Sign in to use this feature.

Years

Between: -

Subjects

remove_circle_outline
remove_circle_outline
remove_circle_outline
remove_circle_outline
remove_circle_outline
remove_circle_outline
remove_circle_outline

Journals

Article Types

Countries / Regions

Search Results (20)

Search Parameters:
Keywords = rectal polyps

Order results
Result details
Results per page
Select all
Export citation of selected articles as:
16 pages, 3731 KB  
Review
Management of the Malignant Rectal Polyp—A Narrative Review
by Zhen Hao Ang and Shing Wai Wong
Cancers 2025, 17(9), 1464; https://doi.org/10.3390/cancers17091464 - 27 Apr 2025
Viewed by 2640
Abstract
Purpose: The aim of this review is to provide a contemporary update on the current management approaches and options with specific considerations in malignant rectal polyps. Methods: A literature review was carried out in PubMed, Embase and Cochrane databases using the keywords “malignant” [...] Read more.
Purpose: The aim of this review is to provide a contemporary update on the current management approaches and options with specific considerations in malignant rectal polyps. Methods: A literature review was carried out in PubMed, Embase and Cochrane databases using the keywords “malignant” and “polyp*”. Only publications in English language were included. Results: Histopathological features including margins, depth of invasion, tumour grade, LVI and tumour budding determines the risk of lymph node metastasis in malignant polyps. Rectal malignant polyps should be considered differently compared to their colonic counterpart. A low threshold should be considered for utilising transrectal excision to fully excise the polyp and to assess the margins. The rates of complete pathological response associated with total neoadjuvant therapy as well as the advent of “watch and wait” adds to the complexity of managing malignant rectal polyps. Conclusions: The management of malignant colorectal polyps lies in risk-stratifying patients who will benefit from an oncological resection. Full article
(This article belongs to the Special Issue Recent Advances in Diagnosis and Management of Colorectal Cancer)
Show Figures

Figure 1

14 pages, 2897 KB  
Article
New Concept of Colonoscopy Assisted by a Microwave-Based Accessory Device: First Clinical Experience
by Oswaldo Ortiz, Oriol Sendino, Silvia Rivadulla, Alejandra Garrido, Luz María Neira, Josep Sanahuja, Pilar Sesé, Marta Guardiola and Glòria Fernández-Esparrach
Cancers 2025, 17(7), 1073; https://doi.org/10.3390/cancers17071073 - 22 Mar 2025
Cited by 1 | Viewed by 955
Abstract
Background/Objectives: Colonoscopies have some limitations that result in a miss rate detection of polyps. Microwave imaging has been demonstrated to detect colorectal polyps based on their dielectric properties in synthetic phantoms, ex vivo tissues and in vivo animal models. This study aims [...] Read more.
Background/Objectives: Colonoscopies have some limitations that result in a miss rate detection of polyps. Microwave imaging has been demonstrated to detect colorectal polyps based on their dielectric properties in synthetic phantoms, ex vivo tissues and in vivo animal models. This study aims to evaluate, for the first time, the feasibility, safety and performance of microwave-based colonoscopy for diagnosis of polyps in real-time explorations in humans. Methods: This was a single-center, prospective, observational study. Patients referred for diagnostic colonoscopy were explored with a device with microwave antennas which was attached to the tip of a standard colonoscope. The primary outcomes were rate of cecal intubation, adverse events, mural injuries and performance metrics for the detection of polyps. Secondary outcomes were the following: patients’ subjective feedback, procedural time and perception of difficulty according to the endoscopist. Results: Fifteen patients were enrolled. Cecal intubation rate was 100%, with a mean time of 12.7 ± 4.9 min (range 4–22). Use of the device did not affect the endoscopic image, and polypectomy was successfully performed in all cases. In on scale from zero (not difficult) to four (very difficult), the maneuverability during the insertion was considered ≤2 in the 86.7% (13/15) of colonoscopies. Only 16 incidents were reported in 14 patients: 11 (67%) superficial hematomas, 2 minor rectal bleedings, 1 anal fissure, 1 rhinorrhea and 1 headache. Most of the patients (94%) reported no discomfort or minimal discomfort before discharge (Gloucester score 1 and 2, respectively). In the six patients with 23 polyps used for the performance analysis, the sensitivity and specificity were 86.9% and 72.0%, respectively. Conclusions: microwave-based colonoscopy is safe and feasible and has the potential to detect polyps in real colonoscopies. Full article
(This article belongs to the Section Methods and Technologies Development)
Show Figures

Figure 1

10 pages, 435 KB  
Article
Local Recurrence of Premalignant and Early Malignant Rectal Polyps Treated by TEM—A Single-Center Experience
by Muhammad Khalifa, Rachel Gingold-Belfer and Nidal Issa
J. Clin. Med. 2025, 14(1), 80; https://doi.org/10.3390/jcm14010080 - 27 Dec 2024
Viewed by 781
Abstract
Background: Transanal endoscopic microsurgery (TEM) is a minimally invasive approach for excising rectal polyps, particularly those with high-grade dysplasia (HGD) or early-stage rectal cancer (T1). This study aimed to evaluate the recurrence risk and its associated factors in patients treated with TEM for [...] Read more.
Background: Transanal endoscopic microsurgery (TEM) is a minimally invasive approach for excising rectal polyps, particularly those with high-grade dysplasia (HGD) or early-stage rectal cancer (T1). This study aimed to evaluate the recurrence risk and its associated factors in patients treated with TEM for HGD and T1 rectal tumors. Methods: A retrospective review was conducted on 79 patients who underwent TEM for rectal lesions at Rabin Medical Center-Hasharon Hospital from 2005 to 2019. Data collected included demographics, tumor characteristics, and follow-up outcomes, with specific focus on tumor size, resection margins, mucin production, and distance from anal verge (AV). Separate and unified analyses were performed to assess the recurrence risk factors for both HGD and T1 patients. Results: Sixty-three patients were included in the final analysis. In the unified analysis, larger tumor size was significantly associated with increased recurrence risk (OR = 2.27, p = 0.028), and mucin production was a strong predictor of recurrence in the T1 group and combined analysis (p = 0.0012 and p = 0.014, respectively). Distance from AV demonstrated a borderline association with recurrence (p = 0.053). Conclusions: Larger tumor size and mucin production are significant predictors of recurrence in TEM-treated rectal polyps. Personalized follow-up and postoperative management are essential for patients with these risk factors to reduce the recurrence risk. Full article
(This article belongs to the Special Issue Colon and Rectal Surgery: Current Clinical Practice and Future Trends)
Show Figures

Figure 1

19 pages, 1111 KB  
Article
Endoscopic Local Excision (ELE) with Knife-Assisted Resection (KAR) Techniques Followed by Adjuvant Radiotherapy and/or Chemotherapy for Invasive (T1bsm2,3/T2) Early Rectal Cancer: A Multicenter Retrospective Cohort
by George Tribonias, Apostolis Papaefthymiou, Petros Zormpas, Stefan Seewald, Maria Zachou, Federico Barbaro, Michel Kahaleh, Gianluca Andrisani, Shaimaa Elkholy, Mohamed El-Sherbiny, Yoriaki Komeda, Raghavendra Yarlagadda, Georgios Tziatzios, Kareem Essam, Hany Haggag, Gregorios Paspatis and Georgios Mavrogenis
J. Clin. Med. 2024, 13(22), 6951; https://doi.org/10.3390/jcm13226951 - 18 Nov 2024
Viewed by 1862
Abstract
Background: Resected rectal polyps with deep invasion into the submucosa (pT1b-sm2,3) or the muscle layer (pT2) are currently confronted with surgery due to non-curative resection. Aims: We evaluated the efficacy, safety, and locoregional control of adjuvant radiotherapy (RT) and/or chemotherapy (CT) following endoscopic [...] Read more.
Background: Resected rectal polyps with deep invasion into the submucosa (pT1b-sm2,3) or the muscle layer (pT2) are currently confronted with surgery due to non-curative resection. Aims: We evaluated the efficacy, safety, and locoregional control of adjuvant radiotherapy (RT) and/or chemotherapy (CT) following endoscopic KAR (knife-assisted resection) in patients with invasive early rectal cancers who are unwilling or unsuitable for additional surgical resection. Methods: Fifty-one patients with early rectal cancers, pT1b or pT2, underwent post-resection adjuvant RT and/or CT in 15 centers worldwide. “En bloc” macroscopic resection, R0 resection, recurrence rate, and adverse events following resection and adjuvant therapy were recorded in a multicenter retrospective cohort study. Results: Diagnostic staging (38/51, 75%) was the main reason for ELE. Macroscopic “en bloc” resection was demonstrated in 50/51 (98%), with an average follow-up of 20.6 months. Endoscopic recurrence occurred in 7/51 (13.7%) of patients, with mean time for diagnosis of recurrence at 8.9 months. Adjuvant therapy consisted of RT in 49.0% (25/51), CT in 11.8% (6/51), and combined CRT in 39.2% (20/51) of the cases. Perforation, severe post-procedural bleeding, and incontinence were the most frequent complications. The absence of superficial ulceration was associated with macroscopic complete resection, while the lesions with lower budding stage, clear lateral margins, lesion size < 40 mm, and needle-type knife used were associated with less endoscopic recurrencies. Conclusions: Our data investigated adjuvant RT and/or CT after endoscopic KAR of infiltrative rectal cancers (pT1bsm2,3-pT2) as being safe and effective for locoregional control and providing a non-surgical treatment option for patients with a non-curative resection. Full article
Show Figures

Figure 1

13 pages, 1577 KB  
Article
Endoscopic Surveillance after (Procto)Colectomy with Gastrointestinal Reconstruction in Patients with Familial Adenomatous Polyposis (FAP)—Principles, Goals and Practical Aspects Based on 12 Years of Observation
by Jarosław Cwaliński, Wiktoria Zasada, Hanna Cholerzyńska, Wiktoria Andrzejewska, Hanna Michalak, Tomasz Banasiewicz and Jacek Paszkowski
Life 2024, 14(8), 1000; https://doi.org/10.3390/life14081000 - 12 Aug 2024
Cited by 1 | Viewed by 1844
Abstract
(1) Background: Familial adenomatous polyposis (FAP) is a hereditary condition characterized by the development of numerous adenomas in the large intestine, often necessitating colectomy due to an elevated risk of colorectal cancer. Despite surgical intervention, adenomas frequently recur, underscoring the importance of ongoing [...] Read more.
(1) Background: Familial adenomatous polyposis (FAP) is a hereditary condition characterized by the development of numerous adenomas in the large intestine, often necessitating colectomy due to an elevated risk of colorectal cancer. Despite surgical intervention, adenomas frequently recur, underscoring the importance of ongoing surveillance. This study evaluates the outcomes of a 12-year endoscopic follow-up after colectomy and gastrointestinal reconstruction for FAP. (2) Methods: A retrospective analysis was conducted on 41 FAP patients who underwent at least one postoperative endoscopic examination. Assessments of the pouch or rectum were performed every 12–18 months following ileorectal anastomosis and every 18–24 months after ileal pouch–anal anastomosis. Follow-up biopsies were assessed using the adopted Spigelman classification. (3) Results: Postoperative pathology revealed invasive colorectal cancer in three patients. Abdominoperineal resection was performed in two cases due to secondary invasive carcinoma, and one T1 tumor was radically removed with ESD. One patient underwent radical pouch excision following a nodal pelvic recurrence of rectal cancer. Over a 12-year observation period, the mean Spigelman score increased by 2 points, and the proportion of patients with low-grade polypoid lesions decreased. The quantity or size of polyps increased in 24 patients, decreased in 8 patients, and remained stable in 9 patients. In four patients, granular, laterally spreading tumors were discovered in the rectal stump. (4) Conclusions: Regular endoscopic surveillance in FAP patients facilitates early identification of neoplastic and inflammatory changes. The downstaging potential highlights the effectiveness of early interventions. While the Spigelman classification assessed polyps well, it did not predict cancer occurrence. A notable number of patients had invasive cancer at the time of surgery, underscoring the importance of early surgical qualification, which is particularly crucial for identifying upstaging or secondary cancer. Full article
Show Figures

Figure 1

12 pages, 3075 KB  
Article
A Four-Gene Panel in Rectal Swab Samples as a Biomarker for Colorectal Cancer Screening
by Lui Ng, Sunny Kit-Man Wong, Hung-Sing Li, Ryan Wai-Yan Sin, Johnny Hon-Wai Man, Oswens Siu-Hung Lo, Roberta Wen-Chi Pang, Dominic Chi-Chung Foo and Wai-Lun Law
Cells 2024, 13(11), 930; https://doi.org/10.3390/cells13110930 - 28 May 2024
Viewed by 1421
Abstract
Background: The dysregulation of gene expression is one of the key molecular features of colorectal cancer (CRC) development. This study aimed to investigate whether such dysregulation is reflected in rectal swab specimens of CRC patients and to evaluate its potential as a non-invasive [...] Read more.
Background: The dysregulation of gene expression is one of the key molecular features of colorectal cancer (CRC) development. This study aimed to investigate whether such dysregulation is reflected in rectal swab specimens of CRC patients and to evaluate its potential as a non-invasive approach for screening. Methods: We compared the expression level of 14 CRC-associated genes in tumor and adjacent non-tumor tissue of CRC patients and examined the correlation of their levels in tissue with paired rectal swab specimens. The level of these 14 genes in rectal swab specimens was compared among patients with CRC or polyp and control subjects, and the diagnostic potential of each dysregulated gene and the gene panel were evaluated. Results: The expression of CXCR2, SAA, COX1, PPARδ, PPARγ, Groγ, IL8, p21, c-myc, CD44 and CSF1 was significantly higher in CRC, and there was a significant correlation in the levels of most of them between the CRC and rectal swab specimens. In the training study, we showed that CD44, IL8, CXCR2 and c-myc levels were significantly higher in the rectal swab specimens of the CRC patients. Such result was confirmed in the validation study. A panel of these four genes was developed, and ROC analysis showed that this four-gene panel could identify CRC patients with an AUC value of 0.83 and identify overall polyp and precancerous adenoma patients with AUC values of 0.6522 and 0.7322, respectively. Finally, the predictive study showed that the four-gene panel demonstrated sensitivities of 63.6%, 76.9% and 88.9% in identifying overall polyp, precancerous adenoma and CRC patients, respectively, whereas the specificity for normal subjects was 72.2%. Conclusion: The expression of CRC-associated genes in rectal swab specimens reflects the dysregulation status in colorectal tissue, and the four-gene panel is a potential non-invasive biomarker for early precancerous adenoma and CRC screening. Full article
Show Figures

Figure 1

10 pages, 596 KB  
Article
The Outcome of Local Excision of Rectal Adenomas with High-Grade Dysplasia by Transanal Endoscopic Microsurgery: A Single-Center Experience
by Muhammad Khalifa, Rachel Gingold-Belfer and Nidal Issa
J. Clin. Med. 2024, 13(5), 1419; https://doi.org/10.3390/jcm13051419 - 29 Feb 2024
Viewed by 3571
Abstract
Background: Local excision by transanal endoscopic microsurgery (TEM) is considered an acceptable treatment for rectal adenomas with high-grade dysplasia (HGD). This study aims to assess the likelihood of harboring an invasive carcinoma in preoperatively diagnosed HGD polyps and evaluate the risk factors [...] Read more.
Background: Local excision by transanal endoscopic microsurgery (TEM) is considered an acceptable treatment for rectal adenomas with high-grade dysplasia (HGD). This study aims to assess the likelihood of harboring an invasive carcinoma in preoperatively diagnosed HGD polyps and evaluate the risk factors for tumor recurrence in patients with final HGD pathology. Methods: Data from patients who underwent TEM procedures for adenomatous lesions with HGD from 2005 to 2018 at the Rabin Medical Center, Hasharon Hospital, were analyzed. Collected data included patient demographics, preoperative workup, tumor characteristics and postoperative results. Follow-up data including recurrence assessment and further treatments were reviewed. The analysis included two subsets: preoperative pathology of HGD (sub-group 1) and postoperative final pathology of HGD (sub-group 2) patients. Results: Forty-five patients were included in the study. Thirty-six patients had a preoperative diagnosis of HGD, with thirteen (36%) showing postoperative invasive carcinoma. Thirty-two patients had a final pathology of HGD, and three (9.4%) experienced tumor recurrence. Large tumor size (>5 cm) was significantly associated with recurrence (p = 0.03). Conclusions: HGD rectal polyps are associated with a significant risk of invasive cancer. Tumor size was a significant factor in predicting tumor recurrence in patients with postoperative HGD pathology. The TEM procedure is an effective first-line treatment for such lesions. Full article
(This article belongs to the Special Issue Colon and Rectal Surgery: Current Clinical Practice and Future Trends)
Show Figures

Graphical abstract

17 pages, 19703 KB  
Article
A Fuzzy Transformer Fusion Network (FuzzyTransNet) for Medical Image Segmentation: The Case of Rectal Polyps and Skin Lesions
by Ruihua Liu, Siyu Duan, Lihang Xu, Lingkun Liu, Jinshuang Li and Yangyang Zou
Appl. Sci. 2023, 13(16), 9121; https://doi.org/10.3390/app13169121 - 10 Aug 2023
Cited by 10 | Viewed by 2691
Abstract
Skin melanoma, one of the deadliest forms of cancer worldwide, demands precise diagnosis to mitigate cancer-related mortality. While histopathological examination, characterized by its cost-effectiveness and efficiency, remains the primary diagnostic approach, the development of an accurate detection system is pressing due to melanoma’s [...] Read more.
Skin melanoma, one of the deadliest forms of cancer worldwide, demands precise diagnosis to mitigate cancer-related mortality. While histopathological examination, characterized by its cost-effectiveness and efficiency, remains the primary diagnostic approach, the development of an accurate detection system is pressing due to melanoma’s varying sizes, shapes, and indistinct boundaries shared with normal tissues. To address the efficient segmentation of skin melanoma, we propose an innovative hybrid neural network approach in this study. Initially, a fuzzy neural network is constructed using fuzzy logic to preprocess medical images, supplemented by wavelet transformation for image enhancement. Subsequently, the Swin Transformer V2 and ResNet50 networks are introduced to parallelly extract features and apply them to the task of skin melanoma segmentation. Extensive experimental comparisons are conducted with other classic and advanced medical segmentation algorithms on publicly available skin datasets, namely ISIC 2017 and ISIC 2018. Experimental results reveal that our method outperforms the optimal algorithms by 1.3% in the Dice coefficient and 1.3% in accuracy on the ISIC 2018 dataset. The evaluation metrics indicate the effectiveness of the constructed fuzzy block in identifying uncertain lesion boundaries, while the Transformer–CNN branch adeptly extracts global features while accurately capturing underlying details. Additionally, we successfully apply our method to colon polyp segmentation tasks with similar indistinct boundaries, achieving remarkable segmentation outcomes. Full article
Show Figures

Figure 1

18 pages, 2285 KB  
Review
Endoscopic Submucosal Dissection, Endoscopic Mucosal Resection, and Transanal Minimally Invasive Surgery for the Management of Rectal and Anorectal Lesions: A Narrative Review
by Pedro Moreira, Pedro Marílio Cardoso, Guilherme Macedo and João Santos-Antunes
J. Clin. Med. 2023, 12(14), 4777; https://doi.org/10.3390/jcm12144777 - 19 Jul 2023
Cited by 14 | Viewed by 5137
Abstract
Endoscopic submucosal dissection (ESD), endoscopic mucosal resection (EMR), and transanal minimally invasive surgery (TAMIS) are modern techniques that now play a crucial role in the treatment of colorectal lesions. ESD is a minimally invasive endoscopic procedure that allows for the resection of lesions [...] Read more.
Endoscopic submucosal dissection (ESD), endoscopic mucosal resection (EMR), and transanal minimally invasive surgery (TAMIS) are modern techniques that now play a crucial role in the treatment of colorectal lesions. ESD is a minimally invasive endoscopic procedure that allows for the resection of lesions of any size in a single piece, with clear advantages regarding oncological outcomes and recurrences. However, it is a complex technique, requiring high endoscopic skills, expertise, and specialized training, with higher rates of adverse events expected compared with EMR. EMR is another endoscopic technique used to remove superficial gastrointestinal tumors, particularly those that are limited to the mucosal layer. It is a faster and more accessible procedure, with fewer adverse events, although it only allows for an en-bloc resection of lesions measuring 15–20 mm. TAMIS is a minimally invasive surgical technique used to remove rectal tumors, involving the insertion of a single-port device through the anus, allowing for a better visualization and removal of the tumor with minimal disruption. This article reviews the current applications and evidence regarding these techniques, in search for the most adequate treatment for the removal of lesions in the rectum and anorectal junction, as these locations possess distinct characteristics that demand a more specific approach. Full article
(This article belongs to the Special Issue Advances in Minimally Invasive Gastrointestinal Surgery)
Show Figures

Figure 1

9 pages, 415 KB  
Article
Rectal Cancer following Local Excision of Rectal Adenomas with Low-Grade Dysplasia—A Multicenter Study
by Yaron Rudnicki, Nir Horesh, Assaf Harbi, Barak Lubianiker, Eraan Green, Guy Raveh, Moran Slavin, Lior Segev, Haim Gilshtein, Muhammad Khalifa, Alexander Barenboim, Nir Wasserberg, Marat Khaikin, Hagit Tulchinsky, Nidal Issa, Daniel Duek, Shmuel Avital and Ian White
J. Clin. Med. 2023, 12(3), 1032; https://doi.org/10.3390/jcm12031032 - 29 Jan 2023
Cited by 2 | Viewed by 2755
Abstract
Purpose: Rectal polyps with low-grade dysplasia (LGD) can be removed by local excision surgery (LE). It is unclear whether these lesions pose a higher risk for recurrence and cancer development and might warrant an early repeat rectal endoscopy. This study aims to [...] Read more.
Purpose: Rectal polyps with low-grade dysplasia (LGD) can be removed by local excision surgery (LE). It is unclear whether these lesions pose a higher risk for recurrence and cancer development and might warrant an early repeat rectal endoscopy. This study aims to assess the rectal cancer rate following local excision of LGD rectal lesions. Methods: A retrospective multicenter study including all patients that underwent LE for rectal polyps over a period of 11 years was conducted. Demographic, clinical, and surgical data of patients with LGD werecollected and analyzed. Results: Out of 274 patients that underwent LE of rectal lesions, 81 (30%) had a pathology of LGD. The mean patient age was 65 ± 11 years, and 52 (64%) were male. The mean distance from the anal verge was 7.2 ± 4.3 cm, and the average lesion was 3.2 ± 1.8 cm. Full thickness resection was achieved in 68 patients (84%), and four (5%) had involved margins for LGD. Nine patients (11%) had local recurrence and developed rectal cancer in an average time interval of 19.3 ± 14.5 months, with seven of them (78%) diagnosed less than two years after the initial LE. Seven of the nine patients were treated with another local excision, whilst one had a low anterior resection, and one was treated with radiation. The mean follow-up time was 25.3 ± 22.4 months. Conclusions: Locally resected rectal polyps with LGD may carry a significant risk of recurring and developing cancer within two years. This data suggests patients should have a closer surveillance protocol in place. Full article
(This article belongs to the Special Issue Advances in Proctology and Colorectal Surgery)
Show Figures

Figure 1

13 pages, 1239 KB  
Article
The Effect of Low Doses of Acetylsalicylic Acid on the Occurrence of Rectal Aberrant Crypt Foci
by Marek Kowalczyk, Dawid Sigorski, Łukasz Dyśko, Ewa Zieliński, Dana Zupanovich Lucka and Łukasz Klepacki
Medicina 2022, 58(12), 1767; https://doi.org/10.3390/medicina58121767 - 30 Nov 2022
Cited by 1 | Viewed by 2014
Abstract
Background and Objectives: Aberrant crypt foci (ACF) are one of the earliest putative preneoplastic and, in some cases, neoplastic lesions in human colons. Many studies have confirmed the reduction of ACFs and colorectal adenomas after treatment with acetylsalicylic acid (ASA) commonly referred [...] Read more.
Background and Objectives: Aberrant crypt foci (ACF) are one of the earliest putative preneoplastic and, in some cases, neoplastic lesions in human colons. Many studies have confirmed the reduction of ACFs and colorectal adenomas after treatment with acetylsalicylic acid (ASA) commonly referred to as ASA; however, the minimum effective dose of ASA and the duration of use has not been fully elucidated. The objective of our study was to assess the significance of low dose ASA (75-mg internally once daily) to study the chemopreventive effect of ASA in ACF and adenomas development in patients taking this drug for a minimum period of 10 years. Materials and Methods: Colonoscopy, combined with rectal mucosa staining with 0.25% methylene blue, was performed on 131 patients. The number of rectal ACF in the colon was divided into three groups: ACF < 5; ACF 5–10; and ACF > 10. Patients were divided into two groups: the “With ASA” group (the study group subjects taking ASA 75-mg daily for 10 years); and “Without ASA” group (control group subjects not taking ASA chronically). The incidence of different types of rectal ACF and colorectal polyps in both groups of subjects was analysed and ascertained. Results: Normal ACF was found in 12.3% in the study group vs. 87.7% control group, hyperplastic 22.4% vs. 77.6%, dysplastic 25% vs. 75%, mixed 0% vs. 100%. Treatment with ASA affects the occurrence of colorectal adenomas. The amount of dysplastic ACFs was lower in the study group than in the control group. The increase in dysplastic ACFs decreases with age in both groups, with the increase greater in those not taking ASA. Conclusions: Patients who take persistent, chronic (>10 years) low doses of ASA have a lower total number of all types of rectal ACFs and adenomas compared to the control group. Full article
(This article belongs to the Section Gastroenterology & Hepatology)
Show Figures

Figure 1

8 pages, 1786 KB  
Case Report
Obstructive Giant Inflammatory Polyposis as a First Manifestation of Crohn’s Disease: A Case Report
by Andre Bratanic, Bruna Rosic Despalatovic, Berna Pavic, Tina Bozikovic, Zarko Ardalic, Danijel Antonio Grubisic and Katarina Vilovic
Healthcare 2022, 10(10), 1995; https://doi.org/10.3390/healthcare10101995 - 11 Oct 2022
Cited by 1 | Viewed by 2171
Abstract
Colonic inflammatory polyps (pseudopolyps) are common feature of inflammatory bowel diseases. They usually do not grow excessively, rarely reaching more than 15 mm in size, at which point they are termed giant inflammatory polyps. Clinical presentation of these polyps can vary greatly, ranging [...] Read more.
Colonic inflammatory polyps (pseudopolyps) are common feature of inflammatory bowel diseases. They usually do not grow excessively, rarely reaching more than 15 mm in size, at which point they are termed giant inflammatory polyps. Clinical presentation of these polyps can vary greatly, ranging from being completely asymptomatic, usually detected incidentally, to abdominal cramps, rectal bleeding or intestinal obstruction. More importantly, giant inflammatory polyps can be easily mistaken for colonic malignancy, although without having malignant potential themselves. These polyps rarely regress with successful medical treatment of inflammatory bowel diseases and often require surgical treatment. We present an unusual case of giant inflammatory polyps which was the first presentation of inflammatory bowel disease. It was initially mistaken for colonic malignancy with intestinal obstruction, which led to surgical treatment. Full article
Show Figures

Figure 1

8 pages, 2666 KB  
Case Report
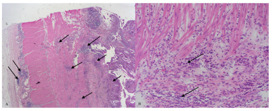
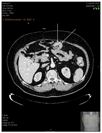
A Rare Case of Multiple Gastrointestinal Stromal Tumors Coexisting with a Rectal Adenocarcinoma in a Patient with Attenuated Familial Adenomatous Polyposis Syndrome and a Mini Review of the Literature
by Daniel Paramythiotis, Filippos Kyriakidis, Eleni Karlafti, Triantafyllia Koletsa, Anastasia Tsakona, Petros Papalexis, Aristeidis Ioannidis, Petra Malliou, Smaro Netta and Antonios Michalopoulos
Medicina 2022, 58(8), 1116; https://doi.org/10.3390/medicina58081116 - 18 Aug 2022
Cited by 4 | Viewed by 2759
Abstract
Background: Multiple gastrointestinal stromal tumors (GISTs) are extremely rare entities that exist either as spontaneous GISTs or as part of various syndromes, such as Carney’s triad and type I neurofibromatosis (NF1). Attenuated familial adenomatous polyposis (AFAP) is a variant of familial adenomatous polyposis [...] Read more.
Background: Multiple gastrointestinal stromal tumors (GISTs) are extremely rare entities that exist either as spontaneous GISTs or as part of various syndromes, such as Carney’s triad and type I neurofibromatosis (NF1). Attenuated familial adenomatous polyposis (AFAP) is a variant of familial adenomatous polyposis (FAP) with a milder clinical presentation. Both GISTs and AFAP have been reported to coexist with colorectal cancer, but the coexistence of GISTs and AFAP has never been reported in the literature before. Case report: A 45-year-old male patient with known AFAP arrived scheduled for a total colectomy and ileo-rectal anastomosis due to the malignancy of one of the previously biopsied polyps of the upper rectum. Intraoperatively, multiple nodular tumors were found at the jejunum within a length of 45 cm, for which an enterectomy and enteroanastomosis were performed. A histopathological examination of the whole colectomy specimen confirmed the presence of multiple polyps in the large intestine along with a rectal invasive adenocarcinoma. At the same time, in the examined part of the small intestine, 15 GISTs sized from 0.5 to 2.0 cm of prognostic group I, were identified. The patient’s postoperative course was uncomplicated. Conclusion: Multiple GISTs may present as an asymptomatic disease, and the same thing is true for colorectal cancer. Therefore, the appropriate screening is crucial for entities such as AFAP, since the surgery was performed because of the malignant transformation in one of the polyps and revealed multiple GISTs, as well. Full article
(This article belongs to the Section Surgery)
Show Figures

Figure 1

8 pages, 983 KB  
Article
Intra- and Interobserver Variability of Shear Wave Elastography in Rectal Cancer
by Martina Kastrup Loft, Malene Roland Vils Pedersen, Peter Grimm, Andreas Hoffmann Lauritzen, Claus Dam and Søren Rafael Rafaelsen
Cancers 2022, 14(11), 2633; https://doi.org/10.3390/cancers14112633 - 26 May 2022
Cited by 4 | Viewed by 2095
Abstract
Background: Endorectal ultrasound (ERUS) is an important tool when evaluating complex rectal adenomas and rectal cancer, and the accuracy is improved by adding elastography measurements. A high interobserver agreement is imperative in clinical practice. Therefore, the aim of this study was to evaluate [...] Read more.
Background: Endorectal ultrasound (ERUS) is an important tool when evaluating complex rectal adenomas and rectal cancer, and the accuracy is improved by adding elastography measurements. A high interobserver agreement is imperative in clinical practice. Therefore, the aim of this study was to evaluate interobserver agreement assessed on real-time images. Additionally, we investigated the intra- and interobserver agreement between experienced and inexperienced observers. Materials and methods: We prospectively included patients referred to an ERUS at the Department of Radiology with a complex rectal polyp or suspected rectal malignancy. Two operators independently scanned each patient in turn. Furthermore, four observers assessed previously obtained images using three different methods for placing the region of interest (ROI). Three months later, the four observers reassessed the images to assess intraobserver variability. Results: A total of 19 patients were included for live assessment. Agreement of tumor classification was substantial for T stage (kappa: 0.86) and fair for N stage (kappa: 0.73), with an absolute agreement for T and N stages of 84% and 89%, respectively. Agreement of SWE was good for Emean (ICC 0.94, 95% CI 0.86–0.98) and fair for Emax (ICC 0.85, 95% CI 0.66–0.94). Intra- and interobserver agreement between inexperienced and experienced observers showed good to excellent agreement with all ROI methods. Conclusion: Interobserver agreement is high in SWE when performed in a clinical setting. We found the best agreement using the mean value of several ROIs. Intra- and interobserver agreement was high regardless of operator experience. Full article
Show Figures

Figure 1

6 pages, 2299 KB  
Case Report
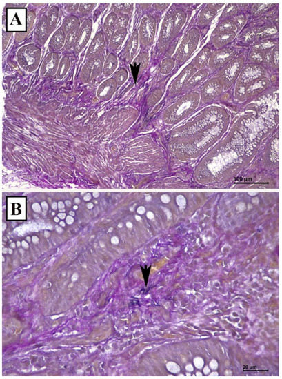
Rectal Polyposis in Mucosal Prolapse Syndrome
by Yin Ping Wong, Connie Kabincong, Mohd Faisal Jabar and Geok Chin Tan
Diagnostics 2022, 12(4), 966; https://doi.org/10.3390/diagnostics12040966 - 12 Apr 2022
Cited by 4 | Viewed by 5730
Abstract
Mucosal prolapse syndrome is also known as solitary rectal ulcer syndrome. It may either presents as an ulcer or polyp, which could mimic other pathological lesions such as juvenile polyp, hyperplastic polyp, adenomatous polyp, polyp related inflammatory bowel disease and adenocarcinoma. It can [...] Read more.
Mucosal prolapse syndrome is also known as solitary rectal ulcer syndrome. It may either presents as an ulcer or polyp, which could mimic other pathological lesions such as juvenile polyp, hyperplastic polyp, adenomatous polyp, polyp related inflammatory bowel disease and adenocarcinoma. It can pose as a diagnostic challenge to both the surgeons and pathologists due to the overlapping gross and histological features. The characteristic histological features of mucosal prolapse syndrome are fibromuscular obliteration of lamina propria and splayed hypertrophic muscularis mucosae. It can occur in a wide range of ages, including children and teenagers. Rectal bleeding is one of the common presenting symptoms. Here, we described two cases of mucosal prolapse syndrome presented as rectal polyposis and provide a discussion on its histological differential diagnosis. Full article
(This article belongs to the Section Pathology and Molecular Diagnostics)
Show Figures

Figure 1

Back to TopTop