Sign in to use this feature.

Years

Between: -

Subjects

remove_circle_outline
remove_circle_outline
remove_circle_outline

Journals

Article Types

Countries / Regions

Search Results (5)

Search Parameters:
Keywords = extra-capsular growth

Order results
Result details
Results per page
Select all
Export citation of selected articles as:
22 pages, 2167 KB  
Systematic Review
The Role of Radiomics and Artificial Intelligence Applied to Staging PSMA PET in Assessing Prostate Cancer Aggressiveness
by Luca Urso, Ilham Badrane, Luigi Manco, Angelo Castello, Federica Lancia, Jeanlou Collavino, Alessandro Crestani, Massimo Castellani, Corrado Cittanti, Mirco Bartolomei and Gianluca Giannarini
J. Clin. Med. 2025, 14(10), 3318; https://doi.org/10.3390/jcm14103318 - 9 May 2025
Cited by 5 | Viewed by 1937
Abstract
Background: PSMA PET is essential tool in the management of prostate cancer (PCa) patients in various clinical settings of disease. The tremendous growth of the implementation of radiomics and artificial intelligence (AI) in medical imaging techniques has led to an increasing interest [...] Read more.
Background: PSMA PET is essential tool in the management of prostate cancer (PCa) patients in various clinical settings of disease. The tremendous growth of the implementation of radiomics and artificial intelligence (AI) in medical imaging techniques has led to an increasing interest in their application in prostate-specific membrane antigen (PSMA) PET. The aim of this article is to systemically review the current literature that explores radiomics and AI analyses of staging PSMA PET towards its potential application in clinical practice. Methods: A systematic research of the literature on three international databases (PubMed, Scopus, and Web of Science) identified a total of 166 studies. An initial screening excluded 68 duplicates and 72 articles relevant to other topics. Finally, 21 studies met the inclusion criteria. Conclusions: The literature suggests that radiomic analysis could improve the characterization of tumor aggressiveness, the prediction of extra-capsular extension, and seminal vesicles involvement. Moreover, AI models could contribute to predicting BCR after radical treatment. Limitations regarding heterogeneous objectives of investigation, and methodological standardization of radiomics analysis still represent the main obstacle to overcome in order to see these technology break through into daily clinical practice. Full article
(This article belongs to the Section Nuclear Medicine & Radiology)
Show Figures

Figure 1

15 pages, 2823 KB  
Article
New Tumor Budding Evaluation in Head and Neck Squamous Cell Carcinomas
by Claudio Cacchi, Henrike J. Fischer, Kai Wermker, Ashkan Rashad, Danny D. Jonigk, Frank Hölzle and Maurice Klein
Cancers 2024, 16(3), 587; https://doi.org/10.3390/cancers16030587 - 30 Jan 2024
Cited by 8 | Viewed by 2706
Abstract
Background: Tumor budding (TB) is a histomorphological characteristic of the tumor invasion front and it has an impact on the tumor outcome prediction for head and neck squamous cell carcinoma (HNSCC) aetiopathology. Patients and methods: The average TB score (TB rel) of all [...] Read more.
Background: Tumor budding (TB) is a histomorphological characteristic of the tumor invasion front and it has an impact on the tumor outcome prediction for head and neck squamous cell carcinoma (HNSCC) aetiopathology. Patients and methods: The average TB score (TB rel) of all tumor-positive marginal sections (n = 443) in the primary tumor was analyzed in the FFPE-fixed tumor slices of 66 patients with HNSCC, and they were compared with cryo-fixed sections. Results: TB rel correlates with tumor aggressiveness (i.e., lymph node metastasis quantity, lymph node ratio, extra capsular growth, Pn1, pV1, grading). The TB scores often vary between the different tumor margins of FFPE sections in the same patient, and in many cases, they differ depending on the fixation method. Conclusion: Our data show that a randomly selected marginal cut cannot reliably mirror the TB score, and thus, they cannot predict the prognostic outcome. However, TB rel could be a tool that compensates for differences in TB score analysis. TB score determination in cryo sections seems to be inaccurate compared with TB determination in FFPE. Full article
(This article belongs to the Section Cancer Biomarkers)
Show Figures

Figure 1

19 pages, 25504 KB  
Review
Extracranial Facial Nerve Schwannoma—Histological Surprise or Therapeutic Planning?
by Daniela Vrinceanu, Mihai Dumitru, Matei Popa-Cherecheanu, Andreea Nicoleta Marinescu, Oana-Maria Patrascu and Florin Bobirca
Medicina 2023, 59(6), 1167; https://doi.org/10.3390/medicina59061167 - 17 Jun 2023
Cited by 13 | Viewed by 4322
Abstract
Schwannomas (neurilemomas) are benign, slow-growing, encapsulated, white, yellow, or pink tumors originating in Schwann cells in the sheaths of cranial nerves or myelinated peripheral nerves. Facial nerve schwannomas (FNS) can form anywhere along the course of the nerve, from the pontocerebellar angle to [...] Read more.
Schwannomas (neurilemomas) are benign, slow-growing, encapsulated, white, yellow, or pink tumors originating in Schwann cells in the sheaths of cranial nerves or myelinated peripheral nerves. Facial nerve schwannomas (FNS) can form anywhere along the course of the nerve, from the pontocerebellar angle to the terminal branches of the facial nerve. In this article, we propose a review of the specialized literature regarding the diagnostic and therapeutic management of schwannomas of the extracranial segment of the facial nerve, also presenting our experience in this type of rare neurogenic tumor. The clinical exam reveals pretragial swelling or retromandibular swelling, the extrinsic compression of the lateral oropharyngeal wall like a parapharyngeal tumor. The function of the facial nerve is generally preserved due to the eccentric growth of the tumor pushing on the nerve fibers, and the incidence of peripheral facial paralysis in FNSs is described in 20–27% of cases. Magnetic Resonance Imaging (MRI) examination is the gold standard and describes a mass with iso signal to muscle on T1 and hyper signal to muscle on T2 and a characteristic “darts sign.” The most practical differential diagnoses are pleomorphic adenoma of the parotid gland and glossopharyngeal schwannoma. The surgical approach to FNSs requires an experienced surgeon, and radical ablation by extracapsular dissection with preservation of the facial nerve is the gold standard for the cure. The patient’s informed consent is important regarding the diagnosis of schwannoma and the possibility of facial nerve resection with reconstruction. Frozen section intraoperative examination is necessary to rule out malignancy or when sectioning of the facial nerve fibers is necessary. Alternative therapeutic strategies are imaging monitoring or stereotactic radiosurgery. The main factors which are considered during the management are the extension of the tumor, the presence or not of facial palsy, the experience of the surgeon, and the patient’s options. Full article
(This article belongs to the Special Issue Current Trends in Otorhinolaryngology and Head and Neck Pathology)
Show Figures

Figure 1

14 pages, 2229 KB  
Review
Current Trends and Controversies in the Management of Warthin Tumor of the Parotid Gland
by Miquel Quer, Juan C. Hernandez-Prera, Carl E. Silver, Maria Casasayas, Ricard Simo, Vincent Vander Poorten, Orlando Guntinas-Lichius, Patrick J. Bradley, Wai Tong-Ng, Juan P. Rodrigo, Antti A. Mäkitie, Alessandra Rinaldo, Luiz P. Kowalski, Alvaro Sanabria, Remco de Bree, Robert P. Takes, Fernando López, Kerry D. Olsen, Ashok R. Shaha and Alfio Ferlito
Diagnostics 2021, 11(8), 1467; https://doi.org/10.3390/diagnostics11081467 - 13 Aug 2021
Cited by 45 | Viewed by 16827
Abstract
Purpose: To review the current options in the management of Warthin tumors (WTs) and to propose a working management protocol. Methods: A systematic literature search was conducted using PubMed and ScienceDirect database. A total of 141 publications were selected and have been included [...] Read more.
Purpose: To review the current options in the management of Warthin tumors (WTs) and to propose a working management protocol. Methods: A systematic literature search was conducted using PubMed and ScienceDirect database. A total of 141 publications were selected and have been included in this review. Publications were selected based on relevance, scientific evidence, and actuality. Results: The importance of parotid WTs is increasing due to its rising incidence in many countries, becoming the most frequently encountered benign parotid tumor in certain parts of the world. In the past, all WTs were treated with surgery, but because of their slow growth rate, often minimal clinical symptoms, and the advanced age of many patients, active observation has gradually become more widely used. In order to decide on active surveillance, the diagnosis of WT must be reliable, and clinical, imaging, and cytological data should be concordant. There are four clear indications for upfront surgery: uncertain diagnosis; cosmetic problems; clinical complaints, such as pain, ulceration, or recurrent infection; and the patient’s wish to have the tumor removed. In the remaining cases, surgery can be elective. Active surveillance is often suggested as the first approach, with surgery being considered if the tumor progresses and/or causes clinical complaints. The extent of surgery is another controversial topic, and the current trend is to minimize the resection using partial parotidectomies and extracapsular dissections when possible. Recently, non-surgical options such as microwave ablation, radiofrequency ablation, and ultrasound-guided ethanol sclerotherapy have been proposed for selected cases. Conclusions: The management of WT is gradually shifting from superficial or total parotidectomy to more conservative approaches, with more limited resections, and to active surveillance in an increasing number of patients. Additionally, non-surgical treatments are emerging, but their role needs to be defined in future studies. Full article
(This article belongs to the Special Issue Advances in Diagnostics of Head and Neck Cancer)
Show Figures

Figure 1

13 pages, 3107 KB  
Article
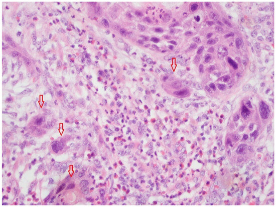
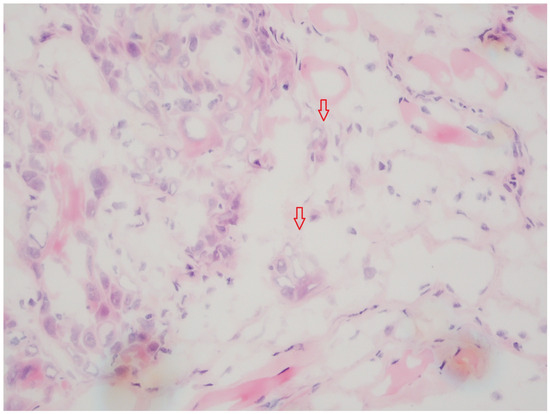
Extracapsular Lymph Node Involvement in Ovarian Carcinoma
by Sabine Heublein, Heiko Schulz, Frederik Marmé, Martin Angele, Bastian Czogalla, Alexander Burges, Sven Mahner, Doris Mayr, Udo Jeschke and Elisa Schmoeckel
Cancers 2019, 11(7), 924; https://doi.org/10.3390/cancers11070924 - 1 Jul 2019
Cited by 5 | Viewed by 5467
Abstract
Ovarian cancer (OC) spread to retro-peritoneal lymph nodes is detected in about one out of two patients at primary diagnosis. Whether the histologic pattern of lymph node involvement i.e., intra-(ICG) or extracapsular (ECG) cancer growth may affect patients’ prognosis remains unknown. The aim [...] Read more.
Ovarian cancer (OC) spread to retro-peritoneal lymph nodes is detected in about one out of two patients at primary diagnosis. Whether the histologic pattern of lymph node involvement i.e., intra-(ICG) or extracapsular (ECG) cancer growth may affect patients’ prognosis remains unknown. The aim of the current study was to analyze the prevalence of ECG and ICG in lymph node positive ovarian cancer. We further investigated whether ECG may be related to patients’ prognosis and whether biomarkers expressed in the primary tumor may predict the pattern of lymph node involvement. Lymph node samples stemming from 143 OC patients were examined for presence of ECG. Capsular extravasation was tested for statistical association with clinico-pathological variables. We further tested 27 biomarkers that had been determined in primary tumor tissue for their potential to predict ECG in metastatic lymph nodes. ECG was detected in 35 (24.5%) of 143 lymph node positive patients. High grade (p = 0.043), histologic subtype (p = 0.006) and high lymph node ratio (LNR) (p < 0.001) were positively correlated with presence of ECG. Both ECG (p = 0.024) and high LNR (p = 0.008) were predictive for shortened overall survival. A four-protein signature determined from the primary tumor tissue was associated with presence of concomitant extracapsular spread in lymph nodes of the respective patient. This work found extracapsular spread of lymph node metastasis to be a common feature of lymph node positive ovarian cancer. Since ECG was positively associated with grade, LNR and shortened overall survival, we hypothesize that the presence of ECG may be interpreted as an indicator of tumor aggressiveness. Full article
(This article belongs to the Special Issue Ovarian Cancer Metastasis)
Show Figures

Figure 1

Back to TopTop