Sign in to use this feature.

Years

Between: -

Subjects

remove_circle_outline
remove_circle_outline
remove_circle_outline
remove_circle_outline
remove_circle_outline
remove_circle_outline
remove_circle_outline
remove_circle_outline
remove_circle_outline

Journals

remove_circle_outline
remove_circle_outline
remove_circle_outline
remove_circle_outline
remove_circle_outline
remove_circle_outline
remove_circle_outline
remove_circle_outline
remove_circle_outline
remove_circle_outline
remove_circle_outline
remove_circle_outline
remove_circle_outline
remove_circle_outline
remove_circle_outline
remove_circle_outline
remove_circle_outline
remove_circle_outline

Article Types

Countries / Regions

remove_circle_outline
remove_circle_outline
remove_circle_outline
remove_circle_outline
remove_circle_outline
remove_circle_outline
remove_circle_outline

Search Results (2,058)

Search Parameters:
Keywords = kinematic testing

Order results
Result details
Results per page
Select all
Export citation of selected articles as:
17 pages, 8997 KB  
Article
Experimental and Numerical Impact Assessment of a Heavy-Duty Truck Cab Reconstructed from 3D Scanning According to the Swedish VVFS 2003:29 Procedure
by Ana-Maria Dumitrache, Ionut-Alin Dumitrache, Daniel Iozsa and Alexandra Molea
Eng 2026, 7(3), 137; https://doi.org/10.3390/eng7030137 - 17 Mar 2026
Abstract
Ensuring the crashworthiness of heavy-duty truck cabs is essential for reducing occupant fatalities and improving passive safety in commercial vehicles. Regulatory frameworks such as UNECE Regulation No. 29 (R29) define structural integrity requirements through full-scale destructive impact tests, which are costly and limit [...] Read more.
Ensuring the crashworthiness of heavy-duty truck cabs is essential for reducing occupant fatalities and improving passive safety in commercial vehicles. Regulatory frameworks such as UNECE Regulation No. 29 (R29) define structural integrity requirements through full-scale destructive impact tests, which are costly and limit iterative design. In this study, an integrated experimental–numerical methodology is presented for the impact assessment of a real Iveco Eurocargo 120E18 truck cab reconstructed using high-resolution 3D scanning. The scanned geometry was used to generate a dimensionally accurate CAD model of the load-bearing cab structure, which was analysed using explicit finite element simulations in ANSYS Academic Mechanical and CFD Teaching package under impact conditions compliant with UNECE R29 and implemented according to the Swedish regulation VVFS 2003:29. In parallel, a full-scale physical pendulum impact test was performed on the same cab using a cylindrical impactor with a diameter of 580 mm, a length of 1800 mm, and a mass of approximately 1000 kg, impacting the upper region of the A-pillar. The experimental setup was instrumented using high-speed optical measurements and an accelerometer to capture impact kinematics and structural response. The numerical predictions showed good agreement with experimental results in terms of acceleration–time histories, absorbed energy evolution, and structural deformation, with differences generally below 6%. Critical regions susceptible to local buckling and plastic collapse were consistently identified in both approaches, while preservation of the driver survival space was confirmed. The results demonstrate that scan-based finite element models, when properly calibrated and validated, can reliably reproduce certification-level impact behaviour. The proposed workflow provides a robust and cost-effective framework for regulatory pre-validation, structural optimisation, and digitalisation of crashworthiness assessment for heavy-duty truck cabs. Full article
(This article belongs to the Special Issue Interdisciplinary Insights in Engineering Research 2026)
Show Figures

Figure 1

18 pages, 21858 KB  
Article
Cross-Modal Synergy Representation of EMG and Joint Angular Acceleration During Gait in Parkinson’s Disease Using NMF and Multimodal Matrix Factorization
by Jiarong Wu, Qiuxia Zhang and Wanli Zang
Sensors 2026, 26(6), 1853; https://doi.org/10.3390/s26061853 - 15 Mar 2026
Abstract
The aims of this research were to characterize neuromuscular control features within the gait cycle in Parkinson’s disease (PD) from the perspectives of muscle synergies and cross-modal coupling and to propose a joint representation of the relationship between muscle activation patterns and kinematic [...] Read more.
The aims of this research were to characterize neuromuscular control features within the gait cycle in Parkinson’s disease (PD) from the perspectives of muscle synergies and cross-modal coupling and to propose a joint representation of the relationship between muscle activation patterns and kinematic dynamic outputs. PD participants (n = 19) were included. Lower-limb surface electromyography (EMG) and kinematic dynamic channels, including pelvic/hip, knee, and ankle angular acceleration, were collected during level-ground natural walking. EMG signals were first decomposed using non-negative matrix factorization (NMF) to extract muscle synergies, and the number of synergies was evaluated using reconstruction performance (R2). Multimodal matrix factorization (MMF) was then applied to jointly decompose the EMG and angular-acceleration channels, yielding a cross-modal synergy representation comprising a shared temporal structure (H) and modality-specific weight structures (W): non-negativity was imposed on EMG weights, whereas kinematic weights were allowed to take positive and negative values to encode directional contributions. Under the current task and muscle set, NMF achieved high EMG reconstruction performance with four synergies (R2 = 0.882). The synergy weights showed an ankle-dominant pattern: tibialis anterior (TA) consistently carried high weights across multiple synergies, while lateral gastrocnemius (LG) and soleus (SOL) contributed prominently to another synergy. The synergy activation profiles exhibited phase-dependent fluctuations with multiple rises and falls across the gait cycle, suggesting that synergy output was primarily characterized by continuous modulation rather than single-peak recruitment. MMF further identified eight cross-modal synergies, simultaneously capturing the shared contributions of key muscle groups (e.g., RF, TA, and SOL) and pelvic/hip and knee/ankle angular-acceleration channels within the same decomposition framework and summarizing their descriptive co-variation through the shared temporal structure (H). Overall, A low-dimensional synergy analysis combining EMG-only NMF with cross-modal MMF enables simultaneous characterization of cohort-level modular organization of muscle activity during gait and its descriptive association with pelvis-to-lower-limb dynamic output. This joint framework provides a methodological basis for quantitatively describing gait-related modular organization and temporal modulation patterns in this PD cohort under natural level-ground walking and lays the groundwork for subsequent testing of associations between synergy features and gait phenotypes, clinical severity, and rehabilitation responses. Full article
(This article belongs to the Section Biomedical Sensors)
Show Figures

Figure 1

16 pages, 8378 KB  
Article
Optimization of Ornithopter Energy Efficiency Through Spring-Induced Harmonic Motion
by Jimin Kim and Ji-Chul Ryu
Biomimetics 2026, 11(3), 207; https://doi.org/10.3390/biomimetics11030207 - 13 Mar 2026
Viewed by 84
Abstract
Ornithopters generate lift and thrust through periodic flapping-wing motion. While control-based optimization has been widely studied to improve the flight efficiency of ornithopters, passive mechanical tuning remains underexplored. This study investigates whether integrating a lightweight torsional spring can passively tune a flapping-wing system [...] Read more.
Ornithopters generate lift and thrust through periodic flapping-wing motion. While control-based optimization has been widely studied to improve the flight efficiency of ornithopters, passive mechanical tuning remains underexplored. This study investigates whether integrating a lightweight torsional spring can passively tune a flapping-wing system toward resonance to reduce input power and enhance aerodynamic performance. We evaluated springs of different stiffness on a 3D-printed, motor-driven flapping rig, recording input voltage and current as well as flapping frequency and thrust. Wing kinematics were analyzed using high-speed video, and free-oscillation tests identified a resonant period of ~0.14 s (~7.1 Hz). Experimental results show that an optimally tuned spring-assisted system achieves up to a threefold improvement in thrust efficiency and up to a twofold improvement in kinematic efficiency, compared to the no-spring baseline. Indoor flight tests using a commercial ornithopter (MetaFly) confirmed the improvement, showing a 12.8% increase in average endurance. The spring-assisted configuration also produced smoother stroke reversals, consistent with reduced energy losses. These results demonstrate that a low-complexity, lightweight torsional spring tuned near resonance can provide an effective passive means to enhance both energy efficiency and aerodynamic output in flapping-wing UAVs, serving as a practical, low-cost complement to control-based optimization methods. Full article
(This article belongs to the Section Locomotion and Bioinspired Robotics)
Show Figures

Graphical abstract

22 pages, 4382 KB  
Article
EMG-Driven Musculoskeletal Modelling Framework for Virtual Simulation of Upper Limb Activation-Modulated Impairment Scenarios
by Dovydas Cicėnas and Kristina Daunoravičienė
Medicina 2026, 62(3), 530; https://doi.org/10.3390/medicina62030530 - 12 Mar 2026
Viewed by 110
Abstract
Background and Objectives: Surface electromyography (EMG) is widely used to assess muscle activation. However, direct interpretation of its functional biomechanical consequences remains challenging. This study aimed to develop and evaluate an EMG-driven musculoskeletal simulation framework for investigating how controlled modifications of muscle activation [...] Read more.
Background and Objectives: Surface electromyography (EMG) is widely used to assess muscle activation. However, direct interpretation of its functional biomechanical consequences remains challenging. This study aimed to develop and evaluate an EMG-driven musculoskeletal simulation framework for investigating how controlled modifications of muscle activation patterns influence joint-level biomechanics in the upper limb. The objective was not to reproduce specific clinical pathologies but to enable systematic virtual scenario analysis of activation-dependent movement alterations. Materials and Methods: Surface EMG signals were recorded from five healthy adults (3 males, 2 females; age 22 ± 1 years) during cyclic elbow flexion/extension tasks using a wireless system (sampling frequency: 2000 Hz). Processed and normalized EMG envelopes were directly applied as prescribed neural inputs in forward dynamic simulations implemented in OpenSim, without optimization-based muscle recruitment. Controlled virtual scenarios were generated through parametric modification of activation signals to represent reduced activation capacity, increased antagonist co-activation, spasticity-like activation modulation, and tremor-like oscillatory modulation. Joint kinematics, joint moments, and movement stability were evaluated. A Movement Quality Index (MQI) was introduced as a comparative research metric integrating biomechanical performance indicators. Simulations were deterministic and analyzed descriptively. Results: Distinct activation modifications produced characteristic kinematic and kinetic responses. Reduced activation capacity decreased simulated joint moment output, increased co-activation altered joint moment timing and mechanical stability, and tremor-like oscillatory modulation generated periodic fluctuations in joint kinematics and kinetics. The MQI enabled quantitative differentiation between simulated scenarios and severity levels within the controlled modelling framework. Conclusions: The proposed EMG-driven forward dynamic simulation framework provides a methodological platform for controlled virtual scenario analysis of activation-dependent biomechanical changes. The findings highlight the sensitivity of joint-level mechanics to altered muscle activation patterns, within the deterministic modelling environment. The framework is intended for research-oriented biomechanical investigation and hypothesis testing rather than direct clinical diagnosis of neuromuscular disorders. Full article
(This article belongs to the Section Sports Medicine and Sports Traumatology)
Show Figures

Figure 1

17 pages, 2471 KB  
Article
Evaluation of the Ionospheric Corrections Generated by Smartphones with Different Real-Time Products
by Yan Zhang, Yang Jiang and Yang Gao
Sensors 2026, 26(6), 1795; https://doi.org/10.3390/s26061795 - 12 Mar 2026
Viewed by 93
Abstract
Ionospheric delay is a dominant error source in global navigation satellite systems (GNSSs). Conventional ionospheric estimation relies on dense networks of expensive geodetic receivers, limiting accessibility and coverage. With the widespread availability of multi-frequency, multi-constellation smartphones capable of carrier-phase tracking, this study investigates [...] Read more.
Ionospheric delay is a dominant error source in global navigation satellite systems (GNSSs). Conventional ionospheric estimation relies on dense networks of expensive geodetic receivers, limiting accessibility and coverage. With the widespread availability of multi-frequency, multi-constellation smartphones capable of carrier-phase tracking, this study investigates smartphone-based ionospheric estimation. Using a single-reference Precise Point Positioning Real-Time Kinematic (PPP-RTK) framework, ionospheric delays are estimated from smartphone data and evaluated using real-time correction products from BeiDou PPP-B2b and Centre National d’Études Spatiales (CNES). Quality control is performed via solution separation testing with time-differenced carrier phase and time-differenced pseudorange. Field experiments with two Google smartphones and a geodetic receiver demonstrate that the estimated slant ionospheric accuracy is comparable to geodetic receivers within the meter level under both static and kinematic scenarios. Additionally, the horizontal positioning performance demonstrates that the positioning performance of the user smartphone with ionospheric corrections broadcast from the base smartphone is significantly improved, with 74.7% and 54.9% for CNES and PPP-B2b products compared with the conventional PPP solution. Furthermore, a comparison between ionospheric corrections generated from the smartphone and those obtained from the geodetic receiver reveals that the positioning performance of the user smartphone becomes comparable after convergence. Full article
(This article belongs to the Section Navigation and Positioning)
Show Figures

Figure 1

27 pages, 8343 KB  
Article
Modeling Human–Robot Impact Dynamics in Collaborative Applications
by Alessio Caneschi, Matteo Bottin and Giulio Rosati
Actuators 2026, 15(3), 165; https://doi.org/10.3390/act15030165 - 12 Mar 2026
Viewed by 120
Abstract
This study presents an integrated experimental and modeling framework to investigate human–robot collision dynamics involving a collaborative manipulator (KUKA LBR iiwa 14 R820). A dedicated impact test prototype was developed to reproduce controlled contact scenarios between the robot and human body analogues under [...] Read more.
This study presents an integrated experimental and modeling framework to investigate human–robot collision dynamics involving a collaborative manipulator (KUKA LBR iiwa 14 R820). A dedicated impact test prototype was developed to reproduce controlled contact scenarios between the robot and human body analogues under various dynamic conditions. The experimental setup enables the acquisition of synchronized force, velocities, and displacement signals during contact events. These data are used to calibrate and validate a set of contact models, ranging from classical formulations such as Hertz and Hunt–Crossley to more recent supervised machine learning models. The proposed methodology allows a quantitative assessment of model accuracy and physical consistency in replicating real collision phenomena. Furthermore, the effective mass of the robot along its kinematic chain is estimated to compute impact energy and predict the interaction severity according to ISO 10218-1/2:2025 safety limits. The results highlight the trade-off between model complexity and predictive capability, offering alternative guidelines for collision severity evaluation in collaborative robotics applications. Full article
Show Figures

Figure 1

13 pages, 1443 KB  
Article
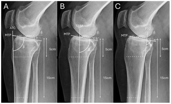
Radiographic Posterior Tibial Slope Measurement in Medial Unicompartmental Knee Arthroplasty: A Retrospective Validation Study Using Digital Volume Tomography of Tibial Resectates
by Dimitrios Tsimopoulos, Patrick Ostheim and Moritz Kaiser
J. Clin. Med. 2026, 15(6), 2095; https://doi.org/10.3390/jcm15062095 - 10 Mar 2026
Viewed by 113
Abstract
Background/Objective: Accurate assessment of the posterior tibial slope (PTS) is essential for optimal alignment and kinematic restoration in unicompartmental knee arthroplasty (UKA). This study aimed to evaluate the accuracy of three commonly used radiographic PTS measurement techniques—the anterior tibial cortex (ATC), tibial proximal [...] Read more.
Background/Objective: Accurate assessment of the posterior tibial slope (PTS) is essential for optimal alignment and kinematic restoration in unicompartmental knee arthroplasty (UKA). This study aimed to evaluate the accuracy of three commonly used radiographic PTS measurement techniques—the anterior tibial cortex (ATC), tibial proximal anatomical axis (TPAA), and posterior tibial cortex (PTC)—by comparing them with the intraoperatively achieved tibial resection slope, using digital volume tomography (DVT) of intraoperative tibial resectates as an executed resection reference. Methods: In this retrospective study, 39 patients undergoing medial UKA were analyzed. Standardized lateral knee radiographs were used to measure the complement angle β using ATC, TPAA, and PTC reference axes. Intraoperatively obtained tibial resectates were scanned using DVT to provide a high-resolution three-dimensional reference. The conventional posterior tibial slope was defined as α (PTS) = 90° − β (measured angle). Agreement and systematic bias between radiographic and DVT measurements were assessed using Wilcoxon signed-rank tests and Bland–Altman analyses. Results: The mean DVT-derived β was 86.48° ± 1.62° (α 3.52°). ATC 79.69° ± 3.14° (α 10.31°) and TPAA 82.50° ± 2.95° (α 7.50°) yielded significantly lower β values than DVT (both p < 0.0001), whereas PTC (86.24° ± 2.51°; α 3.76°) showed no significant difference (p = 0.419). Bland–Altman analyses demonstrated minimal bias for PTC (−0.25°) compared with larger negative biases for ATC (−6.79°) and TPAA (−3.99°) (negative bias indicates lower β and therefore higher conventional posterior tibial slope α). Conclusions: Among the evaluated methods, the PTC technique most accurately reflects the intraoperatively achieved tibial resection slope when benchmarked against DVT measurements. Incorporating the PTC method into preoperative planning may improve the radiographic estimation and standardization of the achieved tibial cut in UKA. Further studies should assess its impact on clinical outcomes and explore integration into automated measurement workflows. Full article
(This article belongs to the Section Orthopedics)
Show Figures

Figure 1

14 pages, 1230 KB  
Article
Discriminating Between Fallers and Non-Fallers Using Kinematic Data from the Heel2Toe™ Wearable Sensor
by Nancy E. Mayo, Ahmed Abou-Sharkh, Helen Dawes, Sarah J. Donkers, Chelsia Gillis, Krista Goulding, Edward Hill, Kedar Mate and Yosuke Tomita
Sensors 2026, 26(5), 1716; https://doi.org/10.3390/s26051716 - 9 Mar 2026
Viewed by 143
Abstract
Most falls occur while walking, making gait quality a logical therapeutic target. Many temporo-spatial variables have been implicated in increased fall risk, but these are dependent upon kinematic parameters of the joints involved in the gait cycle. The widespread availability of wearable sensors [...] Read more.
Most falls occur while walking, making gait quality a logical therapeutic target. Many temporo-spatial variables have been implicated in increased fall risk, but these are dependent upon kinematic parameters of the joints involved in the gait cycle. The widespread availability of wearable sensors has made the acquisition of kinematic data feasible, and those related to the ankle are most relevant, as they relate most closely to causes of falls, trips, slips, and mis-steps. The purpose of this study is to estimate the extent to which measures of ankle angular velocity (AV) during walking are associated with falls. This is a comparative study of ankle AV metrics between people who have or have not experienced a fall in the past year. Data came from experimental use of the Heel2Toe™ sensor in a variety of settings, including demonstrations and clinical research studies. The sample comprised 387 participants, of whom 68 (17.6%) self-reported falling in the past year. Logistic regression with a natural cubic spline with 3 degrees of freedom identified AV of the angle at heel strike to discriminate between fallers and non-fallers, and the regression parameters were used to propose an algorithm to estimate fall risk. Applying the algorithm to the existing data yielded a range of probabilities from 0.0480 to 0.7245 depending on age of the person assessed. Further testing of this algorithm in different samples is warranted. Full article
(This article belongs to the Special Issue Fall Detection Based on Wearable Sensors)
Show Figures

Figure 1

23 pages, 2510 KB  
Article
Trajectory Tracking of Intelligent Sweeping Vehicles Based on Adaptive Strong Tracking EKF and Laguerre MPC
by Zhijun Guo, Hao Su, Tong Zhang, Yanan Tu, Yixuan Li and Mingtian Pang
World Electr. Veh. J. 2026, 17(3), 139; https://doi.org/10.3390/wevj17030139 - 8 Mar 2026
Viewed by 129
Abstract
To improve the accuracy and real-time performance of trajectory tracking control for a four-wheel differential drive intelligent sweeping vehicle, a trajectory tracking control method based on an adaptive strong tracking extended Kalman filter (ASTEKF) state estimator and a Laguerre-based model predictive controller (LMPC) [...] Read more.
To improve the accuracy and real-time performance of trajectory tracking control for a four-wheel differential drive intelligent sweeping vehicle, a trajectory tracking control method based on an adaptive strong tracking extended Kalman filter (ASTEKF) state estimator and a Laguerre-based model predictive controller (LMPC) is proposed. Based on the kinematic model of the intelligent sweeping vehicle, an ASTEKF state estimator is designed for vehicle state estimation, and a Laguerre-function-based model predictive controller is developed for trajectory tracking control, thereby enhancing the control accuracy and stability of the vehicle. Simulation results demonstrate that compared with the conventional MPC algorithm, the proposed ASTEKF–LMPC algorithm reduces the maximum lateral error by 44.65% and the maximum heading angle error by 40.96% during sweeping operations, while under normal driving conditions, the maximum lateral error and maximum heading angle error are reduced by 36.27% and 40.03%, respectively. Furthermore, experimental tests conducted on an intelligent sweeping vehicle platform show that the proposed method reduces the maximum lateral error by 34.25% and the maximum heading angle error by 23.18%, thereby validating the effectiveness of the proposed algorithm in intelligent sweeping operations. Full article
(This article belongs to the Section Automated and Connected Vehicles)
Show Figures

Figure 1

16 pages, 704 KB  
Article
Biomechanical Analysis of the Breaststroke Kick in Young Swimmers Using Wearable Inertial Sensors: An Exploratory Pilot Study
by Denisa-Iulia Brus, Răzvan Sandu Enoiu and Dorin-Ioan Cătană
Sensors 2026, 26(5), 1691; https://doi.org/10.3390/s26051691 - 7 Mar 2026
Viewed by 274
Abstract
Breaststroke performance is highly dependent on lower-limb biomechanics and the coordination of movement during the kick cycle. Recent advances in wearable inertial sensor technology enable objective analysis of human motion in real training environments. This study presents an exploratory pilot investigation aimed at [...] Read more.
Breaststroke performance is highly dependent on lower-limb biomechanics and the coordination of movement during the kick cycle. Recent advances in wearable inertial sensor technology enable objective analysis of human motion in real training environments. This study presents an exploratory pilot investigation aimed at evaluating the feasibility of using wearable inertial sensors for biomechanical analysis of the breaststroke kick in young swimmers. Five male children (aged 8–10 years) with basic breaststroke proficiency participated in a single-group pre–post exploratory study conducted over a three-month period. Lower-limb motion was monitored using wearable inertial measurement units attached bilaterally to the shanks and feet, allowing real-time kinematic feedback and data recording during training sessions. The intervention consisted of five structured training sessions integrating drill-based breaststroke kick exercises with sensor-assisted feedback. Outcome measures included time-based swimming performance tests (40 m breaststroke kick with kickboard and 40 m breaststroke without kickboard) and qualitative biomechanical evaluations of the passive and active phases of the breaststroke kick. Additionally, selected IMU-derived kinematic variables (peak ankle dorsiflexion and external foot rotation angles) were analyzed to provide quantitative biomechanical insight. Following the intervention, improvements were observed across all outcome measures, including reduced swimming times and increased technique scores assigned by two independent evaluators. These findings support the feasibility of integrating wearable IMUs for technique monitoring and simple kinematic quantification of breaststroke kick mechanics in young swimmers; larger controlled studies are required to assess efficacy. Full article
(This article belongs to the Special Issue Wearable Sensors in Biomechanics and Human Motion)
Show Figures

Figure 1

30 pages, 2580 KB  
Article
Ergonomic Feasibility Assessment of Passive Exoskeleton Use in Simulated Forestry Tasks
by Martin Röhrich, Eva Abramuszkinová Pavliková, Jitka Meňházová, Anastasia Traka and Petros A. Tsioras
Forests 2026, 17(3), 332; https://doi.org/10.3390/f17030332 - 7 Mar 2026
Viewed by 205
Abstract
Forestry, nursery, and planting tasks involve repetitive trunk flexion, squatting, and kneeling, as well as manual handling, increasing musculoskeletal load, and the need for mobility-related safety measures. Passive exoskeletons could mitigate postural exposure and reduce the overall body workload. We conducted a preliminary [...] Read more.
Forestry, nursery, and planting tasks involve repetitive trunk flexion, squatting, and kneeling, as well as manual handling, increasing musculoskeletal load, and the need for mobility-related safety measures. Passive exoskeletons could mitigate postural exposure and reduce the overall body workload. We conducted a preliminary study (n = 14) to test the feasibility of a protocol and estimated model- and task-specific trends during standardized simulated nursery activities in a laboratory setting. Participants simulated planting and seeding tasks (loads of 0.5–2 kg) and material handling and preparation tasks (loads of 5–15 kg) without an exoskeleton (No-EXO) and with three passive models (EXO 1–EXO 3). EXO 3 was excluded from the planting tasks for feasibility reasons. Whole-body kinematics were recorded using an IMU-based motion capture system and converted into time-based ergonomic exposure outcomes (OWAS and RULA). Physiological load was monitored via heart-rate (HR) measurements. Compared to the No-EXO condition, exoskeleton use shifted posture exposure towards lower-risk categories. The largest improvements were observed with EXO 2 and EXO 3 during material handling (OWAS: −18%/−20%; RULA action-level reduction: −25%/−39%) and with EXO 2 during planting/seeding (OWAS: −15%; RULA: −26%). HRmax did not increase across tasks or conditions and HR tended not to rise with higher workload when exoskeletons were used. Overall, the results suggest positive ergonomic and workload trends related to the model and tasks. Field validation on uneven terrain with full personal protective equipment and harness integration is needed to confirm usability and support and to define implementation requirements (fit, compatibility with PPE, and safe-use conditions). Full article
(This article belongs to the Section Forest Operations and Engineering)
Show Figures

Figure 1

14 pages, 1716 KB  
Article
Anisotropic Extrudate Swell from a Slit Die: A Velocity-Centre Hypothesis and Numerical Verification
by Guangdong Zhang, Xinyu Hao and Linzhen Zhou
Polymers 2026, 18(5), 652; https://doi.org/10.3390/polym18050652 - 7 Mar 2026
Viewed by 231
Abstract
While anisotropic extrudate swell in polymer processing is fundamentally driven by physical viscoelastic recovery, this paper proposes a theoretical framework to explicitly isolate and map the purely geometric and kinematic components of this phenomenon. Serving as a mathematical proof-of-concept, a multi-velocity-centre hypothesis is [...] Read more.
While anisotropic extrudate swell in polymer processing is fundamentally driven by physical viscoelastic recovery, this paper proposes a theoretical framework to explicitly isolate and map the purely geometric and kinematic components of this phenomenon. Serving as a mathematical proof-of-concept, a multi-velocity-centre hypothesis is proposed. By introducing a semi-empirical, lumped material-flow calibration parameter, the macroscopic diameter swell ratio is mathematically extended to the discrete local flow field of a rectangular slit die. To evaluate its validity, the analytical framework is subjected to a numerical test for kinematic consistency utilizing isothermal, inelastic power-law fluid CFD simulations, thereby separating geometric mapping from complex viscoelastic stress relaxation. Results indicate that analytical predictions show good agreement with CFD data (error < 5%) strictly within the core zone of high-aspect-ratio dies. However, due to the infinite-slit assumption, 3D flow kinematics near die edges induce velocity decay, leading to local deviations that require future empirical corrections. Although comprehensive physical extrusion experiments and non-isothermal viscoelastic coupling are required for industrial deployment, this semi-empirical kinematic mapping provides a foundational mathematical basis that could potentially inform future inverse die-profile design and shape distortion compensation. Full article
(This article belongs to the Section Polymer Processing and Engineering)
Show Figures

Figure 1

21 pages, 3931 KB  
Article
Vehicle Speed Estimation Using Infrastructure-Mounted LiDAR via Rectangle Edge Matching
by Injun Hong and Manbok Park
Appl. Sci. 2026, 16(5), 2513; https://doi.org/10.3390/app16052513 - 5 Mar 2026
Viewed by 174
Abstract
Smart transportation infrastructure is increasingly deployed, and cooperative perception using stationary Light Detection and Ranging (LiDAR) sensors installed at intersections and along roadsides is becoming more important. However, infrastructure LiDAR often suffers from sparse point-cloud data (PCD) at long ranges and frequent occlusions, [...] Read more.
Smart transportation infrastructure is increasingly deployed, and cooperative perception using stationary Light Detection and Ranging (LiDAR) sensors installed at intersections and along roadsides is becoming more important. However, infrastructure LiDAR often suffers from sparse point-cloud data (PCD) at long ranges and frequent occlusions, which can degrade the stability of inter-frame displacement and speed estimation. This paper proposes a real-time vehicle speed estimation method that operates robustly under sparse and partially observed conditions. The proposed approach extracts boundary points from clustered vehicle PCD and removes outliers, and then fits a 2D rectangle to the vehicle contour via Gauss–Newton optimization by minimizing distance-based residuals between boundary points and rectangle edges. To further improve robustness, we incorporate Hessian augmentation terms that account for boundary states and size variations, thereby alleviating excessive boundary violations and abnormal deformation of the width and height parameters during iterations. Next, from the fitted rectangles in consecutive frames, we construct a nearest corner with respect to the LiDAR origin and an auxiliary point, and perform 2D SVD-based alignment using only these two representative points. This enables efficient computation of inter-frame displacement and speed without full point-cloud registration (e.g., iterative closest point (ICP)). Experiments conducted at an intersection in K-City (Hwaseong, Republic of Korea) using a 40-channel LiDAR, a test vehicle (Genesis G70), and a real-time kinematic (RTK) system (MRP-2000) show that the proposed method stably preserves representative points and fits rectangles, even in sparse regions where only about two LiDAR rings are observed. Using CAN-based vehicle speed as the reference, the proposed method achieves an MAE of 0.76–1.37 kph and an RMSE of 0.90–1.58 kph over the tested speed settings (30, 50, and 70 kph, as well as high speed (~90 kph)) and trajectory scenarios. Furthermore, per-object processing-time measurements confirm the real-time feasibility of the proposed algorithm. Full article
Show Figures

Figure 1

22 pages, 4807 KB  
Article
Design and Experiment of Seed Dressing Device for Cut Potatoes Based on Discrete Element Method
by Jicheng Li, Lechang Wang, Lei Shi, Qiang Gao, Xiaoxin Zhu, Longhai Li and Yanjie Ren
Agriculture 2026, 16(5), 600; https://doi.org/10.3390/agriculture16050600 - 5 Mar 2026
Viewed by 203
Abstract
To address the problems of high labor intensity, high production cost, low efficiency, and unevenness in the manual seed dressing process of cut potatoes, as well as the poor quality and easy damage caused by the poor adaptability of existing seed dressing equipment, [...] Read more.
To address the problems of high labor intensity, high production cost, low efficiency, and unevenness in the manual seed dressing process of cut potatoes, as well as the poor quality and easy damage caused by the poor adaptability of existing seed dressing equipment, this study designs a drum-type seed dressing device for cut potatoes based on design principles of seed treatment machinery. A kinematic model of the seed dressing process was established, and the process was simulated using EDEM 2024 discrete element simulation software combined with ray tracing. Two indicators commonly used in the pharmaceutical industry were introduced to evaluate seed dressing uniformity: the inter-tablet variation coefficient (CoVinter) and intra-tablet variation coefficient (CoVintra). Through single-factor experiments and three-factor, five-level orthogonal rotational combination experiments, the influence of drum speed, spiral guide plate pitch, and feed rate on the seed dressing effect were explored, and the parameters were optimized. The results show that the optimal parameter combination is a drum speed of 32.84 r·min−1, a spiral guide plate pitch of 682.64 mm, and a feed rate of 10.44 t·h−1, at which CoVinter was 6.33% and CoVintra was 6.35%. Bench tests verified that the seed dressing pass rate reached 94.1% and the breakage rate was only 0.32% under this parameter combination, meeting the requirements for seed potato treatment in mechanized potato planting. These findings can facilitate the progress of potato-seed engineering and offer theoretical and technical support for the development of mechanized potato seed dressing equipment. Full article
(This article belongs to the Section Agricultural Technology)
Show Figures

Figure 1

18 pages, 1076 KB  
Article
Depth Sensor-Based Instrumentation of the Fukuda Stepping Test: Reliability and Clinical Associations in Older Adults
by Hasan Tolga Ünal, Mertcan Koçak, Sebahat Yaprak Çetin, Özgün Kaya Kara and Mert Doğan
Sensors 2026, 26(5), 1623; https://doi.org/10.3390/s26051623 - 5 Mar 2026
Viewed by 139
Abstract
This study evaluated the test–retest reliability of a depth sensor-based Fukuda Stepping Test and examined associations between sensor-derived kinematic parameters and established clinical outcomes in older adults. Eighty-six community-dwelling older adults (mean age 70.3 ± 4.7 years) performed an eyes-closed stepping task monitored [...] Read more.
This study evaluated the test–retest reliability of a depth sensor-based Fukuda Stepping Test and examined associations between sensor-derived kinematic parameters and established clinical outcomes in older adults. Eighty-six community-dwelling older adults (mean age 70.3 ± 4.7 years) performed an eyes-closed stepping task monitored by a Microsoft Kinect v2 sensor. Clinical assessments included the Berg Balance Scale, Timed Up and Go test, Five Times Sit-to-Stand, Montreal Cognitive Assessment, International Physical Activity Questionnaire, and WHOQOL-OLD. Test–retest reliability was assessed using intraclass correlation coefficients in a randomly selected subgroup. Reliability estimates varied across parameters, with temporal and displacement-based measures demonstrating more consistent agreement across sessions, whereas selected angular variables showed greater variability. Correlation analyses identified statistically significant associations between trunk kinematic changes and clinical measures, with effect sizes generally ranging from weak to moderate magnitude. Upper trunk rotation was associated with functional mobility measures, while traditional displacement-based metrics demonstrated limited clinical relationships. These findings support the feasibility of markerless depth-sensing technology for objective quantification of movement during the Fukuda Stepping Test and highlight the potential contribution of segmental kinematic parameters to multidimensional functional assessment in older adults. Full article
(This article belongs to the Special Issue Sensors Fusion in Digital Healthcare Applications)
Show Figures

Figure 1

Back to TopTop