Radiological Landmarks for Joint Line Level in Challenging Total Ankle Arthroplasty
Abstract
1. Introduction
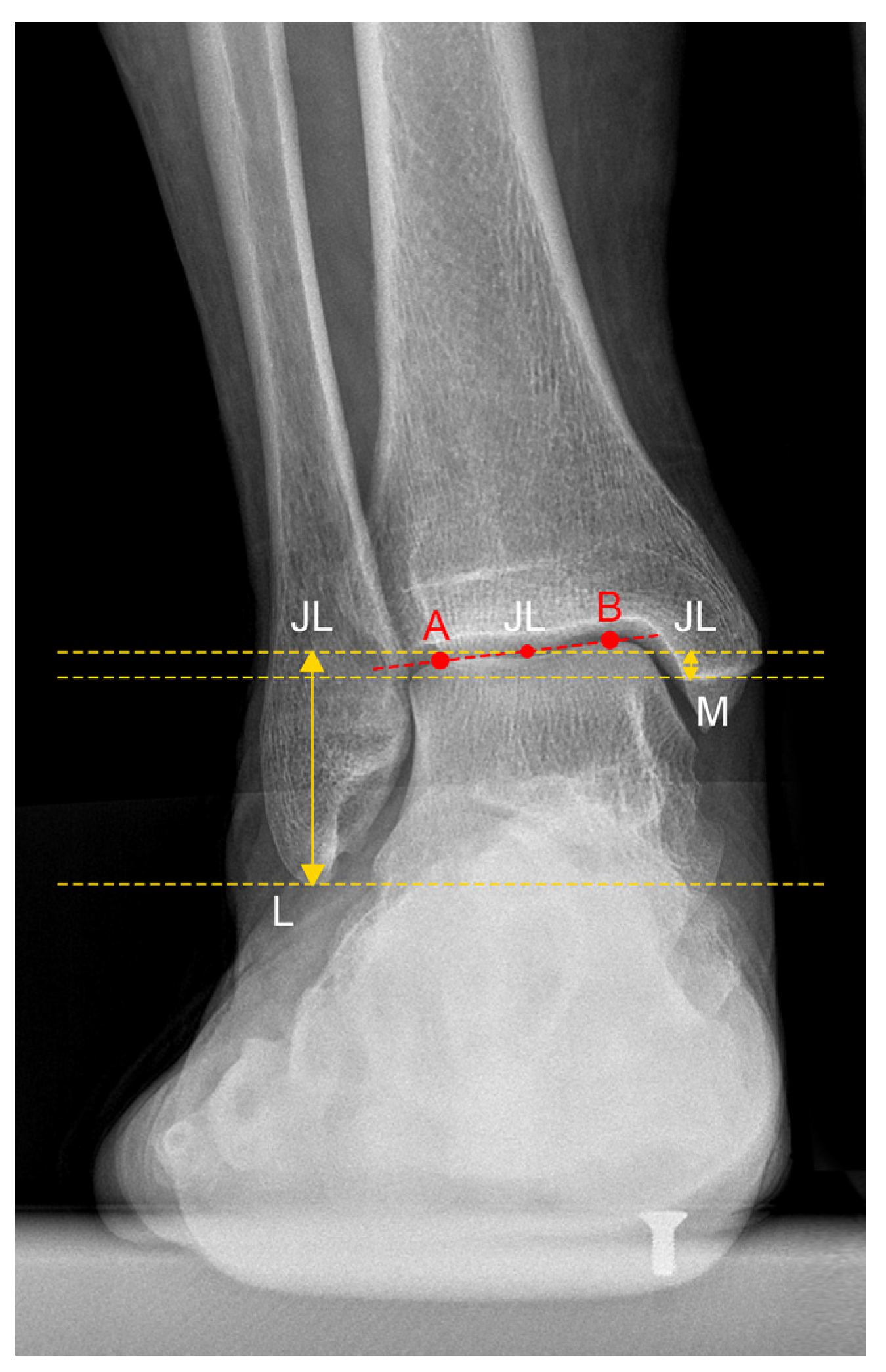
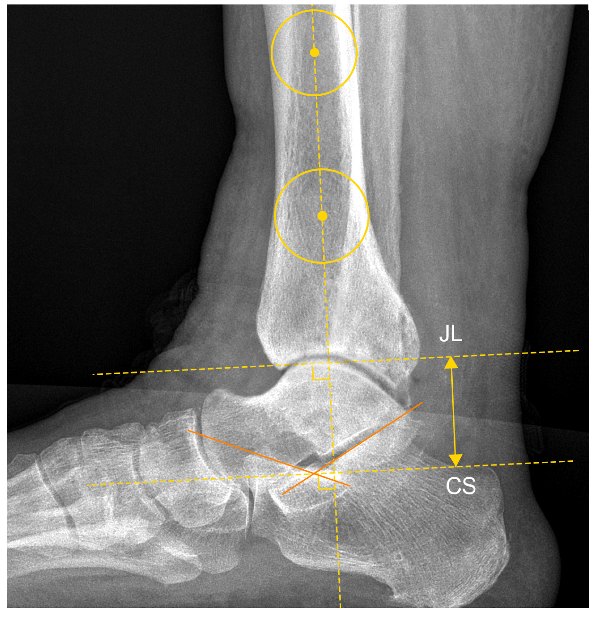
2. Materials and Methods
Statistical Analysis
3. Results
3.1. Patient Demographics
3.2. Complications
3.3. Reliability and Coefficient of Variation Assessment
3.4. Comparison between Customized TAA and Contralateral Ankle
3.5. Correlation Analysis
4. Discussion
5. Conclusions
Author Contributions
Funding
Institutional Review Board Statement
Informed Consent Statement
Data Availability Statement
Conflicts of Interest
References
- Shah, J.A.; Schwartz, A.M.; Farley, K.X.; Mahmoud, K.; Attia, A.K.; Labib, S.; Kadakia, R.J. Projections and Epidemiology of Total Ankle and Revision Total Ankle Arthroplasty in the United States to 2030. Foot Ankle Spec. 2022, 14, 19386400221109420. [Google Scholar] [CrossRef]
- Hodel, S.; Calek, A.K.; Cavalcanti, N.; Fucentese, S.F.; Vlachopoulos, L.; Viehöfer, A.; Wirth, S.H. A novel approach for joint line restoration in revision total ankle arthroplasty based on the three-dimensional registration of the contralateral tibia and fibula. J. Exp. Ortop. 2023, 10, 10. [Google Scholar] [CrossRef] [PubMed]
- Suh, D.H.; Han, K.; Lee, J.W.; Kim, H.J.; Kim, B.; Koo, B.M.; Kim, H.K.; Choi, G.W. Risk factors associated with failure of total ankle arthroplasty: A nationwide cohort study. Sci. Rep. 2021, 11, 2878. [Google Scholar] [CrossRef] [PubMed]
- Escudero, M.I.; Le, V.; Barahona, M.; Symes, M.; Wing, K.; Younger, A.; Veljkovic, A.; Penner, M. Total Ankle Arthroplasty Survival and Risk Factors for Failure. Foot Ankle Int. 2019, 40, 997–1006. [Google Scholar] [CrossRef] [PubMed]
- Faldini, C.; Mazzotti, A.; Langone, L.; Arceri, A.; Bonelli, S.; Zielli, S.O.; Artioli, E. Custom-made total ankle arthroplasty with patient-specific instrumentation for severe bone loss conditions: A case series. Eur. J. Orthop. Surg. Traumatol. 2023, 34, 379–387. [Google Scholar] [CrossRef] [PubMed]
- West, T.A.; Rush, S.M. Total Talus Replacement: Case Series and Literature Review. J. Foot Ankle Surg. 2021, 60, 187–193. [Google Scholar] [CrossRef] [PubMed]
- Mu, M.D.; Yang, Q.D.; Chen, W.; Tao, X.; Zhang, C.K.; Zhang, X.; Xie, M.M.; Tang, K.L. Three dimension printing talar prostheses for total replacement in talar necrosis and collapse. Int. Orthop. 2021, 45, 2313–2321. [Google Scholar] [CrossRef] [PubMed]
- Taniguchi, A.; Takakura, Y.; Tanaka, Y.; Kurokawa, H.; Tomiwa, K.; Matsuda, T.; Kumai, T.; Sugimoto, K. An Alumina Ceramic Total Talar Prosthesis for Osteonecrosis of the Talus. J. Bone Jt. Surg. Am. 2015, 97, 1348–1353. [Google Scholar] [CrossRef] [PubMed]
- Harnroongroj, T.; Hummel, A.; Ellis, S.J.; Sofka, C.M.; Caolo, K.C.; Deland, J.T.; Demetracopoulos, C.A. Assessing the Ankle Joint Line Level Before and After Total Ankle Arthroplasty with the “Joint Line Height Ratio”. Foot Ankle Orthop. 2019, 4, 2473011419884359. [Google Scholar] [CrossRef]
- Calek, A.-K.; Hodel, S.; Hochreiter, B.; Viehöfer, A.; Fucentese, S.; Wirth, S.; Vlachopoulos, L. Restoration of the patient-specific anatomy of the distal fibula based on a novel three-dimensional contralateral registration method. J. Exp. Orthop. 2022, 9, 48. [Google Scholar] [CrossRef]
- Brown, T.D.; Johnston, R.C.; Saltzman, C.L.; Marsh, J.L.; Buckwalter, J.A. Posttraumatic osteoarthritis: A first estimate of incidence, prevalence, and burden of disease. J. Orthop. Trauma 2006, 20, 739–744. [Google Scholar] [CrossRef] [PubMed]
- Saltzman, C.L.; Salamon, M.L.; Blanchard, G.M.; Huff, T.; Hayes, A.; Buckwalter, J.A.; Amendola, A. Epidemiology of ankle arthritis: Report of a consecutive series of 639 patients from a tertiary orthopaedic center. Iowa Orthop. J. 2005, 25, 44–46. [Google Scholar] [PubMed]
- Fletcher, A.N.; Campbell, J.T.; Maloney, P.J.; Cerrato, R.A.; Jeng, C.L. The Effect of Tibiotalar Joint Line Level Alterations on Tibiotalar Range of Motion Following Total Ankle Arthroplasty. Foot Ankle Int. 2024, 45, 20–29. [Google Scholar] [CrossRef]
- Mazzotti, A.; Arceri, A.; Zielli, S.; Bonelli, S.; Viglione, V.; Faldini, C. Patient-specific instrumentation in total ankle arthroplasty. WJO 2022, 13, 230–237. [Google Scholar] [CrossRef]
- Hussain, R.M. Metallic 3D Printed Total Talus Replacement: A Case Study. J. Foot Ankle Surg. 2021, 60, 634–641. [Google Scholar] [CrossRef] [PubMed]
- Hofmann, A.A.; Kurtin, S.M.; Lyons, S.; Tanner, A.M.; Bolognesi, M.P. Clinical and Radiographic Analysis of Accurate Restoration of the Joint Line in Revision Total Knee Arthroplasty. J. Arthroplast. 2006, 21, 1154–1162. [Google Scholar] [CrossRef]
- Shnol, H.; LaPorta, G.A. 3D Printed Total Talar Replacement. Clin. Podiatr. Med. Surg. 2018, 35, 403–422. [Google Scholar] [CrossRef] [PubMed]
- Palma, J.; Shaffrey, I.; Kim, J.; Cororaton, A.; Henry, J.; Ellis, S.J.; Demetracopoulos, C.A. Influence of Joint Line Level on Clinical Outcomes and Range of Motion in Total Ankle Arthroplasty. Foot Ankle Int. 2024, 45, 10–19. [Google Scholar] [CrossRef] [PubMed]
- Figgie, H.E.; Goldberg, V.M.; Heiple, K.G.; Moller, H.S.; Gordon, N.H. The influence of tibial-patellofemoral location on function of the knee in patients with the posterior stabilized condylar knee prosthesis. J. Bone Jt. Surg. Am. 1986, 68, 1035–1040. [Google Scholar] [CrossRef]
- Laskin, R.S. Management of the patella during revision total knee replacement arthroplasty. Orthop. Clin. N. Am. 1998, 29, 355–360. [Google Scholar] [CrossRef]
- Hoeffel, D.P.; Rubash, H.E. Revision total knee arthroplasty: Current rationale and techniques for femoral component revision. Clin. Orthop. Relat. Res. 2000, 380, 116–132. [Google Scholar] [CrossRef]
- Yoshii, I.; Whiteside, L.A.; White, S.E.; Milliano, M.T. Influence of prosthetic joint line position on knee kinematics and patellar position. J. Arthroplast. 1991, 6, 169–177. [Google Scholar] [CrossRef] [PubMed]
- Servien, E.; Viskontas, D.; Giuffrè, B.M.; Coolican, M.R.J.; Parker, D.A. Reliability of bony landmarks for restoration of the joint line in revision knee arthroplasty. Knee Surg. Sports Traumatol. Arthrosc. 2008, 16, 263–269. [Google Scholar] [CrossRef]
- Laskin, R.S. Joint line position restoration during revision total knee replacement. Clin. Orthop. Relat. Res. 2002, 404, 169–171. [Google Scholar] [CrossRef] [PubMed]
- Knapp, P.W.; Scuderi, G.R. Anatomic Referencing Restores the Anatomy of the Distal Femur with Less Compromise. J. Knee Surg. 2024, 37, 114–120. [Google Scholar] [CrossRef]
- Bieger, R.; Huch, K.; Kocak, S.; Jung, S.; Reichel, H.; Nassar, S.; Kappe, T. Correction to: The influence of joint line restoration on the results of revision total knee arthroplasty: Comparison between distance and ratio-methods. Arch. Orthop. Trauma Surg. 2023, 143, 5455. [Google Scholar] [CrossRef] [PubMed]
- Luyckx, T.; Beckers, L.; Colyn, W.; Vandenneucker, H.; Bellemans, J. The adductor ratio: A new tool for joint line reconstruction in revision TKA. Knee Surg. Sports Traumatol. Arthrosc. 2014, 22, 3028–3033. [Google Scholar] [CrossRef] [PubMed]
- Bischoff, A.; Stone, R.; Dao, T.; Anderson, S.; Hill, Z.; Steginsky, B.; Mendicino, R. Functional Outcomes and Complications Associated with Total Talus Arthroplasty: A Systematic Review. Foot Ankle Spec. 2023, 16, 259–266. [Google Scholar] [CrossRef]
- Nakasa, T.; Adachi, N.; Kato, T.; Ochi, M. Correlation Between Subchondral Bone Plate Thickness and Cartilage Degeneration in Osteoarthritis of the Ankle. Foot Ankle Int. 2014, 35, 1341–1349. [Google Scholar] [CrossRef]
- Nuki, G. Osteoarthritis: A problem of joint failure. Z. Rheumatol. 1999, 58, 142–147. [Google Scholar] [CrossRef]









| Patients | Age | Sex | Surgical indication |
|---|---|---|---|
| 1 | 56 | M | Post-traumatic |
| 2 | 57 | F | Implant revision (septic loosening) |
| 3 | 50 | M | Post-traumatic |
| 4 | 45 | M | Post-traumatic |
| 5 | 30 | M | Post-traumatic |
| 6 | 58 | M | Implant revision (septic loosening) |
| 7 | 42 | M | Post-traumatic |
| 8 | 49 | F | Post-traumatic |
| 9 | 69 | F | Implant revision (aseptic loosening) |
| 10 | 49 | M | Post-traumatic |
| 11 | 58 | M | Implant revision (septic loosening) |
| 12 | 62 | F | Post-traumatic |
| 13 | 56 | M | Post-traumatic |
| Radiological Parameter | Mean ± Standard Deviation | Median | Range | Coefficient of Variation (%) |
|---|---|---|---|---|
| JLHR 1 | 2.23 ± 0.54 | 1.94 | 1.64–3.44 | 24.3% |
| LM-JL 2 distance | 2.30 ± 0.39 cm | 2.12 cm | 1.78–3.19 cm | 17.0% |
| MM-JL 3 distance | 1.21 ± 0.30 cm | 1.11 cm | 0.89–1.78 cm | 24.9% |
| CS-JL 4 distance | 3.82 ± 0.51 cm | 3.87 cm | 2.94–4.53 cm | 13.4% |
| JLHR 1 (contralateral) | 1.95 ± 0.54 | 1.92 | 1.49–3.54 | 27.7% |
| LM-JL 2 distance (contralateral) | 2.21 ± 0.26 cm | 2.12 cm | 1.84–2.81 cm | 11.8% |
| MM-JL 3 distance (contralateral) | 1.00 ± 0.20 cm | 0.92 cm | 0.76–1.42 cm | 20.3% |
| CS-JL 4 distance (contralateral) | 4.04 ± 0.32 cm | 4.06 cm | 3.46–4.53 cm | 7.8% |
| LM-JL 1 | MM-JL 2 | CS-JL 3 | LM-JL 1 (Contralateral) | MM-JL 2 (Contralateral) | ||
|---|---|---|---|---|---|---|
| MM-JL 2 | Pearson R | 0.546 | — | 0.195 | ||
| p-value | 0.054 | — | 0.524 | |||
| CS-JL 3 | Pearson R | 0.497 | 0.679 | — | 0.387 | |
| p-value | 0.084 | 0.011 * | — | 0.191 | ||
| LM-JL 1 (contralateral) | Pearson R | 0.026 | 0.195 | 0.387 | — | |
| p-value | 0.933 | 0.524 | 0.191 | — | ||
| MM-JL 2 (contralateral) | Pearson R | −0.547 | −0.398 | −0.205 | −0.245 | — |
| p-value | 0.053 | 0.177 | 0.502 | 0.420 | — | |
| CS-JL 3 (contralateral) | Pearson R | 0.183 | 0.110 | 0.561 | 0.207 | 0.112 |
| p-value | 0.549 | 0.722 | 0.046 * | 0.497 | 0.716 |
Disclaimer/Publisher’s Note: The statements, opinions and data contained in all publications are solely those of the individual author(s) and contributor(s) and not of MDPI and/or the editor(s). MDPI and/or the editor(s) disclaim responsibility for any injury to people or property resulting from any ideas, methods, instructions or products referred to in the content. |
© 2024 by the authors. Licensee MDPI, Basel, Switzerland. This article is an open access article distributed under the terms and conditions of the Creative Commons Attribution (CC BY) license (https://creativecommons.org/licenses/by/4.0/).
Share and Cite
Zielli, S.O.; Mazzotti, A.; Artioli, E.; Arceri, A.; Sgubbi, F.; Langone, L.; Abdi, P.; Faldini, C. Radiological Landmarks for Joint Line Level in Challenging Total Ankle Arthroplasty. J. Clin. Med. 2024, 13, 4451. https://doi.org/10.3390/jcm13154451
Zielli SO, Mazzotti A, Artioli E, Arceri A, Sgubbi F, Langone L, Abdi P, Faldini C. Radiological Landmarks for Joint Line Level in Challenging Total Ankle Arthroplasty. Journal of Clinical Medicine. 2024; 13(15):4451. https://doi.org/10.3390/jcm13154451
Chicago/Turabian StyleZielli, Simone Ottavio, Antonio Mazzotti, Elena Artioli, Alberto Arceri, Federico Sgubbi, Laura Langone, Pejman Abdi, and Cesare Faldini. 2024. "Radiological Landmarks for Joint Line Level in Challenging Total Ankle Arthroplasty" Journal of Clinical Medicine 13, no. 15: 4451. https://doi.org/10.3390/jcm13154451
APA StyleZielli, S. O., Mazzotti, A., Artioli, E., Arceri, A., Sgubbi, F., Langone, L., Abdi, P., & Faldini, C. (2024). Radiological Landmarks for Joint Line Level in Challenging Total Ankle Arthroplasty. Journal of Clinical Medicine, 13(15), 4451. https://doi.org/10.3390/jcm13154451

