Effects of Ultrasonic-Assisted Extraction on the Physicochemical Properties of Different Walnut Proteins
Abstract
1. Introduction
2. Materials and Methods
2.1. Materials
2.2. Ultrasonic-Assisted Extraction of Walnut Proteins
2.3. Determination of Ultrasonic Time and Power Output
2.4. Effect of Ultrasonic-Assisted Extraction on Structural Properties
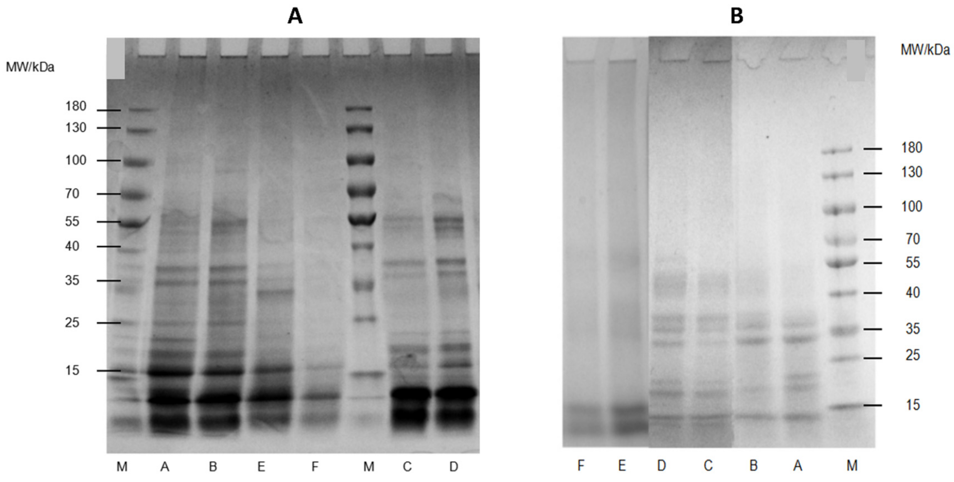
2.4.1. SDS-PAGE
2.4.2. Secondary Structure
2.4.3. Surface Hydrophobicity
2.4.4. Contents of Total and Surface Free Sulfhydryl
2.4.5. Intrinsic Fluorescence
2.4.6. Particle Size Distribution
2.4.7. Scanning Electron Microscopy
2.5. Effect of Ultrasonic-Assisted Extraction on Functional Properties
2.5.1. Protein Solubility
2.5.2. Emulsifying Activity (EA) and Emulsion Stability (ES)
2.5.3. Foaming Capacity (FC) and Foam Stability (FS)
2.6. Statistical Analysis
3. Results and Discussion
3.1. Determination of Conditions for Ultrasonic-Assisted Extraction
3.2. Effect of Ultrasonic-Assisted Extraction on Structural Properties
3.2.1. SDS-PAGE
3.2.2. Secondary Structure
3.2.3. Surface Hydrophobicity
3.2.4. Total and Surface Free Sulfhydryl
3.2.5. Intrinsic Fluorescence
3.2.6. Particle Size Distribution
3.2.7. Scanning Electron Microscopy
3.3. Effect of Ultrasound-Assisted Extraction on the Functional Properties
3.3.1. Solubility Property
3.3.2. Emulsifying Property
3.3.3. Foaming Property
4. Conclusions
Author Contributions
Funding
Conflicts of Interest
References
- Abbey, M.; Noakes, M.; Belling, G.B.; Nestel, P.J. Partial replacement of saturated fatty acids with almonds or walnuts lowers total plasma cholesterol and low-density-lipoprotein cholesterol. Am. J. Clin. Nutr. 1994, 59, 995–999. [Google Scholar] [CrossRef] [PubMed]
- Joseph, J.A.; Shukitt-Hale, B.; Willis, L.M. Grape juice, berries, and walnuts affect brain aging and behavior. J. Nutr. 2009, 139, 1813–1817. [Google Scholar] [CrossRef] [PubMed]
- Vanhanen, L.P.; Savage, G.P. The use of peroxide value as a measure of quality for walnut flour stored at five different temperatures using three different types of packaging. Food Chem. 2006, 99, 64–69. [Google Scholar] [CrossRef]
- Crews, C.; Hough, P.; Godward, J.; Brereton, P.; Lees, M.; Guiet, S.; Winkelmann, W. Study of the main constituents of some authentic hazelnut oils. J. Agric. Food Chem. 2005, 53, 4843–4852. [Google Scholar] [CrossRef]
- Anderson, K.J.; Teuber, S.S.; Gobeille, A.; Cremin, P.; Waterhouse, A.L.; Steinberg, F.M. Walnut polyphenolics inhibit in vitro human plasma and LDL oxidation. J. Nutr. 2001, 131, 2837–2842. [Google Scholar] [CrossRef]
- Hintz, H.F. Nuts to you-Walnuts, that is. J. Equine Vet. Sci. 2002, 22, 325. [Google Scholar] [CrossRef]
- Savage, G.P. Chemical composition of walnuts (Juglans regia L.) grown in New Zealand. Plant Foods Hum. Nutr. 2001, 56, 75–82. [Google Scholar] [CrossRef]
- Chen, H.; Zhao, M.; Lin, L.; Wang, J.; Sun-Waterhouse, D.; Dong, Y.; Zhuang, M.; Su, G. Identification of antioxidative peptides from defatted walnut meal hydrolysate with potential for improving learning and memory. Food Res. Int. 2015, 78, 216–223. [Google Scholar] [CrossRef]
- Sze-Tao, K.W.C.; Sathe, S.K. Walnuts (Juglans regia L): Proximate composition, protein solubility, protein amino acid composition and protein in vitro digestibility. J. Sci. Food Agric. 2000, 80, 1393–1401. [Google Scholar] [CrossRef]
- Mason, T.J.; Paniwnyk, L.; Lorimer, J.P. The uses of ultrasound in food technology. Ultrason. Sonochem. 1996, 3, 253–260. [Google Scholar] [CrossRef]
- Soria, A.C.; Villamiel, M. Effect of ultrasound on the technological properties and bioactivity of food: A review. Trends Food Sci. Technol. 2010, 21, 323–331. [Google Scholar] [CrossRef]
- Leong, T.; Wooster, T.; Kentish, S.; Ashokkumar, M. Minimising oil droplet size using ultrasonic emulsification. Ultrason. Sonochem. 2009, 16, 721–727. [Google Scholar] [CrossRef] [PubMed]
- Valero, M.; Recrosio, N.; Saura, D.; Muñoz, N.; Martí, N.; Lizama, V. Effects of ultrasonic treatments in orange juice processing. J. Food Eng. 2007, 80, 509–516. [Google Scholar] [CrossRef]
- Lv, W.; Hu, T.; Taha, A.; Wang, Z.; Xu, X.; Pan, S.; Hu, H. Lipo-dipeptide as an Emulsifier: Performance and Possible Mechanism. J. Agric. Food Chem. 2019, 67, 6377–6386. [Google Scholar] [CrossRef] [PubMed]
- Taha, A.; Ahmed, E.; Hu, T.; Xu, X.; Pan, S.; Hu, H. Effects of different ionic strengths on the physicochemical properties of plant and animal proteins-stabilized emulsions fabricated using ultrasound emulsification. Ultrason. Sonochem. 2019, 58, 104627. [Google Scholar] [CrossRef]
- Taha, A.; Hu, T.; Zhang, Z.; Bakry, A.M.; Khalifa, I.; Pan, S.; Hu, H. Effect of different oils and ultrasound emulsification conditions on the physicochemical properties of emulsions stabilized by soy protein isolate. Ultrason. Sonochem. 2018, 49, 283–293. [Google Scholar] [CrossRef]
- Shirsath, S.; Sonawane, S.; Gogate, P. Intensification of extraction of natural products using ultrasonic irradiations—A review of current status. Chem. Eng. Process Intensif. 2012, 53, 10–23. [Google Scholar] [CrossRef]
- Li, K.X.; Ma, H.L.; Li, S.J.; Zhang, C.S.; Dai, C.H. Effect of Ultrasound on Alkali Extraction Protein from Rice Dreg Flour. J. Food Process Eng. 2017, 40, 12377. [Google Scholar] [CrossRef]
- He, D.L.; Zhang, Z.J.; Li, H.Z.; Xia, Y.Y.; Li, X.J.; Chen, T. Optimizing functional properties of perilla protein isolate using the response surface methodology. Food Sci. Technol. 2018, 38, 348–355. [Google Scholar] [CrossRef]
- Karki, B.; Lamsal, B.P.; Jung, S.; van Leeuwen, J.H.; Pometto, A.L., III; Grewell, D.; Khanal, S.K. Enhancing protein and sugar release from defatted soy flakes using ultrasound technology. J. Food Eng. 2010, 96, 270–278. [Google Scholar] [CrossRef]
- Kim, H.K.; Kim, Y.H.; Kim, Y.J.; Park, H.J.; Lee, N.H. Effects of ultrasonic treatment on collagen extraction from skins of the sea bass Lateolabrax japonicus. Fish. Sci. 2012, 78, 485–490. [Google Scholar] [CrossRef]
- Goula, A.M. Ultrasound-assisted extraction of pomegranate seed oil-Kinetic modeling. J. Food Eng. 2013, 117, 492–498. [Google Scholar] [CrossRef]
- Balachandran, S.; Kentish, S.; Mawson, R.; Ashokkumar, M. Ultrasonic enhancement of the supercritical extraction from ginger. Ultrason. Sonochem. 2006, 13, 471–479. [Google Scholar] [CrossRef] [PubMed]
- Ji, J.-b.; Lu, X.-h.; Cai, M.-q.; Xu, Z.-c. Improvement of leaching process of Geniposide with ultrasound. Ultrason. Sonochem. 2006, 13, 455–462. [Google Scholar] [CrossRef] [PubMed]
- Krešić, G.; Lelas, V.; Jambrak, A.R.; Herceg, Z.; Brnčić, S.R. Influence of novel food processing technologies on the rheological and thermophysical properties of whey proteins. J. Food Eng. 2008, 87, 64–73. [Google Scholar] [CrossRef]
- Madadlou, A.; Emam-Djomeh, Z.; Mousavi, M.E.; Mohamadifar, M.; Ehsani, M. Acid-induced gelation behavior of sonicated casein solutions. Ultrason. Sonochem. 2010, 17, 153–158. [Google Scholar] [CrossRef]
- Madadlou, A.; Mousavi, M.E.; Emam-Djomeh, Z.; Ehsani, M.; Sheehan, D. Comparison of pH-dependent sonodisruption of re-assembled casein micelles by 35 and 130 kHz ultrasounds. J. Food Eng. 2009, 95, 505–509. [Google Scholar] [CrossRef]
- Zisu, B.; Bhaskaracharya, R.; Kentish, S.; Ashokkumar, M. Ultrasonic processing of dairy systems in large scale reactors. Ultrason. Sonochem. 2010, 17, 1075–1081. [Google Scholar] [CrossRef]
- Wolf, W.J. Soybean Proteins-Their Functional, Chemical, and Physical Properties. J. Agric. Food Chem. 1970, 18, 969–976. [Google Scholar] [CrossRef]
- Mao, X.; Hua, Y.; Chen, G. Amino acid composition, molecular weight distribution and gel electrophoresis of walnut (Juglans regia L.) proteins and protein fractionations. Int. J. Mol. Sci. 2014, 15, 2003–2014. [Google Scholar] [CrossRef]
- Bradford, M.M. A rapid and sensitive method for the quantitation of microgram quantities of protein utilizing the principle of protein-dye binding. Anal. Biochem. 1976, 72, 248–254. [Google Scholar] [CrossRef]
- Horwitz, W. Protein (crude) in Nuts and Nut Products. Improved Kjeldahl Method (AOAC Official Method 950.48). In Officials Methods of Analysis of AOAC International, 17th ed.; AOAC International: Gaithersburg, MD, USA, 2000. [Google Scholar]
- Koh, L.L.A.; Chandrapala, J.; Zisu, B.; Martin, G.J.; Kentish, S.E.; Ashokkumar, M. A comparison of the effectiveness of sonication, high shear mixing and homogenisation on improving the heat stability of whey protein solutions. Food Bioprocess Technol. 2014, 7, 556–566. [Google Scholar] [CrossRef]
- Huang, Y.; Hua, Y.; Qiu, A. Soybean protein aggregation induced by lipoxygenase catalyzed linoleic acid oxidation. Food Res. Int. 2006, 39, 240–249. [Google Scholar] [CrossRef]
- Laemmli, U.K. Cleavage of structural proteins during the assembly of the head of bacteriophage T4. Nature 1970, 227, 680. [Google Scholar] [CrossRef] [PubMed]
- Zhu, Z.; Zhu, W.; Yi, J.; Liu, N.; Cao, Y.; Lu, J.; Decker, E.A.; McClements, D.J. Effects of sonication on the physicochemical and functional properties of walnut protein isolate. Food Res. Int. 2018, 106, 853–861. [Google Scholar] [CrossRef]
- Hu, H.; Wu, J.; Li-Chan, E.C.; Zhu, L.; Zhang, F.; Xu, X.; Fan, G.; Wang, L.; Huang, X.; Pan, S. Effects of ultrasound on structural and physical properties of soy protein isolate (SPI) dispersions. Food Hydrocoll. 2013, 30, 647–655. [Google Scholar] [CrossRef]
- Malik, M.A.; Sharma, H.K.; Saini, C.S. High intensity ultrasound treatment of protein isolate extracted from dephenolized sunflower meal: Effect on physicochemical and functional properties. Ultrason. Sonochem. 2017, 39, 511–519. [Google Scholar] [CrossRef]
- Shimada, K.; Cheftel, J.C. Determination of sulfhydryl groups and disulfide bonds in heat-induced gels of soy protein isolate. J. Agric. Food Chem. 1988, 36, 147–153. [Google Scholar] [CrossRef]
- Zhao, G.; Liu, Y.; Zhao, M.; Ren, J.; Yang, B. Enzymatic hydrolysis and their effects on conformational and functional properties of peanut protein isolate. Food Chem. 2011, 127, 1438–1443. [Google Scholar] [CrossRef]
- Hu, H.; Cheung, I.W.; Pan, S.; Li-Chan, E.C. Effect of high intensity ultrasound on physicochemical and functional properties of aggregated soybean β-conglycinin and glycinin. Food Hydrocoll. 2015, 45, 102–110. [Google Scholar] [CrossRef]
- Tsumura, K.; Saito, T.; Tsuge, K.; Ashida, H.; Kugimiya, W.; Inouye, K. Functional properties of soy protein hydrolysates obtained by selective proteolysis. LWT Food Sci. Technol. 2005, 38, 255–261. [Google Scholar] [CrossRef]
- Jain, S.; Anal, A.K. Optimization of extraction of functional protein hydrolysates from chicken egg shell membrane (ESM) by ultrasonic assisted extraction (UAE) and enzymatic hydrolysis. LWT Food Sci. Technol. 2016, 69, 295–302. [Google Scholar] [CrossRef]
- Chittapalo, T.; Noomhorm, A. Ultrasonic assisted alkali extraction of protein from defatted rice bran and properties of the protein concentrates. Int. J. Food Sci. Technol. 2009, 44, 1843–1849. [Google Scholar] [CrossRef]
- Sun, L.-H.; Lv, S.-W.; He, L.-Y. Comparison of Different Physical Technique-Assisted Alkali Methods for the Extraction of Rice Bran Protein and its Characterizations. Int. J. Food Eng. 2017, 13. [Google Scholar] [CrossRef]
- O’sullivan, J.; Murray, B.; Flynn, C.; Norton, I. The effect of ultrasound treatment on the structural, physical and emulsifying properties of animal and vegetable proteins. Food Hydrocoll. 2016, 53, 141–154. [Google Scholar] [CrossRef]
- O’Sullivan, J.; Park, M.; Beevers, J. The effect of ultrasound upon the physicochemical and emulsifying properties of wheat and soy protein isolates. J. Cereal Sci. 2016, 69, 77–84. [Google Scholar] [CrossRef]
- Higuera-Barraza, O.; Torres-Arreola, W.; Ezquerra-Brauer, J.; Cinco-Moroyoqui, F.; Figueroa, J.R.; Marquez-Ríos, E. Effect of pulsed ultrasound on the physicochemical characteristics and emulsifying properties of squid (Dosidicus gigas) mantle proteins. Ultrason. Sonochem. 2017, 38, 829–834. [Google Scholar] [CrossRef]
- Chandrapala, J.; Zisu, B.; Palmer, M.; Kentish, S.; Ashokkumar, M. Effects of ultrasound on the thermal and structural characteristics of proteins in reconstituted whey protein concentrate. Ultrason. Sonochem. 2011, 18, 951–957. [Google Scholar] [CrossRef]
- Gülseren, İ.; Güzey, D.; Bruce, B.D.; Weiss, J. Structural and functional changes in ultrasonicated bovine serum albumin solutions. Ultrason. Sonochem. 2007, 14, 173–183. [Google Scholar] [CrossRef]
- Jin, J.; Ma, H.; Wang, K.; Yagoub, A.E.-G.A.; Owusu, J.; Qu, W.; He, R.; Zhou, C.; Ye, X. Effects of multi-frequency power ultrasound on the enzymolysis and structural characteristics of corn gluten meal. Ultrason. Sonochem. 2015, 24, 55–64. [Google Scholar] [CrossRef]
- Zhou, C.; Ma, H.; Yu, X.; Liu, B.; Yagoub, A.E.-G.A.; Pan, Z. Pretreatment of defatted wheat germ proteins (by-products of flour mill industry) using ultrasonic horn and bath reactors: Effect on structure and preparation of ACE-inhibitory peptides. Ultrason. Sonochem. 2013, 20, 1390–1400. [Google Scholar] [CrossRef] [PubMed]
- Jiang, L.; Wang, J.; Li, Y.; Wang, Z.; Liang, J.; Wang, R.; Chen, Y.; Ma, W.; Qi, B.; Zhang, M. Effects of ultrasound on the structure and physical properties of black bean protein isolates. Food Res. Int. 2014, 62, 595–601. [Google Scholar] [CrossRef]
- Arzeni, C.; Martínez, K.; Zema, P.; Arias, A.; Pérez, O.; Pilosof, A. Comparative study of high intensity ultrasound effects on food proteins functionality. J. Food Eng. 2012, 108, 463–472. [Google Scholar] [CrossRef]
- Xiong, W.; Wang, Y.; Zhang, C.; Wan, J.; Shah, B.R.; Pei, Y.; Zhou, B.; Li, J.; Li, B. High intensity ultrasound modified ovalbumin: Structure, interface and gelation properties. Ultrason. Sonochem. 2016, 31, 302–309. [Google Scholar] [CrossRef] [PubMed]
- Resendiz-Vazquez, J.; Ulloa, J.; Urías-Silvas, J.; Bautista-Rosales, P.; Ramírez-Ramírez, J.; Rosas-Ulloa, P.; González-Torres, L. Effect of high-intensity ultrasound on the technofunctional properties and structure of jackfruit (Artocarpus heterophyllus) seed protein isolate. Ultrason. Sonochem. 2017, 37, 436–444. [Google Scholar] [CrossRef] [PubMed]
- Wang, J.-y.; Yang, Y.-l.; Tang, X.-z.; Ni, W.-x.; Zhou, L. Effects of pulsed ultrasound on rheological and structural properties of chicken myofibrillar protein. Ultrason. Sonochem. 2017, 38, 225–233. [Google Scholar] [CrossRef]
- Tang, C.-H.; Wang, X.-Y.; Yang, X.-Q.; Li, L. Formation of soluble aggregates from insoluble commercial soy protein isolate by means of ultrasonic treatment and their gelling properties. J. Food Eng. 2009, 92, 432–437. [Google Scholar] [CrossRef]
- Zhang, Q.-T.; Tu, Z.-C.; Xiao, H.; Wang, H.; Huang, X.-Q.; Liu, G.-X.; Liu, C.-M.; Shi, Y.; Fan, L.-L.; Lin, D.-R. Influence of ultrasonic treatment on the structure and emulsifying properties of peanut protein isolate. Food Bioprod. Process. 2014, 92, 30–37. [Google Scholar] [CrossRef]
- Jambrak, A.R.; Mason, T.J.; Lelas, V.; Herceg, Z.; Herceg, I.L. Effect of ultrasound treatment on solubility and foaming properties of whey protein suspensions. J. Food Eng. 2008, 86, 281–287. [Google Scholar] [CrossRef]
- Dong, X.Y.; Guo, L.L.; Wei, F.; Li, J.F.; Jiang, M.L.; Li, G.M.; Zhao, Y.D.; Chen, H. Some characteristics and functional properties of rapeseed protein prepared by ultrasonication, ultrafiltration and isoelectric precipitation. J. Sci. Food Agric. 2011, 91, 1488–1498. [Google Scholar] [CrossRef]
| Sample Availability: not available. | 










| Ultrasonic Extraction | Conditions | Energy Density (J/mL) | 
|---|---|---|
| Diameter titanium probe (cm) | 0.636 | / | 
| Frequency (kHz) | 20 | / | 
| Power output (W) | 0, 100, 200, 300, 400, 500 | 0, 44, 88, 132, 176, 220 | 
| Time (min) | 0, 5, 10, 15, 20, 25 | 0, 22, 44, 66, 88, 110 | 
| pulse duration (s) | on-time 4/off-time 2 | / | 
| Samples | D43 (μm) | D32 (μm) | 
|---|---|---|
| A (albumin of the control) | 26.24 ± 0.22 | 9.38 ± 0.02 | 
| B (albumin of UAE) | 18.57 ± 0.19 | 8.21 ± 0.01 | 
| C (globulin of the control) | 33.59 ± 0.58 | 6.88 ± 0.02 | 
| D (globulin of UAE) | 40.89 ± 0.23 | 9.70 ± 0.02 | 
| E (glutelin of the control) | 157.50 ± 1.06 | 63.33 ± 0.04 | 
| F (glutelin of UAE) | 138.28 ± 0.99 | 48.62 ± 0.33 | 
| Samples | α-Helix (%) | β-Sheet (%) | β-Turn (%) | Random Coil (%) | 
|---|---|---|---|---|
| A (albumin of the control) | 15.73 ± 0.21 | 55.83 ± 0.11 | 0.1 ± 0.02 | 28.30 ± 0.11 | 
| B (albumin of UAE) | 26.57 ± 0.26 | 45.87 ± 0.50 | 0 ± 0.0 | 27.60 ± 0.24 | 
| C (globulin of the control) | 16.63 ± 0.14 | 11.63 ± 0.46 | 27.77 ± 0.26 | 43.97 ± 0.12 | 
| D (globulin of UAE) | 19.93 ± 0.32 | 22.10 ± 0.33 | 21.67 ± 0.52 | 36.30 ± 0.13 | 
| E (glutelin of the control) | 2.10 ± 0.07 | 43.67 ± 0.57 | 6.5 ± 0.28 | 47.73 ± 0.45 | 
| F (glutelin of UAE) | 0 ± 0 | 39.33 ± 0.09 | 11.87 ± 0.06 | 48.77 ± 0.07 | 
© 2019 by the authors. Licensee MDPI, Basel, Switzerland. This article is an open access article distributed under the terms and conditions of the Creative Commons Attribution (CC BY) license (http://creativecommons.org/licenses/by/4.0/).
Share and Cite
Lv, S.; Taha, A.; Hu, H.; Lu, Q.; Pan, S. Effects of Ultrasonic-Assisted Extraction on the Physicochemical Properties of Different Walnut Proteins. Molecules 2019, 24, 4260. https://doi.org/10.3390/molecules24234260
Lv S, Taha A, Hu H, Lu Q, Pan S. Effects of Ultrasonic-Assisted Extraction on the Physicochemical Properties of Different Walnut Proteins. Molecules. 2019; 24(23):4260. https://doi.org/10.3390/molecules24234260
Chicago/Turabian StyleLv, Siyi, Ahmed Taha, Hao Hu, Qi Lu, and Siyi Pan. 2019. "Effects of Ultrasonic-Assisted Extraction on the Physicochemical Properties of Different Walnut Proteins" Molecules 24, no. 23: 4260. https://doi.org/10.3390/molecules24234260
APA StyleLv, S., Taha, A., Hu, H., Lu, Q., & Pan, S. (2019). Effects of Ultrasonic-Assisted Extraction on the Physicochemical Properties of Different Walnut Proteins. Molecules, 24(23), 4260. https://doi.org/10.3390/molecules24234260
 
        


 
       