error_outline You can access the new MDPI.com website here. Explore and share your feedback with us.
 
 
Sign in to use this feature.

Years

Between: -

Subjects

remove_circle_outline
remove_circle_outline
remove_circle_outline
remove_circle_outline
remove_circle_outline

Journals

Article Types

Countries / Regions

Search Results (5)

Search Parameters:
Keywords = uterine inertia

Order results
Result details
Results per page
Select all
Export citation of selected articles as:
18 pages, 6226 KB  
Article
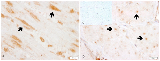
Primary Uterine Inertia (PUI) in Dogs Is Associated with Impaired Placental Availability of Factors Involved in the Parturition Cascade
by Marianne Steiner, Gerhard Schuler, Bianca L. Frehner, Iris M. Reichler, Sandra Goericke-Pesch, Orsolya Balogh, Miguel Tavares Pereira and Mariusz P. Kowalewski
Animals 2025, 15(20), 3043; https://doi.org/10.3390/ani15203043 - 20 Oct 2025
Viewed by 911
Abstract
The canine parturition cascade involves decreased placental progesterone (P4) signaling mediated through its nuclear receptor PGR in decidual cells, leading to increased trophoblast production of PGF2α that promotes luteolysis, placentolysis, and myometrial contractility. A local role for glucocorticoids in initiating parturition through increased [...] Read more.
The canine parturition cascade involves decreased placental progesterone (P4) signaling mediated through its nuclear receptor PGR in decidual cells, leading to increased trophoblast production of PGF2α that promotes luteolysis, placentolysis, and myometrial contractility. A local role for glucocorticoids in initiating parturition through increased placental availability of cortisol and glucocorticoid receptor (GR/NR3C1), possibly affecting P4-PGR signaling, has been suggested. Primary uterine inertia (PUI) is a major cause of canine dystocia, but its pathophysiology remains unclear. Here, we hypothesized that dysregulated placental signaling could contribute to PUI. The availability of parturition cascade-related factors was assessed in placentae of dogs with PUI and during physiological prepartum luteolysis (LUT). Compared with LUT, PUI had no significant changes in prostaglandin-related factors PTGS2, PTGES, and HPGD (p > 0.05), but had lower PGF2α synthase PGFS/AKR1C3 (p < 0.001), and higher PGT abundance (p < 0.001). PUI had increased PGR transcript and protein levels (p < 0.001), but the same number of decidual cells (p > 0.05). GR/NR3C1 availability was reduced in PUI (p < 0.05), along with decreased placental cortisol-to-cortisone conversion. Our findings suggest that PUI could be associated with disturbances of the parturition cascade, possibly due to inadequate P4-PGR and glucocorticoid signaling in the placenta. Full article
(This article belongs to the Section Animal Reproduction)
Show Figures

Figure 1

17 pages, 3016 KB  
Article
Involvement of Oxytocin and Progesterone Receptor Expression in the Etiology of Canine Uterine Inertia
by Carolin Jungmann, Caroline Gauguin Houghton, Frederik Goth Nielsen, Eva-Maria Packeiser, Hanna Körber, Iris M. Reichler, Orsolya Balogh and Sandra Goericke-Pesch
Int. J. Mol. Sci. 2022, 23(21), 13601; https://doi.org/10.3390/ijms232113601 - 6 Nov 2022
Cited by 7 | Viewed by 3909
Abstract
An altered oxytocin and progesterone receptor (OXTR and PGR, respectively) expression was postulated in canine uterine inertia (UI), which is the lack of functional myometrial contractions. OXTR and PGR expressions were compared in uterine tissue obtained during C-section due to primary [...] Read more.
An altered oxytocin and progesterone receptor (OXTR and PGR, respectively) expression was postulated in canine uterine inertia (UI), which is the lack of functional myometrial contractions. OXTR and PGR expressions were compared in uterine tissue obtained during C-section due to primary UI (PUI; n = 12) and obstructive dystocia (OD, n = 8). In PUI, the influence of litter size was studied (small/normal/large litter: PUI-S/N/L: n = 5/4/3). Staining intensity in immunohistochemistry was scored for the longitudinal and circular myometrial layer and summarized per dog (IP-Myoscore). Mean P4 did not differ significantly between PUI (n = 9) and OD (n = 7). OXTR and PGR expressions (ratios) were significantly higher in PUI (OXTR: p = 0.0019; PGR: p = 0.0339), also for OXTR in PUI-N versus OD (p = 0.0034). A trend for a higher PGR IP-Myoscore was identified (PUI-N vs. OD, p = 0.0626) as well as an influence of litter size (lowest PGR-Myoscore in PUI-L, p = 0.0391). In conclusion, PUI was not related to higher P4, but potentially increased PGR availability compared to OD. It remains to be clarified whether OXTR is upregulated in PUI due to a counterregulatory mechanism to overcome myometrial quiescence or downregulated in OD due to physiological slow OXTR desensitization associated with an advanced duration of labor. Identified OXTR differences between myometrial layers indicate the need for further research. Full article
(This article belongs to the Section Molecular Endocrinology and Metabolism)
Show Figures

Figure 1

12 pages, 1735 KB  
Article
Characteristics of Homebirth in Hungary: A Retrospective Cohort Study
by Girma A. Wami, Viktória Prémusz, György M. Csákány, Kovács Kálmán, Viola Vértes and Péter Tamás
Int. J. Environ. Res. Public Health 2022, 19(16), 10461; https://doi.org/10.3390/ijerph191610461 - 22 Aug 2022
Cited by 1 | Viewed by 3532
Abstract
Homebirth is legal and has been regulated by law in Hungary since 2012. Despite the obvious advantages of homebirth, it has not yet been broadly accepted, due to various opinions related to safety and risks associated with giving birth outside of a hospital. [...] Read more.
Homebirth is legal and has been regulated by law in Hungary since 2012. Despite the obvious advantages of homebirth, it has not yet been broadly accepted, due to various opinions related to safety and risks associated with giving birth outside of a hospital. Our study aimed at exploring both real maternal and feto-neonatal characteristics associated with Hungarian homebirths. A total of 2997 cases were considered in support of our retrospective cohort study. In the examined period, there was a significant, continual rise in the number of homebirths by a rate of 0.22% on average per year. Aggregated maternal complications (primary uterine inertia, prolonged second stage labour, and third stage haemorrhage) were prevalent among homebirth cases (1.29% vs. 0.72%, p < 0.05) and were associated with an average of 11.77% rate of transfer to a health care institution. On the other hand, the rate of operative (vaginal or caesarean) delivery was 26.31% among institutionalized births. A slightly better Apgar score and relatively high rate (20%) of caesarean deliveries were correlated with institutionalized births (p < 0.05). However, the overall intervention rate was lower among homebirths (0.11% vs. 42.57%) than institutional birth cases (p < 0.001). Overall, homebirth is a reliable option for childbirth for healthy and low-risk mothers with uncomplicated pregnancies, which is reflected in the increasing number of deliveries at home in Hungary. Furthermore, utilizing the experiences of countries where homebirth is a long-established method may further improve the outcome of homebirths in Hungary. Full article
(This article belongs to the Special Issue Maternal, New-Born and Child Health)
Show Figures

Figure 1

10 pages, 242 KB  
Article
Effect of Delivery by Emergency or Elective Cesarean Section on Nitric Oxide Metabolites and Cortisol Amniotic Concentrations in at Term Normal Newborn Dogs: Preliminary Results
by Jasmine Fusi, Augusto Carluccio, Tanja Peric, Massimo Faustini, Alberto Prandi and Maria Cristina Veronesi
Animals 2021, 11(3), 713; https://doi.org/10.3390/ani11030713 - 5 Mar 2021
Cited by 7 | Viewed by 2635
Abstract
The neonatal response to stress was reported to be related to the type of delivery, that is elective or emergency cesarean sections (ELCS and EMCS, respectively). Nitric oxide (NO) is also reported to be related to uterine inertia, and high levels of NO [...] Read more.
The neonatal response to stress was reported to be related to the type of delivery, that is elective or emergency cesarean sections (ELCS and EMCS, respectively). Nitric oxide (NO) is also reported to be related to uterine inertia, and high levels of NO metabolites (NOs) are associated with physical and emotional stress. The study aimed to assess the concentrations of cortisol (C) and NOs in the amniotic fluid of puppies delivered by ELCS or EMCS. In total, 32 puppies were delivered by ELCS and 22 by EMCS. ANCOVA showed an effect of the ELCS vs. EMCS on both amniotic NOs (p < 0.001) and C (p < 0.001) concentrations. Lower amniotic C concentrations were found at increasing Apgar score (p < 0.001). Higher amniotic NOs concentrations were associated to increasing mother’s parity (p < 0.001), puppies’ birthweight (p < 0.001), and time of labor within the EMCS group (p < 0.05). A positive correlation between birthweight and amniotic NOs concentrations was also found (p < 0.05) in the EMCS group. Due to the possible concurrence of several compartments (maternal, maybe placental, and fetal) to the final amniotic fluid composition, the definition of the role played by the three compartments in the higher C and NOs concentrations found in amniotic fluids collected from puppies delivered by EMCS than ELCS needs further clarification. Full article
(This article belongs to the Section Veterinary Clinical Studies)
8 pages, 796 KB  
Case Report
Dystocia in a Captive Reared Agouti (Dasyprocta leporina) in Trinidad and Tobago, West Indies
by Kegan Romelle Jones, Kavita Ranjeeta Lall and Gary Wayne Garcia
Vet. Sci. 2020, 7(1), 30; https://doi.org/10.3390/vetsci7010030 - 4 Mar 2020
Cited by 8 | Viewed by 7895
Abstract
Dystocia is a complication that occurs at parturition either due to foetal or maternal factors. This condition has been well studies in domesticated species. However, there is very little information on dystocia in the agouti (Dasyprocta leporina). The agouti is utilized [...] Read more.
Dystocia is a complication that occurs at parturition either due to foetal or maternal factors. This condition has been well studies in domesticated species. However, there is very little information on dystocia in the agouti (Dasyprocta leporina). The agouti is utilized for its meat in South America and the Caribbean. More recently, farming of these animals intensively is being practiced in the Neo-tropics. This case report attempted to provide some insight into dystocia in the agouti which has been rarely reported in animals in captivity. A female agouti weighing approximately 3 kg (kg), which was in the last stage of pregnancy, was found dead in its cage. The vulva of the animal had the hind-limbs of the offspring protruding. Upon necropsy the animal had little fat reserves and had two foetuses in the right horn of the uterus. The feet of on offspring were dislocated and exposed at the level of the vulva. Each foetus weighed approximately 200 g. The foetuses were well formed with fur, teeth and eyes. The placenta was attached to each of the foetuses. The pathological findings suggested that dystocia resulted in secondary uterine inertia, which was the cause of death of the adult female agouti. To prevent the recurrence of this situation the gestation should be staged (timed) using ultrasonography. Animals which are in their third stage of gestation should be monitored using cameras or with personnel at the facility to assist agoutis which are having difficulties at parturition. Full article
Show Figures

Figure 1

Back to TopTop