Development of a Platform for Noncovalent Coupling of Full Antigens to Tobacco Etch Virus-Like Particles by Means of Coiled-Coil Oligomerization Motifs
Abstract
1. Introduction
2. Results
2.1. Arrangement of Elements of Recombinant Proteins According to Structural Prediction
2.2. Expression of Recombinant TEVK, GFPE-N and GFPE-C Proteins in E. coli
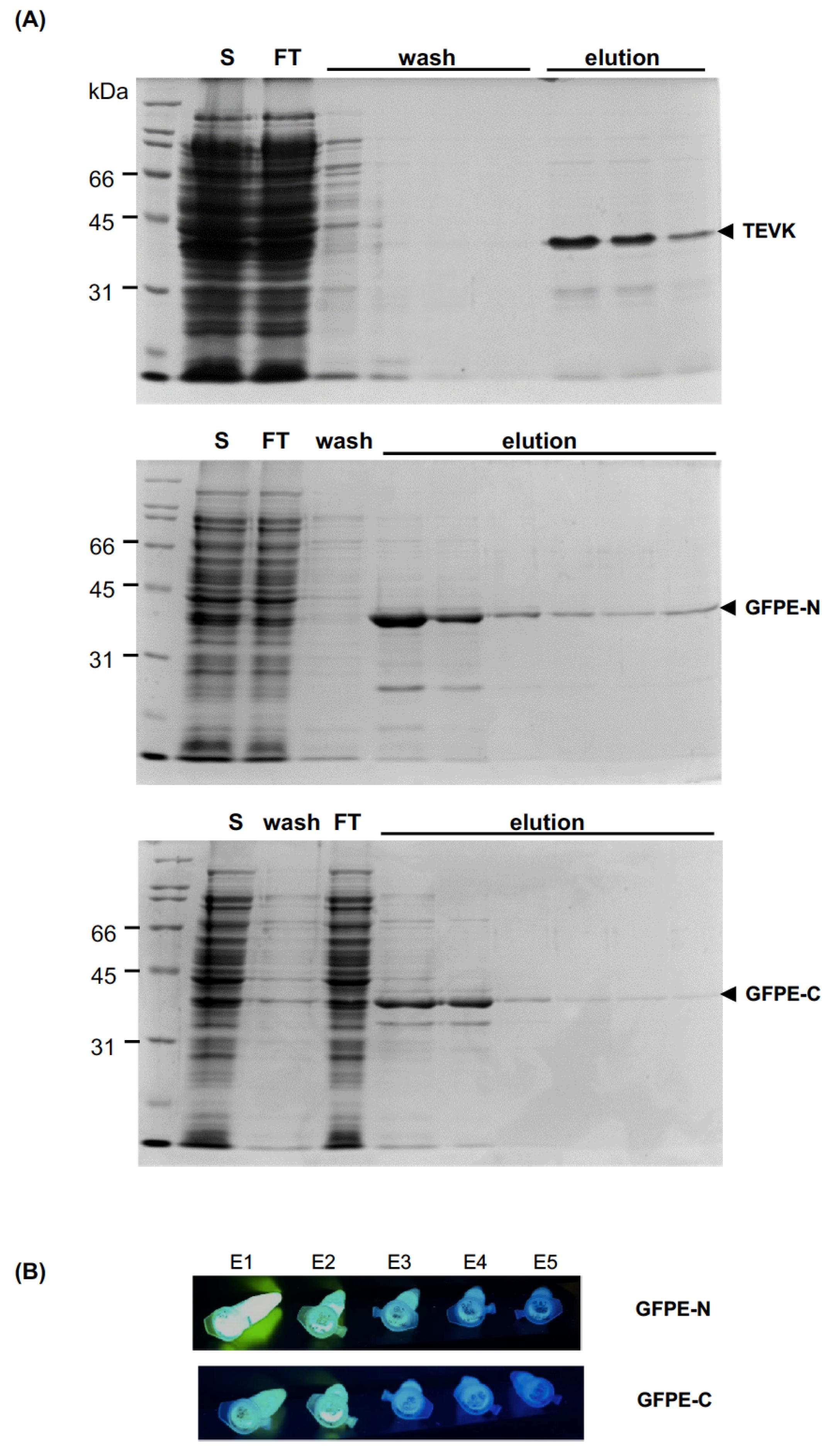
2.3. Purification of Recombinant Proteins
2.4. Observation of TEVK VLPs in Presence of GFP Proteins with Complementary Coiled-Coil Motifs
2.5. Interaction of Chimeric VLPs and Complete Antigens Containing K-Coil and E-Coil Interaction Motifs
2.6. Chimeric VLPs with K-Coil Stimulate Internalization of Antigens in Murine Macrophages
3. Discussion
4. Materials and Methods
4.1. Sequence Design and Structural Prediction
4.2. Construction of Expression Plasmids and Cell Transformation
4.3. Protein Expression in E. coli and Verification by Western Blot
4.4. Purification of VLPs and Soluble Proteins by IMAC
4.5. Electron Microscopy
4.6. VLP/Antigen Interaction Analysis
4.7. Internalization Analysis of VLP/Antigen Complexes vs. Soluble Antigens in Murine Macrophages
5. Conclusions
Supplementary Materials
Author Contributions
Funding
Data Availability Statement
Acknowledgments
Conflicts of Interest
References
- Bachmann, M.F.; Jennings, G.T. Vaccine delivery: A matter of size, geometry, kinetics and molecular patterns. Nat. Rev. Immunol. 2010, 10, 787–796. [Google Scholar] [CrossRef]
- Zanetti, A.R.; van Damme, P.; Shouval, D. The global impact of vaccination against hepatitis B: A historical overview. Vaccine 2008, 26, 6266–6273. [Google Scholar] [CrossRef]
- Dadar, M.; Chakraborty, S.; Dhama, K.; Prasad, M.; Khandia, R.; Hassan, S.; Munjal, A.; Tiwari, R.; Karthik, K.; Kumar, D.; et al. Advances in designing and developing vaccines, drugs and therapeutic approaches to counter human papilloma virus. Front. Immunol. 2018, 9, 2478. [Google Scholar] [CrossRef]
- Plummer, E.M.; Manchester, M. Viral nanoparticles and virus-like particles: Platforms for contemporary vaccine design. Wiley Interdiscip. Rev. Nanomed. Nanobiotechnol. 2011, 3, 174–196. [Google Scholar] [CrossRef]
- Bárcena, J.; Blanco, E. Design of novel vaccines based on virus-like particles or chimeric virions. In Structure and Physics of Viruses; Mateu, M.G., Ed.; Springer: Dordrecht, The Netherlands, 2013; pp. 631–665. [Google Scholar] [CrossRef]
- Berkower, I.; Raymond, M.; Muller, J.; Spadaccini, A.; Aberdeen, A. Assembly, structure, and antigenic properties of virus-like particles rich in HIV-1 envelope gp120. Virology 2004, 321, 75–86. [Google Scholar] [CrossRef]
- Ye, L.; Lin, J.; Sun, Y.; Bennouna, S.; Lo, M.; Wu, Q.; Bu, Z.; Pulendran, B.; Compans, R.W.; Yang, C. Ebola virus-like particles produced in insect cells exhibit dendritic cell stimulating activity and induce neutralizing antibodies. Virology 2006, 351, 260–270. [Google Scholar] [CrossRef] [PubMed]
- Warfield, K.L.; Swenson, D.L.; Olinger, G.G.; Kalina, W.V.; Aman, M.J.; Bavari, S. Ebola virus-like particle-based vaccine protects nonhuman primates against lethal Ebola virus challenge. J. Infect. Dis. 2007, 196, S430–S437. [Google Scholar] [CrossRef]
- Perrone, L.A.; Ahmad, A.; Veguilla, V.; Lu, X.; Smith, G.; Katz, J.M.; Pushko, P.; Tumpey, T.M. Intranasal vaccination with 1918 influenza virus-like particles protects mice and ferrets from lethal 1918 and H5N1 influenza virus challenge. J. Virol. 2009, 83, 5726–5734. [Google Scholar] [CrossRef]
- Huber, B.; Schellenbacher, C.; Jindra, C.; Fink, D.; Shafti-Keramat, S.; Kirnbauer, R. A chimeric 18L1-45RG1 virus-like particle vaccine cross-protects against oncogenic alpha-7 human papillomavirus types. PLoS ONE 2015, 10, e0120152. [Google Scholar] [CrossRef]
- Chen, S.; Zheng, D.; Li, C.; Zhang, W.; Xu, W.; Liu, X.; Fang, F.; Chen, Z. Protection against multiple subtypes of influenza viruses by virus-like particle vaccines based on a hemagglutinin conserved epitope. Biomed. Res. Int. 2015, 2015, 901817. [Google Scholar] [CrossRef]
- Liu, Y.V.; Massare, M.J.; Pearce, M.B.; Sun, X.; Belser, J.A.; Maines, T.R.; Creager, H.M.; Glenn, G.M.; Pushko, P.; Smith, G.E.; et al. Recombinant virus-like particles elicit protective immunity against avian influenza A(H7N9) virus infection in ferrets. Vaccine 2015, 33, 2152–2158. [Google Scholar] [CrossRef][Green Version]
- Pastori, C.; Tudor, D.; Diomede, L.; Drillet, A.S.; Jegerlehner, A.; Röhn, T.A.; Bomsel, M.; Lopalco, L. Virus like particle based strategy to elicit HIV-protective antibodies to the alpha-helic regions of gp41. Virology 2012, 431, 1–11. [Google Scholar] [CrossRef][Green Version]
- Marusic, C.; Rizza, P.; Lattanzi, L.; Mancini, C.; Spada, M.; Belardelli, F.; Benvenuto, E.; Capone, I. Chimeric plant virus particles as immunogens for inducing murine and human immune responses against human immunodeficiency virus type 1. J. Virol. 2001, 75, 8434–8439. [Google Scholar] [CrossRef]
- Denis, J.; Acosta-Ramirez, E.; Zhao, Y.; Hamelin, M.E.; Koukavica, I.; Baz, M.; Abed, Y.; Savard, C.; Pare, C.; Macias, C.L.; et al. Development of a universal influenza A vaccine based on the M2e peptide fused to the papaya mosaic virus (PapMV) vaccine platform. Vaccine 2008, 26, 3395–3403. [Google Scholar] [CrossRef]
- Lico, C.; Mancini, C.; Italiani, P.; Betti, C.; Boraschi, D.; Benvenuto, E.; Baschieri, S. Plant-produced potato virus X chimeric particles displaying an influenza virus-derived peptide activate specific CD8+ T cells in mice. Vaccine 2009, 27, 5069–5076. [Google Scholar] [CrossRef]
- Brune, K.D.; Leneghan, D.B.; Brian, I.J.; Ishizuka, A.S.; Bachmann, M.F.; Draper, S.J.; Biswas, S.; Howarth, M. Plug-and-Display: Decoration of virus-like particles via isopeptide bonds for modular immunization. Sci. Rep. 2016, 6, 19234. [Google Scholar] [CrossRef]
- Thérien, A.; Bédard, M.; Carignan, D.; Rioux, G.; Gauthier-Landry, L.; Laliberté-Gagné, M.È.; Bolduc, M.; Savard, P.; Leclerc, D. A versatile papaya mosaic virus (PapMV) vaccine platform based on sortase-mediated antigen coupling. J. Nanobiotechnol. 2017, 15, 54. [Google Scholar] [CrossRef] [PubMed]
- Dong, H.; Hartgerink, J.D. Short homodimeric and heterodimeric coiled coils. Biomacromolecules 2006, 7, 691–695. [Google Scholar] [CrossRef]
- Minten, I.J.; Hendriks, L.J.A.; Nolte, R.J.M.; Cornelissen, J.J.L.M. Controlled encapsulation of multiple proteins in virus capsids. J. Am. Chem. Soc. 2009, 131, 17771–17773. [Google Scholar] [CrossRef]
- Litowski, J.R.; Hodges, R.S. Designing heterodimeric two-stranded α-helical coiled-coils. Effects of hydrophobicity and α-helical propensity on protein folding, stability, and specificity. J. Biol. Chem. 2002, 227, 37272–37279. [Google Scholar] [CrossRef]
- Shukla, D.D.; Strike, P.M.; Tracy, S.L.; Gough, K.H.; Ward, C.W. The N and C termini of the coat proteins of potyviruses are surface-located and the N terminus contains the major virus-specific epitopes. J. Gen. Virol. 1988, 69, 1497–1508. [Google Scholar] [CrossRef]
- Manuel-Cabrera, C.A.; Márquez-Aguirre, A.; Rodolfo, H.G.; Ortiz-Lazareno, P.C.; Chavez-Calvillo, G.; Carrillo-Tripp, M.; Silva-Rosales, L.; Gutiérrez-Ortega, A. Immune response to a potyvirus with exposed amino groups available for chemical conjugation. Virol. J. 2012, 9, 75. [Google Scholar] [CrossRef]
- Manuel-Cabrera, C.A.; Vallejo-Cardona, A.A.; Padilla-Camberos, E.; Hernández-Gutiérrez, R.; Herrera-Rodríguez, S.E.; Gutiérrez-Ortega, A. Self-assembly of hexahistidine-tagged tobacco etch virus capsid protein into microfilaments that induce IgG2-specific response against a soluble porcine reproductive and respiratory syndrome virus chimeric protein. Virol. J. 2016, 13, 196. [Google Scholar] [CrossRef]
- Cuesta, R.; Yuste-Calvo, C.; Gil-Cartón, D.; Sánchez, F.; Ponz, F.; Valle, M. Structure of Turnip mosaic virus and its viral-like particles. Sci. Rep. 2019, 9, 1–6. [Google Scholar] [CrossRef] [PubMed]
- Zamora, M.; Méndez-López, E.; Agirrezabala, X.; Cuesta, R.; Lavín, J.L.; Sánchez-Pina, M.A.; Aranda, M.A.; Valle, M. Potyvirus virion structure shows conserved protein fold and RNA binding site in ssRNA viruses. Sci. Adv. 2017, 3, 1–8. [Google Scholar] [CrossRef]
- Geremia, S.; De March, M. RCSB PDB—3TQ2: Merohedral Twinning in Protein Crystals Revealed a New Synthetic Three Helix Bundle Motif. Ph.D. Thesis, Univerza v Novi Gorici, Nova Gorica, Slovenija, 2012. [Google Scholar] [CrossRef]
- Moon, A.F.; Krahn, J.M.; Lu, X.; Cuneo, M.J.; Pedersen, L.C. Structural characterization of the virulence factor Sda1 nuclease from Streptococcus pyogenes. Nucleic Acids Res. 2016, 44, 3946–3957. [Google Scholar] [CrossRef]
- Dadon, Z.; Samiappan, M.; Shahar, A.; Zarivach, R.; Ashkenasy, G. A high-resolution structure that provides insight into coiled-coil thiodepsipeptide dynamic chemistry. Angew. Chem. Int. Ed. 2013, 52, 9944–9947. [Google Scholar] [CrossRef]
- Fernández-Fernández, M.R.; Martínez-Torrecuadrada, J.L.; Casal, J.I.; García, J.A. Development of an antigen presentation sytem based on plum pox potyvirus. FEBS Lett. 1998, 427, 229–235. [Google Scholar] [CrossRef]
- Kalnciema, I.; Skrastina, D.; Ose, V.; Pumpens, P.; Zeltins, A. Potato virus Y-like particles as a new carrier for the presentation of foreign protein stretches. Mol. Biotechnol. 2012, 52, 129–139. [Google Scholar] [CrossRef]
- Aguilera, B.E.; Chávez-Calvillo, G.; Elizondo-Quiroga, D.; Jimenez-García, M.N.; Carrillo-Tripp, M.; Silva-Rosales, L.; Hernández-Gutiérrez, R.; Gutiérrez-Ortega, A. Porcine circovirus type 2 protective epitope densely carried by chimeric papaya ringspot virus–like particles expressed in Escherichia coli as a cost-effective vaccine manufacture alternative. Biotechnol. Appl. Biochem. 2017, 64, 406–414. [Google Scholar] [CrossRef]
- Ross, J.F.; Wildsmith, G.C.; Johnson, M.; Hurdiss, D.L.; Hollingsworth, K.; Thompson, R.F.; Mosayebi, M.; Trinh, C.H.; Paci, E.; Pearson, A.R.; et al. Directed assembly of homopentameric cholera toxin B-subunit proteins into higher-order structures using coiled-coil appendages. J. Am. Chem. Soc. 2019, 141, 5211–5219. [Google Scholar] [CrossRef]
- IMinten, J.; Nolte, R.J.M.; Cornelissen, J.J.L.M. Complex assembly behavior during the encapsulation of green fluorescent protein analogs in virus derived protein capsules. Macromol. Biosci. 2010, 10, 539–545. [Google Scholar] [CrossRef] [PubMed]
- Wuo, M.G.; Mahon, A.B.; Arora, P.S. An Effective Strategy for Stabilizing Minimal Coiled Coil Mimetics. J. Am. Chem. Soc. 2015, 137, 11618–11621. [Google Scholar] [CrossRef]
- Acosta-Ramírez, E.; Pérez-Flores, R.; Majeau, N.; Pastelin-Palacios, R.; Gil-Cruz, C.; Ramírez-Saldaña, M.; Manjarrez-Orduño, N.; Cervantes-Barragán, L.; Santos-Argumedo, L.; Flores-Romo, L.; et al. Translating innate response into long-lasting antibody response by the intrinsic antigen-adjuvant properties of Papaya mosaic virus. Immunology 2008, 124, 186–197. [Google Scholar] [CrossRef] [PubMed]
- Kelley, L.A.; Mezulis, S.; Yates, C.M.; Wass, M.N.; Sternberg, M.J.E. The Phyre2 web portal for protein modeling, prediction and análisis. Nat. Protoc. 2015, 10, 845–858. [Google Scholar] [CrossRef]








Publisher’s Note: MDPI stays neutral with regard to jurisdictional claims in published maps and institutional affiliations. |
© 2021 by the authors. Licensee MDPI, Basel, Switzerland. This article is an open access article distributed under the terms and conditions of the Creative Commons Attribution (CC BY) license (https://creativecommons.org/licenses/by/4.0/).
Share and Cite
Zapata-Cuellar, L.; Gaona-Bernal, J.; Manuel-Cabrera, C.A.; Martínez-Velázquez, M.; Sánchez-Hernández, C.; Elizondo-Quiroga, D.; Camacho-Villegas, T.A.; Gutiérrez-Ortega, A. Development of a Platform for Noncovalent Coupling of Full Antigens to Tobacco Etch Virus-Like Particles by Means of Coiled-Coil Oligomerization Motifs. Molecules 2021, 26, 4436. https://doi.org/10.3390/molecules26154436
Zapata-Cuellar L, Gaona-Bernal J, Manuel-Cabrera CA, Martínez-Velázquez M, Sánchez-Hernández C, Elizondo-Quiroga D, Camacho-Villegas TA, Gutiérrez-Ortega A. Development of a Platform for Noncovalent Coupling of Full Antigens to Tobacco Etch Virus-Like Particles by Means of Coiled-Coil Oligomerization Motifs. Molecules. 2021; 26(15):4436. https://doi.org/10.3390/molecules26154436
Chicago/Turabian StyleZapata-Cuellar, Lorena, Jorge Gaona-Bernal, Carlos Alberto Manuel-Cabrera, Moisés Martínez-Velázquez, Carla Sánchez-Hernández, Darwin Elizondo-Quiroga, Tanya Amanda Camacho-Villegas, and Abel Gutiérrez-Ortega. 2021. "Development of a Platform for Noncovalent Coupling of Full Antigens to Tobacco Etch Virus-Like Particles by Means of Coiled-Coil Oligomerization Motifs" Molecules 26, no. 15: 4436. https://doi.org/10.3390/molecules26154436
APA StyleZapata-Cuellar, L., Gaona-Bernal, J., Manuel-Cabrera, C. A., Martínez-Velázquez, M., Sánchez-Hernández, C., Elizondo-Quiroga, D., Camacho-Villegas, T. A., & Gutiérrez-Ortega, A. (2021). Development of a Platform for Noncovalent Coupling of Full Antigens to Tobacco Etch Virus-Like Particles by Means of Coiled-Coil Oligomerization Motifs. Molecules, 26(15), 4436. https://doi.org/10.3390/molecules26154436

