Sign in to use this feature.

Years

Between: -

Subjects

remove_circle_outline
remove_circle_outline
remove_circle_outline
remove_circle_outline
remove_circle_outline

Journals

Article Types

Countries / Regions

Search Results (9)

Search Parameters:
Keywords = touchdown PCR

Order results
Result details
Results per page
Select all
Export citation of selected articles as:
15 pages, 2489 KB  
Article
Surveillance of Swine Coronaviruses in Hungarian Herds with a Newly Established Pan-Coronavirus RT-PCR System
by Dóra Máté, Renáta Varga-Kugler, Eszter Kaszab, Henrik Fülöp Károlyi, Tamás Görföl, Gábor Kemenesi, Barbara Igriczi, Gyula Balka, Marianna Domán, Ádám Bálint, Zoltán Zádori and Enikő Fehér
Animals 2026, 16(3), 358; https://doi.org/10.3390/ani16030358 - 23 Jan 2026
Viewed by 336
Abstract
The rapid evolution of coronaviruses (CoVs) requires researchers to develop specific yet broad-spectrum detection methods to monitor their constant genomic changes. The goal of the present study was to establish a current pan-coronavirus RT-PCR system capable of detecting a wide variety of CoVs [...] Read more.
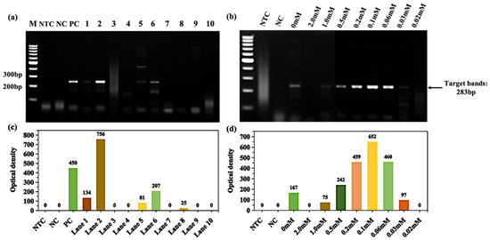
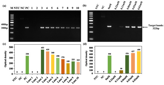
The rapid evolution of coronaviruses (CoVs) requires researchers to develop specific yet broad-spectrum detection methods to monitor their constant genomic changes. The goal of the present study was to establish a current pan-coronavirus RT-PCR system capable of detecting a wide variety of CoVs and useful for the investigation of virus diversity and host spectrum. For optimization, one-step and two-step nested RT-PCRs with three RT enzymes were examined, amplifying a ~600 bp long product of the RNA-dependent RNA polymerase. As templates, the in vitro transcribed RNA of ten pathogenic CoVs (SARS-CoV, SARS-CoV-2, NL-63, OC43, feline CoV, porcine epidemic diarrhea virus or PEDV, transmissible gastroenteritis virus or TGEV, canine CoV, bat CoV, and infectious bronchitis virus) were applied instead of the often-used DNA standards. A limit of detection of 5–50 copies/reaction was achieved with a random hexamer-primed two-step RT-PCR and a touchdown cycling profile, representing a lower detection limit and higher specificity compared to previously published primer sets. Swine origin pooled samples (n = 121), collected from apparently healthy herds in Hungary, were tested with the novel RT-PCR system. Sequences of porcine respiratory CoV/TGEV and porcine hemagglutinating encephalomyelitis virus were identified in 24 oral fluid and nasal swab pools, demonstrating the circulation of these viruses in this country, as well as the suitability of the new PCR for their detection. The results highlighted the importance of adequate RT enzyme selection and the use of RNase inhibitors in sample preparation and conservation. Full article
(This article belongs to the Section Veterinary Clinical Studies)
Show Figures

Figure 1

23 pages, 1990 KB  
Article
Novel PCR-Based Detection Methods for the Lettuce Bacterial Leaf Spot Pathogen, Xanthomonas hortorum pv. vitians Morinière et al., 2020
by Emma R. Martinez, Mozhde Hamidizade, Ana B. Zacaroni and Carolee T. Bull
Plants 2025, 14(6), 964; https://doi.org/10.3390/plants14060964 - 19 Mar 2025
Viewed by 1474
Abstract
Bacterial leaf spot in lettuce is a sporadic but devastating disease that threatens lettuce production worldwide. Severe outbreaks have resulted in up to 100% crop loss, and even smaller outbreaks can cause a significant yield loss, as the affected tissue must be removed [...] Read more.
Bacterial leaf spot in lettuce is a sporadic but devastating disease that threatens lettuce production worldwide. Severe outbreaks have resulted in up to 100% crop loss, and even smaller outbreaks can cause a significant yield loss, as the affected tissue must be removed from lettuce heads prior to their sale. The pathogen, Xanthomonas hortorum pv. vitians (Xhv), has at least three races, with each defined by the disease or resistance phenotype it elicits in lettuce cultivars and accessions. Specific molecular detection of Xhv would facilitate the work of clinicians, growers, seed companies, and researchers in the lettuce industry. We present an Xhv-specific touchdown PCR method and progress toward race-specific methods. We used an alignment of 18 Xhv strains and 9 closely related, non-target strains to identify pathovar- and race-specific gene clusters as targets for PCR primers. We evaluated the specificity first using in silico methods and then empirically using a collection of Xanthomonas strains. Our protocol demonstrated Xhv-specific detection from two sample types, including genomic DNA extracts and bacterial suspensions. Additional research is required to refine the race-specific protocols. Full article
(This article belongs to the Special Issue Diagnosis and Control of Plant Bacterial Diseases)
Show Figures

Figure 1

12 pages, 1095 KB  
Article
Ganciclovir Resistance-Linked Mutations in the HCMV UL97 Gene: Sanger Sequencing Analysis in Samples from Transplant Recipients at a Tertiary Hospital in Southern Brazil
by Anna Caroline Avila da Rocha, Grazielle Motta Rodrigues, Alessandra Helena da Silva Hellwig, Dariane Castro Pereira, Fabiana Caroline Zempulski Volpato, Afonso Luís Barth and Fernanda de-Paris
Diagnostics 2025, 15(2), 214; https://doi.org/10.3390/diagnostics15020214 - 18 Jan 2025
Viewed by 1734
Abstract
Background/Objectives: Human cytomegalovirus (HCMV) DNAemia remains a significant concern for transplant recipients, largely due to mutations in the viral genome that may lead to antiviral-resistant strains. Mutations in the UL97 gene are frequently associated with resistance to ganciclovir (GCV), highlighting the importance of [...] Read more.
Background/Objectives: Human cytomegalovirus (HCMV) DNAemia remains a significant concern for transplant recipients, largely due to mutations in the viral genome that may lead to antiviral-resistant strains. Mutations in the UL97 gene are frequently associated with resistance to ganciclovir (GCV), highlighting the importance of early mutation detection to effectively manage viremia. This study aimed to optimize a Sanger sequencing protocol for analyzing GCV resistance-linked mutations in the HCMV UL97 gene from plasma samples of transplant patients treated at Hospital de Clínicas de Porto Alegre, Rio Grande do Sul, Brazil. Methods: A nested-PCR approach combined with a touchdown PCR method was employed to enhance the sensitivity and specificity of the sequencing analysis. Results: The study sample included various transplants, encompassing solid organ and bone marrow recipients. Among 16 sequenced samples, 8 exhibited nucleotide substitutions resulting in amino acid changes. Notably, the A594V and C603W mutations, associated with GCV resistance, were identified in four samples. Additionally, three mutations with unknown phenotypic impact (P509L, A628T, and H662Y) and two viral polymorphisms (N510S and D605E) were detected. Furthermore, double peaks in the Sanger electropherograms, indicative of mixed viral populations of HCMV were observed in seven samples. Conclusions: The optimized Sanger sequencing protocol provides a cost-effective solution for detecting GCV resistance mutations in HCMV UL97 among transplant recipients. This approach could improve the understanding of HCMV strain dynamics and serve as a valuable tool for long-term patient monitoring, particularly within resource-constrained settings such as the public health systems of middle-income countries. Full article
(This article belongs to the Special Issue New Diagnostic and Testing Strategies for Infectious Diseases)
Show Figures

Figure 1

11 pages, 2444 KB  
Article
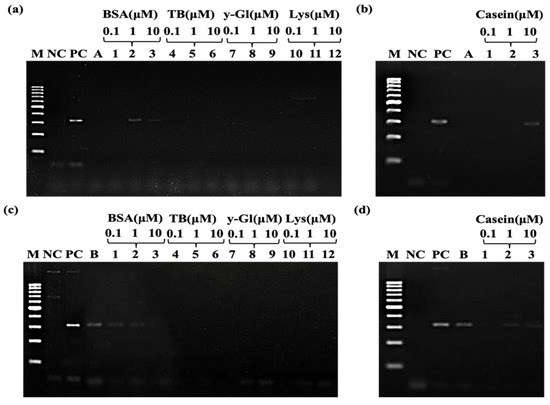
Novel and Sensitive Touchdown Polymerase Chain Reaction Assays for the Detection of Goat and Sheep Milk Adulteration with Cow Milk
by Ariadni Kourkouli, Nikolaos Thomaidis, Marilena Dasenaki and Athina Markou
Molecules 2024, 29(8), 1820; https://doi.org/10.3390/molecules29081820 - 17 Apr 2024
Cited by 9 | Viewed by 3018
Abstract
Milk is the most consumed liquid food in the world due to its high nutritional value and relatively low cost, characteristics that make it vulnerable to adulteration. One of the most common types of milk adulteration involves the undeclared addition of cow’s milk [...] Read more.
Milk is the most consumed liquid food in the world due to its high nutritional value and relatively low cost, characteristics that make it vulnerable to adulteration. One of the most common types of milk adulteration involves the undeclared addition of cow’s milk to milk from other mammalian species, such as goats, sheep, buffalo or donkeys. The incidence of such adulteration not only causes a crisis in terms of commercial market and consumer uncertainty but also poses a risk to public health, as allergies can be triggered by proteins in undeclared cow’s milk. In this study, a specific qualitative touchdown (TD) PCR method was developed to detect the undeclared addition of cow’s milk in goat and sheep milk based on the discrimination of the peak areas of the melting curves after the modification of bovine-specific primers. The developed methodology has high specificity for the DNA templates of other species, such as buffalos and donkeys, and is able to identify the presence of cow’s milk down to 1%. Repeatability was tested at low bovine concentrations of 5% and 1% and resulted in %RSD values of 1.53–2.04 for the goat–cow assay and 2.49–7.16 for the sheep–cow assay, respectively. The application of this method to commercial goat milk samples indicated a high percentage of noncompliance in terms of labeling (50%), while a comparison of the results to rapid immunochromatographic and ELISA kits validated the excellent sensitivity and applicability of the proposed PCR methodology that was able to trace more adulterated samples. The developed assays offer the advantage of multiple detection in a single run, resulting in a cost- and time-efficient method. Future studies will focus on the applicability of these assays in dairy products such as cheese and yogurt. Full article
Show Figures

Graphical abstract

19 pages, 5275 KB  
Article
Enhancement Effects and Mechanism Studies of Two Bismuth-Based Materials Assisted by DMSO and Glycerol in GC-Rich PCR
by Zhu Yang, Junlei Yang, Lihuan Yue, Bei Shen, Jing Wang, Yuqing Miao, Ruizhuo Ouyang and Yihong Hu
Molecules 2023, 28(11), 4515; https://doi.org/10.3390/molecules28114515 - 2 Jun 2023
Cited by 4 | Viewed by 5362
Abstract
Polymerase chain reaction (PCR) has extensive bioanalytical applications in molecular diagnostics and genomic research studies for rapid detection and precise genomic amplification. Routine integrations for analytical workflow indicate certain limitations, including low specificity, efficiency, and sensitivity in conventional PCR, particularly towards amplifying high [...] Read more.
Polymerase chain reaction (PCR) has extensive bioanalytical applications in molecular diagnostics and genomic research studies for rapid detection and precise genomic amplification. Routine integrations for analytical workflow indicate certain limitations, including low specificity, efficiency, and sensitivity in conventional PCR, particularly towards amplifying high guanine–cytosine (GC) content. Further, there are many ways to enhance the reaction, for example, using different PCR strategies such as hot-start/touchdown PCR or adding some special modifications or additives such as organic solvents or compatible solutes, which can improve PCR yield. Due to the widespread use of bismuth-based materials in biomedicine, which have not yet been used for PCR optimization, this attracts our attention. In this study, two bismuth-based materials that are inexpensive and readily available were used to optimize GC-rich PCR. The results demonstrated that ammonium bismuth citrate and bismuth subcarbonate effectively enhanced PCR amplification of the GNAS1 promoter region (∼84% GC) and APOE (75.5% GC) gene of Homo sapiens mediated by Ex Taq DNA polymerase within the appropriate concentration range. Combining DMSO and glycerol additives was critical in obtaining the target amplicons. Thus, the solvents mixed with 3% DMSO and 5% glycerol were used in bismuth-based materials. That allowed for better dispersion of bismuth subcarbonate. As for the enhanced mechanisms, the surface interaction of PCR components, including Taq polymerase, primer, and products with bismuth-based materials, was maybe the main reason. The addition of materials can reduce the melting temperature (Tm), adsorb polymerase and modulate the amount of active polymerase in PCR, facilize the dissociation of DNA products, and enhance the specificity and efficiency of PCR. This work provided a class of candidate enhancers for PCR, deepened our understanding of the enhancement mechanisms of PCR, and also explored a new application field for bismuth-based materials. Full article
(This article belongs to the Section Chemical Biology)
Show Figures

Figure 1

20 pages, 2484 KB  
Article
Mastadenovirus Molecular Diversity in Waste and Environmental Waters from the Lisbon Metropolitan Area
by Joana Cavadas, Ricardo Parreira, Inês Leonardo, Maria Teresa Barreto Crespo and Mónica Nunes
Microorganisms 2022, 10(12), 2443; https://doi.org/10.3390/microorganisms10122443 - 10 Dec 2022
Cited by 3 | Viewed by 2856
Abstract
In face of the absence of epidemiological data regarding the circulation of human adenoviruses (HAdV) in Portugal, this study aimed at the evaluation of their molecular diversity in waste and environmental waters in the Lisbon Metropolitan Area (LMA). Using samples collected between 2018 [...] Read more.
In face of the absence of epidemiological data regarding the circulation of human adenoviruses (HAdV) in Portugal, this study aimed at the evaluation of their molecular diversity in waste and environmental waters in the Lisbon Metropolitan Area (LMA). Using samples collected between 2018 and 2021, the HAdV hexon protein-coding sequence was partially amplified using three nested touch-down PCR protocols. The amplification products obtained were analyzed in parallel by two approaches: molecular cloning followed by Sanger sequencing and Next-Generation Sequencing (NGS) using Illumina® sequencing. The analysis of NGS-generated data allowed the identification of a higher diversity of HAdV-A (19%), -B (1%), -C (3%), -D (24%), and -F (25%) viral types, along with murine adenovirus (MAdV-2; 30%) in the wastewater treatment plant samples. On the other hand, HAdV-A (19%), -D (32%), and -F (36%) were identified in environmental samples, and possibly MAdV-2 (14%). These results demonstrate the presence of fecal contamination in environmental waters and the assessment of the diversity of this virus provides important information regarding the distribution of HAdV in LMA, including the detection of HAdV-F41, the most frequently reported in water worldwide. Full article
(This article belongs to the Special Issue Advances in Waterborne Pathogens)
Show Figures

Graphical abstract

20 pages, 661 KB  
Article
Human Polyomaviruses (HPyV) in Wastewater and Environmental Samples from the Lisbon Metropolitan Area: Detection and Genetic Characterization of Viral Structural Protein-Coding Sequences
by Ana Carolina Condez, Mónica Nunes, Andreia Filipa-Silva, Inês Leonardo and Ricardo Parreira
Pathogens 2021, 10(10), 1309; https://doi.org/10.3390/pathogens10101309 - 12 Oct 2021
Cited by 6 | Viewed by 2983
Abstract
Due to the lack of reliable epidemiological information regarding the geographic distribution and genetic diversity of human polyomaviruses (HPyV) in Portugal, we addressed these issues in this initial study by focusing on the Lisbon Metropolitan area, the most populated and culturally diverse hub [...] Read more.
Due to the lack of reliable epidemiological information regarding the geographic distribution and genetic diversity of human polyomaviruses (HPyV) in Portugal, we addressed these issues in this initial study by focusing on the Lisbon Metropolitan area, the most populated and culturally diverse hub in the country. The HPyV structural protein-coding sequence was partially amplified using two touch-down PCR multiplex protocols, starting from water samples, collected between 2018 and 2020, where viral genomes were detected. The obtained results disclosed the frequent detection of HPyV1, HPyV2, HPyV5, and HPyV6 in 35.3% (n = 6), 29.4% (n = 5), 47.1% (n = 8) and 29.4% (n = 5), respectively, of the water samples analyzed. The sequences assigned to a given viral species did not segregate to a single genotype, this being especially true for HPyV2 for which five genotypes (including a putative new genotype 9) could be identified. The phylogenetic trees obtained for HPyV5 and HPyV6 had less resolving power than those obtained for HPyV1/HPyV2, but both viruses were shown to be genetically diverse. This analysis emphasizes the epidemiological helpfulness of these detection/genetic characterization studies in addition to being relevant tools for assessment of human waste contamination. Full article
(This article belongs to the Special Issue Advances in Human Pathogens Infections)
Show Figures

Graphical abstract

11 pages, 2368 KB  
Article
Development of a qPCR Method to Measure Mitochondrial and Genomic DNA Damage with Application to Chemotherapy-Induced DNA Damage and Cryopreserved Cells
by Stephen O. Evans, Michael B. Jameson, Ray T. M. Cursons, Linda M. Peters, Steve Bird and Gregory M. Jacobson
Biology 2016, 5(4), 39; https://doi.org/10.3390/biology5040039 - 8 Oct 2016
Cited by 11 | Viewed by 12443
Abstract
DNA damage quantitation assays such as the comet assay have focused on the measurement of total nuclear damage per cell. The adoption of PCR-based techniques to quantify DNA damage has enabled sequence- and organelle-specific assessment of DNA lesions. Here we report on an [...] Read more.
DNA damage quantitation assays such as the comet assay have focused on the measurement of total nuclear damage per cell. The adoption of PCR-based techniques to quantify DNA damage has enabled sequence- and organelle-specific assessment of DNA lesions. Here we report on an adaptation of a qPCR technique to assess DNA damage in nuclear and mitochondrial targets relative to control. Novel aspects of this assay include application of the assay to the Rotor-Gene platform with optimized DNA polymerase/fluorophore/primer set combination in a touchdown PCR protocol. Assay validation was performed using ultraviolet C radiation in A549 and THP1 cancer cell lines. A comparison was made to the comet assay applied to peripheral blood mononuclear cells, and an estimation of the effects of cryopreservation on ultraviolet C-induced DNA damage was carried out. Finally, dose responses for DNA damage were measured in peripheral blood mononuclear cells following exposure to the cytotoxic agents bleomycin and cisplatin. We show reproducible experimental outputs across the tested conditions and concordance with published findings with respect to mitochondrial and nuclear genotoxic susceptibilities. The application of this DNA damage assay to a wide range of clinical and laboratory-derived samples is both feasible and resource-efficient. Full article
Show Figures

Figure 1

12 pages, 962 KB  
Article
Two Methods for Increased Specificity and Sensitivity in Loop-Mediated Isothermal Amplification
by De-Guo Wang, Jeffrey D. Brewster, Moushumi Paul and Peggy M. Tomasula
Molecules 2015, 20(4), 6048-6059; https://doi.org/10.3390/molecules20046048 - 7 Apr 2015
Cited by 179 | Viewed by 17237
Abstract
The technique of loop-mediated isothermal amplification (LAMP) utilizes four (or six) primers targeting six (or eight) regions within a fairly small segment of a genome for amplification, with concentration higher than that used in traditional PCR methods. The high concentrations of primers used [...] Read more.
The technique of loop-mediated isothermal amplification (LAMP) utilizes four (or six) primers targeting six (or eight) regions within a fairly small segment of a genome for amplification, with concentration higher than that used in traditional PCR methods. The high concentrations of primers used leads to an increased likelihood of non-specific amplification induced by primer dimers. In this study, a set of LAMP primers were designed targeting the prfA gene sequence of Listeria monocytogenes, and dimethyl sulfoxide (DMSO) as well as Touchdown LAMP were employed to increase the sensitivity and specificity of the LAMP reactions. The results indicate that the detection limit of this novel LAMP assay with the newly designed primers and additives was 10 fg per reaction, which is ten-fold more sensitive than a commercial Isothermal Amplification Kit and hundred-fold more sensitive than previously reported LAMP assays. This highly sensitive LAMP assay has been shown to detect 11 strains of Listeria monocytogenes, and does not detect other Listeria species (including Listeria innocua and Listeria invanovii), providing some advantages in specificity over commercial Isothermal Amplification Kits and previously reported LAMP assay. Full article
(This article belongs to the Section Molecular Diversity)
Show Figures

Figure 1

Back to TopTop