Sign in to use this feature.

Years

Between: -

Subjects

remove_circle_outline
remove_circle_outline
remove_circle_outline
remove_circle_outline
remove_circle_outline

Journals

Article Types

Countries / Regions

Search Results (15)

Search Parameters:
Keywords = glanders

Order results
Result details
Results per page
Select all
Export citation of selected articles as:
12 pages, 1647 KB  
Article
Detection of Burkholderia mallei in Microbiological Culture: A Comparative Analysis of PCR Primer Sets
by Jéssica Cristine K. Moriya, Paula Adas P. Suniga, Ana Clara L. Araújo, Maria Goretti Santos, Juliana S. G. Rieger, Cynthia Mantovani, Rodrigo Jardim, Márcio Roberto Silva, Flábio R. Araújo and Lenita R. Santos
Pathogens 2025, 14(8), 766; https://doi.org/10.3390/pathogens14080766 - 2 Aug 2025
Viewed by 706
Abstract
Glanders is a highly contagious and often fatal zoonotic disease of equids caused by Burkholderia mallei, a pathogen of significant concern due to its potential for bioterrorism. In Brazil, glanders remains endemic, particularly among working equids in the Northeast region. Diagnostic confirmation [...] Read more.
Glanders is a highly contagious and often fatal zoonotic disease of equids caused by Burkholderia mallei, a pathogen of significant concern due to its potential for bioterrorism. In Brazil, glanders remains endemic, particularly among working equids in the Northeast region. Diagnostic confirmation typically involves serology, culture, and polymerase chain reaction (PCR), although false-negative PCR results have been increasingly reported. This study aimed to evaluate the diagnostic performance and analytical sensitivity of four B. mallei-specific PCR primer sets using samples from 30 seropositive equids. Microbiological cultures were obtained from various organs and swabs, followed by PCR targeting four genomic regions: fliP-IS407A(a), fliP-IS407A(b), Burk457, and Bm17. All animals were confirmed positive for B. mallei via culture, but PCR detection rates varied significantly across primer sets. The fliP-IS407A(b) primer set showed the highest sensitivity, detecting 86% of samples, while the WOAH-recommended fliP-IS407A(a) set had the lowest performance (13.4%). Analytical sensitivity assays confirmed that fliP-IS407A(b) and Bm17 primers detected DNA concentrations as low as 0.007 ng, outperforming the others. These findings suggest that certain widely used primer sets may lack sufficient sensitivity for reliable detection of B. mallei, especially in chronically infected animals with low bacterial loads. The study underscores the need for ongoing validation of molecular diagnostics to improve the detection and control of glanders in endemic regions. Full article
(This article belongs to the Section Bacterial Pathogens)
Show Figures

Figure 1

42 pages, 1346 KB  
Review
Burkholderia pseudomallei Complex Subunit and Glycoconjugate Vaccines and Their Potential to Elicit Cross-Protection to Burkholderia cepacia Complex
by Alexander J. Badten and Alfredo G. Torres
Vaccines 2024, 12(3), 313; https://doi.org/10.3390/vaccines12030313 - 15 Mar 2024
Cited by 5 | Viewed by 4937
Abstract
Burkholderia are a group of Gram-negative bacteria that can cause a variety of diseases in at-risk populations. B. pseudomallei and B. mallei, the etiological agents of melioidosis and glanders, respectively, are the two clinically relevant members of the B. pseudomallei complex (Bpc). [...] Read more.
Burkholderia are a group of Gram-negative bacteria that can cause a variety of diseases in at-risk populations. B. pseudomallei and B. mallei, the etiological agents of melioidosis and glanders, respectively, are the two clinically relevant members of the B. pseudomallei complex (Bpc). The development of vaccines against Bpc species has been accelerated in recent years, resulting in numerous promising subunits and glycoconjugate vaccines incorporating a variety of antigens. However, a second group of pathogenic Burkholderia species exists known as the Burkholderia cepacia complex (Bcc), a group of opportunistic bacteria which tend to affect individuals with weakened immunity or cystic fibrosis. To date, there have been few attempts to develop vaccines to Bcc species. Therefore, the primary goal of this review is to provide a broad overview of the various subunit antigens that have been tested in Bpc species, their protective efficacy, study limitations, and known or suspected mechanisms of protection. Then, we assess the reviewed Bpc antigens for their amino acid sequence conservation to homologous proteins found in Bcc species. We propose that protective Bpc antigens with a high degree of Bpc-to-Bcc sequence conservation could serve as components of a pan-Burkholderia vaccine capable of protecting against both disease-causing groups. Full article
Show Figures

Figure 1

12 pages, 2136 KB  
Article
Assessment of the Virulence of the Burkholderia mallei Strain BAC 86/19 in BALB/c Mice
by Emanuelle Baldo Gaspar, Lenita Ramires dos Santos, Andréa Alves do Egito, Maria Goretti dos Santos, Cynthia Mantovani, Juliana da Silva Gomes Rieger, Guilherme Augusto de Sousa Abrantes, Paula Adas Pereira Suniga, Júlia de Mendonça Favacho, Ingrid Batista Pinto, Alessandra Figueiredo de Castro Nassar, Fernando Leandro dos Santos and Flábio Ribeiro de Araújo
Microorganisms 2023, 11(10), 2597; https://doi.org/10.3390/microorganisms11102597 - 20 Oct 2023
Cited by 2 | Viewed by 1816
Abstract
Burkholderia mallei is an aerobic, Gram-negative, non-motile bacillus. As an obligate mammalian pathogen, it primarily affects solipeds. Although rarely transmitted to humans, the disease it causes, glanders, is classified as a zoonosis. The bacterium was officially eradicated in Brazil in 1969; however, it [...] Read more.
Burkholderia mallei is an aerobic, Gram-negative, non-motile bacillus. As an obligate mammalian pathogen, it primarily affects solipeds. Although rarely transmitted to humans, the disease it causes, glanders, is classified as a zoonosis. The bacterium was officially eradicated in Brazil in 1969; however, it reemerged after three decades. This study aims to assess the virulence of a specific B. mallei strain, isolated in Brazil, in BALB/c mice through intranasal infection. The strain, B. mallei BAC 86/19, was obtained from the tracheal secretion of a young mare displaying positive serology but no clinical signs of glanders. Post-mortem examinations revealed macroscopic lesions consistent with the disease, however. In mice, the LD50 was determined to be approximately 1.59 × 105 colony-forming units (CFU)/animal. Mice exposed to either 0.1 × LD50 or 1 × LD50 displayed transient weight loss, which resolved after three or five days, respectively. B. mallei persisted within the liver and lung for five days post-infection and in the spleen for seven days. These findings underscore the detectable virulence of the Brazilian B. mallei BAC 86/19 strain in mice, which are relatively resilient hosts. This research points to the importance of the continued investigation of the virulence mechanisms and potential countermeasures associated with B. mallei infections, including their Brazilian isolates. Full article
Show Figures

Figure 1

9 pages, 638 KB  
Article
Glanders Diagnosis in an Asymptomatic Mare from Brazil: Insights from Serology, Microbiological Culture, Mass Spectrometry, and Genome Sequencing
by Paula Adas Pereira Suniga, Cynthia Mantovani, Maria Goretti dos Santos, Andréa Alves do Egito, Newton Valério Verbisck, Lenita Ramires dos Santos, Alberto Martín Rivera Dávila, Cristina Kraemer Zimpel, Maria Carolina Sisco Zerpa, Daniela Pontes Chiebao, Ana Márcia de Sá Guimarães, Alessandra Figueiredo de Castro Nassar and Flábio Ribeiro de Araújo
Pathogens 2023, 12(10), 1250; https://doi.org/10.3390/pathogens12101250 - 17 Oct 2023
Cited by 4 | Viewed by 2437
Abstract
This manuscript elucidates the occurrence of glanders in an asymptomatic mare from Brazil presenting positive Burkholderia mallei antibody titers. The diagnosis was established through a multi-pronged approach encompassing microbiological culture, mass spectrometry, and genome sequencing. The outbreak occurred in 2019 in Tatuí, São [...] Read more.
This manuscript elucidates the occurrence of glanders in an asymptomatic mare from Brazil presenting positive Burkholderia mallei antibody titers. The diagnosis was established through a multi-pronged approach encompassing microbiological culture, mass spectrometry, and genome sequencing. The outbreak occurred in 2019 in Tatuí, São Paulo, Brazil, and the infected mare, despite displaying no clinical symptoms, had multiple miliary lesions in the liver, as well as intense catarrhal discharge in the trachea. Samples were collected from various organs and subjected to bacterial isolation, molecular detection, and identification. The strain was identified as B. mallei using PCR and confirmed by MALDI-TOF mass spectrometry. Whole-genome sequencing revealed a genome size of 5.51 Mb with a GC content of 65.8%, 5871 genes (including 4 rRNA and 53 tRNA genes), and 5583 coding DNA sequences (CDSs). Additionally, 227 predicted pseudogenes were detected. In silico analysis of different genomic loci that allow for differentiation with Burkholderia pseudomallei confirmed the identity of the isolate as B. mallei, in addition to the characteristic genome size. The BAC 86/19 strain was identified as lineage 3, sublineage 2, which includes other strains from Brazil, India, and Iran. The genome sequencing of this strain provides valuable information that can be used to better understand the pathogen and its epidemiology, as well as to develop diagnostic tools for glanders. Full article
(This article belongs to the Special Issue Molecular Epidemiology of Zoonotic Bacterial Pathogens)
Show Figures

Figure 1

8 pages, 892 KB  
Article
Epidemiological Situation of Glanders in the State of Pará, Brazil
by Ana Paula Vilhena Beckman Pinho, Fernando Ferreira, Jeferson Jacó Fuck, Jefferson Pinto de Oliveira, Ricardo Augusto Dias, José Henrique Hildebrand Grisi-Filho, Marcos Bryan Heinemann, Evelise Oliveira Telles and José Soares Ferreira Neto
Pathogens 2023, 12(2), 218; https://doi.org/10.3390/pathogens12020218 - 31 Jan 2023
Cited by 1 | Viewed by 2055
Abstract
Glanders is an anthropozoonosis caused by the bacteria Burkholderia mallei, affecting mainly equids. It has been eradicated in North America, Australia, and Western Europe, but continues to occur sporadically in countries in Asia, Africa, the Middle East, and South America. Its notification [...] Read more.
Glanders is an anthropozoonosis caused by the bacteria Burkholderia mallei, affecting mainly equids. It has been eradicated in North America, Australia, and Western Europe, but continues to occur sporadically in countries in Asia, Africa, the Middle East, and South America. Its notification is mandatory by the World Organization for Animal Health. After 30 years, the disease reappeared in Brazil in 1999 and, thereafter, 1,413 outbreaks have been reported. However, the epidemiological situation of the disease in the country is not adequately known. Thus, 2718 animals from 654 properties in the state of Pará were randomly selected by sampling and examined using a serial protocol with Complement Fixation and Western Blot serological tests. The prevalence of properties infected with glanders in the state was estimated at 1.68% [0.84; 3.33] and of seropositive animals at 0.50% [0.27; 0.94]. The introduction of animals was individualized as a risk factor for disease introduction in the properties (OR = 5.9 [1.4; 25.5]). Despite the low prevalence of infected properties and seropositive animals, the state must review actions to fight the disease, considering that the strategies implemented have not affected the endemic balance of the disease. This process must involve all public and private agents interested in the topic. Full article
(This article belongs to the Special Issue Emerging Infections in Domestic Animals)
Show Figures

Figure 1

22 pages, 838 KB  
Review
Effective Therapeutic Options for Melioidosis: Antibiotics versus Phage Therapy
by Yue-Min Lim, Jamuna Vadivelu, Vanitha Mariappan, Gopinath Venkatraman and Kumutha Malar Vellasamy
Pathogens 2023, 12(1), 11; https://doi.org/10.3390/pathogens12010011 - 21 Dec 2022
Cited by 14 | Viewed by 7280
Abstract
Melioidosis, also known as Whitmore’s disease, is a potentially fatal infection caused by the Gram-negative bacteria Burkholderia pseudomallei with a mortality rate of 10–50%. The condition is a “glanders-like” illness prevalent in Southeast Asian and Northern Australian regions and can affect humans, animals, [...] Read more.
Melioidosis, also known as Whitmore’s disease, is a potentially fatal infection caused by the Gram-negative bacteria Burkholderia pseudomallei with a mortality rate of 10–50%. The condition is a “glanders-like” illness prevalent in Southeast Asian and Northern Australian regions and can affect humans, animals, and sometimes plants. Melioidosis received the epithet “the great mimicker” owing to its vast spectrum of non-specific clinical manifestations, such as localised abscesses, septicaemia, pneumonia, septic arthritis, osteomyelitis, and encephalomyelitis, which often lead to misdiagnosis and ineffective treatment. To date, antibiotics remain the backbone of melioidosis treatment, which includes intravenous therapy with ceftazidime or meropenem, followed by oral therapy with TMP-SMX or amoxicillin/clavulanic acid and supported by adjunctive treatment. However, bacteria have developed resistance to a series of antibiotics, including clinically significant ones, during treatment. Therefore, phage therapy has gained unprecedented interest and has been proposed as an alternative treatment. Although no effective phage therapy has been published, the findings of experimental phage therapies suggest that the concept could be feasible. This article reviews the benefits and limitations of antibiotics and phage therapy in terms of established regimens, bacterial resistance, host specificity, and biofilm degradation. Full article
Show Figures

Figure 1

15 pages, 1062 KB  
Article
Sequencing-Based Genotyping of Pakistani Burkholderia mallei Strains: A Useful Way for Investigating Glanders Outbreaks
by Hanka Brangsch, Muhammad Saqib, Awais ur Rehman Sial, Falk Melzer, Jörg Linde and Mandy Carolina Elschner
Pathogens 2022, 11(6), 614; https://doi.org/10.3390/pathogens11060614 - 24 May 2022
Cited by 7 | Viewed by 2773
Abstract
Burkholderia (B.) mallei is a host-adapted equine pathogen that causes glanders, a re-emerging zoonotic disease, which is endemic in Pakistan and other developing countries and seriously impacts the global equine movement. Due to globalization, the geographical restriction of diseases vanishes and [...] Read more.
Burkholderia (B.) mallei is a host-adapted equine pathogen that causes glanders, a re-emerging zoonotic disease, which is endemic in Pakistan and other developing countries and seriously impacts the global equine movement. Due to globalization, the geographical restriction of diseases vanishes and the lack of awareness of and experience with eradicated diseases in industrialized countries also promotes the re-introduction of infections in these regions. Owing to the high equine population, the Pakistani province Punjab is a potential hotspot where several glanders outbreaks have been seen over last two decades. For determining the genomic diversity of B. mallei in this and other equine-populated prefectures, the genomes of 19 B. mallei strains isolated between 1999 and 2020 in different locations were sequenced and their genotypes were determined. Particularly, for genetically highly homogenous pathogens like B. mallei genotyping techniques require a high discriminatory power for enabling differentiation on the strain level. Thus, core-genome single nucleotide polymorphism (cgSNP) analysis was applied for distinguishing the highly similar strains. Furthermore, a whole-genome sequence-based core genome multi locus sequence typing (cgMLST) scheme, specific to B. mallei, was developed and additionally applied to the data. It was found that B. mallei genotypes in Pakistan persisted over time and space and genotype clusters preferred connection with a time point rather than the place of isolation, probably due to frequent equine movement, which promotes the spread of glanders. The cgMLST approach proved to work in accord with SNP typing and may help to investigate future glanders outbreaks. Full article
(This article belongs to the Section Bacterial Pathogens)
Show Figures

Figure 1

16 pages, 2881 KB  
Review
Thinking Outside the Bug: Targeting Outer Membrane Proteins for Burkholderia Vaccines
by Megan E. Grund, Jeon Choi Soo, Christopher K. Cote, Rita Berisio and Slawomir Lukomski
Cells 2021, 10(3), 495; https://doi.org/10.3390/cells10030495 - 25 Feb 2021
Cited by 23 | Viewed by 4799
Abstract
Increasing antimicrobial resistance due to misuse and overuse of antimicrobials, as well as a lack of new and innovative antibiotics in development has become an alarming global threat. Preventative therapeutics, like vaccines, are combative measures that aim to stop infections at the source, [...] Read more.
Increasing antimicrobial resistance due to misuse and overuse of antimicrobials, as well as a lack of new and innovative antibiotics in development has become an alarming global threat. Preventative therapeutics, like vaccines, are combative measures that aim to stop infections at the source, thereby decreasing the overall use of antibiotics. Infections due to Gram-negative pathogens pose a significant treatment challenge because of substantial multidrug resistance that is acquired and spread throughout the bacterial population. Burkholderia spp. are Gram-negative intrinsically resistant bacteria that are responsible for environmental and nosocomial infections. The Burkholderia cepacia complex are respiratory pathogens that primarily infect immunocompromised and cystic fibrosis patients, and are acquired through contaminated products and equipment, or via patient-to-patient transmission. The Burkholderia pseudomallei complex causes percutaneous wound, cardiovascular, and respiratory infections. Transmission occurs through direct exposure to contaminated water, water-vapors, or soil, leading to the human disease melioidosis, or the equine disease glanders. Currently there is no licensed vaccine against any Burkholderia pathogen. This review will discuss Burkholderia vaccine candidates derived from outer membrane proteins, OmpA, OmpW, Omp85, and Bucl8, encompassing their structures, conservation, and vaccine formulation. Full article
(This article belongs to the Special Issue Molecular Immunology in Bacterial Vaccine Discovery)
Show Figures

Graphical abstract

22 pages, 381 KB  
Review
Current Advances in Burkholderia Vaccines Development
by Guanbo Wang, Paulina Zarodkiewicz and Miguel A. Valvano
Cells 2020, 9(12), 2671; https://doi.org/10.3390/cells9122671 - 11 Dec 2020
Cited by 25 | Viewed by 5741
Abstract
The genus Burkholderia includes a wide range of Gram-negative bacterial species some of which are pathogenic to humans and other vertebrates. The most pathogenic species are Burkholderia mallei, Burkholderia pseudomallei, and the members of the Burkholderia cepacia complex (Bcc). B. mallei [...] Read more.
The genus Burkholderia includes a wide range of Gram-negative bacterial species some of which are pathogenic to humans and other vertebrates. The most pathogenic species are Burkholderia mallei, Burkholderia pseudomallei, and the members of the Burkholderia cepacia complex (Bcc). B. mallei and B. pseudomallei, the cause of glanders and melioidosis, respectively, are considered potential bioweapons. The Bcc comprises a subset of Burkholderia species associated with respiratory infections in people with chronic granulomatous disease and cystic fibrosis. Antimicrobial treatment of Burkholderia infections is difficult due to the intrinsic multidrug antibiotic resistance of these bacteria; prophylactic vaccines provide an attractive alternative to counteract these infections. Although commercial vaccines against Burkholderia infections are still unavailable, substantial progress has been made over recent years in the development of vaccines against B. pseudomallei and B. mallei. This review critically discusses the current advances in vaccine development against B. mallei, B. pseudomallei, and the Bcc. Full article
(This article belongs to the Special Issue Molecular Immunology in Bacterial Vaccine Discovery)
13 pages, 3099 KB  
Communication
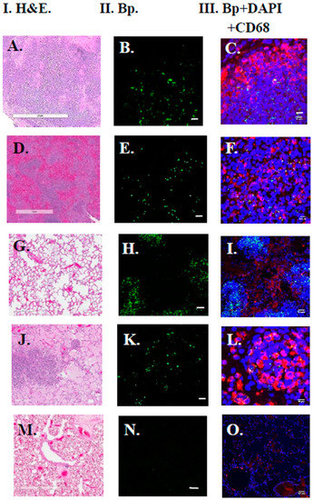
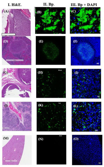
Laser Scanning Confocal Microscopy Was Used to Validate the Presence of Burkholderia pseudomallei or B. mallei in Formalin-Fixed Paraffin Embedded Tissues
by Kei Amemiya, Xiankun Zeng, Jeremy J. Bearss, Christopher K. Cote, Carl Soffler, Robert C. Bernhards, Jennifer L. Dankmeyer, Wilson J. Ribot, Sylvia R. Trevino, Susan L. Welkos, Patricia L. Worsham and David M. Waag
Trop. Med. Infect. Dis. 2020, 5(2), 65; https://doi.org/10.3390/tropicalmed5020065 - 29 Apr 2020
Viewed by 3925
Abstract
Burkholderia pseudomallei and B. mallei are Gram-negative, facultative intracellular bacteria that cause melioidosis and glanders, respectively. Currently, there are no vaccines for these two diseases. Animal models have been developed to evaluate vaccines and therapeutics. Tissues from infected animals, however, must be fixed [...] Read more.
Burkholderia pseudomallei and B. mallei are Gram-negative, facultative intracellular bacteria that cause melioidosis and glanders, respectively. Currently, there are no vaccines for these two diseases. Animal models have been developed to evaluate vaccines and therapeutics. Tissues from infected animals, however, must be fixed in formalin and embedded in paraffin (FFPE) before analysis. A brownish staining material in infected tissues that represents the exopolysaccharide of the pathogen was seen by bright field microscopy but not the actual microorganism. Because of these results, FFPE tissue was examined by laser scanning confocal microscopy (LSCM) in an attempt to see the microorganism. Archival FFPE tissues were examined from ten mice, and five nonhuman primates after exposure to B. pseudomallei or B. mallei by LSCM. Additionally, a historical spleen biopsy from a human suspected of exposure to B. mallei was examined. B. pseudomallei was seen in many of the infected tissues from mice. Four out of five nonhuman primates were positive for the pathogen. In the human sample, B. mallei was seen in pyogranulomas in the spleen biopsy. Thus, the presence of the pathogen was validated by LSCM in murine, nonhuman primate, and human FFPE tissues. Full article
Show Figures

Figure 1

15 pages, 1317 KB  
Article
A Machine Learning-Based Raman Spectroscopic Assay for the Identification of Burkholderia mallei and Related Species
by Amira A. Moawad, Anja Silge, Thomas Bocklitz, Katja Fischer, Petra Rösch, Uwe Roesler, Mandy C. Elschner, Jürgen Popp and Heinrich Neubauer
Molecules 2019, 24(24), 4516; https://doi.org/10.3390/molecules24244516 - 10 Dec 2019
Cited by 29 | Viewed by 4821
Abstract
Burkholderia (B.) mallei, the causative agent of glanders, and B. pseudomallei, the causative agent of melioidosis in humans and animals, are genetically closely related. The high infectious potential of both organisms, their serological cross-reactivity, and similar clinical symptoms in human and [...] Read more.
Burkholderia (B.) mallei, the causative agent of glanders, and B. pseudomallei, the causative agent of melioidosis in humans and animals, are genetically closely related. The high infectious potential of both organisms, their serological cross-reactivity, and similar clinical symptoms in human and animals make the differentiation from each other and other Burkholderia species challenging. The increased resistance against many antibiotics implies the need for fast and robust identification methods. The use of Raman microspectroscopy in microbial diagnostic has the potential for rapid and reliable identification. Single bacterial cells are directly probed and a broad range of phenotypic information is recorded, which is subsequently analyzed by machine learning methods. Burkholderia were handled under biosafety level 1 (BSL 1) conditions after heat inactivation. The clusters of the spectral phenotypes and the diagnostic relevance of the Burkholderia spp. were considered for an advanced hierarchical machine learning approach. The strain panel for training involved 12 B. mallei, 13 B. pseudomallei and 11 other Burkholderia spp. type strains. The combination of top- and sub-level classifier identified the mallei-complex with high sensitivities (>95%). The reliable identification of unknown B. mallei and B. pseudomallei strains highlighted the robustness of the machine learning-based Raman spectroscopic assay. Full article
(This article belongs to the Section Analytical Chemistry)
Show Figures

Figure 1

20 pages, 4528 KB  
Article
Outer Membrane Vesicle Vaccines from Biosafe Surrogates Prevent Acute Lethal Glanders in Mice
by Michael H. Norris, Mohammad S. R. Khan, Sunisa Chirakul, Herbert P. Schweizer and Apichai Tuanyok
Vaccines 2018, 6(1), 5; https://doi.org/10.3390/vaccines6010005 - 10 Jan 2018
Cited by 8 | Viewed by 7322
Abstract
Burkholderia mallei is a host-adapted Gram-negative mammalian pathogen that causes the severe disease glanders. Glanders can manifest as a rapid acute progression or a chronic debilitating syndrome primarily affecting solipeds and humans in close association with infected animals. In USA, B. mallei is [...] Read more.
Burkholderia mallei is a host-adapted Gram-negative mammalian pathogen that causes the severe disease glanders. Glanders can manifest as a rapid acute progression or a chronic debilitating syndrome primarily affecting solipeds and humans in close association with infected animals. In USA, B. mallei is classified as one of the most important bacterial biothreat agents. Presently, there is no licensed glanders vaccine available for humans or animals. In this work, outer membrane vesicles (OMVs) were isolated from three attenuated biosafe bacterial strains, Burkholderia pseudomallei Bp82, B. thailandensis E555, and B. thailandensis TxDOH and used to vaccinate mice. B. thailandensis OMVs induced significantly higher antibody responses that were investigated. B. mallei specific serum antibody responses were of higher magnitude in mice vaccinated with B. thailandensis OMVs compared to levels in mice vaccinated with B. pseudomallei OMVs. OMVs derived from biosafe strains protected mice from acute lethal glanders with vesicles from the two B. thailandensis strains affording significant protection (>90%) up to 35 days post-infection with some up to 60 days. Organ loads from 35-day survivors indicated bacteria colonization of the lungs, liver, and spleen while those from 60 days had high CFUs in the spleens. The highest antibody producing vaccine (B. thailandensis E555 OMVs) also protected C57BL/6 mice from acute inhalational glanders with evidence of full protection. Full article
Show Figures

Figure 1

17 pages, 1811 KB  
Article
A Burkholderia pseudomallei Outer Membrane Vesicle Vaccine Provides Cross Protection against Inhalational Glanders in Mice and Non-Human Primates
by Sarah M. Baker, Christopher J. H. Davitt, Natalya Motyka, Nicole L. Kikendall, Kasi Russell-Lodrigue, Chad J. Roy and Lisa A. Morici
Vaccines 2017, 5(4), 49; https://doi.org/10.3390/vaccines5040049 - 9 Dec 2017
Cited by 38 | Viewed by 7820
Abstract
Burkholderia mallei is a Gram-negative, non-motile, facultative intracellular bacillus and the causative agent of glanders, a highly contagious zoonotic disease. B. mallei is naturally resistant to multiple antibiotics and there is concern for its potential use as a bioweapon, making the development of [...] Read more.
Burkholderia mallei is a Gram-negative, non-motile, facultative intracellular bacillus and the causative agent of glanders, a highly contagious zoonotic disease. B. mallei is naturally resistant to multiple antibiotics and there is concern for its potential use as a bioweapon, making the development of a vaccine against B. mallei of critical importance. We have previously demonstrated that immunization with multivalent outer membrane vesicles (OMV) derived from B. pseudomallei provide significant protection against pneumonic melioidosis. Given that many virulence determinants are highly conserved between the two species, we sought to determine if the B. pseudomallei OMV vaccine could cross-protect against B. mallei. We immunized C57Bl/6 mice and rhesus macaques with B. pseudomallei OMVs and subsequently challenged animals with aerosolized B. mallei. Immunization with B. pseudomallei OMVs significantly protected mice against B. mallei and the protection observed was comparable to that achieved with a live attenuated vaccine. OMV immunization induced the production of B.mallei-specific serum IgG and a mixed Th1/Th17 CD4 and CD8 T cell response in mice. Additionally, immunization of rhesus macaques with B. pseudomallei OMVs provided protection against glanders and induced B.mallei-specific serum IgG in non-human primates. These results demonstrate the ability of the multivalent OMV vaccine platform to elicit cross-protection against closely-related intracellular pathogens and to induce robust humoral and cellular immune responses against shared protective antigens. Full article
Show Figures

Figure 1

33 pages, 1384 KB  
Review
PCR-Based Methodologies Used to Detect and Differentiate the Burkholderia pseudomallei Complex: B. pseudomallei, B. mallei, and B. thailandensis
by Woan Lowe, Jordon K. March, Annette J. Bunnell, Kim L. O'Neill and Richard A. Robison
Curr. Issues Mol. Biol. 2014, 16(1), 23-54; https://doi.org/10.21775/cimb.016.023 - 22 Aug 2013
Cited by 33 | Viewed by 1328
Abstract
Methods for the rapid detection and differentiation of the Burkholderia pseudomallei complex comprising B. pseudomallei, B. mallei, and B. thailandensis, have been the topic of recent research due to the high degree of phenotypic and genotypic similarities of these species. [...] Read more.
Methods for the rapid detection and differentiation of the Burkholderia pseudomallei complex comprising B. pseudomallei, B. mallei, and B. thailandensis, have been the topic of recent research due to the high degree of phenotypic and genotypic similarities of these species. B. pseudomallei and B. mallei are recognized by the CDC as tier 1 select agents. The high mortality rates of glanders and melioidosis, their potential use as bioweapons, and their low infectious dose, necessitate the need for rapid and accurate detection methods. Although B. thailandensis is generally avirulent in mammals, this species displays very similar phenotypic characteristics to that of B. pseudomallei. Optimal identification of these species remains problematic, due to the difficulty in developing a sensitive, selective, and accurate assay. The development of PCR technologies has revolutionized diagnostic testing and these detection methods have become popular due to their speed, sensitivity, and accuracy. The purpose of this review is to provide a comprehensive overview and evaluation of the advancements in PCR-based detection and differentiation methodologies for the B. pseudomallei complex, and examine their potential uses in diagnostic and environmental testing. Full article
19 pages, 769 KB  
Article
Monitoring Therapeutic Treatments against Burkholderia Infections Using Imaging Techniques
by Tiffany M. Mott, R. Katie Johnston, Sudhamathi Vijayakumar, D. Mark Estes, Massoud Motamedi, Elena Sbrana, Janice J. Endsley and Alfredo G. Torres
Pathogens 2013, 2(2), 383-401; https://doi.org/10.3390/pathogens2020383 - 23 May 2013
Cited by 9 | Viewed by 8929
Abstract
Burkholderia mallei, the etiologic agent of glanders, are Category B select agents with biothreat potential, and yet effective therapeutic treatments are lacking. In this study, we showed that CpG administration increased survival, demonstrating protection in the murine glanders model. Bacterial recovery from [...] Read more.
Burkholderia mallei, the etiologic agent of glanders, are Category B select agents with biothreat potential, and yet effective therapeutic treatments are lacking. In this study, we showed that CpG administration increased survival, demonstrating protection in the murine glanders model. Bacterial recovery from infected lungs, liver and spleen was significantly reduced in CpG-treated animals as compared with non-treated mice. Reciprocally, lungs of CpG-treated infected animals were infiltrated with higher levels of neutrophils and inflammatory monocytes, as compared to control animals. Employing the B. mallei bioluminescent strain CSM001 and the Neutrophil-Specific Fluorescent Imaging Agent, bacterial dissemination and neutrophil trafficking were monitored in real-time using multimodal in vivo whole body imaging techniques. CpG-treatment increased recruitment of neutrophils to the lungs and reduced bioluminescent bacteria, correlating with decreased bacterial burden and increased protection against acute murine glanders. Our results indicate that protection of CpG-treated animals was associated with recruitment of neutrophils prior to infection and demonstrated, for the first time, simultaneous real time in vivo imaging of neutrophils and bacteria. This study provides experimental evidence supporting the importance of incorporating optimized in vivo imaging methods to monitor disease progression and to evaluate the efficacy of therapeutic treatment during bacterial infections. Full article
(This article belongs to the Special Issue Pathogen Infection Models)
Show Figures

Graphical abstract

Back to TopTop