RETRACTED: Cytoprotective Effect of Benzyl N'-(5-Chloro-indol-3-yl-methylidene)-hydrazinecarbodithioate against Ethanol-Induced Gastric Mucosal Injury in Rats
Abstract
:1. Introduction
2. Results and Discussion
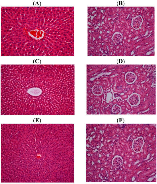
2.1. Subacute Toxicity

| Animal Groups | Renal Function Test of BClHC | ||||||
|---|---|---|---|---|---|---|---|
| Sodium (mmol/L) | Pottasium (mmol/L) | Chloride (mmol/L) | CO2 (mmol/L) | Anion gap (mmol/L) | Urea (mmol/L) | Creatinine (µmol/L) | |
| Normal control | 138.34 ± 0.62 | 5.12 ± 0.17 | 103.42 ± 0.76 | 22.70 ± 0.73 | 19.34 ± 0.76 | 5.68 ± 0.36 | 50.78 ± 1.30 |
| L. D (2 g/kg) | 138.42 ± 0.74 | 5.25 ± 0.18 | 102.67 ± 1.06 | 20.63 ± 0.69 | 19.67 ± 1.08 | 5.19± 0.34 | 49.12 ± 0.85 |
| H. D (5 g/kg) | 138.29 ± 0.67 | 4.94 ± 0.20 | 102.50 ± 0.70 | 22.29 ± 0.72 | 18.58 ± 0.61 | 5.78 ± 0.30 | 49.25 ± 1.39 |
| Animal Groups | Liver Function test of BClHC | ||||||||
|---|---|---|---|---|---|---|---|---|---|
| Total protein (g/L) | Albumin (g/L) | Globulin (g/L) | Total bilirubin (µmol/L) | Conjugated bilirubin (µmol/L) | AP (IU/L) | ALT (IU/L) | AST (IU/L) | G-Glutaml. Transferase (IU/L) | |
| Normal control | 70.34 ± 1.25 | 11.58 ± 0.63 | 59.17 ± 1.23 | 2.04 ± 0.20 | 1.25 ± 0.25 | 135.08 ± 9.27 | 53.00 ± 1.97 | 152.31 ± 5.14 | 4.96 ± 0.71 |
| L.D (2 g/kg) | 70.25 ± 0.85 | 11.92 ± 0.41 | 58.59 ± 0.51 | 2.21 ± 0.20 | 1.42 ± 0.16 | 134.17 ± 4.77 | 50.92 ± 1.12 | 157.59 ± 2.11 | 4.88 ± 0.85 |
| H D (5 g/kg) | 70.42 ± 0.94 | 12.17 ± 0.68 | 58.67 ± 0.85 | 1.82 ± 0.23 | 1.59 ± 0.06 | 135.08 ± 3.86 | 51.84 ± 3.57 | 153.84 ± 6.64 | 5.33 ± 0.71 |
2.2. Gross Evaluation of Gastric Lesions
| Group | Pretreatment 5 mL/Kg | Ulcer (mm2) X ± SEM | Inhibition % |
|---|---|---|---|
| 1 | 10% Tween 20 | 922.00 ± 7.63 a | 0.00 |
| 2 | Omeprazole | 215.00 ± 4.54 b | 76.68% |
| 3 | 50 mg/Kg | 54.00 ± 3.08 c | 94.14% |
| 4 | 100 mg/Kg | 38.40 ± 2.400 cd | 95.84% |
| 5 | 200 mg/Kg | 22.80 ± 2.89 de | 97.53% |
| 6 | 400 mg/Kg | 12.00 ± 2.400 ef | 98.70% |

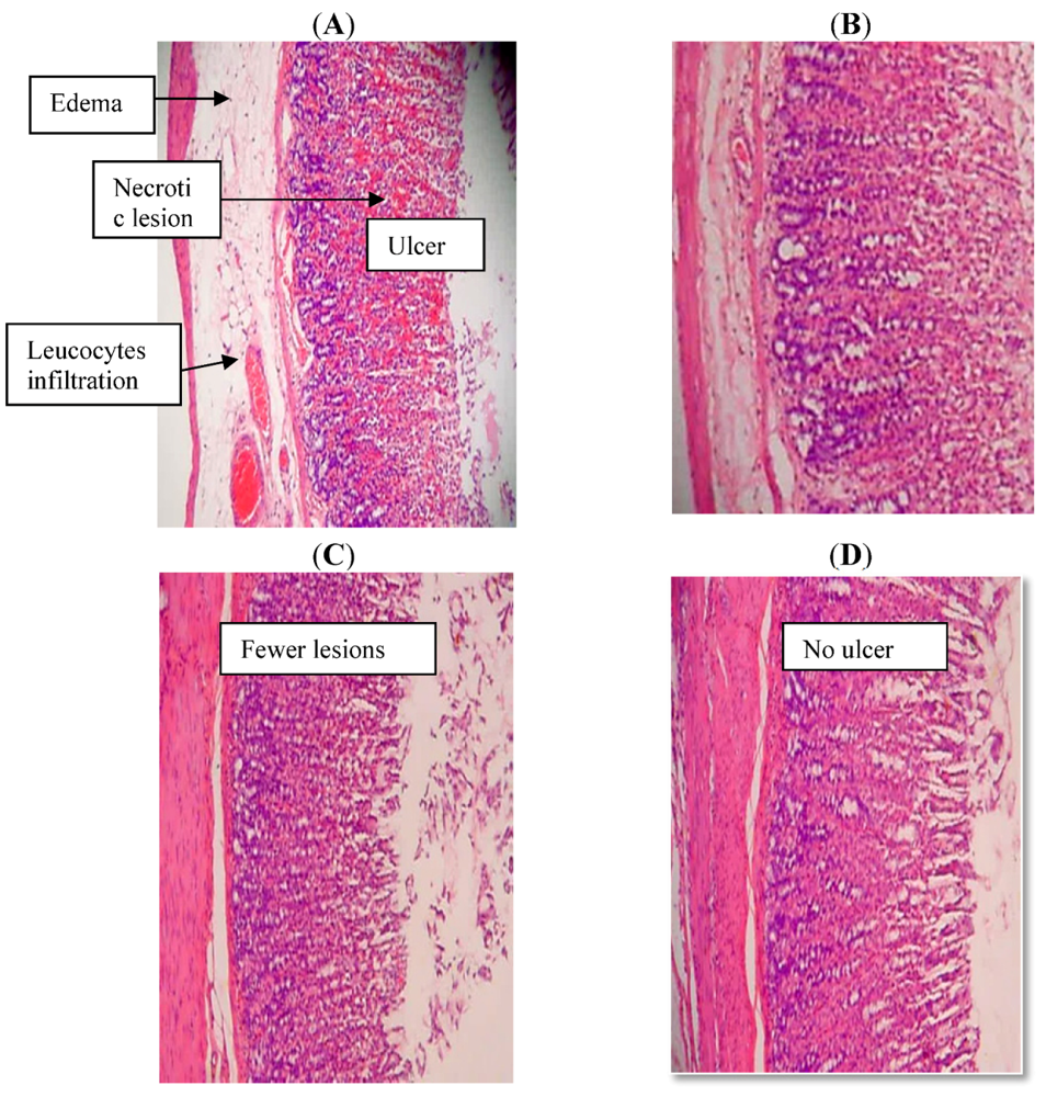
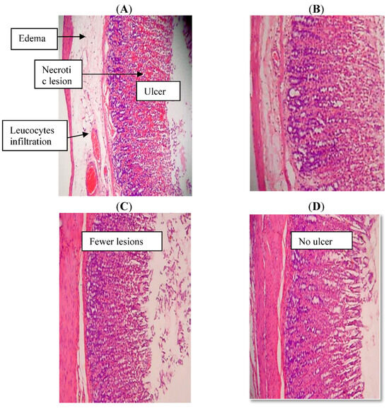
2.3. Histological Evaluation of Gastric Lesions

2.4. Periodic Acid Schiff (PAS) of Mucosal Glycoprotein’s

3. Experimental
3.1. Omeprazole
3.2. Synthesis of Benzyl N'-(5-Chloro-indol-3-ylmethylidene)hydrazinecarbodithioate

3.3. Experimental Animals
3.4. Subacute Toxicity Studies
3.5. Treatment
3.6. Gross Gastric Lesions Evaluation
3.7. Histological Evaluation of Gastric Lesions
3.8. Study of Mucosal Glycoproteins
3.9. Statistical Analysis
4. Conclusion
Acknowledgments
References
- Gurkok, G.; Coban, T.; Suzen, S. Melatonin analogue new indole hydrazide/hydrazone derivatives with antioxidant behavior: Synthesis and structure-activity relationships. J. Enz. Inhib. Med. Chem. 2009, 24, 506–515. [Google Scholar] [CrossRef]
- Ates-Alagoz, Z.; Kus, C.; Coban, T. Synthesis and antioxidant properties of novel benzimidazoles containing substituted indole or 1,1,4,4-tetramethyl-1,2,3,4-tetrahydro-naphthalene fragments. J. Enz. Inhib. Med. Chem. 2005, 20, 325–331. [Google Scholar] [CrossRef]
- Singh, P.; Kaur, M.; Verma, P. Design, synthesis and anticancer activities of hybrids of indole and barbituric acids-Identification of highly promising leads. Bioorg. Med. Chem. Lett. 2009, 19, 3054–3058. [Google Scholar] [CrossRef]
- Wang, J.J.; Shen, Y.K.; Hu, W.P.; Hsieh, M.C.; Lin, F.L.; Hsu, M.K.; Hsu, M.H. Design, synthesis, and biological evaluation of pyrrolo[2,1-c[1,4]benzodiazepine and indole conjugates as anticancer agents. J. Med. Chem. 2006, 49, 1442–1449. [Google Scholar] [CrossRef]
- Chen, J.J.; Wei, Y.; Drach, J.C.; Townsend, L.B. Synthesis and antiviral evaluation of trisubstituted indole N-nucleosides as analogues of 2,5,6-trichloro-1-(beta-D ribofuranosyl)benzimidazole (TCRB). J. Med. Chem. 2000, 43, 2449–2456. [Google Scholar] [CrossRef]
- Bell, M.R.; Zalay, A.W.; Oesterlin, R.; Clemans, S.D.; Dumas, D.J.; Bradford, J.C.; Rozitis, J. Experimental antiulcer drugs. 1. Indole-1-alkanamides and pyrrole-1-alkanamides. J. Med. Chem. 1977, 20, 537–540. [Google Scholar] [CrossRef]
- Mughrabi, F.F.; Hashim, H.; Ameen, M.; Khaledi, H.; Mohd, A.H.; Salmah, I. Effect of Bis [benzyl N'-(indol-3-ylmethylene)-hydrazinecarbodithioato]-zinc(II) derivatives on wound healing in Sprague Dawley rats. Indian J. Exp. Biol. 2011, 49, 50–55. [Google Scholar]
- Tarafder, M.T.H.; Chew, K.-B.; Crouse, K.A.; Ali, A.M.; Yamin, B.M.; Fun, H.-K. Synthesis and characterization of Cu(II), Ni(II) and Zn(II) metal complexes of bidentate NS isomeric Schiff bases derived from S-methyldithiocarbazate (SMDTC): Bioactivity of the bidentate NS isomeric Schiff bases, some of their Cu(II), Ni(II) and Zn(II) complexes and the X-ray structure of the bis[S-methyl-beta-N-(2-furylmethyl)methylenedithiocarbazato]zinc(II) complex. Polyhedron 2002, 21, 2683–2690. [Google Scholar] [CrossRef]
- Ali, M.A.; Mirza, A.H.; Butcher, R.J.; Tarafder, M.T.H.; Keat, T.B.; Ali, A.M. Biological activity of palladium (II) and platinum (II) complexes of the acetone Schiff bases of S-methyl- and S-benzyldithiocarbazate and the X-ray crystal structure of the [Pd(asme)(2)] (asme=anionic form of the acetone Schiff base of S-methyldithiocarbazate) complex. J. Inorg. Biochem. 2002, 92, 141–148. [Google Scholar] [CrossRef]
- Singh, H.L.; Varshney, A.K. Synthetic, structural, and biochemical studies of organotin(IV) with Schiff bases having nitrogen and sulphur donor ligands. Bioinorg. Chem. Appl. 2006, 1–7. [Google Scholar]
- Mughrabi, F.F.; Hashim, H.; Ameen, M.; Khaledi, H.; Mohd, A.H. Acceleration of Wound Healing potenitial of Benzyl N'-(indol-3-ylmethylidene)-hydrazinecarbodithioate Derivatives in Experimental Rats. Res. J. Appl. Sci. 2010, 5, 131–136. [Google Scholar] [CrossRef]
- Das, M.; Livingstone, S.E. Cytotoxic action of some transition metal chelates of Schiff bases derived from S-methyldithiocarbazate. Br. J. Cancer 1978, 37, 466–469. [Google Scholar] [CrossRef]
- Bowler, P.G.; Duerden, B.I.; Armstrong, D.G. Wound microbiology and associated approaches to wound management. Clin. Microbiol. Rev. 2001, 14, 244–269. [Google Scholar] [CrossRef]
- Whaley, K.; Burt, A.D. Inflammation, healing and repair. In Muir’s Textbook of Pathology, 13th; Mac-Sween, R.M.N., Whaley, K., Eds.; Edward Arnold: London, UK, 1996; pp. 112–165. [Google Scholar]
- Carson, C.F.; Riley, T.V.; Cookson, B.D. Efficacy and safety of tea tree oil as a topical antimicrobial agent. J. Hosp. Infect. 1998, 40, 175–178. [Google Scholar] [CrossRef]
- Molan, P.C. The use of honey in the treatment of leg ulcers. North Coast Senior Post (Australia) 1999, 3, 7. [Google Scholar]
- Abd El-Dayem, A.M.; El-Againy, M.A. Non-wood forest products, physiochemical characteristics and fatty-acid composition of three seedoils. Ac. Horticulturac. 1993, 333, 287–293. [Google Scholar]
- Kato, S.; Kawase, T.; Alderman, J.; Inatomi, N.; Lieber, C.S. Role of xanthine oxidase in ethanol-induced lipid peroxidation in rats. Gastroenterology 1990, 98, 203–210. [Google Scholar]
- Nordmann, R. Alcohol and antioxidant systems. Alcohol Alcoholism 1994, 29, 513–522. [Google Scholar]
- Szabo, S.; Kusstatscher, S.; Sakoulas, G.; Sandor, Z.; Vincze, A.; Jadus, M. Growth factors: New “endogeneous drug” for ulcer healing. Scandinavian J. Gastroenterol. 1995, 210, 15–18. [Google Scholar]
- Marhuenda, E.; Martin, M.J.; Alarcon De La Lastra, C. Antiulcerogenic activity of aescine in different experimental models. Phytother. Res. 1993, 7, 13–16. [Google Scholar] [CrossRef]
- Salim, A.S. Removing oxygen-derived free radicals stimulates healing of ethanol induced erosive gastritis in the rat. Digestion 1990, 47, 24–28. [Google Scholar] [CrossRef]
- Kaneko, S.; Okumura, K.; Numaguchi, Y.; Matsui, H.; Murase, K.; Mokumo, S.; Morishima, I.; Hira, K.; Toki, Y.; Ito, T.; Hayakawa, T. Melatonin scavenges hydroxyl radical and protects isolated rat hearts from ischemic reperfusion injury. Life Sci. 2000, 67, 101–112. [Google Scholar] [CrossRef]
- Liu, F.; Ng, T.B. Effect of pineal indoles on activities of the antioxidant defense enzymes superoxide dismutase, catalase, and glutathione reductase, and levels of reduced and oxidized glutathione in rat tissues. Biochem. Cell Biol. 2000, 78, 447–453. [Google Scholar] [CrossRef]
- Vimala, S.; Adenan, M.I. Malaysian tropical medicinal plants: A source of natural antioxidants. J. Trop. For. Prod. 1999, 5, 32–38. [Google Scholar]
- Shukla, A.; Rasik, A.M.; Dhawan, B.N. Asiaticoside-induced elevation of antioxidant levels in healing wounds. Phytother. Res. 1999, 13, 50–54. [Google Scholar] [CrossRef]
- Martin, A. The use of antioxidants in wound healing. Der. Sur. 1996, 22, 156–160. [Google Scholar]
- Kobayashi, T.; Ohta, Y.Y.; Oshino, J.; Nakazawa, S. Teprenone promotes the healing of acetic acid-induced chronic gastric ulcers in rats by inhibiting neutrophil infiltration and lipid peroxidation in ulcerated gastric tissues. Pharmcol. Res. 2001, 43, 23–30. [Google Scholar] [CrossRef]
- Shimizu, N.; Watanabe, T.; Arakawa, T.; Fujiwara, Y.; Higuchi, K.; Kuroki, T. Pentoxifylline accelerates gastric ulcer healing in rats: Roles of tumor necrosis factor alpha and neutrophils during the early phase of ulcer healing. Digestion 2000, 6, 157–164. [Google Scholar]
- Cheng, C.L.; Koo, M.W.L. Effect of Centella asiatica on ethanol induced gastric mucosal lesions in rats. Life Sci. 2000, 67, 2647–2653. [Google Scholar] [CrossRef]
- Suzuki, Y.; Ishihara, M.; Ito, M. Anti-ulcer effects of antioxidants, quercetin, a-tocopherol, nifedipine and tetracycline in rats. Jpn. J. Pharm. 1998, 78, 435–441. [Google Scholar] [CrossRef]
- Zimmerman, J.J.; Ciesielski, W.; Lewandoski, J. Neutrophil-mediated phospholipids peroxidation assessed by gas chromatography-mass spectroscopy. Am. J. Physiol. 1997, 273, 653–661. [Google Scholar]
- Bou-Abboud, C.F.; Wayland, H.; Panlsen, G.; Guth, P.H. Microcirculatory stasis precedes tissue necrosis in ethanol-induced gastric mucosal injury in rat. Dig. Dis. Sci. 1988, 33, 872–877. [Google Scholar] [CrossRef]
- Tsukimi, Y.; Nozue, C.; Okabe, S. Effects of teminoprazole, omeprazole and sucralfate on indomethacin-induced delayed healing of kissing gastric ulcers in rats. J. Gastroenterol. Hepatol. 1996, 11, 335–340. [Google Scholar] [CrossRef]
- Garrick, T.; Buack, S.; Bass, P. Gastric motility is major factor in cold, restraint induced lesion formation in rats. Am. J. Phys. 1986, 250, 6191–6199. [Google Scholar]
- Takeuchi, K.; Nishiwakki, K.; Okabe, S. Effect of dopamine on gastric mucosal lesion induced by ethanol in rats-possible involvement of antigastric motor activity mediated with alpha2 adrenoreceptors. Dig. Dis. Sci. 1987, 31, 1100–1107. [Google Scholar]
- Takeuch, K.; Nobuhara, Y. Inhibition of gastric motor activity by 16, 16-dimethyl-prostaglandin E2; a probable explanation of cycloprotection. Dig. Dis. Sci. 1985, 30, 1181–1188. [Google Scholar] [CrossRef]
- Mersereau, A.W.; Hinchey, E.J. Role of gastric mucosal folds in formation of focal ulcer in rats. Surgery 1982, 91, 150–155. [Google Scholar]
- Li, X.; Andersson, T.B.; Ahlstom, M.; Weidolf, L. Comparison of inhibitory effects of proton pump inhibiting drugs omeprazole, esomeprazole, lansoprazole, pantoprazole and rabeprazole on human cytochrome P450 activities. Drug Metab. Dispos. 2004, 32, 821–827. [Google Scholar]
- Satoh, H.; Inatomi, N.; Nagaya, H.; Ianda, I.; Nohara, A.; Nakamura, H. Antisecretory and antiulcer activities of novel proton pump inhibitor AG-1749 in dogs and rats. J. Pharm. Exp. Ther. 1989, 248, 806–815. [Google Scholar]
- Nagaya, H.; Inatomi, N.; Ohara, A.; Satoh, H. Effects of the enantiomers of lansoprazole (AG-1749) on (H+ + K+)-ATPase activity in canine gastric microsomes and acid formation in isolated canine parietal cells. Biochem. Pharm. 1991, 42, 1875–1878. [Google Scholar]
- Pedernera, A.M.; Guardia, T.; Caleron, C.G.; Rotelli, A.F.; de la Rocha, N.F.; di Genaro, S.; Pelze, L.F. Antiulcerogenic and anti-inflammatory activity of the methanolic extract of Larrea divaricata Cav. in rat. J. Ethnopharm. 2006, 105, 415–420. [Google Scholar] [CrossRef]
- Tarafder, M.T.H.; Jalil Miah, M.A.; Bose, R.N.; Ali, M.A.J. Metal complexes of some schiff bases derived from s-benzyldithiocarbazate. Inorg. Nucl. Chem. 1981, 43, 3151–3157. [Google Scholar] [CrossRef]
- Garg, G.P.; Nigam, S.K.; Ogle, C.W. The gastric antiulcer effects of the leaves of the neem tree. Planta Medica. 1993, 59, 215–217. [Google Scholar] [CrossRef]
- Petter, W.L.; Pearson, A.E.G. The Laboratory Animal-Principles and Practices; Academic Press: New York, NY, USA, 1971. [Google Scholar]
- Bergmeyer, H.U.; Horder, M. IFCC method for the measurement of catalytic concentrations of enzymes. Part 3. IFCC method for alanine minotransferase. Clin. Chim. Acta 1980, 105, 147–172. [Google Scholar] [CrossRef]
- Tietz, N.W.; Rinker, A.D.; Shaw, L.M. IFCC methods for the measurement of catalytic concentration of enzymes. Part 5. IFCC method for alkaline phosphatase. J. Clin. Chem. Clin. Biochem. 1983, 21, 731–748. [Google Scholar]
- De Pasquale, R.; Germano, M.P.; Keita, A.; Sanogo, R.; Lauk, L. Antiulcer activity of Pteleopsis suberosa. J. Ethnopharm. 1995, 47, 55–58. [Google Scholar] [CrossRef]
- Paiva, L.A.F.; Rao, V.S.N.; Gramosa, N.V.; Silveira, F.R. Gastroprotective effect of Copaifera langsdorffii oleo-resin on experimental gastric ulcer models in rats. J. Ethnopharmacol. 1998, 62, 73–78. [Google Scholar] [CrossRef]
- Kauffman, G.L.; Grossman, M.I. Prostaglandin; cimetidine inhibit the formation of ulcers produced by parenteral salicylates. Gastroenterology 1978, 75, 1099–2102. [Google Scholar]
- Njar, V.C.O.; Adesanwo, J.K.; Raji, Y. Methyl angolensate: The antiulcer agent of the stem bark of Entandrophragma angolense. Planta Med. 1995, 61, 91–92. [Google Scholar] [CrossRef]
- Behmer, A.O.; Tolosa, E.M.C.; de Freitas Neto, A.G. Manual de técnicas para histologia normal e patológica; EDART-Editora da Universidade de São Paulo: São Paulo (SP), Brazil, 1976; p. 239. [Google Scholar]
- McManus, J.F.A.; Mowry, R.W. PAS Reaction Staining; Harpoer & Row: New York, NY, USA, 1964. [Google Scholar]
- Sample Availability: Sample of the BClHC is available from the authors.
© 2012 by the authors; licensee MDPI, Basel, Switzerland. This article is an open-access article distributed under the terms and conditions of the Creative Commons Attribution license (http://creativecommons.org/licenses/by/3.0/).
Share and Cite
Hashim, H.; Mughrabi, F.F.; Ameen, M.; Khaledi, H.; Ali, H.M. RETRACTED: Cytoprotective Effect of Benzyl N'-(5-Chloro-indol-3-yl-methylidene)-hydrazinecarbodithioate against Ethanol-Induced Gastric Mucosal Injury in Rats. Molecules 2012, 17, 9306-9320. https://doi.org/10.3390/molecules17089306
Hashim H, Mughrabi FF, Ameen M, Khaledi H, Ali HM. RETRACTED: Cytoprotective Effect of Benzyl N'-(5-Chloro-indol-3-yl-methylidene)-hydrazinecarbodithioate against Ethanol-Induced Gastric Mucosal Injury in Rats. Molecules. 2012; 17(8):9306-9320. https://doi.org/10.3390/molecules17089306
Chicago/Turabian StyleHashim, Harita, Fathi F. Mughrabi, Mahmood Ameen, Hamid Khaledi, and Hapipah M. Ali. 2012. "RETRACTED: Cytoprotective Effect of Benzyl N'-(5-Chloro-indol-3-yl-methylidene)-hydrazinecarbodithioate against Ethanol-Induced Gastric Mucosal Injury in Rats" Molecules 17, no. 8: 9306-9320. https://doi.org/10.3390/molecules17089306
APA StyleHashim, H., Mughrabi, F. F., Ameen, M., Khaledi, H., & Ali, H. M. (2012). RETRACTED: Cytoprotective Effect of Benzyl N'-(5-Chloro-indol-3-yl-methylidene)-hydrazinecarbodithioate against Ethanol-Induced Gastric Mucosal Injury in Rats. Molecules, 17(8), 9306-9320. https://doi.org/10.3390/molecules17089306
