Sign in to use this feature.

Years

Between: -

Subjects

remove_circle_outline
remove_circle_outline
remove_circle_outline
remove_circle_outline
remove_circle_outline
remove_circle_outline
remove_circle_outline
remove_circle_outline
remove_circle_outline

Journals

Article Types

Countries / Regions

remove_circle_outline
remove_circle_outline

Search Results (301)

Search Parameters:
Keywords = kaposi sarcoma

Order results
Result details
Results per page
Select all
Export citation of selected articles as:
8 pages, 1471 KB  
Case Report
Unilateral Acroangiodermatitis: From Histopathologic Confirmation to Treatment with PDL
by André Aparício Martins, José Carlos Cardoso and André Pinho
Dermatopathology 2025, 12(4), 35; https://doi.org/10.3390/dermatopathology12040035 - 8 Oct 2025
Viewed by 49
Abstract
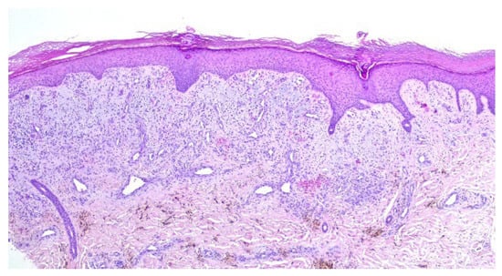
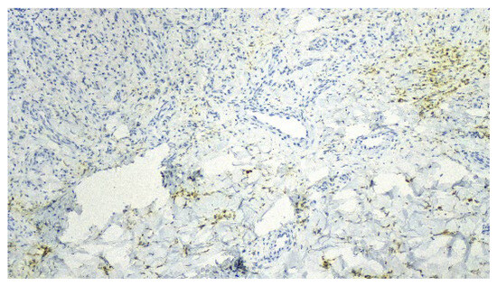
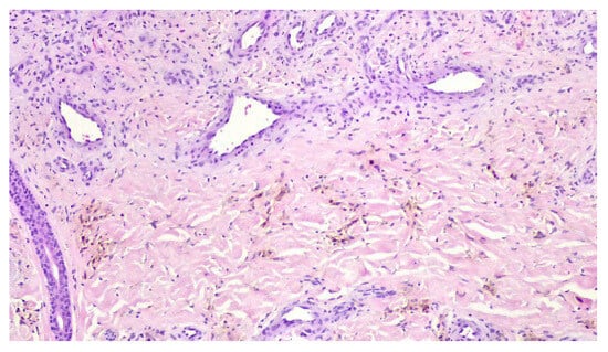
Acroangiodermatitis is an uncommon angioproliferative dermatosis, related to chronic circulatory diseases, such as chronic venous insufficiency and arteriovenous malformations. We describe the case of a 32-year-old healthy male presenting with a pruritic, brownish lesion on the dorsal surface of the left foot, evolving [...] Read more.
Acroangiodermatitis is an uncommon angioproliferative dermatosis, related to chronic circulatory diseases, such as chronic venous insufficiency and arteriovenous malformations. We describe the case of a 32-year-old healthy male presenting with a pruritic, brownish lesion on the dorsal surface of the left foot, evolving for ten years. Physical examination revealed a brown plaque, with a verrucous surface, on the distal dorsum and medial border of the left foot. Histopathology disclosed a marked neovascularization of the upper dermis, associated with erythrocyte extravasation and hemosiderin deposition. Immunochemistry for HHV-8 was negative. CT angiography revealed multiple serpiginous vessels on the dorsum of the left foot, suggestive of a venous malformation. The diagnosis of acroangiodermatitis was established and the patient started topical corticosteroids and compression stockings, without improvement. Although scarcely described in the literature, treatment with PDL was proposed given the vascular proliferation confined to the papillary dermis. After two sessions, a significant improvement was observed. This case emphasises dermatopathology as the gold standard for the differential diagnosis with Kaposi sarcoma. In addition, it highlights PDL as a promising therapeutic option, based on the superficial histopathological location. Full article
Show Figures

Figure 1

8 pages, 3337 KB  
Case Report
Diagnostic Challenges in HHV-8-Associated Multicentric Castleman Disease in a Patient with Prior Kaposi Sarcoma
by Seraphima S. Sidhom, Luke A. Laconi, Christopher A. LaFond and Steven C. Weindorf
Dermatopathology 2025, 12(4), 33; https://doi.org/10.3390/dermatopathology12040033 - 2 Oct 2025
Viewed by 194
Abstract
Human herpesvirus-8 (HHV-8)-associated multicentric Castleman disease (MCD) is a rare lymphoproliferative disorder with systemic and cutaneous manifestations that can be diagnostically challenging, especially in immunocompromised patients. We report the case of a 68-year-old man with HIV and biopsy-proven Kaposi sarcoma (KS), who developed [...] Read more.
Human herpesvirus-8 (HHV-8)-associated multicentric Castleman disease (MCD) is a rare lymphoproliferative disorder with systemic and cutaneous manifestations that can be diagnostically challenging, especially in immunocompromised patients. We report the case of a 68-year-old man with HIV and biopsy-proven Kaposi sarcoma (KS), who developed progressive fevers, night sweats, weight loss, and fatigue, accompanied by diffuse lymphadenopathy, splenomegaly, and new erythematous and hyperpigmented lesions shortly after intravenous immunoglobulin therapy for Guillain–Barré syndrome. A laboratory evaluation revealed that the patient had elevated total protein and polyclonal hypergammaglobulinemia, without monoclonality. Imaging demonstrated widespread lymphadenopathy and splenomegaly. A core lymph node biopsy showed polytypic plasmacytosis, but was non-diagnostic. Given the ongoing symptoms, an excisional biopsy was performed, revealing regressed germinal centers with increased interfollicular vascularity, mantle zone “onion skinning,” and HHV-8 LANA-1 nuclear positivity, establishing the diagnosis of HHV-8-associated MCD. Rituximab monotherapy was initiated, resulting in clinical improvement, resolution of the constitutional symptoms, and stabilization of ascites. This case highlights the importance of maintaining a high index of suspicion for MCD in patients with KS who develop new systemic or cutaneous findings, the limitations of a core biopsy, and the value of a timely excisional biopsy in guiding diagnosis and treatment. Full article
Show Figures

Figure 1

15 pages, 596 KB  
Article
Risk Factors for the Development of Malignancies Post-Transplantation in Kidney Transplant Recipients
by Kalliopi Vallianou, Ioannis Bellos, Vassilis Filiopoulos, Chrysanthi Skalioti, Pagona Lagiou, Vassiliki Benetou and Smaragdi Marinaki
Biomedicines 2025, 13(10), 2346; https://doi.org/10.3390/biomedicines13102346 - 25 Sep 2025
Viewed by 316
Abstract
Background/Objectives: Malignancies constitute a major cause of death among kidney transplant recipients, and their incidence is increasing globally. We aimed to estimate the frequency of de novo malignancies and identify factors associated with their occurrence among kidney transplant recipients. Methods: Data [...] Read more.
Background/Objectives: Malignancies constitute a major cause of death among kidney transplant recipients, and their incidence is increasing globally. We aimed to estimate the frequency of de novo malignancies and identify factors associated with their occurrence among kidney transplant recipients. Methods: Data were derived from the medical records of patients who received a kidney transplant between January 1979 and December 2023 in “Laiko” University Hospital in Athens, Greece. Κidney transplant recipients with a diagnosis of de novo malignancy were compared with recipients without malignancy and were matched for age, sex and year of transplantation. Demographic and clinical characteristics, data on immunosuppression and cancer type were recorded. Multivariate logistic regression was employed to identify possible risk factors for cancer occurrence. Results: Out of 2986 recipients, 268 (8.98%) developed malignancies within a median time of 8 (interquartile range—IQR: 4–16) years after transplantation. Of them, 59.3% were males, the median age at transplantation was 48 (IQR: 39–57) years and the median dialysis vintage was 31.5 (IQR: 9.5–70) months. In addition, 17.2% had a history of rejection. The majority (66.7%) received a combination of mycophenolate and a calcineurin inhibitor with or without steroids. The most frequent malignancies were lung cancer (13%) and post-transplant lymphoproliferative disease (13%), followed by Kaposi sarcoma (8.2%). At diagnosis, 37% had generalized end-stage disease and 19% had aggressive disease with poor prognosis. In multivariate analysis, a history of rejection (odds ratio—OR = 1.75, 95% CI = 1.04–2.94) and glomerulonephritis as primary kidney disease (OR = 2.23, 95% CI = 1.06–4.67) were both significantly associated with malignancy development, whereas immunosuppressive medication was not. Conclusions: Cancer occurrence among kidney transplant recipients was related to the cumulative burden of immunosuppression rather than a specific immunosuppressant. Full article
(This article belongs to the Special Issue Innovations and Perspectives in Kidney Transplantation)
Show Figures

Figure 1

29 pages, 1497 KB  
Review
Oncogenic Viruses in Organ Transplantation: Implications of Virus-Host Interactions for Cancer Development
by Seyed-Mahmood Seyed-Khorami, Arezou Azadi, Ala Habibian, Monireh Hosseini, Xiaofeng Fan, Hoorieh Soleimanjahi and Mahmoud Reza Pourkarim
Viruses 2025, 17(10), 1299; https://doi.org/10.3390/v17101299 - 25 Sep 2025
Viewed by 582
Abstract
Organ transplantation significantly enhances the survival and quality of life for recipients. However, multiple dependent and independent variables can adversely affect life expectancy after transplantation. Cancer is one of the most common causes of morbidity and mortality for long-term organ transplant recipients. The [...] Read more.
Organ transplantation significantly enhances the survival and quality of life for recipients. However, multiple dependent and independent variables can adversely affect life expectancy after transplantation. Cancer is one of the most common causes of morbidity and mortality for long-term organ transplant recipients. The incidence of cancer in transplanted tissues can be twice as high in approximately 32 distinct cancer types. Oncogenic viruses present in graft tissues may contribute to the etiology of various cancers in transplant recipients. Such oncogenic viruses include hepatitis viruses, papillomaviruses, Epstein–Barr virus, Kaposi’s sarcoma, Merkel cell virus, JC virus, BK virus, and human T-lymphotropic virus type 1, all of which have been associated with various malignancies in these patients. To mitigate this risk, a comprehensive viral screening protocol should be integrated into the transplantation process. Depending on the type of graft, diagnostic methods, control strategies, and post-transplantation care may vary considerably. To efficiently implement any strategy to inhibit viral oncogenicity, a comprehensive understanding of viral–host interactions involving oncogenic viruses within graft tissue is essential. The current view of tumor biology is that changes in the tumor microenvironment and immune signaling influence evolutionary selection pressures. Such interactions ultimately promote conditions that favor uncontrolled host–cell proliferation and malignant transformation. This review examines these viral–host interactions and their role in cancer development among transplant recipients. Full article
(This article belongs to the Section General Virology)
Show Figures

Figure 1

10 pages, 4074 KB  
Case Report
Collision Tumor of Angioimmunoblastic T-Cell Lymphoma and Kaposi Sarcoma in an HIV-Negative Elderly Woman: The First Reported Case in Asia
by Myung-Won Lee and Jin-Man Kim
Diagnostics 2025, 15(18), 2411; https://doi.org/10.3390/diagnostics15182411 - 22 Sep 2025
Viewed by 433
Abstract
Background/Objectives: Angioimmunoblastic T-cell lymphoma (AITL) is a rare peripheral T-cell lymphoma of follicular helper T-cell (TFH) origin, often associated with immune dysregulation and EBV-positive B-cell proliferation. Kaposi sarcoma (KS) is a vascular neoplasm caused by human herpesvirus 8 (HHV-8), typically arising in immunocompromised [...] Read more.
Background/Objectives: Angioimmunoblastic T-cell lymphoma (AITL) is a rare peripheral T-cell lymphoma of follicular helper T-cell (TFH) origin, often associated with immune dysregulation and EBV-positive B-cell proliferation. Kaposi sarcoma (KS) is a vascular neoplasm caused by human herpesvirus 8 (HHV-8), typically arising in immunocompromised individuals. The synchronous occurrence of AITL and KS in HIV-negative patients is exceptionally rare, with only three cases previously reported worldwide. Case Presentation: We describe an 81-year-old HIV-negative Korean woman presenting with progressive generalized edema and dyspnea. Imaging revealed multifocal lymphadenopathy. Excisional biopsy of the inguinal lymph node showed two distinct but adjacent neoplastic processes. The AITL component demonstrated a polymorphous infiltrate of atypical TFH cells expressing CD3, CD4, CD10, PD-1, and Bcl-6, with monoclonal TCR-γ rearrangement and TET2 and RHOA mutations. The KS component comprised spindle cells with slit-like vascular spaces, red blood cell extravasation, and immunoreactivity for HHV-8, CD31, CD34, and ERG. The findings were consistent with a collision tumor. Despite supportive care, the patient’s condition deteriorated, and she was discharged with palliative care. Discussion: The coexistence of AITL and KS in an HIV-negative setting raises important pathogenetic considerations. AITL is characterized by profound immune dysregulation, with depletion of normal T-cell subsets, abnormal B-cell activation, and cytokine milieu changes that may favor latent viral reactivation. This immunologic environment may permit HHV-8 reactivation, thereby facilitating the development of KS even in the absence of overt immunodeficiency due to HIV infection. Our findings support the hypothesis that AITL-related immune dysfunction may create a permissive niche for HHV-8-driven neoplasia. Conclusions: This is the first reported case in Asia and the fourth worldwide of a collision tumor comprising AITL and KS in an HIV-negative patI dient. The case suggests that AITL-associated immune dysregulation may facilitate HHV-8 reactivation and KS development even in the absence of HIV infection. Awareness of this association is critical for accurate diagnosis and optimal patient management. Full article
(This article belongs to the Section Pathology and Molecular Diagnostics)
Show Figures

Figure 1

11 pages, 336 KB  
Article
Prevalence and Clinical Characteristics of Visceral Involvement in HIV-Associated Kaposi Sarcoma: A Three-Year Retrospective Cohort Study at a Tertiary Care Center in Mexico
by Emily Itzel Pecero-García, Juan Carlos Domínguez-Hermosillo, Yessica Sara Pérez-González, Juan Pablo Sánchez-Navarro, Mauricio Alfredo Ambriz-Alarcón, Natalia Jaime-Gómez, Sol Ramírez-Ochoa, Gabino Cervantes-Guevara, Berenice Vicente-Hernández, Francisco Javier Hernández-Mora and Enrique Cervantes-Pérez
Microorganisms 2025, 13(9), 2187; https://doi.org/10.3390/microorganisms13092187 - 19 Sep 2025
Viewed by 416
Abstract
Despite advances in the understanding of Kaposi sarcoma (KS), research from resource-limited settings remains limited. This study aimed to estimate the proportion of epidemic visceral KS among Mexican people living with HIV (PLHIV) and to describe their clinical and biochemical characteristics. We included [...] Read more.
Despite advances in the understanding of Kaposi sarcoma (KS), research from resource-limited settings remains limited. This study aimed to estimate the proportion of epidemic visceral KS among Mexican people living with HIV (PLHIV) and to describe their clinical and biochemical characteristics. We included PLHIV with histopathologically confirmed KS who received care at the National Medical Center La Raza between March 2020 and February 2023. We calculated the prevalence of epidemic KS and epidemic visceral KS and analyzed clinical and biochemical variables potentially associated with visceral involvement. The prevalence of epidemic KS was 5.6%. Among these cases, 51.4% had visceral involvement, yielding an overall prevalence of 2.8%. Patients with epidemic visceral KS exhibited significantly higher rates of oral mucosal involvement and lower hemoglobin levels compared with those without visceral disease. These findings highlight the substantial burden of epidemic visceral KS in this population and should be confirmed in future studies with larger cohorts and robust designs aimed at identifying clinical and biochemical predictors of visceral involvement. Full article
Show Figures

Figure 1

14 pages, 1700 KB  
Review
Castleman Disease and Kaposi Sarcoma: A Review of the Literature and a Case Series
by Nerina Denaro, Lucia Brambilla, Federica Scarfì, Athanasia Tourlaki, Antonio Muscatello, Cinzia Solinas, Nicolò Rampi, Alessandra Bandera and Ornella Garrone
J. Clin. Med. 2025, 14(18), 6563; https://doi.org/10.3390/jcm14186563 - 18 Sep 2025
Viewed by 332
Abstract
Castleman disease and Kaposi sarcoma (KS) are both associated with infection by human herpesvirus 8 (HHV-8), also known as Kaposi’s sarcoma-associated herpesvirus (KSHV). This virus plays a critical role in the pathogenesis of both conditions, particularly in immunocompromised individuals, such as those with [...] Read more.
Castleman disease and Kaposi sarcoma (KS) are both associated with infection by human herpesvirus 8 (HHV-8), also known as Kaposi’s sarcoma-associated herpesvirus (KSHV). This virus plays a critical role in the pathogenesis of both conditions, particularly in immunocompromised individuals, such as those with HIV/AIDS. Multicentric Castleman disease (MCD) generally presents with systemic inflammatory symptoms, lymphadenopathy, and organ dysfunction, while Kaposi sarcoma typically appears as vascular tumors on the skin, with occasional involvement of mucous membranes or internal organs. We present four clinical cases, with concurrent KS and MCD, treated with chemotherapy and rituximab, with a satisfactory response. We highlighted the essential role of prompt investigation of systemic or inflammatory manifestations (fever, vital parameter alterations such as palpitation, high breath frequency, edema, and kidney impairment) as underlined in our case series, which might underscore possible complications. Multiorgan failure, opportunistic infections, or rapid clinical deterioration might occur if the diagnosis is not adequately assessed. Therefore, this paper emphasizes the importance of timely diagnosis, as it enables the prompt initiation of appropriate antiviral, immunomodulatory, or oncologic therapies—interventions that can significantly improve outcomes and may be life-saving in advanced or aggressive disease presentations. Full article
(This article belongs to the Special Issue Advances in the Diagnosis and Treatment of Skin Cancer)
Show Figures

Figure 1

40 pages, 17153 KB  
Review
Immunotherapy of Oncovirus-Induced Cancers: A Review on the Development and Efficacy of Targeted Vaccines
by Chi Sing Ng
Vaccines 2025, 13(9), 911; https://doi.org/10.3390/vaccines13090911 - 27 Aug 2025
Viewed by 813
Abstract
Background: A number of viruses are oncogenic. These include the human papilloma virus (HPV), Epstein–Barr virus (EBV), Kaposi sarcoma human herpes virus 2/human herpes virus 8 (KSHHV/HHV8), hepatitis B virus, (HBV), hepatitis C virus (HCV), Merkel cell polyoma virus (McPyV), and the human [...] Read more.
Background: A number of viruses are oncogenic. These include the human papilloma virus (HPV), Epstein–Barr virus (EBV), Kaposi sarcoma human herpes virus 2/human herpes virus 8 (KSHHV/HHV8), hepatitis B virus, (HBV), hepatitis C virus (HCV), Merkel cell polyoma virus (McPyV), and the human T-cell leukemia virus type 1 (HTLV-1). These viruses cause malignancies ranging from carcinomas, sarcomas, lymphomas, to leukemias. This review aims to study the effects and efficacy of vaccines against these viruses and the cancers they cause in their prevention and treatment. Methods: The literature in the past 30 years was searched employing Scopus and Google Scholar using the keywords “oncogenic viruses, HPV, EBV, KSHHV, HHV8, Polyoma virus, HTLV-1, COVID-19, carcinoma, sarcoma, lymphoma, leukemia, anti-virus vaccines”. Results: Prophylactic vaccines against the HPV and HBV are highly effective in preventing and reducing the incidence of uterine cervical and hepatocellular carcinomas. Prophylactic vaccines against other oncogenic viruses have been less successful, though efficacious in some experimental animals. Therapeutic vaccines are still mostly under evaluation and development. Conclusions: Identification of oncogenic viruses has rendered anti-viral vaccines conspicuous tools for preventing and treating cancers they cause. Many endeavors for the development of such vaccines have been met with limited success, apart from the very effective anti-HPV and anti-HBV vaccines in universal vaccination programs. With the development of new vaccine technologies, it is hoped that effective vaccines against other oncogenic viruses will be developed in the future. Full article
Show Figures

Graphical abstract

59 pages, 3495 KB  
Review
Cannabidiol in Skin Health: A Comprehensive Review of Topical Applications in Dermatology and Cosmetic Science
by Aura Rusu, Andreea-Maria Farcaș, Octavia-Laura Oancea and Corneliu Tanase
Biomolecules 2025, 15(9), 1219; https://doi.org/10.3390/biom15091219 - 23 Aug 2025
Viewed by 3405
Abstract
Cannabidiol (CBD), a non-psychoactive phytocannabinoid derived from Cannabis sativa L., has emerged as a promising multifunctional agent in dermatology and cosmetic science. The review provides an updated synthesis of CBD’s topical therapeutic potential, challenges, and evolving regulatory frameworks. CBD exhibits diverse biological effects, [...] Read more.
Cannabidiol (CBD), a non-psychoactive phytocannabinoid derived from Cannabis sativa L., has emerged as a promising multifunctional agent in dermatology and cosmetic science. The review provides an updated synthesis of CBD’s topical therapeutic potential, challenges, and evolving regulatory frameworks. CBD exhibits diverse biological effects, including anti-inflammatory, antioxidant, antibacterial, analgesic, lipostatic, antiproliferative, moisturising, and anti-ageing properties through interactions with the skin’s endocannabinoid system (ECS), modulating CB1, CB2, TRPV channels, and PPARs. Preclinical and clinical evidence support its efficacy in managing acne, psoriasis (including scalp psoriasis), atopic and seborrheic dermatitis, and allergic contact dermatitis. CBD also relieves pruritus through neuroimmune modulation and promotes wound healing in conditions such as pyoderma gangrenosum and epidermolysis bullosa. In hair disorders such as androgenetic alopecia, it aids follicular regeneration. CBD shows promise in managing skin cancers (melanoma, squamous cell carcinoma, Kaposi sarcoma) and pigmentation disorders such as melasma and vitiligo. It enhances skin rejuvenation by reducing oxidative stress and boosting collagen and hydration. However, there are challenges regarding CBD’s physicochemical stability, skin penetration, and regulatory standardisation. As consumer demand for natural, multifunctional skincare grows, further research is essential to validate its long-term safety, efficacy, and optimal formulation strategies. Full article
Show Figures

Graphical abstract

16 pages, 821 KB  
Article
Malignancies After Renal Transplantation: Frequency, Etiology, and Prognosis—A Single Center Experience
by Fatih Atalah, Aydın Acarbay, Akgün Karakök, Mehmet Beşiroğlu, Fatih Kuş, Huzeyfe Arıcı, Ahmet Burak Dirim, Vafa Suleymanova, Aydın Türkmen and Halil Yazıcı
J. Clin. Med. 2025, 14(16), 5858; https://doi.org/10.3390/jcm14165858 - 19 Aug 2025
Viewed by 975
Abstract
Introduction and Aim: Renal transplant recipients face significant long-term graft and patient loss due to post-transplant malignancies. This study aimed to characterize post-transplant malignancies, determine mortality risk factors, and evaluate patient outcomes. Materials and Methods: This retrospective study included 2052 kidney [...] Read more.
Introduction and Aim: Renal transplant recipients face significant long-term graft and patient loss due to post-transplant malignancies. This study aimed to characterize post-transplant malignancies, determine mortality risk factors, and evaluate patient outcomes. Materials and Methods: This retrospective study included 2052 kidney transplant recipients who underwent transplantation between 1976 and 2019 at our institution, other national centers, or international facilities, and who had at least six months of follow-up. Regardless of the transplant center, all patients were followed exclusively at our nephrology department for post-transplant care. A comprehensive review of patient files was conducted, encompassing demographic data, malignancy type and treatment, mortality rates, tissue compatibility assessments, viral serology results, immunosuppression protocols, acute rejection history, and pre-transplant malignancies. The relationships between these variables and mortality were examined. Results: A total of 167 malignant events were observed in 163 patients out of 2052 renal transplant patients (7.9%). The female patients comprised 34.4% (n = 56) of the participants. Ages at transplantation and malignancy diagnosis had medians of 40.0 (13–72) and 50.0 (23–78) years, respectively. The leading malignancy was skin cancer at 30.0%, with Kaposi sarcoma at 11.3% and post-transplant lymphoproliferative disease at 10.6% following. Of the patients followed up, 58.9% (93 patients) had mortality. In univariate analysis, older age at transplant, older age at malignancy diagnosis, and male sex were associated with mortality; however, no independent predictors were identified in the multivariate model (all p > 0.05), likely due to sample size limitations and inter-variable collinearity. Mortality showed statistically significant associations (p < 0.05) with increased age at transplantation, increased age at malignancy diagnosis, and male gender. Conclusions: Post-transplant malignancies significantly compromise both graft longevity and patient survival. Particularly aggressive skin cancers demand heightened clinical vigilance. Early detection through regular dermatological screening, patient education, and timely biopsies must become integral to long-term transplant care protocols. Full article
(This article belongs to the Section Nephrology & Urology)
Show Figures

Figure 1

14 pages, 269 KB  
Article
Porcine Lymphotropic Herpesvirus (PLHV) Was Not Transmitted During Transplantation of Genetically Modified Pig Hearts into Baboons
by Hina Jhelum, Martin Bender, Bruno Reichart, Jan-Michael Abicht, Matthias Längin, Benedikt B. Kaufer and Joachim Denner
Int. J. Mol. Sci. 2025, 26(15), 7378; https://doi.org/10.3390/ijms26157378 - 30 Jul 2025
Viewed by 537
Abstract
Porcine lymphotropic herpesviruses -1, -2, and -3 (PLHV-1, PLHV-2, and PLHV-3) are gammaherpesviruses that are widespread in pigs. These viruses are closely related to the human pathogens Epstein–Barr virus (EBV) and Kaposi sarcoma-associated herpesvirus (KSHV), both of which are known to cause severe [...] Read more.
Porcine lymphotropic herpesviruses -1, -2, and -3 (PLHV-1, PLHV-2, and PLHV-3) are gammaherpesviruses that are widespread in pigs. These viruses are closely related to the human pathogens Epstein–Barr virus (EBV) and Kaposi sarcoma-associated herpesvirus (KSHV), both of which are known to cause severe diseases in humans. To date, however, no definitive association has been established between PLHVs and any disease in pigs. With the growing interest in xenotransplantation as a means to address the shortage of human organs for transplantation, the safety of using pig-derived cells, tissues, and organs is under intense investigation. In preclinical trials involving pig-to-nonhuman primate xenotransplantation, another porcine herpesvirus—porcine cytomegalovirus, a porcine roseolovirus (PCMV/PRV)—was shown to be transmissible and significantly reduced the survival time of the xenotransplants. In the present study, we examined donor pigs and their respective baboon recipients, all of which were part of preclinical pig heart xenotransplantation studies, for the presence of PLHV. PLHV-1, PLHV-2, and PLHV-3 were detected in nearly all donor pigs; however, no evidence of PLHV transmission to the baboon recipients was observed. Full article
34 pages, 2326 KB  
Review
Non-Coding RNAs and Immune Evasion in Human Gamma-Herpesviruses
by Tablow S. Media, Laura Cano-Aroca and Takanobu Tagawa
Viruses 2025, 17(7), 1006; https://doi.org/10.3390/v17071006 - 17 Jul 2025
Viewed by 766
Abstract
Herpesviruses are DNA viruses that evade the immune response and persist as lifelong infections. Human gamma-herpesviruses Epstein–Barr virus (EBV) and Kaposi’s sarcoma herpesvirus (KSHV) are oncogenic; they can lead to cancer. Oncogenic viruses are responsible for 10–15% of human cancer development, which can [...] Read more.
Herpesviruses are DNA viruses that evade the immune response and persist as lifelong infections. Human gamma-herpesviruses Epstein–Barr virus (EBV) and Kaposi’s sarcoma herpesvirus (KSHV) are oncogenic; they can lead to cancer. Oncogenic viruses are responsible for 10–15% of human cancer development, which can have poor prognoses. Non-coding RNAs (ncRNAs) are RNAs that regulate gene expression without encoding proteins, and are being studied for their roles in viral immune evasion, infection, and oncogenesis. ncRNAs are classified by their size, and include long non-coding RNAs, microRNAs, and circular RNAs. EBV and KSHV manipulate host ncRNAs, and encode their own ncRNAs, regulating host processes and immune responses. Viral ncRNAs regulate host functions by post-transcriptionally modifying host RNAs, and by serving as mimics of other host RNAs, promoting immune evasion. ncRNAs in gamma-herpesvirus infection are also important for tumorigenesis, as dampening immune responses via ncRNAs can upregulate pro-tumorigenic pathways. Emerging topics such as RNA modifications, target-directed miRNA degradation, competing endogenous RNA networks, and lncRNA/circRNA–miRNA interactions provide new insights into ncRNA functions. This review compares ncRNAs and the mechanisms of viral immune evasion in EBV and KSHV, while also expanding on recent developments in the roles of ncRNAs in immune evasion, viral infection, and oncogenesis. Full article
Show Figures

Figure 1

23 pages, 860 KB  
Article
Trends in Cancer Incidence and Associated Risk Factors in People Living with and Without HIV in Botswana: A Population-Based Cancer Registry Data Analysis from 1990 to 2021
by Anikie Mathoma, Gontse Tshisimogo, Benn Sartorius and Saajida Mahomed
Cancers 2025, 17(14), 2374; https://doi.org/10.3390/cancers17142374 - 17 Jul 2025
Viewed by 696
Abstract
Background: With a high human immunodeficiency virus (HIV) adult prevalence, people living with HIV (PLHIV) in Botswana continue to experience a high burden of comorbid HIV and cancer. We sought to investigate the trends of acquired immunodeficiency syndrome (AIDS) defining cancers (ADCs), [...] Read more.
Background: With a high human immunodeficiency virus (HIV) adult prevalence, people living with HIV (PLHIV) in Botswana continue to experience a high burden of comorbid HIV and cancer. We sought to investigate the trends of acquired immunodeficiency syndrome (AIDS) defining cancers (ADCs), non-AIDS defining cancers (NADCs), and associated risk factors in PLHIV compared with those without HIV. Methods: We analyzed data from adults aged ≥18 years reported in Botswana National Cancer Registry and National Data Warehouse. The crude, age-standardized incidence rate (ASIR), standardized incidence ratios (SIRs) of cancers and time trends were computed. Risk factors were determined using the Cox-regression model. Results: Over a 30-year period, 27,726 cases of cancer were documented. Of these, 13,737 (49.5%) were PLHIV and 3505 (12.6%) were people without HIV and 10,484 (37.8%) had an unknown HIV status. Compared to the HIV-uninfected, the PLHIV had higher and increasing trends in the cancer incidence overall during the study period (from 44.2 to 1047.6 per 100,000; p-trend < 0.001) versus (from 1.4 to 27.2 per 100,000; p-trend < 0.001). The ASIRs also increased in PLHIV for overall ADCs, NADCs and other sub-types like cervical, lung, breast, and conjunctiva cancers (p-trend < 0.001). Further, PLHIV had elevated SIRs for cervical cancer, Kaposi sarcoma in males and some NADCs. The most common risk factors were HIV infection and female sex for ADCs incidence and advanced age and being HIV-uninfected for NADCs incidence. Conclusions: Increasing trends of ADCs and NADCs during ART expansion were observed among PLHIV compared to those without HIV highlighting a greater need for targeted effective prevention and screening strategies including the provision of access to timely HIV and cancer treatment. Full article
(This article belongs to the Section Cancer Epidemiology and Prevention)
Show Figures

Figure 1

44 pages, 1364 KB  
Review
Oncoviruses in the Oral Cavity: Recent Advances in Understanding Viral Infections and Tumorigenesis
by Letícia Bomfim Campos, Ana Carolina Silva Guimarães, Jéssica Gonçalves Pereira, Carla Sousa da Silva, Nathália Alves Araújo de Almeida, Pedro do Nascimento Marinho, Rafaela Moraes Pereira de Sousa, Irena Duś-Ilnicka and Vanessa Salete de Paula
Int. J. Mol. Sci. 2025, 26(14), 6721; https://doi.org/10.3390/ijms26146721 - 13 Jul 2025
Viewed by 1322
Abstract
Oncoviruses, such as Epstein–Barr virus (EBV), human papillomavirus (HPV), and Kaposi sarcoma-associated herpesvirus (KSHV), have been widely discussed for their oncogenic risk. Initially, the oral cavity was disregarded. In recent years, orientation has shifted to the importance of the oral cavity and cancer-related [...] Read more.
Oncoviruses, such as Epstein–Barr virus (EBV), human papillomavirus (HPV), and Kaposi sarcoma-associated herpesvirus (KSHV), have been widely discussed for their oncogenic risk. Initially, the oral cavity was disregarded. In recent years, orientation has shifted to the importance of the oral cavity and cancer-related issues via Handbook 19 titled “Oral Cancer Prevention” by the International Agency for Research on Cancer, the WHO Global Oral Health Status Report 2022, and multiple other actions focused on reducing the oversight of this neglected area. Oncoviruses play a significant role in oral cavity malignancies by establishing persistent infections, evading host immune responses, and inducing cellular transformation through the disruption of normal regulatory pathways. Molecular biology and microbiome research have advanced our understanding of the complex interplay between oncoviruses and oral microbiota, demonstrating how coinfections and dysbiosis can enhance viral oncogenic potential. These findings improve the understanding of virus-induced oral cancers and support the development of novel diagnostic and therapeutic strategies. This narrative review focuses on the relationship between oncoviruses and the oral cavity by focusing on how a specific virus triggers tumorigenesis for each of the described viruses and how it affects oral cavity cancer development. Finally, we describe recent advances and future perspectives including vaccines and/or treatment. Full article
(This article belongs to the Special Issue Viral Infections and Cancer: Recent Advances and Future Perspectives)
Show Figures

Figure 1

15 pages, 1003 KB  
Review
Patient-Reported Outcome Measurement and Reporting for Patients with Soft Tissue Tumors: A Scoping Literature Review
by Alessandro Mazzocca, Flavia Paternostro, Serena Garofalo, Marianna Silletta, Davide Romandini, Sarah Orlando, Laura Risi Ambrogioni, Pierangelo Gorgone, Giuseppe Tonini and Bruno Vincenzi
Cancers 2025, 17(14), 2280; https://doi.org/10.3390/cancers17142280 - 9 Jul 2025
Viewed by 621
Abstract
(1) Background: Quality of life (QoL) assessment is a crucial aspect for patients diagnosed with cancer. Over the years, different tools have been developed to measure QoL, both generic and pathology specific, but the inclusion of quality of life among other indicators of [...] Read more.
(1) Background: Quality of life (QoL) assessment is a crucial aspect for patients diagnosed with cancer. Over the years, different tools have been developed to measure QoL, both generic and pathology specific, but the inclusion of quality of life among other indicators of efficacy in randomized controlled trials (RCTs) remains a controversial issue. In this review, we aim to review the frequency and modality of QoL assessment in RCTs, enrolling patients diagnosed with mesenchymal tumors. (2) Methods: An electronic literature search of bone and soft tissue sarcoma and GIST-related RCTs published between January 2000 and December 2023 was performed by two independent reviewers using PubMed. English-language phase II and III clinical trials enrolling at least more than 15 patients were included, regardless of the disease stage. Studies involving patients under the age of 18 years or for which the full text was not available were excluded. For each study, data regarding the journal and year of publication, the study design, the primary objective, and the evaluation of quality of life as an endpoint with any type of patient-reported outcomes used were extracted. (3) Results: Among the 742 publications screened, 171 resulted eligible. QoL assessment was listed among the endpoints in 35 trials and QoL results were reported in 29 primary publications. In these trials, 16 included patients with soft tissue sarcomas, 8 Kaposi sarcomas, 6 GIST, and 3 desmoid tumors. Among all the trials included, 10.4% on an adjuvant/neoadjuvant setting and 24.4% on a metastatic setting included QoL as an endpoint. The proportion of trials, including QoL, was variable over time, as follows: 16.9% of trials in 2000–2014 vs. 23.4% in 2015–2023. In 35 trials, including QoL endpoints, 27 had a superiority design and 25 reported a positive result. In the majority of trials (80%), the tools for QoL assessment were generic and those mostly used were the EORTC QLQ-C30, the EQ-5D questionnaire, and the modified Brief Pain Inventory–Short Form. (4) Conclusions: Quality of life has not been assessed or published in many phase II and III trials, despite an improvement over time. QoL evaluation in RCTs should be considered even more carefully in patients with rare tumors, where the low number of patients who can be enrolled makes it difficult to draw statistically significant conclusions on the effectiveness of treatments. Full article
Show Figures

Figure 1

Back to TopTop