Calcium-Dependent Translocation of S100B Is Facilitated by Neurocalcin Delta
Abstract
1. Introduction
2. Results
2.1. NCALD and S100B Interact In Vitro
2.2. Binding to S100B Requires the N-Terminal Region of NCALD that Houses EF1 Hand
2.3. NCALD and S100B Interact in Living Cells
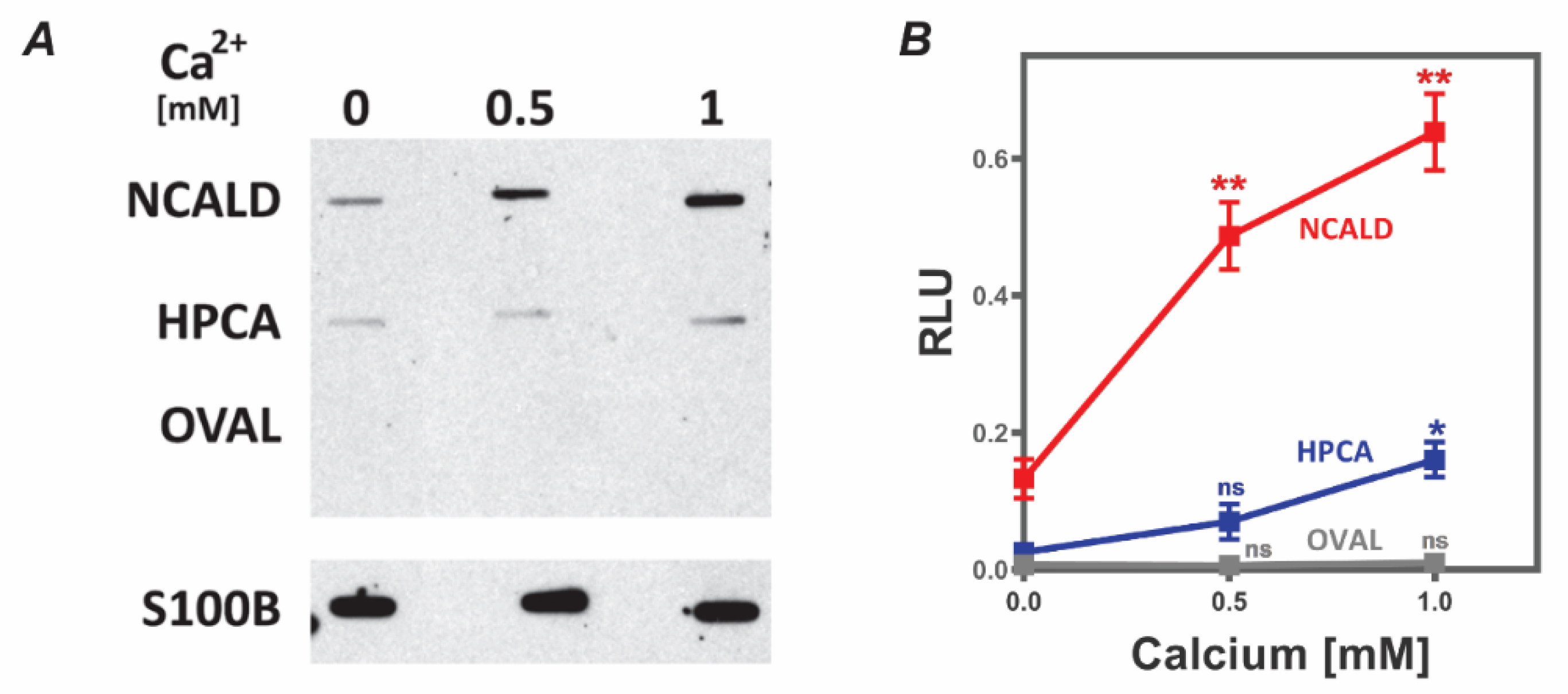
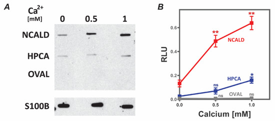
2.4. Translocation of the Complexes in Response to Change in Calcium
3. Discussion
4. Materials and Methods
4.1. Materials
4.2. Methods
4.2.1. Protein Purification
4.2.2. Membrane Overlay Assays
4.2.3. Bimolecular Fluorescence Complementation Assays
4.2.4. Statistics
5. Patents
Supplementary Materials
Author Contributions
Funding
Institutional Review Board Statement
Informed Consent Statement
Data Availability Statement
Conflicts of Interest
Sample Availability
References
- Virchow, R. Über das granulierte Ansehen der Wandlungen der Hirnventrikel. Allg. Z. Psychiatr. 1846, 3, 242. [Google Scholar]
- Kettenmann, H.; Verkhratsky, A. Neuroglia: The 150 years after. Trends Neurosci. 2008, 31, 653–659. [Google Scholar] [CrossRef] [PubMed]
- Bazargani, N.; Attwell, D. Astrocyte calcium signaling: The third wave. Nat. Neurosci. 2016, 19, 182–189. [Google Scholar] [CrossRef] [PubMed]
- Calabrese, E.J.; Dhawan, G.; Kapoor, R.; Iavicoli, I.; Calabrese, V. What is hormesis and its relevance to healthy aging and longevity? Biogerontology 2015, 16, 693–707. [Google Scholar] [CrossRef] [PubMed]
- Li, X.; Yang, T.; Sun, Z. Hormesis in Health and Chronic Diseases. Trends Endocrinol. Metab. 2019, 30, 944–958. [Google Scholar] [CrossRef]
- Mattson, M.P. Hormesis defined. Ageing Res. Rev. 2008, 7, 1–7. [Google Scholar] [CrossRef] [PubMed]
- Donato, R.; Sorci, G.; Riuzzi, F.; Arcuri, C.; Bianchi, R.; Brozzi, F.; Tubaro, C.; Giambanco, I. S100B’s double life: Intracellular regulator and extracellular signal. Biochim. Biophys. Acta 2009, 1793, 1008–1022. [Google Scholar] [CrossRef]
- Van Eldik, L.J.; Wainwright, M.S. The Janus face of glial-derived S100B: Beneficial and detrimental functions in the brain. Restor. Neurol. Neurosci. 2003, 21, 97–108. [Google Scholar]
- Gonzalez, L.L.; Garrie, K.; Turner, M.D. Role of S100 proteins in health and disease. Biochim. Biophys. Acta Mol. Cell Res. 2020, 1867, 118677. [Google Scholar] [CrossRef]
- Matsumura, H.; Shiba, T.; Inoue, T.; Harada, S.; Kai, Y. A novel mode of target recognition suggested by the 2.0 A structure of holo S100B from bovine brain. Structure 1998, 6, 233–241. [Google Scholar] [CrossRef]
- Wright, N.T.; Inman, K.G.; Levine, J.A.; Cannon, B.R.; Varney, K.M.; Weber, D.J. Refinement of the solution structure and dynamic properties of Ca(2+)-bound rat S100B. J. Biomol. NMR 2008, 42, 279–286. [Google Scholar] [CrossRef]
- Rezvanpour, A.; Shaw, G.S. Unique S100 target protein interactions. Gen. Physiol. Biophys. 2009, 28, F39–F46. [Google Scholar]
- Viviano, J.; Krishnan, A.; Wu, H.; Venkataraman, V. Electrophoretic mobility shift in native gels indicates calcium-dependent structural changes of neuronal calcium sensor proteins. Anal. Biochem. 2016, 494, 93–100. [Google Scholar] [CrossRef] [PubMed]
- Ikura, M.; Ames, J.B. Genetic polymorphism and protein conformational plasticity in the calmodulin superfamily: Two ways to promote multifunctionality. Proc. Natl. Acad. Sci. USA 2006, 103, 1159–1164. [Google Scholar] [CrossRef] [PubMed]
- Ostendorp, T.; Leclerc, E.; Galichet, A.; Koch, M.; Demling, N.; Weigle, B.; Heizmann, C.W.; Kroneck, P.M.; Fritz, G. Structural and functional insights into RAGE activation by multimeric S100B. EMBO J. 2007, 26, 3868–3878. [Google Scholar] [CrossRef] [PubMed]
- Donato, R. Intracellular and extracellular roles of S100 proteins. Microsc. Res. Tech. 2003, 60, 540–551. [Google Scholar] [CrossRef]
- Angelopoulou, E.; Paudel, Y.N.; Piperi, C. Emerging role of S100B protein implication in Parkinson’s disease pathogenesis. Cell. Mol. Life Sci. 2020. [Google Scholar] [CrossRef]
- Astrand, R.; Unden, J. Clinical Use of the Calcium-Binding S100B Protein, a Biomarker for Head Injury. Methods Mol. Biol. 2019, 1929, 679–690. [Google Scholar] [CrossRef]
- Dadas, A.; Washington, J.; Diaz-Arrastia, R.; Janigro, D. Biomarkers in traumatic brain injury (TBI): A review. Neuropsychiatr. Dis. Treat. 2018, 14, 2989–3000. [Google Scholar] [CrossRef]
- Harpio, R.; Einarsson, R. S100 proteins as cancer biomarkers with focus on S100B in malignant melanoma. Clin. Biochem. 2004, 37, 512–518. [Google Scholar] [CrossRef]
- Krishnan, A.; Wu, H.; Venkataraman, V. Astrocytic S100B, Blood-Brain Barrier and Neurodegenerative Diseases. Glia Health Dis. 2020. [Google Scholar] [CrossRef]
- Moss, B.P.; Patel, D.C.; Tavee, J.O.; Culver, D.A. Evaluating S100B as a serum biomarker for central neurosarcoidosis. Respir. Med. 2020, 162, 105855. [Google Scholar] [CrossRef] [PubMed]
- Wang, K.K.; Yang, Z.; Zhu, T.; Shi, Y.; Rubenstein, R.; Tyndall, J.A.; Manley, G.T. An update on diagnostic and prognostic biomarkers for traumatic brain injury. Expert Rev. Mol. Diagn. 2018, 18, 165–180. [Google Scholar] [CrossRef] [PubMed]
- Arcuri, C.; Fioretti, B.; Bianchi, R.; Mecca, C.; Tubaro, C.; Beccari, T.; Franciolini, F.; Giambanco, I.; Donato, R. Microglia-glioma cross-talk: A two way approach to new strategies against glioma. Front. Biosci. 2017, 22, 268–309. [Google Scholar] [CrossRef]
- Chiappalupi, S.; Sorci, G.; Vukasinovic, A.; Salvadori, L.; Sagheddu, R.; Coletti, D.; Renga, G.; Romani, L.; Donato, R.; Riuzzi, F. Targeting RAGE prevents muscle wasting and prolongs survival in cancer cachexia. J. Cachexia Sarcopenia Muscle 2020, 11, 929–946. [Google Scholar] [CrossRef]
- Riuzzi, F.; Sorci, G.; Sagheddu, R.; Chiappalupi, S.; Salvadori, L.; Donato, R. RAGE in the pathophysiology of skeletal muscle. J. Cachexia Sarcopenia Muscle 2018, 9, 1213–1234. [Google Scholar] [CrossRef]
- Rui, T.; Li, Q.; Song, S.; Gao, Y.; Luo, C. Ferroptosis-relevant mechanisms and biomarkers for therapeutic interventions in traumatic brain injury. Histol. Histopathol. 2020, 18229. [Google Scholar] [CrossRef]
- Sagheddu, R.; Chiappalupi, S.; Salvadori, L.; Riuzzi, F.; Donato, R.; Sorci, G. Targeting RAGE as a potential therapeutic approach to Duchenne muscular dystrophy. Hum. Mol. Genet. 2018, 27, 3734–3746. [Google Scholar] [CrossRef]
- Tsoporis, J.N.; Mohammadzadeh, F.; Parker, T.G. Intracellular and Extracellular Effects of S100B in the Cardiovascular Response to Disease. Cardiovasc. Psychiatry Neurol. 2010, 2010, 206073. [Google Scholar] [CrossRef][Green Version]
- Pozdnyakov, N.; Goraczniak, R.; Margulis, A.; Duda, T.; Sharma, R.K.; Yoshida, A.; Sitaramayya, A. Structural and functional characterization of retinal calcium-dependent guanylate cyclase activator protein (CD-GCAP): Identity with S100beta protein. Biochemistry 1997, 36, 14159–14166. [Google Scholar] [CrossRef]
- Rambotti, M.G.; Giambanco, I.; Spreca, A.; Donato, R. S100B and S100A1 proteins in bovine retina:their calcium-dependent stimulation of a membrane-bound guanylate cyclase activity as investigated by ultracytochemistry. Neuroscience 1999, 92, 1089–1101. [Google Scholar] [CrossRef]
- Sitaramayya, A. Calcium-dependent activation of guanylate cyclase by S100b. Adv. Exp. Med. Biol. 2002, 514, 389–398. [Google Scholar] [CrossRef] [PubMed]
- Duda, T.; Koch, K.W.; Venkataraman, V.; Lange, C.; Beyermann, M.; Sharma, R.K. Ca(2+) sensor S100beta-modulated sites of membrane guanylate cyclase in the photoreceptor-bipolar synapse. EMBO J. 2002, 21, 2547–2556. [Google Scholar] [CrossRef] [PubMed][Green Version]
- Wen, J.; Stock, A.D.; Chalmers, S.A.; Putterman, C. The role of B cells and autoantibodies in neuropsychiatric lupus. Autoimmun. Rev. 2016, 15, 890–895. [Google Scholar] [CrossRef] [PubMed]
- Okazaki, K.; Obata, N.H.; Inoue, S.; Hidaka, H. S100 beta is a target protein of neurocalcin delta, an abundant isoform in glial cells. Biochem. J. 1995, 306 Pt 2, 551–555. [Google Scholar] [CrossRef]
- Viviano, J.; Wu, H.; Venkataraman, V. Evolutionary Interrelationships and Insights into Molecular Mechanisms of Functional Divergence: An Analysis of Neuronal Calcium Sensor Proteins. J. Phylogenetics Evol. Biol. 2013, 1. [Google Scholar] [CrossRef]
- Kodama, Y.; Hu, C.D. Bimolecular fluorescence complementation (BiFC): A 5-year update and future perspectives. Biotechniques 2012, 53, 285–298. [Google Scholar] [CrossRef]
- Kodama, Y.; Hu, C.D. Bimolecular fluorescence complementation (BiFC) analysis of protein-protein interaction: How to calculate signal-to-noise ratio. Methods Cell Biol. 2013, 113, 107–121. [Google Scholar] [CrossRef]
- Burgoyne, R.D. Neuronal calcium sensor proteins: Generating diversity in neuronal Ca2+ signalling. Nat. Rev. Neurosci. 2007, 8, 182–193. [Google Scholar] [CrossRef]
- O’Callaghan, D.W.; Ivings, L.; Weiss, J.L.; Ashby, M.C.; Tepikin, A.V.; Burgoyne, R.D. Differential use of myristoyl groups on neuronal calcium sensor proteins as a determinant of spatio-temporal aspects of Ca2+ signal transduction. J. Biol. Chem. 2002, 277, 14227–14237. [Google Scholar] [CrossRef]
- O’Callaghan, D.W.; Tepikin, A.V.; Burgoyne, R.D. Dynamics and calcium sensitivity of the Ca2+/myristoyl switch protein hippocalcin in living cells. J. Cell Biol. 2003, 163, 715–721. [Google Scholar] [CrossRef]
- Avezov, E.; Konno, T.; Zyryanova, A.; Chen, W.; Laine, R.; Crespillo-Casado, A.; Melo, E.P.; Ushioda, R.; Nagata, K.; Kaminski, C.F.; et al. Retarded PDI diffusion and a reductive shift in poise of the calcium depleted endoplasmic reticulum. BMC Biol. 2015, 13, 2. [Google Scholar] [CrossRef]
- Lai, P.; Yip, N.C.; Michelangeli, F. Regucalcin (RGN/SMP30) alters agonist- and thapsigargin-induced cytosolic [Ca2+] transients in cells by increasing SERCA Ca(2+)ATPase levels. FEBS Lett. 2011, 585, 2291–2294. [Google Scholar] [CrossRef]
- Ladant, D. Calcium and membrane binding properties of bovine neurocalcin delta expressed in Escherichia coli. J. Biol. Chem. 1995, 270, 3179–3185. [Google Scholar]
- Vijay-Kumar, S.; Kumar, V.D. Neurocalcin. Role in neuronal signaling. Methods Mol. Biol. 2002, 172, 261–279. [Google Scholar] [CrossRef]
- Zozulya, S.; Stryer, L. Calcium-myristoyl protein switch. Proc. Natl. Acad. Sci. USA 1992, 89, 11569–11573. [Google Scholar] [CrossRef]
- Uhlén, M.; Fagerberg, L.; Hallström, B.M.; Lindskog, C.; Oksvold, P.; Mardinoglu, A.; Sivertsson, Å.; Kampf, C.; Sjöstedt, E.; Asplund, A.; et al. Proteomics. Tissue-based map of the human proteome. Science 2015, 347, 1260419. [Google Scholar] [CrossRef]
- Venkataraman, V.; Duda, T.; Ravichandran, S.; Sharma, R.K. Neurocalcin delta modulation of ROS-GC1, a new model of Ca(2+) signaling. Biochemistry 2008, 47, 6590–6601. [Google Scholar] [CrossRef][Green Version]
- Wen, X.H.; Duda, T.; Pertzev, A.; Venkataraman, V.; Makino, C.L.; Sharma, R.K. S100B serves as a Ca(2+) sensor for ROS-GC1 guanylate cyclase in cones but not in rods of the murine retina. Cell. Physiol. Biochem. 2012, 29, 417–430. [Google Scholar] [CrossRef]
- Venkataraman, V.; Duda, T.; Vardi, N.; Koch, K.W.; Sharma, R.K. Calcium-modulated guanylate cyclase transduction machinery in the photoreceptor—Bipolar synaptic region. Biochemistry 2003, 42, 5640–5648. [Google Scholar] [CrossRef][Green Version]
- Venkataraman, V.; Duda, T.; Sharma, R.K. The alpha(2D/A)-adrenergic receptor-linked membrane guanylate cyclase: A new signal transduction system in the pineal gland. FEBS Lett. 1998, 427, 69–73. [Google Scholar] [CrossRef]
- Venkataraman, V.; Nagele, R.; Duda, T.; Sharma, R.K. Rod outer segment membrane guanylate cyclase type 1-linked stimulatory and inhibitory calcium signaling systems in the pineal gland: Biochemical, molecular, and immunohistochemical evidence. Biochemistry 2000, 39, 6042–6052. [Google Scholar] [CrossRef]
- Venkataraman, V.; Nagele, R.G. Calcium-sensitive ROS-GC1 signaling outside of photoreceptors: A common theme. Mol. Cell. Biochem. 2002, 230, 117–124. [Google Scholar] [CrossRef]
- Ivings, L.; Pennington, S.R.; Jenkins, R.; Weiss, J.L.; Burgoyne, R.D. Identification of Ca2+-dependent binding partners for the neuronal calcium sensor protein neurocalcin delta: Interaction with actin, clathrin and tubulin. Biochem. J. 2002, 363, 599–608. [Google Scholar] [CrossRef]
- Janzen, E.; Mendoza-Ferreira, N.; Hosseinibarkooie, S.; Schneider, S.; Hupperich, K.; Tschanz, T.; Grysko, V.; Riessland, M.; Hammerschmidt, M.; Rigo, F.; et al. CHP1 reduction ameliorates spinal muscular atrophy pathology by restoring calcineurin activity and endocytosis. Brain 2018, 141, 2343–2361. [Google Scholar] [CrossRef]
- Riessland, M.; Kaczmarek, A.; Schneider, S.; Swoboda, K.J.; Löhr, H.; Bradler, C.; Grysko, V.; Dimitriadi, M.; Hosseinibarkooie, S.; Torres-Benito, L.; et al. Neurocalcin Delta Suppression Protects against Spinal Muscular Atrophy in Humans and across Species by Restoring Impaired Endocytosis. Am. J. Hum. Genet. 2017, 100, 297–315. [Google Scholar] [CrossRef]
- Upadhyay, A.; Hosseinibarkooie, S.; Schneider, S.; Kaczmarek, A.; Torres-Benito, L.; Mendoza-Ferreira, N.; Overhoff, M.; Rombo, R.; Grysko, V.; Kye, M.J.; et al. Neurocalcin Delta Knockout Impairs Adult Neurogenesis Whereas Half Reduction Is Not Pathological. Front. Mol. Neurosci. 2019, 12, 19. [Google Scholar] [CrossRef]
- van Dieck, J.; Lum, J.K.; Teufel, D.P.; Fersht, A.R. S100 proteins interact with the N-terminal domain of MDM2. FEBS Lett. 2010, 584, 3269–3274. [Google Scholar] [CrossRef]
- Wilder, P.T.; Lin, J.; Bair, C.L.; Charpentier, T.H.; Yang, D.; Liriano, M.; Varney, K.M.; Lee, A.; Oppenheim, A.B.; Adhya, S.; et al. Recognition of the tumor suppressor protein p53 and other protein targets by the calcium-binding protein S100B. Biochim. Biophys. Acta 2006, 1763, 1284–1297. [Google Scholar] [CrossRef]
- Cristóvão, J.S.; Morris, V.K.; Cardoso, I.; Leal, S.S.; Martínez, J.; Botelho, H.M.; Göbl, C.; David, R.; Kierdorf, K.; Alemi, M.; et al. The neuronal S100B protein is a calcium-tuned suppressor of amyloid-β aggregation. Sci. Adv. 2018, 4, eaaq1702. [Google Scholar] [CrossRef]
- Kobayashi, M.; Hamanoue, M.; Masaki, T.; Furuta, Y.; Takamatsu, K. Hippocalcin mediates calcium-dependent translocation of brain-type creatine kinase (BB-CK) in hippocampal neurons. Biochem. Biophys. Res. Commun. 2012, 429, 142–147. [Google Scholar] [CrossRef] [PubMed]
- Markova, O.; Fitzgerald, D.; Stepanyuk, A.; Dovgan, A.; Cherkas, V.; Tepikin, A.; Burgoyne, R.D.; Belan, P. Hippocalcin signaling via site-specific translocation in hippocampal neurons. Neurosci. Lett. 2008, 442, 152–157. [Google Scholar] [CrossRef] [PubMed]
- Krishnan, A.; Viviano, J.; Morozov, Y.; Venkataraman, V. Single-column purification of the tag-free, recombinant form of the neuronal calcium sensor protein, hippocalcin expressed in Escherichia coli. Protein Expr. Purif. 2016, 123, 35–41. [Google Scholar] [CrossRef] [PubMed]
- Krishnan, A.; Duda, T.; Pertzev, A.; Kobayashi, M.; Takamatsu, K.; Sharma, R.K. Hippocalcin, new Ca(2+) sensor of a ROS-GC subfamily member, ONE-GC, membrane guanylate cyclase transduction system. Mol. Cell. Biochem. 2009, 325, 1–14. [Google Scholar] [CrossRef] [PubMed][Green Version]
- Krishnan, A.; Venkataraman, V.; Fik-Rymarkiewicz, E.; Duda, T.; Sharma, R.K. Structural, biochemical, and functional characterization of the calcium sensor neurocalcin delta in the inner retinal neurons and its linkage with the rod outer segment membrane guanylate cyclase transduction system. Biochemistry 2004, 43, 2708–2723. [Google Scholar] [CrossRef] [PubMed]




Publisher’s Note: MDPI stays neutral with regard to jurisdictional claims in published maps and institutional affiliations. |
© 2021 by the authors. Licensee MDPI, Basel, Switzerland. This article is an open access article distributed under the terms and conditions of the Creative Commons Attribution (CC BY) license (http://creativecommons.org/licenses/by/4.0/).
Share and Cite
Zhang, J.; Krishnan, A.; Wu, H.; Venkataraman, V. Calcium-Dependent Translocation of S100B Is Facilitated by Neurocalcin Delta. Molecules 2021, 26, 227. https://doi.org/10.3390/molecules26010227
Zhang J, Krishnan A, Wu H, Venkataraman V. Calcium-Dependent Translocation of S100B Is Facilitated by Neurocalcin Delta. Molecules. 2021; 26(1):227. https://doi.org/10.3390/molecules26010227
Chicago/Turabian StyleZhang, Jingyi, Anuradha Krishnan, Hao Wu, and Venkat Venkataraman. 2021. "Calcium-Dependent Translocation of S100B Is Facilitated by Neurocalcin Delta" Molecules 26, no. 1: 227. https://doi.org/10.3390/molecules26010227
APA StyleZhang, J., Krishnan, A., Wu, H., & Venkataraman, V. (2021). Calcium-Dependent Translocation of S100B Is Facilitated by Neurocalcin Delta. Molecules, 26(1), 227. https://doi.org/10.3390/molecules26010227
