Sign in to use this feature.

Years

Between: -

Subjects

remove_circle_outline
remove_circle_outline
remove_circle_outline
remove_circle_outline
remove_circle_outline
remove_circle_outline
remove_circle_outline

Journals

remove_circle_outline
remove_circle_outline
remove_circle_outline
remove_circle_outline
remove_circle_outline
remove_circle_outline
remove_circle_outline
remove_circle_outline

Article Types

Countries / Regions

remove_circle_outline
remove_circle_outline
remove_circle_outline
remove_circle_outline

Search Results (477)

Search Parameters:
Keywords = pacemaker implantation

Order results
Result details
Results per page
Select all
Export citation of selected articles as:
13 pages, 3005 KB  
Review
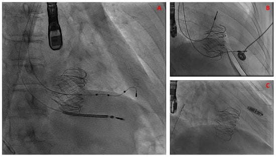
Transcatheter Aortic Valve Implantation for Pure Aortic Regurgitation
by Samuel Norman, Noman Ali and Daniel Blackman
J. Clin. Med. 2026, 15(9), 3206; https://doi.org/10.3390/jcm15093206 (registering DOI) - 22 Apr 2026
Abstract
Transcatheter aortic valve implantation (TAVI) has transformed the management of severe aortic stenosis (AS), evolving from a therapy reserved for inoperable patients to a viable treatment across the spectrum of surgical risk. This success has stimulated innovation in transcatheter therapies for other valvular [...] Read more.
Transcatheter aortic valve implantation (TAVI) has transformed the management of severe aortic stenosis (AS), evolving from a therapy reserved for inoperable patients to a viable treatment across the spectrum of surgical risk. This success has stimulated innovation in transcatheter therapies for other valvular heart diseases, including aortic regurgitation (AR). In contrast to AS, AR is characterised by heterogeneous aetiologies, absence of annular calcification, larger and more elliptical annular dimensions, and concomitant aortopathy. These challenges have limited the efficacy and safety of conventional transcatheter aortic valves (TAVs), use of which in pure native AR is associated with high rates of valve embolisation, significant residual regurgitation, permanent pacemaker implantation, and mortality. The development of dedicated TAVs designed specifically for the treatment of AR has addressed many of these anatomical challenges. The JenaValve Trilogy and J-Valve systems incorporate leaflet-grasping mechanisms that enable secure anchoring independent of calcification, resulting in transformation of procedural and clinical outcomes. Recent prospective registry data, including the landmark ALIGN-AR trial, demonstrate high technical and procedural success rates, low residual regurgitation, acceptable safety profiles, and meaningful improvements in functional status and ventricular remodelling. These data have informed contemporary guideline updates, with the 2025 European Society of Cardiology (ESC)/European Association of Cardiothoracic Surgery (EACTS) Guidelines for the management of valvular heart disease issuing the first conditional recommendation for TAVI in selected patients with severe AR and the National Institute for Health and Care Excellence (NICE) recommending TAVI for native AR in patients for whom surgical AVR is not available or is high risk. This review summarises the clinical implications of AR, examines current guideline recommendations for management, and critically appraises the evidence supporting transcatheter treatment strategies. Full article
(This article belongs to the Special Issue Clinical Insights and Advances in Structural Heart Disease)
20 pages, 13754 KB  
Review
Surgical and Transcatheter Tricuspid Valve Interventions: An Electrophysiology-Focused Review
by Kevin S. Tang, Mark W. Abdelnour, Robert M. Tungate, Christina Mansour, Fabio Sagebin, Antonio H. Frangieh and David M. Donaldson
J. Cardiovasc. Dev. Dis. 2026, 13(4), 172; https://doi.org/10.3390/jcdd13040172 - 19 Apr 2026
Viewed by 126
Abstract
Increasing recognition of the clinical impact of isolated tricuspid regurgitation has led to rapid expansion of surgical and transcatheter tricuspid valve interventions. Given the close anatomic relationship between the tricuspid valve and the atrioventricular conduction system, both surgical and transcatheter approaches carry a [...] Read more.
Increasing recognition of the clinical impact of isolated tricuspid regurgitation has led to rapid expansion of surgical and transcatheter tricuspid valve interventions. Given the close anatomic relationship between the tricuspid valve and the atrioventricular conduction system, both surgical and transcatheter approaches carry a significant risk of new conduction disturbances and permanent pacemaker implantation. A three-dimensional understanding of the atrioventricular conduction axis is essential to anticipate and mitigate these complications. This review provides a comprehensive overview of conduction system anatomy and physiology in the context of tricuspid valve interventions, highlighting the mechanisms underlying procedure-related conduction abnormalities. We also discuss contemporary management strategies, including approaches to pre-existing transvalvular leads, valve-sparing pacing alternatives, and the evolving role of electrophysiologists within the multidisciplinary heart team. Full article
(This article belongs to the Section Electrophysiology and Cardiovascular Physiology)
Show Figures

Graphical abstract

23 pages, 5658 KB  
Article
Evaluation of the Effectiveness of a Novel Wireless Energy-Transmitting Implantable Diaphragm Pacemaker in Anesthetized Pigs
by Xiaoyu Gu, Wei Zhong, Zhihao Mao, Yan Shi and Yixuan Wang
Bioengineering 2026, 13(4), 469; https://doi.org/10.3390/bioengineering13040469 - 16 Apr 2026
Viewed by 257
Abstract
Objectives: This study aimed to demonstrate the feasibility of a novel wireless energy-transmitting implantable diaphragm pacemaker for restoring respiratory ventilation. Methods: The diaphragm pacing (DP) system was designed based on the principle of electromagnetic resonance coupling. The safety of device implantation was analyzed [...] Read more.
Objectives: This study aimed to demonstrate the feasibility of a novel wireless energy-transmitting implantable diaphragm pacemaker for restoring respiratory ventilation. Methods: The diaphragm pacing (DP) system was designed based on the principle of electromagnetic resonance coupling. The safety of device implantation was analyzed through finite-element simulations of multi-field coupling between electromagnetic heating and biological tissue. In vitro testing with coils embedded in pork demonstrated the system output characteristics. This device was used in miniature Bama pigs that underwent deep anesthesia and respiratory arrest (N = 8). Respiratory airflow, diaphragmatic displacement, and blood gases were used to evaluate the effectiveness of the designed DP system. Results: Thermal effect simulation results show that the temperature rise of the surrounding tissue does not exceed 2 °C during 1 h of transmission power (0.5–1.3 W) operation of the receiver. In vitro tests with two receivers embedded in pork showed that the DP system can effectively output stimulation waveforms over a certain transmission distance (5–35 mm). The stimulation waveform output by the receiver is consistent with the parameters set by the external controller. In phrenic nerve electrical stimulation experiments, the peak respiratory airflow and tidal volume remained stable over 50 consecutive respiratory cycles. The tidal volume (108.63 mL) and diaphragmatic displacement (0.883–2.15 cm) in a pig induced by DP demonstrate the effectiveness of respiratory ventilation. The arterial blood gas analysis results and temperature rise experiment during implantation further confirmed the effectiveness and safety of the ventilation. Conclusions: The implantable diaphragmatic pacemaker developed in this study exhibits good thermal safety, stable output, and effective respiratory ventilation. A control group with commercial diaphragmatic pacemakers and data from chronic implantation experiments are needed to further evaluate its effectiveness. Full article
(This article belongs to the Special Issue Advances in Neural Interface Techniques and Applications)
Show Figures

Figure 1

13 pages, 851 KB  
Article
Angiopoietin-2 and Growth Differentiation Factor-15 as Predictors of Device-Detected Atrial Fibrillation Burden
by Valentin Bilgeri, Philipp Spitaler, Jasmina Gavranovic-Novakovic, Theresa Dolejsi, Patrick Rockenschaub, Moritz Messner, Marc Michael Zaruba, Fabian Barbieri, Agne Adukauskaite, Markus Stühlinger, Bernhard Erich Pfeifer, Pietro Lacaita, Gudrun Feuchtner, Peter Willeit, Axel Bauer and Wolfgang Dichtl
Biomedicines 2026, 14(4), 902; https://doi.org/10.3390/biomedicines14040902 - 16 Apr 2026
Viewed by 243
Abstract
Background: Pacemakers enable continuous long-term surveillance of atrial fibrillation detected by implanted devices. Circulating biomarkers reflecting endothelial dysfunction, inflammation, and myocardial stress may help identify patients at risk for atrial fibrillation (AF) progression and higher arrhythmic burden. Methods: This analysis included [...] Read more.
Background: Pacemakers enable continuous long-term surveillance of atrial fibrillation detected by implanted devices. Circulating biomarkers reflecting endothelial dysfunction, inflammation, and myocardial stress may help identify patients at risk for atrial fibrillation (AF) progression and higher arrhythmic burden. Methods: This analysis included patients from the prospective ACaSA study (NCT05127720) with a dual chamber pacemaker (Microport® BOREA DR or TEO DR) and monitored weekly via remote monitoring technology (SMARTVIEW®). Individuals with permanent AF or single-chamber systems were excluded. Baseline plasma concentrations of angiopoietin-2 (ANGPT2), growth differentiation factor-15 (GDF-15), fibroblast growth factor-23 (FGF-23), bone morphogenetic protein-10 (BMP10), and tumor necrosis factor–related apoptosis-inducing ligand receptor-2 (TRAIL-R2) were quantified using enzyme-linked immunosorbent assays. N-terminal pro-B-type natriuretic peptide (NT-proBNP) was measured using electrochemiluminescence immunoassay. Biomarkers were log2-transformed, with values below assay detection limits imputed at half the lower limit of detection. Two endpoints were assessed following a 30-day blanking period: (1) progression to persistent AF, defined as ≥7 consecutive days with >99% daily AF burden, analyzed using Cox regression; and (2) AF burden, calculated as total AF time normalized to monitored days and categorized as <25%, 25–75%, or >75%, analyzed using multinomial logistic regression. Multivariable models were adjusted for age, sex, heart failure, diabetes, and prior myocardial infarction; Cox models were limited to age, sex, and heart failure due to fewer events. Results: A total of 223 patients were included (median age 75 years; 37.2% women). During follow-up, 28 patients (13.3%) progressed to persistent AF. Higher baseline ANGPT2 was the strongest predictor of progression (HR per doubling 1.83, 95% CI 1.27–2.66, p = 0.001), followed by GDF-15 (HR 1.52, 95% CI 1.03–2.24, p = 0.036). In the burden analysis, ANGPT2 demonstrated a pronounced graded relationship with arrhythmic load, with markedly increased odds of high (>75%) AF burden (OR 8.31, 95% CI 2.63–26.26, p < 0.001). GDF-15 independently predicted both medium (OR 2.05, p = 0.025) and high burden (OR 2.32, p = 0.037). NT-proBNP displayed a borderline association with high burden (OR 2.02, p = 0.061). No significant associations were observed for FGF-23, BMP10, or TRAIL-R2. Conclusions: In continuously monitored pacemaker patients, ANGPT2 and GDF-15 emerged as key biomarkers associated with AF disease severity. ANGPT2 was strongly linked to both progression to persistent AF and high AF burden, whereas GDF-15 consistently predicted higher AF burden and also contributed to risk of progression. These findings highlight endothelial and inflammatory pathways as potential markers of atrial disease progression. Full article
(This article belongs to the Section Cell Biology and Pathology)
Show Figures

Figure 1

10 pages, 1011 KB  
Article
Radiotherapy in Patients with Cardiac Implantable Devices: A Single-Centre Retrospective Observational Analysis of Local Guidelines
by Ellen Saghie, Roshni Manoj, Lloyd Tudor, Stuart Sandey, Catriona Buchan and Muzahir Tayebjee
J. Clin. Med. 2026, 15(8), 2869; https://doi.org/10.3390/jcm15082869 - 10 Apr 2026
Viewed by 269
Abstract
Background: The aim of this study is to determine the safety of a locally implemented Standard of Practice (SOP) in patients with cardiac implantable electronic devices (CIEDs). With increasing use of radiotherapy in cancer treatment and the widespread adaptation of CIEDs, the British [...] Read more.
Background: The aim of this study is to determine the safety of a locally implemented Standard of Practice (SOP) in patients with cardiac implantable electronic devices (CIEDs). With increasing use of radiotherapy in cancer treatment and the widespread adaptation of CIEDs, the British Heart Rhythm Society introduced new guidance in 2025. There remains ambiguity between various international, as well as manufacturer, guidelines on the management of these patients. Methods: This was a retrospective single-centre observational study analysing patients with CIEDs receiving radiotherapy after the implementation of our Standard of Practice in 2021. Patients were identified using the Cardiobase system. Patients were divided into non-pacemaker-dependent, pacemaker-dependent and implantable-cardioverter–defibrillator (ICD) groups. Lead sensing and impedance values were gathered pre- and post-treatment and analysed using a paired Student’s T-test. Results: A total of 320 patients were included in this study. There were no statistically significant changes in lead sensing capabilities in any of the groups pre- and post-radiotherapy with a p value of >0.05. There were no statistically significant changes in lead impedance in the ICD and non-pacemaker-dependent groups. Although statistically significant (p = 0.039), there was no clinically significant reduction in atrial lead impedance in the pacemaker-dependent cohort. Conclusions: From the obtained results, we can conclude that our locally implemented SOP is a safe alternative to BHRS guidelines. Full article
(This article belongs to the Section Cardiology)
Show Figures

Figure 1

16 pages, 2796 KB  
Article
A Multi-Center Trained Residual Neural Network for Robust Classification of Atrial High-Rate Episodes in Remotely Monitored Pacemakers and Defibrillators
by Lars van Krimpen, Arlene John, Anand Thiyagarajah, Tanner Carbonati, Benjamin Sacristan, Karim Benali, Antoine Da Costa, Pierre Mondoly, Rémi Chauvel, Romain Eschalier, Josselin Duchateau, Remi Dubois, Sylvain Ploux, Pierre Bordachar and Marc Strik
Sensors 2026, 26(7), 2241; https://doi.org/10.3390/s26072241 - 4 Apr 2026
Viewed by 451
Abstract
Remote monitoring of pacemakers and defibrillators increases patient safety but also increases clinical workload. Review of atrial high-rate episodes is particularly demanding as episodes can contain atrial tachycardia or atrial fibrillation (AT/AF), noise, or far-field oversensing (FFO). Automatic review of atrial high-rate episodes [...] Read more.
Remote monitoring of pacemakers and defibrillators increases patient safety but also increases clinical workload. Review of atrial high-rate episodes is particularly demanding as episodes can contain atrial tachycardia or atrial fibrillation (AT/AF), noise, or far-field oversensing (FFO). Automatic review of atrial high-rate episodes by an Artificial Intelligence (AI) model can decrease the workload of remote monitoring, provided it maintains high sensitivity for true atrial tachycardia. A residual network is trained using a center-level fourfold cross validation. The four resulting models achieved a precision of 97.2–99.4% for AT/AF, 93.1–97.7% for noise, and 75.4–94.4% for FFO, while maintaining high sensitivity 98.9–99.3% for AT/AF. The four models were combined through averaging prediction probabilities to create an ensemble model. Thresholding ensemble predictions with probability > 95% resulted in a robust ensemble model that made only two errors (<0.1%) after reviewing 3925 episodes (91.9%) of the total 4271 episodes. This shows how AI models can reliably assist in remote monitoring. Future research should be aimed at classification models for other episode types and clinical validation of AI models to assist remote monitoring of pacemakers and defibrillators. Full article
(This article belongs to the Special Issue Machine Learning in Biomedical Signal Processing)
Show Figures

Figure 1

8 pages, 2155 KB  
Case Report
Twiddler’s Syndrome: Predictors, Prevention, and Outcomes in a Case Series
by Cian Murray, Abdullahi Khair and Solomon Asgedom
Hearts 2026, 7(2), 11; https://doi.org/10.3390/hearts7020011 - 30 Mar 2026
Viewed by 334
Abstract
Background/Objectives: Twiddler’s syndrome is an uncommon but clinically important complication of implantable cardiac devices, in which generator rotation within the pocket results in lead torsion, lead retraction, and device malfunction. Recurrence can necessitate repeated surgical intervention and may be preventable through early risk [...] Read more.
Background/Objectives: Twiddler’s syndrome is an uncommon but clinically important complication of implantable cardiac devices, in which generator rotation within the pocket results in lead torsion, lead retraction, and device malfunction. Recurrence can necessitate repeated surgical intervention and may be preventable through early risk identification and procedural strategies. Methods: We describe a single-centre case series of three female patients with pacemaker-associated Twiddler’s syndrome. Clinical presentation, timing of lead retraction, management strategies (including pocket location and fixation approach), recurrence, and follow-up outcomes were reviewed. Results: All patients were older women and developed symptomatic device failure early after implantation, with radiographic confirmation of lead retraction and coiling occurring within three weeks in all cases. Recurrence was observed when enhanced preventive measures were not employed. Notably, in one patient, recurrence occurred after an initial revision in a second prepectoral pocket, prompting subsequent reimplantation in a subpectoral location with reinforced fixation and structured patient and family counselling, after which no further recurrence occurred at one year. In the remaining cases, revision with reinforced generator fixation and counselling was associated with stable lead position and satisfactory device function during follow-up. Conclusions: Twiddler’s syndrome most commonly presents in the first weeks following implantation. Proactive identification of at-risk patients and consideration of reinforced fixation and pocket strategies at the index procedure may reduce recurrence and avoid repeat interventions. Full article
Show Figures

Figure 1

13 pages, 685 KB  
Article
Performance of XL Sizes of Myval Balloon-Expandable Valve in Real-World Patients with Extremely Large Aortic Annuli
by Kasparas Briedis, Kristina Morkūnaitė, Norvydas Zapustas, Evelina Zarambaitė, Žilvinas Krivickas, Sandra Kmitaitė, Agnė Rimkutė, Klaudija Tvaronavičiūtė, Kamilija Briedė, Urtė Lukauskaitė, Monika Biesevičienė, Tsung-Ying Tsai, Ali Aldujeli, Jurgita Plisienė, Ramūnas Unikas, Remigijus Žaliūnas and Lina Bardauskienė
Medicina 2026, 62(3), 585; https://doi.org/10.3390/medicina62030585 - 20 Mar 2026
Viewed by 394
Abstract
Background and Objectives: Transcatheter aortic valve replacement (TAVR) in large aortic annuli poses challenges due to limited valve-size options and increased complication risks. The aim is to evaluate the safety and performance of XL sizes (30.5 mm and 32 mm) of the Myval [...] Read more.
Background and Objectives: Transcatheter aortic valve replacement (TAVR) in large aortic annuli poses challenges due to limited valve-size options and increased complication risks. The aim is to evaluate the safety and performance of XL sizes (30.5 mm and 32 mm) of the Myval transcatheter heart valve (THV) for treating patients with severe aortic stenosis and large aortic annuli. Material and Methods: This retrospective observational study included consecutive patients undergoing TAVR with XL sizes of the Myval THV between December 2023 and December 2024 at a single centre. During this period, 146 TAVI procedures were performed, of which 15 patients (10.3%) with large aortic annuli (mean systolic annular area 786.5 ± 48.2 mm2) received XL valves and were included in the present analysis. Patients were followed up at discharge, 3–6 months, and 1 year. Patient evaluation included echocardiography and clinical assessments following the Valve Academic Research Consortium-3 criteria. Results: All patients were male, with a mean age of 79.1 ± 5.9 years. Technical success was achieved in 100% of cases. At discharge, none of the patients had moderate or greater paravalvular leakage (PVL); 11 patients had no PVL, while 1 had trace and 3 had mild PVL. The mean effective orifice area (EOA) improved from 0.75 ± 0.15 cm2 at baseline to 2.31 ± 0.21 cm2 at discharge (p < 0.0001). At the 12-month follow-up, the mean EOA was 2.4 ± 0.3 cm2, and no moderate or severe PVL or major adverse clinical outcomes were observed. One patient required a permanent pacemaker implantation due to an atrioventricular block. Conclusions: The XL sizes of Myval THV showed both safety and efficacy in patients with large aortic annuli, demonstrating acceptable hemodynamic performance and low complication rates. However, large-scale studies with longer follow-ups are needed to validate these findings in diverse populations. Full article
(This article belongs to the Special Issue Aortic Stenosis: Diagnosis and Clinical Management)
Show Figures

Figure 1

19 pages, 2799 KB  
Article
Left Ventricular Global Longitudinal Strain Predicts Pacemaker-Associated Cardiomyopathy with Substantial LVEF Deterioration: Results from a Single-Center Cohort Study in Germany
by Carlos Plappert, Philipp Lacour, Abdul S Parwani, Leif-Hendrik Boldt, Felix Bähr, Doreen Schöppenthau, Henryk Dreger, Emanuel Heil, Felix Hohendanner, Gerhard Hindricks, Jonas Lübcke, Ingo Hilgendorf and Florian Blaschke
J. Clin. Med. 2026, 15(6), 2361; https://doi.org/10.3390/jcm15062361 - 19 Mar 2026
Viewed by 391
Abstract
Background and Aims: Permanent pacemaker (PM) implantation is an established treatment for symptomatic bradycardia. However, chronic right ventricular pacing (RVP) is associated with increased morbidity and mortality due to electrical and mechanical dyssynchrony, leading to pacing-induced cardiomyopathy (PICM). Prognostic markers for identifying [...] Read more.
Background and Aims: Permanent pacemaker (PM) implantation is an established treatment for symptomatic bradycardia. However, chronic right ventricular pacing (RVP) is associated with increased morbidity and mortality due to electrical and mechanical dyssynchrony, leading to pacing-induced cardiomyopathy (PICM). Prognostic markers for identifying patients at high risk of PICM remain scarce. This study compares patients with low (<30%) and high (≥30%) RVP burden with respect to echocardiographic parameters and clinical outcomes. Methods: This retrospective, double-blinded, single-center study included 105 patients who underwent dual-chamber PM implantation. RVP burden, left ventricular ejection fraction (LVEF), global longitudinal strain (LV-GLS), and all-cause mortality were assessed to evaluate the impact of RVP on LV function and clinical outcomes. Results: At baseline, the mean LVEF was 61 ± 6% and LV-GLS was 18 ± 4%. LVEF declined in seven patients (6.7%) during a mean follow-up of 30 ± 14 months, with a mean reduction from 56.1 ± 4.9% to 40.1 ± 5.0% (median 55% to 41%), thereby fulfilling the prespecified PICM definition (≥10% decrease from baseline >50%, excluding alternative causes). Of the 105 patients, 58 (55%) were classified into the low RVP group (<30%) and 47 (45%) into the high VP group (≥30%). High VP burden was associated with deterioration in both LVEF (6/47 [13%] vs. 1/58 [2%], p < 0.05) and LV-GLS (28/47 [60%] vs. 16/58 [28%], p < 0.001). In multivariable analysis, baseline LV-GLS was significantly associated with subsequent LVEF decline (OR 1.410, 95% CI 1.201–1.610, p < 0.001), and high VP burden was linked to LV-GLS decline (OR 1.358, 95% CI 1.160–1.534, p < 0.01). Kaplan–Meier analysis showed that time to LVEF deterioration (7 events) was significantly shorter in the high VP burden group (45.2 ± 2.9 vs. 55.7 ± 1.0 months, p < 0.05). Early LV-GLS decline within 1 year predicted subsequent LVEF deterioration (HR 7.210, 95% CI 4.239–9.516, p < 0.05), with a significantly shorter time to LVEF deterioration in these patients (34.7 ± 4.2 vs. 53.7 ± 1.4 months, p < 0.001). All-cause mortality did not differ significantly between high and low VP burden groups (p = 0.2). Conclusions: In patients with normal preimplant LVEF and ≥30% RVP, LV-GLS decline of >10% from baseline serves as an early and sensitive marker for subsequent LVEF deterioration and is associated with adverse outcomes. Early LV-GLS monitoring may help identify patients at higher risk for progressive ventricular dysfunction. Full article
(This article belongs to the Special Issue Cardiac Imaging: Emerging Techniques and Clinical Applications)
Show Figures

Graphical abstract

16 pages, 1094 KB  
Article
Permanent Pacemaker Implantation After TAVI and Its Association with Survival: Single-Center Cohort and Nationwide Validation
by Gudrun Lamm, Cecilia Veraar, Philipp Höbart, Matthias Granner, Maximilian Will, Konstantin Schwarz, Christian Nitsche, Roya A. Mousavi, Johann Auer, Hendrik J. Ankersmit, Matthias Hammerer, Uta C. Hoppe and Julia Mascherbauer
J. Clin. Med. 2026, 15(6), 2288; https://doi.org/10.3390/jcm15062288 - 17 Mar 2026
Viewed by 418
Abstract
Background/Objectives: Permanent pacemaker (PM) implantation is a well-recognized complication of transcatheter aortic valve implantation (TAVI), but its long-term prognostic impact remains uncertain. To evaluate the association between PM implantation and all-cause mortality in TAVI recipients. Methods: We performed a post hoc analysis of [...] Read more.
Background/Objectives: Permanent pacemaker (PM) implantation is a well-recognized complication of transcatheter aortic valve implantation (TAVI), but its long-term prognostic impact remains uncertain. To evaluate the association between PM implantation and all-cause mortality in TAVI recipients. Methods: We performed a post hoc analysis of a prospective single-center TAVI registry (2016–2020). The primary endpoint was all-cause mortality at 1 and 5 years. Cox regression and Kaplan–Meier analyses were applied. Validation was performed using the nationwide AUTHEARTVISIT claims database. Results: Among 1114 consecutive TAVI patients (mean age 81  ±  5.8 years; 49.8% female), 120 (10.8%) had a pre-existing PM (Pre-PM), and 153 (13.7%) received a new PM within 30 days post-TAVI (Post-PM). Post-PM patients were older (p = 0.006), more often male (p < 0.001), had higher Troponin T levels (p = 0.002), more pre-existing right bundle branch block (p < 0.001), and longer QRS duration (p < 0.001) compared to patients without PM. In multivariate analysis, one-year mortality was associated with Troponin T (p = 0.002) and NT-proBNP (p = 0.002) serum levels. Pre- or Post-PM status was not associated with 1-year mortality (p = 0.455, p = 975). However, Pre-PM status was independently associated with 5-year mortality (HR 1.4, 95% CI: 1.0–1.9, p = 0.03), whereas Post-PM status was not (HR 1.2, 95% CI: 0.8–1.6, p = 0.22). Findings were confirmed in the nationwide AUTHEARTVISIT cohort. Conclusions: In this large, real-world TAVI cohort with national validation, Post-PM status was not associated with mortality at 1 or 5 years. By contrast, Pre-PM identified patients at higher long-term risk, possibly reflecting underlying cardiac disease. Full article
(This article belongs to the Section Cardiovascular Medicine)
Show Figures

Graphical abstract

17 pages, 13727 KB  
Article
Ultra-Miniaturized Dual-Band MIMO Antenna for Biomedical Implantable Devices in Wireless Health Monitoring Systems
by Tahir Bashir, Shunbiao Chen, Guanjie Feng, Yunqi Cao and Wei Li
Biosensors 2026, 16(3), 163; https://doi.org/10.3390/bios16030163 - 14 Mar 2026
Viewed by 458
Abstract
This paper proposed an ultra-miniaturized four-port dual-band multi-input multi-output (MIMO) antenna designed for wireless biomedical implantable devices, including wireless capsule endoscopy (WCE) and cardiac leadless pacemakers. The antenna supports operation in the wireless medical telemetry service (WMTS) band of 1.395–1.4 GHz and the [...] Read more.
This paper proposed an ultra-miniaturized four-port dual-band multi-input multi-output (MIMO) antenna designed for wireless biomedical implantable devices, including wireless capsule endoscopy (WCE) and cardiac leadless pacemakers. The antenna supports operation in the wireless medical telemetry service (WMTS) band of 1.395–1.4 GHz and the industrial, scientific, and medical (ISM) band of 2.4–2.4835 GHz for wireless power transfer and data telemetry applications. Miniaturization is achieved through a partial meandered structural configuration, yielding an overall size of 8 × 6.4 × 0.5 mm3. The antenna is encapsulated within implantable biomedical devices containing batteries, sensors, and electronic components, and evaluated in both homogeneous and realistic heterogeneous body phantoms, including the large intestine and heart. The full-wave electromagnetic simulation results demonstrate good performance, including reflection coefficients of −31.19 dB and −30.07 dB, gains of −27.5 dBi and −17.5 dBi, −10 dB impedance bandwidths of 170 MHz and 370 MHz, mutual coupling below 20 dB, and fractional bandwidths of 12.2% and 15.1% at 1.4 GHz and 2.45 GHz, respectively. Specific absorption rate (SAR) analysis satisfies implantation safety limits. Link budget analysis confirms reliable communication over distances more than 20 m in both frequency bands with high-data rates up to 100 Mbps. MIMO channel parameters such as envelope correlation coefficient (ECC), diversity gain (DG), channel capacity loss (CCL), and total active reflection coefficient (TARC) confirm the usefulness of the proposed MIMO antenna. Consequently, the proposed MIMO antenna emerges as a highly promising candidate with, ultra-miniaturization, isolation, multiband operation ability with omnidirectional-like radiation pattern characteristics for several biomedical implants in wireless health monitoring systems. Full article
(This article belongs to the Special Issue Wearable Biosensors for Biomedical Applications)
Show Figures

Figure 1

22 pages, 2476 KB  
Article
Expanding the Role of Implantable Loop Recorders: Diagnostic and Therapeutic Yields Across Seven Clinical Indications in 388 Real-World Patients
by Carlos Plappert, Philipp Lacour, Abdul S Parwani, Leif-Hendrik Boldt, Felix Bähr, Doreen Schöppenthau, Anna Feuerstein, Leonie H Wieland, Emanuel Heil, Felix Hohendanner, Nikolaos Dagres, Gerhard Hindricks, Ingo Hilgendorf and Florian Blaschke
J. Clin. Med. 2026, 15(5), 1977; https://doi.org/10.3390/jcm15051977 - 5 Mar 2026
Viewed by 484
Abstract
Background/Objectives: Implantable loop recorders (ILRs) enable long-term electrocadiographic monitoring and are established diagnostic tools for syncope and atrial fibrillation (AF). However, their diagnostic yield and therapeutic impact in other clinical settings remain less well defined. We aimed to evaluate the diagnostic yield [...] Read more.
Background/Objectives: Implantable loop recorders (ILRs) enable long-term electrocadiographic monitoring and are established diagnostic tools for syncope and atrial fibrillation (AF). However, their diagnostic yield and therapeutic impact in other clinical settings remain less well defined. We aimed to evaluate the diagnostic yield and clinical impact of ILR implantation across contemporary clinical indications. Methods: In this retrospective single-center study, 388 patients who underwent ILR implantation between 2011 and 2018 were included. Indications were categorized into seven groups: unexplained syncope, presyncope, cryptogenic stroke or transient ischemic attack (TIA), AF detection, AF recurrence after atrial flutter (AFL) ablation, risk stratification in structural or inherited heart disease, and palpitations. Results: Among 388 patients (median age 63 [51.8–71.8] years, 57.5% male; median follow-up 17.0 [IQR 6.4–32.4] months), ILRs were most frequently implanted for syncope (44.6%), AF (20.4%), and stroke/TIA (12.9%). ILR-detected arrhythmias occurred in 241 patients (62.1%), with the highest detection rates in AF (83.5%) and AFL (73.7%). Indication-fulfilling diagnoses were established in 155 patients (39.9%), most frequently in AF (73.4%) and AFL (71.1%), after a median of 4.4 months (IQR 2.4–12.5). Nearly three quarters (72.9%) of diagnoses were made within the first year. ILR findings prompted therapeutic interventions in 156 patients (40.2%), including pacemaker implantation in syncope and rhythm- or anticoagulation-based therapies in AF. AF and AFL independently predicted higher diagnostic yield, while diagnostic yield and AF history predicted ILR-triggered therapy. AF, AFL, stroke/TIA, and AF history were associated with shorter time to first arrhythmia detection. Arrhythmia-free survival differed significantly across indication groups (p < 0.0001) and was lowest in AF and AFL, which demonstrated the highest cumulative incidence of indication-fulfilling arrhythmias. Conclusions: ILRs provide substantial diagnostic and therapeutic value across a broad range of indications. Beyond established uses in syncope and AF, clinically relevant yields were observed in presyncope, risk stratification, and AFL post-ablation, supporting broader consideration of ILRs and optimized patient selection. Full article
(This article belongs to the Special Issue Advances in Arrhythmia Diagnosis and Management)
Show Figures

Graphical abstract

14 pages, 505 KB  
Article
Transcatheter Versus Sutureless Aortic Valve Replacement: A Propensity-Matched Single-Center Cohort Study
by Nikoleta Stanitsa, Emmanouel Tempelis, Ilias Samiotis, Dimitris Oikonomou, Konstantinos Triantafyllou, George Lazopoulos, Periklis Tomos and Panagiotis Dedeilias
Medicina 2026, 62(3), 476; https://doi.org/10.3390/medicina62030476 - 3 Mar 2026
Viewed by 479
Abstract
Background and Objectives: Over the past decade, transcatheter aortic valve replacement (TAVI) has evolved from a treatment for inoperable patients to an established option across all risk categories. In parallel, the Perceval sutureless valve has demonstrated safety and efficacy especially for minimally [...] Read more.
Background and Objectives: Over the past decade, transcatheter aortic valve replacement (TAVI) has evolved from a treatment for inoperable patients to an established option across all risk categories. In parallel, the Perceval sutureless valve has demonstrated safety and efficacy especially for minimally invasive surgical aortic valve replacement (AVR). Despite the advances of both TAVI and Perceval, robust long-term data and clear patient selection criteria are still lacking. This retrospective single-center study reports the outcomes of patients undergoing isolated AVR with the Perceval sutureless valve or with TAVI. Materials and Methods: We retrospectively reviewed consecutive patients undergoing isolated AVR at our institution between April 2013 and December 2024. Of 1006 eligible patients (424 TAVI; 582 Perceval), propensity score matching was performed for age, sex, EuroSCORE II, body surface area, and comorbidities, yielding 197 matched pairs. Primary endpoints were all-cause and cardiovascular mortality. Secondary endpoints included acute kidney injury, permanent pacemaker implantation, stroke, pericardial effusion, ICU stay, and overall hospital stay. Clinical and echocardiographic follow-up was obtained by medical-record review and routine echocardiography, with an additional prospective clinical and echocardiographic evaluation at 6–12 months. Results: Postprocedural paravalvular leak was significantly more frequent after TAVI than after Perceval AVR (23.4% vs. 2.5%; p < 0.001). At 6–12 months, TAVI was associated with greater aortic regurgitation and higher rates of para- and intra-prosthetic leak (both p < 0.001) and higher mean transvalvular gradients, particularly in small and medium valve sizes. ICU and overall hospital stay were longer after Perceval implantation (both p < 0.001). New permanent pacemaker implantation was numerically higher after TAVI (11.2% vs. 5.6%; p = 0.063). Early mortality was similar; however, 1-year mortality was higher after TAVI (16.2% vs. 9.1%; p = 0.045), and Kaplan–Meier analysis demonstrated better overall survival with Perceval (p < 0.001), while cardiovascular survival did not differ significantly (p = 0.851). Conclusions: Our study underscores the importance of meticulous patient selection when choosing between TAVI and Perceval. Perceval implantation was associated with better long-term overall survival than TAVI in the propensity-matched cohort. Paravalvular leaks were more frequent after TAVI and associated with poorer survival. Both approaches achieve excellent outcomes; however, differences in long-term survival and valve performance highlight the need for a personalized treatment strategy guided by a multidisciplinary heart team. Full article
Show Figures

Figure 1

18 pages, 405 KB  
Article
Factors Associated with Quality of Life Among Patients with Cardiac Pacemakers Assessed by Two Scales
by Eirini Stavrou, Georgios Vasilopoulos, Dionyssios Leftheriotis, Panagiota Flevari and Maria Polikandrioti
Clin. Pract. 2026, 16(3), 53; https://doi.org/10.3390/clinpract16030053 - 28 Feb 2026
Viewed by 456
Abstract
Background/Objectives: Permanent cardiac pacemakers (PPMs) are small electronic implanted devices that regulate cardiac rhythm. Measurement of quality of life (QoL) serves as a powerful tool for gaining in-depth insights into pacing therapy and ultimately guiding patient-centered management strategies. The aim of the [...] Read more.
Background/Objectives: Permanent cardiac pacemakers (PPMs) are small electronic implanted devices that regulate cardiac rhythm. Measurement of quality of life (QoL) serves as a powerful tool for gaining in-depth insights into pacing therapy and ultimately guiding patient-centered management strategies. The aim of the present study was to evaluate factors affecting QoL among PPM patients by applying the two generic questionnaires: SF-36 and EQ-5D-5L. Materials and Methods: A total of 120 patients with PPM were enrolled. QoL data were collected through interviews using the 36-Item Short Form Health Survey (SF-36) and the Euro QoL 5-Dimensions 5-Levels Health Questionnaire (EQ-5D-5L). Patients’ characteristics were also recorded. Results: The majority of participants were male (54.2%), retired (83.3%) residents in urban areas (75.5%), had a DDD pacemaker (82.5%), had rate response programmed on (77.5%), and had comorbidities (83.3%). Regarding QoL measured by SF-36, the Physical Component Summary Score (PCS) was significantly associated with programming rate response in their pacemaker (p = 0.046), comorbidities (p = 0.047), and the NYHA functional class (p = 0.047). The Mental Component Summary Score (MCS) was significantly associated with sex (p = 0.034), place of residence (p = 0.003), NYHA functional class (p = 0.001), and patients’ level of information about the device (p = 0.039). Patients’ QoL, as measured by the EQ-5D-5L, was significantly associated with sex (p = 0.001), age (p = 0.019), occupation (p = 0.040), pacing mode (p = 0.034), comorbidities (p = 0.019), NYHA functional class (p = 0.047), and level of information about the device (p = 0.005). Conclusions: NYHA functional class, comorbidities, and level of information as reported by patients were the factors associated with QoL, as shown by the two scales. All three factors guide a personalized care plan since NYHA class shows the burden of disease, comorbidities add to the complexity, and patient information determines the effectiveness of management. Full article
13 pages, 11104 KB  
Article
A Highly Compact and Isolated Triple-Band MIMO Antenna for Wireless Capsule Endoscopy and Cardiac Implant
by Tahir Bashir, Guanjie Feng, Shunbiao Chen, Yunqi Cao and Wei Li
Micromachines 2026, 17(3), 296; https://doi.org/10.3390/mi17030296 - 27 Feb 2026
Cited by 1 | Viewed by 469
Abstract
This work presents a highly compact triple-band multi-input-multi-output (MIMO) implantable antenna for wireless capsule endoscopy (WCE) and leadless cardiac pacemakers. The proposed antenna operates at industrial, scientific, and medical (ISM) bands of 2.400 to 2.480 GHz and 5.725 to 5.875 GHz for data [...] Read more.
This work presents a highly compact triple-band multi-input-multi-output (MIMO) implantable antenna for wireless capsule endoscopy (WCE) and leadless cardiac pacemakers. The proposed antenna operates at industrial, scientific, and medical (ISM) bands of 2.400 to 2.480 GHz and 5.725 to 5.875 GHz for data telemetry and the wireless medical telemetry service (WMTS) band of 1.395 to 1.432 GHz for efficient wireless power transfer. The four-element design measures 8.5 × 8.5 × 0.26 mm3 and achieves low mutual coupling through a planar four-port configuration with optimized inter-element spacing. The antenna is integrated within realistic capsule devices containing batteries, sensors, and electronic components, and evaluated in both homogeneous and realistic heterogeneous body phantoms, including the large intestine and heart. The design yields maximum reflection coefficients of −26.15 dB, −15 dB, and −36.32 dB, −10 dB bandwidths of 260 MHz, 160 MHz, and 160 MHz, mutual coupling of −37.74 dB, −44.55 dB, −26.48 dB, and peak realized gains of −35 dBi, −25 dBi, and −15 dBi at 1.4 GHz, 2.45 GHz, and 5.8 GHz, respectively. Specific absorption rate (SAR) analysis satisfies implantation safety limits. Link budget analysis confirms reliable communication over distances > 20 m in all bands with data rates up to 100 Mbps. MIMO channel parameters such as envelope correlation coefficient (ECC) and diversity gain (DG) remain within acceptable limits. Owing to its multi-band operation, miniaturization, and isolation, the proposed four-port antenna is a good candidate for next-generation WCE and leadless pacemaker systems. Full article
Show Figures

Figure 1

Back to TopTop