Sign in to use this feature.

Years

Between: -

Subjects

remove_circle_outline
remove_circle_outline
remove_circle_outline
remove_circle_outline
remove_circle_outline
remove_circle_outline
remove_circle_outline

Journals

Article Types

Countries / Regions

Search Results (8)

Search Parameters:
Keywords = selenium tetrachloride

Order results
Result details
Results per page
Select all
Export citation of selected articles as:
1 pages, 154 KB  
Retraction
RETRACTED: Al-Salmi, F.A.; Hamza, R.Z. Efficacy of Vanadyl Sulfate and Selenium Tetrachloride as Anti-Diabetic Agents against Hyperglycemia and Oxidative Stress Induced by Diabetes Mellitus in Male Rats. Curr. Issues Mol. Biol. 2022, 44, 94–104
by Fawziah A. Al-Salmi and Reham Z. Hamza
Curr. Issues Mol. Biol. 2024, 46(6), 5550; https://doi.org/10.3390/cimb46060331 - 31 May 2024
Viewed by 913
Abstract
Current Issues in Molecular Biology Editorial Office retracts the article titled “Efficacy of Vanadyl Sulfate and Selenium Tetrachloride as Anti-Diabetic Agents against Hyperglycemia and Oxidative Stress Induced by Diabetes Mellitus in Male Rats” [...] Full article
23 pages, 2569 KB  
Article
Microbiota-Liver-Bile Salts Axis, a Novel Mechanism Involved in the Contrasting Effects of Sodium Selenite and Selenium-Nanoparticle Supplementation on Adipose Tissue Development in Adolescent Rats
by María Luisa Ojeda, Fátima Nogales, José A. Carrasco López, María del Carmen Gallego-López, Olimpia Carreras, Ana Alcudia and Eloísa Pajuelo
Antioxidants 2023, 12(5), 1123; https://doi.org/10.3390/antiox12051123 - 19 May 2023
Cited by 10 | Viewed by 3467
Abstract
Adolescence is a period during which body composition changes deeply. Selenium (Se) is an excellent antioxidant trace element related to cell growth and endocrine function. In adolescent rats, low Se supplementation affects adipocyte development differently depending on its form of administration (selenite or [...] Read more.
Adolescence is a period during which body composition changes deeply. Selenium (Se) is an excellent antioxidant trace element related to cell growth and endocrine function. In adolescent rats, low Se supplementation affects adipocyte development differently depending on its form of administration (selenite or Se nanoparticles (SeNPs). Despite this effect being related to oxidative, insulin-signaling and autophagy processes, the whole mechanism is not elucidated. The microbiota–liver–bile salts secretion axis is related to lipid homeostasis and adipose tissue development. Therefore, the colonic microbiota and total bile salts homeostasis were explored in four experimental groups of male adolescent rats: control, low-sodium selenite supplementation, low SeNP supplementation and moderate SeNPs supplementation. SeNPs were obtained by reducing Se tetrachloride in the presence of ascorbic acid. Supplementation was received orally through water intake; low-Se rats received twice more Se than control animals and moderate-Se rats tenfold more. Supplementation with low doses of Se clearly affected anaerobic colonic microbiota profile and bile salts homeostasis. However, these effects were different depending on the Se administration form. Selenite supplementation primarily affected liver by decreasing farnesoid X receptor hepatic function, leading to the accumulation of hepatic bile salts together to increase in the ratio Firmicutes/Bacteroidetes and glucagon-like peptide-1 (GLP-1) secretion. In contrast, low SeNP levels mainly affected microbiota, moving them towards a more prominent Gram-negative profile in which the relative abundance of Akkermansia and Muribaculaceae was clearly enhanced and the Firmicutes/Bacteroidetes ratio decreased. This bacterial profile is directly related to lower adipose tissue mass. Moreover, low SeNP administration did not modify bile salts pool in serum circulation. In addition, specific gut microbiota was regulated upon administration of low levels of Se in the forms of selenite or SeNPs, which are properly discussed. On its side, moderate-SeNPs administration led to great dysbiosis and enhanced the abundance of pathogenic bacteria, being considered toxic. These results strongly correlate with the deep change in adipose mass previously found in these animals, indicating that the microbiota–liver–bile salts axis is also mechanistically involved in these changes. Full article
Show Figures

Figure 1

22 pages, 3549 KB  
Article
Different Effects of Low Selenite and Selenium-Nanoparticle Supplementation on Adipose Tissue Function and Insulin Secretion in Adolescent Male Rats
by María Luisa Ojeda, Fátima Nogales, Olimpia Carreras, Eloísa Pajuelo, María del Carmen Gallego-López, Inés Romero-Herrera, Belén Begines, Jorge Moreno-Fernández, Javier Díaz-Castro and Ana Alcudia
Nutrients 2022, 14(17), 3571; https://doi.org/10.3390/nu14173571 - 30 Aug 2022
Cited by 11 | Viewed by 3510
Abstract
Adolescence is a period of intense growth and endocrine changes, and obesity and insulin-resistance processes during this period have lately been rising. Selenium (Se) homeostasis is related to lipid metabolism depending on the form and dose of Se. This study tests the actions [...] Read more.
Adolescence is a period of intense growth and endocrine changes, and obesity and insulin-resistance processes during this period have lately been rising. Selenium (Se) homeostasis is related to lipid metabolism depending on the form and dose of Se. This study tests the actions of low-dose selenite and Se nanoparticles (SeNPs) on white (WAT) and brown adipose tissue (BAT) deposition, insulin secretion, and GPx1, IRS-1 and FOXO3a expression in the WAT of adolescent rats as regards oxidative stress, adipocyte length and adipokine secretion. Four groups of male adolescent rats were treated: control (C), low selenite supplementation (S), low SeNP supplementation (NS) and moderate SeNP supplementation (NSS). Supplementation was received orally through water intake; NS and NSS rats received two- and tenfold more Se than C animals, respectively. SeNPs were obtained by reducing Se tetrachloride in the presence of ascorbic acid. For the first time in vivo, it was demonstrated that low selenite supplementation contributed to increased adipogenesis via the insulin signaling pathway and LCN2 modulation, while low SeNP administration prevented fat depots in WAT via the decrease in insulin signaling and FOXO3a autophagy in WAT, lowering inflammation. These effects were independent of GPx1 expression or activity in WAT. These findings provide data for dietary approaches to prevent obesity and/or anorexia during adolescence. These findings may be relevant to future studies looking at a nutritional approach aimed at pre-venting obesity and/or anorexia in adolescence. Full article
(This article belongs to the Special Issue Minerals Metabolism and Human Health)
Show Figures

Figure 1

7 pages, 1538 KB  
Article
A Molten Salt Electrochemical Process for the Preparation of Cost-Effective p-Block (Coating) Materials
by Prabhat Kumar Tripathy and Kunal Mondal
Crystals 2022, 12(3), 385; https://doi.org/10.3390/cryst12030385 - 13 Mar 2022
Cited by 1 | Viewed by 2694
Abstract
Solar energy applications rely heavily on p-block elements and transition metals. Silicon is, by far, the most commonly used material in photovoltaic cells and accounts for about 85% of modules sold presently. Of late, thin film photovoltaic cells have gained momentum because of [...] Read more.
Solar energy applications rely heavily on p-block elements and transition metals. Silicon is, by far, the most commonly used material in photovoltaic cells and accounts for about 85% of modules sold presently. Of late, thin film photovoltaic cells have gained momentum because of their higher efficiencies. Most of these thin film devices are made out of just five elements, namely, cadmium, tellurium, selenium, indium, gallium and copper. The present manuscript describes an elegant and inexpensive molten salt-based electrolytic process for fabricating a tellurium-coated metallic substrate. A three-electrode set up was employed to coat iridium with tellurium from a molten bath containing lithium chloride, lithium oxide and tellurium tetrachloride (LiCl-Li2O-TeCl4) at 650 °C for a duration ranging from 30 to 120 min under a galvanostatic mode. The tellurium coating was observed to be thick, uniform, smooth and homogeneous. Additionally, the deposited tellurium did not chemically react with the iridium substrate to form intermetallic compounds, which is a good feature from the standpoint of the device’s performance characteristics. The present process, being generic in nature, shows the potential for the manufacture of both the coated substates and high-purity elements not just for tellurium but also for other p-block elements. Full article
Show Figures

Figure 1

11 pages, 1667 KB  
Article
RETRACTED: Efficacy of Vanadyl Sulfate and Selenium Tetrachloride as Anti-Diabetic Agents against Hyperglycemia and Oxidative Stress Induced by Diabetes Mellitus in Male Rats
by Fawziah A. Al-Salmi and Reham Z. Hamza
Curr. Issues Mol. Biol. 2022, 44(1), 94-104; https://doi.org/10.3390/cimb44010007 - 24 Dec 2021
Cited by 14 | Viewed by 4881 | Retraction
Abstract
The use of metals in medicine has grown in popularity in clinical and commercial settings. In this study, the immune-protecting effects and the hypoglycemic and antioxidant activity of vanadyl sulfate (VOSO4) and/or selenium tetrachloride (Se) on oxidative injury, DNA damage, insulin [...] Read more.
The use of metals in medicine has grown in popularity in clinical and commercial settings. In this study, the immune-protecting effects and the hypoglycemic and antioxidant activity of vanadyl sulfate (VOSO4) and/or selenium tetrachloride (Se) on oxidative injury, DNA damage, insulin resistance, and hyperglycemia were assessed. Fifty male albino rats were divided into five groups, and all treatments were administrated at 9:00 a.m. daily for 60 successive days: control, STZ (Streptozotocin; 50 mg/kg of STZ was given to 6 h fasted animals in a single dose, followed by confirmation of diabetic state occurrence after 72 h by blood glucose estimation at >280 mg/dl), STZ (Diabetic) plus administration of VOSO4 (15 mg/kg) for 60 days, STZ (Diabetic) plus administration of selenium tetrachloride (0.87 mg/Kg), and STZ plus VOSO4 and, after 1/2 h, administration of selenium tetrachloride at the above doses. The test subjects’ blood glucose, insulin hormone, HbA1C, C-peptide, antioxidant enzymes (superoxide dismutase, catalase, glutathione peroxidase, myeloperoxidase, and xanthine oxidase), markers of lipid peroxidation (MDA), and histological sections of pancreatic tissues were evaluated, and a comet assay was performed. Histological sections in pancreas tissues were treated as indicators of both VOSO4 and selenium tetrachloride efficacy, either alone or combined, for the alleviation of STZ toxicity. The genotoxicity of diabetes mellitus was assessed, and the possible therapeutic roles of VOSO4 or selenium tetrachloride, or both, on antioxidant enzymes were studied. The findings show that the administration of VOSO4 with selenium tetrachloride reduced oxidative stress to normal levels, lowered blood glucose levels, and elevated insulin hormone. Additionally, VOSO4 with selenium tetrachloride had a synergistic effect and significantly decreased pancreatic genotoxicity. The data clearly show that both VOSO4 and selenium tetrachloride inhibit pancreatic and DNA injury and improve the oxidative state in male rats, suggesting that the use of VOSO4 with selenium tetrachloride is a promising synergistic potential ameliorative agent in the diabetic animal model. Full article
Show Figures

Figure 1

15 pages, 2083 KB  
Article
A Regioselective Synthesis of Novel Functionalized Organochalcogen Compounds by Chalcogenocyclofunctionalization Reactions Based on Chalcogen Halides and Natural Products
by Maxim V. Musalov, Vladimir A. Potapov, Vladimir A. Yakimov, Maria V. Musalova, Arkady A. Maylyan, Sergey V. Zinchenko and Svetlana V. Amosova
Molecules 2021, 26(12), 3729; https://doi.org/10.3390/molecules26123729 - 18 Jun 2021
Cited by 6 | Viewed by 2883
Abstract
The regioselective synthesis of novel functionalized condensed organochalcogen compounds by chalcogenocyclofunctionalization reactions based on chalcogen halides and the natural products thymol and carvacrol has been developed. The reactions of selenium dibromide with allyl thymol and allyl carvacrol proceeded in methylene chloride at room [...] Read more.
The regioselective synthesis of novel functionalized condensed organochalcogen compounds by chalcogenocyclofunctionalization reactions based on chalcogen halides and the natural products thymol and carvacrol has been developed. The reactions of selenium dibromide with allyl thymol and allyl carvacrol proceeded in methylene chloride at room temperature in the presence of NaHCO3 affording bis[(7-isopropyl-4-methyl-2,3-dihydro-1-benzofuran-2-yl)methyl] and bis[(4-isopropyl-7-methyl-2,3-dihydro-1-benzofuran-2-yl)methyl] selenides in 90–92% yield. Similar sulfides were obtained in 70–72% yields by the reaction of sulfur dichloride in chloroform under reflux. Trihalotellanes containing the same organic moieties were synthesized from allyl thymol, allyl carvacrol and tellurium tetrachloride or tetrabromide in quantitative yields. Corresponding functionalized ditellurides were prepared in 91–92% yields by the reduction of the trichlorotellanes with sodium metabisulfite in two-phase solvent system. The comparison of reactivity of sulfur, selenium and tellurium halides in chalcogenocyclofunctionalization and distinguishing features of each reaction were discussed. Full article
(This article belongs to the Special Issue Recent Advances in Organoselenium Chemistry)
Show Figures

Figure 1

12 pages, 3346 KB  
Article
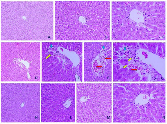
Effect of Selenium Nanoparticles on Carbon Tetrachloride-Induced Hepatotoxicity in the Swiss Albino Rats
by Hossam Ebaid, Jameel Al-Tamimi, Iftekhar Hassan, Mohamed A. Habila, Ahmed M. Rady, Ibrahim M. Alhazza and Ashraf M. Ahmed
Appl. Sci. 2021, 11(7), 3044; https://doi.org/10.3390/app11073044 - 29 Mar 2021
Cited by 19 | Viewed by 3395
Abstract
Background: This study investigated selenium nanoparticles’ protective effects (SE-NPs) against carbon tetrachloride (CCl4)-induced hepatic injury in rats. Methods: Rats were divided into four groups (n = 8). Group 1 rats received the vehicle solution only. Group 2 received a single [...] Read more.
Background: This study investigated selenium nanoparticles’ protective effects (SE-NPs) against carbon tetrachloride (CCl4)-induced hepatic injury in rats. Methods: Rats were divided into four groups (n = 8). Group 1 rats received the vehicle solution only. Group 2 received a single intraperitoneal injection of 1 mL/kg CCl4 in liquid paraffin (1:1 v/v). Group 3 was treated with SE-NPs (2.5 mg/kg) twice a week for three weeks before receiving CCl4 challenge. Oxidative stress, liver function, liver histopathology and serum lipid levels were evaluated. Results: Plasma concentrations of aspartate transaminase (AST), gamma-glutamyl transferase (GGT), alkaline phosphatase (ALP), urea, creatinine, malondialdehyde (MDA) and the toxicity marker, lactate dehydrogenase (LDH), were significantly elevated in rats treated with CCl4 compared to the controls. CCl4 also caused a significant decline in liver glutathione (GSH) concentration. SE-NP pretreatment significantly improved the level of AST, urea, creatinine, MDA, LDH, and GSH in the CCl4-injected rats towards the control levels. Conclusions: SE-NPs restored both liver function and hepatic structure in CCl4 treated rats. SE-NPs exhibit an ability to counter markers of liver injury induced by CCl4 and restore oxidative stability to lipid profiles and liver structure and function. Full article
Show Figures

Figure 1

11 pages, 1643 KB  
Article
Smad3 Deficiency Ameliorates Hepatic Fibrogenesis through the Expression of Senescence Marker Protein-30, an Antioxidant-Related Protein
by Da-Hee Jeong, Meeyul Hwang, Jin-Kyu Park, Moon-Jung Goo, Il-Hwa Hong, Mi-Ran Ki, Akihito Ishigami, Ah-Young Kim, Eun-Mi Lee, Eun-Joo Lee and Kyu-Shik Jeong
Int. J. Mol. Sci. 2013, 14(12), 23700-23710; https://doi.org/10.3390/ijms141223700 - 4 Dec 2013
Cited by 11 | Viewed by 7051
Abstract
Smad3 is a key mediator of the transforming growth factor (TGF)-β1 signaling pathway that plays central role in inflammation and fibrosis. In present study, we evaluated the effect of Smad3 deficiency in Smad3−/− mice with carbon tetrachloride (CCl4)-induced liver fibrosis. [...] Read more.
Smad3 is a key mediator of the transforming growth factor (TGF)-β1 signaling pathway that plays central role in inflammation and fibrosis. In present study, we evaluated the effect of Smad3 deficiency in Smad3−/− mice with carbon tetrachloride (CCl4)-induced liver fibrosis. The animals were received CCl4 or olive oil three times a week for 4 weeks. Histopathological analyses were performed to evaluate the fibrosis development in the mice. Alteration of protein expression controlled by Smad3 was examined using a proteomic analysis. CCl4-induced liver fibrosis was rarely detected in Smad3−/− mice compared to Smad3+/+. Proteomic analysis revealed that proteins related to antioxidant activities such as senescence marker protein-30 (SMP30), selenium-binding proteins (SP56) and glutathione S-transferases (GSTs) were up-regulated in Smad3−/− mice. Western blot analysis confirmed that SMP30 protein expression was increased in Smad3−/− mice. And SMP30 levels were decreased in CCl4-treated Smad3+/+ and Smad3−/− mice. These results indicate that Smad3 deficiency influences the proteins level related to antioxidant activities during early liver fibrosis. Thus, we suggest that Smad3 deteriorate hepatic injury by inhibitor of antioxidant proteins as well as mediator of TGF-β1 signaling. Full article
(This article belongs to the Special Issue Molecular Mechanisms of Human Liver Diseases)
Show Figures

Back to TopTop