Gamma Irradiated Rhodiola sachalinensis Extract Ameliorates Testosterone-Induced Benign Prostatic Hyperplasia by Downregulating 5-Alpha Reductase and Restoring Testosterone in Rats
Abstract
1. Introduction
2. Results
2.1. Effects on Activity of Aspartate Transaminase (AST), Alanine Aminotransferase (ALT), and Blood Urea Nitrogen (BUN)
2.2. Effects of HKC on Prostate Weight (PW) and PW Index in TP-Induced BPH Rats
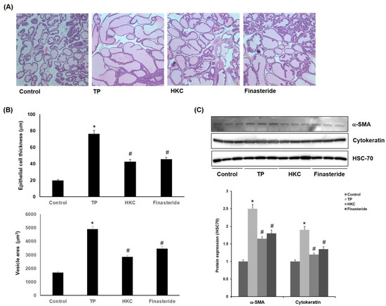
2.3. Histopathological Examination
2.4. Effects of 5-AR mRNA Expression
2.5. Effect on DHT and Testosterone Levels in Serum and Prostate
3. Discussion
4. Materials and Methods
4.1. Extracts Preparation
4.2. Gamma Irradiation
4.3. Experimental Procedures
4.4. Measurement of Blood Biochemical Parameters
4.5. Preparation of Prostate Homogenates
4.6. ELISA for the Measurement of DHT and Testosterone Levels
4.7. Histological Examination
4.8. Western Blot Analysis
4.9. RNA Extraction and Real-Time RT-PCR
4.10. Statistical Analysis
5. Conclusions
Author Contributions
Funding
Conflicts of Interest
References
- Alberto, B.; Umberto, C.; Nazareno, S.; Andrea, G.; Andrea, S.; Marco, B. Benign prostatic hyperplasia and its aetiologies. Eur. Urol. Suppl. 2009, 8, 865–871. [Google Scholar]
- Roehrborn, C.G. Pathology of benign prostatic hyperplasia. Int. J. Impot. Res. 2008, 20, S11–S18. [Google Scholar] [CrossRef] [PubMed]
- Harman, S.M.; Metter, E.J.; Tobin, J.D.; Pearson, J.; Blackman, M.R. Longitudinal effects of aging on serum total and free testosterone levels in healthy men. J. Clin. Endocrinol. Metab. 2001, 86, 724–731. [Google Scholar] [CrossRef]
- Buncharoen, W.; Saenphet, K.; Saenphet, S.; Thitaram, C. Uvaria rufa Blume attenuates benign prostatic hyperplasia via inhibiting 5-reductase and enhancing antioxidant status. J. Enthnopharmacol. 2016, 194, 483–494. [Google Scholar] [CrossRef]
- Arias, E. United states life tablets. Natl. Vital. Stat. Rep. 2011, 59, 1–60. [Google Scholar]
- Miller, J.; Tarter, T.H. Combination therapy with dutasteride and tamulosin for the treatment of symptomatic enlarged prostate. Clin. Intero. Aging. 2009, 4, 251–258. [Google Scholar]
- Lepor, H.; Kazzazi, A.; Djavan, B. Alpha blockers for benign prostatic hyperplasia. Curr. Opin. Urol. 2012, 22, 7–15. [Google Scholar] [CrossRef]
- McVary, K.T. BPH: Epidemiology and comorbidities. Am. J. Manag. Care. 2006, 12, S122–S128. [Google Scholar]
- Aggarwal, S.; Thareja, S.; Verma, A.; Bhardwaj, T.R.; Kumar, M. An overreview on 5 alpha-reductase inhibitors. Steroids 2010, 75, 109–153. [Google Scholar] [CrossRef]
- Minutoli, L.; Altavilla, D.; Marini, H.; Rinaldi, M.; Irrera, N.; Pizzino, G.; Bitto, A.; Arena, S.; Cimino, S.; Squadrito, F.; et al. Inhibitors of apoptosis proteins in experimental benign prostatic hyperplasia: Effects of serenoa repens, selenium and lycopene. J. Biomed. Sci. 2014, 10, 19. [Google Scholar] [CrossRef]
- Bent, S.; Kane, C.; Shinohara, K.; Neuhans, J.; Hude, E.S.; Goldberg, H.; Avins, A.L. Saw palmetto for benign prostatic hyperplasia. N. Engl. J. Med. 2006, 354, 557–566. [Google Scholar] [CrossRef] [PubMed]
- Ming, D.S.; Hillhouse, B.J.; Guns, E.S.; Eberding, A.; Xie, S.; Vimalanathan, S.; Towers, G.H. Bioactive compounds from Rhodiola rosea (Crassulaceae). Phytother. Res. 2005, 19, 740–743. [Google Scholar] [CrossRef] [PubMed]
- Panossian, A.; Wikman, G.; Sarris, J. Rosenroot (Rhodiola rosea): Traditional use, chemical composition, pharmacology and clinical efficacy. Phytomedicine 2010, 17, 481–493. [Google Scholar] [CrossRef] [PubMed]
- Chen, L.; Teng, H.; Xie, Z.L.; Cao, H.; Cheang, W.S.; Skalicka-Woniak, K.; Georgiev, M.I.; Xiao, J.B. Modifications of dietary flavonoids towards improved bioactivity: An update on structure-activity relationship. Critical Rev. Food Sci. Nutr. 2018, 58, 513–527. [Google Scholar] [CrossRef]
- Cropley, M.; Banks, A.P.; Boyle, J. The effects of Rhodiola rosea L. extract on anxiety, stress, cognition and other mood symptoms. Phytother. Res. 2015, 29, 1934–1939. [Google Scholar] [CrossRef]
- Wu, D.; Yuan, P.; Ke, C.; Xiong, H.; Chen, J.; Guo, J.; Lu, M.; Ding, Y.; Fan, X.; Duan, Q.; et al. Salidroside suppresses solar ultraviolet-induced skin inflammation by targeting COX-2. Oncotarget 2016, 7, 25971–25982. [Google Scholar]
- Wang, M.; Luo, L.; Yao, L.; Wang, C.; Jiang, K.; Lin, X.; Xu, M.; Shen, N.; Guo, S.; Sun, C.; et al. Salidroside improves glucose homeostasis in obsess mice by repressing inflammation in white adipose tissue and improving leptin sensitivity in hypothalamus. Sci. Rep. 2016, 5, 1–13. [Google Scholar]
- Jo, C.R.; Shin, M.G.; Son, J.H.; Byun, M.W. Irradiation effects on color and functional properties of persimmon (Diospyros kaki L. folium) leaf extract and licorice (Glycyrrhiza uralensis Fischer) root extract during storage. Radiat. Phys. Chem. 2003, 67, 143–148. [Google Scholar] [CrossRef]
- Yang, X.; Yuan, L.; Xiong, C.; Yin, C.; Ruan, J. Abacopteris penangiana exerts testosterone-induced benign prostatic hyperplasia protective effect through regulating inflammatory responses, reducing oxidative stress and antiproliferative. J. Ethnopharmacol. 2014, 157, 105–113. [Google Scholar] [CrossRef]
- Veeresh Babu, S.V.; Veeresh, B.; Patil, A.A.; Warke, Y.B. Lauric acid and myristic acid prevent testosterone induced prostatic hyperplasia in rats. Eur. J. Pharmacol. 2010, 626, 262–265. [Google Scholar] [CrossRef]
- Shin, I.S.; Lee, M.Y.; Jung, D.Y.; Seo, C.S.; Ha, H.K.; Shin, H.K. Ursolic acid reduces prostate size and dihydrotestosterone level in a rat model of benign prostatic hyperplasia. Food Chem. Toxicol. 2012, 50, 884–888. [Google Scholar] [CrossRef] [PubMed]
- Shen, H.N.; Xu, X.; Jiang, Z.Z.; Huang, X.; Zhang, L.Y.; Wang, T. Inhibitory effects of Triterygium wilfordii multiglycoside on benign prostatic hyperplasia in rats. Chin. J. Nat. Med. 2015, 13, 421–427. [Google Scholar] [PubMed]
- Park, J.B.; Youn, D.H.; Um, J.Y. Aconiti lateralis radix preparata, the dried root of Aconitum carmichaelii Ddbx., improves benigh prostatic hyperplasia via 5-alpha reductase and inducing prostate cell apotosis. Evid. Based Complement. Alternat. Med. 2019. [Google Scholar] [CrossRef] [PubMed]
Sample Availability: Not available. |




© 2019 by the authors. Licensee MDPI, Basel, Switzerland. This article is an open access article distributed under the terms and conditions of the Creative Commons Attribution (CC BY) license (http://creativecommons.org/licenses/by/4.0/).
Share and Cite
Xin, Q.; Kwon, M.-J.; Lee, J.-W.; Kim, K.-S.; Chen, H.; Campos, M.G.; Tundis, R.; Cui, C.-B.; Cho, Y.H.; Cao, H. Gamma Irradiated Rhodiola sachalinensis Extract Ameliorates Testosterone-Induced Benign Prostatic Hyperplasia by Downregulating 5-Alpha Reductase and Restoring Testosterone in Rats. Molecules 2019, 24, 3981. https://doi.org/10.3390/molecules24213981
Xin Q, Kwon M-J, Lee J-W, Kim K-S, Chen H, Campos MG, Tundis R, Cui C-B, Cho YH, Cao H. Gamma Irradiated Rhodiola sachalinensis Extract Ameliorates Testosterone-Induced Benign Prostatic Hyperplasia by Downregulating 5-Alpha Reductase and Restoring Testosterone in Rats. Molecules. 2019; 24(21):3981. https://doi.org/10.3390/molecules24213981
Chicago/Turabian StyleXin, Qi, Mi-Jin Kwon, Ju-Woon Lee, Kwan-Soo Kim, Hao Chen, Maria G. Campos, Rosa Tundis, Cheng-Bi Cui, Young Ho Cho, and Hui Cao. 2019. "Gamma Irradiated Rhodiola sachalinensis Extract Ameliorates Testosterone-Induced Benign Prostatic Hyperplasia by Downregulating 5-Alpha Reductase and Restoring Testosterone in Rats" Molecules 24, no. 21: 3981. https://doi.org/10.3390/molecules24213981
APA StyleXin, Q., Kwon, M.-J., Lee, J.-W., Kim, K.-S., Chen, H., Campos, M. G., Tundis, R., Cui, C.-B., Cho, Y. H., & Cao, H. (2019). Gamma Irradiated Rhodiola sachalinensis Extract Ameliorates Testosterone-Induced Benign Prostatic Hyperplasia by Downregulating 5-Alpha Reductase and Restoring Testosterone in Rats. Molecules, 24(21), 3981. https://doi.org/10.3390/molecules24213981

