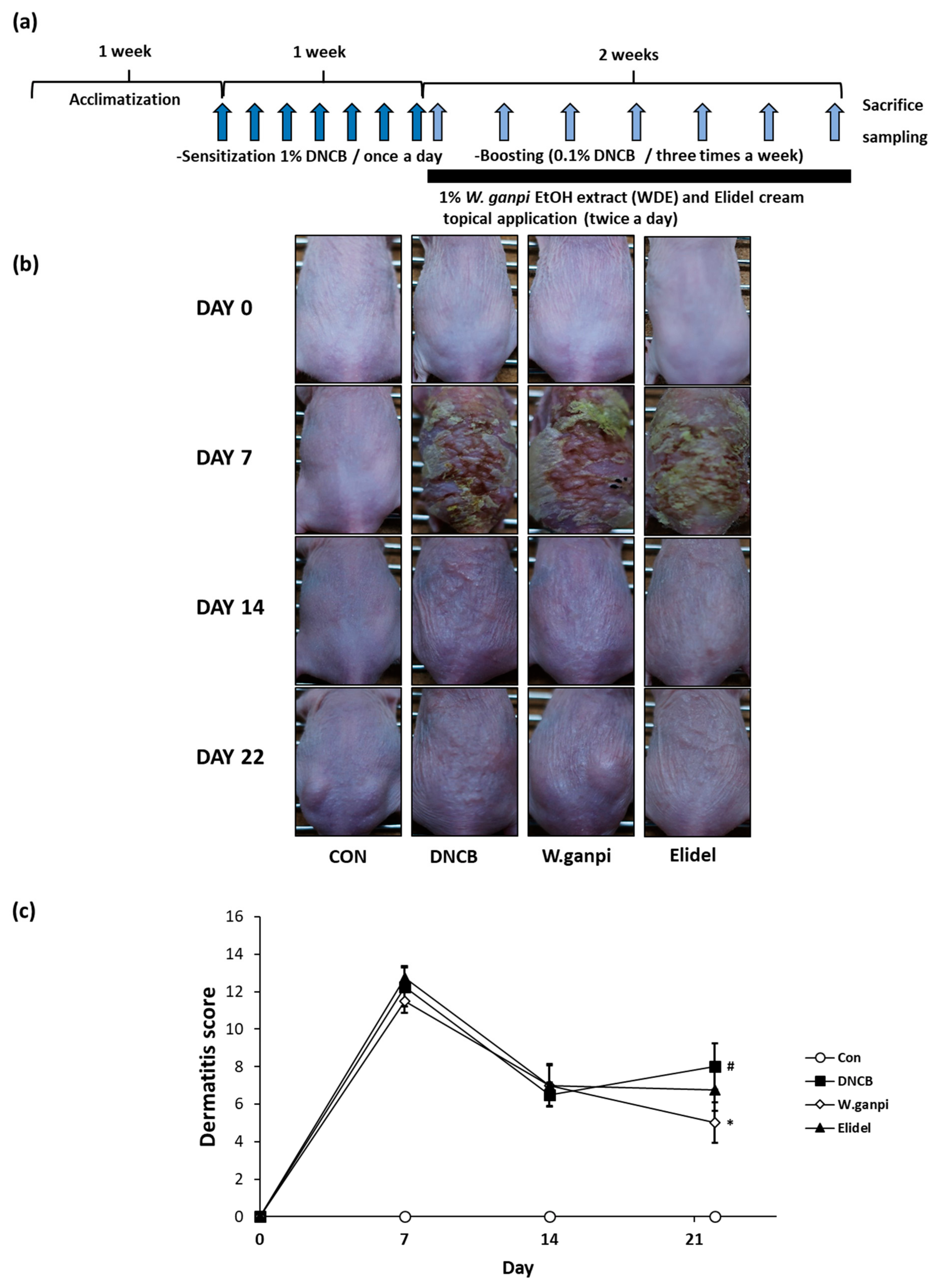
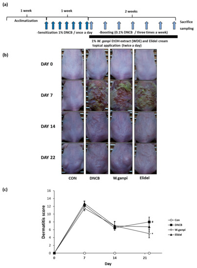
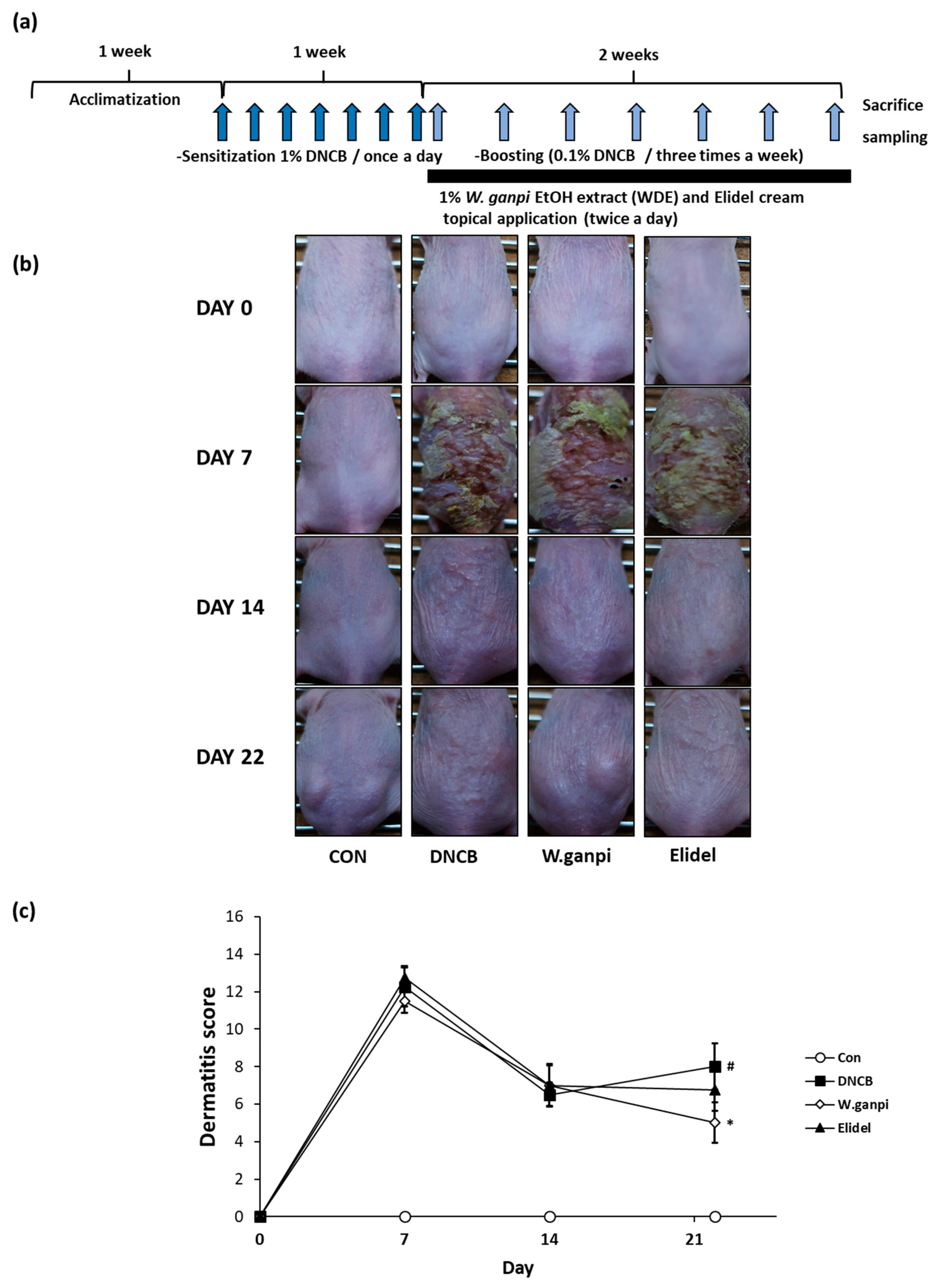
2.3. Atopic Dermatitis-Induced Mice Model by DNCB Treatment
2.4. Measurement of Transepidermal Water Loss (TEWL) and Skin Hydration
2.5. Measurement of Total Serum IgE and IL-4 Levels
2.6. Real-Time Quantitative Polymerase Chain Reaction (q-PCR)
2.7. Histological Examination
2.8. High Performance Liquid Chromatography Photodiode Array (PDA) Detector Analysis
2.9. Statistical Analysis
3. Results
3.1. Effects of Wikstroemia ganpi Extract on AD-Like Lesions in the DNCB-Induced Mouse Model
3.2. Effects of Wikstroemia ganpi Extract on Blood Serum IL-4 and IgE Levels
3.3. Effects of WGE on mRNA Expression of TNF-α, IFNγ, and IL-4 in the Back Skin
3.4. Effects of Wikstroemia ganpi Extract on Skin Barrier Function in the DNCB-Induced Mouse Model
3.5. HPLC-PDA Analysis Result of WGE
4. Discussion
5. Conclusions
Author Contributions
Funding
Institutional Review Board Statement
Informed Consent Statement
Data Availability Statement
Conflicts of Interest
References
- Leung, D.Y. Pathogenesis of atopic dermatitis. J. Allergy Clin. Immunol. 1999, 104, S99–S108. [Google Scholar] [CrossRef]
- Tokura, Y. Extrinsic and intrinsic types of atopic dermatitis. J. Dermatol. Sci. 2010, 58, 1–7. [Google Scholar] [CrossRef] [PubMed]
- Egawa, G.; Kabashima, K. Multifactorial skin barrier deficiency and atopic dermatitis: Essential topics to prevent the atopic march. J. Allergy Clin. Immunol. 2016, 138, 350–358.e1. [Google Scholar] [CrossRef] [PubMed]
- Cork, M.J.; Danby, S.G.; Vasilopoulos, Y.; Hadgraft, J.; Lane, M.E.; Moustafa, M.; Guy, R.H.; MacGowan, A.L.; Tazi-Ahnini, R.; Ward, S.J. Epidermal Barrier Dysfunction in Atopic Dermatitis. J. Investig. Dermatol. 2009, 129, 1892–1908. [Google Scholar] [CrossRef]
- Marsella, R.; Olivry, T.; Carlotti, D.-N.; for the International Task Force on Canine Atopic Dermatitis. Current evidence of skin barrier dysfunction in human and canine atopic dermatitis. Veter Dermatol. 2011, 22, 239–248. [Google Scholar] [CrossRef]
- Boguniewicz, M.; Leung, D.Y.M. Atopic dermatitis: A disease of altered skin barrier and immune dysregulation. Immunol. Rev. 2011, 242, 233–246. [Google Scholar] [CrossRef]
- Mori, T.; Ishida, K.; Mukumoto, S.; Yamada, Y.; Imokawa, G.; Kabashima, K.; Kobayashi, M.; Bito, T.; Nakamura, M.; Ogasawara, K.; et al. Comparison of skin barrier function and sensory nerve electric current perception threshold between IgE-high extrinsic and IgE-normal intrinsic types of atopic dermatitis. Br. J. Dermatol. 2010, 162, 83–90. [Google Scholar] [CrossRef]
- Simpson, E.L.; Chalmers, J.R.; Hanifin, J.M.; Thomas, K.S.; Cork, M.J.; McLean, W.I.; Brown, S.J.; Chen, Z.; Chen, Y.; Williams, H.C. Emollient enhancement of the skin barrier from birth offers effective atopic dermatitis prevention. J. Allergy Clin. Immunol. 2014, 134, 818–823. [Google Scholar] [CrossRef]
- Elias, P.M.; Schmuth, M. Abnormal skin barrier in the etiopathogenesis of atopic dermatitis. Curr. Allergy Asthma Rep. 2009, 9, 265–272. [Google Scholar] [CrossRef]
- Burmistrova, O.; Marrero, M.T.; Estévez, S.; Welsch, I.; Brouard, I.; Quintana, J.; Estevez, F. Synthesis and effects on cell viability of flavonols and 3-methyl ether deriva-tives on human leukemia cells. Eur. J. Med. Chem. 2014, 84, 30–41. [Google Scholar] [CrossRef]
- Kasprzak, M.M.; Erxleben, A.; Ochocki, J. Properties and applications of flavonoid metal complexes. RSC Adv. 2015, 5, 45853–45877. [Google Scholar] [CrossRef]
- Moon, B.; Lee, Y.; Shin, C.; Lim, Y. Complete Assignments of the1H and13C NMR Data of Flavone Derivatives. Bull. Korean Chem. Soc. 2005, 26, 603–608. [Google Scholar] [CrossRef][Green Version]
- Rubio, S.; León, F.; Quintana, J.; Cutler, S.; Estévez, F. Cell death triggered by synthetic flavonoids in human leukemia cells is amplified by the inhibition of extracellular signal-regulated kinase signaling. Eur. J. Med. Chem. 2012, 55, 284–296. [Google Scholar] [CrossRef]
- Di Carlo, G.; Mascolo, N.D.C.F.; Izzo, A.A.; Capasso, F. Flavonoids: Old and new aspects of a class of natural therapeutic drugs. Life Sci. 1999, 65, 337–353. [Google Scholar] [CrossRef]
- Robak, J.; Gryglewski, R. Bioactivity of flavonoids. Pol. J. Pharmacol. 1996, 48, 555–564. [Google Scholar]
- Jo, B.-G.; Park, N.-J.; Jegal, J.; Choi, S.; Lee, S.W.; Jin, H.; Kim, S.-N.; Yang, M.H. A new flavonoid from Stellera chamaejasme L., stechamone, alleviated 2,4-dinitrochlorobenzene-induced atopic dermatitis-like skin lesions in a murine model. Int. Immunopharmacol. 2018, 59, 113–119. [Google Scholar] [CrossRef]
- Karuppagounder, V.; Arumugam, S.; Thandavarayan, R.A.; Sreedhar, R.; Giridharan, V.V.; Watanabe, K. Molecular targets of quercetin with anti-inflammatory properties in atopic dermatitis. Drug Discov. Today 2016, 21, 632–639. [Google Scholar] [CrossRef]
- Mehrbani, M.; Choopani, R.; Fekri, A.; Mehrabani, M.; Mosaddegh, M.; Mehrabani, M. The efficacy of whey associated with dodder seed extract on moderate-to-severe atopic dermatitis in adults: A randomized, double-blind, placebo-controlled clinical trial. J. Ethnopharmacol. 2015, 172, 325–332. [Google Scholar] [CrossRef]
- Karuppagounder, V.; Arumugam, S.; Thandavarayan, R.A.; Pitchaimani, V.; Sreedhar, R.; Afrin, R.; Harima, M.; Suzuki, H.; Nomoto, M.; Miyashita, S.; et al. Modulation of HMGB1 translocation and RAGE/NFκB cascade by quercetin treatment mitigates atopic dermatitis in NC/Nga transgenic mice. Exp. Dermatol. 2015, 24, 418–423. [Google Scholar] [CrossRef]
- Choi, J.K.; Jang, Y.H.; Lee, S.Y.; Lee, S.-R.; Choi, Y.-A.; Jin, M.; Choi, J.H.; Park, J.H.; Park, P.-H.; Choi, H.; et al. Chrysin attenuates atopic dermatitis by suppressing inflammation of keratinocytes. Food Chem. Toxicol. 2017, 110, 142–150. [Google Scholar] [CrossRef]
- Hong, H.H.; Im, H.T.; Hong, S.G. One species of Korean Wikstroemia (Thymelaeaceae): W. ganpi (Sieb. et Zucc.) Maxim. Korean J. Plant Taxon. 1999, 29, 391–396. [Google Scholar] [CrossRef]
- Hu, K.; Kobayashi, H.; Dong, A.; Iwasaki, S.; Yao, X. Antifungal, Antimitotic and Anti-HIV-1 Agents from the Roots of Wikstroemia indica. Planta Med. 2000, 66, 564–567. [Google Scholar] [CrossRef] [PubMed]
- Liu, Z.; Dong, M.; Qiu, X.; Han, N.; Yin, J. Diarylpentanones from the root of Wikstroemia indica and their cytotoxic activity against human lung A549 cells. Nat. Prod. Res. 2019, 10, 1–4. [Google Scholar] [CrossRef]
- Lee, J.-J.; Oh, S.-H. A comparative morphological study of Thymelaeaceae in Korea. Korean J. Plant Taxon. 2017, 47, 207–221. [Google Scholar] [CrossRef]
- Devkota, H.P.; Yoshizaki, K.; Yahara, S. Pilloin 5-O-β-d-Glucopyranoside from the Stems ofDiplomorpha ganpi. Biosci. Biotechnol. Biochem. 2012, 76, 1555–1557. [Google Scholar] [CrossRef]
- Huang, W.; Zhang, X.; Wang, Y.; Ye, W.; Ooi, V.E.; Chung, H.Y.; Li, Y. Antiviral biflavonoids from Radix Wikstroemiae (Liaogewanggen). Chin. Med. 2010, 5, 23. [Google Scholar] [CrossRef]
- Li, Y.-M.; Zhu, L.; Jiang, J.-G.; Yang, L.; Wang, D.-Y. Bioactive Components and Pharmacological Action of Wikstroemia indica (L.) C. A. Mey and Its Clinical Application. Curr. Pharm. Biotechnol. 2009, 10, 743–752. [Google Scholar] [CrossRef]
- Rastogi, R.P.; Dhawan, B.N. Anticancer and antiviral activities in indian medicinal plants: A review. Drug Dev. Res. 1990, 19, 1–12. [Google Scholar] [CrossRef]
- Leung, D.Y.; Boguniewicz, M.; Howell, M.D.; Nomura, I.; Hamid, Q.A. New insights into atopic dermatitis. J. Clin. Investig. 2004, 113, 651–657. [Google Scholar] [CrossRef]
- Charman, C.R.; Morris, A.D.; Williams, H.C. Topical corticosteroid phobia in patients with atopic eczema. Br. J. Dermatol. 2000, 142, 931–936. [Google Scholar] [CrossRef]
- Nghiem, P.; Pearson, G.; Langley, R.G. Tacrolimus and pimecrolimus: From clever prokaryotes to inhibiting calcineurin and treating atopic dermatitis. J. Am. Acad. Dermatol. 2002, 46, 228–241. [Google Scholar] [CrossRef]
- Lu, C.L.; Zhu, L.; Piao, J.H.; Jiang, J.-G. Chemical compositions extracted from Wikstroemia indica and their multiple activities. Pharm. Biol. 2012, 50, 225–231. [Google Scholar] [CrossRef]
- Wang, L.-Y.; Unehara, T.; Kitanaka, S. Anti-inflammatory Activity of New Guaiane Type Sesquiterpene from Wikstroemia indica. Chem. Pharm. Bull. 2005, 53, 137–139. [Google Scholar] [CrossRef]
- Hudson, T.J. Skin barrier function and allergic risk. Nat. Genet. 2006, 38, 399–400. [Google Scholar] [CrossRef]
- Jujo, K.; Renz, H.; Abe, J.; Gelfand, E.W.; Leung, D.Y.M. Decreased interferon gamma and increased interleukin-4 production in atopic dermatitis pro-motes IgE synthesis. J. Allergy Clin. Immunol. 1992, 90, 323–331. [Google Scholar] [CrossRef]
- Hatano, Y.; Terashi, H.; Arakawa, S.; Katagiri, K. Interleukin-4 Suppresses the Enhancement of Ceramide Synthesis and Cutaneous Permeability Barrier Functions Induced by Tumor Necrosis Factor-α and interferon-γ in Human Epidermis. J. Investig. Dermatol. 2005, 124, 786–792. [Google Scholar] [CrossRef] [PubMed]







Publisher’s Note: MDPI stays neutral with regard to jurisdictional claims in published maps and institutional affiliations. |
© 2021 by the authors. Licensee MDPI, Basel, Switzerland. This article is an open access article distributed under the terms and conditions of the Creative Commons Attribution (CC BY) license (https://creativecommons.org/licenses/by/4.0/).
Share and Cite
Jegal, J.; Park, N.-J.; Jo, B.-G.; Kim, T.-Y.; Bong, S.-K.; Choi, S.; Paik, J.-H.; Kim, J.-W.; Kim, S.-N.; Yang, M.H. Wikstroemiaganpi Extract Improved Atopic Dermatitis-Like Skin Lesions via Suppression of Interleukin-4 in 2,4-Dinitrochlorobenzene-Induced SKH-1 Hairless Mice. Molecules 2021, 26, 2016. https://doi.org/10.3390/molecules26072016
Jegal J, Park N-J, Jo B-G, Kim T-Y, Bong S-K, Choi S, Paik J-H, Kim J-W, Kim S-N, Yang MH. Wikstroemiaganpi Extract Improved Atopic Dermatitis-Like Skin Lesions via Suppression of Interleukin-4 in 2,4-Dinitrochlorobenzene-Induced SKH-1 Hairless Mice. Molecules. 2021; 26(7):2016. https://doi.org/10.3390/molecules26072016
Chicago/Turabian StyleJegal, Jonghwan, No-June Park, Beom-Geun Jo, Tae-Young Kim, Sim-Kyu Bong, Sangho Choi, Jin-Hyub Paik, Jung-Won Kim, Su-Nam Kim, and Min Hye Yang. 2021. "Wikstroemiaganpi Extract Improved Atopic Dermatitis-Like Skin Lesions via Suppression of Interleukin-4 in 2,4-Dinitrochlorobenzene-Induced SKH-1 Hairless Mice" Molecules 26, no. 7: 2016. https://doi.org/10.3390/molecules26072016
APA StyleJegal, J., Park, N.-J., Jo, B.-G., Kim, T.-Y., Bong, S.-K., Choi, S., Paik, J.-H., Kim, J.-W., Kim, S.-N., & Yang, M. H. (2021). Wikstroemiaganpi Extract Improved Atopic Dermatitis-Like Skin Lesions via Suppression of Interleukin-4 in 2,4-Dinitrochlorobenzene-Induced SKH-1 Hairless Mice. Molecules, 26(7), 2016. https://doi.org/10.3390/molecules26072016
