Mushroom-Derived Bioactive Molecules as Immunotherapeutic Agents: A Review
Abstract
1. Introduction
2. Extraction of the Bioactive Components from Mushrooms
2.1. Hot Water Extraction
2.2. Organic Solvent Extraction
2.3. Soxhlet Method
2.4. Ultrasound-Mediated Extraction
2.5. Supercritical Fluid Extraction
2.6. Accelerated Solvent Extraction
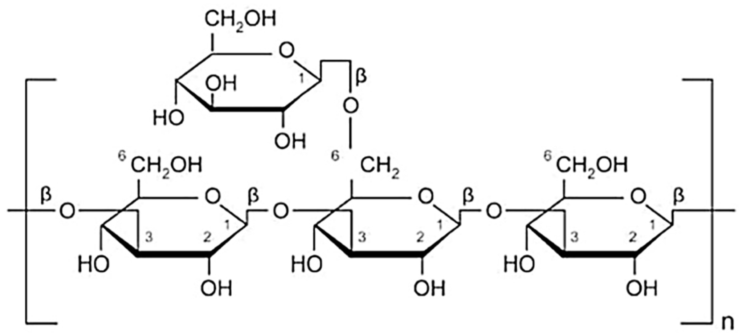
3. Linkage in Glucan
4. Therapeutic Applications of Mushroom
4.1. Antitumor Activity
4.2. Antioxidant and Antibacterial Activity
4.3. Immunomodulatory Activity
5. Safety Assessment of Mushrooms
6. Conclusions
Author Contributions
Funding
Institutional Review Board Statement
Informed Consent Statement
Data Availability Statement
Conflicts of Interest
References
- Moradali, M.-F.; Mostafavi, H.; Ghods, S.; Hedjaroude, G.-A. Immunomodulating and anticancer agents in the realm of macromycetes fungi (macrofungi). Int. Immunopharmacol. 2007, 7, 701–724. [Google Scholar] [CrossRef]
- Brown, G.D.; Herre, J.; Williams, D.L.; Willment, J.A.; Marshall, A.S.J.; Gordon, S. Dectin-1 Mediates the Biological Effects of β-Glucans. J. Exp. Med. 2003, 197, 1119–1124. [Google Scholar] [CrossRef] [PubMed]
- Vetvicka, V.; Vashishta, A.; Saraswat-Ohri, S.; Vetvickova, J. Immunological Effects of Yeast- and Mushroom-Derived β-Glucans. J. Med. Food 2008, 11, 615–622. [Google Scholar] [CrossRef]
- Wasser, S. Medicinal mushrooms as a source of antitumor and immunomodulating polysaccharides. Appl. Microbiol. Biotechnol. 2002, 60, 258–274. [Google Scholar] [PubMed]
- Wu, M.-J.; Cheng, T.-L.; Cheng, S.-Y.; Lian, T.-W.; Wang, L.; Chiou, S.-Y. Immunomodulatory Properties ofGrifola frondosain Submerged Culture. J. Agric. Food Chem. 2006, 54, 2906–2914. [Google Scholar] [CrossRef] [PubMed]
- Guillamón, E.; García-Lafuente, A.; Lozano, M.; D’Arrigo, M.; Rostagno, M.A.; Villares, A.; Martinez, J.A. Edible mushrooms: Role in the prevention of cardiovascular diseases. Fitoterapia 2010, 81, 715–723. [Google Scholar] [CrossRef] [PubMed]
- Heleno, S.A.; Barros, L.; Sousa, M.J.; Martins, A.; Ferreira, I.C.F.R. Tocopherols composition of Portuguese wild mushrooms with antioxidant capacity. Food Chem. 2010, 119, 1443–1450. [Google Scholar] [CrossRef]
- Mattila, P.; Könkö, K.; Eurola, M.; Pihlava, J.-M.; Astola, J.; Vahteristo, L.; Hietaniemi, V.; Kumpulainen, J.; Valtonen, M.; Piironen, V. Contents of Vitamins, Mineral Elements, and Some Phenolic Compounds in Cultivated Mushrooms. J. Agric. Food Chem. 2001, 49, 2343–2348. [Google Scholar] [CrossRef]
- Kohler, J.R.; Casadevall, A.; Perfect, J. The Spectrum of Fungi That Infects Humans. Cold Spring Harb. Perspect. Med. 2014, 5, a019273. [Google Scholar] [CrossRef]
- Huang, X.; Nie, S. The structure of mushroom polysaccharides and their beneficial role in health. Food Funct. 2015, 6, 3205–3217. [Google Scholar] [CrossRef]
- Pelley, R.P.; Strickland, F.M. Plants, Polysaccharides, and the Treatment and Prevention of Neoplasia. Crit. Rev. Oncog. 2000, 11, 38. [Google Scholar] [CrossRef]
- Baldassano, S.; Accardi, G.; Vasto, S. Beta-glucans and cancer: The influence of inflammation and gut peptide. Eur. J. Med. Chem. 2017, 142, 486–492. [Google Scholar] [CrossRef] [PubMed]
- Chen, S.-N.; Chang, C.-S.; Hung, M.-H.; Chen, S.; Wang, W.; Tai, C.-J.; Lu, C.-L. The Effect of Mushroom Beta-Glucans from Solid Culture of Ganoderma lucidumon Inhibition of the Primary Tumor Metastasis. Evid. Based Complement. Altern. Med. 2014, 2014, 1–7. [Google Scholar]
- Ayeka, P.A. Potential of Mushroom Compounds as Immunomodulators in Cancer Immunotherapy: A Review. Evid. Based Complement. Altern. Med. 2018, 2018, 1–9. [Google Scholar] [CrossRef]
- Guggenheim, A.G.; Wright, K.M.; Zwickey, H.L. Immune modulation from five major mushrooms: Application to integrative oncology. Integr. Med. A Clin. J. 2014, 13, 32. [Google Scholar]
- Wang, Y.; Fang, J.; Ni, X.; Li, J.; Liu, Q.; Dong, Q.; Duan, J.; Ding, K. Inducement of Cytokine Release by GFPBW2, a Novel Polysaccharide from Fruit Bodies of Grifola frondosa, through Dectin-1 in Macrophages. J. Agric. Food Chem. 2013, 61, 11400–11409. [Google Scholar] [CrossRef]
- Novak, M.; Vetvicka, V. β-Glucans, History, and the Present: Immunomodulatory Aspects and Mechanisms of Action. J. Immunotoxicol. 2008, 5, 47–57. [Google Scholar] [CrossRef]
- Novak, M.; Vetvicka, V. Glucans as Biological Response Modifiers. Endocr. Metab. Immune Disord. Drug Targets 2009, 9, 67–75. [Google Scholar] [CrossRef]
- Vetvicka, V.; Vetvickova, J. Immune enhancing effects of WB365: A novel combination of Ashwagandha (Withania somnifera) and Maitake (Grifola frondosa) extracts. N. Am. J. Med. Sci. 2011, 3, 320–324. [Google Scholar] [CrossRef]
- Rahar, S.; Swami, G.; Nagpal, N.; Nagpal, M.; Singh, G. Preparation, characterization, and biological properties of β-glucans. J. Adv. Pharm. Technol. Res. 2011, 2, 94. [Google Scholar] [CrossRef]
- Lavi, I.; Levinson, D.; Peri, I.; Nimri, L.; Hadar, Y.; Schwartz, B. Orally administered glucans from the edible mushroomPleurotus pulmonariusreduce acute inflammation in dextran sulfate sodium-induced experimental colitis. Br. J. Nutr. 2009, 103, 393–402. [Google Scholar] [CrossRef]
- Wong, K.-H.; Lai, C.K.M.; Cheung, P.C.K. Immunomodulatory activities of mushroom sclerotial polysaccharides. Food Hydrocoll. 2011, 25, 150–158. [Google Scholar] [CrossRef]
- Scheller, J.; Chalaris, A.; Schmidt-Arras, D.; Rose-John, S. The pro- and anti-inflammatory properties of the cytokine interleukin-6. Biochim. Biophys. Acta (BBA) Mol. Cell Res. 2011, 1813, 878–888. [Google Scholar] [CrossRef]
- Su, D.-L.; Lu, Z.-M.; Shen, M.-N.; Li, X.; Sun, L.-Y. Roles of Pro- and Anti-Inflammatory Cytokines in the Pathogenesis of SLE. J. Biomed. Biotechnol. 2012, 2012, 1–15. [Google Scholar] [CrossRef]
- Wojdasiewicz, P.; Poniatowski, Ł.A.; Szukiewicz, D. The Role of Inflammatory and Anti-Inflammatory Cytokines in the Pathogenesis of Osteoarthritis. Mediat. Inflamm. 2014, 2014, 1–19. [Google Scholar] [CrossRef]
- Adachi, Y.; Okazaki, M.; Ohno, N.; Yadomae, T. Enhancement of Cytokine Production by Macrophages Stimulated with (1→3)-β-BETA-d-Glucan, Grifolan (GRN), Isolated from Grifola frondosa. Biol. Pharm. Bull. 1994, 17, 1554–1560. [Google Scholar] [CrossRef]
- Okazaki, M.; Adachi, Y.; Ohno, N.; Yadomae, T. Structure-Activity Relationship of (1.RAR.3)-.BETA.-d-Glucans in the Induction of Cytokine Production from Macrophages, in Vitro. Biol. Pharm. Bull. 1995, 18, 1320–1327. [Google Scholar] [CrossRef]
- Zhang, M.; Cheung, P.C.K.; Zhang, L. Evaluation of Mushroom Dietary Fiber (Nonstarch Polysaccharides) from Sclerotia of Pleurotus tuber-regium(Fries) Singer as a Potential Antitumor Agent. J. Agric. Food Chem. 2001, 49, 5059–5062. [Google Scholar] [CrossRef]
- Nworu, C.S.; Ihim, S.A.; Okoye, F.B.C.; Esimone, C.O.; Adikwu, M.U.; Akah, P.A. Immunomodulatory and immunorestorative activities of β-d-glucan-rich extract and polysaccharide fraction of mushroom, Pleurutus tuberregium. Pharm. Biol. 2015, 53, 1555–1566. [Google Scholar] [CrossRef]
- Lull, C.; Wichers, H.J.; Savelkoul, H.F.J. Antiinflammatory and Immunomodulating Properties of Fungal Metabolites. Mediat. Inflamm. 2005, 2005, 63–80. [Google Scholar] [CrossRef] [PubMed]
- Borchers, A.T.; Krishnamurthy, A.; Keen, C.L.; Meyers, F.J.; Gershwin, M.E. The Immunobiology of Mushrooms. Exp. Biol. Med. 2008, 233, 259–276. [Google Scholar] [CrossRef]
- Ramsaha, S.; Neergheen-Bhujun, V.S.; Verma, S.; Kumar, A.; Bharty, R.K.; Chaudhary, A.K.; Sharma, P.; Singh, R.K.; Beejan, P.H.F.; Kang, K.-S.; et al. Modulation of hepatocarcinogenesis in N-methyl-N-nitrosourea treated Balb/c mice by mushroom extracts. Food Funct. 2016, 7, 594–609. [Google Scholar] [CrossRef]
- Ma, X.; Meng, M.; Han, L.; Cheng, D.; Cao, X.; Wang, C. Structural characterization and immunomodulatory activity of Grifola frondosa polysaccharide via toll-like receptor 4–mitogen-activated protein kinases–nuclear factor κB pathways. Food Funct. 2016, 7, 2763–2772. [Google Scholar] [CrossRef]
- Su, C.-H.; Lai, M.-N.; Ng, L.-T. Inhibitory effects of medicinal mushrooms on α-amylase and α-glucosidase—enzymes related to hyperglycemia. Food Funct. 2013, 4, 644. [Google Scholar] [CrossRef] [PubMed]
- Ligor, M.; Ratiu, I.-A.; Kiełbasa, A.; Al-Suod, H.; Buszewski, B. Extraction approaches used for the determination of biologically active compounds (cyclitols, polyphenols and saponins) isolated from plant material. Electrophoresis 2018, 39, 1860–1874. [Google Scholar] [CrossRef]
- Ratiu, I.-A.; Al-Suod, H.; Ligor, M.; Ligor, T.; Railean-Plugaru, V.; Buszewski, B. Complex investigation of extraction techniques applied for cyclitols and sugars isolation from different species ofSolidagogenus. Electrophoresis 2018, 39, 1966–1974. [Google Scholar] [CrossRef]
- Wang, L.; Weller, C.L. Recent advances in extraction of nutraceuticals from plants. Trends Food Sci. Technol. 2006, 17, 300–312. [Google Scholar] [CrossRef]
- Volman, J.J.; Helsper, J.P.F.G.; Wei, S.; Baars, J.J.P.; van Griensven, L.J.L.D.; Sonnenberg, A.S.M.; Mensink, R.P.; Plat, J. Effects of mushroom-derived β-glucan-rich polysaccharide extracts on nitric oxide production by bone marrow-derived macrophages and nuclear factor-κB transactivation in Caco-2 reporter cells: Can effects be explained by structure? Mol. Nutr. Food Res. 2010, 54, 268–276. [Google Scholar] [CrossRef] [PubMed]
- Kothari, D.; Patel, S.; Kim, S.-K. Anticancer and other therapeutic relevance of mushroom polysaccharides: A holistic appraisal. Biomed. Pharmacother. 2018, 105, 377–394. [Google Scholar] [CrossRef]
- Shashidhar, G.M.; Giridhar, P.; Manohar, B. Functional polysaccharides from medicinal mushroom Cordyceps sinensis as a potent food supplement: Extraction, characterization and therapeutic potentials—A systematic review. RSC Adv. 2015, 5, 16050–16066. [Google Scholar] [CrossRef]
- Yoshida, I.; Kiho, T.; Usui, S.; Sakushima, M.; Ukai, S. Polysaccharides in Fungi. XXXVII. Immunomodulating Activities of Carboxymethylated Derivatives of Linear (1→3)-α-d-Glucans Extracted from the Fruiting Bodies of Agrocybe cylindracea and Amanita muscaria. Biol. Pharm. Bull. 1996, 19, 114–121. [Google Scholar] [CrossRef]
- Wang, Z.-M.; Peng, X.; Lee, K.-L.D.; Tang, J.C.-O.; Cheung, P.C.-K.; Wu, J.-Y. Structural characterisation and immunomodulatory property of an acidic polysaccharide from mycelial culture of Cordyceps sinensis fungus Cs-HK1. Food Chem. 2011, 125, 637–643. [Google Scholar] [CrossRef]
- Vetvicka, V.; Vetvickova, J. Immune-enhancing effects of maitake (Grifola frondosa) and shiitake (Lentinula edodes) extracts. Ann. Transl. Med. 2014, 2, 14–20. [Google Scholar]
- Petrovska, B. Historical review of medicinal plants′ usage. Pharmacogn. Rev. 2012, 6, 1. [Google Scholar] [CrossRef] [PubMed]
- Al-Suod, H.; Ratiu, I.A.; Krakowska-Sieprawska, A.; Lahuta, L.; Górecki, R.; Buszewski, B. Supercritical fluid extraction in isolation of cyclitols and sugars from chamomile flowers. J. Sep. Sci. 2019, 42, 3243–3252. [Google Scholar] [CrossRef] [PubMed]
- Ak, M. A Brief Review of Traditional plants as Sources of Pharmacological interests. Open J. Plant Sci. 2019, 4, 1–8. [Google Scholar] [CrossRef]
- Ullah, R.; Alqahtani, A.S.; Noman, O.M.A.; Alqahtani, A.M.; Ibenmoussa, S.; Bourhia, M. A review on ethno-medicinal plants used in traditional medicine in the Kingdom of Saudi Arabia. Saudi J. Biol. Sci. 2020, 27, 2706–2718. [Google Scholar] [CrossRef]
- Ratiu, I.A.; Al-Suod, H.; Ligor, M.; Ligor, T.; Krakowska, A.; Górecki, R.; Buszewski, B. Simultaneous Determination of Cyclitols and Sugars Following a Comprehensive Investigation of 40 Plants. Food Anal. Methods 2019, 12, 1466–1478. [Google Scholar] [CrossRef]
- Kodama, N.; Harada, N.; Nanba, H. A Polysaccharide, Extract from Grifola frondosa, Induces Th-1 Dominant Responses in Carcinoma-Bearing BALB/c Mice. Jpn. J. Pharmacol. 2002, 90, 357–360. [Google Scholar] [CrossRef]
- Harada, N.; Kodama, N.; Nanba, H. Relationship between dendritic cells and the D-fraction-induced Th-1 dominant response in BALB/c tumor-bearing mice. Cancer Lett. 2003, 192, 181–187. [Google Scholar] [CrossRef]
- Miltenburg, N.C.; Boogerd, W. Chemotherapy-induced neuropathy: A comprehensive survey. Cancer Treat. Rev. 2014, 40, 872–882. [Google Scholar] [CrossRef]
- Yi, Q.; Ma, J.; Kang, K.; Gu, Z. Dual cellular stimuli-responsive hydrogel nanocapsules for delivery of anticancer drugs. J. Mater. Chem. B 2016, 4, 4922–4933. [Google Scholar] [CrossRef]
- Shakeri-Zadeh, A.; Khoee, S.; Shiran, M.-B.; Sharifi, A.M.; Khoei, S. Synergistic effects of magnetic drug targeting using a newly developed nanocapsule and tumor irradiation by ultrasound on CT26 tumors in BALB/c mice. J. Mater. Chem. B 2015, 3, 1879–1887. [Google Scholar] [CrossRef]
- Tsao, Y.-W.; Kuan, Y.-C.; Wang, J.-L.; Sheu, F. Characterization of a Novel Maitake (Grifola frondosa) Protein That Activates Natural Killer and Dendritic Cells and Enhances Antitumor Immunity in Mice. J. Agric. Food Chem. 2013, 61, 9828–9838. [Google Scholar] [CrossRef] [PubMed]
- Wu, B.; Cui, J.; Zhang, C.; Li, Z. A polysaccharide from Agaricus blazei inhibits proliferation and promotes apoptosis of osteosarcoma cells. Int. J. Biol. Macromol. 2012, 50, 1116–1120. [Google Scholar] [CrossRef] [PubMed]
- Bae, J.-S.; Jang, K.-H.; Jin, H.K. Effects of natural polysaccharides on the growth and peritoneal carcinomatosis of human gastric adenocarcinoma in a nude mouse model. Cancer Lett. 2006, 235, 60–68. [Google Scholar] [CrossRef]
- Lu, H.; Yang, Y.; Gad, E.; Wenner, C.A.; Chang, A.; Larson, E.R.; Dang, Y.; Martzen, M.; Standish, L.J.; Disis, M.L. Polysaccharide Krestin Is a Novel TLR2 Agonist that Mediates Inhibition of Tumor Growth via Stimulation of CD8 T Cells and NK Cells. Clin. Cancer Res. 2011, 17, 67–76. [Google Scholar] [CrossRef] [PubMed]
- Hong, F.; Yan, J.; Baran, J.T.; Allendorf, D.J.; Hansen, R.D.; Ostroff, G.R.; Xing, P.X.; Cheung, N.K.V.; Ross, G.D. Mechanism by Which Orally Administered β-1, 3-Glucans Enhance the Tumoricidal Activity of Antitumor Monoclonal Antibodies in Murine Tumor Models. J. Immunol. 2004, 173, 797–806. [Google Scholar] [CrossRef] [PubMed]
- Zheng, X.; Lu, F.; Xu, X.; Zhang, L. Extended chain conformation of β-glucan and its effect on antitumor activity. J. Mater. Chem. B 2017, 5, 5623–5631. [Google Scholar] [CrossRef]
- Li, X.; Zhou, J.; Liu, C.; Xiong, Q.; Duan, H.; Cheung, P.C.K. Stable and Biocompatible Mushroom β-Glucan Modified Gold Nanorods for Cancer Photothermal Therapy. J. Agric. Food Chem. 2017, 65, 9529–9536. [Google Scholar] [CrossRef] [PubMed]
- Kim, S.; So, H.M.; Roh, H.-S.; Kim, J.; Yu, J.S.; Lee, S.; Seok, S.; Pang, C.; Baek, K.H.; Kim, K.H. Vulpinic acid contributes to the cytotoxicity of Pulveroboletus ravenelii to human cancer cells by inducing apoptosis. RSC Adv. 2017, 7, 35297–35304. [Google Scholar] [CrossRef]
- Kim, S.P.; Kang, M.Y.; Choi, Y.H.; Kim, J.H.; Nam, S.H.; Friedman, M. Mechanism of Hericium erinaceus (Yamabushitake) mushroom-induced apoptosis of U937 human monocytic leukemia cells. Food Funct. 2011, 2, 348. [Google Scholar] [CrossRef]
- Takimoto, H.; Kato, H.; Kaneko, M.; Kumazawa, Y. Amelioration of Skewed Th1/Th2 Balance in Tumor-Bearing and Asthma-Induced Mice by Oral Administration ofAgaricus blazeiExtracts. Immunopharmacol. Immunotoxicol. 2008, 30, 747–760. [Google Scholar] [CrossRef]
- Lin, J.-G.; Fan, M.-J.; Tang, N.-Y.; Yang, J.-S.; Hsia, T.-C.; Lin, J.-J.; Lai, K.-C.; Wu, R.S.C.; Ma, C.Y.; Wood, W.G.; et al. An Extract of Agaricus blazei Murill Administered Orally Promotes Immune Responses in Murine Leukemia BALB/c Mice In Vivo. Integr. Cancer Ther. 2012, 11, 29–36. [Google Scholar] [CrossRef]
- Lin, H.; She, Y.-H.; Cassileth, B.R.; Sirotnak, F.; Cunningham Rundles, S. Maitake beta-glucan MD-fraction enhances bone marrow colony formation and reduces doxorubicin toxicity in vitro. Int. Immunopharmacol. 2004, 4, 91–99. [Google Scholar] [CrossRef]
- Gao, Y.; Zhou, S.; Jiang, W.; Huang, M.; Dai, X. Effects of Ganopoly®(AGanoderma lucidumPolysaccharide Extract) on the Immune Functions in Advanced-Stage Cancer Patients. Immunol. Investig. 2009, 32, 201–215. [Google Scholar] [CrossRef] [PubMed]
- Zhang, S.; Nie, S.; Huang, D.; Huang, J.; Feng, Y.; Xie, M. A Polysaccharide from Ganoderma atrum Inhibits Tumor Growth by Induction of Apoptosis and Activation of Immune Response in CT26-Bearing Mice. J. Agric. Food Chem. 2014, 62, 9296–9304. [Google Scholar] [CrossRef] [PubMed]
- Wang, G.; Zhao, J.; Liu, J.; Huang, Y.; Zhong, J.-J.; Tang, W. Enhancement of IL-2 and IFN-γ expression and NK cells activity involved in the anti-tumor effect of ganoderic acid Me in vivo. Int. Immunopharmacol. 2007, 7, 864–870. [Google Scholar] [CrossRef] [PubMed]
- Lee, E.-J.; Kim, W.-J.; Moon, S.-K. Cordycepin suppresses TNF-alpha-induced invasion, migration and matrix metalloproteinase-9 expression in human bladder cancer cells. Phytother. Res. 2010, 24, 1755–1761. [Google Scholar] [CrossRef] [PubMed]
- Torkelson, C.J.; Sweet, E.; Martzen, M.R.; Sasagawa, M.; Wenner, C.A.; Gay, J.; Putiri, A.; Standish, L.J. Phase 1 Clinical Trial of Trametes versicolor in Women with Breast Cancer. ISRN Oncol. 2012, 2012, 1–7. [Google Scholar] [CrossRef]
- Lee, S.H.; Lillehoj, H.S.; Hong, Y.H.; Jang, S.I.; Lillehoj, E.P.; Ionescu, C.; Mazurnok, L.; Bravo, D. In vitroeffects of plant and mushroom extracts on immunological function of chicken lymphocytes and macrophages. Br. Poult. Sci. 2010, 51, 213–221. [Google Scholar] [CrossRef] [PubMed]
- Ajith, T.A.; Janardhanan, K.K. Cytotoxic and antitumor activities of a polypore macrofungus, Phellinus rimosus (Berk) Pilat. J. Ethnopharmacol. 2003, 84, 157–162. [Google Scholar] [CrossRef]
- Lee, Y.S.; Kim, Y.H.; Shin, E.K.; Kim, D.H.; Lim, S.S.; Lee, J.-Y.; Kim, J.-K. Anti-angiogenic activity of methanol extract of Phellinus linteus and its fractions. J. Ethnopharmacol. 2010, 131, 56–62. [Google Scholar] [CrossRef] [PubMed]
- Jose, N.; Ajith, T.A.; Janardhanan, K.K. Methanol extract of the oyster mushroom, Pleurotus florida, inhibits inflammation and platelet aggregation. Phytother. Res. 2004, 18, 43–46. [Google Scholar] [CrossRef]
- Ye, M.; Luo, X.; Li, L.; Shi, Y.; Tan, M.; Weng, X.; Li, W.; Liu, J.; Cao, Y. Grifolin, a potential antitumor natural product from the mushroom Albatrellus confluens, induces cell-cycle arrest in G1 phase via the ERK1/2 pathway. Cancer Lett. 2007, 258, 199–207. [Google Scholar] [CrossRef]
- Luo, X.-J.; Li, L.-L.; Deng, Q.-P.; Yu, X.-F.; Yang, L.-F.; Luo, F.-J.; Xiao, L.; Chen, X.-Y.; Ye, M.; Liu, J.-K.; et al. Grifolin, a potent antitumour natural product upregulates death-associated protein kinase 1 DAPK1 via p53 in nasopharyngeal carcinoma cells. Eur. J. Cancer 2011, 47, 316–325. [Google Scholar] [CrossRef]
- Ganie, S.A.; Haq, E.; Masood, A.; Hamid, A.; Zargar, M.A. Antioxidant and Protective Effect of Ethyl Acetate Extract of Podophyllum hexandrumRhizome on Carbon Tetrachloride Induced Rat Liver Injury. Evid. Based Complement. Altern. Med. 2011, 2011, 1–12. [Google Scholar] [CrossRef]
- Panth, N.; Paudel, K.R.; Parajuli, K. Reactive Oxygen Species: A Key Hallmark of Cardiovascular Disease. Adv. Med. 2016, 2016, 1–12. [Google Scholar] [CrossRef]
- Siasos, G.; Tsigkou, V.; Kosmopoulos, M.; Theodosiadis, D.; Simantiris, S.; Tagkou, N.M.; Tsimpiktsioglou, A.; Stampouloglou, P.K.; Oikonomou, E.; Mourouzis, K.; et al. Mitochondria and cardiovascular diseases—From pathophysiology to treatment. Ann. Transl. Med. 2018, 6, 256. [Google Scholar] [CrossRef] [PubMed]
- Ratiu, I.A.; Ligor, T.; Bocos-Bintintan, V.; Mayhew, C.A.; Buszewski, B. Volatile Organic Compounds in Exhaled Breath as Fingerprints of Lung Cancer, Asthma and COPD. J. Clin. Med. 2020, 10, 32. [Google Scholar] [CrossRef]
- Nishikawa, T.; Araki, E. Impact of Mitochondrial ROS Production in the Pathogenesis of Diabetes Mellitus and Its Complications. Antioxid. Redox Signal. 2007, 9, 343–353. [Google Scholar] [CrossRef]
- Soares, A.; de Sá-Nakanishi, A.; Bracht, A.; da Costa, S.; Koehnlein, E.; de Souza, C.; Peralta, R.M. Hepatoprotective Effects of Mushrooms. Molecules 2013, 18, 7609–7630. [Google Scholar] [CrossRef]
- Liu, Q.; Tian, G.; Yan, H.; Geng, X.; Cao, Q.; Wang, H.; Ng, T.B. Characterization of Polysaccharides with Antioxidant and Hepatoprotective Activities from the Wild Edible Mushroom Russula vinosa Lindblad. J. Agric. Food Chem. 2014, 62, 8858–8866. [Google Scholar] [CrossRef] [PubMed]
- Petrović, J.; Papandreou, M.; Glamočlija, J.; Ćirić, A.; Baskakis, C.; Proestos, C.; Lamari, F.; Zoumpoulakis, P.; Sokovic, M. Different extraction methodologies and their influence on the bioactivity of the wild edible mushroom Laetiporus sulphureus (Bull.) Murrill. Food Funct. 2014, 5, 2948–2960. [Google Scholar]
- García, A.; Bocanegra-García, V.; Palma-Nicolás, J.P.; Rivera, G. Recent advances in antitubercular natural products. Eur. J. Med. Chem. 2012, 49, 1–23. [Google Scholar] [CrossRef]
- Arpha, K.; Phosri, C.; Suwannasai, N.; Mongkolthanaruk, W.; Sodngam, S. Astraodoric Acids A–D: New Lanostane Triterpenes from Edible Mushroom Astraeus odoratus and Their Anti-Mycobacterium tuberculosis H37Ra and Cytotoxic Activity. J. Agric. Food Chem. 2012, 60, 9834–9841. [Google Scholar] [CrossRef] [PubMed]
- Khalili, M.; Ebrahimzadeh, M.A.; Kosaryan, M.; Abbasi, A.; Azadbakht, M. Iron chelation and liver disease healing activity of edible mushroom (Cantharellus cibarius), in vitro and in vivo assays. RSC Adv. 2015, 5, 4804–4810. [Google Scholar] [CrossRef]
- Chen, J.; Seviour, R. Medicinal importance of fungal β-(1 → 3), (1 → 6)-glucans. Mycol. Res. 2007, 111, 635–652. [Google Scholar] [CrossRef] [PubMed]
- Suthanthiran, M.; Morris, R.E.; Strom, T.B. Immunosuppressants: Cellular and molecular mechanisms of action. Am. J. Kidney Dis. 1996, 28, 159–172. [Google Scholar] [CrossRef]
- Puggioni, F.; Alves-Correia, M.; Mohamed, M.-F.; Stomeo, N.; Mager, R.; Marinoni, M.; Racca, F.; Paoletti, G.; Varricchi, G.; Giorgis, V.; et al. Immunostimulants in respiratory diseases: Focus on Pidotimod. Multidiscip. Respir. Med. 2019, 14, 31. [Google Scholar] [CrossRef]
- Banstola, A.; Jeong, J.-H.; Yook, S. Immunoadjuvants for cancer immunotherapy: A review of recent developments. Acta Biomater. 2020, 114, 16–30. [Google Scholar] [CrossRef] [PubMed]
- El Enshasy, H.A.; Hatti-Kaul, R. Mushroom immunomodulators, unique molecules with unlimited applications. Trends Biotechnol. 2013, 31, 668–677. [Google Scholar] [CrossRef] [PubMed]
- Ditamo, Y.; Rupil, L.L.; Sendra, V.G.; Nores, G.A.; Roth, G.A.; Irazoqui, F.J. In vivo immunomodulatory effect of the lectin from edible mushroom Agaricus bisporus. Food Funct. 2016, 7, 262–269. [Google Scholar] [CrossRef]
- Cheng, F.; Yan, X.; Zhang, M.; Chang, M.; Yun, S.; Meng, J.; Liu, J.; Feng, C.-P. Regulation of RAW 264.7 cell-mediated immunity by polysaccharides from Agaricus blazei Murill via the MAPK signal transduction pathway. Food Funct. 2017, 8, 1475–1480. [Google Scholar] [CrossRef]
- Suabjakyong, P.; Nishimura, K.; Toida, T.; Van Griensven, L.J.L.D. Structural characterization and immunomodulatory effects of polysaccharides from Phellinus linteus and Phellinus igniarius on the IL-6/IL-10 cytokine balance of the mouse macrophage cell lines (RAW 264.7). Food Funct. 2015, 6, 2834–2844. [Google Scholar] [CrossRef]
- Ma, X.-K.; Ma, Y.; Peterson, E.C.; Guo, W.Y.; Li, Z.Y.; Li, Y. Structural characterization of two endopolysaccharides from Phellinus sp. and their immunologic effects by intragastric administration in a healthy mammalian model. Food Funct. 2018, 9, 1224–1234. [Google Scholar] [CrossRef]
- Ma, X.-K.; Guo, D.D.; Peterson, E.C.; Dun, Y.; Li, D.Y. Structural characterization and anti-aging activity of a novel extracellular polysaccharide from fungus Phellinus sp. in a mammalian system. Food Funct. 2016, 7, 3468–3479. [Google Scholar] [CrossRef]
- Du, J.; Li, J.; Zhu, J.; Huang, C.; Bi, S.; Song, L.; Hu, X.; Yu, R. Structural characterization and immunomodulatory activity of a novel polysaccharide from Ficus carica. Food Funct. 2018, 9, 3930–3943. [Google Scholar] [CrossRef] [PubMed]
- Hu, Q.; Du, H.; Ma, G.; Pei, F.; Ma, N.; Yuan, B.; Nakata, P.A.; Yang, W. Purification, identification and functional characterization of an immunomodulatory protein from Pleurotus eryngii. Food Funct. 2018, 9, 3764–3775. [Google Scholar] [CrossRef]
- Wu, G.-H.; Lu, C.-L.; Jiang, J.-G.; Li, Z.-Y.; Huang, Z.-L. Regulation effect of polysaccharides from Pleurotus tuber-regium (Fr.) on the immune activity of mice macrophages. Food Funct. 2014, 5, 337–344. [Google Scholar] [CrossRef]
- Yuan, B.; Zhao, L.; Rakariyatham, K.; Han, Y.; Gao, Z.; Muinde Kimatu, B.; Hu, Q.; Xiao, H. Isolation of a novel bioactive protein from an edible mushroom Pleurotus eryngii and its anti-inflammatory potential. Food Funct. 2017, 8, 2175–2183. [Google Scholar] [CrossRef] [PubMed]
- Hu, Q.; Yuan, B.; Xiao, H.; Zhao, L.; Wu, X.; Rakariyatham, K.; Zhong, L.; Han, Y.; Kimatu, B.M.; Yang, W. Polyphenols-rich extract from Pleurotus eryngii with growth inhibitory of HCT116 colon cancer cells and anti-inflammatory function in RAW264.7 cells. Food Funct. 2018, 9, 1601–1611. [Google Scholar] [CrossRef] [PubMed]
- Chen, J.-N.; Ma, C.-Y.; Tsai, P.-F.; Wang, Y.-T.; Wu, J.S.-B. In Vitro Antitumor and Immunomodulatory Effects of the Protein PCP-3A from MushroomPleurotus citrinopileatus. J. Agric. Food Chem. 2010, 58, 12117–12122. [Google Scholar] [CrossRef]
- Chen, J.-N.; Wang, Y.-T.; Wu, J.S.-B. A Glycoprotein Extracted from Golden Oyster Mushroom Pleurotus citrinopileatus Exhibiting Growth Inhibitory Effect against U937 Leukemia Cells. J. Agric. Food Chem. 2009, 57, 6706–6711. [Google Scholar] [CrossRef]
- Chen, J.-N.; de Mejia, E.G.; Wu, J.S.-B. Inhibitory Effect of a Glycoprotein Isolated from Golden Oyster Mushroom (Pleurotus citrinopileatus) on the Lipopolysaccharide-Induced Inflammatory Reaction in RAW 264.7 Macrophage. J. Agric. Food Chem. 2011, 59, 7092–7097. [Google Scholar] [CrossRef] [PubMed]
- Li, C.; You, L.; Fu, X.; Huang, Q.; Yu, S.; Liu, R.H. Structural characterization and immunomodulatory activity of a new heteropolysaccharide from Prunella vulgaris. Food Funct. 2015, 6, 1557–1567. [Google Scholar] [CrossRef]
- Xu, X.; Yang, J.; Luo, Z.; Zhang, X. Lentinula edodes-derived polysaccharide enhances systemic and mucosal immunity by spatial modulation of intestinal gene expression in mice. Food Funct. 2015, 6, 2068–2080. [Google Scholar] [CrossRef]
- Wang, L.; Nie, Z.-K.; Zhou, Q.; Zhang, J.-L.; Yin, J.-J.; Xu, W.; Qiu, Y.; Ming, Y.-L.; Liang, S. Antitumor efficacy in H22 tumor bearing mice and immunoregulatory activity on RAW 264.7 macrophages of polysaccharides from Talinum triangulare. Food Funct. 2014, 5, 2183. [Google Scholar] [CrossRef]
- Lee, J.; Ha, S.J.; Lee, H.J.; Kim, M.J.; Kim, J.H.; Kim, Y.T.; Song, K.-M.; Kim, Y.-J.; Kim, H.K.; Jung, S.K. Protective effect of Tremella fuciformis Berk extract on LPS-induced acute inflammation via inhibition of the NF-κB and MAPK pathways. Food Funct. 2016, 7, 3263–3272. [Google Scholar] [CrossRef]
- Sheu, F.; Chien, P.-J.; Hsieh, K.-Y.; Chin, K.-L.; Huang, W.-T.; Tsao, C.-Y.; Chen, Y.F.; Cheng, H.C.; Chang, H.H. Purification, Cloning, and Functional Characterization of a Novel Immunomodulatory Protein from Antrodia camphorata (Bitter Mushroom) That Exhibits TLR2-Dependent NF-κB Activation and M1 Polarization within Murine Macrophages. J. Agric. Food Chem. 2009, 57, 4130–4141. [Google Scholar] [CrossRef]
- Chang, H.-H.; Yeh, C.-H.; Sheu, F. A Novel Immunomodulatory Protein from Poria cocos Induces Toll-like Receptor 4-Dependent Activation within Mouse Peritoneal Macrophages. J. Agric. Food Chem. 2009, 57, 6129–6139. [Google Scholar] [CrossRef]
- Xu, H.; Kong, Y.-Y.; Chen, X.; Guo, M.-Y.; Bai, X.-H.; Lu, Y.-J.; Li, W.; Zhou, X.W. Recombinant FIP-gat: A Fungal Immunomodulatory Protein from Ganoderma atrum, Induces Growth Inhibition and Cell Death in Breast Cancer Cells. J. Agric. Food Chem. 2016, 64, 2690–2698. [Google Scholar]
- Hoshi, H.; Yagi, Y.; Iijima, H.; Matsunaga, K.; Ishihara, Y.; Yasuhara, T. Isolation and Characterization of a Novel Immunomodulatory α-Glucan−Protein Complex from the Mycelium of Tricholoma matsutakein Basidiomycetes. J. Agric. Food Chem. 2005, 53, 8948–8956. [Google Scholar] [CrossRef]
- Kim, S.P.; Moon, E.; Nam, S.H.; Friedman, M. Hericium erinaceus Mushroom Extracts Protect Infected Mice against Salmonella Typhimurium-Induced Liver Damage and Mortality by Stimulation of Innate Immune Cells. J. Agric. Food Chem. 2012, 60, 5590–5596. [Google Scholar] [CrossRef] [PubMed]
- Chang, Y.-C.; Hsiao, Y.-M.; Wu, M.-F.; Ou, C.-C.; Lin, Y.-W.; Lue, K.-H.; Ko, J.-L. Interruption of Lung Cancer Cell Migration and Proliferation by Fungal Immunomodulatory Protein FIP-fve from Flammulina velutipes. J. Agric. Food Chem. 2013, 61, 12044–12052. [Google Scholar] [CrossRef] [PubMed]
- Khursheed, R.; Singh, S.K.; Wadhwa, S.; Gulati, M.; Awasthi, A. Therapeutic potential of mushrooms in diabetes mellitus: Role of polysaccharides. Int. J. Biol. Macromol. 2020, 164, 1194–1205. [Google Scholar] [CrossRef] [PubMed]
- VanderMolen, K.M.; Little, J.G.; Sica, V.P.; El-Elimat, T.; Raja, H.A.; Oberlies, N.H.; Baker, T.R.; Mahoy, C. Safety assessment of mushrooms in dietary supplements by combining analytical data with in silico toxicology evaluation. Food Chem. Toxicol. 2017, 103, 133–147. [Google Scholar] [CrossRef]
- Jo, W.-S.; Hossain, M.A.; Park, S.-C. Toxicological Profiles of Poisonous, Edible, and Medicinal Mushrooms. Mycobiology 2018, 42, 215–220. [Google Scholar] [CrossRef]
- Wieland, T.; GÖTzendÖRfer, C.; Vaisius, A.C.; Zanotti, G. The Effect of the Chemical Nature of the Side Chains of the Amatoxins in the Inhibition of Eukaryotic RNA Polymerase B. Eur. J. Biochem. 2005, 117, 161–164. [Google Scholar] [CrossRef]
- Aygul, N.; Duzenli, M.A.; Ozdemir, K.; Altunkeser, B.B. A case report of an unusual complication of Amanita phalloides poisoning: Development of cardiogenic shock and its successful treatment with intra-aortic balloon counterpulsation. Toxicon 2010, 55, 630–632. [Google Scholar] [CrossRef]
- Mount, P.; Harris, G.; Sinclair, R.; Finlay, M.; Becker, G.J. Acute renal failure following ingestion of wild mushrooms. Intern. Med. J. 2002, 32, 187–190. [Google Scholar] [CrossRef]
- Michelot, D.; Toth, B. Poisoning byGyromitra esculenta–a review. J. Appl. Toxicol. 1991, 11, 235–243. [Google Scholar] [CrossRef] [PubMed]
- Genest, K.; Hughes, D.; Rice, W. Muscarine in Clitocybe species. J. Pharm. Sci. 1968, 57, 331–333. [Google Scholar] [CrossRef] [PubMed]
- Curtis, D.R.; Lodge, D.; McLennan, H. The excitation and depression of spinal neurones by ibotenic acid. J. Physiol. 1979, 291, 19–28. [Google Scholar] [CrossRef] [PubMed]
- Badham, E.R. Ethnobotany of psilocybin mushrooms, especially Psilocybe cubensis. J. Ethnopharmacol. 1984, 10, 249–254. [Google Scholar] [CrossRef]
- Haberl, B.; Pfab, R.; Berndt, S.; Greifenhagen, C.; Zilker, T. Case series: Alcohol intolerance with Coprine-like syndrome after consumption of the mushroomLepiota aspera(Pers., Fr.) Quél. 1886 (Freckled Dapperling). Clin. Toxicol. 2011, 49, 113–114. [Google Scholar] [CrossRef] [PubMed]






| Scientific Name | Common Name | Specific Constituent | Type of Constituent |
|---|---|---|---|
| Agaricus blazei | Agaricus | β-d-glucan | Polysaccharide |
| Ganoderma lucidum | Reishi, lingzhi | Ganoderic acid | Protein |
| Danoderiol | Protein | ||
| Danderenic acid | Protein | ||
| Lucidenic acid | Protein | ||
| GLPS | Polysaccharide | ||
| Cordyceps sinesis | Cordyceps, caterpillar mushroom | Adenosine | Nucleotide |
| Cordycepin | Nucleotide | ||
| Trametes versicolor (formerly Coriolus versicolor) | Turkey tail | PS | Polysaccharide peptide |
| PSK | Polysaccharide peptide | ||
| Grifolia frondosa | Maitake | Grifolan | Polysaccharide |
| D-fraction | |||
| MD-fraction | Polysaccharide |
| Mushroom | Model | Compound | Response | Reference |
|---|---|---|---|---|
| Button | In vivo | Hot water extract | Upregulation of CD69, CD49 T, CD3, CD19, NK activity, phagocytosis of spleen cells, and decrease the liver and spleen weight | [63,64] |
| Enhancement in the level of the interleukin (IL) IL-1, IL-6, TNF-α, and IL-1β | [26,27] | |||
| Maitake | In vivo | Extract | Increased cell growth and differentiation | [65] |
| Upregulation of tumor-specific CD8+, CD4+ T cells, NK activity, T-cell infiltration, and decrease the Treg cells activity | [50] | |||
| Reishi | In vivo | Polysaccharides and extract | Enhancement of CD56, NK cells, phagocytosis, CD8+, CD4+ cells activity, and decrease the cancerous cell activities such as cell growth, and adhesion | [66,67,68] |
| Cordyceps | In vitro | Cordycepin | Decreases the activity of matrix metallopeptidase 9 (MMP-9), and NF-κB protein complex | [69] |
| Inhibition of TNF-α, IL-1β, NO, prostaglandin (E2) | [30] | |||
| Turkey Tail | In vivo | Powder | Increase lymphocyte count, NK activity, CD8+ T cells, and CD19+ B cells activity | [70] |
| Shiitake | In vitro | Extract | Inhibition of chicken tumor cells growth and increased the secretion level of interferon-α (IFN-α), IL-1β, IL-6, IL-12, IL-15, IL-18, and tumor necrosis factor superfamily 15 (TNFSF15) | [71] |
| Cracked-cap Polypore | In vitro and vivo | Extract | Suppressed the growth of tumor cells | [72] |
| Black Hoof | Enhancement in cell proliferation, migration, tube formation and phosphorylation of vascular endothelial growth factor receptor (VEGFR)-2 | [73] | ||
| Pleurotus florida | In vitro | Extract | Anti-inflammatory and antiplatelet-aggregating potential | [74] |
| Albatrellus confluences | In vitro | Extract | Antitumor activity and upregulation of death-associated protein kinase 1 (DAPK1) | [75,76] |
| Mushroom Species | Active Materials | Functions | Reference |
|---|---|---|---|
| Agaricus bisporus | Monounsaturated fatty acids and ergosterol | Antioxidant and antimicrobial properties | [93,94] |
| Agaricus brasiliensis | Polyunsaturated fatty acids | ||
| Agaricus bisporus | Lectins | Immunomodulatory | |
| Agaricus blazei | Polysaccharides | ||
| Phellinus linteus | Polysaccharides | Immunomodulatory | [95,96,97] |
| Phellinus igniarius | |||
| Phellinus sp. | Antiaging activity | ||
| Ficus carica | Polysaccharides | Immunomodulatory activity | [98] |
| Pleurotus eryngii | Protein/polyphenols | Immunomodulatory and anti-inflammatory | [99,100,101,102,103,104,105] |
| Pleurotus tuber-regium | Polysaccharides | Immunomodulatory and antitumor | |
| Pleurotus citrinopileatus | Protein PCP-3A | Immunomodulatory and anti-inflammatory | |
| Pulveroboletus ravenelii | Vulpinic acid | Anticancerous | [105] |
| Prunella vulgaris | Heteropolysaccharides | Immunomodulatory | [106] |
| Lentinula edodes | Polysaccharides | Immunomodulatory | [107] |
| Talinum triangulare | Polysaccharides | Antitumor efficacy | [108] |
| Tremella fuciformis | Berk extract | Anti-inflammatory | [109] |
| Antrodia camphorata | Protein | Immunomodulatory | [110] |
| Poria cocos | Protein | Immunomodulatory | [111] |
| Ganoderma atrum | Protein | Anticancerous | [112] |
| Tricholoma matsutake | α-Glucan–protein complex | Immunomodulatory | [113] |
| Hericium erinaceus | Polysaccharides | Immunomodulatory | [114] |
| Flammulina velutipes | Protein | Anticancerous | [115] |
| Species | Toxic Substance | Action Sites | Toxic Syndrome | Mortality Rate | Reference |
|---|---|---|---|---|---|
| Amanita phalloides Amanita verna Amanita bisporigera Amanita virosa | Amatoxins, phallotoxins | Live, kidney, GIT | Delayed liver toxicity and gastroenteritis | ~2–30% | [120] |
| Cortinarius orellanus Cortinarius speciosissinus | Orellanine | Kidney, GIT | Delayed renal failure | Very less | [121] |
| Gyromitra esculenta Gyromitra infula Chrysina macropus | Gyromitrin | Liver, blood, GIT, CNS | Delayed gastroenteritis and liver toxicity | 0–10% | [122] |
| Clitocybe dealbata Clitocybe illudens Boletus calopus | Muscarine | ANS | Vomiting, salivation, diarrhea | Very less | [123] |
| Amanita muscaria Amanita pantherina Amanita gemmata | Ibotenic acid | CNS | Hallucinations, seizures, agitation | Very less | [124] |
| Psilocybe cubensis Psilocybe Mexicana Conocybe cyanopus | Psilocybin | CNS | Hallucinations | Very less | [125] |
| Coprinus atramentarius | Coprine | - | Anxiety, headache, chest pain | Very less | [126] |
Publisher’s Note: MDPI stays neutral with regard to jurisdictional claims in published maps and institutional affiliations. |
© 2021 by the authors. Licensee MDPI, Basel, Switzerland. This article is an open access article distributed under the terms and conditions of the Creative Commons Attribution (CC BY) license (http://creativecommons.org/licenses/by/4.0/).
Share and Cite
Patel, D.K.; Dutta, S.D.; Ganguly, K.; Cho, S.-J.; Lim, K.-T. Mushroom-Derived Bioactive Molecules as Immunotherapeutic Agents: A Review. Molecules 2021, 26, 1359. https://doi.org/10.3390/molecules26051359
Patel DK, Dutta SD, Ganguly K, Cho S-J, Lim K-T. Mushroom-Derived Bioactive Molecules as Immunotherapeutic Agents: A Review. Molecules. 2021; 26(5):1359. https://doi.org/10.3390/molecules26051359
Chicago/Turabian StylePatel, Dinesh K., Sayan Deb Dutta, Keya Ganguly, Seong-Jun Cho, and Ki-Taek Lim. 2021. "Mushroom-Derived Bioactive Molecules as Immunotherapeutic Agents: A Review" Molecules 26, no. 5: 1359. https://doi.org/10.3390/molecules26051359
APA StylePatel, D. K., Dutta, S. D., Ganguly, K., Cho, S.-J., & Lim, K.-T. (2021). Mushroom-Derived Bioactive Molecules as Immunotherapeutic Agents: A Review. Molecules, 26(5), 1359. https://doi.org/10.3390/molecules26051359

