Sign in to use this feature.

Years

Between: -

Subjects

remove_circle_outline
remove_circle_outline
remove_circle_outline
remove_circle_outline
remove_circle_outline
remove_circle_outline
remove_circle_outline
remove_circle_outline
remove_circle_outline

Journals

remove_circle_outline
remove_circle_outline
remove_circle_outline
remove_circle_outline
remove_circle_outline
remove_circle_outline
remove_circle_outline
remove_circle_outline

Article Types

Countries / Regions

remove_circle_outline
remove_circle_outline
remove_circle_outline

Search Results (259)

Search Parameters:
Keywords = vacuum-assisted method

Order results
Result details
Results per page
Select all
Export citation of selected articles as:
11 pages, 1752 KB  
Case Report
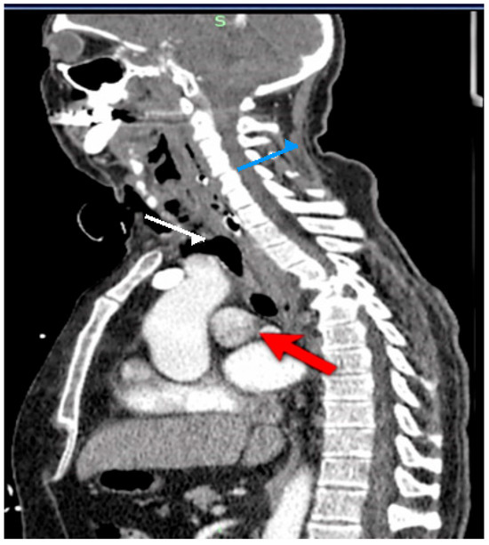
Upper Esophageal Perforation with Cervico-Mediastinal Extension Successfully Treated with Endoluminal Vacuum Therapy: A Case Report Highlighting Inflammatory Marker Dynamics
by Bogdan Mihnea Ciuntu, Edwina-Elena Viciriuc, Andreea Ludusanu, Adelina Tanevski, Mihaela Corlade-Andrei, Sorin Nicolae Peiu, Raluca Alina Dragomir, Dan Vintila, Cristinel Ionel Stan and Gheorghe Balan
Life 2026, 16(4), 639; https://doi.org/10.3390/life16040639 - 10 Apr 2026
Viewed by 228
Abstract
Background: Upper esophageal perforations are life-threatening conditions associated with a high risk of mediastinitis, sepsis, and multiorgan failure. Standard management often requires extensive surgical intervention, which carries substantial morbidity. Methods: We report the case of a 56-year-old male with an iatrogenic cervical esophageal [...] Read more.
Background: Upper esophageal perforations are life-threatening conditions associated with a high risk of mediastinitis, sepsis, and multiorgan failure. Standard management often requires extensive surgical intervention, which carries substantial morbidity. Methods: We report the case of a 56-year-old male with an iatrogenic cervical esophageal perforation complicated by cervicomediastinal abscess formation. Due to anatomical constraints preventing standard endoluminal approaches, a hybrid organ-preserving strategy was employed, consisting of surgical drainage combined with an externally adapted vacuum-assisted closure (VAC) system applied adjacent to the esophageal defect. Results: The patient demonstrated progressive clinical improvement without the need for esophageal diversion or major reconstructive surgery. Inflammatory markers were monitored serially and showed a downward trend, serving as adjunctive indicators of treatment response. The esophageal defect healed successfully, was confirmed radiologically, and no treatment-related complications were observed. Conclusions: This case suggests that externally adapted VAC therapy may represent a potential organ-preserving option in selected patients with complex cervical esophageal perforations when conventional techniques are not feasible. Further studies are required to validate this approach. Full article
(This article belongs to the Section Medical Research)
Show Figures

Figure 1

10 pages, 1982 KB  
Case Report
Recurrent Cervical Esophageal Fistula and Retroesophageal Abscess Following Surgical Management of Zenker’s Diverticulum
by Bogdan Mihnea Ciuntu, Andreea Ludusanu, Mara Teodora Zara, Mihaela Corlade-Andrei, Adelina Tanevski, Cristinel Ionel Stan, Dragos Andrei Chiran, Dan Vintila, Dan Andronic and Gheorghe Balan
J. Clin. Med. 2026, 15(7), 2777; https://doi.org/10.3390/jcm15072777 - 7 Apr 2026
Viewed by 199
Abstract
Background: Zenker’s diverticulum arises from the posterior hypopharyngeal wall through Killian’s dehiscence and predominantly affects older adults. Surgical and endoscopic treatments may be complicated by adverse events, including recurrent laryngeal nerve injury, cervical emphysema, mediastinitis, and pharyngoesophageal fistula formation. Methods: We [...] Read more.
Background: Zenker’s diverticulum arises from the posterior hypopharyngeal wall through Killian’s dehiscence and predominantly affects older adults. Surgical and endoscopic treatments may be complicated by adverse events, including recurrent laryngeal nerve injury, cervical emphysema, mediastinitis, and pharyngoesophageal fistula formation. Methods: We report the case of a 69-year-old male who underwent open surgical treatment for Zenker’s diverticulum and subsequently developed an upper esophageal fistula complicated by a retroesophageal abscess. Results: The patient was treated using an externally adapted endoluminal vacuum-assisted closure system (EndoVAC), which enabled continuous drainage, local lavage, and progressive closure of the esophageal defect. Conclusions: Endo-VAC therapy represents a safe and minimally invasive therapeutic option for the management of postoperative esophageal fistulas following Zenker’s diverticulum surgery and may reduce the need for extensive esophageal reconstruction. Full article
(This article belongs to the Special Issue Emergency Surgery: Recent Advances and Practical Strategies)
Show Figures

Figure 1

11 pages, 212 KB  
Article
Operative Vaginal Delivery Compared to Cesarean After Failed Labor: A Population-Based Analysis of Neonatal and Maternal Outcomes
by Yvalis Cortes-Rojas and Braxton Forde
Children 2026, 13(4), 511; https://doi.org/10.3390/children13040511 - 7 Apr 2026
Viewed by 237
Abstract
Objective: We sought to compare common neonatal and maternal morbidity outcomes amongst operative vaginal delivery (OVD) versus cesarean delivery performed in the setting of failed attempt at labor. We planned to stratify outcomes by type of OVD (vacuum-assisted vaginal delivery (VAVD) and forceps-assisted [...] Read more.
Objective: We sought to compare common neonatal and maternal morbidity outcomes amongst operative vaginal delivery (OVD) versus cesarean delivery performed in the setting of failed attempt at labor. We planned to stratify outcomes by type of OVD (vacuum-assisted vaginal delivery (VAVD) and forceps-assisted vaginal delivery (FAVD)). Methods: This was a retrospective cohort study of singleton live births in the United States, using the 2023 National Vital Statistics birth certificate dataset. The primary outcome of interest was the risk of neonatal morbidity, as listed on the birth certificate. The secondary outcome of interest was the risk of maternal morbidity. Neonatal morbidities were planned to be analyzed independently (i.e., risk of NICU admission, need for antibiotics) as well as in aggregate (i.e., the risk of any morbidity occurring). Three groups were planned: FAVD, VAVD, and cesarean in the setting of attempted labor or attempted induction of labor (referent group). Differences in demographic and clinical characteristics were compared and subsequently adjusted for, and odds ratios (aOR) were calculated using multivariable logistic regression. Results: Of the 3,605,081 births from 2023, there were 15,384 FAVDs; 83,134 VAVDs; and 325,310 cesareans after failed labor. Neonatal morbidity was lower in FAVD (aOR 0.71, 95% CI 0.66–0.76) and VAVD (aOR 0.57, 95% CI 0.55–0.59) compared to cesarean delivery, with VAVD showing the lowest rates, in particular, the need for assisted ventilation (aOR 0.52 95% CI 0.48–0.57 with VAVD and aOR 0.74 95% CI 0.68–0.81 with FAVD) and NICU admissions aOR 0.66, 95% CI 0.60–0.71 with FAVD and aOR 0.48, 95% CI 0.46–0.51 with VAVD) were reduced with operative vaginal delivery. Antibiotic usage was only reduced in VAVD, not FAVD. Maternal morbidity was highest FAVD; however, this was driven by perineal lacerations. ICU admission, hysterectomy, and ruptured uterus were all higher in cesarean delivery than FAVD or VAVD. Conclusions: Operative vaginal delivery, particularly VAVD, is associated with reduced neonatal morbidity compared to cesarean delivery in the setting of labor. Full article
(This article belongs to the Section Pediatric Neonatology)
10 pages, 609 KB  
Article
Prediction Model for Failed Vacuum Assisted Delivery: A Retrospective Cohort Study
by Itamar Gilboa, Daniel Gabbai, Lee Reicher, Emmanuel Attali, Yariv Yogev and Anat Lavie
J. Clin. Med. 2026, 15(7), 2522; https://doi.org/10.3390/jcm15072522 - 26 Mar 2026
Viewed by 249
Abstract
Background/Objectives: We aimed to determine risk factors and to design a clinically based predictive model for a failed vacuum assisted delivery (VAD). Methods: We conducted a retrospective cohort study in a single tertiary university-affiliated medical center between 2011 and 2023. The [...] Read more.
Background/Objectives: We aimed to determine risk factors and to design a clinically based predictive model for a failed vacuum assisted delivery (VAD). Methods: We conducted a retrospective cohort study in a single tertiary university-affiliated medical center between 2011 and 2023. The study population consisted of singleton pregnancies with a VAD trial. The study group comprised cases of a failed VAD, defined as the occurrence of any of the following: (1) more than two vacuum cup detachments; (2) extraction duration exceeding 20 min; or (3) abandonment of the vacuum attempt by the operating physician, with conversion to urgent cesarean delivery (CD). The control group comprised cases of successful VADs. Factors associated with failed VAD were examined by univariate and multivariate analyses. A prediction score was developed to predict failed VAD. A receiver-operating characteristic curve (ROC) was utilized for the model. Internal validation was performed by means of a 70/30 train–test split, with model performance evaluated on the validation set using ROC analysis. Results: A total of 131,019 women delivered in our center during the study period. VAD was attempted in 8885 (6.8%) cases, of which 172 (1.9%) failed trials that led to urgent CDs. Several risk factors for a failed VAD were identified, including induction of labor, fetal head station below +2 cm relative to the ischial spines, duration of the second stage of delivery >3.5 h, preeclampsia, birthweight >3750 g, and male gender. The prediction score demonstrated good discriminatory performance, with an AUC of 0.723 (95% CI 0.637–0.810). Internal validation using a 30% holdout cohort revealed that the model maintained good performance, with an AUC of 0.764 (95% CI 0.619–0.909; p < 0.001). Conclusions: Our model has the potential to assist obstetricians with VAD decision-making and parturient counseling, as well as identifying parturients at high risk for complicated deliveries. Full article
(This article belongs to the Special Issue Management of Pregnancy Complications: 2nd Edition)
Show Figures

Figure 1

14 pages, 2978 KB  
Article
Experimental Study on Desorption and Heat Storage Characteristics of Magnesium Sulfate Hydrate in a Moving-Bed Heat Exchange System
by Liang Wang, Shuang Li, Chuanqi Shi, Yun Jia and Bin Ding
Processes 2026, 14(6), 919; https://doi.org/10.3390/pr14060919 - 13 Mar 2026
Viewed by 329
Abstract
Thermochemical heat storage technology serves as an effective approach for efficient recovery and cross-seasonal storage of low-grade waste heat. However, traditional packed-bed heat exchange methods in industrial applications are prone to material contamination and performance degradation due to impurities in waste heat gases. [...] Read more.
Thermochemical heat storage technology serves as an effective approach for efficient recovery and cross-seasonal storage of low-grade waste heat. However, traditional packed-bed heat exchange methods in industrial applications are prone to material contamination and performance degradation due to impurities in waste heat gases. To address this, this study proposes and constructs a thermochemical heat storage system based on moving-bed indirect heat exchange, using magnesium sulfate heptahydrate (MgSO4·7H2O) as the heat storage medium. The system investigates its desorption and heat storage characteristics within the moving bed. A small-scale moving-bed experimental platform was established, incorporating a vacuum-assisted system to promptly remove water vapor generated during desorption. The experimental system examines the effects of different operating parameters (e.g., inlet water temperature and flow rate) on particle temperature fields, desorption rates, and overall heat transfer performance. Results demonstrate that MgSO4·7H2O exhibits excellent heat storage stability and reaction controllability in the medium-low temperature range (60–95 °C). Increasing inlet water temperature and flow rate enhances desorption processes, but high temperatures also lead to increased temperature gradients, reducing waste heat recovery rates. Practical applications require optimizing the balance between heat transfer enhancement and desorption time. Compared to conventional heat storage particles, the moving-bed system using magnesium sulfate heptahydrate achieves approximately 30% higher overall heat transfer coefficient. Compared to traditional packed beds, the moving-bed heat exchange method demonstrates superior heat transfer uniformity and storage efficiency. This study validates the feasibility of the “moving-bed + thermochemical heat storage + vacuum desorption” technology under non-clean heat source conditions, providing experimental evidence and technical references for efficient industrial waste heat recovery and high-density storage. Full article
(This article belongs to the Special Issue Multi-Phase Flow and Heat and Mass Transfer Engineering)
Show Figures

Figure 1

22 pages, 588 KB  
Review
Evolution of Percutaneous Nephrolithotomy (PCNL) from Standard to Miniaturized and Ultra-Mini Techniques: A Narrative Review
by Mladen Doykov, Jasmin Gurung, Usman Khalid, Gancho Kostov, Bozhidar Hristov, Petar Uchikov, Krasimir Kraev, Lyubomir Chervenkov and Elizabet Karen Dzhambazova
Medicina 2026, 62(3), 484; https://doi.org/10.3390/medicina62030484 - 4 Mar 2026
Viewed by 626
Abstract
Background and Objectives: Because of its consistently high stone-free rates (SFRs), percutaneous nephrolithotomy (PCNL) continues to be the first-line treatment for renal stones larger than 20 mm. Standard 24 to 30 Fr access tracts, however, are linked to access-related morbidity, such as bleeding, [...] Read more.
Background and Objectives: Because of its consistently high stone-free rates (SFRs), percutaneous nephrolithotomy (PCNL) continues to be the first-line treatment for renal stones larger than 20 mm. Standard 24 to 30 Fr access tracts, however, are linked to access-related morbidity, such as bleeding, pain, and extended hospital stays. These restrictions have led to progressive tract miniaturization and the development of mini-PCNL, ultra-mini PCNL, and micro-PCN techniques. Materials and Methods: We performed a narrative review of studies published through January 2026 using PubMed and Google Scholar. Search terms included percutaneous nephrolithotomy, mini-PCNL, ultra-mini PCNL, micro-PCNL, and vacuum-assisted PCNL. Original studies, systematic reviews, and meta-analyses reporting clinical outcomes, complications, and advancements were selected, whereas conference abstracts, non-English papers, and articles without accessible full text were excluded. Results: Across randomized trials, miniaturized PCNL generally preserves efficacy when patients are selected appropriately. Across randomized trials and meta-analyses, miniaturized PCNL achieved stone-free rates comparable to standard PCNL (typically ~80–90% for stones ≤20 mm and similar rates in selected stones >2 cm), while demonstrating lower hemoglobin decrease (mean difference approximately −0.6 to −1.0 g/dL), reduced transfusion rates, and shorter hospital stays, at the cost of longer operative time (mean difference ~8–12 min). On the other hand, operative time may increase, and smaller working channels can make visualization and fragment evacuation more demanding as stone burden rises. Raised intrarenal pressure is a recurring safety issue because it may increase infectious risk unless drainage is actively managed. Recent innovations aim to address these limitations, including vacuum-assisted access sheaths, pressure-controlled irrigation, improved laser and lithotripsy platforms, image-fusion guidance, navigation systems, and robotic assistance. Conclusions: PCNL now spans a spectrum of tract sizes rather than a single standard approach. When chosen appropriately and performed with attention to pressure control and fragment evacuation, miniaturized PCNL can reduce morbidity without sacrificing stone clearance. Future advancements in percutaneous stone surgery are more likely to rely on integrated technological solutions that improve accuracy, safety, and repeatability than on additional tract size reduction. Full article
(This article belongs to the Section Urology & Nephrology)
Show Figures

Figure 1

11 pages, 560 KB  
Article
Obstetric Anal Sphincter Injuries: Risk Factors, Pelvic Floor Dysfunction, and Quality of Life Outcomes
by Kristina Ivoskaite, Atene Simanauskaite, Egle Bartuseviciene, Dalia Regina Railaite, Laima Maleckiene and Justina Kacerauskiene
Medicina 2026, 62(3), 433; https://doi.org/10.3390/medicina62030433 - 25 Feb 2026
Viewed by 693
Abstract
Background and Objectives: Obstetric anal sphincter injuries (OASISs) are severe complications of vaginal delivery that can result in long-term pelvic floor dysfunction and reduced quality of life. Global data indicate a rising incidence of OASISs, including in Lithuania. This study aimed to [...] Read more.
Background and Objectives: Obstetric anal sphincter injuries (OASISs) are severe complications of vaginal delivery that can result in long-term pelvic floor dysfunction and reduced quality of life. Global data indicate a rising incidence of OASISs, including in Lithuania. This study aimed to identify risk factors for OASISs and evaluate their impact on urinary (UI) and fecal incontinence (FI), pelvic organ prolapse (POP), and quality of life in affected women. Materials and Methods: A retrospective case–control study was conducted at the Lithuanian University of Health Sciences Hospital (LUHS) Kauno Klinikos in 2024. Women who gave birth between 2004 and 2023 and experienced OASIS (n = 90) were compared with women matched for birth history but without perineal tears (n = 90). Data were collected from medical records and electronic questionnaires, including the International Consultation on Incontinence Questionnaire—Short Form (ICIQ-SF), Wexner score, Pelvic Organ Prolapse Symptom Score (POP-SS), and Pelvic Floor Impact Questionnaire (PFIQ-7). Participants were grouped by delivery year (2004–2013 or 2014–2023). Statistical analysis was performed using Mann–Whitney U, Chi-square, Fisher’s exact and Student’s t-tests, with p < 0.05 considered significant. Results: Newborn weight and vacuum-assisted delivery were significantly associated with OASIS (p < 0.05 and p = 0.029). In the 2014–2023 cohort, women with OASIS reported significantly higher rates and severity of UI, FI, and POP symptoms compared to controls. Quality of life scores related to UI and FI were significantly worse in the recent OASIS group, whereas no significant differences were observed in the 2004–2013 cohort. Conclusions: Between 2004 and 2023, 0.4% of women who gave birth at LUHS experienced third- or fourth-degree perineal tears, with newborn weight and vacuum extraction identified as risk factors. These women reported higher rates of UI and FI and POP, and those who delivered between 2014 and 2023 rated their related quality of life significantly worse than women without OASIS. Full article
(This article belongs to the Section Obstetrics and Gynecology)
Show Figures

Figure 1

17 pages, 1973 KB  
Article
Synthesis and Characterization of Trimethylolpropane Esters via Guanidine Carbonate-Catalyzed Transesterification of Sunflower Oil Methyl Esters
by Dimosthenis Filon, George Anastopoulos, Ypatia Zannikou and Dimitrios Karonis
Lubricants 2026, 14(2), 82; https://doi.org/10.3390/lubricants14020082 - 10 Feb 2026
Viewed by 611
Abstract
This study investigates the synthesis and physicochemical characterization of biolubricant base oils derived from sunflower oil methyl esters (SUNOMEs) via transesterification with trimethylolpropane (TMP) using guanidine carbonate (GNDC) as a green and efficient catalyst. The transesterification process was optimized to achieve high conversion [...] Read more.
This study investigates the synthesis and physicochemical characterization of biolubricant base oils derived from sunflower oil methyl esters (SUNOMEs) via transesterification with trimethylolpropane (TMP) using guanidine carbonate (GNDC) as a green and efficient catalyst. The transesterification process was optimized to achieve high conversion and desirable physicochemical properties suitable for lubrication applications. The synthesized esters were characterized by viscosity, density, pour point, and oxidation stability, confirming their suitability as environmentally friendly lubricants. Reaction parameters, such as catalyst concentration (3.0–5.0 wt%), were optimized under both solvent-free and vacuum-assisted conditions. The use of guanidine carbonate achieved enhanced physicochemical properties with significantly reduced reaction times (≈6 h) and eliminated soap formation. The resulting TMP triesters exhibited kinematic viscosities in ranges of 41.27–52.73 cSt (40 °C) and 8.668–10.02 cSt (100 °C), a viscosity index in the range of 180–196, and excellent oxidation stability (RSSOT: up to 54.27 min). Fourier transform infrared (FTIR) analysis confirmed the formation of complete triester structures with characteristic carbonyl and C–O stretching bands at 1735 cm−1 and 1050 cm−1, respectively. Spectra showed also distinct stretching vibrations near 1640–1670 cm−1 and 3300–3400 cm−1, which correspond to amide carbonyl and N–H characteristic groups. The tribological performance was evaluated using Four-Ball Standard Test Method, demonstrating significant improvements compared to commercial mineral oils. The results indicate that guanidine carbonate is an effective catalyst for producing sunflower-oil-derived esters with favorable lubricating properties, highlighting their potential as sustainable biolubricants for industrial applications. Full article
Show Figures

Figure 1

18 pages, 7739 KB  
Article
Erosive Wear Behavior of Fiberglass-Reinforced Epoxy Laminate Composites Modified with SiO2 Nanoparticles Fabricated by Resin Infusion
by Angel Sebastian Alvarez Lozano, Armando Irvin Martínez Pérez, Edgar Ernesto Vera Cárdenas, Juan Manuel González Carmona and Arturo Mendoza Galván
Lubricants 2026, 14(2), 65; https://doi.org/10.3390/lubricants14020065 - 31 Jan 2026
Viewed by 567
Abstract
This work presents a study on the evaluation of the erosive wear behavior of laminated composites, manufactured using the vacuum-assisted resin infusion (VARI) method with a glass fiber-reinforced epoxy matrix modified with SiO2 nanoparticles (0.0, 1.5, and 3.0 wt.%). Results indicate that [...] Read more.
This work presents a study on the evaluation of the erosive wear behavior of laminated composites, manufactured using the vacuum-assisted resin infusion (VARI) method with a glass fiber-reinforced epoxy matrix modified with SiO2 nanoparticles (0.0, 1.5, and 3.0 wt.%). Results indicate that nanoparticle concentration and dispersion state critically influence the mechanical and tribological performance. The composite FG-1.5-SiO2 with 1.5 wt.% SiO2 exhibited optimal nanoparticle distribution, as confirmed by FTIR, GIXRD, and SEM analyses, with the lowest surface roughness (Ra = 0.215 μm), highest hardness (35.58 HV), and highest elastic modulus (19.66 GPa). These enhancements contributed to a 38% improvement in erosion rate compared to the unmodified laminated composite, with the lowest total mass loss (0.0261 mg) and erosion rate (2.3360 × 10−5 mg/g). Profilometry and SEM results revealed shallower wear depths and reduced matrix removal, indicating stronger fiber–matrix interface integrity. In contrast, the 3.0 wt.% SiO2 composite (FG-3-SiO2) suffered from nanoparticle agglomeration, which increased surface roughness, diminished mechanical properties, and reduced erosion resistance to levels comparable to the unreinforced material. The results indicate that homogeneous dispersion at an optimal concentration (1.5 wt.%) is crucial for improving erosion resistance, while agglomeration at higher concentrations negates the potential benefits of nanoparticle incorporation. These findings highlight the need to optimize nanoparticle dispersion for the development of fiberglass/epoxy composites with greater durability and erosion resistance in demanding applications. Full article
(This article belongs to the Special Issue Erosive Wear of Polymer Composites)
Show Figures

Figure 1

22 pages, 7417 KB  
Article
Exploring the Potential of Polyvinyl Alcohol–Borax-Based Gels for the Conservation of Historical Silk Fabrics by Comparative Cleaning Tests on Simplified Model Systems
by Ehab Al-Emam, Marta Cremonesi, Natalia Ortega Saez, Hilde Soenen, Koen Janssens and Geert Van der Snickt
Gels 2026, 12(1), 97; https://doi.org/10.3390/gels12010097 - 22 Jan 2026
Cited by 1 | Viewed by 650
Abstract
Cleaning historical silk textiles is a particularly sensitive operation that requires precise control to prevent mechanical or chemical damage. In this study, we investigate using flexible PVA–borax-based gels to remove soot from silk, i.e., polyvinyl alcohol–borax (PVA-B) gels and polyvinyl alcohol–borax–agarose double network [...] Read more.
Cleaning historical silk textiles is a particularly sensitive operation that requires precise control to prevent mechanical or chemical damage. In this study, we investigate using flexible PVA–borax-based gels to remove soot from silk, i.e., polyvinyl alcohol–borax (PVA-B) gels and polyvinyl alcohol–borax–agarose double network gels (PVA-B/AG DN) loaded with different cleaning agents—namely, 30% ethanol and 1% Ecosurf EH-6—in addition to plain gels loaded with water. These gel formulations were tested on simplified model systems (SMS) and were applied using two methods: placing and tamping. The cleaning results were compared with a traditional contact-cleaning approach; micro-vacuuming followed by sponging. Visual inspection, 3D opto-digital microscopy, colorimetry, and machine-learning-assisted (ML) soot counting were exploited for the assessment of cleaning efficacy. Rheological characterization provided information about the flexibility and handling properties of the different gel formulations. Among the tested systems, the DN gel containing only water, applied by tamping, was easy to handle and demonstrated the highest soot-removal effectiveness without leaving residues, as confirmed by micro-Fourier Transform Infrared (micro-FTIR) analysis. Scanning electron microscope (SEM) micrographs proved the structural integrity of the treated silk fibers. Overall, this work allows us to conclude that PVA–borax-based gels offer an effective, adaptable, and low-risk cleaning strategy for historical silk fabrics. Full article
Show Figures

Figure 1

30 pages, 5064 KB  
Article
Antimicrobial Functionalized Mesoporous Silica FDU-12 Loaded with Bacitracin
by Dan Adrian Vasile, Ludmila Motelica, Luiza-Andreea Mîrț, Gabriel Vasilievici, Oana-Maria Memecică, Ovidiu Cristian Oprea, Adrian-Vasile Surdu, Roxana Doina Trușcă, Cristina Chircov, Bogdan Ștefan Vasile, Zeno Dorian Ghizdavet, Denisa Ficai, Ana-Maria Albu, Radu Pericleanu, Andreea Ștefania Dumbravă, Mara-Mădălina Mihai, Irina Gheorghe-Barbu and Anton Ficai
Molecules 2026, 31(2), 340; https://doi.org/10.3390/molecules31020340 - 19 Jan 2026
Viewed by 753
Abstract
The threats leading to the extinction of humanity accelerate the evolution and development of materials that are capable of providing conditions for preserving health and, implicitly, life. In our work, we developed drug delivery systems based on mesoporous silica which can deliver an [...] Read more.
The threats leading to the extinction of humanity accelerate the evolution and development of materials that are capable of providing conditions for preserving health and, implicitly, life. In our work, we developed drug delivery systems based on mesoporous silica which can deliver an antibiotic, bacitracin, in a more controlled manner. The synthesis of the FDU-12 was performed through a sol–gel method and alternatively functionalized with -NH2 groups or with poly(N-acryloylmorpholine) chains. The loading of bacitracin was performed using the vacuum-assisted method we successfully used to load these mesoporous materials preferentially within the pores as proved by the TGA-DSC results. The release was performed in two types of simulated body fluid (SBF) and this process was evaluated with chromatographic method using UV detection. The obtained data were fitted in three mathematical models of kinetic drug release (Weibull model, Korsmeyer–Peppas model, and nonlinear regression). The antimicrobial evaluation demonstrated that bacitracin-loaded FDU-12 formulations exhibited strong activity against both reference and clinical Staphylococcus strains. At sub-inhibitory concentrations, all formulations significantly reduced microbial adherence and biofilm formation, although certain strain-dependent stimulatory effects were observed. Furthermore, exposure to sub-MIC levels modulated the production of soluble virulence factors (hemolysins, lipase, and amylase), in a formulation- and strain-dependent manner, underscoring the ability of surface-functionalized FDU-12 carriers to influence bacterial pathogenicity while enhancing antimicrobial efficacy. Full article
Show Figures

Graphical abstract

24 pages, 2343 KB  
Article
Design and Implementation of a Low-Water-Consumption Robotic System for Cleaning Residential Balcony Glass Walls
by Maria-Alexandra Mielcioiu, Petruţa Petcu, Dumitru Nedelcu, Augustin Semenescu, Narcisa Valter and Ana-Maria Nicolau
Appl. Sci. 2026, 16(2), 945; https://doi.org/10.3390/app16020945 - 16 Jan 2026
Viewed by 309
Abstract
Manual window cleaning in high-rise urban buildings is labor-intensive, risky, and resource-inefficient. This study addresses these challenges by investigating a resource-aware mechatronic architecture through the design, development, and experimental validation of a modular Automated Window Cleaning System (AWCS). Unlike conventional open-loop solutions, the [...] Read more.
Manual window cleaning in high-rise urban buildings is labor-intensive, risky, and resource-inefficient. This study addresses these challenges by investigating a resource-aware mechatronic architecture through the design, development, and experimental validation of a modular Automated Window Cleaning System (AWCS). Unlike conventional open-loop solutions, the AWCS integrates mechanical scrubbing with a closed-loop fluid management system, featuring precise dispensing and vacuum-assisted recovery. The system is governed by a deterministic finite state machine implemented on an ESP32 microcontroller, enabling low-latency IoT connectivity and autonomous operation. Two implementation variants—integrated and retrofit—were validated to ensure structural adaptability. Experimental results across 30 cycles demonstrate a cleaning efficiency of ~2 min/m2, a water consumption of <150 mL/m2 (representing a >95% reduction compared to manual methods), and an optical cleaning efficacy of 96.9% ± 1.4%. Safety protocols were substantiated through a calculated mechanical safety factor of 6.12 for retrofit applications. This research establishes the AWCS as a sustainable, safe, and scalable solution for autonomous building maintenance, contributing to the advancement of resource-circular domestic robotics and smart home automation. Full article
Show Figures

Figure 1

14 pages, 3931 KB  
Article
Experimental Determination of Material Behavior Under Compression of a Carbon-Reinforced Epoxy Composite Boat Damaged by Slamming-like Impact
by Erkin Altunsaray, Mustafa Biçer, Haşim Fırat Karasu and Gökdeniz Neşer
Polymers 2026, 18(2), 173; https://doi.org/10.3390/polym18020173 - 8 Jan 2026
Viewed by 427
Abstract
Carbon-reinforced epoxy laminated composite (CREC) structures are increasingly utilized in high-speed marine vehicles (HSMVs) due to their high specific strength and stiffness; however, they are frequently subjected to impact loads like slamming and aggressive environmental agents during operation. This study experimentally investigates the [...] Read more.
Carbon-reinforced epoxy laminated composite (CREC) structures are increasingly utilized in high-speed marine vehicles (HSMVs) due to their high specific strength and stiffness; however, they are frequently subjected to impact loads like slamming and aggressive environmental agents during operation. This study experimentally investigates the Compression After Impact (CAI) behavior of CREC plates with varying lamination sequences under both atmospheric and accelerated aging conditions. The samples were produced using the vacuum-assisted resin infusion method with three specific orientation types: quasi-isotropic, cross-ply, and angle-ply. To simulate the marine environment, specimens were subjected to accelerated aging in a salt fog and cyclic corrosion cabin for periods of 2, 4, and 6 weeks. Before and following the aging process, low-velocity impact tests were conducted at an energy level of 30 J, after which the residual compressive strength was measured by CAI tests. At the end of the aging process, after the sixth week, the performance of plates with different layer configuration characteristics can be summarized as follows: Plates 1 and 2, which are quasi-isotropic, exhibit opposite behavior. Plate 1, with an initial toughness of 23,000 mJ, increases its performance to 27,000 mJ as it ages, while these values are around 27,000 and 17,000 mJ, respectively, for Plate 2. It is thought that the difference in configurations creates this difference, and the presence of the 0° layer under the effect of compression load at the beginning and end of the configuration has a performance-enhancing effect. In Plates 3 and 4, which have a cross-ply configuration, almost the same performance is observed; the performance, which is initially 13,000 mJ, increases to around 23,000 mJ with the effect of aging. Among the options, angle-ply Plates 5 and 6 demonstrate the highest performance with values around 35,000 mJ, along with an undefined aging effect. Scanning Electron Microscopy (SEM) and Energy-Dispersive X-ray Spectroscopy (EDS) analyses confirmed the presence of matrix cracking, fiber breakage, and salt accumulation (Na and Ca compounds) on the aged surfaces. The study concludes that the impact of environmental aging on CRECs is not uniformly negative; while it degrades certain configurations, it can enhance the toughness and energy absorption of brittle, cross-ply structures through matrix plasticization. Full article
Show Figures

Figure 1

21 pages, 8488 KB  
Article
Effect of Peel Ply-Induced Surface Roughness and Wettability on the Adhesive Bonding of GFRP Composites
by Barbara Silva, Paulo Antunes and Braian Uribe
J. Manuf. Mater. Process. 2026, 10(1), 20; https://doi.org/10.3390/jmmp10010020 - 7 Jan 2026
Viewed by 931
Abstract
Adhesive joint failure remains a critical limitation in the manufacturing of large wind turbine blades, where reliable and reproducible surface preparation methods are required at an industrial scale. This study systematically evaluates the effect of peel ply-induced surface morphology and chemistry on the [...] Read more.
Adhesive joint failure remains a critical limitation in the manufacturing of large wind turbine blades, where reliable and reproducible surface preparation methods are required at an industrial scale. This study systematically evaluates the effect of peel ply-induced surface morphology and chemistry on the adhesion performance of glass fiber-reinforced polymer (GFRP) laminates, explicitly examining the relationship between wettability and bonding strength. Five surface conditions were generated during vacuum-assisted resin infusion using different commercial and proprietary peel plies and a smooth mold surface. Despite significant differences in contact angle and surface energy, lap shear testing revealed no significant relationship between wettability and joint strength. Instead, surface roughness-driven mechanical interlocking and adhesive–substrate compatibility dominated performance. Compared to the smooth mold surface, twill-type peel ply–modified adherends increased shear strength by up to 3.9×, while other commercial types of peel-plies presented strength improvements between 2.7 and 3.3×. More compatible adhesive–polymer resin systems exhibited a combination of cohesive and adhesive failures, with no clear dependence on surface roughness. In contrast, when the adhesive is less compatible with the substrate, surface roughness significantly affects the adhesive response, with adhesive failure predominating. The adhesive application temperature showed no measurable effect for practical industrial use. These findings demonstrate that wettability alone is not a reliable predictor of adhesion performance for this class of substrates and confirm peel ply surface modification as a robust, scalable solution for industrial wind blade bonding. Full article
Show Figures

Figure 1

16 pages, 2859 KB  
Article
Graphene-Based Nanostructures Produced by Laser Ablation Assisted by Electric Field
by Mariapompea Cutroneo, Vaclav Holy, Petr Malinsky, Petr Slepicka, Alena Michalcova and Lorenzo Torrisi
Nanomaterials 2026, 16(1), 72; https://doi.org/10.3390/nano16010072 - 4 Jan 2026
Cited by 1 | Viewed by 750
Abstract
The properties of carbon-based materials with nanometric size support their use in numerous applications, such as optoelectronics and energy devices, bioimaging, photodetectors, and sensors. Among the various nanostructure fabrication methods, pulsed laser ablation in liquids (PLA) is widely recognized for its simplicity and [...] Read more.
The properties of carbon-based materials with nanometric size support their use in numerous applications, such as optoelectronics and energy devices, bioimaging, photodetectors, and sensors. Among the various nanostructure fabrication methods, pulsed laser ablation in liquids (PLA) is widely recognized for its simplicity and rapid processing. It is considered an environmentally friendly synthesis, as it enables nanostructure fabrication in pure liquids without chemical reagents, activators, or vacuum systems, in line with the increasing interest in sustainable and green nanotechnologies. A great challenge of PLA is the reproducibility of the size and shape of the produced structure. This can be accomplished by selection of the proper laser parameters and characteristics of the used liquid. This study is focused on the comparison of the synthesis of graphene-based nanostructures by electric-field-assisted pulsed laser ablation of a graphite target immersed in distilled water and deionized water, used as separate liquid media, without the use of chemical reagents. This is an innovative and environmentally friendly approach for the production of graphene nanoparticles. The laser parameters were kept constant throughout the experiments, while different voltage values were applied between the electrodes immersed in the liquid medium. The applied electric field significantly influences plasma dynamics, cavitation bubble evolution, and post-ablation nanoparticle growth processes, enabling controlled tuning of nanoparticle size and morphology. The optical properties of the obtained suspensions were evaluated by UV–Vis and FTIR spectroscopies. Atomic force microscopy revealed the composition, morphology, and quality of the formed structures. Full article
(This article belongs to the Section Nanofabrication and Nanomanufacturing)
Show Figures

Graphical abstract

Back to TopTop