Sign in to use this feature.

Years

Between: -

Subjects

remove_circle_outline
remove_circle_outline
remove_circle_outline
remove_circle_outline
remove_circle_outline
remove_circle_outline
remove_circle_outline
remove_circle_outline
remove_circle_outline

Journals

remove_circle_outline
remove_circle_outline
remove_circle_outline
remove_circle_outline
remove_circle_outline
remove_circle_outline
remove_circle_outline
remove_circle_outline
remove_circle_outline
remove_circle_outline
remove_circle_outline
remove_circle_outline
remove_circle_outline
remove_circle_outline
remove_circle_outline
remove_circle_outline
remove_circle_outline
remove_circle_outline
remove_circle_outline
remove_circle_outline
remove_circle_outline
remove_circle_outline
remove_circle_outline
remove_circle_outline
remove_circle_outline
remove_circle_outline
remove_circle_outline

Article Types

Countries / Regions

remove_circle_outline
remove_circle_outline
remove_circle_outline
remove_circle_outline
remove_circle_outline
remove_circle_outline
remove_circle_outline
remove_circle_outline
remove_circle_outline
remove_circle_outline

Search Results (5,879)

Search Parameters:
Keywords = gait

Order results
Result details
Results per page
Select all
Export citation of selected articles as:
7 pages, 4368 KB  
Case Report
Tibiotalocalcaneal Arthrodesis as a Tool for Podoplastic Limb and Gait Salvage in the Chopart Amputation: A Functional Assessment
by Craig J. Verdin, Holly D. Shan, Umayr R. Shaikh, Elena Galvano, Karen K. Evans, Christopher E. Attinger, John S. Steinberg and Jayson N. Atves
J. Am. Podiatr. Med. Assoc. 2026, 116(2), 20; https://doi.org/10.3390/japma116020020 (registering DOI) - 21 Apr 2026
Abstract
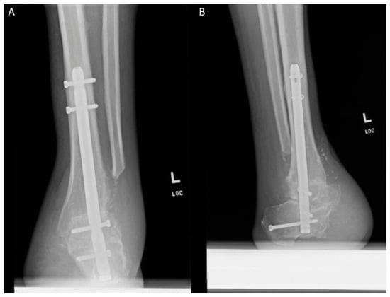
The Chopart amputation is a controversial amputation level and has been described as a relatively non-functional amputation due to the increased risk for stump deformity and subsequent complications. Recent literature has shown that a tibiotalocalcaneal arthrodesis can subjectively increase function in the Chopart [...] Read more.
The Chopart amputation is a controversial amputation level and has been described as a relatively non-functional amputation due to the increased risk for stump deformity and subsequent complications. Recent literature has shown that a tibiotalocalcaneal arthrodesis can subjectively increase function in the Chopart amputation. We describe the use of a tibiotalocalcaneal arthrodesis in a 44-year-old diabetic male with a Chopart amputation for the purpose of limb and gait salvage. After 292 days and an uneventful postoperative course, the patient consented to gait analysis. The case allows us to objectively conclude that the tibiotalocalcaneal arthrodesis can quantitatively increase the functionality of the Chopart amputation and, in turn, expand its indication for use within the more functional populations. Full article
Show Figures

Figure 1

29 pages, 4549 KB  
Article
Smart Sensor-Driven Gait Rehabilitation Walker Using Machine Learning for Predictive Home-Based Therapy
by Gokul Manavalan, Yuval Arnon, A. N. Nithyaa and Shlomi Arnon
Sensors 2026, 26(8), 2547; https://doi.org/10.3390/s26082547 (registering DOI) - 21 Apr 2026
Abstract
Abnormal gait associated with neuromuscular and musculoskeletal disorders represents a growing clinical burden, particularly in aging populations. This study presents a modular, low-cost Smart Rehabilitation Walker (SRW) that integrates multimodal sensing and real-time haptic feedback to enable simultaneous gait monitoring and corrective intervention [...] Read more.
Abnormal gait associated with neuromuscular and musculoskeletal disorders represents a growing clinical burden, particularly in aging populations. This study presents a modular, low-cost Smart Rehabilitation Walker (SRW) that integrates multimodal sensing and real-time haptic feedback to enable simultaneous gait monitoring and corrective intervention in both clinical and home environments. The system combines force-sensing resistors for bilateral load symmetry assessment, inertial measurement units for fall detection, and surface electromyography (sEMG) for neuromuscular activity monitoring within a closed-loop assistive feedback architecture. A 15-day pilot study involving ten individuals with rheumatoid arthritis and clinically observed neurological gait abnormalities demonstrated measurable improvements in gait biomechanics. The Force Symmetry Index (FSI), calculated using the Robinson symmetry metric, decreased from an average of 0.9691 to 0.2019, corresponding to a 79.26% average reduction in inter-limb load asymmetry. Concurrently, sEMG measurements showed a substantial increase in neuromuscular activation (ΔEMG = 4.28), with statistical analysis confirming a significant improvement across participants (paired t-test: t(9) = 13.58, p < 0.001). To model rehabilitation trajectories, a nonlinear predictive framework based on Gaussian Process Regression achieved high predictive accuracy (R2 ≈ 0.9, with a mean RMSE of 0.0385), while providing uncertainty-aware trend estimation. Validation using an independent amyotrophic lateral sclerosis gait dataset further demonstrated the transferability of the analytical pipeline. These results highlight the potential of sensor-enabled assistive walkers as scalable platforms for quantitative gait rehabilitation, adaptive feedback, and long-term mobility monitoring. Full article
(This article belongs to the Special Issue Novel Optical Biosensors in Biomechanics and Physiology)
Show Figures

Graphical abstract

24 pages, 30525 KB  
Article
ATF3/SLC31A1-Mediated Cuproptosis Contributes to Bortezomib-Induced Peripheral Neurotoxicity and Intervention by (−)-Epigallocatechin Gallate
by Yonghai Wang, Jiabin Lu, Xuejing Feng, Bo Yang, Qiaojun He, Peihua Luo and Xiaochun Yang
Int. J. Mol. Sci. 2026, 27(8), 3680; https://doi.org/10.3390/ijms27083680 (registering DOI) - 21 Apr 2026
Abstract
Bortezomib (BTZ), the first-generation proteasome inhibitor, has been approved for the treatment of relapsed, refractory, and newly diagnosed multiple myeloma. Despite its remarkable antitumor efficacy, BTZ treatment is severely limited by a high incidence of systemic adverse reactions, primarily due to its non-selective [...] Read more.
Bortezomib (BTZ), the first-generation proteasome inhibitor, has been approved for the treatment of relapsed, refractory, and newly diagnosed multiple myeloma. Despite its remarkable antitumor efficacy, BTZ treatment is severely limited by a high incidence of systemic adverse reactions, primarily due to its non-selective cytotoxicity toward rapidly dividing normal cells and its potent neurotoxic effects on peripheral neurons. Bortezomib-induced peripheral neurotoxicity (BIPN) manifests as neuropathic pain and sensory abnormalities, affecting up to 31% to 64% of patients and limiting BTZ’s clinical use. Currently, the underlying mechanisms of BIPN are poorly understood. To evaluate the effects of BTZ on the functions of peripheral nerves in mice, we administered an intraperitoneal injection treatment for four weeks. Results indicated that BIPN caused mechanical allodynia, gait abnormalities, and pathological changes in myelin and axons in mice. This study confirms that BTZ upregulates the expression of the activating transcription factor 3 (ATF3), which in turn mediates the increased expression of the copper transporter SLC31A1, causing dysregulation of intracellular copper ion homeostasis and subsequent copper accumulation, and ultimately inducing the development of peripheral neurotoxicity. Elevated intracellular copper concentration exerts a dual effect: it directly promotes the oligomerization of Dihydrolipoamide S-acetyltransferase (DLAT) and concurrently damages the iron–sulfur cluster protein ferredoxin 1 (FDX1), collectively triggering the onset of cuproptosis. Green tea has garnered attention for its rich content of catechins, with (−)-Epigallocatechin Gallate (EGCG) being the most abundant catechin present. This study uncovers the molecular mechanism by which EGCG inhibits BTZ-induced cuproptosis through targeted regulation of copper homeostasis. Analyses demonstrate that EGCG significantly downregulates the expression of the copper transporter SLC31A1, thereby effectively suppressing transmembrane influx of extracellular copper ions. This intervention markedly reduces intracellular copper overload, eliciting a dual regulatory effect: on one hand, the decreased copper concentration directly inhibits the oligomerization of DLAT; on the other hand, it effectively protects the iron–sulfur cluster protein FDX1 from damage. This study aims to systematically elucidate the molecular mechanisms underlying BIPN and to evaluate the therapeutic potential of EGCG in alleviating BIPN, offering a novel therapeutic strategy for the prevention and treatment of BIPN. Full article
Show Figures

Graphical abstract

12 pages, 789 KB  
Article
Balance, Gait and Foot Pressure Distribution in Neuropathic Pain Associated with Lumbar Disc Degeneration
by Suleyman Korkusuz, Büşra Seckinogullari Korkusuz, Zeliha Ozlem Yuruk, Sibel Kibar and Ferdi Yavuz
J. Am. Podiatr. Med. Assoc. 2026, 116(2), 24138; https://doi.org/10.7547/24-138 - 21 Apr 2026
Viewed by 131
Abstract
Background: This study aimed to evaluate the effects of NP associated with LDD on balance, gait and foot pressure distribution. Methods: This prospective controlled study was conducted on 42 individuals aged between 40-70 years. There were 3 groups in the study: [...] Read more.
Background: This study aimed to evaluate the effects of NP associated with LDD on balance, gait and foot pressure distribution. Methods: This prospective controlled study was conducted on 42 individuals aged between 40-70 years. There were 3 groups in the study: individuals diagnosed with NP associated with LDD (n=14), individuals with LDD without NP(n=14), and the control group (n=14). The Force Plate system and Core Balance System measured static and dynamic postural balance and stability limits. Gait and dynamic plantar pressure distribution analyses were performed with a computerized gait evaluation system. Results: The Leeds Assessment of Neuropathic Signs and Symptoms (LANSS), VAS during gait, and Oswestry Disability Index (ODI)scores were higher in LDD with NP group than in LDD without NP group (p<0. 05). It was found that LDD with NP group had backward dynamic balance control (p<0. 05). There was no significant difference in balance control, dynamic plantar pressure distribution, and spatiotemporal gait parameters between the groups (p>0. 05). Conclusion: Although participants with NP had higher levels of pain severity in gait and disability, there was no difference in postural balance, dynamic plantar pressure distribution, and spatiotemporal gait parameters compared to participants with LDD without NP and healthy individuals. All participants with LDD were unilaterally affected. Therefore, postural balance and gait tasks would be able to compensate for the unaffected limb. Full article
Show Figures

Figure 1

19 pages, 1227 KB  
Article
A Comparison of the Effects of Vitamin B12 and Folic Acid on Gait Recovery and Myelination After Femoral Nerve Injury in Rats
by Miloš Basailović, Igor Jakovčevski, Milan Aksić, Joko Poleksić, Gorana Basailović and Nevena Divac
Int. J. Mol. Sci. 2026, 27(8), 3664; https://doi.org/10.3390/ijms27083664 - 20 Apr 2026
Abstract
Peripheral nerve injuries often lead to incomplete recovery despite surgical repair. Vitamin B12 and folic acid have been implicated in nerve regeneration, but their comparative effects have not been systematically evaluated. Twenty-four male Wistar rats underwent femoral nerve transection and were assigned to [...] Read more.
Peripheral nerve injuries often lead to incomplete recovery despite surgical repair. Vitamin B12 and folic acid have been implicated in nerve regeneration, but their comparative effects have not been systematically evaluated. Twenty-four male Wistar rats underwent femoral nerve transection and were assigned to three groups: control, vitamin B12 (2500 µg/kg weekly, subcutaneous), and folic acid (40 mg/L in drinking water). Functional recovery was assessed over eight weeks using foot-base angle (FBA) during beam walking. Histological analysis evaluated axon counts and myelination (g-ratio). Both treatments accelerated early gait recovery compared to controls, with significant FBA improvement at week 4 (p < 0.05). Vitamin B12 produced sustained functional benefits through week 8 and superior myelination (lower g-ratio, p < 0.0001), whereas folic acid increased axon numbers but did not enhance myelin thickness or late-phase recovery. High-dose vitamin B12 significantly improves structural and functional outcomes after femoral nerve injury, while folic acid primarily supports early axonal regrowth. Vitamin B12 represents a promising pharmacological adjunct for peripheral nerve repair. Further research should explore optimal dosing strategies and long-term effects in clinical settings. To our knowledge, no prior study has directly compared the effects of folic acid and vitamin B12 supplementation within the rat femoral-nerve model, providing the rationale for the present head-to-head design. Full article
(This article belongs to the Section Molecular Neurobiology)
30 pages, 7534 KB  
Article
Multi-Gait In-Pipe Locomotion via Programmable Friction Reorientation
by Jaehyun Lee and Jongwoo Kim
Biomimetics 2026, 11(4), 285; https://doi.org/10.3390/biomimetics11040285 - 20 Apr 2026
Abstract
In-pipe robots must navigate narrow, curved passages where rigid mechanisms often require bulky steering units. Soft crawlers offer better compliance but typically rely on multiple actuators or reconfigurable contacts to achieve multi-directional motion. Drawing inspiration from biological soft crawlers that exploit directional friction [...] Read more.
In-pipe robots must navigate narrow, curved passages where rigid mechanisms often require bulky steering units. Soft crawlers offer better compliance but typically rely on multiple actuators or reconfigurable contacts to achieve multi-directional motion. Drawing inspiration from biological soft crawlers that exploit directional friction and coordinated anchor–slip patterns, this study focuses on locomotion principles observed in caterpillars, water boatmen, and whirligig beetles. Based on these bioinspired concepts, we present a tendon-driven soft in-pipe robot that combines continuum bending–twisting deformation with modular anisotropic friction pads (AFPs), enabling three locomotion modes using only two motors. AFP inclination, curvature, and ridge geometry were optimized through friction tests, constant-curvature modeling, and finite element analysis to enhance directional adhesion on flat and curved surfaces. A deformation-based locomotion framework was developed to couple tendon actuation with friction orientation, achieving longitudinal crawling, transverse translation, in-place rotation, and smooth transitions via programmed twisting. Driving experiments demonstrated repeatable anchor–slip locomotion with average speeds of 28.6 mm/s, 15.7 mm/s, and 11.5°/s for the three modes. Pipe tests in straight, curved, and T-junction sections further validated stable contact and reliable gait transitions. These findings highlight the potential of friction-programmed continuum robots as compact, bioinspired platforms for advanced in-pipe inspection and diagnostic tasks. Full article
Show Figures

Graphical abstract

16 pages, 9505 KB  
Article
Extraction of Kinematic Parameters and Comparative Study of Endurance Levels in Mongolian Horses
by Yakai Shen, Lide Su, Yong Zhang, Jin Liu, Zhihao Zhang and Shun Zhang
Vet. Sci. 2026, 13(4), 404; https://doi.org/10.3390/vetsci13040404 - 20 Apr 2026
Abstract
Mongolian horses are an indigenous Chinese breed known for their endurance capacity, yet quantitative descriptions of their gait-related kinematic characteristics remain limited. This pilot exploratory study aimed to describe the kinematics of Mongolian horses during walk, slow trot, and fast trot, and to [...] Read more.
Mongolian horses are an indigenous Chinese breed known for their endurance capacity, yet quantitative descriptions of their gait-related kinematic characteristics remain limited. This pilot exploratory study aimed to describe the kinematics of Mongolian horses during walk, slow trot, and fast trot, and to examine whether selected variables differed between race-result groups in a 12 km endurance race. Forty-six horses were classified into an excellent group and an ordinary group based on the result of a single race. Kinematic data were collected using optical motion capture and three-dimensional skeletal modelling. Separate gait-specific linear mixed-effects models were fitted, with horse identity as a random effect and group and speed as fixed effects. The results showed gait-dependent between-group differences. During walk, the excellent group had significantly greater range of motion of the tarsal, hip, and elbow joints, as well as a greater maximum forelimb retraction angle (all p < 0.001). During slow trot, the excellent group showed significantly greater stride length (p = 0.009), elbow joint range of motion (p < 0.001), minimum hindlimb forward extension angle (p = 0.033), and minimum forelimb forward extension angle (p = 0.004). During fast trot, the between-group differences were most pronounced, with significantly greater stride length (p < 0.001) and range of motion of the tarsal joint (p < 0.001), hip joint (p = 0.015), and elbow joint (p = 0.014), together with greater maximum hindlimb retraction angle (p = 0.001) and minimum forelimb forward extension angle (p = 0.026). Overall, these findings provide preliminary evidence that gait-related kinematic differences may exist between race-result groups in Mongolian horses. However, because this was an exploratory study based on a single race, the findings should be interpreted cautiously and require validation in larger and more diverse cohorts. Full article
Show Figures

Figure 1

13 pages, 520 KB  
Article
Influence of Different Arm Movement Strategies on Subjective Task-Related Perceptions and Walking Outcomes Under Single- and Dual-Task Conditions in Healthy Children Compared to Young Adults
by Katharina Borgmann, Matthias Schebeck, Lea Greiwe, Johanna Lambrich, Mathew W. Hill and Thomas Muehlbauer
Brain Sci. 2026, 16(4), 428; https://doi.org/10.3390/brainsci16040428 - 20 Apr 2026
Abstract
Background/Objectives: Emerging evidence shows that dual tasking as well as the restriction of arm movements independently lead to detrimental effects on walking performance. However, it is unclear whether the deteriorations are more pronounced when applied together and if children (i.e., due to [...] Read more.
Background/Objectives: Emerging evidence shows that dual tasking as well as the restriction of arm movements independently lead to detrimental effects on walking performance. However, it is unclear whether the deteriorations are more pronounced when applied together and if children (i.e., due to ongoing maturation processes) perform differently compared to young adults. This study investigated the influence of different arm movement strategies on subjective and objective markers related to beam walking under single-task (ST) and dual-task (DT) conditions in children and young adults. Methods: Twenty-six children (age: 11.3 ± 0.6 years) and 30 young adults (age: 23.2 ± 2.8 years) walked three meters on a balance beam with free and restricted (i.e., arms crossed over the chest) arm movements in a random order while concurrently performing a cognitive task (i.e., serial subtractions) or not. Walking outcomes (i.e., gait speed, cadence) were measured and used as objective markers. Self-reported task-related perceptions (i.e., balance confidence, fear of falling, perceived instability, conscious balance processing) were assessed and used as subjective indicators. Results: Walking under DT conditions (i.e., main effects of task) detrimentally influenced subjective task-related perceptions and walking outcomes, but using free arm movements (i.e., task × arm interactions) mitigated these deteriorations. Further, children exhibited largely stable levels of conscious balance processing, whereas young adults demonstrated overall higher levels along with pronounced differences between ST and DT walking when arm movements were unrestricted (i.e., group × task × arm interaction). Conclusions: These findings indicate that free arm movements seem to constitute a simple yet effective complementary ‘upper-body strategy’ that enhances postural control during a cognitively demanding walking task. Further, age differences imply that young adults compensate demanding walking conditions (i.e., DT walking with restricted arms) by elevated conscious processing of balance (i.e., a shift from automated to more conscious attention towards postural control). Full article
(This article belongs to the Special Issue Neural and Muscular Plasticity in Motor and Postural Control)
Show Figures

Figure 1

24 pages, 1441 KB  
Article
Unsupervised Detection of Pathological Gait Patterns via Instantaneous Center of Rotation Analysis
by Ludwin Molina Arias and Magdalena Smoleń
Appl. Sci. 2026, 16(8), 3976; https://doi.org/10.3390/app16083976 - 19 Apr 2026
Viewed by 121
Abstract
This study introduces a novel unsupervised framework, ICR-LLS, for detecting pathological gait patterns using instantaneous center of rotation (ICR) trajectories of the shank in the sagittal plane. ICR trajectories were computed from two-dimensional kinematic data captured at the lateral femoral epicondyle and lateral [...] Read more.
This study introduces a novel unsupervised framework, ICR-LLS, for detecting pathological gait patterns using instantaneous center of rotation (ICR) trajectories of the shank in the sagittal plane. ICR trajectories were computed from two-dimensional kinematic data captured at the lateral femoral epicondyle and lateral malleolus for both shanks, producing four-dimensional multivariate time series for each gait trial. Pairwise trajectory dissimilarities were quantified using circularly aligned Dynamic Time Warping (DTW), preserving temporal and spatial structure. The resulting dissimilarity matrix was embedded into a three-dimensional space using a force-directed network layout, enabling intuitive visualization of inter-subject gait relationships. Density-based clustering (DBSCAN), enhanced with a consensus-based ensemble approach, was employed to automatically identify clusters representing typical (healthy) gait patterns and outliers corresponding to pathological deviations. The framework is evaluated on a public dataset comprising individuals with Parkinson’s disease (PD) and healthy controls, achieving a normalized mutual information (NMI) of 0.449 and a Separation-to-Compactness Ratio (SCR) of 6.754, indicating a meaningful cluster structure. In addition, classification-oriented metrics yield an accuracy of 90%, sensitivity of 70%, and specificity of 96.7%, supporting the method’s effectiveness in distinguishing pathological gait. By combining minimal 2D kinematic inputs with unsupervised learning, ICR-LLS provides an interpretable framework for the exploratory analysis of gait variability, and although further validation is required, the findings suggest that ICR trajectories may serve as a meaningful biomechanical descriptor for characterizing pathological locomotion. Full article
Show Figures

Figure 1

14 pages, 1190 KB  
Article
Orthogeriatric Fracture Syndrome: A Large-Scale Bibliometric Analysis of a Proposed Concept for Cross-Disciplinary Awareness and Coordinated Care
by Alceu Bissoto, Heike Annette Bischoff-Ferrari, Karin Blum, Silvia Brunner, Michael Dietrich, Serge Ferrari, Stefan Goetz, Slavko Rogan, Anke Scheel-Sailer, Lisa Margret Koch and Johannes Dominik Bastian
J. Clin. Med. 2026, 15(8), 3105; https://doi.org/10.3390/jcm15083105 - 18 Apr 2026
Viewed by 84
Abstract
Background/Objectives: Older patients with fractures often present with a complex interplay of factors associated with frailty and functional decline. The emerging concept of Orthogeriatric Fracture Syndrome (OFS) aims to characterize these distinct relationships of pathologies and outcomes. Despite increasing recognition of OFS [...] Read more.
Background/Objectives: Older patients with fractures often present with a complex interplay of factors associated with frailty and functional decline. The emerging concept of Orthogeriatric Fracture Syndrome (OFS) aims to characterize these distinct relationships of pathologies and outcomes. Despite increasing recognition of OFS in clinical practice, due to the distributed nature of fragility factors across medical disciplines, it remains poorly defined in the literature. Methods: We used large-scale text mining of 26 million PubMed abstracts to quantify the occurrence and interrelationship of OFS-related concepts across all disciplines in biomedical research. Results: OFS terms were more prevalent in fragility fractures than in other fracture types, particularly osteoporosis (0.52 vs. 0.09, p < 0.05). In pairwise keyword correlation (Pearson φ), the correlations presented between OFS keywords are comparable to the ones in the more established metabolic syndrome (e.g., φ = 0.07 between stroke and hypertension, p < 0.05). For OFS, osteoporosis emerged as the central node linking OFS outcomes and pathologies, correlating with fragility fracture (φ = 0.176, p < 0.05) and sarcopenia (φ = 0.03, p < 0.05). Sarcopenia in turn correlated with gait (φ = 0.04, p < 0.05), malnutrition (φ = 0.05, p < 0.05), and frailty (φ = 0.032, p < 0.05). Old age keywords showed substantially higher association with OFS keywords (e.g., φ = 0.06 for elderl* and hip fracture, p < 0.05) than with metabolic syndrome terms (elderl* and insulin resistance, p > 0.05). Conclusions: Overall, the analysis showed statistically significant associations between keywords representing OFS outcomes, pathologies and old age. The combined occurrence of osteoporosis, sarcopenia, frailty and risk of falls may help conceptually identify older adults at risk and inform preventive measures. This large-scale bibliometric analysis supports OFS as a conceptually coherent, proposed theoretical framework for cross-disciplinary awareness and coordinated care, with a literature-level organizational pattern comparable to metabolic syndrome, however, pending prospective clinical validation. This study reframes fragility fractures as the endpoint of a broader, potentially modifiable risk constellation and underscores the need for further clinical and epidemiological validation. Full article
(This article belongs to the Special Issue The “Orthogeriatric Fracture Syndrome”—Issues and Perspectives)
21 pages, 1273 KB  
Article
Motor-Derived Digital Biomarkers for Identifying Low-MoCA Status in People with Parkinson’s Disease
by Bohyun Kim, Changhong Youm, Sang-Myung Cheon, Hwayoung Park, Hyejin Choi, Juseon Hwang and Minsoo Kim
Sensors 2026, 26(8), 2503; https://doi.org/10.3390/s26082503 - 18 Apr 2026
Viewed by 85
Abstract
Cognitive impairment is a prevalent non-motor manifestation of Parkinson’s disease (PD), yet early detection remains limited by the sensitivity of conventional cognitive assessments. Emerging evidence suggests that motor dysfunction, particularly gait and balance abnormalities, reflects underlying cognitive vulnerability. This study examined motor–cognitive associations [...] Read more.
Cognitive impairment is a prevalent non-motor manifestation of Parkinson’s disease (PD), yet early detection remains limited by the sensitivity of conventional cognitive assessments. Emerging evidence suggests that motor dysfunction, particularly gait and balance abnormalities, reflects underlying cognitive vulnerability. This study examined motor–cognitive associations and evaluated whether motor-derived features can be used to classify low-MoCA status in PD without direct cognitive testing. Data from 102 individuals with PD were analyzed, incorporating clinical assessments, physical function measures, lifestyle factors, and gait-derived biomarkers. Multiple regression identified Unified Parkinson’s Disease Rating Scale Part III, stride length of the more affected side during 360° turning at preferred speed, and maximum ankle jerk on the less affected side during forward walking as independent predictors of Montreal Cognitive Assessment scores, collectively explaining 34.7% of the variance. Network analysis revealed integrative relationships among global motor severity, gait smoothness, and cognitive performance. Using a compact motor-based feature set, logistic regression achieved a mean accuracy of 65.8% and an AUC of 0.737 in classifying low-MoCA status under cross-validation. These findings demonstrate that motor-derived digital biomarkers capture clinically meaningful information about cognitive status in PD and may serve as adjunctive tools for identifying cognitive vulnerability in clinical settings. Full article
(This article belongs to the Special Issue Advancing Human Gait Monitoring with Wearable Sensors)
13 pages, 8854 KB  
Brief Report
Effect of Data Length on Nonlinear Analysis of Human Motion During Locomotor Activities
by Arash Mohammadzadeh Gonabadi and Judith M. Burnfield
Appl. Sci. 2026, 16(8), 3939; https://doi.org/10.3390/app16083939 - 18 Apr 2026
Viewed by 134
Abstract
Nonlinear analysis provides a framework for understanding the complexity and stability of human locomotion by capturing dynamic patterns beyond linear methods. This study examined the effect of data length on seven nonlinear measures: Sample Entropy (SpEn), Approximate Entropy (ApEn), Lyapunov Exponents using Wolf’s [...] Read more.
Nonlinear analysis provides a framework for understanding the complexity and stability of human locomotion by capturing dynamic patterns beyond linear methods. This study examined the effect of data length on seven nonlinear measures: Sample Entropy (SpEn), Approximate Entropy (ApEn), Lyapunov Exponents using Wolf’s (LyEW) and Rosenstein’s (LyER) algorithms, Detrended Fluctuation Analysis (DFA), Correlation Dimension (CD), and the Hurst–Kolmogorov process (HK). A 3500-frame kinematic dataset from a healthy adult performing motor-assisted elliptical training and treadmill walking was segmented from 100 to 3500 frames in 10-frame increments. Data from treadmill and elliptical conditions were analyzed and presented in a combined manner to highlight general stabilization trends across locomotor tasks. Results revealed that increasing data length significantly affected all nonlinear metrics (p ≤ 0.0005). Stabilization occurred at varying minimum lengths: SpEn at ~4.5–8.8 s (540–1060 frames), ApEn at ~5.4–7.7 s (650–920 frames), LyEW at ~19.1–29.2 s (2290–3500 frames), LyER at ~1.3–1.5 s (150–180 frames), DFA at ~29.2 s (3500 frames), CD at ~1.7–15.9 s (200–1910 frames), and HK at ~9.1–9.8 s (1090–1180 frames). Notably, HK achieved stable estimates in approximately one-third of the time required for DFA and substantially less than LyEW, supporting its suitability for time-constrained or clinical settings. These findings suggest the need to tailor data collection to each nonlinear metric and to report data length explicitly to improve accuracy, reproducibility, and methodological rigor in gait variability research. However, these findings should be interpreted within the limitations of a single-participant, exploratory design. Full article
Show Figures

Figure 1

33 pages, 8265 KB  
Article
Sagittal-Plane Knee Flexion Moment Estimation Using a Lightweight Deep Learning Framework Based on Sequential Surface EMG Feature Frames
by Yuanzhi Zhuo, Adrian Pranata, Chi-Tsun Cheng and Toh Yen Pang
Sensors 2026, 26(8), 2500; https://doi.org/10.3390/s26082500 - 18 Apr 2026
Viewed by 115
Abstract
Knee joint moment is an important biomechanical parameter for sports assessment, rehabilitation monitoring, and human–machine interaction. However, direct measurement is often restricted to laboratory-based settings. Surface electromyography (sEMG) offers a non-invasive alternative for indirect joint moment estimation, but many existing deep learning models [...] Read more.
Knee joint moment is an important biomechanical parameter for sports assessment, rehabilitation monitoring, and human–machine interaction. However, direct measurement is often restricted to laboratory-based settings. Surface electromyography (sEMG) offers a non-invasive alternative for indirect joint moment estimation, but many existing deep learning models remain too computationally demanding for potential wearable edge deployment. To address this gap, this study proposes Topo2DCNN-LSTM, a lightweight two-dimensional (2D) convolutional neural network model, designed for sagittal-plane knee flexion moment estimation. The model used a feature-based sequential representation, transforming raw sEMG signals into compact Root Mean Square (RMS) feature frames. The input was processed by a lightweight 2D convolutional neural network (CNN) encoder and paired with long short-term memory (LSTM) units. The model was trained on a public walking dataset of healthy subjects with synchronized sEMG and joint kinetics at two treadmill speeds. When compared with selected deep learning baselines, the quantized model achieved a mean RMS Error of 0.088 ± 0.020 Nm/kg at 1.2 m/s and 0.114 ± 0.034 Nm/kg at 1.8 m/s. On a SparkFun Thing Plus–SAMD51, it achieved an average inference latency of 28 ms using 71,316 bytes of random-access memory (RAM) and 257,172 bytes of flash. These results support its use as a proof of concept for personalized unilateral knee moment estimation with isolated on-device inference feasibility under resource-constrained and limited walking conditions. Full article
19 pages, 970 KB  
Systematic Review
Effects of Aquatic Therapy on Balance and Gait in Chronic Stroke: A Systematic Review with Exploratory Meta-Analysis
by Daniela Ivaldi, Gabriele Triolo, Roberta Lombardo, Carla Susinna, Giovanni Restuccia, Angelo Quartarone and Viviana Lo Buono
Neurol. Int. 2026, 18(4), 71; https://doi.org/10.3390/neurolint18040071 - 17 Apr 2026
Viewed by 101
Abstract
Background: Aquatic therapy is increasingly used in post-stroke rehabilitation, but its effects on balance and gait in the chronic phase remain variably reported. This systematic review aimed to evaluate the effects of aquatic therapy, alone or combined with land-based rehabilitation, on balance [...] Read more.
Background: Aquatic therapy is increasingly used in post-stroke rehabilitation, but its effects on balance and gait in the chronic phase remain variably reported. This systematic review aimed to evaluate the effects of aquatic therapy, alone or combined with land-based rehabilitation, on balance and gait in individuals with chronic stroke. Methods: A systematic search of PubMed, Embase, Scopus, and Web of Science was conducted between February and March 2026. Randomized controlled trials enrolling adults with chronic stroke and evaluating aquatic-containing interventions with quantitative balance and/or gait outcomes were included. Owing to clinical and methodological heterogeneity, the primary synthesis was narrative. An exploratory random-effects meta-analysis was additionally performed for post-intervention Berg Balance Scale (BBS) scores. Results: Thirteen randomized controlled trials involving 468 participants were included. Overall, aquatic therapy was associated with more consistent improvements in balance than in gait, while combined aquatic and land-based programs generally showed broader functional gains than land-based rehabilitation alone. In the exploratory meta-analysis, the primary pooled analysis of four studies favored aquatic-containing interventions for post-intervention BBS scores (MD = 3.69, 95% CI 2.69 to 4.69; p < 0.001), with no observed heterogeneity (I2 = 0%). Conclusions: Aquatic therapy may be a useful adjunctive rehabilitation strategy for improving balance in chronic stroke, whereas effects on gait appear more variable. These findings should be interpreted cautiously because the quantitative synthesis was exploratory and the overall evidence base remains heterogeneous and limited by small sample sizes and short follow-up. Full article
9 pages, 247 KB  
Case Report
Neurocognitive Therapeutic Exercise Integrated with Focal Mechanical Vibrations in a CANVAS Patient: A Case Report
by Filippo Camerota, Filippo Mario Topa, Giuseppe Di Pietro, Federico Zangrando, Lorenzo Coluccia, Massimiliano Mangone, Marco Paoloni, Andrea Truini and Claudia Celletti
Neurol. Int. 2026, 18(4), 70; https://doi.org/10.3390/neurolint18040070 - 17 Apr 2026
Viewed by 101
Abstract
Cerebellar Ataxia, Neuropathy and Bilateral Vestibular Areflexia Syndrome (CANVAS) is a progressive multisystem disorder characterized by cerebellar ataxia, sensory neuropathy and bilateral vestibular failure. Although intensive rehabilitation is commonly recommended, the actual effectiveness and the most appropriate physiotherapeutic strategy for CANVAS have not [...] Read more.
Cerebellar Ataxia, Neuropathy and Bilateral Vestibular Areflexia Syndrome (CANVAS) is a progressive multisystem disorder characterized by cerebellar ataxia, sensory neuropathy and bilateral vestibular failure. Although intensive rehabilitation is commonly recommended, the actual effectiveness and the most appropriate physiotherapeutic strategy for CANVAS have not been clearly established. Background/Objectives: To evaluate the effects of an integrated rehabilitation program combining neurocognitive therapeutic exercise and focal muscle vibration (FMV) on clinical and instrumental measures of gait, balance and postural stability in a CANVAS patient. Methods: A structured protocol consisting of neurocognitive therapeutic exercise and FMV was administered. Clinical measures included the Berg Balance Scale, Tinetti, SARA and SF-36. The instrumental evaluations included stabilometry and gait analysis. Results: The intervention produced improvements in balance scores associated with a reduction in fall risk. Stabilometry revealed reduction in oscillation area. Conclusions: FMV combined with neurocognitive therapeutic exercise may promote clinical and biomechanical improvements in CANVAS. Full article
(This article belongs to the Section Movement Disorders and Neurodegenerative Diseases)
Back to TopTop