Sign in to use this feature.

Years

Between: -

Subjects

remove_circle_outline
remove_circle_outline
remove_circle_outline

Journals

Article Types

Countries / Regions

Search Results (9)

Search Parameters:
Keywords = subretinal hyper-reflective material

Order results
Result details
Results per page
Select all
Export citation of selected articles as:
14 pages, 2067 KB  
Article
Factors Affecting Visual Acuity After Anti-Vascular Endothelial Growth Factor Therapy in Neovascular Age-Related Macular Degeneration: A Multicenter Study in Japan
by Aoi Kominami, Shuhei Tomita, Aki Kato, Koichi Ono, Masaru Takeuchi, Masaya Imazeki, Hiroto Terasaki, Yuki Yamamoto, Tatsuya Jujo, Makiko Wakuta, Hisashi Matsubara, Yoshinori Mitamura, Mineo Kondo, Kazuhiro Kimura, Hitoshi Takagi, Fumi Gomi, Taiji Sakamoto and Tsutomu Yasukawa
J. Clin. Med. 2024, 13(20), 6244; https://doi.org/10.3390/jcm13206244 - 19 Oct 2024
Cited by 1 | Viewed by 1860
Abstract
Background/Objectives: Anti-vascular endothelial growth factor (VEGF) therapy is the first-line treatment for neovascular age-related macular degeneration (nvAMD). While proactive and adequate treatment generally leads to better visual outcomes, various factors, including the disease type, ocular findings, lifestyle, and systemic status, affect the [...] Read more.
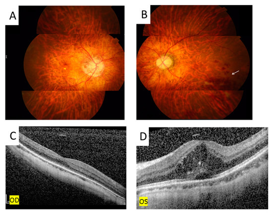
Background/Objectives: Anti-vascular endothelial growth factor (VEGF) therapy is the first-line treatment for neovascular age-related macular degeneration (nvAMD). While proactive and adequate treatment generally leads to better visual outcomes, various factors, including the disease type, ocular findings, lifestyle, and systemic status, affect the visual prognosis in clinical settings. This study aimed to identify the factors that affect the visual prognosis in patients with nvAMD treated with anti-VEGF therapy. Methods: We conducted a multicenter retrospective cohort study at eight tertiary referral centers in Japan, where we reviewed the medical records of patients newly diagnosed with nvAMD between January 2014 and December 2019. These patients had started treatment with either ranibizumab (0.5 mg) or aflibercept (2.0 mg) and were followed for at least 1 year. We evaluated the impact of the disease type, systemic factors, and initial fundus findings on the best-corrected visual acuity (BCVA) at 1 year. Results: This study included 182 patients (129 men, 53 women), with a mean age of 75.0 ± 8.6 years. The disease types were categorized as typical AMD (53%), polypoidal choroidal vasculopathy (PCV) (43%), and retinal angiomatous proliferation (RAP) (4%). Univariate analysis identified age, the baseline logarithm of the minimum angle of resolution BCVA, intraretinal fluid (IRF), pigment epithelial detachment (PED), and subretinal hyperreflective material (SHRM). Multivariate analysis identified the following significant risk factors associated with vision worsening: age, smoking history, diabetes, and the presence of IRF and PED. Conclusions: The presence of IRF, PED, and SHRM at the start of treatment and a history of smoking and diabetes may be associated with a poor visual prognosis in patients with nvAMD. Full article
Show Figures

Figure 1

13 pages, 2992 KB  
Article
Effects of Combination Therapy with Intravitreal Ranibizumab and Tissue Plasminogen Activator for Neovascular Age-Related Macular Degeneration
by Michiko Ando, Aki Kato, Masayo Kimura, Shuntaro Ogura, Soichiro Kuwayama, Aoi Kominami, Satoshi Kuwayama, Tomohiro Obayashi, Ryota Ando, Takafumi Monoe, Hiroshi Morita and Tsutomu Yasukawa
J. Clin. Med. 2024, 13(8), 2417; https://doi.org/10.3390/jcm13082417 - 21 Apr 2024
Cited by 2 | Viewed by 1758
Abstract
Background: Subretinal hyper-reflective material (SHRM) sometimes causes vision loss in spite of anti-vascular endothelial growth factor (VEGF) therapy in eyes with neovascular age-related macular degeneration (nvAMD). We evaluated the impacts of combination therapy with intravitreal ranibizumab (IVR) and tissue plasminogen activator (tPA) in [...] Read more.
Background: Subretinal hyper-reflective material (SHRM) sometimes causes vision loss in spite of anti-vascular endothelial growth factor (VEGF) therapy in eyes with neovascular age-related macular degeneration (nvAMD). We evaluated the impacts of combination therapy with intravitreal ranibizumab (IVR) and tissue plasminogen activator (tPA) in eyes with nvAMD accompanying SHRM. Methods: In total, 25 eyes of 25 patients (16 men and 9 women, 76.7 years old), who underwent IVR/tPA for nvAMD with SHRM and were followed up for at least 12 months, were retrospectively reviewed. In total, 15 eyes were treatment-naïve and 10 eyes had previous treatment for nvAMD. Results: In total, 16 eyes had type 2 macular neovascularization (MNV), 5 eyes type 1 MNV with fibrovascular pigment epithelial detachment and 4 eyes polypoidal choroidal vasculopathy. At month 12, SHRM regressed or reduced in 18 eyes (72%) and the best-corrected visual acuity (BCVA) improved in 6 eyes (24%) and was unchanged in 14 eyes (56%), while the mean BCVA was just stabilized. The mean central retinal thickness, macular volume and SHRM thickness significantly improved from 408 µm to 287 µm, from 11.9 mm3 to 9.6 mm3, from 369 µm to 165 µm, respectively (p < 0.01). Conclusions: The combination therapy with IVR/tPA for nvAMD with SHRM may help preserve vision by prompt regression of SHRM. Full article
Show Figures

Figure 1

14 pages, 3779 KB  
Article
Optical Coherence Tomography Biomarkers in Predicting Treatment Outcomes of Diabetic Macular Edema after Ranibizumab Injections
by Yen-Chieh Chang, Yu-Te Huang, Alan Y. Hsu, Ping-Ping Meng, Chun-Ju Lin, Chun-Ting Lai, Ning-Yi Hsia, Huan-Sheng Chen, Peng-Tai Tien, Jane-Ming Lin, Wen-Lu Chen and Yi-Yu Tsai
Medicina 2023, 59(3), 629; https://doi.org/10.3390/medicina59030629 - 21 Mar 2023
Cited by 9 | Viewed by 4371
Abstract
Background and Objectives: The identification of possible biomarkers that can predict treatment response among DME eyes is important for the individualization of treatment plans. We investigated optical coherence tomography (OCT)-based biomarkers that may predict the one-year real-life outcomes among diabetic macular edema [...] Read more.
Background and Objectives: The identification of possible biomarkers that can predict treatment response among DME eyes is important for the individualization of treatment plans. We investigated optical coherence tomography (OCT)-based biomarkers that may predict the one-year real-life outcomes among diabetic macular edema (DME) eyes following treatment by intravitreal ranibizumab (IVR) injections. Materials and Methods: A total of 65 eyes from 35 treatment-naïve patients with DME treated with ranibizumab injection were recruited. Best-corrected visual acuity (BCVA), central retinal thickness (CRT), intraocular pressure (IOP), and OCT scans were retrospectively recorded at baseline before treatment and at 3 months, 6 months, and 12 months after treatment. The OCT scans were evaluated for biomarkers of interest, which included central retinal thickness (CRT), amount and locations of hyperreflective foci (HRF), subretinal fluid (SRF), intraretinal cysts (IRC), large outer nuclear layer cyst (LONLC), ellipsoid zone disruption (EZD), disorganization of retinal inner layers (DRIL), hard exudates (HE), epiretinal membrane (ERM), and vitreomacular interface (VMI). Correlations between these OCT biomarkers and outcome measures (visual and structural) were statistically analyzed. Results: A total of 65 eyes from 35 patients with DME were enrolled. The mean age was 64.2 ± 10.9 years old. Significant improvement in terms of mean BCVA (p < 0.005) and mean CRT was seen at final follow-up compared to baseline. The biomarkers of DRIL, LONLC, and SRF were found to be predictive for at least 50 μm CRT reduction after treatment (with odds ratio of 8.69, 8.5, and 17.58, respectively). The biomarkers of IRC, LONLC, and SRF were predictive for significant improvement in terms of BCVA and CRT after treatment. Finally, the number of HRF was predictive for both BCVA improvement and a CRT reduction of less than 100 μm after treatment. No serious complications were reported during the study. Conclusion: Our study demonstrated the utility of OCT biomarkers as therapeutic predictors of ranibizumab treatment among DME eyes. Full article
(This article belongs to the Section Ophthalmology)
Show Figures

Figure 1

8 pages, 257 KB  
Article
BNT162b2 (Pfizer/BioNTech) COVID-19 Vaccination Was Not Associated with the Progression of Activity of the Exudative Form of Age-Related Macular Degeneration during Anti-VEGF Therapy
by Bernadetta Płatkowska-Adamska, Agnieszka Bociek, Joanna Krupińska, Magdalena Kal, Michał Biskup, Dorota Zarębska-Michaluk and Dominik Odrobina
Vaccines 2022, 10(11), 1878; https://doi.org/10.3390/vaccines10111878 - 7 Nov 2022
Cited by 1 | Viewed by 2664
Abstract
Background: Evaluation of the activity of the exudative form of age-related macular degeneration (AMD) during anti-vascular endothelial growth factor (anti-VEGF) therapy before and after administration of BNT162b2 (Pfizer/BioNTech) vaccination. Methods: The optical coherence tomography and best corrected visual acuity (BCVA) records of the [...] Read more.
Background: Evaluation of the activity of the exudative form of age-related macular degeneration (AMD) during anti-vascular endothelial growth factor (anti-VEGF) therapy before and after administration of BNT162b2 (Pfizer/BioNTech) vaccination. Methods: The optical coherence tomography and best corrected visual acuity (BCVA) records of the two previous visits before the first dose of BNT162b2 (first pre-vaccination visit marked as “V-1”, the previous pre-vaccination “V-2”), and two subsequent visits after the second dose of vaccination (first visit after the second dose marked as “V1”, second visit after the second dose marked as “V2”) were collected for 63 eyes of 59 patients. Results: The difference in the average retinal thickness was observed between the last and each other checkpoint for the aflibercept group and in the overall outcome. The maximum thickness from the inner retinal surface to the inner border of RPE decreased during the observation; differences were observed comparing visits −2 and 1. Subretinal complex thickness decreased during follow-up, and the differences were observed between visits −2 and 2. There were no statistically significant differences in the BCVA and the occurrence of intraretinal cystoid fluid, serous PED, subretinal hyperreflective material, and retinal hemorrhage. Conclusion: In the present study, the activity of the exudative form of AMD did not deteriorate after the administration of the BNT162b2 vaccine. Full article
(This article belongs to the Section COVID-19 Vaccines and Vaccination)
8 pages, 4653 KB  
Case Report
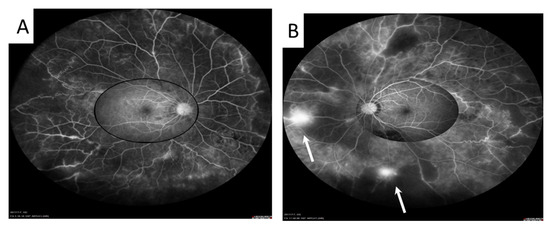
Use of Ultra-Widefield Fluorescein Angiography to Guide the Treatment to Idiopathic Retinal Vasculitis, Aneurysms, and Neuroretinitis—Case Report and Literature Review
by Ping-Ping Meng, Chun-Ju Lin, Ning-Yi Hsia, Chun-Ting Lai, Henry Bair, Jane-Ming Lin, Wen-Lu Chen and Yi-Yu Tsai
Medicina 2022, 58(10), 1467; https://doi.org/10.3390/medicina58101467 - 16 Oct 2022
Cited by 3 | Viewed by 3041
Abstract
Purpose: To review the clinical features, diagnosis, and treatment of idiopathic retinal vasculitis, aneurysms, and neuroretinitis (IRVAN) and to report a case with the use of ultra-widefield fluorescein angiography (UWFA) for confirming the precise staging of IRVAN and aid in early treatment. The [...] Read more.
Purpose: To review the clinical features, diagnosis, and treatment of idiopathic retinal vasculitis, aneurysms, and neuroretinitis (IRVAN) and to report a case with the use of ultra-widefield fluorescein angiography (UWFA) for confirming the precise staging of IRVAN and aid in early treatment. The patient improved after being treated with intravitreal aflibercept injection. Results: A 26-year-old female complained of progressive blurred vision OD for one week. Her BCVA was 0.6 OD and 1.0 OS. Fundus examination showed vitritis, retinal hemorrhage, and vasculitis over bilateral eyes. Fluorescein angiography (FA) with a 55 degree of view revealed aneurysmal dilations of the peripapillary arteriole, peripapillary focal leakage, venous leakage, and capillary nonperfusion area. Stage 2 IRVAN was impressed OU. Oral prednisolone was administered. After four months, she experienced decreased visual acuity OS. Optical coherence tomography (OCT) revealed subretinal and intraretinal fluid with hyperreflective material. One posterior subtenon triamcinolone and one intravitreal aflibercept injection were performed OS, and macular edema subsided. A 105-degree ultra-widefield fluorescein angiography (UWFA) showed multiple peripheral background hypofluorescence areas corresponding to capillary nonperfusion. Retinal neovascularization (NV) was found OS, which had not been revealed by the previous 55-degree FA. Stage 3 IRVAN was made OS and panretinal laser photocoagulation (PRP) was performed. Oral prednisone and cyclosporine were prescribed. Her vision improved to 1.0 OU. Conclusion: UWFA provides visualization of peripheral retinal pathology and for precise staging. It also had direct implications in the follow-up and treatment strategy. Full article
(This article belongs to the Section Ophthalmology)
Show Figures

Figure 1

8 pages, 254 KB  
Article
The COVID-19 Pandemic Has Had Negative Effects on Baseline Clinical Presentation and Outcomes of Patients with Newly Diagnosed Treatment-Naïve Exudative AMD
by Enrico Borrelli, Marco Battista, Giovanna Vella, Domenico Grosso, Riccardo Sacconi, Lea Querques, Ilaria Zucchiatti, Francesco Prascina, Francesco Bandello and Giuseppe Querques
J. Clin. Med. 2021, 10(6), 1265; https://doi.org/10.3390/jcm10061265 - 18 Mar 2021
Cited by 11 | Viewed by 2371
Abstract
Purpose: To investigate whether the coronavirus disease 2019 (COVID-19) pandemic-associated postponement in care had effects on the baseline clinical presentation of patients with newly diagnosed treatment-naïve exudative neovascular age-related macular degeneration (AMD). Methods: We included the first 50 consecutive patients referred within the [...] Read more.
Purpose: To investigate whether the coronavirus disease 2019 (COVID-19) pandemic-associated postponement in care had effects on the baseline clinical presentation of patients with newly diagnosed treatment-naïve exudative neovascular age-related macular degeneration (AMD). Methods: We included the first 50 consecutive patients referred within the COVID-19 pandemic with a diagnosis of treatment-naïve exudative neovascular AMD. Two groups of fifty consecutive patients with newly diagnosed neovascular exudative AMD presenting in 2018 and 2019 (control periods) were also included for comparisons. Results: Baseline visual acuity was statistically worse in patients referred during the COVID-19 pandemic period (0.87 ± 0.51 logarithm of the minimum angle of resolution (LogMAR)) as compared with both the “2019” (0.67 ± 0.48 LogMAR, p = 0.001) and “2018” (0.69 ± 0.54 LogMAR, p = 0.012) control periods. Data on the visual function after a loading dose of anti-vascular endothelial growth factor (VEGF) was available in a subset of patients (43 subjects in 2020, 45 in 2019 and 46 in 2018, respectively). Mean ± SD best corrected visual acuity (BCVA) at the 1-month follow-up visit after the third anti-VEGF injection was still worse in patients referred during the COVID-19 pandemic (0.82 ± 0.66 LogMAR) as compared with both the “2019” (0.60 ± 0.45 LogMAR, p = 0.021) and “2018” (0.55 ± 0.53 LogMAR, p = 0.001) control periods. On structural optical coherence tomography (OCT), the maximum subretinal hyperreflective material (SHRM) height and width were significantly greater in the COVID-19 pandemic patients. Conclusions: We demonstrated that patients with newly diagnosed treatment-naïve exudative neovascular AMD referred during the COVID-19 pandemic had worse clinical characteristics at presentation and short-term visual outcomes. Full article
(This article belongs to the Special Issue New Advances in Retinal Research)
14 pages, 3091 KB  
Article
Blockade of Platelet-Derived Growth Factor Signaling Inhibits Choroidal Neovascularization and Subretinal Fibrosis in Mice
by Ye Liu, Kousuke Noda, Miyuki Murata, Di Wu, Atsuhiro Kanda and Susumu Ishida
J. Clin. Med. 2020, 9(7), 2242; https://doi.org/10.3390/jcm9072242 - 15 Jul 2020
Cited by 19 | Viewed by 3625
Abstract
Neovascular age related macular degeneration (nAMD) leads to severe vision loss worldwide and is characterized by the formation of choroidal neovascularization (CNV) and fibrosis. In the current study, we aimed to investigate the effect of blockade for platelet derived growth factor receptor-β (PDGFR-β) [...] Read more.
Neovascular age related macular degeneration (nAMD) leads to severe vision loss worldwide and is characterized by the formation of choroidal neovascularization (CNV) and fibrosis. In the current study, we aimed to investigate the effect of blockade for platelet derived growth factor receptor-β (PDGFR-β) on the formation of choroidal neovascularization and fibrosis in the laser-induced CNV model in mice. Firstly, the presence of PDGFR-β in CNV lesions were confirmed. Intravitreal injection of PDGFR-β neutralizing antibody significantly reduced the size of CNV and subretinal fibrosis. Additionally, subretinal hyperreflective material (SHRM), a landmark feature on OCT as a risk factor for subretinal fibrosis formation in nAMD patients was also suppressed by PDGFR-β blockade. Furthermore, pericytes were abundantly recruited to the CNV lesions during CNV formation, however, blockade of PDGFR-β significantly reduced pericyte recruitment. In addition, PDGF-BB stimulation increased the migration of the rat retinal pericyte cell line, R-rPCT1, which was abrogated by the neutralization of PDGFR-β. These results indicate that blockade of PDGFR-β attenuates laser-induced CNV and fibrosis through the inhibition of pericyte migration. Full article
(This article belongs to the Special Issue Vitreo-Retinal Disorders: Pathogenesis, Diagnosis and Therapies)
Show Figures

Figure 1

13 pages, 3277 KB  
Article
Multimodal Imaging in the Management of Choroidal Neovascularization Secondary to Central Serous Chorioretinopathy
by Ahmed M. Hagag, Shruti Chandra, Hagar Khalid, Ali Lamin, Pearse A. Keane, Andrew J. Lotery and Sobha Sivaprasad
J. Clin. Med. 2020, 9(6), 1934; https://doi.org/10.3390/jcm9061934 - 21 Jun 2020
Cited by 14 | Viewed by 4032
Abstract
The diagnosis and treatment of choroidal neovascularization (CNV) in eyes with chronic central serous chorioretinopathy (CSCR) can be challenging. The purpose of this study was to classify eyes with suspected CNV using multimodal imaging. The effect of intravitreal anti-vascular endothelial growth factor (VEGF) [...] Read more.
The diagnosis and treatment of choroidal neovascularization (CNV) in eyes with chronic central serous chorioretinopathy (CSCR) can be challenging. The purpose of this study was to classify eyes with suspected CNV using multimodal imaging. The effect of intravitreal anti-vascular endothelial growth factor (VEGF) was assessed and compared to controls. This retrospective study included chronic CSCR patients with suspected secondary CNV who received intravitreal bevacizumab. Eyes were divided into “definite CNV” and “no CNV” based on optical coherence tomography angiography (OCTA). Eyes that did not undergo OCTA imaging were considered as “presumed CNV”. One-year outcome in visual acuity (VA) and central foveal thickness (CFT) were investigated and compared to non-treated control patients to assess the response to anti-VEGF. Logistic regression analysis was used to explore predictive biomarkers of CNV detection and improvement after anti-VEGF. Ninety-two eyes with chronic CSCR from 88 participants were included in this study. Sixty-one eyes received bevacizumab and 31 eyes were non-treated control subjects. The presence of subretinal hyperreflective material (SHRM) and shallow irregular retinal pigment epithelium (RPE) elevation (SIRE) with sub-RPE hyperreflectivity on OCT was associated with a significantly increased risk of detecting CNV on OCTA. Intravitreal anti-VEGF caused significant functional and anatomical improvement in patients with neovascular CSCR as compared to non-treated eyes. In contrast, VA and CFT changes were not significantly different between treated and non-treated CSCR with no evidence of CNV on OCTA. No clinical or anatomical biomarkers were found to be associated with response to treatment. In conclusion, OCTA should be used to confirm the presence CNV in suspected chronic CSCR patients. Intravitreal anti-VEGF treatment resulted in a significantly better one-year outcome in patients with definitive OCTA evidence of CNV. Full article
(This article belongs to the Special Issue New Advances in Retinal Research)
Show Figures

Figure 1

11 pages, 2487 KB  
Article
A Retrospective Analysis of the Effect of Subretinal Hyper-Reflective Material and Other Morphological Features of Neovascular Age-Related Macular Degeneration on Visual Acuity Outcomes in Eyes Treated with Intravitreal Aflibercept over One Year
by King Fai Calvin Leung, Susan M. Downes and Victor Chong
Vision 2018, 2(1), 5; https://doi.org/10.3390/vision2010005 - 31 Jan 2018
Cited by 18 | Viewed by 7455
Abstract
A retrospective study of 176 treatment-naïve eyes with neovascular age-related macular degeneration (nAMD) that had undergone intravitreal aflibercept treatment (2.0 mg, 7–8 times over one year) was performed to correlate the effect of aflibercept on the morphological features of nAMD—subretinal hyper-reflective material (SHRM), [...] Read more.
A retrospective study of 176 treatment-naïve eyes with neovascular age-related macular degeneration (nAMD) that had undergone intravitreal aflibercept treatment (2.0 mg, 7–8 times over one year) was performed to correlate the effect of aflibercept on the morphological features of nAMD—subretinal hyper-reflective material (SHRM), pigment epithelial detachment (PED), subretinal fluid (SRF), and intraretinal fluid (IRF)—with visual acuity at baseline and at one year. Spectral-Domain Optical Coherence Tomography (SD-OCT) images and best-corrected visual acuity (BCVA) at baseline and at one year were obtained. The relationship between visual acuity and the presence of morphological features at baseline and at one year was statistically analysed. The proportion of eyes with PED (p = 0.01), SRF (p ≤ 0.001), and IRF (p ≤ 0.001) reduced at one year. SHRM (p = 0.002) and IRF (p = 0.0001) were associated with poorer baseline BCVA. The presence of SRF at baseline was associated with better baseline BCVA (p = 0.004) and 5.3 letters of improvement of BCVA after one year of treatment (p = 0.0001). For each letter increase in BCVA at baseline, 0.25 fewer letters were gained in BCVA at one year. While aflibercept can improve morphological abnormalities in nAMD, this is not always accompanied by a corresponding improvement in visual acuity. Full article
(This article belongs to the Special Issue Age-Related Macular Degeneration)
Show Figures

Figure 1

Back to TopTop