Sign in to use this feature.

Years

Between: -

Subjects

remove_circle_outline
remove_circle_outline
remove_circle_outline
remove_circle_outline
remove_circle_outline

Journals

Article Types

Countries / Regions

Search Results (62)

Search Parameters:
Keywords = fulminant hepatitis

Order results
Result details
Results per page
Select all
Export citation of selected articles as:
22 pages, 5401 KB  
Case Report
Fatal Congenital Toxoplasmosis with Progressive Liver Failure and Genomic Characterization of a Novel Isolate from the United States
by Katsuaki Kojima, Indu Varier, Rouba Sayegh, Masako Shimamura, Bimal P. Chaudhari, Anas Bernieh, Matthew J. Schulz, Peter White, James Fitch, Alexandra K. Medoro, Hernan A. Lorenzi and Rima McLeod
Microorganisms 2025, 13(12), 2865; https://doi.org/10.3390/microorganisms13122865 - 17 Dec 2025
Viewed by 551
Abstract
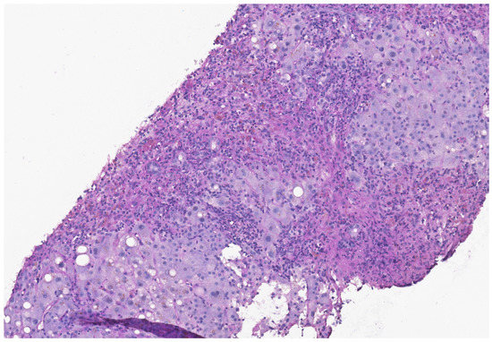
Congenital toxoplasmosis presents with a wide clinical spectrum, ranging from asymptomatic infection to severe disease with multi-organ failure. We report a rare fatal case of disseminated congenital toxoplasmosis in a human neonate. The infant initially had thrombocytopenia and mild hepatitis, which rapidly progressed [...] Read more.
Congenital toxoplasmosis presents with a wide clinical spectrum, ranging from asymptomatic infection to severe disease with multi-organ failure. We report a rare fatal case of disseminated congenital toxoplasmosis in a human neonate. The infant initially had thrombocytopenia and mild hepatitis, which rapidly progressed to fulminant liver failure. Despite initiation of standard therapy with pyrimethamine, sulfadiazine, and folinic acid on postnatal day 25, the infant died two days later. Autopsy revealed widespread involvement of the liver, spleen, brain, heart, lungs, urinary bladder, and skeletal muscle. To further characterize the infection, genomic sequencing of the isolate (TgHsUS2) was performed, which placed it within clade C (Haplogroup 9) and closely related to reference strains P89 and TgCatBr3. Variant analysis showed type III-like alleles in ROP18, ROP16, and GRA15. These alleles are known to modulate host immunity and may have influenced disease severity in this case. This report highlights the need for rapid recognition and targeted therapy as well as how strain genomics can inform disease mechanisms. Prevention through prenatal screening and maternal treatment during pregnancy may reduce infant mortality. Full article
(This article belongs to the Section Molecular Microbiology and Immunology)
Show Figures

Figure 1

13 pages, 1624 KB  
Article
From Hyperendemic to Low Endemicity: The Effect of Hepatitis B Vaccination on HBV and HDV Prevalence in the Brazilian Amazon
by Andreza Pinheiro Malheiros, Michele Soares Gomes-Gouvêa, Leidiane Barbosa Ribeiro, Alex Junior Souza de Souza, Raymundo Soares Azevedo, Dickson Ciro Nascimento de Brito, Candida Maria Abrahão de Oliveira, Heloisa Marceliano Nunes and João Renato Rebello Pinho
Pathogens 2025, 14(11), 1089; https://doi.org/10.3390/pathogens14111089 - 25 Oct 2025
Viewed by 1005
Abstract
The Amazon Basin was historically hyperendemic for HBV and HDV, associated with severe outcomes like fulminant hepatitis. Brazil initiated its hepatitis B vaccination in 1989. This study assessed the current prevalence in this endemic region to evaluate the impact of vaccination. A cross-sectional [...] Read more.
The Amazon Basin was historically hyperendemic for HBV and HDV, associated with severe outcomes like fulminant hepatitis. Brazil initiated its hepatitis B vaccination in 1989. This study assessed the current prevalence in this endemic region to evaluate the impact of vaccination. A cross-sectional population-based survey enrolled 1100 urban and rural residents. HBsAg prevalence was 1.5%, with no cases in individuals under 20 years, demonstrating interrupted vertical and horizontal transmission. Anti-HBc positivity (30.9%) indicated past exposure, predominantly in those over 30 years. Isolated anti-HBc (10.3%) included two occult HBV infections. HDV coinfection occurred in 25% of HBsAg-positive cases, with HDV RNA detected in two. Anti-HDV positivity was exclusive to adults over 30. Vaccination coverage was poorly documented, but 23.7% had protective anti-HBs titers. HBV vaccination has reduced HBsAg prevalence from high to low endemicity in the region, eliminating chronic infections in younger generations. Persistent HDV in older age groups underscores the need for targeted screening. Despite vaccination record gaps, the findings highlight the program’s success in interrupting transmission and support continued efforts toward HBV/HDV elimination. Full article
Show Figures

Figure 1

19 pages, 7313 KB  
Case Report
One Family with Cholestasis: The Twisted Road to the Diagnosis of Pfic 3—Three Case Reports
by Raluca Maria Vlad, Irina Dijmărescu, Ruxandra Dobritoiu, Andreea Moga, Laura Balanescu, Oana Neagu and Daniela Pacurar
Reports 2025, 8(1), 33; https://doi.org/10.3390/reports8010033 - 17 Mar 2025
Viewed by 2830
Abstract
Background and Clinical Significance: Progressive familial intrahepatic cholestasis (PFIC) refers to a heterogeneous group of autosomal recessive disorders consisting of mutations of hepatocyte transporting-system genes involved in bile formation. The exact prevalence remains unknown but is estimated at 1 in 500.000 for PFIC [...] Read more.
Background and Clinical Significance: Progressive familial intrahepatic cholestasis (PFIC) refers to a heterogeneous group of autosomal recessive disorders consisting of mutations of hepatocyte transporting-system genes involved in bile formation. The exact prevalence remains unknown but is estimated at 1 in 500.000 for PFIC 3, caused by mutations in the ABCB4 gene. We report three cases of PFIC 3 from the patient’s sister, brother, and cousin, diagnosed in our Pediatric Department in 2022–2023. Case Presentation: Case 1: A 10-year-old girl was admitted for jaundice and abdominal pain. She was diagnosed with severely advanced hepatic cirrhosis and massive cholestasis. Genetic testing showed ABCB4 homozygous mutation. She rapidly developed fulminant liver failure, and a living donor liver transplant was performed. Case 2: A 6-year-old brother was previously diagnosed with cholestatic hepatitis of unknown cause back in 2018 and presented with similar features (generalized jaundice, severe pruritus with generalized scratching lesions); symptoms had progressively developed from the first year of life. He also exhibited particular facial features (big forehead, twisted ear lobe, straight nose). He received cadaveric liver transplantation. Case 3: Nephew of first two children, a 3-year-5-month-old boy, was admitted for failure to thrive and a one-year history of jaundice, pruritus, and splenomegaly. He was tested positive for homozygous ABCB4 mutation. He is currently under medical treatment with stable liver function. Conclusions: The clinical significance of this particular homozygous variant identified in ABCB4 in our series of cases (c.2534G>T (p.Gly845Val)) was uncertain up to this case report. The present data provide convincing evidence as to the correlation between this mutation and the clinical phenotype of PFIC 3. Full article
(This article belongs to the Section Paediatrics)
Show Figures

Figure 1

19 pages, 9108 KB  
Review
Role of Mitochondrial Iron Uptake in Acetaminophen Hepatotoxicity
by Jiangting Hu, Anna-Liisa Nieminen, Zhi Zhong and John J. Lemasters
Livers 2024, 4(3), 333-351; https://doi.org/10.3390/livers4030024 - 30 Jul 2024
Cited by 8 | Viewed by 7489
Abstract
Overdose of acetaminophen (APAP) produces fulminant hepatic necrosis. The underlying mechanism of APAP hepatotoxicity involves mitochondrial dysfunction, including mitochondrial oxidant stress and the onset of mitochondrial permeability transition (MPT). Reactive oxygen species (ROS) play an important role in APAP-induced hepatotoxicity, and iron is [...] Read more.
Overdose of acetaminophen (APAP) produces fulminant hepatic necrosis. The underlying mechanism of APAP hepatotoxicity involves mitochondrial dysfunction, including mitochondrial oxidant stress and the onset of mitochondrial permeability transition (MPT). Reactive oxygen species (ROS) play an important role in APAP-induced hepatotoxicity, and iron is a critical catalyst for ROS formation. This review summarizes the role of mitochondrial ROS formation in APAP hepatotoxicity and further focuses on the role of iron. Normally, hepatocytes take up Fe3+-transferrin bound to transferrin receptors via endocytosis. Concentrated into lysosomes, the controlled release of iron is required for the mitochondrial biosynthesis of heme and non-heme iron-sulfur clusters. After APAP overdose, the toxic metabolite, NAPQI, damages lysosomes, causing excess iron release and the mitochondrial uptake of Fe2+ by the mitochondrial calcium uniporter (MCU). NAPQI also inhibits mitochondrial respiration to promote ROS formation, including H2O2, with which Fe2+ reacts to form highly reactive •OH through the Fenton reaction. •OH, in turn, causes lipid peroxidation, the formation of toxic aldehydes, induction of the MPT, and ultimately, cell death. Fe2+ also facilitates protein nitration. Targeting pathways of mitochondrial iron movement and consequent iron-dependent mitochondrial ROS formation is a promising strategy to intervene against APAP hepatotoxicity in a clinical setting. Full article
(This article belongs to the Special Issue Recent Advances in Acetaminophen Hepatotoxicity)
Show Figures

Figure 1

13 pages, 2366 KB  
Communication
Role of B Cells beyond Antibodies in HBV-Induced Oncogenesis: Fulminant Cancer in Common Variable Immunodeficiency—Clinical and Immunotransplant Implications with a Review of the Literature
by Przemyslaw Zdziarski and Andrzej Gamian
Diseases 2024, 12(5), 80; https://doi.org/10.3390/diseases12050080 - 23 Apr 2024
Viewed by 2551
Abstract
Although lymphoma is the most frequent malignancy in common variable immunodeficiency (CVID), solid tumors, especially affected by oncogenic viruses, are not considered. Furthermore, in vitro genetic studies and cell cultures are not adequate for immune system and HBV interaction. We adopted a previously [...] Read more.
Although lymphoma is the most frequent malignancy in common variable immunodeficiency (CVID), solid tumors, especially affected by oncogenic viruses, are not considered. Furthermore, in vitro genetic studies and cell cultures are not adequate for immune system and HBV interaction. We adopted a previously introduced clinical model of host–virus interaction (i.e., infectious process in immunodeficiency) for analysis of B cells and the specific IgG role (an observational study of a CVID patient who received intravenous immunoglobulin (IVIG). Suddenly, the patient deteriorated and a positive results of for HBs and HBV-DNA (369 × 106 copies) were detected. Despite lamivudine therapy and IVIG escalation (from 0.3 to 0.4 g/kg), CT showed an 11 cm intrahepatic tumor (hepatocellular carcinoma). Anti-HBs were positive in time-lapse analysis (range 111–220 IU/mL). Replacement therapy intensification was complicated by an immune complex disease with renal failure. Fulminant HCC in CVID and the development of a tumor as the first sign is of interest. Unfortunately, treatment with hepatitis B immune globulins (HBIG) plays a major role in posttransplant maintenance therapy. Anti-HB substitution has not been proven to be effective, oncoprotective, nor safe. Therefore, immunosuppression in HBV-infected recipients should be carefully minimized, and patient selection more precise with the exclusion of HBV-positive donors. Our clinical model showed an HCC pathway with important humoral host factors, contrary to epidemiological/cohort studies highlighting risk factors only (e.g., chronic hepatitis). The lack of cell cooperation as well as B cell deficiency observed in CVID play a crucial role in high HBV replication, especially in carcinogenesis. Full article
Show Figures

Graphical abstract

21 pages, 1116 KB  
Review
Hepatitis B Surface Antigen Isoforms: Their Clinical Implications, Utilisation in Diagnosis, Prevention and New Antiviral Strategies
by Ivana Lazarevic, Ana Banko, Danijela Miljanovic and Maja Cupic
Pathogens 2024, 13(1), 46; https://doi.org/10.3390/pathogens13010046 - 3 Jan 2024
Cited by 19 | Viewed by 13700
Abstract
The hepatitis B surface antigen (HBsAg) is a multifunctional glycoprotein composed of large (LHB), middle (MHB), and small (SHB) subunits. HBsAg isoforms have numerous biological functions during HBV infection—from initial and specific viral attachment to the hepatocytes to initiating chronic infection with their [...] Read more.
The hepatitis B surface antigen (HBsAg) is a multifunctional glycoprotein composed of large (LHB), middle (MHB), and small (SHB) subunits. HBsAg isoforms have numerous biological functions during HBV infection—from initial and specific viral attachment to the hepatocytes to initiating chronic infection with their immunomodulatory properties. The genetic variability of HBsAg isoforms may play a role in several HBV-related liver phases and clinical manifestations, from occult hepatitis and viral reactivation upon immunosuppression to fulminant hepatitis and hepatocellular carcinoma (HCC). Their immunogenic properties make them a major target for developing HBV vaccines, and in recent years they have been recognised as valuable targets for new therapeutic approaches. Initial research has already shown promising results in utilising HBsAg isoforms instead of quantitative HBsAg for correctly evaluating chronic infection phases and predicting functional cures. The ratio between surface components was shown to indicate specific outcomes of HBV and HDV infections. Thus, besides traditional HBsAg detection and quantitation, HBsAg isoform quantitation can become a useful non-invasive biomarker for assessing chronically infected patients. This review summarises the current knowledge of HBsAg isoforms, their potential usefulness and aspects deserving further research. Full article
(This article belongs to the Special Issue Viral Hepatitis in Europe: The Unresolved Issues)
Show Figures

Figure 1

13 pages, 506 KB  
Review
A Comprehensive Review of the Diagnosis and Management of Acute Liver Failure
by Nazli Begum Ozturk, Emre Herdan, Fuat H. Saner and Ahmet Gurakar
J. Clin. Med. 2023, 12(23), 7451; https://doi.org/10.3390/jcm12237451 - 30 Nov 2023
Cited by 19 | Viewed by 18021
Abstract
Acute liver failure (ALF) is a rare and specific form of severe hepatic dysfunction characterized by coagulopathy and hepatic encephalopathy in a patient with no known liver disease. ALF carries a high morbidity and mortality. Careful attention should be given to hemodynamics and [...] Read more.
Acute liver failure (ALF) is a rare and specific form of severe hepatic dysfunction characterized by coagulopathy and hepatic encephalopathy in a patient with no known liver disease. ALF carries a high morbidity and mortality. Careful attention should be given to hemodynamics and metabolic parameters along with the active surveillance of infections. Timely transfer and supportive management are important in an intensive care unit in a liver transplant center. Identifying patients who will and will not improve with medical management and may need emergent liver transplantation is critical. In this review, we provide a comprehensive update on the etiology, diagnosis, and management of ALF. Full article
(This article belongs to the Section Gastroenterology & Hepatopancreatobiliary Medicine)
Show Figures

Figure 1

13 pages, 834 KB  
Review
Interferon-Free Regimens and Direct-Acting Antiviral Agents for Delta Hepatitis: Are We There Yet?
by Roxana Nemteanu, Andreea Clim, Corina Elena Hincu, Liliana Gheorghe, Irina Ciortescu and Alina Plesa
Curr. Issues Mol. Biol. 2023, 45(10), 7878-7890; https://doi.org/10.3390/cimb45100498 - 28 Sep 2023
Cited by 2 | Viewed by 3029
Abstract
Chronic delta hepatitis is a global health problem. Although a smaller percentage of chronic HBV-infected patients are coinfected with the hepatitis delta virus, these patients have a higher risk of an accelerated progression to fulminant “delta hepatitis”, cirrhosis, hepatic decompensation, and hepatocellular carcinoma, [...] Read more.
Chronic delta hepatitis is a global health problem. Although a smaller percentage of chronic HBV-infected patients are coinfected with the hepatitis delta virus, these patients have a higher risk of an accelerated progression to fulminant “delta hepatitis”, cirrhosis, hepatic decompensation, and hepatocellular carcinoma, putting a financial strain on the healthcare system and increasing the need for a liver transplant. Since its discovery, tremendous efforts have been directed toward understanding the intricate pathogenic mechanisms, discovering the complex viral replication process, the essential replicative intermediates, and cell division-mediated viral spread, which enables virion viability. The consideration of the interaction between HBV and HDV is crucial in the process of developing novel pharmaceuticals. Until just recently, interferon-based therapy was the only treatment available worldwide. This review aims to present the recent advancements in understanding the life cycle of HDV, which have consequently facilitated the development of innovative drug classes. Additionally, we will examine the antiviral strategies currently in phases II and III of development, including bulevirtide (an entry inhibitor), lonafarnib (a prenylation inhibitor), and REP 2139 (an HBsAg release inhibitor). Full article
Show Figures

Figure 1

18 pages, 6662 KB  
Review
Three Distinct Reporter Systems of Hepatitis E Virus and Their Utility as Drug Screening Platforms
by Putu Prathiwi Primadharsini, Shigeo Nagashima, Takashi Nishiyama and Hiroaki Okamoto
Viruses 2023, 15(10), 1989; https://doi.org/10.3390/v15101989 - 23 Sep 2023
Cited by 3 | Viewed by 3048
Abstract
The hepatitis E virus (HEV) is increasingly acknowledged as the primary cause of acute hepatitis. While most HEV infections are self-limiting, cases of chronic infection and fulminant hepatitis necessitate the administration of anti-HEV medications. However, there is a lack of specific antiviral drugs [...] Read more.
The hepatitis E virus (HEV) is increasingly acknowledged as the primary cause of acute hepatitis. While most HEV infections are self-limiting, cases of chronic infection and fulminant hepatitis necessitate the administration of anti-HEV medications. However, there is a lack of specific antiviral drugs designed for HEV, and the currently available drug (ribavirin) has been associated with significant adverse effects. The development of innovative antiviral drugs involves targeting distinct steps within the viral life cycle: the early step (attachment and internalization), middle step (translation and RNA replication), and late step (virus particle formation and virion release). We recently established three HEV reporter systems, each covering one or two of these steps. Using these reporter systems, we identified various potential drug candidates that target different steps of the HEV life cycle. Through rigorous in vitro testing using our robust cell culture system with the genotype 3 HEV strain (JE03-1760F/P10), we confirmed the efficacy of these drugs, when used alone or in combination with existing anti-HEV drugs. This underscores their significance in the quest for an effective anti-HEV treatment. In the present review, we discuss the development of the three reporter systems, their applications in drug screening, and their potential to advance our understanding of the incompletely elucidated HEV life cycle. Full article
(This article belongs to the Special Issue Hepatitis E: Molecular Virology, Pathogenesis, and Treatment)
Show Figures

Figure 1

22 pages, 1993 KB  
Review
Hepatitis E Virus: Epidemiology, Clinical Aspects, and Its Significance as a Major Pregnancy Risk
by Sidra Urooj, Sadia Anjum, Fareeha Iqbal, Maisa Siddiq Abduh, Hashaam Akhtar, Sumbal Javed, Salik Javed Kakar, Aamer Ikram, Nabeel Ahmed Maqbool and Tahir Ahmad
Livers 2023, 3(3), 507-528; https://doi.org/10.3390/livers3030035 - 15 Sep 2023
Cited by 4 | Viewed by 7672
Abstract
HEV is a single-stranded, positive RNA virus. The hepatitis E virus (HEV) is the causing agent of hepatitis, with a high prevalence rate in low-income countries due to poor sanitary conditions. It can exhibit acute, continuous, or extrahepatic consequences in immunocompromised individuals such [...] Read more.
HEV is a single-stranded, positive RNA virus. The hepatitis E virus (HEV) is the causing agent of hepatitis, with a high prevalence rate in low-income countries due to poor sanitary conditions. It can exhibit acute, continuous, or extrahepatic consequences in immunocompromised individuals such as those undergoing organ transplantation and having HIV infection. HEV infection is either self limiting (silent), meaning the patient will possibly recover on his own, or symptomatic, causing acute liver injury or fulminant hepatitis and may eventually cause death. It can also cause chronic hepatitis that can progress to cirrhosis or recovery. Pregnancy-related HEV infection has an incidence rate of 30%. HEV escape from innate immunity, hormonal imbalances, defective monocyte–macrophage function, downregulation of the T-cell-mediated immune system, high cytokine production, nutritional factors, and socioeconomic conditions may play fundamental roles in the prevalence of HEV infection. It is necessary to take particular measures to reduce the incidence burden of HEV infection in high endemic locations as the incidence data, not the prevalence data, is more accurate at estimating disease dynamics. The purpose of this study is to throw light on several aspects of the hepatitis E virus and to discuss the incidence of HEV infection concerning other diseases. HEV molecular features, clinical features, epidemiology, extrahepatic manifestations, and multiple available diagnostics and treatment strategies for HEV are debated in the current review. Full article
Show Figures

Figure 1

8 pages, 989 KB  
Communication
Human Pegivirus-1 Detection and Genotyping in Brazilian Patients with Fulminant Hepatitis
by Anielly Sarana da Silva, Gabriel Montenegro de Campos, Marcia Guimarães Villanova, Rafael dos Santos Bezerra, Luciana Maria Mendes Santiago, Rodrigo Haddad, Dimas Tadeu Covas, Marta Giovanetti, Luiz Carlos Junior Alcantara, Maria Carolina Elias, Sandra Coccuzzo Sampaio, Simone Kashima and Svetoslav Nanev Slavov
Pathogens 2023, 12(9), 1122; https://doi.org/10.3390/pathogens12091122 - 1 Sep 2023
Cited by 5 | Viewed by 2022
Abstract
Fulminant hepatitis is a severe clinical disease characterized by a marked decline in liver function and encephalopathy. In a previous survey, using metagenomics in a group of 27 patients with this clinical condition, we observed an expressive quantity of reads of the Human [...] Read more.
Fulminant hepatitis is a severe clinical disease characterized by a marked decline in liver function and encephalopathy. In a previous survey, using metagenomics in a group of 27 patients with this clinical condition, we observed an expressive quantity of reads of the Human pegivirus-1 (HPgV-1). Therefore, the objective of this study was to evaluate the frequency, molecular features, and HPgV-1 circulating genotypes in patients with fulminant hepatitis. After testing the collected plasma samples, we discovered twelve samples (44.4%) that were positive for HPgV-1 RNA (using both real-time and nested PCR). The positive samples presented a mean cycle threshold (Ct) of 28.5 (±7.3). Genotyping assignments revealed that all HPgV-1 positive samples belonged to the HPgV-1 genotype 2 (both subgenotypes 2A and 2B were identified). Although HPgV-1 is considered a commensal virus, little is known regarding its prevalence and genotypes in cases of fulminant hepatitis. More research is needed to understand whether HPgV-1 can be implicated in clinical disorders and infectious diseases. Full article
(This article belongs to the Section Viral Pathogens)
Show Figures

Figure 1

7 pages, 1101 KB  
Case Report
Fulminant Liver Failure after Treatment with a Checkpoint Inhibitor for Gastric Cancer: A Case Report and Review of the Literature
by Miriam Dibos, Johanna Dumoulin, Carolin Mogler, Silke Wunderlich, Maximilian Reichert, Sebastian Rasch, Roland M. Schmid, Marc Ringelhan, Ursula Ehmer and Tobias Lahmer
J. Clin. Med. 2023, 12(14), 4641; https://doi.org/10.3390/jcm12144641 - 12 Jul 2023
Cited by 4 | Viewed by 2260
Abstract
Nivolumab is a promising monoclonal antibody inhibitor of programmed death-1, a protein on the surface of T-cells. As such, it is approved for use in patients with multiple advanced malignancies and can significantly elongate progression-free survival. However, monoclonal antibody inhibitors can lead to [...] Read more.
Nivolumab is a promising monoclonal antibody inhibitor of programmed death-1, a protein on the surface of T-cells. As such, it is approved for use in patients with multiple advanced malignancies and can significantly elongate progression-free survival. However, monoclonal antibody inhibitors can lead to adverse hepatic reactions, which in rare cases result in further hepatic damage. Herein, we present a case of a patient with locally advanced gastric carcinoma treated with fluorouracil, oxaliplatin, docetaxel and the checkpoint inhibitor nivolumab. Five months after her first dosage of nivolumab and without a preexisting liver disease, she presented with transaminitis. During the course of her stay, the patient developed status epilepticus, which required mechanical ventilation followed by fulminant hepatic failure. A subsequent liver biopsy revealed severe liver damage with extensive confluent parenchymal necrosis corresponding to checkpoint-inhibitor-induced hepatitis. Alternative reasons for this hepatic failure were ruled out. Despite aggressive therapeutic interventions including corticosteroids and plasma exchange, the patient died due to liver failure. Although hepatic failure is rarely seen in patients with checkpoint inhibitor therapy, it requires early awareness and rapid intervention. Full article
(This article belongs to the Section Gastroenterology & Hepatopancreatobiliary Medicine)
Show Figures

Figure 1

15 pages, 6583 KB  
Review
Budd-Chiari Syndrome Imaging Diagnosis: State of the Art and Future Perspectives
by Giorgia Porrello, Giuseppe Mamone and Roberto Miraglia
Diagnostics 2023, 13(13), 2256; https://doi.org/10.3390/diagnostics13132256 - 3 Jul 2023
Cited by 26 | Viewed by 13171
Abstract
Budd-Chiari syndrome (BCS) is a rare hepatic vascular disorder defined by the presence of partial or complete impairment of hepatic venous drainage in the absence of right heart failure or constrictive pericarditis. Several conditions can lead to BCS, from hypercoagulable states to malignancies. [...] Read more.
Budd-Chiari syndrome (BCS) is a rare hepatic vascular disorder defined by the presence of partial or complete impairment of hepatic venous drainage in the absence of right heart failure or constrictive pericarditis. Several conditions can lead to BCS, from hypercoagulable states to malignancies. Primary BCS is the most common subtype, and usually bartends hypercoagulability states, while secondary BCS involves tumor invasion or extrinsic compression. A combination of clinical and imaging features leads to the diagnosis of BCS, including (1) direct signs: occlusion or compression of the hepatic veins and/or inferior vena cava, and the presence of venous collaterals; (2) indirect signs: morphological hepatic changes with caudate lobe enlargement; inhomogeneous enhancement, and hypervascular nodules. From a clinicopathological point of view, two forms of BCS can be distinguished: acute and subacute/chronic BCS, although asymptomatic and fulminant forms are also possible. Acute presentations are rare, and symptoms include hepatomegaly, ascites, and hepatic insufficiency. Subacute/chronic forms are the most common presentation, with dysmorphic liver and variable degrees of fibrosis deposition. Patients with chronic BCS can develop benign regenerative nodules (large regenerative nodules or FNH [Focal Nodular Hyperplasia]-like lesions), but are also at a higher risk of hepatocellular carcinoma (HCC). The radiologist role is therefore fundamental in both diagnosis and surveillance of BCS. The aim of this review is to present all clinical and imaging signs that can help to reach the diagnosis of BCS, with their clinical significance, providing tips and tricks for the cross-sectional diagnosis of this condition. Full article
(This article belongs to the Special Issue Diagnosis and Management of Budd-Chiari Syndrome: An Update in 2023)
Show Figures

Figure 1

22 pages, 2328 KB  
Review
Hepatitis E Virus Infections: Epidemiology, Genetic Diversity, and Clinical Considerations
by Busara Songtanin, Adebayo J. Molehin, Kevin Brittan, Wuttiporn Manatsathit and Kenneth Nugent
Viruses 2023, 15(6), 1389; https://doi.org/10.3390/v15061389 - 17 Jun 2023
Cited by 51 | Viewed by 8178
Abstract
According to the World Health Organization, approximately 20 million people worldwide are infected annually with the hepatitis E virus (HEV). There are four main genotypes of HEV. Genotype 1 and genotype 2 are common in developing countries and are transmitted by contaminated water [...] Read more.
According to the World Health Organization, approximately 20 million people worldwide are infected annually with the hepatitis E virus (HEV). There are four main genotypes of HEV. Genotype 1 and genotype 2 are common in developing countries and are transmitted by contaminated water from a fecal–oral route. Genotype 3 and genotype 4 are common in developed countries and can lead to occasional transmission to humans via undercooked meat. Hepatitis E virus 1 and HEV3 can lead to fulminant hepatitis, and HEV3 can lead to chronic hepatitis and cirrhosis in immunocompromised patients. The majority of patients with HEV infection are asymptomatic and usually have spontaneous viral clearance without treatment. However, infection in immunocompromised individuals can lead to chronic HEV infection. Both acute and chronic HEV infections can have extrahepatic manifestations. No specific treatment is required for acute HEV infection, no treatment has been approved in chronic infection, and no HEV vaccine has been approved by the (United States) Food and Drug Administration. This review focuses on the molecular virology (HEV life cycle, genotypes, model systems, zoonosis), pathogenesis, clinical manifestation, and treatment of chronic HEV infection, especially in immunocompromised patients, to provide clinicians a better understanding of the global distribution of these infections and the significant effect they can have on immunocompromised patients. Full article
(This article belongs to the Special Issue Hepatitis E: Molecular Virology, Pathogenesis, and Treatment)
Show Figures

Graphical abstract

12 pages, 1909 KB  
Article
Systemic Inflammatory Molecules Are Associated with Advanced Fibrosis in Patients from Brazil Infected with Hepatitis Delta Virus Genotype 3 (HDV-3)
by Mauricio Souza Campos, Juan Miguel Villalobos-Salcedo, Deusilene Souza Vieira Dallacqua, Caio Lopes Borges Andrade, Roberto José Meyer Nascimento, Songeli Menezes Freire, Raymundo Paraná and Maria Isabel Schinoni
Microorganisms 2023, 11(5), 1270; https://doi.org/10.3390/microorganisms11051270 - 12 May 2023
Cited by 3 | Viewed by 2337
Abstract
Background and Aims: Hepatitis Delta virus (HDV) genotype 3 is responsible for outbreaks of fulminant hepatitis in Northeastern South America. This study investigates if systemic inflammatory molecules are differentially expressed in patients with advanced fibrosis chronically infected with Hepatitis Delta virusgenotype 3(HDV-3). Methods: [...] Read more.
Background and Aims: Hepatitis Delta virus (HDV) genotype 3 is responsible for outbreaks of fulminant hepatitis in Northeastern South America. This study investigates if systemic inflammatory molecules are differentially expressed in patients with advanced fibrosis chronically infected with Hepatitis Delta virusgenotype 3(HDV-3). Methods: Sixty-one patients from the north of Brazil coinfected with hepatitis B virus (HBV)/HDV-3 were analyzed. HDV quantification and genotyping were performed by semi-nested real-time polymerase chain reaction (RT-PCR) and restriction fragment length polymorphism (RFLP) methodologies. Ninety-two systemic inflammatory molecules (SIMs) were measured by Proximity Extension Assay (PEA) technology. The Shapiro–Wilk, Student’s t-test, Mann–Whitney tests, and logistic regression analysis were used when appropriate. Results: The median age was 41 years, and all patients were HBeAg negative. Advanced fibrosis or cirrhosis was diagnosed by histological staging in 17 patients, while 44 presented with minimal or no fibrosis. Advanced necroinflammatory activity correlated positively with serum levels of aspartate aminotransferase (AST) and alanine aminotransferase (ALT). Established non-invasive fibrosis scores (APRI, FIB-4, and AST/ALT ratio) revealed low sensitivities and positive predictive values (PPVs) with an AUROC maximum of 0.586. Among the 92 SIMs analyzed, MCP.4, CCL19, EN.RAGE, SCF, and IL18 showed a positive correlation with fibrosis stage. A combined score including CCL19 and MCP.4 revealed a sensitivity of 81% and an odds ratio of 2.202 for advanced fibrosis. Conclusions: Standard non-invasive fibrosis scores showed poor performance in HDV-3 infection. We here suggest that the determination of CCL19 and MCP.4 may be used to identify patients with advanced fibrosis. Moreover, this study gives novel insights into the immunopathogenesis of HDV-3 infection. Full article
(This article belongs to the Special Issue Updates on HBV Infection 2.0)
Show Figures

Figure 1

Back to TopTop