Sign in to use this feature.

Years

Between: -

Subjects

remove_circle_outline
remove_circle_outline
remove_circle_outline
remove_circle_outline
remove_circle_outline
remove_circle_outline
remove_circle_outline

Journals

Article Types

Countries / Regions

Search Results (36)

Search Parameters:
Keywords = ventral stream

Order results
Result details
Results per page
Select all
Export citation of selected articles as:
20 pages, 2476 KB  
Case Report
Improving Lexicosemantic Impairments in Post-Stroke Aphasia Using rTMS Targeting the Right Anterior Temporal Lobe
by Sophie Arheix-Parras, Sophia R. Moore and Rutvik H. Desai
Brain Sci. 2026, 16(1), 117; https://doi.org/10.3390/brainsci16010117 - 22 Jan 2026
Abstract
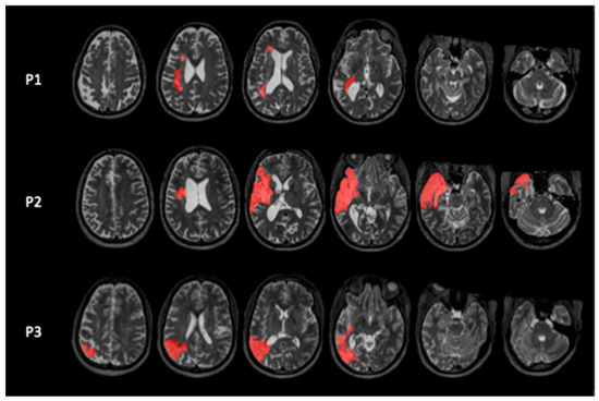
Background/Objectives: Repetitive Transcranial Magnetic Stimulation (rTMS) can enhance post-stroke aphasia recovery. The right Inferior Frontal Gyrus is the most common target in rTMS studies for inhibitory stimulation. However, lexicosemantic processes involve a large brain network including the Anterior Temporal Lobe (ATL). We [...] Read more.
Background/Objectives: Repetitive Transcranial Magnetic Stimulation (rTMS) can enhance post-stroke aphasia recovery. The right Inferior Frontal Gyrus is the most common target in rTMS studies for inhibitory stimulation. However, lexicosemantic processes involve a large brain network including the Anterior Temporal Lobe (ATL). We hypothesize that rTMS targeting the ATL will improve lexicosemantic impairments in people with post-stroke aphasia. Methods: In a Single-Case Experimental Design, three people with post-stroke aphasia with lexicosemantic impairments performed Picture and Auditory Naming and Semantic Decision tasks five times a week for one or two weeks to establish baseline scores. Then, each participant received continuous inhibitory Theta Burst Stimulation targeting the right ATL, five times a week for two weeks. After each rTMS session, participants performed all linguistic tasks. A follow-up measurement was performed one month after the end of the study. Results: All participants showed significant improvement in the Picture Naming task, while only P1 improved in Auditory Naming accuracy. In the Semantic Decision task, only P2 showed improvement in both accuracy and RT, while P1 showed improvement in RT alone and P3 showed no improvement. Conclusions: The results suggest that ATL could be a potential target for future brain stimulation studies in aphasia involving lexicosemantic impairments. RTMS targeting the ATL may modulate the connected ventral semantic stream, leading to improvements in lexical access. This preliminary study highlights the possibility of selecting the cortical target for rTMS based on the clinical profile of the participant, an approach that will need further investigation in larger sham-controlled studies. Full article
(This article belongs to the Special Issue Diagnosis and Treatment of Post-Stroke and Progressive Aphasias)
Show Figures

Figure 1

13 pages, 740 KB  
Case Report
Static Visual Agnosia Following Awake Resection of a Left Frontal Low-Grade Glioma: A Case Report of Ventral Stream Network Disruption (“Astatopsia”)
by Stefano Vecchioni, Alessio Iacoangeli, Andrea De Angelis, Silvia Bonifazi, Roberto Trignani and Michele Luzi
Reports 2026, 9(1), 1; https://doi.org/10.3390/reports9010001 - 19 Dec 2025
Viewed by 209
Abstract
Background and Clinical Significance: Visual agnosia and speech production deficits are well-described sequelae of neurosurgical interventions, but their selective dissociation remains rare. This report presents an unusual combination of postoperative deficits following awake resection of a left frontal low-grade glioma. Case Presentation [...] Read more.
Background and Clinical Significance: Visual agnosia and speech production deficits are well-described sequelae of neurosurgical interventions, but their selective dissociation remains rare. This report presents an unusual combination of postoperative deficits following awake resection of a left frontal low-grade glioma. Case Presentation: We present the case of a right-handed female with left hemisphere language dominance who had a left frontal low-grade glioma. Preoperatively, she exhibited anomia and dysexecutive syndrome, including difficulty completing everyday goal-directed tasks such as sending emails and paying for parking. Following awake tumor resection, she developed two rare, dissociated deficits: (1) speech restricted to infinitive verb forms and (2) selective visual agnosia for static images, with preserved recognition of dynamic stimuli. Conclusions: This uncommon clinical constellation highlights the vulnerability of left frontal language and ventral visual processing networks during surgery and supports the dual-stream model of vision and language production. We describe a selective form of static visual agnosia affecting static images with relative preservation of dynamic and object recognition, for which we use the descriptive label “astatopsia”. This peculiar clinical condition is rarely documented in this particular combination and has not, to the best of our knowledge, previously been denominated in such a manner in the literature. Full article
Show Figures

Figure 1

15 pages, 2220 KB  
Article
Reproducing the Few-Shot Learning Capabilities of the Visual Ventral Pathway Using Vision Transformers and Neural Fields
by Jiayi Su, Lifeng Xing, Tao Li, Nan Xiang, Jiacheng Shi and Dequan Jin
Brain Sci. 2025, 15(8), 882; https://doi.org/10.3390/brainsci15080882 - 19 Aug 2025
Viewed by 1196
Abstract
Background: Studies have shown that humans can rapidly learn the shape of new objects or adjust their behavior when encountering novel situations. Research on visual cognition in the brain further indicates that the ventral visual pathway plays a critical role in core object [...] Read more.
Background: Studies have shown that humans can rapidly learn the shape of new objects or adjust their behavior when encountering novel situations. Research on visual cognition in the brain further indicates that the ventral visual pathway plays a critical role in core object recognition. While existing studies often focus on microscopic simulations of individual neural structures, few adopt a holistic, system-level perspective, making it difficult to achieve robust few-shot learning capabilities. Method: Inspired by the mechanisms and processes of the ventral visual stream, this paper proposes a computational model with a macroscopic neural architecture for few-shot learning. We reproduce the feature extraction functions of V1 and V2 using a well-trained Vision Transformer (ViT) and model the neuronal activity in V4 and IT using two neural fields. By connecting these neurons based on Hebbian learning rules, the proposed model stores the feature and category information of the input samples during support training. Results: By employing a scale adaptation strategy, the proposed model emulates visual neural mechanisms, enables efficient learning, and outperforms state-of-the-art few-shot learning algorithms in comparative experiments on real-world image datasets, demonstrating human-like learning capabilities. Conclusion: Experimental results demonstrate that our ventral-stream-inspired machine-learning model achieves effective few-shot learning on real-world datasets. Full article
Show Figures

Figure 1

17 pages, 2487 KB  
Article
Personalized Language Training and Bi-Hemispheric tDCS Improve Language Connectivity in Chronic Aphasia: A fMRI Case Study
by Sandra Carvalho, Augusto J. Mendes, José Miguel Soares, Adriana Sampaio and Jorge Leite
J. Pers. Med. 2025, 15(8), 352; https://doi.org/10.3390/jpm15080352 - 3 Aug 2025
Viewed by 1554
Abstract
Background: Transcranial direct current stimulation (tDCS) has emerged as a promising neuromodulatory tool for language rehabilitation in chronic aphasia. However, the effects of bi-hemispheric, multisite stimulation remain largely unexplored, especially in people with chronic and treatment-resistant language impairments. The goal of this [...] Read more.
Background: Transcranial direct current stimulation (tDCS) has emerged as a promising neuromodulatory tool for language rehabilitation in chronic aphasia. However, the effects of bi-hemispheric, multisite stimulation remain largely unexplored, especially in people with chronic and treatment-resistant language impairments. The goal of this study is to look at the effects on behavior and brain activity of an individualized language training program that combines bi-hemispheric multisite anodal tDCS with personalized language training for Albert, a patient with long-standing, treatment-resistant non-fluent aphasia. Methods: Albert, a right-handed retired physician, had transcortical motor aphasia (TCMA) subsequent to a left-hemispheric ischemic stroke occurring more than six years before the operation. Even after years of traditional treatment, his expressive and receptive language deficits remained severe and persistent despite multiple rounds of traditional therapy. He had 15 sessions of bi-hemispheric multisite anodal tDCS aimed at bilateral dorsal language streams, administered simultaneously with language training customized to address his particular phonological and syntactic deficiencies. Psycholinguistic evaluations were performed at baseline, immediately following the intervention, and at 1, 2, 3, and 6 months post-intervention. Resting-state fMRI was conducted at baseline and following the intervention to evaluate alterations in functional connectivity (FC). Results: We noted statistically significant enhancements in auditory sentence comprehension and oral reading, particularly at the 1- and 3-month follow-ups. Neuroimaging showed decreased functional connectivity (FC) in the left inferior frontal and precentral regions (dorsal stream) and in maladaptive right superior temporal regions, alongside increased FC in left superior temporal areas (ventral stream). This pattern suggests that language networks may be reorganizing in a more efficient way. There was no significant improvement in phonological processing, which may indicate reduced connectivity in the left inferior frontal areas. Conclusions: This case underscores the potential of combining individualized, network-targeted language training with bi-hemispheric multisite tDCS to enhance recovery in chronic, treatment-resistant aphasia. The convergence of behavioral gains and neuroplasticity highlights the importance of precision neuromodulation approaches. However, findings are preliminary and warrant further validation through controlled studies to establish broader efficacy and sustainability of outcomes. Full article
(This article belongs to the Special Issue Personalized Medicine in Neuroscience: Molecular to Systems Approach)
Show Figures

Figure 1

19 pages, 333 KB  
Systematic Review
The Connectivity of the Resting Brain in Primary Open-Angle Glaucoma: A Systematic Review
by Nikola Velkov, Sevdalina Kandilarova and Drozdstoy Stoyanov
Biomedicines 2025, 13(6), 1402; https://doi.org/10.3390/biomedicines13061402 - 7 Jun 2025
Cited by 2 | Viewed by 1336
Abstract
Background/Objectives: Worldwide, glaucomas are the leading cause of irreversible blindness in adults. On the ocular level, they are fairly well understood; however, the functional and structural changes that occur in the brain have become a subject of great interest lately, mostly owing [...] Read more.
Background/Objectives: Worldwide, glaucomas are the leading cause of irreversible blindness in adults. On the ocular level, they are fairly well understood; however, the functional and structural changes that occur in the brain have become a subject of great interest lately, mostly owing to improved accessibility and effectiveness of functional magnetic resonance imaging (fMRI). This, coupled with the non-invasive nature of the methodology, has contributed to an ever-growing body of research published on the topic. In this systematic review, we gather, systematize, and compare the results and methodologies reported in the literature, as pertaining to resting-state fMRI brain changes in primary open-angle glaucoma (POAG). Methods: A systematic search in PubMed, Scopus, and Web of Science was carried out, resulting in a total of 290 records identified, with 67 assessed for eligibility and 24 selected for inclusion. Results: The main findings include worse functional parameters in the early visual centers in POAG across all methodologies, reduced functional connectivity between V1 and other parts of the visual cortex, functional aberrations in higher levels of the visual system, predominantly in the ventral stream and in extravisual networks, among others. Moreover, the majority of these changes are shown to be correlated with ophthalmological measurements. Conclusions: Although studies on this matter tend to suffer from a limited sample size and a lack of methodological standardization, we nevertheless manage to present common results and conclusions regarding the effects of POAG on brain function. Full article
(This article belongs to the Special Issue Glaucoma: New Diagnostic and Therapeutic Approaches, 2nd Edition)
Show Figures

Figure 1

25 pages, 9684 KB  
Article
Retraining Dorsal Visual Pathways Improves Cognitive Skills After a Mild Traumatic Brain Injury
by Teri Lawton, John Shelley-Tremblay, Roland R. Lee and Ming-Xiong Huang
J. Clin. Med. 2025, 14(7), 2273; https://doi.org/10.3390/jcm14072273 - 26 Mar 2025
Cited by 2 | Viewed by 1578
Abstract
Background and Objectives: Currently, there are no proven solutions to remediate cognitive deficits in people with a mild traumatic brain injury (mTBI). One common issue is visual timing deficits, which may be due to processing deficits in dorsal visual pathways. Methods: This [...] Read more.
Background and Objectives: Currently, there are no proven solutions to remediate cognitive deficits in people with a mild traumatic brain injury (mTBI). One common issue is visual timing deficits, which may be due to processing deficits in dorsal visual pathways. Methods: This study investigates whether a new intervention (PATH) aimed at improving these visual timing deficits is more effective than conventional cognitive therapies that either remediate: (1) pattern discrimination deficits (ventral visual pathway): Orientation Discrimination (OD), or (2) working memory deficits using ReCollect task, for 10 subjects between the ages of 26–60 years old. This study tests the ability of three different cognitive therapies to improve the primary outcome: visual working memory (VWM), and secondary outcomes: processing speed, auditory working memory, and selective attention in mTBI subjects based on neuropsychological tests administered before and after 36 30-min training sessions Monday, Wednesday and Friday mornings. Results: On average, the PATH group exhibited a 35% improvement in VWM, compared to 15% for ReCollect and 5% for OD. A repeated-measures ANOVA found that improving dorsal stream function improved VWM significantly more than found after the other two interventions. The results reveal the importance of strengthening dorsal pathways more than conventional cognitive therapies to improve cognitive skills after mTBI. A biomarker, MagnetoEncephaloGraphy (MEG) brain recordings, using an N-Back task for subjects in treatment groups, verified these improvements as well. Conclusions: The data from this preliminary study are very promising for a new method improving the brain’s timing, more effective than conventional therapies, to improve cognitive deficits in mTBI patients. Full article
Show Figures

Figure 1

17 pages, 3152 KB  
Article
Connectivity in the Dorsal Visual Stream Is Enhanced in Action Video Game Players
by Kyle Cahill, Timothy Jordan and Mukesh Dhamala
Brain Sci. 2024, 14(12), 1206; https://doi.org/10.3390/brainsci14121206 - 28 Nov 2024
Cited by 1 | Viewed by 4093
Abstract
Action video games foster competitive environments that demand rapid spatial navigation and decision-making. Action video gamers often exhibit faster response times and slightly improved accuracy in vision-based sensorimotor tasks. Background/Objectives: However, the underlying functional and structural changes in the two visual streams of [...] Read more.
Action video games foster competitive environments that demand rapid spatial navigation and decision-making. Action video gamers often exhibit faster response times and slightly improved accuracy in vision-based sensorimotor tasks. Background/Objectives: However, the underlying functional and structural changes in the two visual streams of the brain that may be contributing to these cognitive improvements have been unclear. Methods: Using functional and diffusion MRI data, this study investigated the differences in connectivity between gamers who play action video games and nongamers in the dorsal and ventral visual streams. Results: We found that action video gamers have enhanced functional and structural connectivity, especially in the dorsal visual stream. Specifically, there is heightened functional connectivity—both undirected and directed—between the left superior occipital gyrus and the left superior parietal lobule during a moving-dot discrimination decision-making task. This increased connectivity correlates with response time in gamers. The structural connectivity in the dorsal stream, as quantified by diffusion fractional anisotropy and quantitative anisotropy measures of the axonal fiber pathways, was also enhanced for gamers compared to nongamers. Conclusions: These findings provide valuable insights into how action video gaming can induce targeted improvements in structural and functional connectivity between specific brain regions in the visual processing pathways. These connectivity changes in the dorsal visual stream underpin the superior performance of action video gamers compared to nongamers in tasks requiring rapid and accurate vision-based decision-making. Full article
Show Figures

Figure 1

20 pages, 8211 KB  
Article
Effect of Surface Morphology and Internal Structure on the Tribological Behaviors of Snake Scales from Dinodon rufozonatum
by Ge Shi, Jinhao Wang, Yuehua Dong, Song Hu, Long Zheng and Luquan Ren
Biomimetics 2024, 9(10), 617; https://doi.org/10.3390/biomimetics9100617 - 11 Oct 2024
Cited by 2 | Viewed by 2823
Abstract
Snakes can move freely on land, in lakes, and in other environments. During movement, the scales are in long-term contact with the external environment, providing protection to the body. In this study, we evaluated the mechanical properties and scratching performance of the ventral [...] Read more.
Snakes can move freely on land, in lakes, and in other environments. During movement, the scales are in long-term contact with the external environment, providing protection to the body. In this study, we evaluated the mechanical properties and scratching performance of the ventral and dorsal scales from Dinodon rufozonatum, a generalist species that moves on both land and in streams under wet and dry conditions. The results showed that the elastic modulus and hardness of the dry scales were greater than those of the wet scales. The average scale friction coefficient under wet conditions (0.1588) was 9.3% greater than that under dry conditions (0.1453). The scales exhibit brittle damage in dry environments, while in wet environments, ductile damage is observed. This adaptation mechanism allows the scales to protect the body by dissipating energy and reducing stress concentration, ensuring efficient locomotion and durability in both terrestrial and aquatic environments. Understanding how this biomaterial adapts to environmental changes can inspire the development of bionic materials. Full article
(This article belongs to the Special Issue Biological and Bioinspired Materials and Structures)
Show Figures

Figure 1

27 pages, 2184 KB  
Review
The “What” and “How” of Pantomime Actions
by Raymond R. MacNeil and James T. Enns
Vision 2024, 8(4), 58; https://doi.org/10.3390/vision8040058 - 26 Sep 2024
Cited by 1 | Viewed by 3002
Abstract
Pantomimes are human actions that simulate ideas, objects, and events, commonly used in conversation, performance art, and gesture-based interfaces for computing and controlling robots. Yet, their underlying neurocognitive mechanisms are not well understood. In this review, we examine pantomimes through two parallel lines [...] Read more.
Pantomimes are human actions that simulate ideas, objects, and events, commonly used in conversation, performance art, and gesture-based interfaces for computing and controlling robots. Yet, their underlying neurocognitive mechanisms are not well understood. In this review, we examine pantomimes through two parallel lines of research: (1) the two visual systems (TVS) framework for visually guided action, and (2) the neuropsychological literature on limb apraxia. Historically, the TVS framework has considered pantomime actions as expressions of conscious perceptual processing in the ventral stream, but an emerging view is that they are jointly influenced by ventral and dorsal stream processing. Within the apraxia literature, pantomimes were historically viewed as learned motor schemas, but there is growing recognition that they include creative and improvised actions. Both literatures now recognize that pantomimes are often created spontaneously, sometimes drawing on memory and always requiring online cognitive control. By highlighting this convergence of ideas, we aim to encourage greater collaboration across these two research areas, in an effort to better understand these uniquely human behaviors. Full article
Show Figures

Figure 1

14 pages, 5153 KB  
Article
A Semi-Autonomous Hierarchical Control Framework for Prosthetic Hands Inspired by Dual Streams of Human
by Xuanyi Zhou, Jianhua Zhang, Bangchu Yang, Xiaolong Ma, Hao Fu, Shibo Cai and Guanjun Bao
Biomimetics 2024, 9(1), 62; https://doi.org/10.3390/biomimetics9010062 - 22 Jan 2024
Cited by 2 | Viewed by 3331
Abstract
The routine use of prosthetic hands significantly enhances amputees’ daily lives, yet it often introduces cognitive load and reduces reaction speed. To address this issue, we introduce a wearable semi-autonomous hierarchical control framework tailored for amputees. Drawing inspiration from the visual processing stream [...] Read more.
The routine use of prosthetic hands significantly enhances amputees’ daily lives, yet it often introduces cognitive load and reduces reaction speed. To address this issue, we introduce a wearable semi-autonomous hierarchical control framework tailored for amputees. Drawing inspiration from the visual processing stream in humans, a fully autonomous bionic controller is integrated into the prosthetic hand control system to offload cognitive burden, complemented by a Human-in-the-Loop (HIL) control method. In the ventral-stream phase, the controller integrates multi-modal information from the user’s hand–eye coordination and biological instincts to analyze the user’s movement intention and manipulate primitive switches in the variable domain of view. Transitioning to the dorsal-stream phase, precise force control is attained through the HIL control strategy, combining feedback from the prosthetic hand’s sensors and the user’s electromyographic (EMG) signals. The effectiveness of the proposed interface is demonstrated by the experimental results. Our approach presents a more effective method of interaction between a robotic control system and the human. Full article
(This article belongs to the Special Issue Bionic Technology—Robotic Exoskeletons and Prostheses: 2nd Edition)
Show Figures

Figure 1

15 pages, 2505 KB  
Article
The Impact of Spatial Frequency on the Perception of Crowd Emotion: An fMRI Study
by Dongfang Zhao, Xiangnan Shen, Shuaixia Li and Weiqi He
Brain Sci. 2023, 13(12), 1699; https://doi.org/10.3390/brainsci13121699 - 9 Dec 2023
Cited by 3 | Viewed by 2592
Abstract
Recognizing the emotions of faces in a crowd is crucial for understanding overall behavior and intention as well as for smooth and friendly social interactions. However, it is unclear whether the spatial frequency of faces affects the discrimination of crowd emotion. Although high- [...] Read more.
Recognizing the emotions of faces in a crowd is crucial for understanding overall behavior and intention as well as for smooth and friendly social interactions. However, it is unclear whether the spatial frequency of faces affects the discrimination of crowd emotion. Although high- and low-spatial-frequency information for individual faces is processed by distinct neural channels, there is a lack of evidence on how this applies to crowd faces. Here, we used functional magnetic resonance imaging (fMRI) to investigate neural representations of crowd faces at different spatial frequencies. Thirty-three participants were asked to compare whether a test face was happy or more fearful than a crowd face that varied in high, low, and broad spatial frequencies. Our findings revealed that fearful faces with low spatial frequencies were easier to recognize in terms of accuracy (78.9%) and response time (927 ms). Brain regions, such as the fusiform gyrus, located in the ventral visual stream, were preferentially activated in high spatial frequency crowds, which, however, were the most difficult to recognize behaviorally (68.9%). Finally, the right inferior frontal gyrus was found to be better activated in the broad spatial frequency crowds. Our study suggests that people are more sensitive to fearful crowd faces with low spatial frequency and that high spatial frequency does not promote crowd face recognition. Full article
(This article belongs to the Section Cognitive, Social and Affective Neuroscience)
Show Figures

Figure 1

34 pages, 1983 KB  
Review
The Neural Correlates of Developmental Prosopagnosia: Twenty-Five Years on
by Valerio Manippa, Annalisa Palmisano, Martina Ventura and Davide Rivolta
Brain Sci. 2023, 13(10), 1399; https://doi.org/10.3390/brainsci13101399 - 30 Sep 2023
Cited by 14 | Viewed by 9034
Abstract
Faces play a crucial role in social interactions. Developmental prosopagnosia (DP) refers to the lifelong difficulty in recognizing faces despite the absence of obvious signs of brain lesions. In recent decades, the neural substrate of this condition has been extensively investigated. While early [...] Read more.
Faces play a crucial role in social interactions. Developmental prosopagnosia (DP) refers to the lifelong difficulty in recognizing faces despite the absence of obvious signs of brain lesions. In recent decades, the neural substrate of this condition has been extensively investigated. While early neuroimaging studies did not reveal significant functional and structural abnormalities in the brains of individuals with developmental prosopagnosia (DPs), recent evidence identifies abnormalities at multiple levels within DPs’ face-processing networks. The current work aims to provide an overview of the convergent and contrasting findings by examining twenty-five years of neuroimaging literature on the anatomo-functional correlates of DP. We included 55 original papers, including 63 studies that compared the brain structure (MRI) and activity (fMRI, EEG, MEG) of healthy control participants and DPs. Despite variations in methods, procedures, outcomes, sample selection, and study design, this scoping review suggests that morphological, functional, and electrophysiological features characterize DPs’ brains, primarily within the ventral visual stream. Particularly, the functional and anatomical connectivity between the Fusiform Face Area and the other face-sensitive regions seems strongly impaired. The cognitive and clinical implications as well as the limitations of these findings are discussed in light of the available knowledge and challenges in the context of DP. Full article
(This article belongs to the Special Issue Insights into Developmental Prosopagnosia)
Show Figures

Figure 1

15 pages, 693 KB  
Article
Dyslexia Due to Visual Impairments
by Reinhard Werth
Biomedicines 2023, 11(9), 2559; https://doi.org/10.3390/biomedicines11092559 - 18 Sep 2023
Cited by 5 | Viewed by 2930
Abstract
Reading involves many different abilities that are necessary or sufficient conditions for fluent and flawless reading. The absence of one necessary or of all sufficient conditions is a cause of dyslexia. The present study investigates whether too short fixation times and an impaired [...] Read more.
Reading involves many different abilities that are necessary or sufficient conditions for fluent and flawless reading. The absence of one necessary or of all sufficient conditions is a cause of dyslexia. The present study investigates whether too short fixation times and an impaired ability to recognize a string of letters simultaneously are causes of dyslexia. The frequency and types of reading mistakes were investigated in a tachistoscopic pseudoword experiment with 100 children with dyslexia to test the impact of too short fixation times and the attempts of children with dyslexia to recognize more letters simultaneously than they can when reading pseudowords. The experiment demonstrates that all types of reading mistakes disappear when the fixation time increases and/or the number of letters that the children try to recognize simultaneously is reduced. The results cannot be interpreted as being due to altered visual crowding, impaired attention, or impaired phonological awareness, but can be regarded as an effect of impaired temporal summation and a dysfunction in the ventral stream of the visual system. Full article
(This article belongs to the Special Issue Neurodevelopmental Disabilities)
Show Figures

Figure 1

20 pages, 4338 KB  
Article
Using HVS Dual-Pathway and Contrast Sensitivity to Blindly Assess Image Quality
by Fan Chen, Hong Fu, Hengyong Yu and Ying Chu
Sensors 2023, 23(10), 4974; https://doi.org/10.3390/s23104974 - 22 May 2023
Cited by 4 | Viewed by 2696
Abstract
Blind image quality assessment (BIQA) aims to evaluate image quality in a way that closely matches human perception. To achieve this goal, the strengths of deep learning and the characteristics of the human visual system (HVS) can be combined. In this paper, inspired [...] Read more.
Blind image quality assessment (BIQA) aims to evaluate image quality in a way that closely matches human perception. To achieve this goal, the strengths of deep learning and the characteristics of the human visual system (HVS) can be combined. In this paper, inspired by the ventral pathway and the dorsal pathway of the HVS, a dual-pathway convolutional neural network is proposed for BIQA tasks. The proposed method consists of two pathways: the “what” pathway, which mimics the ventral pathway of the HVS to extract the content features of distorted images, and the “where” pathway, which mimics the dorsal pathway of the HVS to extract the global shape features of distorted images. Then, the features from the two pathways are fused and mapped to an image quality score. Additionally, gradient images weighted by contrast sensitivity are used as the input to the “where” pathway, allowing it to extract global shape features that are more sensitive to human perception. Moreover, a dual-pathway multi-scale feature fusion module is designed to fuse the multi-scale features of the two pathways, enabling the model to capture both global features and local details, thus improving the overall performance of the model. Experiments conducted on six databases show that the proposed method achieves state-of-the-art performance. Full article
(This article belongs to the Section Sensing and Imaging)
Show Figures

Figure 1

10 pages, 245 KB  
Article
Visual Function in Children with GNAO1-Related Encephalopathy
by Maria Luigia Gambardella, Elisa Pede, Lorenzo Orazi, Simona Leone, Michela Quintiliani, Giulia Maria Amorelli, Maria Petrianni, Marta Galanti, Filippo Amore, Elisa Musto, Marco Perulli, Ilaria Contaldo, Chiara Veredice, Eugenio Maria Mercuri, Domenica Immacolata Battaglia and Daniela Ricci
Genes 2023, 14(3), 544; https://doi.org/10.3390/genes14030544 - 22 Feb 2023
Cited by 3 | Viewed by 3065
Abstract
Background: GNAO1-related encephalopathies include a broad spectrum of developmental disorders caused by de novo heterozygous mutations in the GNAO1 gene, encoding the G (o) subunit α of G-proteins. These conditions are characterized by epilepsy, movement disorders and developmental impairment, in combination or as [...] Read more.
Background: GNAO1-related encephalopathies include a broad spectrum of developmental disorders caused by de novo heterozygous mutations in the GNAO1 gene, encoding the G (o) subunit α of G-proteins. These conditions are characterized by epilepsy, movement disorders and developmental impairment, in combination or as isolated features. Objective: This study aimed at describing the profile of neurovisual competences in children with GNAO1 deficiency to better characterize the phenotype of the disease spectrum. Methods: Four male and three female patients with confirmed genetic diagnosis underwent neurological examination, visual function assessment, and neurovisual and ophthalmological evaluation. Present clinical history of epilepsy and movement disorders, and neuroimaging findings were also evaluated. Results: The assessment revealed two trends in visual development. Some aspects of visual function, such as discrimination and perception of distance, depth and volume, appeared to be impaired at all ages, with no sign of improvement. Other aspects, reliant on temporal lobe competences (ventral stream) and more related to object–face exploration, recognition and environmental control, appeared to be preserved and improved with age. Significance: Visual function is often impaired, with patterns of visual impairment affecting the ventral stream less. Full article
(This article belongs to the Section Molecular Genetics and Genomics)
Back to TopTop