Anti-Oxidative Activity of An Aqueous Suspension of Commercial Preparation of The Mushroom Coprinus comatus
Abstract
:1. Introduction
2. Results and Discussion
2.1. Biochemical parameters of rat liver homogenate
| LPx | XOD | CAT | Px | GSHPx | GSH | |
|---|---|---|---|---|---|---|
| Control | 0.580 ± 0.093 | 1.958 ± 0.181 | 0.285 ± 0.053 | 1.876 ± 0.159 | 10.469 ± 1.627 | 0.483 ± 0.087 |
| C. comatus | 0.567 ± 0.053 | 2.097 ± 0.294 | 0.216 ± 0.019 | 1.80 ± 0.160 | 12.937 ± 1.285 | 0.711 ± 0.108* |
| Alloxan | 0.741 ± 0.106 | 2.337 ± 0.31 | 0.185 ± 0.034* | 2.772 ± 0.180* | 14.814 ± 1.822* | 0.414 ± 0.065 |
| Alloxan +C. comatus | 0.530 ± 0.108 | 2.441 ± 0.229 | 0.254 ± 0.029 | 2.381 ± 0.172*,a | 11.925 ± 1.856 | 0.399 ± 0.076 |
| CCl4 | 1.053 ± 0.058* | 2.74 ± 0.219* | 0.172 ± 0.011* | 3.72 ± 0.176* | 12.478 ± 1.716 | 0.387 ± 0.072 |
| C. comatus + CCl4 | 0.727 ± 0.04*,a | 2.58 ± 0.180*,a | 0.294 ± 0.051 | 2.90 ± 0.194*,a | 11.512 ± 0.879 | 0.765 ± 0.081* |
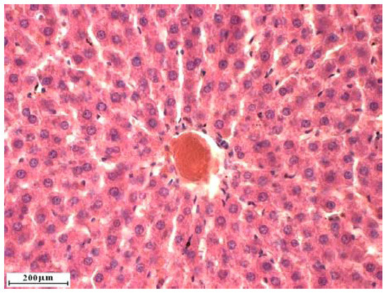
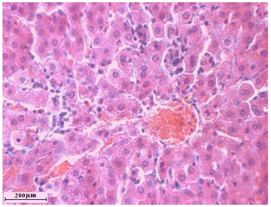
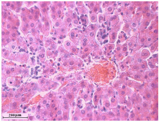
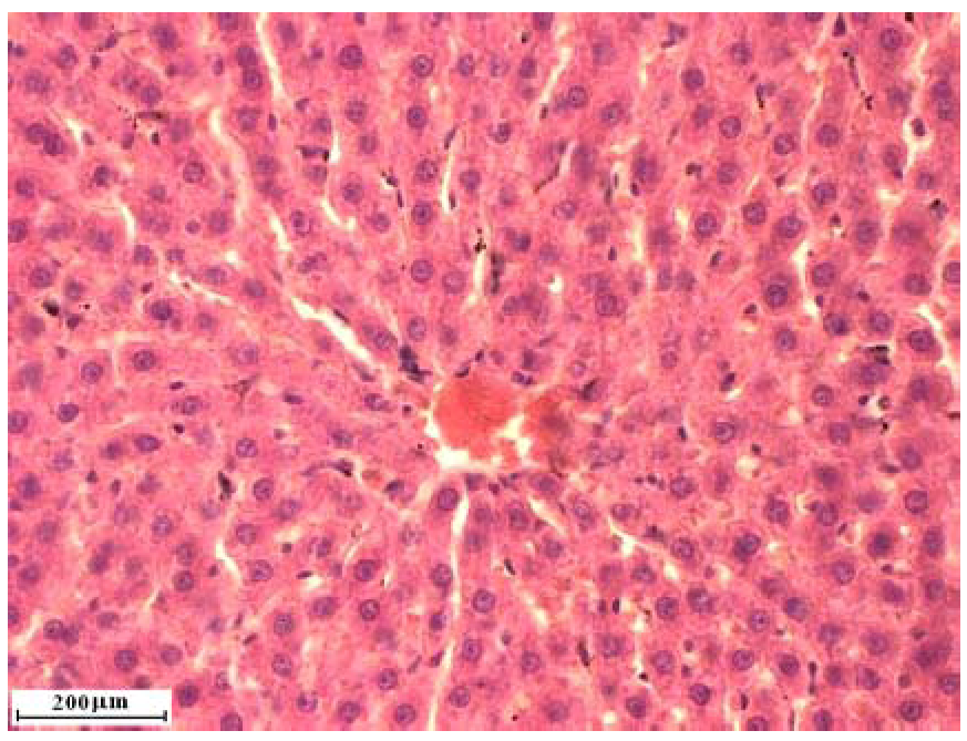
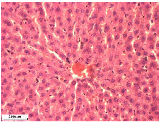
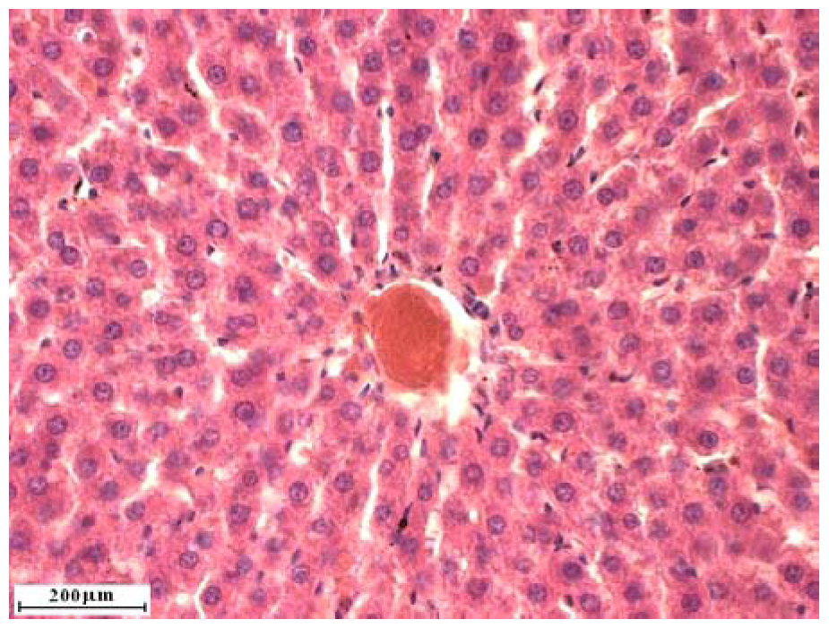
2.2. Liver cross sections




3. Experimental
3.1. Animals
3.2. Experimental procedures
3.3. Cross sections
3.4. Biochemical assays
3.5. Statistical analysis
4. Conclusions
Acknowledgements
- Sample Availability: Samples of the Coprinus comatus powder are available from the authors.
References and Notes
- Asatiani, M.; Elisashvili, V.; Wasser, S.; Reznick, A.; Nevo, E. Free-Radical scavenging activity of submerged micelium extracts from higher basidomycetes mushrooms. Biosci. Biotechnol. Biochem. 2007, 12, 3090–3092. [Google Scholar]
- Butler, M.S. Natural products to drugs: natural product derived compounds in Clinical trials. Nat. Prod. Rep. 2005, 22, 162–195. [Google Scholar] [CrossRef]
- Elmstats, M.; Isildak, O.; Turkekul, I.; Temur, N. Determination of antioxidant activity and antioxidant compounds in wild edible mushrooms. J. Food Compos. Anal. 2007, 20, 337–345. [Google Scholar] [CrossRef]
- Karaman, M.; Kaišarević, S.; Somborski, J.; Kebert, M.; Matavuly, M. Biological activities of the lignicolous fungus Meripilus giganteus (Pers.:Pers.). Karst. Arch. Biol. Sci. 2009, 61, 353–361. [Google Scholar]
- Karaman, M.; Mimica-Dukić, N.; Matavulj, M. Lignicolous fungi from northern Serbia as natural sources of antioxidants. Cent. Eur. J. Biol. 2009, 4, 387–396. [Google Scholar] [CrossRef]
- Rai, M.; Biswas, G.; Chatterjee, S.; Mandal, S.C.; Acharya, K. Evaluation of antioxidant and nitric oxide synthase activation properties of Armillaria mellea Quel. e J. Biol. Sci. 2009, 1, 39–43. [Google Scholar]
- Badalyan, S.M. Edible and medicinal higher basidomycetes mushrooms as a source of natural antioxidants. Int. J. Med. Mushr. 2003, 5, 153–162. [Google Scholar] [CrossRef]
- Ferreira, I.; Baptista, P.; Vilas-Boas, M.; Barros, L. Free-radical scavenging capacity and reducing power of wild edible mushrooms from northeast Portugal: individual cap and stipe activity. Food Chem. 2007, 100, 1511–1516. [Google Scholar] [CrossRef]
- Belinky, P.; Masaphy, S.; Levanon, D.; Hadar, Y.; Dosoretz, C.G. Effect of medium composition on 1-octen-3-ol formation in submerged cultures of Pleurotus pumonarius. Appl. Microbiol. Biotechnol. 1994, 40, 629–633. [Google Scholar] [CrossRef]
- Mau, J.L.; Tsai, S.Y.; Tseng, Y.H.; Huang, S.J. Antioxidant properties of hot water extracts from Gonaderma tsugae Murrill. LWT Food Sci. Technol. 2008, 38, 589–597. [Google Scholar]
- Fan, A.; Alexeeff, G. Public Health Goal for Carbontetrachloride in Drinking Water. 2000. Available online: http://www.oehha.org/water/phg/pdf/carbtet.pdf/ [Accessed on 30 March 2010].
- Courtecuisse, R.; Duhem, B. References. In Mushrooms Cultivation, Nutritional Value, Medicinal Effect, and Environmental Impact, 2nd; Chang, S.-T., Miles, P.G., Eds.; CRC Press: Boca Raton, FL, USA, 2004. [Google Scholar] [Green Version]
- Sabo, A.; Stilinovic, N.; Vukmirovic, S.; Bukumiric, Z.; Capo, I.; Jakovljevic, V. Pharmacodynamic Action of a Commercial Preparation of the Mushroom Coprinus comatus in Rats. Phytother. Res. 2010. [Google Scholar] [CrossRef]
- Szkudelski, T. The mechanism of alloxan and streptozotocin action in B cells of the rat pancreas. Physiol. Res. 2001, 50, 536–46. [Google Scholar]
- Zanger, R.S.; Benson, J.M.; Burnett, V.L.; Springer, D.L. Cytochrome P4502E1 is the primary enzyme responsible for low-dose carbon tetrachloride metabolism in human liver microsomes. Chem. Biol. Interact. 2000, 125, 233–243. [Google Scholar] [CrossRef]
- Lee, J.S. Effects of Fomes fomentarius supplementation on antioxidant enzyme activities, blood glucose, and lipid profile in streptozotocin-induced diabetic rats. Nutr. Res. 2005, 25, 187–195. [Google Scholar] [CrossRef]
- Kume, E.; Hisako, F.; Matsuki, N.; Ito, M.; Aruga, Ch.; Toriumi, W.; Kitamura, K.; Doi, K. Hepatic changes in the acute phase of streptozocin (SZ)-induced diabetes in mice. Exp. Toxicol. Pathol. 2004, 55, 467–480. [Google Scholar] [CrossRef]
- Vogel, G.; Vogel, W.H. Drug Discovery and Evaluation, Pharmacological assays; Vogel, G., Vogel, W.H., Eds.; Springer verlag: Berlin - Heidelberg, Germany, 1997. [Google Scholar]
- Edgley, A.J.; Gow, R.M.; Kelly, D.J. Tissue processing. In Histology Protocols; Hewitson, T.D., Darby, I.A., Eds.; Humana Press: New York, NY, USA, 2009; pp. 3–42. [Google Scholar]
- Buege, A.J.; Aust, D.S. References. In Methods in Enzymology; Fleischer, S., Parker, L., Eds.; Academic Press: New York, NY, USA, 1988; p. 306. [Google Scholar]
- Simon, L.M.; Fatrai, Z.; Jonas, D.E.; Matkovics, B. Study of Metabolism Enzymes during the Development of Phaseolus vulgaris. Plant Physiol. Biochem. 1974, 166, 389–393. [Google Scholar]
- Beers, R.F.J.; Sizer, J.W. Spectrophotometric Method for Measuring of Breakdown of Hydrogen Peroxide by Catalase. J. Biol. Chem. 1950, 195, 133–140. [Google Scholar]
- Chin, P.T.Y.; Stults, F.H.; Tappel, A.L. Purification of Rat Lung Soluble Glutathione Peroxidase. Biochim. Biophys. Acta 1976, 445, 558–660. [Google Scholar] [CrossRef]
- Bergmayer, U.H. Methoden Der Enzymatischen Analyse; Verlag Chemie: Weinhem, Germany, 1970; pp. 483–484. [Google Scholar]
- Kapetanović, I.M.; Mieyal, I.I. Inhibition of Acetaminophen Induced Hepatotoxicity by Phenacetin and Its Alkoxy Analogs. J. Pharmacol. Exp. Ther. 1979, 209, 25–30. [Google Scholar]
- Gornall, H.G.; Nardwall, C.L. Estimation of Total Protein in Tissue Homogenate. J. Biol. Chem. 1949, 177, 751–756. [Google Scholar]
© 2010 by the authors; licensee MDPI, Basel, Switzerland. This article is an Open Access article distributed under the terms and conditions of the Creative Commons Attribution license (http://creativecommons.org/licenses/by/3.0/).
Share and Cite
Popović, M.; Vukmirović, S.; Stilinović, N.; Čapo, I.; Jakovljević, V. Anti-Oxidative Activity of An Aqueous Suspension of Commercial Preparation of The Mushroom Coprinus comatus. Molecules 2010, 15, 4564-4571. https://doi.org/10.3390/molecules15074564
Popović M, Vukmirović S, Stilinović N, Čapo I, Jakovljević V. Anti-Oxidative Activity of An Aqueous Suspension of Commercial Preparation of The Mushroom Coprinus comatus. Molecules. 2010; 15(7):4564-4571. https://doi.org/10.3390/molecules15074564
Chicago/Turabian StylePopović, Mira, Saša Vukmirović, Nebojša Stilinović, Ivan Čapo, and Vida Jakovljević. 2010. "Anti-Oxidative Activity of An Aqueous Suspension of Commercial Preparation of The Mushroom Coprinus comatus" Molecules 15, no. 7: 4564-4571. https://doi.org/10.3390/molecules15074564
APA StylePopović, M., Vukmirović, S., Stilinović, N., Čapo, I., & Jakovljević, V. (2010). Anti-Oxidative Activity of An Aqueous Suspension of Commercial Preparation of The Mushroom Coprinus comatus. Molecules, 15(7), 4564-4571. https://doi.org/10.3390/molecules15074564
