A Hybrid Deep Learning Model for Brain Tumour Classification
Abstract
:1. Introduction
- It introduces a hybrid deep learning model that detects brain tumours in the early stages in order to accelerate the treatment process and control the spread of the malignant tissues.
- It proves that using hybrid deep learning classification, which combines Google-Net with SVM, gives higher accuracy and better results than traditional methods.
- It helps radiologists avoid errors from manual diagnosis of tumours through magnetic resonance images (MRI) images without invasive measures.
2. Related Work
3. The Proposed Approach
3.1. Fine-Tuned Deep Model
| Algorithm 1: Proposed Fine-Tuning Technique |
| Inputs: Training and testing images. Outputs: Calculated accuracy. Select the optimal value of features for determining Fine-Tuning output. Fine-Tuning Steps (condition of output limitation). Step 1: Load pre-trained Google-Net model of CNN (replicates all model designs and their parameters on the Google-Net model, except the output layer) Step 2: Truncate the pre-trained network’s last layer (softmax layer) and replace it with our new output layer that is relevant to our problem. Step 3: Add an output layer to the target model, whose number of outputs is the number of categories in the target dataset. Step 4: Freeze the weights of the pre-trained network’s first few layers. The first few layers capture universal features such as curves and edges, which are also relevant to our new problem. Step 5: Start training the new model structure while keeping those weights intact, with the network focusing on learning dataset-specific features in the subsequent layers. Step 6: The output Layer yields one of four classes:
|
3.2. Features Extraction
3.3. Classification Subsection
| Algorithm 2: The proposed SVM classifier technique |
| Inputs: Training and testing images. Outputs: Calculated accuracy. Select the optimal value of cost and gamma for SVM. While (stopping condition is not met) Do Step 1: Implement the SVM train step for each data point. Step 2: Implement SVM classification for testing data points. Step 3: Define SVM-based kernel as . Where x, y belong to the samples of feature space in the training set parameter. Step 4: The objective is to have four classes: 1- Normal (Not Tumour) 2- Tumour, with three subclasses:
Return accuracy |
4. Results and Discussion
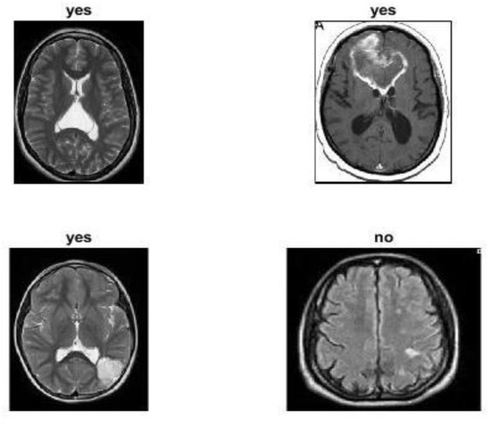
4.1. Dataset
4.2. Evaluation Measures
4.3. Performance Analysis
4.4. Computational Analysis and Comparison with Other Algorithms
4.5. Model Evaluation Using Public Dataset
5. Conclusions
Author Contributions
Funding
Acknowledgments
Conflicts of Interest
References
- Ferlay, J.; Soerjomataram, I.; Dikshit, R.; Eser, S.; Mathers, C.; Rebelo, M.; Parkin, D.M.; Forman, D.; Bray, F. Cancer incidence and mortality worldwide: Sources, methods and major patterns in GLOBOCAN 2012. Int. J. Cancer 2015, 136, E359–E386. [Google Scholar] [CrossRef]
- Sulaiman, S.N.; Non, N.A.; Isa, I.S.; Hamzah, N. Segmentation of brain MRI image based on the clustering algorithm. In Proceedings of the 2014 IEEE Symposium on Industrial Electronics & Applications (ISIEA), Kota Kinabalu, Malaysia, 28 September–1 October 2014; IEEE: Piscataway, NJ, USA, 2014. [Google Scholar]
- Noback, C.R.; Ruggiero, D.A.; Strominger, N.L.; Demarest, R.J. The Human Nervous System: Structure and Function; Springer: Berlin/Heidelberg, Germany, 2005. [Google Scholar]
- Ferrara, G. Abstracts of the Fourth Brainstorming Research Assembly for Young Neuroscientists (BraYn), Italy, 20–22 October 2021. Neurol. Int. 2022, 14, 109–157. [Google Scholar] [CrossRef]
- Gamage, P.; Ranathunga, D.L. Identification of Brain Tumor Using Image Processing Techniques; Faculty of Information Technology, University of Moratuwa: Moratuwa, Sri Lanka, 2017. [Google Scholar]
- Buckner, J.C.; Brown, P.D.; O’Neill, B.P.; Meyer, F.B.; Wetmore, C.J.; Uhm, J.H. Central nervous system tumors. In Mayo Clinic Proceedings; Elsevier: Amsterdam, The Netherlands, 2007. [Google Scholar]
- Louis, D.N.; Perry, A.; Reifenberger, G.; Von Deimling, A.; Figarella-Branger, D.; Cavenee, W.K.; Ellison, D.W. The 2016 World Health Organization classification of tumors of the central nervous system: A summary. Acta Neuropathol. 2016, 131, 803–820. [Google Scholar] [CrossRef] [Green Version]
- Badža, M.M.; Barjaktarović, M.Č. Classification of brain tumors from MRI images using a convolutional neural network. Appl. Sci. 2020, 10, 1999. [Google Scholar] [CrossRef] [Green Version]
- Louis, D.N. WHO Classification of Tumours of the Central Nervous System; WHO Regional Office Europe: Copenhagen, Denmark, 2007; Volume 1. [Google Scholar]
- Tiwari, A.; Srivastava, S.; Pant, M. Brain tumor segmentation and classification from magnetic resonance images: Review of selected methods from 2014 to 2019. Pattern Recognit. Lett. 2020, 131, 244–260. [Google Scholar] [CrossRef]
- Abd-Ellah, M.K.; Awad, A.I.; Khalaf, A.A.; Hamed, H.F. A review on brain tumor diagnosis from MRI images: Practical implications, key achievements, and lessons learned. Magn. Reson. Imaging 2019, 61, 300–318. [Google Scholar] [CrossRef]
- Hamed, G.; Marey, M.; Amin, S.; Tolba, M. Comparative study and analysis of recent computer aided diagnosis systems for masses detection in mammograms. Int. J. Intell. Comput. Inf. Sci. 2021, 21, 33–48. [Google Scholar] [CrossRef]
- Gorunescu, F. Data mining techniques in computer-aided diagnosis: Noninvasive cancer detection. Pwaset 2007, 25, 427–430. [Google Scholar]
- Mahmood, F.H.; Abbas, W.A. Texture Features Analysis using Gray Level Co-occurrence Matrix for Abnormality Detection in Chest CT Images. Iraqi J. Sci. 2016, 57, 279–288. [Google Scholar]
- Jayade, S.; Ingole, D.; Ingole, M.D. Review of Brain Tumor Detection Concept using MRI Images. In Proceedings of the 2019 International Conference on Innovative Trends and Advances in Engineering and Technology (ICITAET), Shegaon, India, 27–28 December 2019; IEEE: Piscataway, NJ, USA, 2019. [Google Scholar]
- Kaus, M.R.; Warfield, S.; Nabavi, A.; Black, P.M.; Jolesz, F.A.; Kikinis, R. Automated segmentation of MR images of brain tumors. Radiology 2001, 218, 586–591. [Google Scholar] [CrossRef] [Green Version]
- Jayadevappa, D.; Srinivas Kumar, S.; Murty, D. Medical image segmentation algorithms using deformable models: A review. IETE Tech. Rev. 2011, 28, 248–255. [Google Scholar] [CrossRef]
- Joseph, R.P.; Singh, C.S.; Manikandan, M. Brain tumor MRI image segmentation and detection in image processing. Int. J. Res. Eng. Technol. 2014, 3, 1–5. [Google Scholar]
- Yazdani, S.; Yusof, R.; Karimian, A.; Pashna, M.; Hematian, A. Image segmentation methods and applications in MRI brain images. IETE Tech. Rev. 2015, 32, 413–427. [Google Scholar] [CrossRef]
- Gosavi, D.; Dere, S.; Bhoir, D.; Rathod, M. Brain Tumor Classification Using GLCM Features and Neural Network. In Proceedings of the 2nd International Conference on Advances in Science & Technology (ICAST), Mumbai, India, 8–9 April 2019. [Google Scholar]
- Giraddi, S.; Vaishnavi, S. Detection of Brain Tumor using Image Classification. In Proceedings of the 2017 International Conference on Current Trends in Computer, Electrical, Electronics and Communication (CTCEEC), Mysore, India, 8–9 September 2017; IEEE: Piscataway, NJ, USA, 2017. [Google Scholar]
- Soofi, A.A.; Awan, A. Classification techniques in machine learning: Applications and issues. J. Basic Appl. Sci. 2017, 13, 459–465. [Google Scholar] [CrossRef]
- Safaei, M.; Sundararajan, E.A.; Driss, M.; Boulila, W.; Shapi’i, A. A systematic literature review on obesity: Understanding the causes & consequences of obesity and reviewing various machine learning approaches used to predict obesity. Comput. Biol. Med. 2021, 136, 104754. [Google Scholar]
- Raja, S.S. Deep Learning Based Image Classification and Abnormalities Analysis of MRI Brain Images. In Proceedings of the 2019 TEQIP III Sponsored International Conference on Microwave Integrated Circuits, Photonics and Wireless Networks (IMICPW), Tiruchirappalli, India, 22–24 May 2019; IEEE: Piscataway, NJ, USA, 2019. [Google Scholar]
- Capra, M.; Bussolino, B.; Marchisio, A.; Shafique, M.; Masera, G.; Martina, M. An updated survey of efficient hardware architectures for accelerating deep convolutional neural networks. Future Internet 2020, 12, 113. [Google Scholar] [CrossRef]
- Farouq, M.W.; Boulila, W.; Abdel-Aal, M.; Hussain, A.; Salem, A.B. A novel multi-stage fusion based approach for gene expression profiling in non-small cell lung cancer. IEEE Access 2019, 7, 37141–37150. [Google Scholar] [CrossRef]
- Ben Atitallah, S.; Driss, M.; Boulila, W.; Ben Ghezala, H. Randomly initialized convolutional neural network for the recognition of COVID-19 using X-ray images. Int. J. Imaging Syst. Technol. 2022, 32, 55–73. [Google Scholar] [CrossRef]
- Ben Atitallah, S.; Driss, M.; Boulila, W.; Koubaa, A.; Ben Ghezala, H. Fusion of convolutional neural networks based on Dempster–Shafer theory for automatic pneumonia detection from chest X-ray images. Int. J. Imaging Syst. Technol. 2022, 32, 658–672. [Google Scholar] [CrossRef]
- Yafooz, W.M.; Alsaeedi, A.; Alluhaibi, R.; Abdel-Hamid, M.E. Enhancing multi-class web video categorization model using machine and deep learning approaches. Int. J. Electr. Comput. Eng. 2022, 12, 3176. [Google Scholar] [CrossRef]
- Işın, A.; Direkoğlu, C.; Şah, M. Review of MRI-based brain tumor image segmentation using deep learning methods. Procedia Comput. Sci. 2016, 102, 317–324. [Google Scholar] [CrossRef] [Green Version]
- Lundervold, A.S.; Lundervold, A. An overview of deep learning in medical imaging focusing on MRI. Z. Med. Phys. 2019, 29, 102–127. [Google Scholar] [CrossRef] [PubMed]
- Bahadure, N.B.; Ray, A.K.; Thethi, H.P. Image analysis for MRI based brain tumor detection and feature extraction using biologically inspired BWT and SVM. Int. J. Biomed. Imaging 2017, 2017, 9749108. [Google Scholar] [CrossRef] [PubMed] [Green Version]
- Amin, J.; Sharif, M.; Yasmin, M.; Fernandes, S.L. A distinctive approach in brain tumor detection and classification using MRI. Pattern Recognit. Lett. 2020, 139, 118–127. [Google Scholar] [CrossRef]
- Khalil, M.; Ayad, H.; Adib, A. Performance evaluation of feature extraction techniques in MR-Brain image classification system. Procedia Comput. Sci. 2018, 127, 218–225. [Google Scholar] [CrossRef]
- Emerson, F.; Divya, A. Performance analysis of brain tumor diagnosis based on soft computing techniques. Int. J. Pure Appl. Math. 2018, 119, 11835–11843. [Google Scholar]
- Leo, M.J. MRI Brain Image Segmentation and Detection Using K-NN Classification. In Journal of Physics: Conference Series; IOP Publishing: Tokyo, Japan, 2019. [Google Scholar]
- Hussain, U.N.; Khan, M.A.; Lali, I.U.; Javed, K.; Ashraf, I.; Tariq, J.; Din, A. A Unified Design of ACO and Skewness based Brain Tumor Segmentation and Classification from MRI Scans. J. Control Eng. Appl. Inform. 2020, 22, 43–55. [Google Scholar]
- Kshirsagar, P.R.; Yadav, A.D.; Joshi, K.A.; Chippalkatti, P.; Nerkar, R.Y. Classification and Detection of Brain Tumor by using GLCM Texture Feature and ANFIS. J. Res. Image Signal Processing 2020, 5, 15–31. [Google Scholar]
- Kabir, M.A. Automatic brain tumor detection and feature extraction from mriimage. GSJ 2020, 8, 4. [Google Scholar]
- Khawaldeh, S.; Pervaiz, U.; Rafiq, A.; Alkhawaldeh, R.S. Noninvasive grading of glioma tumor using magnetic resonance imaging with convolutional neural networks. Appl. Sci. 2018, 8, 27. [Google Scholar] [CrossRef] [Green Version]
- Sajjad, M.; Khan, S.; Muhammad, K.; Wu, W.; Ullah, A.; Baik, S.W. Multi-grade brain tumor classification using deep CNN with extensive data augmentation. J. Comput. Sci. 2019, 30, 174–182. [Google Scholar] [CrossRef]
- Özyurt, F.; Sert, E.; Avci, E.; Dogantekin, E. Brain tumor detection based on Convolutional Neural Network with neutrosophic expert maximum fuzzy sure entropy. Measurement 2019, 147, 106830. [Google Scholar] [CrossRef]
- Renda, A.; Frankle, J.; Carbin, M. Comparing rewinding and fine-tuning in neural network pruning. arXiv 2020, arXiv:2003.02389. [Google Scholar]
- Nagabandi, A.; Kahn, G.; Fearing, R.S.; Levine, S. Neural network dynamics for model-based deep reinforcement learning with model-free fine-tuning. In Proceedings of the 2018 IEEE International Conference on Robotics and Automation (ICRA), Brisbane, Australia, 21–25 May 2018; IEEE: Piscataway, NJ, USA, 2018. [Google Scholar]
- Gong, K.; Guan, J.; Liu, C.-C.; Qi, J. PET image denoising using a deep neural network through fine tuning. IEEE Trans. Radiat. Plasma Med. Sci. 2018, 3, 153–161. [Google Scholar] [CrossRef] [PubMed]
- Dash, A.K.; Mohapatra, P. A Fine-tuned deep convolutional neural network for chest radiography image classification on COVID-19 cases. Multimed. Tools Appl. 2022, 81, 1055–1075. [Google Scholar] [CrossRef]
- Ajit, A.; Acharya, K.; Samanta, A. A Review of Convolutional Neural Networks. In Proceedings of the 2020 International Conference on Emerging Trends in Information Technology and Engineering (ic-ETITE), Vellore, India, 24–25 February 2020; IEEE: Piscataway, NJ, USA, 2020. [Google Scholar]
- Alom, M.Z.; Taha, T.M.; Yakopcic, C.; Westberg, S.; Sidike, P.; Nasrin, M.S.; Asari, V.K. A state-of-the-art survey on deep learning theory and architectures. Electronics 2019, 8, 292. [Google Scholar] [CrossRef] [Green Version]
- Khan, A.; Sohail, A.; Zahoora, U.; Qureshi, A.S. A survey of the recent architectures of deep convolutional neural networks. Artif. Intell. Rev. 2020, 53, 5455–5516. [Google Scholar] [CrossRef] [Green Version]
- Das, S. CNN Architectures: LeNet, AlexNet, VGG, GoogLeNet, ResNet and more…. Medium 2017. Available online: https://medium.com/analytics-vidhya/cnns-architectures-lenet-alexnet-vgg-googlenet-resnet-and-more-666091488df5 (accessed on 1 May 2022).
- Nguyen, L. Tutorial on support vector machine. Appl. Comput. Math. 2017, 6, 1–15. [Google Scholar]
- Sharma, R.; Sungheetha, A. An efficient dimension reduction based fusion of CNN and SVM model for detection of abnormal incident in video surveillance. J. Soft Comput. Paradig. 2021, 3, 55–69. [Google Scholar] [CrossRef]
- Yafooz, W.M.; Abidin, S.Z.; Omar, N.; Halim, R.A. Dynamic semantic textual document clustering using frequent terms and named entity. In Proceedings of the 2013 IEEE 3rd International Conference on System Engineering and Technology, Shah Alam, Malaysia, 19–20 August 2013; IEEE: Piscataway, NJ, USA, 2013; pp. 336–340. [Google Scholar]
- Fahad, S.A.; Yafooz, W.M. Review on semantic document clustering. Int. J. Contemp. Comput. Res. 2017, 1, 14–30. [Google Scholar]
- Bhavsar, H.; Panchal, M.H. A review on support vector machine for data classification. Int. J. Adv. Res. Comput. Eng. Technol. 2012, 1, 185–189. [Google Scholar]
- Cheng, J. Brain Tumor Dataset. Figshare. 2017. Available online: https://figshare.com/articles/dataset/brain_tumor_dataset/1512427 (accessed on 1 May 2022).
- Sartaj Bhuvaji, A.K.; Bhumkar, P.; Dedge, S.; Kanchan, S. Brain Tumor Classification (MRI); Kaggle: San Francisco, CA, USA, 2020. [Google Scholar]
- Alqudah, A.M.; Albadarneh, A.; Abu-Qasmieh, I.; Alquran, H. Developing of robust and high accurate ECG beat classification by combining Gaussian mixtures and wavelets features. Australas. Phys. Eng. Sci. Med. 2019, 42, 149–157. [Google Scholar] [CrossRef] [PubMed]
- Alqudah, A.M.; Alquraan, H.; Qasmieh, I.A.; Alqudah, A.; Al-Sharu, W. Brain Tumor Classification Using Deep Learning Technique—A Comparison between Cropped, Uncropped, and Segmented Lesion Images with Different Sizes. arXiv 2020, arXiv:2001.08844. [Google Scholar] [CrossRef]










| SVM | Support Vector Machine |
| CNN | Convolutional Neural Network |
| MRI | Magnetic Resonance Images |
| GN-SVM | Google-Net with SVM technique |
| GN-FT | Google-Net with Fine-Tuning technique |
| WHO | World Health Organization |
| ML | Machine learning |
| DL | Deep learning |
| CT | Computed tomography |
| SPECT | Photon Emission Computer Tomography |
| PET | Positron Emission Tomography |
| ACO | Ant colony optimization |
| Item | Setting |
|---|---|
| CPU | Intel Core-I5 |
| RAM | 20 GB |
| Hard Drive | 512 GB SSD |
| Operating System | Windows 10 |
| Language | MATLAB R2021b |
| Tumour Types | Google-Net Technique with SVM Technique (GN-SVM) | Google-Net Technique with Fine-Tuning Technique (GN-FT) | ||
|---|---|---|---|---|
| Recall | Precision | Recall | Precision | |
| Glioma | 97.8% | 97.3% | 97.0% | 87.6% |
| Meningioma | 97.3% | 97.3% | 85.1% | 94.7% |
| Pituitary | 98.9% | 98.9% | 100% | 87.3% |
| Not_Tumour | 98.7% | 100% | 95.2% | 98.9% |
| GN-SVM | GN-FT | |
|---|---|---|
| Test Time (second per image) | 0.097 | 0.098 |
| Ref | Proposed Method | Accuracy |
|---|---|---|
| [27] | GLCM + SVM + BWT | 96.5% |
| [28] | SVM + ROI + (RBF) + Linear and Cubic | 97.1% |
| [29] | GLCM + k-NN + Fusion Operator | 90.9% |
| [31] | GLCM + K-mean + k-NN | 85.0% |
| [35] | Alex-Net CNN | 91.2% |
| [36] | VGG-19 CNN | 87.4% 90.7% |
| [37] | NS-CNN + SVM | 95.6% |
| This paper | Google-Net + SVM | 98.1% |
| Google-Net + Fine-Tuning | 93.1% |
Publisher’s Note: MDPI stays neutral with regard to jurisdictional claims in published maps and institutional affiliations. |
© 2022 by the authors. Licensee MDPI, Basel, Switzerland. This article is an open access article distributed under the terms and conditions of the Creative Commons Attribution (CC BY) license (https://creativecommons.org/licenses/by/4.0/).
Share and Cite
Rasool, M.; Ismail, N.A.; Boulila, W.; Ammar, A.; Samma, H.; Yafooz, W.M.S.; Emara, A.-H.M. A Hybrid Deep Learning Model for Brain Tumour Classification. Entropy 2022, 24, 799. https://doi.org/10.3390/e24060799
Rasool M, Ismail NA, Boulila W, Ammar A, Samma H, Yafooz WMS, Emara A-HM. A Hybrid Deep Learning Model for Brain Tumour Classification. Entropy. 2022; 24(6):799. https://doi.org/10.3390/e24060799
Chicago/Turabian StyleRasool, Mohammed, Nor Azman Ismail, Wadii Boulila, Adel Ammar, Hussein Samma, Wael M. S. Yafooz, and Abdel-Hamid M. Emara. 2022. "A Hybrid Deep Learning Model for Brain Tumour Classification" Entropy 24, no. 6: 799. https://doi.org/10.3390/e24060799
APA StyleRasool, M., Ismail, N. A., Boulila, W., Ammar, A., Samma, H., Yafooz, W. M. S., & Emara, A.-H. M. (2022). A Hybrid Deep Learning Model for Brain Tumour Classification. Entropy, 24(6), 799. https://doi.org/10.3390/e24060799

