MMI-0100 Ameliorates Dextran Sulfate Sodium-Induced Colitis in Mice through Targeting MK2 Pathway
Abstract
1. Introduction
2. Results
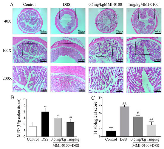
2.1. MMI-0100 Ameliorates the Colon Damage and Colitis Induced by DSS in Mice
2.2. MMI-0100 Reduces Pro-Inflammatory Cytokine Production and Inflammatory Cells Activation In Vivo
2.3. MMI-0100 Exerts Anti-Apoptosis Effects In Vivo
2.4. MMI-0100 Down-Regulates the Phosphorylation of MK2 and NF-κB Pathway in Mice
3. Discussion
4. Materials and Methods
4.1. Animals
4.2. Drugs
4.3. Establishment Mouse Acute Colitis Model Induceed by DSS
4.4. Reverse Transcription-Quantitative Polymerase Chain Reaction (RT-qPCR) Analysis
4.5. Western Blotting
4.6. Enzyme-Linked Immunoassay (ELISA)
4.7. Histological Analysis
4.8. Assessment of Myeloperoxidase (MPO) Activity
4.9. Immunostaining and TUNEL Staining
4.10. Statistical Analysis
5. Conclusions
Author Contributions
Funding
Conflicts of Interest
References
- Kato, S.; Ishibashi, A.; Sugiura, K.; Kani, K.; Ogawa, T.; Hasegawa, H.; Yakabi, K. Changes in treatment with granulocyte and monocyte adsorptive apheresis from the past to future in patients with inflammatory bowel disease. Contrib. Nephrol. 2018, 196, 200–208. [Google Scholar] [PubMed]
- Li, P.; Zheng, Y.; Chen, X. Drugs for Autoimmune inflammatory diseases: From small molecule compounds to anti-TNF biologics. Front. Pharmacol. 2017, 8, 460–472. [Google Scholar] [CrossRef] [PubMed]
- Panes, J.; Salas, A. Past, Present and future of therapeutic interventions targeting leukocyte trafficking in inflammatory bowel disease. J. Crohn’s Colitis 2018, 12, S633–S640. [Google Scholar] [CrossRef] [PubMed]
- Vindigni, S.M.; Zisman, T.L.; Suskind, D.L.; Damman, C.J. The intestinal microbiome, barrier function, and immune system in inflammatory bowel disease: A tripartite pathophysiological circuit with implications for new therapeutic directions. Ther. Adv. Gastroenterol. 2016, 9, 606–625. [Google Scholar] [CrossRef] [PubMed]
- Pallagi-Kunstar, E.; Farkas, K.; Szepes, Z.; Nagy, F.; Szucs, M.; Kui, R.; Gyulai, R.; Balint, A.; Wittmann, T.; Molnar, T. Utility of serum TNF-alpha, infliximab trough level, and antibody titers in inflammatory bowel disease. World J. Gastroenterol. 2014, 20, 5031–5035. [Google Scholar] [CrossRef] [PubMed]
- Johnson, C.M.; Dassopoulos, T. Update on the use of thiopurines and methotrexate in inflammatory bowel disease. Curr. Gastroenterol. Rep. 2018, 20, 53–62. [Google Scholar] [CrossRef] [PubMed]
- Essmann, J.; Keil, C.; Unruh, O.; Otte, A.; Manns, M.P.; Bachmann, O. Fecal calprotectin is significantly linked to azathioprine metabolite concentrations in Crohn’s disease. Eur. J. Gastroenterol. Hepatol. 2019, 31, 99–108. [Google Scholar] [CrossRef] [PubMed]
- Feng, Y.J.; Li, Y.Y. The role of p38 mitogen-activated protein kinase in the pathogenesis of inflammatory bowel disease. J. Dig. Dis. 2011, 12, 327–332. [Google Scholar] [CrossRef] [PubMed]
- Docena, G.; Rovedatti, L.; Kruidenier, L.; Fanning, A.; Leakey, N.A.; Knowles, C.H.; Lee, K.; Shanahan, F.; Nally, K.; McLean, P.G.; et al. Down-regulation of p38 mitogen-activated protein kinase activation and proinflammatory cytokine production by mitogen-activated protein kinase inhibitors in inflammatory bowel disease. Clin. Exp. Immunol. 2010, 162, 108–115. [Google Scholar] [CrossRef] [PubMed]
- El-Mas, M.M.; El-Gowelli, H.M.; Ghazal, A.R.; Harraz, O.F.; Mohy El-Din, M.M. Facilitation of central imidazoline I(1)-site/extracellular signal-regulated kinase/p38 mitogen-activated protein kinase signalling mediates the hypotensive effect of ethanol in rats with acute renal failure. Br. J. Pharmacol. 2009, 158, 1629–1640. [Google Scholar] [CrossRef] [PubMed]
- Newby, L.K.; Marber, M.S.; Melloni, C.; Sarov-Blat, L.; Aberle, L.H.; Aylward, P.E.; Cai, G.; de Winter, R.J.; Hamm, C.W.; Heitner, J.F.; et al. Losmapimod, a novel p38 mitogen-activated protein kinase inhibitor, in non-ST-segment elevation myocardial infarction: A randomised phase 2 trial. Lancet 2014, 384, 1187–1195. [Google Scholar] [CrossRef]
- Menon, M.B.; Gropengiesser, J.; Fischer, J.; Novikova, L.; Deuretzbacher, A.; Lafera, J.; Schimmeck, H.; Czymmeck, N.; Ronkina, N.; Kotlyarov, A.; et al. P38(MAPK)/MK2-dependent phosphorylation controls cytotoxic RIPK1 signalling in inflammation and infection. Nat. Cell Biol. 2017, 19, 1248–1259. [Google Scholar] [CrossRef] [PubMed]
- Jaco, I.; Annibaldi, A.; Lalaoui, N.; Wilson, R.; Tenev, T.; Laurien, L.; Kim, C.; Jamal, K.; Wicky John, S.; Liccardi, G.; et al. MK2 Phosphorylates RIPK1 to prevent TNF-induced cell death. Mol. Cell 2017, 66, 698–710. [Google Scholar] [CrossRef] [PubMed]
- Menon, M.B.; Gaestel, M. MK2-TNF-signaling comes full circle. Trends Biochem. Sci. 2018, 43, 170–179. [Google Scholar] [CrossRef] [PubMed]
- Tietz, A.B.; Malo, A.; Diebold, J.; Kotlyarov, A.; Herbst, A.; Kolligs, F.T.; Brandt-Nedelev, B.; Halangk, W.; Gaestel, M.; Goke, B.; et al. Gene deletion of MK2 inhibits TNF-alpha and IL-6 and protects against cerulein-induced pancreatitis. Am. J. Physiol. Gastrointest. Liv. Physiol. 2006, 290, G1298–G1306. [Google Scholar] [CrossRef]
- Ward, B.C.; Kavalukas, S.; Brugnano, J.; Barbul, A.; Panitch, A. Peptide inhibitors of MK2 show promise for inhibition of abdominal adhesions. J. Surg. Res. 2011, 169, e27–e36. [Google Scholar] [CrossRef] [PubMed]
- Brown, D.I.; Cooley, B.C.; Quintana, M.T.; Lander, C.; Willis, M.S. Nebulized delivery of the MAPKAP kinase 2 peptide inhibitor MMI-0100 protects against ischemia-induced systolic dysfunction. Int. J. Pept. Res. Ther. 2016, 22, 317–324. [Google Scholar] [CrossRef]
- Liang, J.; Liu, N.; Liu, X.; Monterrosa Mena, J.; Xie, T.; Geng, Y.; Huan, C.; Zhang, Y.; Taghavifar, F.; Huang, G.; et al. MK2 Inhibition attenuates fibroblast invasion and severe lung fibrosis. Am. J. Respir. Cell Mol. Biol. 2019, 60, 41–48. [Google Scholar] [CrossRef]
- Jiao, Y.F.; Lu, M.; Zhao, Y.P.; Liu, N.; Niu, Y.T.; Niu, Y.; Zhou, R.; Yu, J.Q. N-Methylcytisine Ameliorates Dextran-Sulfate-Sodium-Induced Colitis in Mice by Inhibiting the Inflammatory Response. Molecules 2018, 23, 510. [Google Scholar] [CrossRef]
- Zhao, L.; Xiao, H.T.; Mu, H.X.; Huang, T.; Lin, Z.S.; Zhong, L.L.D.; Zeng, G.Z.; Fan, B.M.; Lin, C.Y.; Bian, Z.X. Magnolol, a natural polyphenol, attenuates dextran sulfate sodium-induced colitis in mice. Molecules 2017, 22, 1218. [Google Scholar] [CrossRef]
- Bishop, C.V.; Xu, F.; Steinbach, R.; Ficco, E.; Hyzer, J.; Blue, S.; Stouffer, R.L.; Hennebold, J.D. Changes in immune cell distribution and their cytokine/chemokine production during regression of the rhesus macaque corpus luteum. Biol. Reprod. 2017, 96, 1210–1220. [Google Scholar] [CrossRef] [PubMed]
- Gorska, M.M.; Liang, Q.; Stafford, S.J.; Goplen, N.; Dharajiya, N.; Guo, L.; Sur, S.; Gaestel, M.; Alam, R. MK2 controls the level of negative feedback in the NF-kappaB pathway and is essential for vascular permeability and airway inflammation. J. Exp. Med. 2007, 204, 1637–1652. [Google Scholar] [CrossRef] [PubMed]
- Tiedje, C.; Diaz-Munoz, M.D.; Trulley, P.; Ahlfors, H.; Laass, K.; Blackshear, P.J.; Turner, M.; Gaestel, M. The RNA-binding protein TTP is a global post-transcriptional regulator of feedback control in inflammation. Nucleic Acids Res. 2016, 44, 7418–7440. [Google Scholar] [CrossRef] [PubMed]
- Randhawa, P.K.; Singh, K.; Singh, N.; Jaggi, A.S. A review on chemical-induced inflammatory bowel disease models in rodents. Korean J. Physiol. Pharmacol. 2014, 18, 279–288. [Google Scholar] [CrossRef] [PubMed]
- Camuesco, D.; Rodriguez-Cabezas, M.E.; Garrido-Mesa, N.; Cueto-Sola, M.; Bailon, E.; Comalada, M.; Arribas, B.; Merlos, M.; Balsa, D.; Zarzuelo, A.; et al. The intestinal anti-inflammatory effect of dersalazine sodium is related to a down-regulation in IL-17 production in experimental models of rodent colitis. Br. J. Pharmacol. 2012, 165, 729–740. [Google Scholar] [CrossRef] [PubMed]
- Rigoni, A.; Poulsom, R.; Jeffery, R.; Mehta, S.; Lewis, A.; Yau, C.; Giannoulatou, E.; Feakins, R.; Lindsay, J.O.; Colombo, M.P.; et al. Separation of dual oxidase 2 and lactoperoxidase expression in intestinal crypts and species differences may limit hydrogen peroxide scavenging during mucosal healing in mice and humans. Inflamm. Bowel Dis. 2017, 24, 136–148. [Google Scholar] [CrossRef] [PubMed]
- Aranda, C.J.; Ocon, B.; Arredondo-Amador, M.; Suarez, M.D.; Zarzuelo, A.; Chazin, W.J.; Martinez-Augustin, O.; Sanchez de Medina, F. Calprotectin protects against experimental colonic inflammation in mice. Br. J. Pharmacol. 2018, 175, 3797–3812. [Google Scholar] [CrossRef] [PubMed]
- Moschen, A.R.; Gerner, R.R.; Wang, J.; Klepsch, V.; Adolph, T.E.; Reider, S.J.; Hackl, H.; Pfister, A.; Schilling, J.; Moser, P.L.; et al. Lipocalin 2 Protects from Inflammation and Tumorigenesis Associated with Gut Microbiota Alterations. Cell Host Microbe 2016, 19, 455–469. [Google Scholar] [CrossRef] [PubMed]
- Mourey, R.J.; Burnette, B.L.; Brustkern, S.J.; Daniels, J.S.; Hirsch, J.L.; Hood, W.F.; Meyers, M.J.; Mnich, S.J.; Pierce, B.S.; Saabye, M.J.; et al. A benzothiophene inhibitor of mitogen-activated protein kinase-activated protein kinase 2 inhibits tumor necrosis factor alpha production and has oral anti-inflammatory efficacy in acute and chronic models of inflammation. J. Pharmacol. Exp. Ther. 2010, 333, 797–807. [Google Scholar] [CrossRef] [PubMed]
- Soukup, K.; Halfmann, A.; Le Bras, M.; Sahin, E.; Vittori, S.; Poyer, F.; Schuh, C.; Luger, R.; Niederreiter, B.; Haider, T.; et al. The MAPK-activated kinase MK2 attenuates dendritic cell-mediated Th1 differentiation and autoimmune encephalomyelitis. J. Immunol. 2015, 195, 541–552. [Google Scholar] [CrossRef] [PubMed]
- Meng, Q.; Bhandary, B.; Osinska, H.; James, J.; Xu, N.; Shay-Winkler, K.; Gulick, J.; Willis, M.S.; Lander, C.; Robbins, J. MMI-0100 inhibits cardiac fibrosis in a mouse model overexpressing cardiac myosin binding protein C. J. Am. Heart Assoc. 2017, 6, 6590–6603. [Google Scholar] [CrossRef] [PubMed]
- Muto, A.; Panitch, A.; Kim, N.; Park, K.; Komalavilas, P.; Brophy, C.M.; Dardik, A. Inhibition of mitogen activated protein kinase activated protein kinase II with MMI-0100 reduces intimal hyperplasia ex vivo and in vivo. Vasc. Pharmacol. 2012, 56, 47–55. [Google Scholar] [CrossRef] [PubMed]
- Brugnano, J.L.; Chan, B.K.; Seal, B.L.; Panitch, A. Cell-penetrating peptides can confer biological function: Regulation of inflammatory cytokines in human monocytes by MK2 inhibitor peptides. J. Control. Release 2011, 155, 128–133. [Google Scholar] [CrossRef] [PubMed]
- Kotlyarov, A.; Yannoni, Y.; Fritz, S.; Laass, K.; Telliez, J.B.; Pitman, D.; Lin, L.L.; Gaestel, M. Distinct cellular functions of MK2. Mol. Cell. Biol. 2002, 22, 4827–4835. [Google Scholar] [CrossRef] [PubMed]
- Ba, M.; Rawat, S.; Lao, R.; Grous, M.; Salmon, M.; Halayko, A.J.; Gerthoffer, W.T.; Singer, C.A. Differential regulation of cytokine and chemokine expression by MK2 and MK3 in airway smooth muscle cells. Pulm. Pharmacol. Ther. 2018, 53, 12–19. [Google Scholar] [CrossRef] [PubMed]
- Tran, D.D.H.; Koch, A.; Allister, A.; Saran, S.; Ewald, F.; Koch, M.; Nashan, B.; Tamura, T. Treatment with MAPKAP2 (MK2) inhibitor and DNA methylation inhibitor, 5-aza dC, synergistically triggers apoptosis in hepatocellular carcinoma (HCC) via tristetraprolin (TTP). Cell. Signal. 2016, 28, 1872–1880. [Google Scholar] [CrossRef] [PubMed]
- Tran, D.D.H.; Koch, A.; Saran, S.; Armbrecht, M.; Ewald, F.; Koch, M.; Wahlicht, T.; Wirth, D.; Braun, A.; Nashan, B.; et al. Extracellular-signal regulated kinase (Erk1/2), mitogen-activated protein kinase-activated protein kinase 2 (MK2) and tristetraprolin (TTP) comprehensively regulate injury-induced immediate early gene (IEG) response in in vitro liver organ culture. Cell. Signal. 2016, 28, 438–447. [Google Scholar] [CrossRef] [PubMed]
- Jiang, J.; Peng, Y.; Liang, X.; Li, S.; Chang, X.; Li, L.; Chang, M. Centrally administered cortistation-14 induces antidepressant-like effects in mice via mediating ghrelin and GABAA receptor signaling pathway. Front. Pharmacol. 2018, 9, 767–779. [Google Scholar] [CrossRef]
- Cibicek, N.; Roubalova, L.; Vrba, J.; Zatloukalova, M.; Ehrmann, J.; Zapletalova, J.; Vecera, R.; Kren, V.; Ulrichova, J. Protective effect of isoquercitrin against acute dextran sulfate sodium-induced rat colitis depends on the severity of tissue damage. Pharmacol. Rep. 2016, 68, 1197–1204. [Google Scholar] [CrossRef]
- Jiang, J.; Jin, W.; Peng, Y.; Liang, X.; Li, S.; Wei, L.; Lei, Z.; Li, L.; Chang, M. The role of Cortistatin-14 in the gastrointestinal motility in mice. Pharmacol. Rep. 2017, 70, 355–363. [Google Scholar] [CrossRef]
- Jiang, J.H.; Peng, Y.L.; Zhang, P.J.; Xue, H.X.; He, Z.; Liang, X.Y.; Chang, M. The ventromedial hypothalamic nucleus plays an important role in anxiolytic-like effect of neuropeptide S. Neuropeptides 2018, 67, 36–44. [Google Scholar] [CrossRef]
- Bibi, S.; Kang, Y.; Du, M.; Zhu, M.J. Maternal high-fat diet consumption enhances offspring susceptibility to DSS-induced colitis in mice. Obesity 2017, 25, 901–908. [Google Scholar] [CrossRef]
- Lee, A.S.; Sung, M.J.; Kim, W.; Jung, Y.J. COMP-angiopoietin-1 ameliorates inflammation-induced lymphangiogenesis in dextran sulfate sodium (DSS)-induced colitis model. J. Mol. Med. 2018, 96, 459–467. [Google Scholar] [CrossRef]
- Zhang, W.F.; Yang, Y.; Su, X.; Xu, D.Y.; Yan, Y.L.; Gao, Q.; Duan, M.H. Deoxyschizandrin suppresses dss-induced ulcerative colitis in mice. Saudi J. Gastroenterol. 2016, 22, 448–455. [Google Scholar]
Sample Availability: Samples of the compound MMI-0100 are not available from the authors. |







| Gene | Prime | Sequence (5′–3′) |
|---|---|---|
| IL-1β | sense | CAGCTTCAAATCTCGCAGCA |
| anti-sense | CTCATGTCCTCATCCTGGAAGG | |
| TNF-α | sense | ACTCCCAGGTTCTCTTCAAGG |
| anti-sense | GGCAGAGAGGAGGTTGACTTTC | |
| iNOS | sense | CGCAGCTGGGCTGTACAAAC |
| anti-sense | CTGTGGCTCCCATGTTGCATT | |
| IL-6 | sense | ACAACCACGGCCTTCCCTA |
| anti-sense | TCATTTCCACGATTTCCCAGA | |
| TGF-β | sense | TTCAGCCACTGCCGTACAACTC |
| anti-sense | AGCAACAATTCCTGGCGTTACCT | |
| IFN-γ | sense | CAAGTTTGAGGTCAACAACCCAC |
| anti-sense | GACTCCTTTTCCGCTTCCTGA | |
| IL-17A | sense | CACCCTGGACTCTCCACCG |
| s100a8 (calprotectin A) s100a9 (calprotectin B) Lipocalin2 CRP | anti-sense sense anti-sense sense anti-sense sense anti-sense sense anti-sense | GCTTTCCCTCCGCATTGACA ATCTTTCGTGACAATGCCGTCT GCCACACCCACTTTTATCACCA GCAGCATAACCACCATCATCGAC AGATCAACTTTGCCATCAGCATC AAACAGAAGGCAGCTTTACGAT GCCACTTGCACATTGTAGCTCT TTCCCAAGGAGTCAGATACTTCC TCAGAGCAGTGTAGAAATGGAGA |
| GAPDH | sense | GCCACAGACGTCACTTTCCTAC |
| anti-sense | CGGGAACACAGTCACATACCA |
| Antibody Name | Dilution Concentration | Cat Number | Company |
|---|---|---|---|
| Anti-F4/80 Rabbit pAb | 1:100 | GB11027 | Servicebio |
| Anti-CD11b+ Rabbit pAb Anti-TNF-α Rabbit pAb Anti-IL-1β Rabbit mAb Anti-IL-6 Rabbit mAb | 1:100 1:1000 1:500 1:500 | GB11058 3707S sc-52012 sc-57315 | Servicebio CST, USA Santa Cruz, USA Santa Cruz, USA |
| Anti-p-MK2 Rabbit mAb | 1:1000 | 3007S | CST, USA |
| Anti-t-MK2 Rabbit mAb | 1:500 | D16188-0025 | BBI Life Sciences |
| Anti-Bcl-2 Rabbit mAb | 1:500 | sc-7382 | Santa Cruz, USA |
| Anti-Bax Rabbit pAb | 1:500 | D120073-0025 | BBI Life Sciences |
| Anti-c-Caspase-3Rabbit mAb | 1:500 | AC033 | Beyotime |
| Anti-Caspase-3 Rabbit pAb | 1:500 | AC030 | Beyotime |
| Anti-pIκBα Rabbit mAb | 1:500 | sc-8404 | Santa Cruz, USA |
| Anti-IκBα Rabbit mAb Anti-p-p65 Rabbit mAb Anti-p65 Rabbit mAb | 1:500 1:1000 1:500 | sc-1643 3033S sc-8008 | Santa Cruz, USA CST, USA Santa Cruz, USA |
| GAPDH Rabbit mAb | 1:1000 | 5174S | CST, USA |
| Second antibody | 1:1000 | A0208 | Beyotime |
© 2019 by the authors. Licensee MDPI, Basel, Switzerland. This article is an open access article distributed under the terms and conditions of the Creative Commons Attribution (CC BY) license (http://creativecommons.org/licenses/by/4.0/).
Share and Cite
Wang, Z.; Liang, X.Y.; Chang, X.; Nie, Y.Y.; Guo, C.; Jiang, J.H.; Chang, M. MMI-0100 Ameliorates Dextran Sulfate Sodium-Induced Colitis in Mice through Targeting MK2 Pathway. Molecules 2019, 24, 2832. https://doi.org/10.3390/molecules24152832
Wang Z, Liang XY, Chang X, Nie YY, Guo C, Jiang JH, Chang M. MMI-0100 Ameliorates Dextran Sulfate Sodium-Induced Colitis in Mice through Targeting MK2 Pathway. Molecules. 2019; 24(15):2832. https://doi.org/10.3390/molecules24152832
Chicago/Turabian StyleWang, Zhe, Xue Ya Liang, Xin Chang, Yao Yan Nie, Chen Guo, Jin Hong Jiang, and Min Chang. 2019. "MMI-0100 Ameliorates Dextran Sulfate Sodium-Induced Colitis in Mice through Targeting MK2 Pathway" Molecules 24, no. 15: 2832. https://doi.org/10.3390/molecules24152832
APA StyleWang, Z., Liang, X. Y., Chang, X., Nie, Y. Y., Guo, C., Jiang, J. H., & Chang, M. (2019). MMI-0100 Ameliorates Dextran Sulfate Sodium-Induced Colitis in Mice through Targeting MK2 Pathway. Molecules, 24(15), 2832. https://doi.org/10.3390/molecules24152832
