Effects of Thymus vulgaris L., Cinnamomum verum J.Presl and Cymbopogon nardus (L.) Rendle Essential Oils in the Endotoxin-induced Acute Airway Inflammation Mouse Model
Abstract
1. Introduction
2. Results
2.1. Chemical Analysis of EOs
2.2. Respiratory Functions
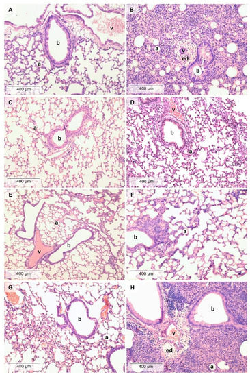
2.3. Lung Histopathological Evaluation
2.4. Myeloperoxidase (MPO) Activity
3. Discussion
4. Materials and Methods
4.1. EO Samples and the Gas Chromatographic Analysis of Their Composition
4.2. Animals
4.3. Induction of Acute Airway Inflammation and Groups of Animals
4.4. Pulmonary Function Measurement
4.5. Histopathological Assessment and Semiquantitative Scoring
4.6. Spectrophotometric Measurement of Myeloperoxidase (MPO) Activity
4.7. Statistical Analysis of Data
5. Conclusions
Supplementary Materials
Author Contributions
Funding
Conflicts of Interest
References
- WHO. The Top 10 Causes of Death. Available online: https://www.who.int/en/news-room/fact-sheets/detail/the-top-10-causes-of-death (accessed on 16 July 2020).
- Baser, K.H.C.; Buchbauer, G. Handbook of Essential Oils: Science, Technology, and Application; CRC Press (Taylor & Francis Group): Boca Raton, FL, USA, 2010. [Google Scholar]
- Faleiro, M.L.; Miguel, M.G. Use of essential oils and their components again multidrug-resistant bacteria. In Fighting Multidrug Resistance with Herbal Extracts, Essential Oils and their Components; Rai, M.K., Kon, K.V., Eds.; Elsevier: San Diego, CA, USA, 2013. [Google Scholar]
- Jäger, W.; Nasel, B.; Nasel, C.; Binder, R.; Stimpfi, T.; Vycudilik, W.; Bucbauer, G. Pharmacokinetic studies of the fragrance compound 1, 8-cineol in humans during inhalation. Chem. Senses 1996, 21, 477–480. [Google Scholar] [CrossRef] [PubMed]
- Horváth Gy Ács, K. Essential oils in the treatment of respiratory tract diseases highlighting their role in bacterial infections and their anti-inflammatory action: A review. Flavour Fragr. J. 2015, 30, 331–341. [Google Scholar] [CrossRef] [PubMed]
- Kenia, P.; Houghton, T.; Beardsmore, C. Does inhaling menthol affect nasal patency or cough? Pediatr. Pulmonol. 2008, 43, 532–537. [Google Scholar] [CrossRef]
- Kim, B.H.; Lee, Y.G.; Lee, J.; Lee, J.Y.; Cho, J.Y. Regulatory effect of cinnamaldehyde on monocyte/macrophage-mediated inflammatory responses. Mediators Inflamm. 2010, 2010, 529359. [Google Scholar] [CrossRef] [PubMed]
- Bachiega, T.F.; Sforcin, J.M. Lemongrass and citral effect on cytokines production by murine macrophages. J. Ethnopharmacol. 2011, 137, 909–913. [Google Scholar] [CrossRef]
- Fachini-Queiroz, F.C.; Kummer, R.; Estevao-Silva, C.F.; de Barros Carvalho, M.D.; Cunha, J.M.; Grespan, R.; Bersani-Amado, C.A.; Cuman RK, N. Effects of thymol and carvacrol, constituents of Thymus vulgaris L. essential oil, on the inflammatory response. Evid.-Based Complement. Alternat. Med. 2012, 2012, 657026. [Google Scholar] [CrossRef]
- Chen, L.; Zhao, L.; Zhang, C.; Lan, Z. Protective effect of p-cymene on lipopolysaccharide-induced acute lung injury in mice. Inflammation 2014, 37, 358–364. [Google Scholar] [CrossRef]
- Zhong, W.; Chi, G.; Jiang, L.; Soromou, L.W.; Chen, N.; Hou, M.; Guo, W.; Deng, X.; Feng, H. p-Cymene modulates in vitro and in vivo cytokine production by inhibiting MAPK and NF-κB activation. Inflammation 2013, 36, 529–537. [Google Scholar] [CrossRef]
- Zhou, E.; Fu, Y.; Wei, Z.; Yu, Y.; Zhang, X.; Yang, Z. Thymol attenuates allergic airway inflammation in ovalbumin (OVA)-induced mouse asthma. Fitoterapia 2014, 96, 131–137. [Google Scholar] [CrossRef]
- Shen, Y.; Sun, Z.; Gua, X. Citral inhibits lipopolysaccharide-induced acute lung injury by activating PPAR-γ. Eur. J. Pharmacol. 2015, 747, 45–51. [Google Scholar] [CrossRef]
- Mendes, S.J.F.; Sousa, F.I.A.B.; Pereira, D.M.S.; Ferro, T.A.F.; Pereira, I.C.P.; Silva, B.L.R.; Pinheriro, A.J.M.C.R.; Mouchrek, A.Q.S.; Monteiro-Neto, V.; Costa, S.K.P.; et al. Cinnamaldehyde modulates LPS-induced systemic inflammatory response syndrome through TRPA1-dependent and independent mechanisms. Int. Immunopharmacol. 2016, 34, 60–70. [Google Scholar] [CrossRef] [PubMed]
- Jiang, K.; Zhang, T.; Yin, N.; Ma, X.; Zhao, G.; Wu, H.; Qiu, C.; Deng, G. Geraniol alleviates LPS-induced acute lung injury in mice via inhibiting inflammation and apoptosis. Oncotarget 2017, 8, 71038–71053. [Google Scholar] [CrossRef] [PubMed]
- Salehi, B.; Mishra, A.P.; Shukla, I.; Sharifi-Rad, M.; del Mar Conteras, M.; Segura-Carretero, A.; Fathi, H.; Nasrabadi, N.N.; Kobarrfard, F.; Sharifi-Rad, J. Thymol, thyme, and other plant sources: Health and potential uses. Phytother. Res. 2018, 32, 1688–1706. [Google Scholar] [CrossRef] [PubMed]
- Satyal, P.; Murray, B.L.; McFeeters, R.L.; Setzer, W.N. Essential oil characterization of Thymus vulgaris from various geographical locations. Foods 2016, 5, 70. [Google Scholar] [CrossRef] [PubMed]
- ESCOP. ESCOP Monographs–The Scientific Foundation for Herbal Medicinal Products; European Scientific Cooperative on Phytotherapy: Stuttgart, Germany, 2003; pp. 92–97. [Google Scholar]
- Clement, Y.N.; Baksh-Comeau, Y.S.; Seaforth, C.E. An ethnobotanical survey of medicinal plants in Trinidad. J. Ethnobiol. Ethnomed. 2015, 11, 67. [Google Scholar] [CrossRef] [PubMed]
- Suroowan, S.; Mahomoodally, M.F. A comparative ethnopharmacological analysis of traditional medicine used against respiratory tract diseases in Mauritius. J. Ethnopharmacol. 2015, 177, 61–80. [Google Scholar] [CrossRef]
- Huo, M.; Cui, X.; Xue, J.; Chi, G.; Gao, R.; Deng, X.; Guan, S.; Wei, J.; Soromou, L.W.; Feng, H.; et al. Anti-inflammatory effects of linalool in RAW 264.7 macrophages and lipopolysaccharide-induced lung injury model. J. Surg. Res. 2012, 180, E47–E54. [Google Scholar] [CrossRef]
- Helyes, Z.; Hajna, Z. Endotoxin-induced airway inflammation and asthma models. In TRP Channels in Drug Discovery; Methods in Pharmacology and Toxicology; Szállási, Á., Bíró, T., Eds.; Springer Sciences+Business Media: Berlin, Germany, 2012; pp. 301–342. [Google Scholar]
- Seibel, J.; Pergola, C.; Werz, O.; Kryshen, K.; Wosikowski, K.; Lehner, M.D.; Haunschild, J. Bronchipret® syrup containing thyme and ivy extracts suppresses bronchoalveolar inflammation and goblet cell hyperplasia in experimental bronchoalveolitis. Phytomedicine 2015, 22, 1172–1177. [Google Scholar] [CrossRef]
- Rao, Z.; Xu, F.; Wen, T.; Wang, F.; Sang, W.; Zeng, N. Protective effects of essential oils from Rimulus cinnamon on endotoxin poisoning mice. Biomed. Pharmacother. 2018, 101, 304–310. [Google Scholar] [CrossRef]
- Abe, S.; Maruyama, N.; Hayama, K.; Ishibashi, H.; Inoue, S.; Oshima, H.; Yamaguchi, H. Suppression of tumor necrosis factor-alpha-induced neutrophil adherence responses by essential oils. Mediat. Inflamm. 2003, 12, 323–328. [Google Scholar] [CrossRef]
- Katsukawa, M.; Nakata, R.; Takizawa, Y.; Hori, K.; Takashi, S.; Inoue, H. Citral, a component of lemongrass oil, activates PPARα and γ and suppresses COX-2 expression. Biochim. Biophys. Acta 2010, 1801, 1214–1220. [Google Scholar] [CrossRef] [PubMed]
- Tsai, M.L.; Lin, C.D.; Khoo, K.A.; Wang, M.Y.; Kuan, T.K.; Lin, W.C.; Zhang, Y.N.; Wang, Y.Y. Composition and bioactivity of essential oil from Citrus grandis (L.) Osbeck ‘Mato Peiyu’ leaf. Molecules 2017, 22, 2154. [Google Scholar] [CrossRef] [PubMed]
- Larsen, S.T.; Hougaard, K.S.; Hammer, M.; Alarie, Y.; Wolkoff, P.; Clausen, P.A.; Wilkins, C.K.; Nielsen, G.D. Effects of R-(+)- and S-(–)-limonene on the respiratory tract in mice. Hum. Exp. Toxicol. 2000, 19, 457–466. [Google Scholar] [CrossRef] [PubMed]
- Bastos, V.P.D.; Brito, T.S.; Lima, F.J.B.; Pinho, J.P.M.; Lahlou, S.; Matos, F.J.A.; Santos, A.A.; Magalhaes, P.J.C. Inhibitory effect of 1,8-cineole on guinea-pig airway challenged with ovalbumin involves a preferential action on electromechanical coupling. Clin. Exp. Pharmacol. Physiol. 2009, 36, 1120–1126. [Google Scholar] [CrossRef]
- Nascimento, N.R.F.; Refosco, R.M.D.C.; Vasconcelos, E.C.F.; Kerntopf, M.R.; Santos, C.F.; Batista, F.J.A.; Sousa, C.M.D.; Fonteles, M.C. 1,8-Cineole induces relaxation in rat and guinea-pig airway smooth muscle. J. Pharm. Pharmacol. 2009, 61, 361–366. [Google Scholar] [CrossRef]
- Juergens, U.R.; Dethlefsen, U.; Steinkamp, G.; Gillisen, A.; Repges, R.; Vetter, H. Anti-in£ammatory activity of1.8-cineol (eucalyptol) in bronchial asthma: A double-blind placebo-controlled trial. Respir. Med. 2003, 97, 250–256. [Google Scholar] [CrossRef]
- Yu, P.J.; Wan, L.M.; Wan, S.H.; Chen, W.Y.; Xie, H.; Meng, D.M.; Zhang, J.J.; Xiao, X.L. Standardized myrtol attenuates lipopolysaccharide induced acute lung injury in mice. Pharm. Biol. 2016, 54, 3211–3216. [Google Scholar] [CrossRef]
- Buru, A.S.; Pichika, M.R.; Neela, V.; Mohandas, K. In vitro antibacterial effects of Cinnamomum extracts on common bacteria found in wound infections with emphasis on methicillin-resistant Staphylococcus aureus. J. Ethnopharmacol. 2014, 153, 587–595. [Google Scholar] [CrossRef]
- Burt, S. Essential oils: Antibacterial properties and potential applications in foods–a review. Int. J. Food Microbiol. 2004, 94, 223–253. [Google Scholar] [CrossRef]
- Celik, A.; Aydinlik, N.; Arslan, I. Phytochemical constituents and inhibitory activity towards methicillin-resistant Staphylococcus aureus strains on Eryngium species (Apiaceae). Chem. Biodivers. 2011, 8, 454–459. [Google Scholar] [CrossRef]
- Stamenic, M.; Vulic, J.; Dijlas, M.; Tadic, V.; Petrovic, S.; Zizovic, I. Free-radical scavenging activity and antibacterial impact of Greek oregano isolates obtained by SFE. Food Chem. 2014, 165, 307–315. [Google Scholar] [CrossRef] [PubMed]
- Tripathi, P.; Dubey, N.K. Exploitation of natural products as an alternative strategy to control postharvest fungal rotting of fruit and vegetables. Postharvest Biol. Technol. 2004, 32, 235–245. [Google Scholar] [CrossRef]
- Ács, K.; Bencsik, T.; Böszörményi, A.; Kocsis, B.; Horváth, G. Essential oils and their vapors as potential antibacterial agents against respiratory tract pathogens. Nat. Prod. Commun. 2016, 11, 1709–1712. [Google Scholar] [CrossRef] [PubMed]
- Mihara, S.; Shibamoto, T. The role of flavor and fragrance chemicals in TRPA1 (transient receptor potential cation channel, member A1) activity associated with allergies. Allergy Asthma Clin. Immunol. 2015, 11, 11. [Google Scholar] [CrossRef]
- Premkumar, L.S. Transient receptor potential channels as targets for phytochemicals. ACS Chem. Neurosci. 2014, 5, 1117–1130. [Google Scholar] [CrossRef]
- Nassenstein, C.; Kwong, K.; Taylor-Clark, T.; Kollarik, M.; MacGlashan, D.M.; Braun, A.; Undem, B.J. Expression and function of the ion channel TRPA1 in vagal afferent nerves innervating mouse lungs. J. Physiol. 2008, 586, 1595–1604. [Google Scholar] [CrossRef]
- McGarvey, L.P.; Butler, C.A.; Stokesberry, S.; Polley, L.; McQuaid, S.; Abdullah, H.; Ashraf, S.; McGahon, M.K.; Curtis, T.M.; Arron, J.; et al. Increased expression of bronchial epithelial transient receptor potential vanilloid 1 channels in patients with severe asthma. J. Allergy Clin. Immunol. 2014, 133, 704–712. [Google Scholar] [CrossRef]
- Nassini, R.; Pedretti, P.; Moretto, N.; Fusi, C.; Carnini, C.; Facchinetti, F.; Viscomi, A.R.; Pisano, A.R.; Stokesberry, S.; Brunmark, C.; et al. Transient receptor potential ankyrin 1 channel localized to non-neuronal airway cells promotes non-neurogenic inflammation. PLOS ONE 2012, 7, e42454. [Google Scholar] [CrossRef]
- Hajna, Z.; Csekő, K.; Kemény, Á.; Kereskai, L.; Kiss, T.; Perkecz, A.; Szitter, I.; Kocsis, B.; Pintér, E.; Helyes, Z. Complex regulatory role of the TRPA1 receptor in acute and chronic airway inflammation mouse models. Int. J. Mol. Sci. 2020, 21, 4109. [Google Scholar] [CrossRef]
- Elekes, K.; Helyes, Z.; Németh, J.; Sándor, K.; Pozsgai, G.; Kereskai, L.; Börzsei, R.; Pintér, E.; Szabó, Á.; Szolcsányi, J. Role of capsaicin-sensitive afferents and sensory neuropeptides in endotoxin-induced airway inflammation and consequent bronchial hyperreactivity in the mouse. Regul. Pept. 2007, 141, 44–54. [Google Scholar] [CrossRef]
- Helyes, Z.; Elekes, K.; Németh, J.; Pozsgai, G.; Sándor, K.; Kereskai, L.; Börzsei, R.; Pintér, E.; Szab, Á.; Szolcsányi, J. Role of transient receptor potential vanilloid 1 receptors in endotoxin-induced airway inflammation in the mouse. Am. J. Physiol. Lung Cell. Mol. Physiol. 2007, 292, 1173–1181. [Google Scholar] [CrossRef] [PubMed]
- Ács, K.; Balázs, V.L.; Kocsis, B.; Bencsik, T.; Böszörményi, A.; Horváth, G. Antibacterial activity evaluation of selected essential oils in liquid and vapor phase on respiratory tract pathogens. BMC Complement. Altern. Med. 2018, 18, 227. [Google Scholar] [CrossRef] [PubMed]
- Helyes, Z.; Pintér, E.; Sándor, K.; Elekes, K.; Bánvölgyi, A.; Keszhelyi, D.; Szőke, E.; Tóth, D.M.; Sándor, Z.; Kereskai, L.; et al. Impaired defense mechanism against inflammation, hyperalgesia, and airway hyperreactivity in somatostatin 4 receptor gene-deleted mice. Proc. Nat. Acad. Sci. USA 2009, 106, 13088–13093. [Google Scholar] [CrossRef]
- Helyes, Z.; Elekes, K.; Sándor, K.; Szitter, I.; Kereskai, I.; Pintér, E.; Kemény, Á.; Szolcsányi, J.; McLaughlin, L.; Vasiliou, S.; et al. Involvement of preprotachykinin A gene-encoded peptides and the neurokinin 1 receptor in endotoxin-induced murine airway inflammation. Neuropeptides 2010, 44, 399–406. [Google Scholar] [CrossRef] [PubMed]
- Zeldin, D.C.; Wohlford-Lenane, C.; Chulada, P.; Bradbury, J.A.; Scarborough, P.E.; Roggli, V.; Langenbach, R.; Schwarz, D.A. Airway inflammation and responsiveness in prostaglandin H synthase-deficient mice exposed to bacterial lipopolysaccharide. Am. J. Respir. Cell Mol. Biol. 2001, 25, 457–465. [Google Scholar] [CrossRef] [PubMed]
Sample Availability: Samples of the compounds are not available from the authors. |





| Compound | tR (min) | Thyme (%) | Cinnamon (%) | Lemongrass (%) |
|---|---|---|---|---|
| α-Pinene | 5.8 | 0.9 | 0.9 | − |
| Camphene | 6.1 | 0.9 | − | − |
| β−Myrcene | 6.3 | 0.7 | − | |
| β−Pinene | 6.7 | 1.4 | 0.5 | − |
| α−Terpinene | 7.0 | 2.2 | − | − |
| o-Cymene | 7.0 | 0.3 | ||
| p-Cymene | 7.4 | 22.1 | 1.2 | − |
| Limonene | 7.5 | − | 1.4 | 3.6 |
| 1,8-Cineole | 7.9 | 9.8 | 2.1 | − |
| γ-Terpinene | 8.6 | 0.3 | − | − |
| Linalool | 10.2 | 5.1 | 3.9 | − |
| Citronellal | 10.4 | − | − | 36.2 |
| Terpinen-4-ol | 11.7 | 0.6 | - | − |
| α-Terpineole | 11.8 | 0.2 | 1.6 | − |
| Citronellol | 11.9 | − | − | 13.6 |
| Camphore | 12.1 | 0.5 | − | − |
| Neral | 12.2 | − | − | 1.0 |
| Geraniol | 12.4 | − | − | 25.3 |
| Borneol | 12.4 | 1.5 | − | − |
| Geranial | 12.8 | − | − | 2.2 |
| Cinnamaldehyde | 12.9 | − | 74.0 | − |
| Anethol | 13.1 | − | 4.5 | − |
| Thymol | 13.2 | 46.3 | − | − |
| Carvacrol | 13.3 | 3.2 | − | − |
| Citronellyl acetate | 14.1 | − | − | 2.3 |
| Eugenol | 14.2 | − | 2.7 | − |
| Geranyl acetate | 14.5 | − | − | 2.6 |
| β-Elemene | 14.7 | 0.4 | − | 2.9 |
| β-Caryophyllene | 15.4 | 2.5 | 1.7 | − |
| α-Humulene | 15.6 | 0.5 | − | − |
| β-Cubebene | 15.7 | − | − | 2.9 |
| Cinnamyl acetate | 15.8 | − | 5.3 | − |
| α-Muurolene | 16.6 | − | − | 1.6 |
| β-Cadinene | 16.9 | − | − | 3.2 |
| Elemol | 17.4 | − | − | 2.4 |
| Caryophyllene oxide | 18.0 | 0.5 | − | − |
| Eudesmol | 18.3 | − | − | 2.3 |
| Total | 99.5 | 99.8 | 99.8 |
© 2020 by the authors. Licensee MDPI, Basel, Switzerland. This article is an open access article distributed under the terms and conditions of the Creative Commons Attribution (CC BY) license (http://creativecommons.org/licenses/by/4.0/).
Share and Cite
Csikós, E.; Csekő, K.; Ashraf, A.R.; Kemény, Á.; Kereskai, L.; Kocsis, B.; Böszörményi, A.; Helyes, Z.; Horváth, G. Effects of Thymus vulgaris L., Cinnamomum verum J.Presl and Cymbopogon nardus (L.) Rendle Essential Oils in the Endotoxin-induced Acute Airway Inflammation Mouse Model. Molecules 2020, 25, 3553. https://doi.org/10.3390/molecules25153553
Csikós E, Csekő K, Ashraf AR, Kemény Á, Kereskai L, Kocsis B, Böszörményi A, Helyes Z, Horváth G. Effects of Thymus vulgaris L., Cinnamomum verum J.Presl and Cymbopogon nardus (L.) Rendle Essential Oils in the Endotoxin-induced Acute Airway Inflammation Mouse Model. Molecules. 2020; 25(15):3553. https://doi.org/10.3390/molecules25153553
Chicago/Turabian StyleCsikós, Eszter, Kata Csekő, Amir Reza Ashraf, Ágnes Kemény, László Kereskai, Béla Kocsis, Andrea Böszörményi, Zsuzsanna Helyes, and Györgyi Horváth. 2020. "Effects of Thymus vulgaris L., Cinnamomum verum J.Presl and Cymbopogon nardus (L.) Rendle Essential Oils in the Endotoxin-induced Acute Airway Inflammation Mouse Model" Molecules 25, no. 15: 3553. https://doi.org/10.3390/molecules25153553
APA StyleCsikós, E., Csekő, K., Ashraf, A. R., Kemény, Á., Kereskai, L., Kocsis, B., Böszörményi, A., Helyes, Z., & Horváth, G. (2020). Effects of Thymus vulgaris L., Cinnamomum verum J.Presl and Cymbopogon nardus (L.) Rendle Essential Oils in the Endotoxin-induced Acute Airway Inflammation Mouse Model. Molecules, 25(15), 3553. https://doi.org/10.3390/molecules25153553

