Sign in to use this feature.

Years

Between: -

Subjects

remove_circle_outline
remove_circle_outline
remove_circle_outline
remove_circle_outline
remove_circle_outline
remove_circle_outline
remove_circle_outline
remove_circle_outline
remove_circle_outline

Journals

remove_circle_outline
remove_circle_outline
remove_circle_outline
remove_circle_outline
remove_circle_outline
remove_circle_outline
remove_circle_outline
remove_circle_outline
remove_circle_outline
remove_circle_outline
remove_circle_outline
remove_circle_outline
remove_circle_outline
remove_circle_outline

Article Types

Countries / Regions

remove_circle_outline
remove_circle_outline
remove_circle_outline
remove_circle_outline
remove_circle_outline
remove_circle_outline

Search Results (1,503)

Search Parameters:
Keywords = germination test

Order results
Result details
Results per page
Select all
Export citation of selected articles as:
17 pages, 268 KB  
Article
Enhancement of Hybrid Maize Using Potassium-Solubilizing Purple Non-Sulfur Bacteria Under Different Dilution Rates at Early Growth Stages
by Le Thi My Thu, Tran Trong Khoi Nguyen, Dang Le Ngoc Han, Nguyen Duc Trong, Le Thanh Quang, La Cao Thang, Tran Chi Nhan, Ly Ngoc Thanh Xuan and Nguyen Quoc Khuong
Seeds 2025, 4(4), 58; https://doi.org/10.3390/seeds4040058 - 10 Nov 2025
Abstract
Although purple non-sulfur bacteria (PNSB) have been studied as good biofertilizers, their direct effects on maize seed vigor remain unclear. Additionally, the seedling stage is a vital factor for the later growth of maize. This study was conducted to evaluate the effectiveness of [...] Read more.
Although purple non-sulfur bacteria (PNSB) have been studied as good biofertilizers, their direct effects on maize seed vigor remain unclear. Additionally, the seedling stage is a vital factor for the later growth of maize. This study was conducted to evaluate the effectiveness of potassium-solubilizing PNSB (K-PNSB) in enhancing the vigor of hybrid maize seeds. A completely randomized design was employed, incorporating single strains, Luteovulum sphaeroides M-Sl-09, Rhodopseudomonas thermotolerans M-So-11, and Rhodopseudomonas palustris M-So-14, as well as a mixture of all three strains. Each was tested at bacterial suspension dilution ratios with sterile distilled water of 1:2000; 1:2250; 1:2500; 1:2750; and 1:3000 (v/v), with three replications per treatment. Each replicate consisted of a Petri dish containing 10 hybrid maize seeds of each hybrid of LVN 10, C.P. 511, and NK7328 Gt/BT, and was incubated for five days. The results showed that K-PNSB significantly enhanced root and shoot development compared to the control (p < 0.05). The 1:2500 dilution of the individual strains and the mixture notably improved germination rate, root length, shoot length, and seedling vigor index compared to the control. At the 1:2500 dilution, the improved vigor index increased by 73.5% for L. sphaeroides, 48.7% for R. thermotolerans, 47.4% for R. palustris, and 78.5% for the mixed inoculum in the LVN 10 hybrid. Similar trends were observed for C.P. 511 and NK7328 hybrids, confirming strain- and hybrid-specific responses. The findings highlight that K-PNSB can serve as effective bio-priming agents to enhance maize seed vigor through mechanisms related to potassium solubilization and phytohormone production. Field-scale validation is recommended to assess their long-term agronomic potential. Full article
15 pages, 3714 KB  
Article
Ultrafine Bubble Priming Promotes Adzuki Bean (Vigna angularis) Germination Under Drought Stress via Modulation of Seed Traits and Reactive Oxygen Species Production
by Thuy Linh Ha, Masatoshi Yoshimura and Itaru Sotome
Seeds 2025, 4(4), 57; https://doi.org/10.3390/seeds4040057 - 7 Nov 2025
Viewed by 136
Abstract
Ultrafine bubble (UFB) priming has recently emerged as a promising technique to enhance seed germination, yet its physiological mechanisms remain unclear. This study investigated the effects of UFB priming on adzuki bean (Vigna angularis) seeds under stress-free and drought conditions. Four [...] Read more.
Ultrafine bubble (UFB) priming has recently emerged as a promising technique to enhance seed germination, yet its physiological mechanisms remain unclear. This study investigated the effects of UFB priming on adzuki bean (Vigna angularis) seeds under stress-free and drought conditions. Four treatments were tested: Control (non-primed), DW (primed with distilled water), UFB1 (4.56 × 107 particles/mL), and UFB2 (1.13 × 108 particles/mL). For priming, seeds were immersed in each solution at 25 ± 1 °C for 24 h. Seed traits, including water uptake, coat thickness, and total reactive oxygen species (ROS) levels in the priming solutions and seeds, were analyzed. UFB priming reduced seed coat thickness and slowed early water uptake without affecting final moisture content. Total ROS levels displayed a concentration-dependent pattern, with higher UFB increasing ROS in water but reducing them on the seed surface. Under stress-free conditions, all priming treatments accelerated germination, although higher UFB slightly prolonged T50. Under drought simulated by polyethylene glycol (PEG 10 and 15%), non-primed seeds were strongly inhibited, whereas primed seeds maintained high germination rates (>97%). Our results demonstrated that UFB priming improved water uptake, seed coat structure, and ROS signaling, enhancing seed performance of adzuki bean under favorable and drought conditions. Full article
Show Figures

Figure 1

15 pages, 1008 KB  
Article
New Proposal to Increase Soybean Seed Vigor: Collection Based on Pod Position
by Izabela Cristina de Oliveira, Dthenifer Cordeiro Santana, Ana Carina da Silva Cândido Seron, Charline Zaratin Alves, Renato Nunez Vaez, Larissa Pereira Ribeiro Teodoro and Paulo Eduardo Teodoro
Agronomy 2025, 15(11), 2563; https://doi.org/10.3390/agronomy15112563 - 6 Nov 2025
Viewed by 182
Abstract
The seed lots were evaluated based on their viability and vigor, which vary according to their origin and the locations where the seeds were produced. However, differences in vigor can be observed within a single seed lot, resulting from the deposition of photoassimilates. [...] Read more.
The seed lots were evaluated based on their viability and vigor, which vary according to their origin and the locations where the seeds were produced. However, differences in vigor can be observed within a single seed lot, resulting from the deposition of photoassimilates. In this context, the hypothesis of this study is that distinct locations on the plant may produce seeds with different physiological quality. Therefore, the objective of this work was to evaluate how pod position influences the vigor of seeds from different soybean genotypes. Field experiments were conducted during the 2021/22 and 2022/23 crop seasons in Brazil. The experimental design was a randomized complete block with four replications and 32 soybean populations from the UFMS/CPCS Breeding Program. During the R4, R5, R6, and R7 reproductive stages of soybean, at the time of pod formation, the plants in each block were tagged with string to delimit the uppermost point at which pods had formed. Tagging was carried out as each stage change was verified, at approximately eight-day intervals. When analyzing how the pod position of the plant influences seed physiological variables, we found that position P1 was responsible for the best results for the variables evaluated, with the exception of genotypes G18 and G28. This result indicates that pods from the first position produce seeds with greater germination capacity and a higher ability to generate normal seedlings. However, the genotypes are still under development and, therefore, do not yet exhibit stability. Nevertheless, the results obtained highlight the relationship between the pod position of the plant and seed physiological variables. The position of the pods on the soybean plant influences the physiological quality of the seeds. In general, the P1 position, when the plants are in the R4 reproductive stage, with fully developed pods measuring 2 cm on one of the four upper nodes of the stem, is responsible for the best results in seed physiological quality tests for most of the soybean genotypes evaluated. These results indicate that pod position should be considered in breeding and seed production programs, since genotypes with greater physiological stability in the upper positions may be preferential in selection strategies. In the future, studies in different environments and evaluation of biochemical traits may confirm these patterns and contribute to the development of cultivars with higher seed quality and physiological uniformity. Full article
(This article belongs to the Section Crop Breeding and Genetics)
Show Figures

Figure 1

15 pages, 1683 KB  
Article
Ozone-Loaded Hydrogels as an Eco-Friendly Strategy to Control Phototrophic Biofilms on Cultural Heritage Surfaces
by Erica Sonaglia, Jessica Campos, Mohammad Sharbaf, Emily Schifano, Anna Candida Felici, Luciana Dini, Daniela Uccelletti and Maria Laura Santarelli
Gels 2025, 11(11), 888; https://doi.org/10.3390/gels11110888 - 4 Nov 2025
Viewed by 188
Abstract
Biodeterioration represents a major threat to cultural heritage, as microbial colonization can cause both esthetic and structural damage. The use of conventional chemical biocides raises concerns due to environmental and health risks, potential substrate deterioration, and the emergence of resistant strains. In this [...] Read more.
Biodeterioration represents a major threat to cultural heritage, as microbial colonization can cause both esthetic and structural damage. The use of conventional chemical biocides raises concerns due to environmental and health risks, potential substrate deterioration, and the emergence of resistant strains. In this study, an ozone-loaded bacterial cellulose (OBC) hydrogel was investigated as an eco-friendly, broad-spectrum antimicrobial treatment in the case study of the Cryptoporticus of the Baths of Trajan (Rome, Italy), a hypogean archeological site where some structures are severely affected by phototrophic biofilms. Microorganisms isolated from a colonized wall were employed in laboratory assays. OBC hydrogel exhibited strong antimicrobial activity, with >90% bacterial mortality within 10 min, complete inhibition of fungal spore germination after 24 h, and a marked reduction in microalgal chlorophyll fluorescence comparable to heat-killed controls. Furthermore, tests on Carrara marble and brick specimens artificially contaminated with microalgae confirmed the removal of green staining, restoring surface chromatic parameters (ΔE* < 5) comparable to those obtained with a commercial biocide. In situ applications demonstrated significant suppression of green biofilm for at least two months. These findings support OBC hydrogel as a sustainable, effective, and non-toxic alternative to conventional biocides for controlling microbial and microalgal colonization on cultural heritage surfaces. Full article
(This article belongs to the Special Issue Advances in Cellulose-Based Gels)
Show Figures

Graphical abstract

16 pages, 671 KB  
Article
Removal of Myclobutanil and Detoxification in Modified Biomixtures: Fungal Bioaugmentation and Biochar Amendment
by Paraskevas Parlakidis, Víctor Castro-Gutiérrez, Mario Masís-Mora, Zisis Vryzas and Carlos E. Rodríguez-Rodríguez
Sustain. Chem. 2025, 6(4), 40; https://doi.org/10.3390/suschem6040040 - 3 Nov 2025
Viewed by 315
Abstract
Biopurification systems are designed for the treatment of pesticide-containing agricultural wastewater; their biologically active matrix, the biomixture, can be modified to enhance the pesticide removal capacity. Two approaches, fungal bioaugmentation with Trametes versicolor and amendment with biochar, were applied for the potential improvement [...] Read more.
Biopurification systems are designed for the treatment of pesticide-containing agricultural wastewater; their biologically active matrix, the biomixture, can be modified to enhance the pesticide removal capacity. Two approaches, fungal bioaugmentation with Trametes versicolor and amendment with biochar, were applied for the potential improvement of biomixtures’ capacity to remediate myclobutanil-contaminated wastewater. The conventional biomixture (B) and its modifications, either bioaugmented with Trametes versicolor (biomixture BT) or supplemented with pineapple biochar (5% v/v) (biomixture BB), were spiked with myclobutanil at a very high concentration (10,000 mg/kg) to simulate extreme on-farm events such as the disposal or leakage of commercial formulations. The dissipation followed a bi-phasic behavior in every case. Both modifications of the conventional biomixture increased the dissipation rates, resulting in estimated DT50 values of 61.9 (BB) and >90 days (BT) compared to biomixture B (DT50 = 474 days). The assessment of biomixtures’ detoxification was carried out with two different bioindicators: a seed germination test in Lactuca sativa and an algal growth inhibition test. Some degree of detoxification was achieved for all biomixtures in both indicators, with the exception of the biochar-containing biomixture, which, despite showing the fastest myclobutanil dissipation, was unable to maintain a steady detoxification trend towards the algae over the course of the treatment, probably due to biochar adverse effects. This approach seems promising for removing persistent myclobutanil from agricultural wastewater and demonstrates the dissipation capacity of biomixtures at extremely high pesticide concentrations likely to take place at an on-farm level. Full article
Show Figures

Graphical abstract

24 pages, 1679 KB  
Article
Integrated Biorefinery of Brewer’s Spent Grain for Second-Generation Ethanol, Mycoprotein, and Bioactive Vinasse Production
by Sara Saldarriaga-Hernandez, José García-Béjar, Anahid Esparza-Vasquez, Rosa Leonor González-Díaz, Eduardo Joel López-Torres, Julio César López-Velázquez, Lorena Amaya-Delgado, Tomás García-Cayuela, Hemant Choudhary, Blake A. Simmons and Danay Carrillo-Nieves
Fermentation 2025, 11(11), 627; https://doi.org/10.3390/fermentation11110627 - 3 Nov 2025
Viewed by 648
Abstract
Brewer’s spent grain (BSG), the main lignocellulosic by-product of the beer industry, represents an abundant yet underutilized resource with high potential for valorization. This study presents an integrated biorefinery approach to convert BSG into second-generation (2G) ethanol, bioactive vinasse for plant growth promotion, [...] Read more.
Brewer’s spent grain (BSG), the main lignocellulosic by-product of the beer industry, represents an abundant yet underutilized resource with high potential for valorization. This study presents an integrated biorefinery approach to convert BSG into second-generation (2G) ethanol, bioactive vinasse for plant growth promotion, and fungal biomass as a potential mycoprotein source. The biomass was first subjected to biological delignification using the white-rot fungus Ganoderma lucidum, after which two valorization routes were explored: (i) evaluation of the fungal biomass as a mycoprotein candidate and (ii) alcoholic fermentation for ethanol production. For the latter, three pretreatment strategies were assessed (diluted sulfuric acid and two deep eutectic solvents (DESs) based on choline chloride combined with either glycerol or lactic acid) followed by a one-pot enzymatic saccharification and fermentation using Kluyveromyces marxianus SLP1. The highest ethanol yield on substrate (YP/S) was achieved with [Ch]Cl:lactic acid pretreatment (0.46 g/g, 89.32% of theoretical). Vinasse, recovered after distillation, was characterized for organic acid content and tested on Solanum lycopersicum seed germination, showing promising biostimulant activity. Overall, this work highlights the potential of BSG as a sustainable feedstock within circular economy models, enabling the production of multiple bio-based products from a single residue. Full article
(This article belongs to the Special Issue Biotechnological Strategies for Agro-Industrial Food Waste Management)
Show Figures

Graphical abstract

14 pages, 2343 KB  
Article
Effect of Sowing Date and Low-Temperature Seed Germination on Rapeseed Yield
by Jifeng Zhu, Lei Lei, Xianmin Meng, Hongwei Li and Weirong Wang
Agronomy 2025, 15(11), 2545; https://doi.org/10.3390/agronomy15112545 - 1 Nov 2025
Viewed by 342
Abstract
Direct seeding of winter rapeseed in the Yangtze River Basin often coincides with low temperatures during establishment. The aim of this study was to test whether low-temperature (LT) germination performance predicts overwintering survival and yield under delayed sowing. Thirty accessions were evaluated in [...] Read more.
Direct seeding of winter rapeseed in the Yangtze River Basin often coincides with low temperatures during establishment. The aim of this study was to test whether low-temperature (LT) germination performance predicts overwintering survival and yield under delayed sowing. Thirty accessions were evaluated in controlled germination at 20/14 °C (CK) and 12/6 °C (LT) and in two field seasons (2020–2021 and 2021–2022), with six sowing dates from 15 October to 4 December. Mean germination rate was 97.6% in CK and 88.0% in LT. Germination potential (GP) averaged 95.7% in CK and 41.9% in LT. Root and shoot length decreased from 7.63 and 5.02 cm in CK to 1.47 and 0.48 cm in LT. Overwintering survival declined with later sowing. In the colder season (2020–2021), survival for sowings after November fell below 20% for most accessions, whereas S1–S2 averaged above 80%. Yield decreased with delay. In 2021–2022, yield under S1 exceeded S2–S6 by 5.5%, 8.5%, 13.9%, 14.0%, and 23.3%. In 2020–2021, S1 was similar to S2, but 6.3–22.8% higher than S3–S6. Thousand-seed weight followed the same trend. LT GP and LT root length were positively correlated with yield at several sowing dates in the colder season, indicating that LT germination traits are predictive of late-sown performance under harsher winters. Seven accessions (3409, M417, Zheza0903, 86155, 3445, Zheyou50, and 3462) showed superior LT germination and comparatively better field performance. For the lower Yangtze site, a practical latest safe sowing window is late October, based on two seasons; November sowing substantially increases winter mortality and yield risk. Selecting genotypes with strong LT germination and managing for rapid autumn establishment can stabilize 1000-seed weight and yield when sowing is delayed. Full article
(This article belongs to the Section Horticultural and Floricultural Crops)
Show Figures

Figure 1

22 pages, 4005 KB  
Article
Foliar Application of Ca-Based Fertilizers (Conventional vs. Nanofertilizers): Effects on Fruit Traits, Seed Quality Parameters and Initial Plant Growth of Tomato Genotypes
by Srđan Zec, Gordana Tamindžić, Sergei Azizbekian, Maja Ignjatov, Dario Danojević, Janko Červenski, Slobodan Vlajić, Đorđe Vojnović and Borislav Banjac
Horticulturae 2025, 11(11), 1303; https://doi.org/10.3390/horticulturae11111303 - 31 Oct 2025
Viewed by 416
Abstract
This study evaluated the effects of foliar-applied calcium-based fertilizers, including a conventional fertilizer (T1) and a nanofertilizer containing Ca, Si, B, and Fe (T2), on fruit traits, seed quality, and early seedling growth of seven determinate tomato genotypes. Field-grown plants were monitored for [...] Read more.
This study evaluated the effects of foliar-applied calcium-based fertilizers, including a conventional fertilizer (T1) and a nanofertilizer containing Ca, Si, B, and Fe (T2), on fruit traits, seed quality, and early seedling growth of seven determinate tomato genotypes. Field-grown plants were monitored for fruit traits, while seeds underwent germination tests and seedling growth assessments under controlled laboratory conditions. Factorial ANOVA showed significant effects of genotype, treatment, and their interaction on fruit weight, width, germination energy, final germination, seedling vigor index, and initial plant growth, indicating genotype-specific responses. Treatment T2 significantly increased fruit weight and width, germination energy, final germination, seedling vigor, root length, and biomass compared to T1 and control (T0), while shoot elongation rate remained unaffected. Total soluble solids decreased under both treatments, but fruit length, pericarp thickness, and locule number were mainly genetically determined. Principal Component Analysis highlighted differentiation among treatments and correlations among key traits. The enhanced performance under T2 likely results from the synergistic effects of Ca, Si, B, and Fe, improving nutrient uptake and physiological activity. These findings suggest that foliar nanofertilizer application is a promising approach to optimize tomato yield and seedling performance. Full article
(This article belongs to the Section Plant Nutrition)
Show Figures

Figure 1

15 pages, 3146 KB  
Article
Compost and Vermicompost from Vine Pruning and Sewage Sludge as Peat Alternatives in Cucumber Seedling Production
by Maria Cristina Morais, Tiago Azevedo, Henda Lopes, Ana Maria Coimbra, João Ricardo Sousa, Marta Roboredo, Paula Alexandra Oliveira and Elisabete Nascimento-Gonçalves
Agronomy 2025, 15(11), 2519; https://doi.org/10.3390/agronomy15112519 - 29 Oct 2025
Viewed by 297
Abstract
The replacement of peat in horticultural substrates is a priority for sustainable plant production. This study evaluated compost and vermicompost, derived from vine pruning and sewage sludge, as partial peat substitutes in cucumber (Cucumis sativus L.) seedling production. Germination, early growth traits, [...] Read more.
The replacement of peat in horticultural substrates is a priority for sustainable plant production. This study evaluated compost and vermicompost, derived from vine pruning and sewage sludge, as partial peat substitutes in cucumber (Cucumis sativus L.) seedling production. Germination, early growth traits, growth efficiency indices, and leaf nutrient contents were assessed, and the relationships among variables were explored using correlation analysis and principal component analysis. Five substrates were tested: peat-perlite alone (control) and mixtures containing 10%, 20%, or 40% compost or vermicompost as peat replacements. Results showed that incorporating 10% vermicompost significantly improved germination, seedling vigor, and biomass accumulation, with performance comparable to, or exceeding, the control. In contrast, higher proportions of compost or vermicompost negatively affected germination and seedling quality. Nutrient analysis revealed that 10% vermicompost enhanced Ca and K accumulation, traits positively correlated with growth, whereas 20% compost and 20% vermicompost were associated with higher P and Mg contents but reduced seedling performance. Overall, these promising findings demonstrate that a low proportion of vermicompost (10%) is sufficient to successfully partially replace peat in cucumber seedling production, benefiting both performance and sustainability, whereas higher compost or vermicompost levels disrupt nutrient balance and limit this species’ growth. Full article
Show Figures

Figure 1

11 pages, 3728 KB  
Article
Linking Seed Size and Thermal Tolerance in Seed Germination of Hymenaea stigonocarpa, a Fire-Prone Neotropical Savanna Tree
by Marcilio Fagundes, Maria Isabela Rodrigues Silva, Bruno Henrique Silva Mayrink, Walisson Kenedy-Siqueira, Luiz Henrique Arymura Figueiredo and Tatiana Cornelissen
Seeds 2025, 4(4), 54; https://doi.org/10.3390/seeds4040054 - 28 Oct 2025
Viewed by 254
Abstract
The Neotropical Savanna (Cerrado) is a fire-prone biome characterized by seasonal climate, nutrient-poor soils, and variable fire regimes. While fire-induced germination responses are well documented in Cerrado plants, the role of seed size in mediating thermal tolerance remains poorly understood. Here, we investigate [...] Read more.
The Neotropical Savanna (Cerrado) is a fire-prone biome characterized by seasonal climate, nutrient-poor soils, and variable fire regimes. While fire-induced germination responses are well documented in Cerrado plants, the role of seed size in mediating thermal tolerance remains poorly understood. Here, we investigate how seed size and fire-related heat treatments influence germination in Hymenaea stigonocarpa, a keystone Cerrado tree species. Specifically, we test the predictions that (i) low to moderate fire temperatures (<270 °C) do not impair seed germination and (ii) larger seeds exhibit greater heat tolerance than smaller seeds. We exposed 360 seeds from 30 individual trees to five heat-shock treatments (27, 100, 150, 200, and 270 °C) simulating fire intensities typically experienced in the Cerrado. Our results show that H. stigonocarpa produces relatively large seeds with an average germination rate of approximately 42%. The average time required for germination was 12.18 ± 0.43 (average ± standard error) days. The time required for seed germination varied significantly as a function of heat-shock treatment and seed mass, with seeds exposed to the highest temperature (270 °C) taking longer to germinate. Moreover, seed mass had a positive effect on the time required for seed germination. The germination percentage remains stable across heat treatments and seed sizes, indicating that H. stigonocarpa seeds exhibit characteristics typical of heat-tolerant species rather than those of heat-stimulated species. Our study showed that H. stigonocarpa trees produce large seeds that germinate quickly and are tolerant to moderate temperatures. These seed traits play a crucial role in the reproductive success of individual plants in fire-prone, nutrient-poor, and water-limited ecosystems. Furthermore, our results offer important guidance by emphasizing the role of seed size in effective restoration initiatives. Full article
Show Figures

Figure 1

15 pages, 796 KB  
Article
Evaluation of Phytotoxic and Cytotoxic Effects of Prenylated Phenol Derivatives on Tomato Plants (Solanum lycopersicum L.) and Botrytis cinerea B-05 Spores
by Gerard Núñez, Ligia Llovera, Dioni Arrieche, Romanet Berrios, Mauricio Soto, Mauricio Osorio-Olivares, Andrés F. Olea, Efraín Sarmiento, Azucena González, Héctor Carrasco and Lautaro Taborga
Plants 2025, 14(21), 3277; https://doi.org/10.3390/plants14213277 - 27 Oct 2025
Viewed by 315
Abstract
The phytopathogenic fungus Botrytis cinerea, which causes gray mold disease, has become a limiting factor on agricultural production. B. cinerea field control is made mainly using chemical fungicides, which has led to the spreading of resistant populations of this fungus. Thus, the [...] Read more.
The phytopathogenic fungus Botrytis cinerea, which causes gray mold disease, has become a limiting factor on agricultural production. B. cinerea field control is made mainly using chemical fungicides, which has led to the spreading of resistant populations of this fungus. Thus, the quest of new fungicides molecules has been focused on synthesis of natural product-inspired compounds. The main aim of this work is to synthesize prenylated phenol derivatives and to assess their potential application as antifungal agents with minimal phytotoxic effects. Thus, new prenylphenols (4, 5, and 7) have been obtained by microwave irradiation with yields ranging from 2.4% to 42.9%, whereas compounds 8 and 9 were synthesized with yields of 25.6% and 54.1%, respectively. The effect of different concentrations of these compounds on B. cinerea spore germination, and their phytotoxic effect on tomato (Solanum lycopersicum L.) seed germination and root growth, were evaluated. Obtained results indicate that biological activities of all tested compounds are concentration-dependent. Interestingly, compound 7 exhibits the highest antifungal activity against B. cinerea spores (IC50 < 50 µg/mL) with minimal phytotoxicity on tomato seed germination and root growth. In contrast, compounds 2 and 3 are active against spores (IC50 = 461 and 325 µg/mL, respectively) but, at the same time, their phytotoxicity is important at the highest concentrations. These results indicated that the presence of hydroxyl and methyl substituents on the aromatic ring of these compounds induces variations in biological activities, and compound 7 could be a promising candidate as a sporicidal agent. Full article
Show Figures

Figure 1

17 pages, 3778 KB  
Article
Chemical Masculinization of Female Cannabis sativa L.: Impacts on Pollen Viability and Feminized Seed Production
by Ted M. Fitzgerald, John Wyatt Brown, Scott Steinmaus, Jim Prince, Rita Bhandari and Jose F. Da Cunha Leme Filho
Horticulturae 2025, 11(11), 1286; https://doi.org/10.3390/horticulturae11111286 - 25 Oct 2025
Viewed by 917
Abstract
Cannabis is usually dioecious, with male and female flowers on separate plants. Cultivators prioritize the use of female plants because their flowers contain a higher density of glandular trichomes, the primary source of cannabinoids, compared to male flowers. Feminized seeds, which give rise [...] Read more.
Cannabis is usually dioecious, with male and female flowers on separate plants. Cultivators prioritize the use of female plants because their flowers contain a higher density of glandular trichomes, the primary source of cannabinoids, compared to male flowers. Feminized seeds, which give rise exclusively to female plants, are highly valued in the cannabis industry. These seeds are produced by crossing a natural female plant with another female plant that has been masculinized to generate pollen. Masculinization is achieved by inhibiting ethylene and/or applying gibberellins prior to flower initiation in female plants. Currently, silver thiosulfate (STS) is the most common treatment used in the cannabis industry, though environmental concerns arise from silver applications. This study compared STS with three other ethylene-inhibiting agents: aminoethoxyvinylglycine (AVG), cobalt nitrate (CBN), and 1-methylcyclopropene (1-MCP). Some STS and CBN treatments also included gibberellic acid as a synergist. STS-treated plants displayed the most effective masculinization and pollen dispersal, compared to plants treated with AVG. Only STS and AVG generated sufficient pollen for collection. This pollen was initially tested for germination potential and subsequently stored for up to five weeks at 22.2 °C, 7.2 °C, or 1.1 °C.Germination rates ranged from 2.2% to 5.8%, underscoring the influence of storage conditions and highlighting the need to refine preservation methods to enhance agricultural viability. Pollen from plants treated with AVG remained viable for three weeks at 1.1 °C, although there were concerns about a high risk of phytotoxicity. STS-treated pollen also remained viable for three weeks at the same temperature. Neither CBN nor 1-MCP treatments were effective in inducing masculinization. No clear synergistic effect of gibberellic acid combined with STS or AVG was observed; however, growth stunting led to increased mortality. Due to pollen viability and phytotoxicity problems with AVG, STS remains the best treatment to masculinize female cannabis plants when breeding for feminized seeds. Full article
(This article belongs to the Section Medicinals, Herbs, and Specialty Crops)
Show Figures

Figure 1

20 pages, 873 KB  
Article
Biochar and Compost as Sustainable Alternatives to Peat
by Paloma Campos, Águeda M. Sánchez-Martín, Marta Lucas, Arturo Santa-Olalla, Miguel A. Rosales and José María de la Rosa
Agronomy 2025, 15(11), 2455; https://doi.org/10.3390/agronomy15112455 - 22 Oct 2025
Viewed by 457
Abstract
The increasing demand for sustainable substrates in agriculture and urban greening calls for alternatives to peat, whose extraction poses significant environmental risks. This study assesses the potential of olive pomace biochar (OB), wood biochar (WB), and green compost (GC), alone or in combination, [...] Read more.
The increasing demand for sustainable substrates in agriculture and urban greening calls for alternatives to peat, whose extraction poses significant environmental risks. This study assesses the potential of olive pomace biochar (OB), wood biochar (WB), and green compost (GC), alone or in combination, to partially replace peat in growing media and improve substrate properties and plant development. Ten different substrates were formulated by substituting 10–20% of a commercial peat-based substrate with these organic amendments, using the commercial substrate alone as a control. The effects of such replacements were evaluated in the following experiments: a germination test conducted in Petri dishes using four forage species (Medicago polymorpha, Lolium perenne, Festuca arundinacea, and Lolium rigidum); and two parallel pot experiments lasting 100 days each (one with M. polymorpha and L. perenne, and another with young Olea Europaea var. Arbequina saplings). This study evaluated the impact on plant development, as well as the physical properties and composition of the substrates during the incubation process. Germination and survival of forage species were comparable or improved in most treatments, except those including 20% OB, which consistently reduced germination—likely due to high electrical conductivity (>10dS/m). In the pot experiments, substrate pH and total carbon content increased significantly with biochar addition, particularly with 20% WB, which doubled total C relative to control. Both forage species (Medicago polymorpha and Lolium perenne) and the olive saplings (Olea Europaea) exhibited normal growth, with no significant differences in biomass, water content, or physiological stress indicators when compared to the control group. Nutrient uptake was found to be stable across treatments, although magnesium levels were below sufficiency thresholds without triggering visible deficiency symptoms. Overall, combining compost and biochar—particularly WB and GC—proved to be a viable strategy to reduce peat use while maintaining substrate quality and supporting robust plant growth. This approach proved effective across the different plant varieties tested, including Medicago polymorpha, Lolium perenne, and young olive plants, which together encompass a wide spectrum of agronomic and horticultural applications as well as contrasting growth and nutrient requirements. Adverse effects on early plant development can be avoided by carefully selecting and characterizing biochars, with specific attention to salinity and C/N ratio. This finding is crucial for the successful large-scale implementation of sustainable alternatives to peat. Full article
(This article belongs to the Section Farming Sustainability)
Show Figures

Graphical abstract

20 pages, 4287 KB  
Article
Calibration and Testing of Discrete Element Simulation Parameters for the Presoaked Cyperus esculentus L. Rubber Interface Using EDEM
by Zhenyu Liu, Jianguo Yan, Fei Liu and Lijuan Wang
Agronomy 2025, 15(10), 2440; https://doi.org/10.3390/agronomy15102440 - 21 Oct 2025
Viewed by 256
Abstract
To address the challenges in precision seeding of Cyperus esculentus L. seeds caused by their irregular shape and uneven surface, this study investigates the effect of soaking pretreatment on seed germination and adopts rubber-based seed suction holes to improve adsorption performance. Subsequently, calibration [...] Read more.
To address the challenges in precision seeding of Cyperus esculentus L. seeds caused by their irregular shape and uneven surface, this study investigates the effect of soaking pretreatment on seed germination and adopts rubber-based seed suction holes to improve adsorption performance. Subsequently, calibration and experiments on discrete element simulation parameters were carried out. Initially, by setting four soaking time gradients (0, 24, 48, and 72 h), the optimal soaking duration was determined. Furthermore, through free-fall collision tests, static friction tests, and rolling friction tests, combined with the Plackett–Burman design, steepest ascent experiments, and Box–Behnken response surface methodology, the contact parameters between seeds and between seeds and rubber suction holes were calibrated and optimized. The results showed that the static friction coefficient (D) between seeds, the rolling friction coefficient (E) between seeds, and the rolling friction coefficient (H) between seeds and rubber have significant effects on the stacking angle. The optimal parameter combination obtained was D = 0.592, E = 0.325, H = 0.171. Validation tests on the dynamic stacking angle demonstrated that the relative error between the simulated and physical test values was only 1.89%, confirming the accuracy of the parameters. This study provides reliable parameter references for the design and simulation optimization of precision seed metering devices for C. esculentus after soaking pretreatment. Full article
(This article belongs to the Section Precision and Digital Agriculture)
Show Figures

Figure 1

13 pages, 1766 KB  
Article
Seasonal Expression of Glucose Transporter 5 (GLUT-5) Protein in the Testes of Roundleaf Bats in Thailand
by Saritvich Panyaboriban, Julaluk Jiangsakul, Navapol Kupthammasan, Baramee Chanchayanon, Apinya Poonnuan, Nidanis Hayeewaming, Nattamon Kumpasano, Sunate Karapan, Sayamon Srisuwatanasagul and Manita Wittayarat
Animals 2025, 15(20), 3003; https://doi.org/10.3390/ani15203003 - 16 Oct 2025
Viewed by 291
Abstract
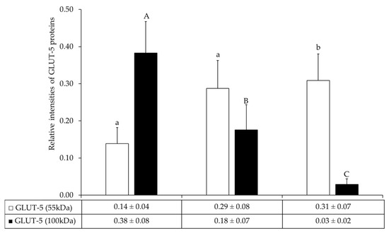
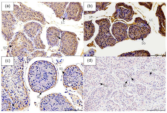
Bats have unique reproductive strategies that are closely related to testicular metabolic adaptations, such as prolonged sperm storage. This study examined the expression of glucose transporter 5 (GLUT-5), a fructose-specific member of the facilitative glucose transporter family, in the testes of roundleaf bats [...] Read more.
Bats have unique reproductive strategies that are closely related to testicular metabolic adaptations, such as prolonged sperm storage. This study examined the expression of glucose transporter 5 (GLUT-5), a fructose-specific member of the facilitative glucose transporter family, in the testes of roundleaf bats (Hipposideros spp.) collected from various locations in Thailand during their active reproductive season (July to September) and explored its association with biometric traits. To assess GLUT-5’s localization and expression levels, testicular tissues from 50 adult males representing Hipposideros larvatus, Hipposideros armiger, and Hipposideros lekaguli species were analyzed using immunohistochemistry and Western blotting. Strong GLUT-5 immunoreactivity was observed in the cytoplasm of spermatocytes, spermatids, and spermatozoa, while weak staining was seen in spermatogonia. No GLUT-5 expression was detected in Leydig or Sertoli cells. Staining intensity varied significantly by month, with the highest levels observed in August (p < 0.05), exceeding those in July and September. Western blotting identified two GLUT-5 isoforms (55 and 100 kDa), with relative intensities that changed across the reproductive timeline. In parallel, morphometric analysis revealed that the height of the germinal epithelium and the diameter of the seminiferous tubules were significantly greater in July than in August and September, reflecting peak spermatogenic activity. These findings suggest that the seasonal regulation of fructose transport, along with changes in testicular architecture, may support testicular function and sperm maturation. The differential expression of GLUT-5 isoforms may reflect their distinct roles in body growth, reproductive maturation, and seasonal testicular activity in Hipposiderid bats. Full article
(This article belongs to the Section Wildlife)
Show Figures

Figure 1

Back to TopTop