The Manufacturing Process of Kiwifruit Fruit Powder with High Dietary Fiber and Its Laxative Effect
Abstract
1. Introduction
2. Results
2.1. The Microstructure of Microencapsulated Kiwifruit Juice and Modified DF Pomace
2.2. The Physicochemical Properties of Modified DF Pomace
2.3. The Chemical Analysis of UKP
2.4. UKP Regulates GI Motility and Fecal Output in Mice
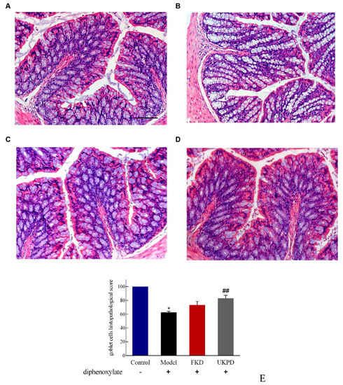
2.5. Effects of UKP on Preventing Intestinal Damage
2.6. Effects of UKP on Expressions of Portal Vein Serum Neurotransmitter
3. Discussion
4. Conclusions
5. Materials and Methods
5.1. Materials
5.2. Preparation of Ultra-Micro Kiwifruit Powder (UKP)
5.3. The Characterization of UKP Morphology
5.4. Physicochemical Characteristics of UKP
5.5. HPLC Study of the Polyphenols
5.6. Estimation of Ascorbic Acid Content
5.7. Estimation of Dietary Fibre Content
5.8. Animals and Treatment
5.9. Fecal Output Studies
5.10. GI Transit. Studies In Vivo
5.11. Intestinal Transit. Rates
5.12. Histology and Immunohistochemistry
5.13. Intestinal Neurotransmitter Quantification in Portal Vein Plasma
5.14. Statistics
Author Contributions
Funding
Conflicts of Interest
Abbreviations
| AD | apparent density |
| DF | dietary fiber |
| DMC | dejecta moisture content |
| FKD | freeze drying kiwifruit |
| FO | fecal output |
| GCD | γ-Cyclodextrin |
| GI | gastrointestinal |
| IDF | insoluble dietary fiber |
| IPR | intestinal propulsion rates |
| OHC | oil-holding capacity |
| SEM | scanning electron microscopy |
| SP | Substance P |
| SS | Somatostatin |
| SWC | swelling capacity |
| UKP | ultra-micro kiwifruit powder |
| VIP | Vasoactive Intestinal Peptide |
| WGT | whole gut transit time |
| WHC | water-holding capacity |
References
- Costilla, V.C.; Foxx-Orenstein, A.E. Constipation understanding mechanisms and management. Clin. Geriatr. Med. 2014, 30, 107–115. [Google Scholar] [CrossRef] [PubMed]
- Bharucha, A.E.; Dorn, S.D.; Lembo, A. American gastroenterological association medical position statement on constipation. Gastroenterology 2013, 144, 211–217. [Google Scholar] [CrossRef] [PubMed]
- Ford, A.C.; Moayyedi, P.; Lacy, B.E.; Lembo, A.J.; Saito, Y.A.; Schiller, L.R.; Soffer, E.E.; Spiegel, B.M.; Quigley, E.M. American college of gastroenterology monograph on the management of irritable bowel syndrome and chronic idiopathic constipation. Am. J. Gastroenterol. 2014, 109, S2–S26. [Google Scholar] [CrossRef] [PubMed]
- Hsieh, C. Treatment of constipation in older adults. Am. Fam. Physician 2005, 72, 2277–2284. [Google Scholar] [PubMed]
- Mostafa, S. Constipation and its implications in the critically ill patient. Br. J. Anaesth. 2003, 91, 815–819. [Google Scholar] [CrossRef] [PubMed]
- Wyeth, J.W. Functional gastrointestinal disorders in New Zealand. J. Gastroenterol. Hepatol. 2011, 26, 15–18. [Google Scholar] [CrossRef] [PubMed]
- Donaldson, B.; Rush, E.; Young, O. Variation in Gastric pH may determine kiwifruit’s effect on functional GI disorder: An in vitro Study. Nutrients 2014, 6, 1488–1500. [Google Scholar] [CrossRef]
- Chang, C.C.; Lin, Y.T.; Lu, Y.T. Kiwifruit improves bowel function in patients with irritable bowel syndrome with constipation. Asia Pac. J. Clin. Nutr. 2010, 19, 451–457. [Google Scholar]
- Drummond, L.; Gearry, R.B. Kiwifruit modulation of gastrointestinal motility. Adv. Food Nutr. Res. 2013, 68, 219–232. [Google Scholar]
- Kim, E.; Liang, Y.; Jin, J.; Sun, Q.; Lu, J.; Du, Y.; Lin, C. Impact of heating on chemical compositions of green tea liquor. Food Chem. 2007, 103, 1263–1267. [Google Scholar] [CrossRef]
- Hundre, S.Y.; Karthik, P.; Anandharamakrishnan, C. Effect of whey protein isolate and β-cyclodextrin wall systems on stability of microencapsulated vanillin by spray–freeze drying method. Food Chem. 2015, 174, 16–24. [Google Scholar] [CrossRef] [PubMed]
- Pasrija, D.; Ezhilarasi, P.; Indrani, D.; Anandharamakrishnan, C. Microencapsulation of green tea polyphenols and its effect on incorporated bread quality. LWT-Food Sci. Technol. 2015, 64, 289–296. [Google Scholar] [CrossRef]
- Blanch, G.P.; Del Castillo, M.L.R.; Del Mar Caja, M.; Pérez-Méndez, M.; Sánchez-Cortés, S. Stabilization of all-trans-lycopene from tomato by encapsulation using cyclodextrins. Food Chem. 2007, 105, 1335–1341. [Google Scholar] [CrossRef]
- Haiyee, Z.A.; Saim, N.; Said, M.; Illias, R.M.; Mustapha, W.A.W.; Hassan, O. Characterization of cyclodextrin complexes with turmeric oleoresin. Food Chem. 2009, 114, 459–465. [Google Scholar] [CrossRef]
- Leontowicz, H.; Leontowicz, M.; Latocha, P.; Jesion, I.; Park, Y.-S.; Katrich, E.; Barasch, D.; Nemirovski, A.; Gorinstein, S. Bioactivity and nutritional properties of hardy kiwi fruit actinidia arguta in comparison with actinidia deliciosa ‘Hayward’and actinidia eriantha ‘Bidan’. Food Chem. 2016, 196, 281–291. [Google Scholar] [CrossRef]
- De Vries, J.; Birkett, A.; Hulshof, T.; Verbeke, K.; Gibes, K. Effects of cereal, fruit and vegetable fibers on human fecal weight and transit time: A comprehensive review of intervention trials. Nutrients 2016, 8, 130. [Google Scholar] [CrossRef]
- Zhu, K.; Huang, S.; Peng, W.; Qian, H.; Zhou, H. Effect of ultrafine grinding on hydration and antioxidant properties of wheat bran dietary fiber. Food Res. Int. 2010, 43, 943–948. [Google Scholar] [CrossRef]
- Ma, S.; Ren, B.; Diao, Z.; Chen, Y.; Qiao, Q.; Liu, X. Physicochemical properties and intestinal protective effect of ultra-micro ground insoluble dietary fibre from carrot pomace. Food Funct. 2016, 7, 3902–3909. [Google Scholar] [CrossRef]
- Robertson, J.; Eastwood, M. An examination of factors which may affect the water holding capacity of dietary fibre. Br. J. Nutr. 1981, 45, 83–88. [Google Scholar] [CrossRef]
- Sudha, M.; Baskaran, V.; Leelavathi, K. Apple pomace as a source of dietary fiber and polyphenols and its effect on the rheological characteristics and cake making. Food Chem. 2007, 104, 686–692. [Google Scholar] [CrossRef]
- Takahashi, T.; Furuichi, Y.; Mizuno, T.; Kato, M.; Tabara, A.; Kawada, Y.; Hirano, Y.; Kubo, K.Y.; Onozuka, M.; Kurita, O. Water-holding capacity of insoluble fibre decreases free water and elevates digesta viscosity in the rat. J. Sci. Food Agric. 2009, 89, 245–250. [Google Scholar] [CrossRef]
- McGuckin, M.A.; Lindén, S.K.; Sutton, P.; Florin, T.H. Mucin dynamics and enteric pathogens. Nat. Rev. Microbiol. 2011, 9, 265–278. [Google Scholar] [CrossRef] [PubMed]
- Wlodarska, M.; Thaiss, C.A.; Nowarski, R.; Henao-Mejia, J.; Zhang, J.P.; Brown, E.M.; Frankel, G.; Levy, M.; Katz, M.N.; Philbrick, W.M. NLRP6 inflammasome orchestrates the colonic host-microbial interface by regulating goblet cell mucus secretion. Cell 2014, 156, 1045–1059. [Google Scholar] [CrossRef] [PubMed]
- Berding, K.; Wang, M.; Monaco, M.H.; Alexander, L.S.; Mudd, A.T.; Chichlowski, M.; Waworuntu, R.V.; Berg, B.M.; Miller, M.J.; Dilger, R.N. Prebiotics and bioactive milk fractions affect gut development, microbiota, and neurotransmitter expression in Piglets. J. Pediatr. Gastroenterol. Nutr. 2016, 63, 688–697. [Google Scholar] [CrossRef]
- Liu, L.; Shang, F.; Morgan, M.J.; King, D.W.; Lubowski, D.Z.; Burcher, E. Cyclooxygenase-dependent alterations in substance P-mediated contractility and tachykinin NK1 receptor expression in the colonic circular muscle of patients with slow transit constipation. J. Pharmacol. Exp. Ther. 2009, 329, 282–289. [Google Scholar] [CrossRef]
- Yang, Y.; Wu, X.; Wei, Z.; Dou, Y.; Zhao, D.; Wang, T.; Bian, D.; Tong, B.; Xia, Y.; Xia, Y. Oral curcumin has anti-arthritic efficacy through somatostatin generation via cAMP/PKA and Ca2+/CaMKII signaling pathways in the small intestine. Pharmacol. Res. 2015, 95, 71–81. [Google Scholar] [CrossRef]
- Ursino, M.G.; Vasina, V.; De Ponti, F. Protection from DNBS-induced colitis by the tachykinin NK 1 receptor antagonist SR140333 in rats. Eur. J. Pharmacol. 2009, 603, 133–137. [Google Scholar] [CrossRef]
- Bashashati, M.; Nasser, Y.; Keenan, C.; Ho, W.; Piscitelli, F.; Nalli, M.; Mackie, K.; Storr, M.; Di Marzo, V.; Sharkey, K. Inhibiting endocannabinoid biosynthesis: A novel approach to the treatment of constipation. Br. J. Pharmacol. 2015, 172, 3099–3111. [Google Scholar] [CrossRef]
- Kakino, M.; Izuta, H.; Tetsuro, I.; Tsuruma, K.; Araki, Y.; Shimazawa, M.; Oyama, M.; Iinuma, M.; Hideaki, H. Agarwood induced laxative effects via acetylcholine receptors on loperamide-induced constipation in mice. Biosci. Biotechnol. Biochem. 2010, 74, 1550–1555. [Google Scholar] [CrossRef]
- Lee, M.J.; Cho, K.H.; Park, H.M.; Sung, H.J.; Choi, S.; Im, W. Pharmacological profile of DA-6886, a novel 5-HT 4 receptor agonist to accelerate colonic motor activity in mice. Eur. J. Pharmacol. 2014, 735, 115–122. [Google Scholar] [CrossRef]
- Otálora, M.C.; Carriazo, J.G.; Iturriaga, L.; Nazareno, M.A.; Osorio, C. Microencapsulation of betalains obtained from cactus fruit (Opuntia ficus-indica) by spray drying using cactus cladode mucilage and maltodextrin as encapsulating agents. Food Chem. 2015, 187, 174–181. [Google Scholar] [CrossRef] [PubMed]
- Saikia, S.; Mahnot, N.K.; Mahanta, C.L. Optimisation of phenolic extraction from Averrhoa carambola pomace by response surface methodology and its microencapsulation by spray and freeze drying. Food Chem. 2015, 171, 144–152. [Google Scholar] [CrossRef]
- Ajila, C.; Leelavathi, K.; Rao, U.P. Improvement of dietary fiber content and antioxidant properties in soft dough biscuits with the incorporation of mango peel powder. J. Cereal Sci. 2008, 48, 319–326. [Google Scholar] [CrossRef]
- Raghavendra, S.; Swamy, S.R.; Rastogi, N.; Raghavarao, K.; Kumar, S.; Tharanathan, R. Grinding characteristics and hydration properties of coconut residue: A source of dietary fiber. J. Food Eng. 2006, 72, 281–286. [Google Scholar] [CrossRef]
Sample Availability: Samples of the compounds are available from the authors. |





| Before Grinding | After Grinding | |
|---|---|---|
| WHC (g/g) | 3.62 ± 0.04a | 4.56 ± 0.05b |
| OHC (g/g) | 0.66 ± 0.03a | 1.09 ± 0.01b |
| SWC (mL /g) | 6.98 ± 0.11a | 7.69 ± 0.19b |
| AD (g/mL) | 0.41 ± 0.006a | 0.23 ± 0.009b |
| Before Grinding | After Grinding | |
|---|---|---|
| TDF (%) | 81.27 ± 0.73a | 84.48 ± 0.21b |
| SDF (%) | 5.31 ± 0.14a | 11.87 ± 0.02b |
| IDF (%) | 75.96 ± 11.08a | 72.61 ± 3.179b |
| IDF/SDF | 14.3:1 | 6.1:1 |
| Raw Kiwifruit | UKP | Retention (%) | |
|---|---|---|---|
| chlorogenic acid | 3.227 ± 0.003a | 2.833 ± 0.001b | 87.8 |
| caffeic acid | 0.546 ± 0.009a | 0.497 ± 0.002b | 91.0 |
| (−)-epicatechin | 76.019 ± 0.008a | 71.610 ± 0.007b | 94.2 |
| Gallic acid | 0.506 ± 0.003a | 0.443 ± 0.003 b | 87.5 |
| Vitamin C | 76.84 ± 0. 54a | 69.29 ± 0.85 b | 90.2 |
| Group | Animal no. | Original Body Weight (g) | Final Body Weight (g) | Daily Food Intake (g) |
|---|---|---|---|---|
| Control | 8 | 16.4 ± 1.3 | 27.7 ± 1.9 | 4.9 ± 1.3 |
| Model | 8 | 16.6 ± 0.9 | 25.1 ± 2.5 | 4.7 ± 0.7 |
| KFD | 9 | 16.0 ± 0.9 | 26.6 ± 2.2 | 5.1 ± 0.8 |
| UKPD | 9 | 16.8 ± 1.1 | 27.4 ± 1.8 | 5.0 ± 0.9 |
© 2019 by the authors. Licensee MDPI, Basel, Switzerland. This article is an open access article distributed under the terms and conditions of the Creative Commons Attribution (CC BY) license (http://creativecommons.org/licenses/by/4.0/).
Share and Cite
Zhuang, Z.; Chen, M.; Niu, J.; Qu, N.; Ji, B.; Duan, X.; Liu, Z.; Liu, X.; Wang, Y.; Zhao, B. The Manufacturing Process of Kiwifruit Fruit Powder with High Dietary Fiber and Its Laxative Effect. Molecules 2019, 24, 3813. https://doi.org/10.3390/molecules24213813
Zhuang Z, Chen M, Niu J, Qu N, Ji B, Duan X, Liu Z, Liu X, Wang Y, Zhao B. The Manufacturing Process of Kiwifruit Fruit Powder with High Dietary Fiber and Its Laxative Effect. Molecules. 2019; 24(21):3813. https://doi.org/10.3390/molecules24213813
Chicago/Turabian StyleZhuang, Ziqi, Min Chen, Jihan Niu, Na Qu, Bing Ji, Xiang Duan, Zhande Liu, Xuebo Liu, Yutang Wang, and Beita Zhao. 2019. "The Manufacturing Process of Kiwifruit Fruit Powder with High Dietary Fiber and Its Laxative Effect" Molecules 24, no. 21: 3813. https://doi.org/10.3390/molecules24213813
APA StyleZhuang, Z., Chen, M., Niu, J., Qu, N., Ji, B., Duan, X., Liu, Z., Liu, X., Wang, Y., & Zhao, B. (2019). The Manufacturing Process of Kiwifruit Fruit Powder with High Dietary Fiber and Its Laxative Effect. Molecules, 24(21), 3813. https://doi.org/10.3390/molecules24213813
