Molecular Discrimination of Cynanchum wilfordii and Cynanchum auriculatum by InDel Markers of Chloroplast DNA
Abstract
1. Introduction
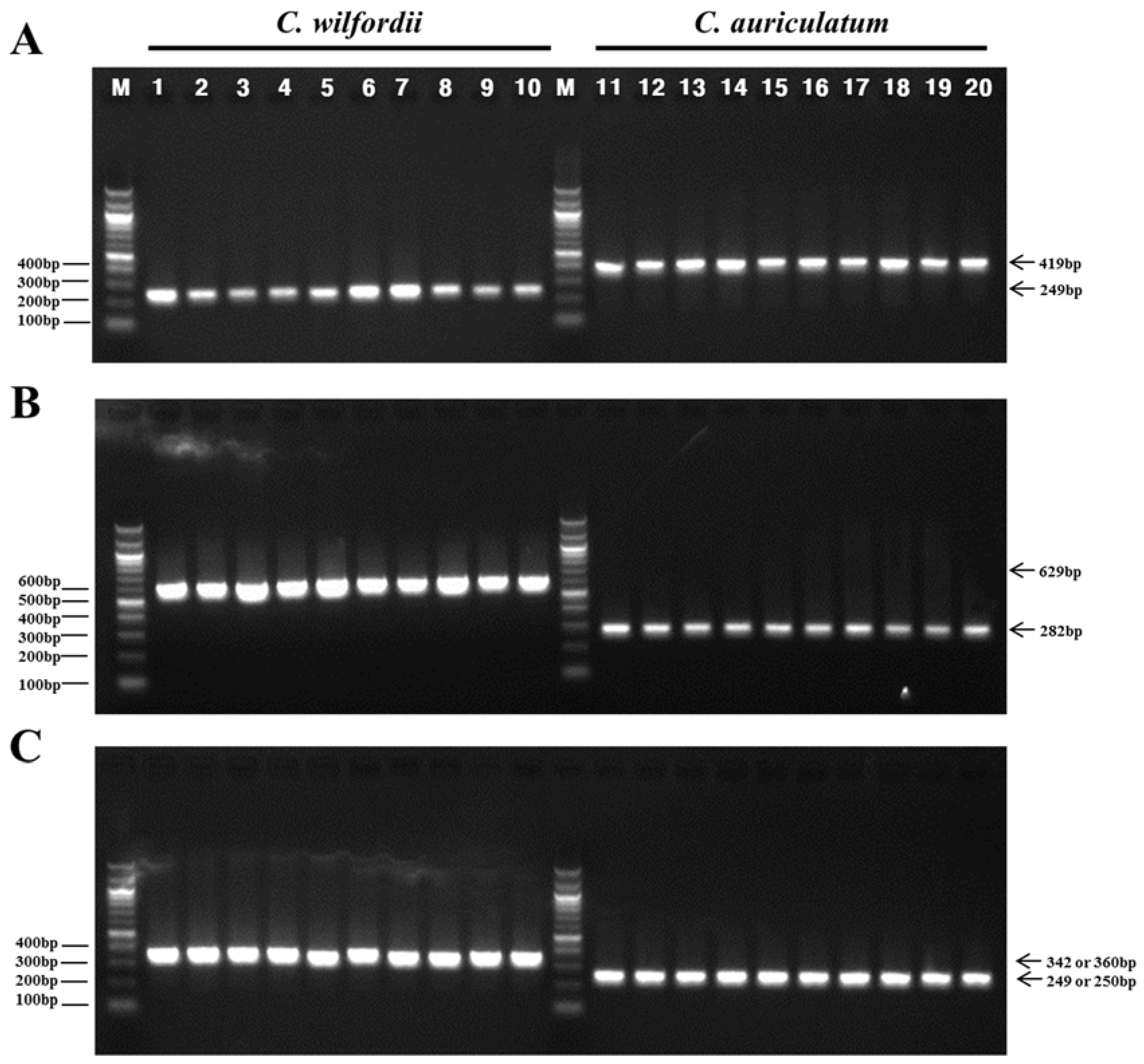
2. Results and Discussion
3. Materials and Methods
3.1. InDels in Multiple Alignments of Chloroplast Genome Sequences
3.2. Sampling and Genomic DNA Extraction
3.3. PCR Amplification and DNA Sequencing
Author Contributions
Funding
Acknowledgments
Conflicts of Interest
References
- Tsiang, V. Asclepiadaceae. Flora China 1977, 63, 249–575. (In Chinese) [Google Scholar]
- Korea Food and Drug Administration (KFDA). The Korean Herbal Pharmacopoeia; Korea Food and Drug Administration: Seoul, Korea, 2002; p. 98.
- Chang, A.; Kwak, B.-Y.; Yi, K.; Kim, J.S. The Effect of Herbal Extract (EstroG-100) on Pre-, Peri-and Post-Menopausal Women: A Randomized Double-blind, Placebo-controlled Study. Phytother. Res. 2012, 26, 510–516. [Google Scholar] [CrossRef] [PubMed]
- Gu, X.-J.; Yao, N.; Qian, S.-H.; Li, Y.-B.; Li, P. Four new C21 steroidal glycosides from the roots of Cynanchum auriculatum. Helv. Chim. Acta 2009, 92, 88–97. [Google Scholar] [CrossRef]
- Choi, D.H.; Lee, Y.J.; Kim, J.S.; Kang, D.G.; Lee, H.S. Cynanchum wilfordii ameliorates hypertension and endothelial dysfunction in rats fed with high fat/cholesterol diets. Immunopharm. Immunot. 2012, 34, 4–11. [Google Scholar] [CrossRef] [PubMed]
- Koo, H.J.; Sohn, E.-H.; Pyo, S.; Woo, H.G.; Park, D.W.; Ham, Y.-M.; Park, S.-Y.; Kang, S.C. An ethanol root extract of Cynanchum wilfordii containing acetophenones suppresses the expression of VCAM-1 and ICAM-1 in TNF-α-stimulated human aortic smooth muscle cells through the NF-κB pathway. Int. J. Mol. Med. 2015, 35, 915–924. [Google Scholar] [CrossRef] [PubMed]
- Yang, S.B.; Lee, S.M.; Park, J.-H.; Lee, T.H.; Baek, N.-I.; Park, H.-J.; Lee, H.; Kim, J. Cynandione A from Cynanchum wilfordii attenuates the production of inflammatory mediators in LPS-induced BV-2 microglial cells via NF-κB inactivation. Biol. Pharm. Bull. 2014, 37, 1390–1396. [Google Scholar] [CrossRef] [PubMed]
- Ministry of Food and Drug Safety, Korea. Available online: http://www.mfds.go.kr/index.do?mid=676&seq=27270 (accessed on 22 April 2015). (In Korean)
- Moon, B.C.; Choo, B.K.; Cheon, M.S.; Yoon, T.; Ji, Y.; Kim, B.B.; Lee, A.Y.; Kim, H.K. Rapid molecular authentication of three medicinal plant species, Cynanchum wilfordii, Cynanchum auriculatum, and Polygonum multiflorum (Fallopia multiflorum), by the development of RAPD-derived SCAR markers and multiplex-PCR. Plant Biotechnol. Rep. 2010, 4, 1–7. [Google Scholar] [CrossRef]
- Han, E.H.; Cho, K.; Goo, Y.; Kim, M.; Shin, Y.W.; Kim, Y.H.; Lee, S.W. Development of molecular markers, based on chloroplast and ribosomal DNA regions, to discriminate three popular medicinal plant species, Cynanchum wilfordii, Cynanchum auriculatum, and Polygonum multiflorum. Mol. Boil. Rep. 2016, 4, 323–332. [Google Scholar] [CrossRef] [PubMed]
- Ryuk, J.A.; Lee, H.W.; Ju, Y.S.; Ko, B.S. Monitoring and identification of Cynanchum wilfordii and Cynanchum auriculatum by using molecular markers and real-time polymerase chain reaction. J. Korean Soc. Appl. Biol. Chem. 2014, 57, 245–251. [Google Scholar] [CrossRef]
- Kim, M.K.; Wang, H.; Kim, Y.J.; Sathiyamoorthy, S.; Yang, D.C. Molecular authentication by multiplex-PCR of three similar medicinal plant species: Cynanchum wilfordii, Cynanchum auriculatum and Polygonum multiflorum (Fallopia multiflorum). J. Med. Plants Res. 2013, 4, 2584–2589. [Google Scholar]
- Park, H.S.; Kim, K.Y.; Kim, K.; Lee, S.C.; Lee, J.; Seong, R.S.; Yang, T.J. The complete chloroplast genome sequence of an important medicinal plant Cynanchum wilfordii (Maxim.) Hemsl. (Apocynaceae). Mitochondr. DNA Part A 2016, 27, 3747–3748. [Google Scholar] [CrossRef] [PubMed]
- Jang, W.; Kim, K.Y.; Kim, K.; Lee, S.C.; Park, H.S.; Lee, J.; Yang, T.J. The complete chloroplast genome sequence of Cynanchum auriculatum Royle ex Wight (Apocynaceae). Mitochondr. DNA Part A 2016, 27, 4549–4550. [Google Scholar] [CrossRef] [PubMed]
- Li, W.; Cowley, A.; Uludag, M.; Gur, T.; McWilliam, H.; Squizzato, S.; Park, Y.M.; Buso, N.; Lopez, R. The EMBL-EBI bioinformatics web and programmatic tools framework. Nucleic Acids Res. 2015, 43, W580–W584. [Google Scholar] [CrossRef] [PubMed]
- Sudhir, K.; Stecher, G.; Tamura, K. MEGA7: Molecular Evolutionary Genetics Analysis version 7.0 for bigger datasets. Mol. Biol. Evol. 2016, 33, 1870–1874. [Google Scholar]
- PrimerQuest Tool. Integrated DNA technologies, Skokie, Illinois. Available online: http://www.idtdna.com/Primerquest/Home/Index (accessed on 1 December 2016).
Sample Availability: DNA samples are available from the authors. |







| Locus | Nucleotide Sequences (5′→3′) | Location (nt) | Expected PCR Product Size (bp) | |
|---|---|---|---|---|
| Primer Name | C. wilfordii | C. auriculatum | ||
| trnQ-psbK-IGS_F | AAACCCGTTGCCTTACC | 7558–7980 | 249 | 419 |
| trnQ-psbK-IGS_R | AGATTGGAGTTGACAAATAACG | |||
| rps2-rpoC2-IGS_F | GGTCTACCACTATAAACTAAAC | 16,953–17,582 | 629 | 282 |
| rps2-rpoC2-IGS_R | GCGGTGATACTCATATACA | |||
| psaJ-rpl33-IGS_F | CACCGTTATTTCCTCCGTTGATA | 74465–74806 | 342, 360 | 249, 250 |
| psaJ-rpl33-IGS_R | CCTTACCGAGCATTTGCGA | |||
| Herbal Markets | Material Component | Source |
|---|---|---|
| A | Dried Radix of Baekshuoh products (300 g) | Yeongju-si, Gyeongsangbuk-do, Korea |
| B | Gangwon-do, Korea | |
| C | Yeongju-si, Gyeongsangbuk-do, Korea | |
| D | Yeongju-si, Gyeongsangbuk-do, Korea | |
| E | Yeongju-si, Gyeongsangbuk-do, Korea | |
| F | Bonghwa-gun, Gyeongsangbuk-do, Korea | |
| G | Bonghwa-gun, Gyeongsangbuk-do, Korea | |
| H | Yeongju-si, Gyeongsangbuk-do, Korea | |
| I | Sancheong-gun, Gyeongsangnam-do, Korea | |
| J | Yeongwol-gun, Gangwon-do, Korea |
| No. | Species | Research Group | NCBI Accessions of Chloroplast Genome | Sequence Length (bp) |
|---|---|---|---|---|
| 1 | C. wilfordii | Lab. of Functional Crop Genomics & Biotechnology, Department of Plant Sciences College of Agriculture and Life Sciences, Seoul National University, Korea | NC029459 | 161,241 |
| 2 | KT220733 | |||
| 3 | C. auriculatum | Lab. of Functional Crop Genomics & Biotechnology, Department of Plant Sciences College of Agriculture and Life Sciences, Seoul National University, Korea | NC029460 | 160,840 |
| 4 | KT220734 | |||
| 5 | Department of Herbal Crop Research, National Institute of Horticultural and Herbal Science, Rural Development Administration, Eumseong, Korea | KU900231 | 160,203 |
© 2018 by the authors. Licensee MDPI, Basel, Switzerland. This article is an open access article distributed under the terms and conditions of the Creative Commons Attribution (CC BY) license (http://creativecommons.org/licenses/by/4.0/).
Share and Cite
Kim, Y.; Choi, H.; Shin, J.; Jo, A.; Lee, K.-E.; Cho, S.-S.; Hwang, Y.-P.; Choi, C. Molecular Discrimination of Cynanchum wilfordii and Cynanchum auriculatum by InDel Markers of Chloroplast DNA. Molecules 2018, 23, 1337. https://doi.org/10.3390/molecules23061337
Kim Y, Choi H, Shin J, Jo A, Lee K-E, Cho S-S, Hwang Y-P, Choi C. Molecular Discrimination of Cynanchum wilfordii and Cynanchum auriculatum by InDel Markers of Chloroplast DNA. Molecules. 2018; 23(6):1337. https://doi.org/10.3390/molecules23061337
Chicago/Turabian StyleKim, Yonguk, Hakjoon Choi, Jawon Shin, Ara Jo, Kyung-Eun Lee, Seung-Sik Cho, Yong-Pil Hwang, and Chulyung Choi. 2018. "Molecular Discrimination of Cynanchum wilfordii and Cynanchum auriculatum by InDel Markers of Chloroplast DNA" Molecules 23, no. 6: 1337. https://doi.org/10.3390/molecules23061337
APA StyleKim, Y., Choi, H., Shin, J., Jo, A., Lee, K.-E., Cho, S.-S., Hwang, Y.-P., & Choi, C. (2018). Molecular Discrimination of Cynanchum wilfordii and Cynanchum auriculatum by InDel Markers of Chloroplast DNA. Molecules, 23(6), 1337. https://doi.org/10.3390/molecules23061337

