Abstract
Immobilization is an exciting alternative to improve the stability of enzymatic processes. However, part of the applied covalent strategies for immobilization uses specific conditions, generally alkaline pH, where some enzymes are not stable. Here, a new generation of heterofunctional supports with application at neutral pH conditions was proposed. New supports were developed with different bifunctional groups (i.e., hydrophobic or carboxylic/metal) capable of adsorbing biocatalysts at different regions (hydrophobic or histidine richest place), together with a glutaraldehyde group that promotes an irreversible immobilization at neutral conditions. To verify these supports, a multi-protein model system (E. coli extract) and four enzymes (Candida rugosa lipase, metagenomic lipase, β-galactosidase and β-glucosidase) were used. The immobilization mechanism was tested and indicated that moderate ionic strength should be applied to avoid possible unspecific adsorption. The use of different supports allowed the immobilization of most of the proteins contained in a crude protein extract. In addition, different supports yielded catalysts of the tested enzymes with different catalytic properties. At neutral pH, the new supports were able to adsorb and covalently immobilize the four enzymes tested with different recovered activity values. Notably, the use of these supports proved to be an efficient alternative tool for enzyme immobilization at neutral pH.
1. Introduction
A simple, cheap and efficient immobilization strategy represents one of the main bottlenecks in the implementation of many industrial-scale enzymatic processes. Immobilization technology, as a very powerful tool, has been intensively applied to prepare various high-performance and economically-feasible biocatalysts improving activity, stability and selectivity [1,2,3,4]. By careful adjusting of the immobilization strategies, heterogeneous biocatalysts can work in broader pH and temperature ranges, and show greater thermal stability than their native free form [5,6].
Currently, a variety of methodologies for the immobilization of enzymes have been described. Among them, covalent immobilization on solid supports has been shown to be able to stabilize a variety of enzymes. Thus, supports activated with different functional groups (epoxy, aldehyde, glutaraldehyde, and others) have been developed and applied. However, the use of these supports only permit the random immobilization or the immobilization through only one region (e.g., richest in lysine region for aldehyde supports). This makes it so that only one kind of catalyst can be obtained using a functional covalent group; the product of the rigidification through one region or the average of the properties of the different enzyme molecules by random immobilization [7,8,9,10]. Because of these properties, several studies have shown the efficiency of immobilizing different enzymes in heterofunctionalized supports using various adsorbing groups (octyl, primary or secondary amino groups, ionic exchangers, metallic chelates and others) and reactive moieties (glyoxyl, epoxy, aldehyde, divinyl sulfone, amino, or glutamic groups), which are capable of adsorbing the protein physically and subsequently establishing covalent or ionic linkages with nucleophilic groups on the adsorbed protein [6,11,12,13,14,15,16]. One of the main advantages of use this type of supports is that they allows the orientation of the enzyme immobilization in different zones in its surface, being an alternative to the monofunctional supports. Heterofunctional supports are currently being studied as a useful tool in the immobilization of lipases (lipases from Pseudomonas stutzeri, Rhizomucor miehei, Thermomyces lanuginosus, and Candida antarctica), for instance, immobilizing silica or agarose supports containing distinct hydrophobic adsorbing groups (different alkyl groups) and reactive moieties [12,13,15,16,17]. In addition to the lipases, β-galactosidases (e.g., Aspergillus oryzae and Thermus sp.) and other enzymes have been immobilized on heterofunctional supports, obtaining good results with respect to their use [18,19,20,21]. For most strategies involving the application of heterofunctional supports, the immobilization process needs to be carried out in at least two steps: first the enzyme is adsorbed into the different adsorbent groups under mild conditions (i.e., low ionic strength and neutral pH), followed by elevation to alkaline conditions (around pH 10) for the occurrence of multiple interactions between nucleophilic groups on the enzyme (typically amino, hydroxyl, and/or thiol moieties) and reactive groups on the surface of the support. In some cases an additional step is carried out involving the reduction process necessary to establish multiple covalent linkages between the support and the enzyme [9]. However, the reduction step can cause some deleterious effects on the protein structure, cleaving disulfide and peptide linkages or reducing some groups essential for catalysis [22,23].
Although these immobilization methods are very useful, their uses have several limitations. One disadvantage of its use is the need to apply alkaline pH conditions (around pH 10) to enhance the reactivity of the nucleophilic residues found on the protein surface. Thus enzymes that are intrinsically unstable at alkaline pH values (e.g., the lipase from Candida rugosa) can be inactivated by the immobilization process [9,24,25]. An alternative process is the use of the reagent glutaraldehyde. The chemical covalent attachment process using glutaraldehyde is particularly attractive, since it provides a carefully regulated connection with specific groups found on the proteins under mild pH conditions [26]. Furthermore, the chemical reactivity shown by glutaraldehyde means that the reduction process with sodium borohydride is not strictly necessary [9].
Standard immobilization techniques using glutaraldehyde as the coupling agent are quite simple, efficient and probably the most used technique to carry out enzyme immobilization. Glutaraldehyde can react with different portions of the enzyme, mainly involving the primary amino groups of proteins, although it may eventually react with other groups (thiols, phenols and imidazoles) [9,26]. Supports functionalized with glutaraldehyde groups are described as being readily constructed from different supports containing primary amino groups (i.e., ethylenediamine-activated supports). However, the chemistry of glutaraldehyde in aqueous solution as well as the structures related to protein crosslinking or to enzyme immobilization are not yet fully understood. Some structures have been proposed for aqueous solutions of glutaraldehyde, which reported that in the pH from 3.0 to 8.0 and under dilute conditions, the glutaraldehyde reagent may exist as monomers (free aldehyde form or pre-dominantly cyclic hemiacetal), whereas in concentrations above 25% or under acidic conditions, oligomeric hemiacetals are formed. The equilibrium between the linear and cyclic monomeric forms is described as being linearly oriented as the temperature increases. Under basic conditions, oligomeric aldehydes may be formed by way of intermolecular aldol condensations [9,26,27].
Apart from the structural complexity presented by glutaraldehyde, its configuration already characterizes it as having distinct heterofunctionalities. Depending on the conditions applied during the process of immobilization with glutaraldehyde-activated supports, the proteins can be immobilized by three different mechanisms. On using very high ionic strength, the protein may first be immobilized by way of hydrophobic adsorption before forming the covalent bonds, whereas when using low ionic strength, primary immobilization will be by way of anion exchange. If the ionic strength applied were moderate, protein immobilization is described as being mainly due to covalent bonds [9,26,28,29,30].
In this work, a new generation of heterofunctional supports was proposed using different groups (hydrophobic or metal-chelate groups) capable of adsorbing proteins via different regions, followed by activation with the glutaraldehyde group, which can react covalently with the adsorbed proteins under neutral pH conditions (Scheme 1). Therefore, this work proposed the use of glutaraldehyde for the activation and formation of covalent linkages as a viable alternative to the alkaline mechanics currently applied. After the construction, a study was carried out with a multi-protein model system (E. coli BL21 crude extract) to define the conditions under which a pure immobilization mechanism occurred by way of adsorbed groups, and to define the conditions under which a connection can occur via only covalent bonds using the reagent glutaraldehyde. Structural analyses of the supports were carried out using Fourier Transformed Infrared (FTIR) spectroscopy with the aim of demonstrating the connection between the amine groups present in the support and the glutaraldehyde groups. Moreover studies using four different enzymes (Candida rugosa lipase—CRL, metagenomic lipase—LipC12, β-galactosidase—KlBgal and β-glucosidase—EaBglA) were evaluated to verify the ability of the new supports to adsorb and form covalent linkages under neutral pH conditions. The properties of the immobilized enzymes, such as their activity and thermal stability, were also studied.
Scheme 1.
Schematic representation of the chemical modification in the surface of the agarose. The structures of the supports were idealized based on previous reviews concerning glutaraldehyde chemistry [26,27]. IDA (iminodiacetic acid); EDA (ethylenediamine); NaBH4 (sodium borohydride); NaIO4 (sodium periodate); GLU (glutaraldehyde); and HS-C8 (1-octanothiol).
2. Results and Discussion
2.1. Construction and Analysis of New Heterofunctional Supports
Agarose-based beads were chosen as a base matrix for the construction of different heterofunctional supports. Agarose is a strongly hydrophilic, lyophilic and inert colloid that can reversibly form stable and firm gels. Its suitability as an excellent support is confirmed by its high area rich in hydroxyl groups [31,32]. Briefly, agarose was activated with epichlorohydrin, a bifunctional reagent used to obtain epoxy groups [33]. The reaction was performed in alkaline conditions where most of the primary hydroxyl groups of the support were deprotonated. The primary reaction formed epoxy groups but as the reaction occurred in an alkaline environment, some of the epoxy groups created were hydrolyzed and yielded diol groups (Scheme 1). The total amount of activated primary hydroxyl groups obtained was around 65 ± 0.3 μmoL g−1, with epoxy groups accounting for 23 ± 0.4 μmoL g−1 and diol groups accounting for 42 ± 0.4 μmoL g−1. By obtaining a basic structure containing epoxy/diol groups, the new heterofunctional supports were prepared using the following strategy: (i) the epoxy groups formed were functionalized with different bifunctional reagents (i.e., hydrophobic or carboxylic/metal groups); and (ii) the diol groups were firstly oxidized with sodium periodate (NaIO4), and then activated with amino groups using ethylenediamine (EDA) (Scheme 1). The amino groups were applied to future activation with glutaraldehyde molecules. The new supports were constructed using very stable bifunctional groups and inert amino groups that allow storage for long periods prior to activation with the glutaraldehyde molecules.
The new heterofunctional supports are expected to perform an initial protein adsorption only by the inserted heterofunctional groups (i.e., hydrophobic groups or metal chelate linked to the carboxylic groups), and only later to establish a covalent interaction with the glutaraldehyde group. However, reactive groups used in their construction, such as amino (from ethylenediamine, EDA), may interfere in a pure immobilization process. A conjugation chemistry that introduces a charged functional group into the support can cause nonspecific binding by promoting ion-exchange effects. However, in some cases, as in the traditional glutaraldehyde activated supports, a pure immobilization process is expected. Therefore, a linkage that alters the flow and binding characteristics of the support, e.g., EDA, is not of interest for the work. Thus, a possible unspecific adsorption via ion-exchange by the amino groups was studied. A multi-protein model system (E. coli BL21 crude extract, 5 mg g−1 of support) was offered to a pure amino support (activated only with ethylenediamine/Aga-EDA), and then the adsorption process at different ionic strengths was analyzed (Figure 1a). The E. coli extract was applied because it contains proteins with different properties and characteristics, therefore providing different affinities for the adsorption [30]. At pH 7 and low ionic strength (25 mM sodium phosphate buffer), 50% of proteins were quickly adsorbed in 30 min (Figure 1a). An increase in the ionic strength promoted a decrease in the adsorption by amino groups until a negligible adsorption of proteins was found in 500 mM sodium phosphate buffer (even at 200 mM sodium phosphate buffer, the adsorption was almost negligible during the first hour). The results show that the new supports could not be used under low ionic strength due to protein interaction being conducted via a double mechanism, which would be promoted by amino groups (from ethylenediamine), and by the heterofunctional groups inserted in the new supports.
Figure 1.
Immobilization of proteins present in the crude extract of E. coli BL21. (a) Immobilization on Aga-EDA support (Control); (b) Immobilization on Aga-EDA-GLU-Control support after the reduction process (Control).
25 mM;
50 mM;
100 mM;
200 mM; and
500 mM sodium phosphate buffer at pH 7; (c) Immobilization on different supports using 200 mM sodium phosphate buffer at pH 7.
Aga-C8-GLU;
Aga-IDA-Ni2+-EDA-GLU;
Aga-EDA-GLU;
Aga-EDA (Control); and
Aga-EDA-GLU-Control (Control). The results are expressed as the average of triplicate assays ± the standard error of the mean.
25 mM;
50 mM;
100 mM;
200 mM; and
500 mM sodium phosphate buffer at pH 7; (c) Immobilization on different supports using 200 mM sodium phosphate buffer at pH 7.
Aga-C8-GLU;
Aga-IDA-Ni2+-EDA-GLU;
Aga-EDA-GLU;
Aga-EDA (Control); and
Aga-EDA-GLU-Control (Control). The results are expressed as the average of triplicate assays ± the standard error of the mean.
Similarly, a possible adsorption by the glutaraldehyde structure was studied. Depending on the conditions applied, the immobilization process with glutaraldehyde groups can occur by a double step: in a first step, there is the adsorption of proteins on the support and then, the covalent immobilization [26,30]. Thus, a study using a support activated only by glutaraldehyde groups but reduced with sodium borohydride (Aga-EDA-GLU-Control) was done. The reduction step with sodium borohydride was used to transform the Schiff’s bases (–N=C– double bond) into stable primary amino bonds [34]. A negligible adsorption was observed using either 200 mM or 500 mM sodium phosphate buffer (Figure 1b). On the other hand, when low ionic strengths were applied, a significant protein adsorption was found (21% in 100 mM). Therefore, the results indicate that the process of the immobilization on the new heterofunctional supports has to be carried out at a moderate ionic strength (200–500 mM) to prevent unspecific interaction, such as ion-exchange. Furthermore, it has been described that protein immobilization using glutaraldehyde groups with moderate ionic strength occur by direct covalent attachment [9,26,35], which is of interest in the present study.
Considering these data, the E. coli BL21 crude extract was offered to new supports using moderate ionic strength (200 mM sodium phosphate buffer at pH 7) to prevent unspecific absorptions, and to promote a direct covalent and irreversible immobilization by glutaraldehyde groups. Using the new supports (Aga-C8-GLU and Aga-IDA-Metal-EDA-GLU), more than 95% of all proteins from E. coli BL21 crude extract were immobilized after 5 h (Figure 1c). To compare the immobilization efficiency of the new supports, the crude extract was offered to the traditional support activated using glutaraldehyde (Aga-EDA-GLU), and a similar result was obtained after 5 h (Figure 1c). The controls (Aga-EDA and Aga-EDA-GLU-Control) were repeated and no protein adsorption was found (Figure 1c). The findings suggest that the proteins can be immobilized on new glutaraldehyde-activated supports at moderate ionic strength, where unspecific interactions are not found.
FTIR spectra analysis was used to characterize the activation with the glutaraldehyde group, reflecting the effectiveness of the developed procedure in producing different glutaraldehyde-activated supports. The FTIR spectra were taken from untreated and treated with the glutaraldehyde group, using EDA-functionalized supports to determine any changes in chemical bonding states (Figure 2). The new band around 1660 cm−1 (as shown in Figure 2a(2) and Figure 2b(2)) was ascribed to the presence of imine (–N=C–) in the support as the result of the reaction between glutaraldehyde and the amino groups of the EDA found on the supports. Previous studies indicate that the reaction of the agent glutaraldehyde with primary amine groups in the treated support is well accepted [27,36].
Figure 2.
Fourier Transformed Infrared (FTIR) spectra for agarose supports: (a) Aga-IDA-EDA support (1) before modification, and (2) after chemical modifications with the agent glutaraldehyde; and (b) Aga-C8-EDA support, (1) before modification, and (2) after chemical modifications with the agent glutaraldehyde. Aga (agarose beads); IDA (iminodiacetic acid); EDA (ethylenediamine); and C8 (1-octanothiol).
2.2. Immobilization of Different Biocatalysts on the New Heterofunctional Supports
The new supports were used for the covalent immobilization of different enzymes in mild conditions (neutral pH). For the immobilization assays on these supports, four enzymes of biotechnological interest were used, namely: Candida rugosa lipase (CRL), metagenomic lipase (LipC12), β-galactosidase (KlBgal) and β-glucosidase (EaBglA).
To prevent non-specific adsorptions, the immobilization tests were carried out using a moderate ionic strength (200 mM at pH 7). In all cases, the non-specific adsorption was negligible. Table 1 shows the tests with the different glutaraldehyde-activated supports using the lipase from Candida rugosa (CRL). Lipase CRL is an enzyme used in several biocatalytic processes; however, it shows great structural instability especially at alkaline pH [25,37]. At pH 7, immobilization tests with lipase CRL on the new glutaraldehyde-activated supports were done, and the data showed that the final recovered activity was strongly dependent on the support used. The recovered activity (R) values were from 210% (new hydrophobic group-glutaraldehyde support, Aga-C8-GLU) to 54% (new metal group-glutaraldehyde support, Aga-IDA-Metal-EDA-GLU). Traditional glutaraldehyde support (Aga-EDA-GLU) showed almost unaltered recovered activity (R = 95%) compared to the initial activity of the free enzyme. For further studies, lipase CRL was also immobilized on a commercial support activated only with hydrophobic groups (Octyl-Sepharose). The commercial hydrophobic support showed a recovered activity of R = 225%, similar to that found by the new hydrophobic group-glutaraldehyde support (Aga-C8-GLU, Table 1). Both hydrophobic supports have shown a hyperactivation described as being related to the interfacial activation of the enzyme, whereby the catalyst may be adsorbed in its open form, compared to the soluble form in the standard conformational equilibrium [38]. Thus, the presence of the agent glutaraldehyde on Aga-C8-GLU did not significantly alter lipase adsorption by the hydrophobic group. The results for lipase CRL immobilized on the Aga-C8-GLU were in general agreement with a previous study with octyl activated with divinyl sulfone (OCDVS, more than 3-fold recovered activity) [14].
Table 1.
Candida rugosa lipase (CRL) and metagenomic lipase (LipC12) immobilization on glutaraldehyde-activated supports.
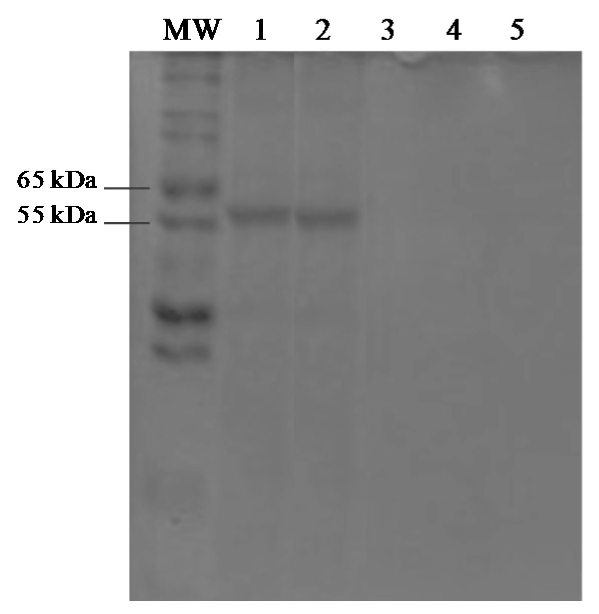
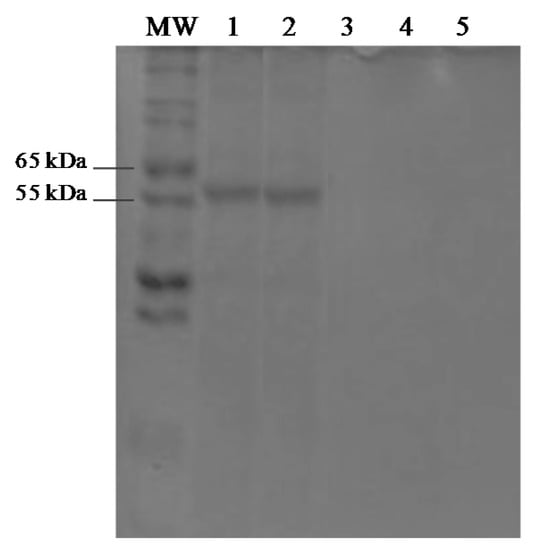
To analyze if CRL was covalently attached to the new supports and not only by adsorption, the different CRL preparations were boiled in Laemmli’s disruption buffer (which contains mercaptoethanol and SDS) and analyzed by SDS-polyacrylamide gel electrophoresis (SDS-PAGE, Figure 3). CRL was used as a model because it is a monomeric enzyme. The glutaraldehyde is known to establish covalent bonds at pH 7 [9,39]. According to SDS-PAGE results, the new glutaraldehyde-activated supports did not allow the release of the immobilized CRL, proving that the new supports can promote the adsorption and subsequent covalent immobilization by the glutaraldehyde group at pH 7. CRL immobilized on Octyl-Sepharose produced a band in SDS-PAGE (Figure 3), which indicates only the adsorption to the hydrophobic groups.
Figure 3.
SDS-polyacrylamide gel electrophoresis (SDS-PAGE) analysis of CRL desorption assays from different supports. The lanes were loaded as follows: lane MW, protein molecular weight markers; lane 1, free CRL lipase; lane 2, eluted fraction from the commercial Octyl-Sepharose; lane 3, eluted fraction from Aga-EDA-GLU at pH 7; lane 4, eluted fraction from Aga-C8-GLU at pH 7; lane 5, eluted fraction from Aga-IDA-Ni2+-EDA-GLU at pH 7. The proteins were stained with Coomassie Brilliant Blue R-250.
Further experiments of lipase CRL desorption from the different supports were done by the addition of Triton ×100, NaCl and imidazol (Table 2). The tests were used to prove that lipase CRL was not hydrophobic or ion-bound to the new supports. In the analysis, the activities of supernatants and suspensions were measured to verify the desorption of the immobilized CRL. The use of the non-ionic detergent Triton ×100 produced a significant desorption of the immobilized CRL on Octyl-Sepharose (81% initial activity), while a negligible activity was obtained in the supernatant for the new hydrophobic group-glutaraldehyde support/Aga-C8-GLU (Table 2). Higher concentrations of Triton ×100 were not able to remove CRL from the new glutaraldehyde-activated support (data not shown). Analysis using NaCl and imidazol showed a negligible activity found in the supernatant for the immobilized CRL on Aga-EDA-GLU and Aga-IDA-Metal-EDA-GLU supports. These results confirm the covalent immobilization of lipase CRL by the glutaraldehyde group at pH 7.
Table 2.
Desorption assays of different CRL preparations.
Another monomeric lipase obtained from metagenomics (lipase LipC12, [40]) was also studied (Table 1). All the assayed supports allowed the complete immobilization of lipase LipC12. The recovered activities were different depending on the support used in the immobilization (Table 1). Upon immobilization on all supports, a high-recovered activity (R = 269%) was obtained with the new hydrophobic group-glutaraldehyde support (Aga-C8-GLU) showing a hyperactivation of lipase LipC12 (Table 1). Moreover, LipC12 immobilized on Aga-IDA-Metal-EDA-GLU and Aga-EDA-GLU (traditional support) showed recovered activity of 100% and 42%, respectively. The traditional glutaraldehyde-activated support used as control system showed a low recovered activity of LipC12 in relation to the new supports. A similar study of covalent attachment by the glutaraldehyde group was accomplished, and no desorption was found for LipC12 immobilized on the new supports (data not shown).
Tests analyzing the possibility of using the new glutaraldehyde-activated supports on the immobilization of two complex multimeric enzymes were studied. β-galactosidase (KlBgal) and β-glucosidase (EaBglA) are described as tetrameric enzymes [41,42]. The structural complexity of these catalysts represents an especially complex problem for immobilization because small disturbances in their quaternary-structures may alter the precise distribution of the native state ensemble [39,43], with dissociation of subunits producing enzymatic inactivation. Therefore, these enzymes are fragile even in mild conditions. Table 3 shows the results for KlBgal and EaBglA with a final recovered activity ranging from 81 to 70% for the β-galactosidase and from 64 to 0% for the β-glucosidase. KlBgal immobilized on the new supports showed recovered activity values of 81% (Aga-C8-GLU) and 78% (Aga-IDA-Co2+-EDA-GLU). The traditional GLU supports (Aga-EDA-GLU) had an R 70%. The traditional glutaraldehyde-activated support (control system) showed a low recovered activity of KlBgal in relation to the new supports. A similar result has been reported for the covalent immobilization of Kluyveromyces lactis β-galactosidase in glyoxyl-Sepharose support [20], retaining approximately 82% of its initial activity after immobilization. In the case of EaBglA, Aga-IDA-Co2+-EDA-GLU showed the highest R (64%), following the traditional Aga-EDA-GLU with R 50%. The new hydrophobic-glutaraldehyde support yielded an inactive derivative after the immobilization process. Zanphorlin et al. [42] describe that the selective pressure at low temperatures favored mutations that redesigned the EaBglA protein surface, reducing the number of salt bridges, and exposing more the hydrophobic regions to the solvent. Its can thus be concluded that one reason for the inactivation of EaBglA when immobilized in the hydrophobic support may be due to the interaction between a high number of hydrophobic groups in the protein surface and the hydrophobic group of the support. As in the other cases, no activity was detected after desorption of the different preparations after incubation in Triton ×100, NaCl and imidazol.
Table 3.
β-Galactosidase (Klgal) and β-glucosidase (EaglA) immobilization on glutaraldehyde-activated supports.
2.3. Thermal Stability
Enzymatic stabilization has great importance due to the increasing number of applications of enzymes in almost all areas and it is one of the main aims when the immobilization of enzymes is performed [6]. Therefore, the thermal stabilities of different immobilized preparations and free forms were studied in 100 mM phosphate buffers, pH 7 using distinct temperatures. Figure 4a shows the tests using lipase CRL preparations. The stability of the adsorbed preparation (Octyl-Sepharose) was considerably similar to the free form with around 3.6-fold stabilization. The maximal stability was obtained with the traditional glutaraldehyde support (Aga-EDA-GLU) with a half-life of around 1560 min after incubation at 50 °C (Table 4). Considering that the half-life of the free CRL was 21 min, the stabilization factor obtained was around 74.3-fold. CRL immobilized on Aga-C8-GLU and Aga-IDA-Ni2+-EDA-GLU was 5.7 and 2.8-fold more stable than the free form.
Figure 4.
Thermal stability. (a) Lipase CRL at pH 7, 50 °C. (
) Aga-IDA-Metal-EDA-GLU; (
) Aga-C8-GLU; (
) Aga-EDA-GLU; (
) Octyl-Sepharose; and (
) free enzyme; (b) Lipase LipC12 at pH 7, 70 °C. (
) Aga-IDA-Metal-EDA-GLU; (
) Aga-C8-GLU; (
) Aga-EDA-GLU; and (
) free enzyme. The results are expressed as the average of triplicate assays ± the standard error of the mean.
) Aga-IDA-Metal-EDA-GLU; (
) Aga-C8-GLU; (
) Aga-EDA-GLU; (
) Octyl-Sepharose; and (
) free enzyme; (b) Lipase LipC12 at pH 7, 70 °C. (
) Aga-IDA-Metal-EDA-GLU; (
) Aga-C8-GLU; (
) Aga-EDA-GLU; and (
) free enzyme. The results are expressed as the average of triplicate assays ± the standard error of the mean.
Table 4.
Half-life (in minutes) of different immobilized preparations.
The thermal stability of lipase LipC12 preparations was assessed by incubation at 70 °C (Figure 4b, Table 4). At this temperature, the native free LipC12 had a half-life time of 13 min. The most stable preparation was found using the new hydrophobic group-glutaraldehyde support (Aga-C8-GLU) with a stabilization factor around 32.3-fold compared to the free form. The stability of LipC12 immobilized on the traditional amino (Ag-EDA-GLU) and new metal group-glutaraldehyde support (Aga-IDA-Ni2+-EDA-GLU) was, respectively, 5.8 and 1.8-fold higher than the free LipC12. The high improvement of lipase LipC12 after immobilization (Aga-C8-GLU/LipC12) is important because it permits the transformation of a mesophilic enzyme into an enzyme with properties that are similar to those of thermophilic organisms, such as Bacillus thermocatenolatus lipase (BTL) and Thermus thermophilus lipase (TTL) [44,45].
Figure 5 shows the thermal stability of the immobilized KlBgal and EaBglA at 40 °C. For KlBgal preparations, only Aga-IDA-Co2+-EDA-GLU promoted a significant stabilization (4.8-fold factor) compared to the free form (half-life of 33 min at 40 °C, Figure 5a and Table 4). All other preparations showed a lower stabilization than the free form (Aga-C8-GLU 0.52 and Aga-EDA-GLU 0.36-fold factor, Table 4). For studies with the immobilized EaBglA, it was observed that the Aga-IDA-Co2+-EDA-GLU (half-life time of 230 min) showed the best result, which was more stable (5.9-fold factor) than the traditional GLU preparation (Aga-EDA-GLU), and 10.9-times more stable than free enzyme (half-life time of 21 min at 40 °C, Figure 5b and Table 4). The Aga-EDA-GLU preparation also presents a half-life of 39 min (1.8-fold factor more stable than free form). In all cases, the stability of different preparations was strongly dependent on the support used in the immobilization process.
Figure 5.
Thermal stability. (a) β-galactosidase (Klgal) at pH 7, 40 °C. (
) Aga-C8-GLU; (
) Ag-EDA-GLU; (
) Aga-IDA-Metal-EDA-GLU, and (
) free enzyme; (b) β-glucosidase (EaglA) at pH 7, 40 °C. (
) Ag-EDA-GLU; (
) Aga-IDA-Metal-EDA-GLU, and (
) free enzyme. The results are expressed as the average of triplicate assays ± the standard error of the mean.
) Aga-C8-GLU; (
) Ag-EDA-GLU; (
) Aga-IDA-Metal-EDA-GLU, and (
) free enzyme; (b) β-glucosidase (EaglA) at pH 7, 40 °C. (
) Ag-EDA-GLU; (
) Aga-IDA-Metal-EDA-GLU, and (
) free enzyme. The results are expressed as the average of triplicate assays ± the standard error of the mean.
3. Materials and Methods
3.1. Materials
Agarose 4 BCL was purchased from Agarose Bead Technologies (Madrid, Spain). Epichlorohydrin, iminodiacetic acid, triethylamine, sodium borohydride, sodium periodate, 1-octanothiol, bovine serum albumin, O-nitro-phenyl-β-d-galactopyranoside (O-NPG), p-nitrophenyl proprionate (p-NPP), 4-nitrophenyl-β-d-glucopyranoside (p-NPG), and high molecular weight protein (Sigma MarkerTM, St. Louis, MO, USA) were purchased from Sigma (Sigma-Aldrich®, St. Louis, MO, USA). Glutaraldehyde solution (25%, v/v) and ethylenediamine were purchased from Alfa Aesar (Thermo Fisher Scientific®, Waltham, MA, USA). Octyl-Sepharose CL-4B was purchased from GE Healthcare Bio-Sciences (Uppsala, Sweden). The β-galactosidase from Kluyveromyces lactis (Lactozym pure 6500 L) (KlBgal) was kindly supplied by Novozymes A/S (Copenhagen, Denmark). The lipase from Candida rugosa (CRL) was purchased from Sigma (Sigma-Aldrich®, St. Louis, MO, USA). Overexpression and purification of lipase (LipC12) and β-glucosidase (EaBglA) were performed as previously described by Glogauer et al. [40] and Crespim et al. [47], respectively. All other chemicals used were of analytical grade.
3.2. Standard Determination of Enzymatic Activities
β-Glucosidase assays. The activity was determined using 4-nitrophenyl β-d-glucopyranoside (p-NPG) as substrate. The free or immobilized enzyme was added to a mixture solution (5 mM p-NPG in 50 mM sodium phosphate buffer at pH 7) and the increase in absorbance was monitored at 410 nm (pH 7.0, ε410 nm = 7320 M−10 cm−1) [47]. One unit (U) of enzyme was defined as the amount of enzyme required to release1 μmoL of p-nitrophenol per min and the specific activity was defined as the number of units per mg of protein.
Lipase assays. The activities were determined using p-nitrophenyl propionate (p-NPP) as substrate. The free or immobilized enzymes were added to a mixture solution (0.4 mM p-NPP in 50 mM sodium phosphate buffer at pH 7) and the increase in absorbance was monitored at 348 nm (pH 7.0, ε348 nm = 5150 M−1 cm−1) [29]. One unit (U) of enzyme was defined as the amount of enzyme required to release 1 μmoL of p-nitrophenol per min and the specific activity was defined as the number of units per mg of protein.
β-Galactosidase assays. The activity was determined using O-nitro-phenyl-β-d-galactopyranoside (O-NPG) as substrate. The free or immobilized enzyme was added to a mixture solution (5 mM O-NPG in 50 mM potassium phosphate buffer at pH 7 with the addition of 2 mM MgCl2) and the increase in absorbance was monitored at 410 nm (pH 7.0, ε410 nm = 3500 M−1 cm−1) [48]. One unit (U) of enzyme was defined as the amount of enzyme required to release 1 μmoL of O-NP per min and the specific activity was defined as the number of units per mg of protein.
3.3. Supports for Immobilization
3.3.1. Activation of Agarose-Based Beads
Epoxy-activated agarose was prepared by the reaction of the hydroxyl groups on the agarose beads with epichlorohydrin, as described by Mateo et al. [24]. Under gentle agitation and in an ice bath, 50 g of agarose 4 BCL, previously washed with distilled water and vacuum dried, was mixed with 220 mL of distilled water, 16.4 g of NaOH, 1.0 g of sodium borohydride (NaBH4), 80 mL of acetone, and 55 mL of epichlorohydrin. The suspension was incubated for 16 h at 25 °C, and then washed with the excess of distilled water, vacuum dried, and stored at 4 °C.
The number of epoxy/ligand groups was calculated from the difference in periodate consumption between the hydrolyzed support and the initial epoxy support. Periodate consumption was quantified using potassium iodide, as previously described [49].
3.3.2. Modification of the Epoxy-Activated Agarose with Different Reactive Groups
Cationic Supports
Epoxy-activated agarose (10 g) was modified using 1 M triethylamine solution (acetone/water, 50:50 v/v) for 18 h at 25 °C [24]. After this, the support was oxidized with 100 mL of 100 mM sodium periodate (NaIO4) for 2 h at 25 °C, washed with distilled water, vacuum dried and stored at 4 °C.
Support Activated with the Glutaraldehyde Group
The support activated using the glutaraldehyde group was prepared as previously described by Betancor et al. [35]. Briefly, the epoxy-activated agarose (10 g) was hydrolyzed with 100 mL of 1 M H2SO4 for 2 h at 25 °C. Afterwards, the support was washed with distilled water and oxidized using 100 mL of 100 mM NaIO4. Then, the support was treated with 100 mL of 2 M ethylenediamine (EDA) at pH 10, and kept under gentle stirring at 25 °C. After 2 h, sodium borohydride (10 mg mL−1) was added and stirred for further 2 h at 25 °C. The particles were successively washed with distilled water and 11 mL of glutaraldehyde solution (25%, v/v) was added together with 17 mL of sodium phosphate buffer (200 mM at pH 7). The system was kept under gentle stirring for 18 h at 25 °C. Finally, the activated support was washed with distilled water and vacuum dried.
Anionic Supports Activated with the Glutaraldehyde Group and Metal Chelate
Agarose support (10 g) activated with the glutaraldehyde group and metal chelate was obtained by treatment of the epoxy-activated agarose with 100 mL of 500 mM iminodiacetic acid (IDA) at pH 11 for 18 h at 25 °C [24]. Then, the support was washed with distilled water and oxidized using 100 mL of sodium periodate (NaIO4) at a final concentration of 100 mM. After 2 h of gentle agitation at 25 °C, the oxidized support was washed with distilled water and treated with 100 mL of 2 M ethylenediamine (EDA) pH 10 for 2 h at 25 °C. Sodium borohydride (10 mg mL−1) was added, and stirred for a further 2 h at 25 °C. The activated agarose was successively washed with distilled water. Glutaraldehyde solution (25%, v/v) and sodium phosphate buffer (200 mM at pH 7) were added, and the system was kept under gentle stirring for 18 h at 25 °C. The agarose activated with glutaraldehyde was added to the metal chelate solutions (30 mg mL−1, CoCl2 or NiCl2 6 H2O) at pH 7 for 30 min at 25 °C. The activated support was washed with distilled water and vacuum dried.
Hydrophobic Supports Activated with the Glutaraldehyde Group
Agarose activated with the hydrophobic group and glutaraldehyde was prepared by treatment of the epoxy-activated agarose with 100 mL of 100 mM 1-octanothiol in NaHCO3 (25 mM) at pH 10 for 24 h at 25 °C. Thereafter, the support was oxidized with 100 mL of NaIO4 (100 mM), washed, and filtered using a glass filter. The hydrophobic support was then treated with 100 mL of 2 M ethylenediamine (EDA), pH 10 for 2 h at 25 °C, following the addition of sodium borohydride (10 mg mL−1) for 2 h at 25 °C. After it was washed and dried, the glutaraldehyde solution (25%, v/v) and sodium phosphate buffer (200 mM at pH 7.0) were added. The activated support was washed with distilled water and vacuum dried.
3.4. Immobilization of Enzymes
For all immobilization experiments, β-glucosidase (EaBglA) and lipases (CRL and LipC12) were solubilized in 200 mM sodium phosphate buffer at pH 7, and β-galactosidase (KlBgal) was solubilized in 200 mM potassium phosphate buffer at pH 7 with the addition of 2 mM MgCl2. Then, different immobilization supports were suspended in an enzyme solution (1 g support: 10 mL of enzyme solution in the immobilization buffer, 1 mg g−1 of support). The immobilization suspensions were gently stirred at 25 °C. Periodically, samples of supernatants were withdrawn, and their enzymatic activities were analyzed. The immobilization was considered complete when there was no activity in the supernatant.
After immobilization, the enzymes were washed with phosphate buffers. The immobilization efficiency (IE, %) was calculated as Equation (1):
where Ai is the amount activity (U) of the enzyme solution before immobilization and Af is the amount activity (U) remaining in the supernatant at the end of the immobilization procedure.
The recovered activity (R, %) was calculated as Equation (2):
where Ao is the as the ratio between the real specific activity (U g−1 of support) of immobilized preparation and AT is the theoretical specific activity of the immobilized preparation (U g−1 of support).
Escherichia coli BL21 crude extract was used as a multi-protein model system during the immobilization tests with the different supports. One gram of activated supports was suspended in 10 mL of E. coli BL21 crude cell extract (5 mg g−1 of support). The adsorption of proteins was monitored using the Bradford method.
3.5. Protein Assays and SDS-PAGE
Protein content was determined by the Bradford method [50], using a Coomassie Protein Assay Kit (Pierce Biotechnology, Rockford, IL, USA) with bovine serum albumin as the standard. Electrophoresis of protein samples was done with 12% (w/v) SDS-PAGE [51]. The gel was stained with Coomassie Brilliant Blue R-250 and distained with methanol/acetic-acid/water (5/1/4 v/v/v). A mixture of high molecular weight proteins (Sigma Marker™, Sigma-Aldrich®, St. Louis, MO, USA) was used as the molecular weight standard.
3.6. Fourier Transform Infrared (FTIR)
Identification of the chemical groups on the untreated and treated support was performed using the FTIR spectroscopy Vertex 70 Bruker. The spectra were obtained with a wave number range from 4000 to 400 cm−1 at a resolution of 4 cm−1 over 32 cumulative scans. FTIR spectra were not used as a quantitative relationship, but only as a qualitative reference.
3.7. Desorption Process Analysis
Samples of 1 g of immobilized enzymes were suspended in 3 mL of phosphate buffer (5 mM, at pH 7). Then, Triton ×100, NaCl and imidazol were added to a final concentration of 0.5% (v/v), 1.0 M and 0.5 M, respectively. The different preparations were gently stirred at 25 °C and, periodically, samples from supernatants were withdrawn and their enzymatic activities were analyzed.
3.8. Thermal Stability
Thermal stabilities were assessed by incubation in sodium phosphate buffer (100 mM, pH 7 at 40 °C) for β-glucosidase, potassium phosphate buffer containing 2 mM MgCl2 (100 mM, pH 7 at 40 °C) for β-galactosidase, and sodium phosphate buffer (100 mM, pH 7 at 50 °C or 70 °C) for lipases (CRL and LipC12). Aliquots were periodically withdrawn for the quantification of the residual enzymatic activity to estimate the half-life time according to Henley and Sadana [46]. The relative activities of free and immobilized forms without incubation were defined as control and attributed a relative activity of 100%. Inactivation parameters were determined from the best-fit model of the experimental data which was the one based on a two-stage series inactivation mechanism with residual activity. Half-lives (time in which the residual enzyme activity is half of its initial value) were used to compare the stability of the different preparations, being determined by the interpolation from the respective models described in [52].
4. Conclusions
The new generation of supports proposed in this study overcomes some of problems associated with the immobilization of enzymes intrinsically unstable at alkaline pH. The new supports were capable of immobilizing distinct enzymes with significant recovered activity values. Thus, this strategy allowed obtaining heterogeneous catalysts with different catalytic properties (i.e., activity and stability) under mild conditions (neutral pH).
The strategy of this study can be applied to other supports activated in similar ways, such as cellulose, permitting the improvement of the materials or the use of supports with distinct morphologies or properties.
Acknowledgments
The authors gratefully acknowledge the Ramón Areces Foundation for financial support and the Brazilian National Council for Scientific and Technological Development (CNPq) for fellowships (Grant No: 201757/2015-0, 140610/2014-8 and 201688/2015-8). FAPESP is also recognized (FAPESP 2013/01710-1 and FAPESP fellowships 2016/15037-5). We thank Novozymes A/S for the donation of the β-galactosidase used in this research.
Author Contributions
R.R.d.M. and R.C.A. performed most of the experiments and contributed with manuscript writing. A.F.L.V. performed some of experiments. E.M.d.S, N.K., R.R. and H.H.S. contributed in the analysis of the data and in writing the paper. C.M. conceived and designed the experiments and contributed with the writing of the paper.
Conflicts of Interest
The authors declare no conflict of interest.
References
- Roy, J.J.; Abraham, T.E. Strategies in making cross-linked enzyme crystals. Chem. Rev. 2004, 104, 3705–3721. [Google Scholar] [CrossRef]
- Cao, L. Immobilised enzymes: Science or art? Curr. Opin. Chem. Biol. 2005, 9, 217–226. [Google Scholar] [CrossRef] [PubMed]
- Eş, I.; Vieira, J.D.G.; Amaral, A.C. Principles, techniques, and applications of biocatalyst immobilization for industrial application. Appl. Microbiol. Biotechnol. 2015, 99, 2065–2082. [Google Scholar] [CrossRef] [PubMed]
- Sheldon, R.A.; Van Pelt, S. Enzyme immobilisation in biocatalysis: Why, what and how. Chem. Soc. Rev. 2013, 42, 6223–6235. [Google Scholar] [CrossRef] [PubMed]
- Rodrigues, R.C.; Ortiz, C.; Berenguer-Murcia, Á.; Torres, R.; Fernández-Lafuente, R. Modifying enzyme activity and selectivity by immobilization. Chem. Soc. Rev. 2013, 42, 6290–6307. [Google Scholar] [CrossRef] [PubMed]
- Mateo, C.; Palomo, J.M.; Fernandez-Lorente, G.; Guisan, J.M.; Fernandez-Lafuente, R. Improvement of enzyme activity, stability and selectivity via immobilization techniques. Enzym. Microb. Technol. 2007, 40, 1451–1463. [Google Scholar] [CrossRef]
- Mateo, C.; Abian, O.; Bernedo, M.; Cuenca, E.; Fuentes, M.; Fernandez-Lorente, G.; Palomo, J.M.; Grazu, V.; Pessela, B.C.C.; Giacomini, C.; et al. Some special features of glyoxyl supports to immobilize proteins. Enzym. Microb. Technol. 2005, 37, 456–462. [Google Scholar] [CrossRef]
- Mateo, C.; Palomo, J.M.; Fuentes, M.; Betancor, L.; Grazu, V.; López-Gallego, F.; Pessela, B.C.C.; Hidalgo, A.; Fernández-Lorente, G.; Fernández-Lafuente, R.; et al. Glyoxyl agarose: A fully inert and hydrophilic support for immobilization and high stabilization of proteins. Enzym. Microb. Technol. 2006, 39, 274–280. [Google Scholar] [CrossRef]
- Santos, J.C.S.D.; Barbosa, O.; Ortiz, C.; Berenguer-Murcia, A.; Rodrigues, R.C.; Fernandez-Lafuente, R. Importance of the support properties for immobilization or purification of enzymes. ChemCatChem 2015, 7, 2413–2432. [Google Scholar] [CrossRef]
- Tural, B.; Tarhan, T.; Tural, S. Covalent immobilization of benzoylformate decarboxylase from Pseudomonas putida on magnetic epoxy support and its carboligation reactivity. J. Mol. Catal. B Enzym. 2014, 102, 188–194. [Google Scholar] [CrossRef]
- Alnoch, R.C.; Melo, R.R.D.; Palomo, J.M.; Souza, E.M.D.; Krieger, N.; Mateo, C. New tailor-made alkyl-aldehyde bifunctional supports for lipase immobilization. Catalyst 2016, 6, 191–204. [Google Scholar] [CrossRef]
- Garmroodi, M.; Mohammadi, M.; Ramazani, A.; Ashjari, M.; Mohammadi, J.; Sabour, B.; Yousefi, M. Covalent binding of hyper-activated Rhizomucor miehei lipase (RML) on hetero-functionalized siliceous supports. Int. J. Biol. Macromol. 2016, 86, 208–215. [Google Scholar] [CrossRef] [PubMed]
- Rueda, N.; Albuquerque, T.; Bartolome-Cabrero, R.; Fernandez-Lopez, L.; Torres, R.; Ortiz, C.; dos Santos, J.; Barbosa, O.; Fernandez-Lafuente, R. Reversible immobilization of lipases on heterofunctional octyl-amino agarose beads prevents enzyme desorption. Molecules 2016, 21, 646–664. [Google Scholar] [CrossRef] [PubMed]
- Albuquerque, T.L.D.; Rueda, N.; dos Santos, J.C.S.; Barbosa, O.; Ortiz, C.; Binay, B.; Ozdemir, E.; Gonçalves, L.R.B.; Fernandez-Lafuente, R. Easy stabilization of interfacially activated lipases using heterofunctional divinyl sulfone activated-octyl agarose beads. Modulation of the immobilized enzymes by altering their nanoenvironment. Process Biochem. 2016, 51, 865–874. [Google Scholar] [CrossRef]
- Guajardo, N.; Bernal, C.; Wilson, L.; Cabrera, Z. Selectivity of R-α-monobenzoate glycerol synthesis catalyzed by Candida antarctica lipase B immobilized on heterofunctional supports. Process Biochem. 2015, 50, 1870–1877. [Google Scholar] [CrossRef]
- Hirata, D.B.; Albuquerque, T.L.; Rueda, N.; Virgen-ortíz, J.J.; Tacias-pascacio, V.G.; Fernandez-lafuente, R. Enzymatic evaluation of different immobilized lipases in transesterification reactions using tributyrin: Advantages of the heterofunctional octyl agarose beads. J. Mol. Catal. B Enzym. 2016, 133, 117–123. [Google Scholar] [CrossRef]
- Rueda, N.; Cleiton, S.; Daniela, M.; Albuquerque, T.L.; Barbosa, O.; Torres, R.; Ortiz, C.; Fernandez-lafuente, R. Enzymatic reversible immobilization of lipases on octyl-glutamic agarose beads: A mixed adsorption that reinforces enzyme immobilization. J. Mol. Catal. B Enzym. 2016, 128, 10–18. [Google Scholar] [CrossRef]
- Pessela, B.C.C.; Mateo, C.; Fuentes, M.; Vian, A.; Carrascosa, A.V.; Guisa, M. Stabilization of a multimeric β-galactosidase from Thermus sp. strain T2 by immobilization on novel heterofunctional epoxy supports plus aldehyde-dextran cross-linking. Biotechnol. Prog. 2004, 20, 388–392. [Google Scholar] [CrossRef] [PubMed]
- Guerrero, C.; Vera, C.; Serna, N.; Illanes, A. Immobilization of Aspergillus oryzae β-galactosidase in an agarose matrix functionalized by four different methods and application to the synthesis of lactulose. Bioresour. Technol. 2017, 232, 53–63. [Google Scholar] [CrossRef] [PubMed]
- Bernal, C.; Marciello, M.; Mesa, M.; Sierra, L.; Fernandez-lorente, G.; Mateo, C.; Guisan, J.M. Immobilisation and stabilisation of β-galactosidase from Kluyveromyces lactis using a glyoxyl support. Int. Dairy J. 2013, 28, 76–82. [Google Scholar] [CrossRef]
- Mateo, C.; Grazu, V.; Palomo, J.M.; Lopez-gallego, F. Fernandez-lafuente, R; Guisan, J.M. Immobilization of enzymes on heterofunctional epoxy supports. Nat. Protoc. 2007, 5, 1022–1033. [Google Scholar]
- Blanco, R.M.; Guistin, J.M. Stabilization of enzymes by multipoint covalent attachment to agarose-aldehyde gels. Borohydride reduction of trypsin-agarose derivatives. Enzym. Microb. Technol. 1989, 11, 360–366. [Google Scholar] [CrossRef]
- Tardioli, P.W.; Fernandez-Lafuente, R.; Guisan, J.M.; Giordano, R.L.C. Design of new immobilized-stabilized carboxypeptidase a derivative for production of aromatic free hydrolysates of proteins. Biotechnol. Prog. 2003, 19, 565–574. [Google Scholar] [CrossRef] [PubMed]
- Mateo, C.; Bolivar, J.M.; Godoy, C.A.; Rocha-Martin, J.; Pessela, B.C.; Curiel, J.A.; Munoz, R.; Guisan, J.M.; Fernández-Lorente, G. Improvement of enzyme properties with a two-step immobilizaton process on novel heterofunctional supports. Biomacromolecules 2010, 11, 3112–3117. [Google Scholar] [CrossRef] [PubMed]
- Rivero, C.W.; Palomo, J.M. Covalent immobilization of Candida rugosa lipase at alkaline pH and their application in the regioselective deprotection of Per-O-acetylated thymidine. Catalyst 2016, 6, 115–126. [Google Scholar] [CrossRef]
- Barbosa, O.; Ortiz, C.; Berenguer-Murcia, Á.; Torres, R.; Rodrigues, R.C.; Fernandez-Lafuente, R. Glutaraldehyde in bio-catalysts design: A useful crosslinker and a versatile tool in enzyme immobilization. RSC Adv. 2014, 4, 1583–1600. [Google Scholar] [CrossRef]
- Migneault, I.; Dartiguenave, C.; Bertrand, M.J.; Waldron, K.C. Glutaraldehyde: Behavior in aqueous solution, reaction with proteins, and application to enzyme crosslinking. Biotechniques 2004, 37, 790–802. [Google Scholar] [PubMed]
- Barbosa, O.; Torres, R.; Ortiz, C.; Fernandez-lafuente, R. Versatility of glutaraldehyde to immobilize lipases: Effect of the immobilization protocol on the properties of lipase B from Candida antarctica. Process Biochem. 2012, 47, 1220–1227. [Google Scholar] [CrossRef]
- Fernández-Lorente, G.; Palomo, J.M.; Mateo, C.; Munilla, R.; Ortiz, C.; Cabrera, Z.; Guisán, J.M.; Fernández-Lafuente, R. Glutaraldehyde cross-linking of lipases adsorbed on aminated supports in the presence of detergents leads to improved performance. Biomacromolecules 2006, 7, 2610–2615. [Google Scholar] [CrossRef] [PubMed]
- Bezbradica, D.I.; Mateo, C.; Guisan, J.M. Novel support for enzyme immobilization prepared by chemical activation with cysteine and glutaraldehyde. J. Mol. Catal. B Enzym. 2014, 102, 218–224. [Google Scholar] [CrossRef]
- Trivedi, T.J.; Srivastava, D.N.; Rogers, R.D.; Kumar, A. Agarose processing in protic and mixed protic-aprotic ionic liquids: Dissolution, regeneration and high conductivity, high strength ionogels. Green Chem. 2012, 14, 2831–2839. [Google Scholar] [CrossRef]
- Zucca, P.; Fernandez-Lafuente, R.; Sanjust, E. Agarose and its derivatives as supports for enzyme immobilization. Molecules 2016, 21, 1577. [Google Scholar] [CrossRef] [PubMed]
- Mateo, C.; Abian, O.; Fernandez-Lafuente, R.; Guisan, J.M. Increase in conformational stability of enzymes immobilized on epoxy-activated supports by favoring additional multipoint covalent attachment. Enzym. Microb. Technol. 2000, 26, 509–515. [Google Scholar] [CrossRef]
- Rodrigues, D.S.; Mendes, A.A.; Adriano, W.S.; Gonçalves, L.R.B.; Giordano, R.L.C. Multipoint covalent immobilization of microbial lipase on chitosan and agarose activated by different methods. J. Mol. Catal. B Enzym. 2008, 51, 100–109. [Google Scholar] [CrossRef]
- Betancor, L.; López-Gallego, F.; Hidalgo, A.; Alonso-Morales, N.; Dellamora-Ortiz, G.; Mateo, C.; Fernández-Lafuente, R.; Guisán, J.M. Different mechanisms of protein immobilization on glutaraldehyde activated supports: Effect of support activation and immobilization conditions. Enzym. Microb. Technol. 2006, 39, 877–882. [Google Scholar] [CrossRef]
- Soltani, N.; Reza, F.; Babak, P. Direct introduction of amine groups into cellulosic paper for covalent immobilization of tyrosinase: Support characterization and enzyme properties. Cellulose 2017, 24, 1407–1416. [Google Scholar] [CrossRef]
- Suescun, A.; Rueda, N.; Dos Santos, J.C.S.; Castillo, J.J.; Ortiz, C.; Torres, R.; Barbosa, O.; Fernandez-Lafuente, R. Immobilization of lipases on glyoxyl-octyl supports: Improved stability and reactivation strategies. Process Biochem. 2015, 50, 1211–1217. [Google Scholar] [CrossRef]
- Palomo, J.M.; Muoz, G.; Fernández-Lorente, G.; Mateo, C.; Fernández-Lafuente, R.; Guisán, J.M. Interfacial adsorption of lipases on very hydrophobic support (octadecyl-Sepabeads): Immobilization, hyperactivation and stabilization of the open form of lipases. J. Mol. Catal. B Enzym. 2002, 19, 279–286. [Google Scholar] [CrossRef]
- Balcão, V.M.; Vila, M.M.D.C. Structural and functional stabilization of protein entities: State-of-the-art. Adv. Drug Deliv. Rev. 2015, 93, 25–41. [Google Scholar] [CrossRef] [PubMed]
- Glogauer, A.; Martini, V.P.; Faoro, H.; Couto, G.H.; Müller-Santos, M.; Monteiro, R.A.; Mitchell, D.A.; de Souza, E.M.; Pedrosa, F.O.; Krieger, N. Identification and characterization of a new true lipase isolated through metagenomic approach. Microb. Cell Fact. 2011, 10, 54–69. [Google Scholar] [CrossRef] [PubMed]
- Pereira-Rodríguez, Á.; Fernández-Leiro, R.; González-Siso, M.I.; Cerdán, M.E.; Becerra, M.; Sanz-Aparicio, J. Structural basis of specificity in tetrameric Kluyveromyces lactis β-galactosidase. J. Struct. Biol. 2012, 177, 392–401. [Google Scholar] [CrossRef] [PubMed]
- Zanphorlin, L.M.; de Giuseppe, P.O.; Honorato, R.V.; Tonoli, C.C.C.; Fattori, J.; Crespim, E.; de Oliveira, P.S.L.; Ruller, R.; Murakami, M.T. Oligomerization as a strategy for cold adaptation: Structure and dynamics of the GH1 β-glucosidase from Exiguobacterium antarcticum B7. Sci. Rep. 2016, 6, 23776–23790. [Google Scholar] [CrossRef] [PubMed]
- Fernandez-Lafuente, R. Stabilization of multimeric enzymes: Strategies to prevent subunit dissociation. Enzym. Microb. Technol. 2009, 45, 405–418. [Google Scholar] [CrossRef]
- Palomo, J.M.; Fuentes, M.; Fernández-Lorente, G.; Mateo, C.; Guisan, J.M.; Fernández-Lafuente, R. General trend of lipase to self-assemble giving bimolecular aggregates greatly modifies the enzyme functionality. Biomacromolecules 2003, 4, 1–6. [Google Scholar] [CrossRef] [PubMed]
- Palomo, J.M.; Segura, R.L.; Mateo, C.; Fernandez-Lafuente, R.; Guisan, J.M. Improving the activity of lipases from thermophilic organisms at mesophilic temperatures for biotechnology applications. Biomacromolecules 2004, 5, 249–254. [Google Scholar] [CrossRef] [PubMed]
- Henley, J.P.; Sadana, A. Deactivation theory. Biotechnol. Bioeng. 1986, 28, 1277–1285. [Google Scholar] [CrossRef] [PubMed]
- Crespim, E.; Zanphorlin, L.M.; de Souza, F.H.M.; Diogo, J.A.; Gazolla, A.C.; Machado, C.B.; Figueiredo, F.; Sousa, A.S.; Nóbrega, F.; Pellizari, V.H.; et al. A novel cold-adapted and glucose-tolerant GH1 β-glucosidase from Exiguobacterium antarcticum B7. Int. J. Biol. Macromol. 2016, 82, 375–380. [Google Scholar] [CrossRef] [PubMed]
- Pessela, B.C.C.; Vian, A.; Mateo, C.; Fernandez-Lafuente, R.; Garcia, J.L.; Guisán, J.M.; Carrascosa, A.V. Overproduction of Thermus sp. strain T2 β-galactosidase in Escherichia coli and preparation by using tailor-made metal chelate supports. Appl. Environ. Microbiol. 2003, 69, 1967–1972. [Google Scholar] [CrossRef] [PubMed]
- Whistler, R.L.; Wolfrom, M.L.; BeMiller, J. Methods in Carbohydrate Chemistry, 2nd ed.; Academic Press: New York, NY, USA; London, UK, 1963. [Google Scholar]
- Bradford, M.M. A rapid and sensitive method for the quantitation of microgram quantities of protein utilizing the principle of protein-dye binding. Anal. Biochem. 1976, 72, 248–254. [Google Scholar] [CrossRef]
- Laemmli, U.K. Cleavage of structural proteins during the assembly of the head of bacteriophage T4. Nature 1970, 227, 680–685. [Google Scholar] [CrossRef] [PubMed]
- Addorisio, V.; Sannino, F.; Mateo, C.; Guisan, J.M. Oxidation of phenyl compounds using strongly stable immobilized-stabilized laccase from Trametes versicolor. Process Biochem. 2013, 48, 1174–1180. [Google Scholar] [CrossRef]
Sample Availability: Samples of the compounds are not available from the authors. |
© 2017 by the authors. Licensee MDPI, Basel, Switzerland. This article is an open access article distributed under the terms and conditions of the Creative Commons Attribution (CC BY) license (http://creativecommons.org/licenses/by/4.0/).





