Sign in to use this feature.

Years

Between: -

Subjects

remove_circle_outline
remove_circle_outline
remove_circle_outline
remove_circle_outline
remove_circle_outline

Journals

Article Types

Countries / Regions

Search Results (34)

Search Parameters:
Keywords = exsanguination

Order results
Result details
Results per page
Select all
Export citation of selected articles as:
16 pages, 2448 KB  
Article
Lactobacillus johnsonii N6.2 Phospholipids Induce T Cell Anergy upon Cognate Dendritic Cell Interactions
by Alexandra E. Cuaycal, Monica F. Torrez Lamberti, Graciela L. Lorca and Claudio F. Gonzalez
Metabolites 2025, 15(5), 284; https://doi.org/10.3390/metabo15050284 - 22 Apr 2025
Cited by 1 | Viewed by 858
Abstract
Background/Objectives: Lactobacillus johnsonii N6.2 is a gut symbiont with probiotic properties. L. johnsonii N6.2 delayed the progression of type 1 diabetes (T1D) in diabetic-prone rats. The probiotic intake demonstrated immune cell modulation in healthy volunteers, leading to improved wellness and fewer reported [...] Read more.
Background/Objectives: Lactobacillus johnsonii N6.2 is a gut symbiont with probiotic properties. L. johnsonii N6.2 delayed the progression of type 1 diabetes (T1D) in diabetic-prone rats. The probiotic intake demonstrated immune cell modulation in healthy volunteers, leading to improved wellness and fewer reported symptoms like headaches and abdominal pain. These systemic immune-modulating benefits are attributed to L. johnsonii N6.2’s bioactive fractions, including extracellular vesicles (EVs) and purified phospholipids (PLs). We have previously shown that L. johnsonii N6.2 PLs modulate dendritic cell (DC) function towards a regulatory-like phenotype. Here, we further characterize the immune regulatory effects of L. johnsonii N6.2 PLs on adaptive immunity, specifically upon DC and T cell interactions. We hypothesized that PL-stimulated DCs suppress T cell-mediated responses to maintain tolerance in intra- and extra-intestinal sites. Methods: Bone marrow-derived dendritic cells (BMDCs) were generated from Sprague-Dawley rats and stimulated with L. johnsonii N6.2 PLs. Isogenic T cells were isolated from PBMCs obtained via terminal exsanguination. In vitro cellular assays, co-culture experiments, gene expression analysis by qRT-PCR, and flow cytometry assays were conducted to assess the immune regulatory effects of L. johnsonii N6.2 PLs. Results: The PL-stimulated BMDCs upregulated DC regulatory markers and exhibited an immature-like phenotype with reduced surface expression of maturation markers but increased surface migratory molecules (ICAM-1). These BMDCs presented immunosuppressive functions upon cognate T cell interactions and in the presence of TCR stimulation. Specifically, PL-stimulated BMCDs suppressed Th1 effector function and induced the expression of T cell anergy-related genes after co-culturing for 72 h. Conclusions: This study highlights the immune regulatory capacity of L. johnsonii N6.2’s bioactive components on adaptive immunity, specifically that of purified PLs on DC:T cell-mediated responses leading to immunosuppression. Our findings suggest that L. johnsonii N6.2-purified PLs play a role in regulating adaptive immunity, offering potential benefits for managing immune-related diseases like T1D. Full article
Show Figures

Figure 1

12 pages, 269 KB  
Article
Effects of Stocking Density in the Pen and Lairage Time on Blood Stress Indicators, Skin Lesion Scores, and Pork Meat Quality
by Luana Torres da Rocha, Paulo Levi de Oliveira Carvalho, Janaína Paolucci Sales de Lima, Liliana Bury de Azevedo, Silvana Texeira Carvalho, Jansller Luiz Genova and Luigi Faucitano
Animals 2025, 15(5), 634; https://doi.org/10.3390/ani15050634 - 21 Feb 2025
Cited by 1 | Viewed by 1039
Abstract
The objective of this study was to assess the effects of stocking density in the pen and lairage time before slaughter on blood stress indicators, skin lesions, and pork meat quality traits. A total of 1920 immunocastrated male pigs were shipped to a [...] Read more.
The objective of this study was to assess the effects of stocking density in the pen and lairage time before slaughter on blood stress indicators, skin lesions, and pork meat quality traits. A total of 1920 immunocastrated male pigs were shipped to a slaughterhouse. In order to maintain the proposed stocking densities, 72 pigs out of the 1920 animals were removed across loads from the experiment. The remaining 1848 pigs were randomly assigned to two different stocking densities in the lairage pen (0.42 m2/100 kg and 0.66 m2/100 kg) and two lairage times (2 h and 6 h). A total of 360 pigs were selected for the analysis of exsanguination blood glucose, creatine kinase, lactate dehydrogenase, cortisol concentration, hematocrit percentage, and carcass skin lesion scores, whereas meat quality was assessed in 240 loin muscles. Except for blood hematocrit percentage, the interaction stocking density × lairage pen had no effect on any parameter (p > 0.10). When compared to a lower stocking density (0.66 m2/100 kg), pigs kept at a higher stocking density (0.42 m2/100 kg) tended to present lower blood LDH concentrations (p = 0.06) and higher blood cortisol concentrations (p = 0.08) at slaughter and had greater carcass skin lesion scores (p < 0.001) and drier (lower drip loss) loin muscles (p = 0.04). Increased blood hematocrit percentage was found in pigs kept in lairage at a higher stocking density for 6 h when compared with the other lairage conditions (p < 0.01). Overall, stocking density, in particular when it was high, influenced more pigs’ stress conditions at slaughter and carcass and meat quality than the time spent in lairage. Full article
16 pages, 7967 KB  
Article
Phospholipid Nanoparticles: A Novel Colloid for Blood Volume Replacement, Reanimation, and Organ Protection in Hemorrhagic Shock
by Philemon Shallie, Nathan Carpenter, Prashanth Anamthathmakula, Danielle Kinsey, Michael Moncure, Houman Honaryar, Hanieh Sadat Ghazali, Zahra Niroobakhsh, Juan Rodriguez and Cuthbert O. Simpkins
Biomedicines 2024, 12(12), 2824; https://doi.org/10.3390/biomedicines12122824 - 12 Dec 2024
Viewed by 1238
Abstract
Background/Objectives: Exsanguination is a leading cause of preventable death in military and civilian settings due to extensive blood loss and hemorrhagic shock, which trigger systemic effects such as impaired tissue perfusion, hypoxia, inflammation, and multi-organ dysfunction. Standard resuscitation restores blood volume but [...] Read more.
Background/Objectives: Exsanguination is a leading cause of preventable death in military and civilian settings due to extensive blood loss and hemorrhagic shock, which trigger systemic effects such as impaired tissue perfusion, hypoxia, inflammation, and multi-organ dysfunction. Standard resuscitation restores blood volume but fails to address critical aspects of hemorrhagic shock, including inflammation, coagulopathy, and reperfusion injury. To address these limitations, novel phospholipid nanoparticle (PNP)-based resuscitative fluids, VBI-S and VBI-1, were developed to modulate nitric oxide (NO) levels, improving hemodynamic stability, tissue oxygenation, and reducing inflammatory injury. This study assessed the potential of novel phospholipid nanoparticle fluids, VBI-S and VBI-1, as resuscitative agents for severe hemorrhagic shock by evaluating their ability to regulate nitric oxide, restore blood pressure, and mitigate ischemia–reperfusion injury. Methods: This study involved two phases with Sprague Dawley rats (n = 6 per group). Phase one, lasting 4 h, included four groups: blood, Ringer’s lactate, VBI-S, and VBI-1. Phase two, lasting 12 h, comprised sham, blood, and VBI-1 groups. Under anesthesia, one femoral artery was catheterized for blood pressure monitoring, and blood withdrawal from the other induced apnea. Reanimation was performed using an intra-arterial infusion of shed blood, Ringer’s lactate, VBI-S, or VBI-1. Tissue samples were analyzed histologically and for oxidative DNA damage via immunofluorescence. Chemiluminescence and rheology assessed nitric oxide interactions and viscosity. Data were analyzed using ANOVA. Results: VBI-1 and shed blood increased mean arterial pressure (MAP) from <10 mmHg to survivable levels sustained for 12 h, with VBI-1 showing significantly higher MAP at 3–4 h. Rats treated with Ringer’s lactate died within 30 min. Histology revealed reduced organ damage in VBI-1-treated rats compared to shed blood. Immunohistochemistry indicated significantly less oxidative DNA damage (p < 0.001) in VBI-1-treated rats. VBI-1 exhibited superior viscosity and nitric oxide binding. Conclusions: VBI-1 demonstrates strong potential as a resuscitative fluid, offering blood pressure restoration, reduced oxidative damage, and enhanced tissue perfusion, with significant implications for use in resource-limited and pre-hospital settings. Full article
(This article belongs to the Section Biomedical Engineering and Materials)
Show Figures

Figure 1

8 pages, 832 KB  
Article
Can We Trust Them? FAST and DPA in Assessing Unstable Patients Following Blunt Abdominal Trauma
by Rakesh Quinn, Jeremy Hsu and Tony Pang
Surgeries 2024, 5(3), 674-681; https://doi.org/10.3390/surgeries5030053 - 16 Aug 2024
Viewed by 4007
Abstract
The diagnosis of intra-abdominal exsanguination in hemodynamically unstable blunt trauma patients is almost universally determined by Focused Assessment with Sonography in Trauma (FAST). However, FAST has been reported to have poor sensitivity and is therefore associated with false-negative examinations. Our institutional practice includes [...] Read more.
The diagnosis of intra-abdominal exsanguination in hemodynamically unstable blunt trauma patients is almost universally determined by Focused Assessment with Sonography in Trauma (FAST). However, FAST has been reported to have poor sensitivity and is therefore associated with false-negative examinations. Our institutional practice includes diagnostic peritoneal aspirate (DPA) following two negative FASTs to address the poor sensitivity. We hypothesized that serial FAST alone would be able to exclude clinically significant abdominal bleeding in an unstable blunt trauma patient. A retrospective cohort study was conducted between 2018 and 2020 at a major tertiary trauma referral hospital, including all blunt trauma patients who were hemodynamically unstable. Two groups were analyzed: 1. “FAST+”: those who had a positive FAST scan and proceeded to a trauma laparotomy, and 2. “DPA”: those who had serial negative FAST scans and proceeded to DPA. Of the 12 patients in the FAST+ group, 92% correctly identified the abdomen as the source of instability. Of the seventeen patients in the DPA group, only two (12%) had positive DPA. Both patients underwent laparotomies, but neither identified an abdominal source of hemodynamic instability. The most common cause of hemodynamic instability in the DPA group was pelvic bleeding from major pelvic ring disruption. The sensitivity and specificity of the serial FAST exam for clinically significant abdominal bleeding were 100% and 94%, respectively. These data suggests that two sequential negative FAST scans are adequate for excluding intra-abdominal bleeding as the source of instability, with further investigation with DPA not identifying any clinically significant sources of intra-abdominal bleeding. Full article
Show Figures

Figure 1

9 pages, 661 KB  
Review
Vasa Previa and the Role of Fetal Fibronectin and Cervical Length Surveillance: A Review
by Antonia F. Oladipo, Kaitlyn Voity, Kimberly Murphy, Manuel Alvarez and Jesus Alvarez-Perez
Diagnostics 2024, 14(10), 1016; https://doi.org/10.3390/diagnostics14101016 - 15 May 2024
Viewed by 1900
Abstract
Vasa previa is a pregnancy complication that occurs when unprotected fetal blood vessels traverse the cervical os, placing the fetus at high risk of exsanguination and fetal death. These fetal vessels may be compromised by fetal movement and compression, leading to poor oxygen [...] Read more.
Vasa previa is a pregnancy complication that occurs when unprotected fetal blood vessels traverse the cervical os, placing the fetus at high risk of exsanguination and fetal death. These fetal vessels may be compromised by fetal movement and compression, leading to poor oxygen distribution and asphyxiation. Diagnostic tools for vasa previa management and preterm labor (PTL) include transvaginal ultrasound, cervical length (CL) surveillance and use of fetal fibronectin (FFN) testing. These tools can prove to be quite useful as they allow for lead time in the prediction of PTL and spontaneous rupture of membranes which can result in devastating outcomes for pregnancies affected by vasa previa. We conducted a literature review on vasa previa management and the usefulness of FFN and CL surveillance in predicting PTL and found 36 related papers. Although there is limited research available to show the impact of FFN and CL surveillance in the management of vasa previa, there is sufficient evidence to support FFN and CL surveillance in predicting the onset of PTL, which can have devastating consequences for the pregnancies affected. It can be extrapolated that these tools, by helping to determine pregnancies at risk for PTL, could improve management and outcomes in patients with vasa previa. Future studies investigating the management of vasa previa with FFN and CL surveillance to reduce the burden of PTL and its associated comorbidities are warranted. Full article
(This article belongs to the Special Issue Insights in Maternal-Fetal Medicine—Preventing Preterm Births)
Show Figures

Figure 1

19 pages, 6907 KB  
Article
Opportunities to Improve Animal Welfare during Transport and Slaughter of Cattle and Pigs through Staff Training—Results of a Delphi Survey
by Fabienne Eichler, Veronica Duckwitz, Rudi Isbrandt, Svea Nicolaisen, Nina Langkabel, Mechthild Wiegard, Diana Meemken, Christa Thöne-Reineke and Marcus G. Doherr
Animals 2023, 13(24), 3859; https://doi.org/10.3390/ani13243859 - 15 Dec 2023
Cited by 1 | Viewed by 2177
Abstract
To improve animal welfare for cattle and pigs during transport and at slaughter, online training modules for all staff including employees in the lairage pen, the slaughter line as well as animal welfare officers are developed at Freie Universität Berlin, Germany. Before starting [...] Read more.
To improve animal welfare for cattle and pigs during transport and at slaughter, online training modules for all staff including employees in the lairage pen, the slaughter line as well as animal welfare officers are developed at Freie Universität Berlin, Germany. Before starting the development of these modules, an expert elicitation survey using a modified Delphi approach was performed to identify action points considered most relevant for animal welfare during transport and slaughter, and as having the potential for improvement through training. In total, 49 participating experts rated predetermined action points of each step in the transport and slaughter process in two survey rounds. The rating scale included numbers 0 (=‘not relevant’, respectively ‘no possibility of improvement’) to 10 (=‘very relevant’, respectively ‘very high possibility of improvement’). None of the action points were rated with a median score of less than 5. Assessment of fitness for transport, unloading at the abattoir, handling at stunning and exsanguination were amongst the highest rated action points, and were therefore selected to develop online training modules. The Delphi approach was seen as a valuable method to include external expertise to select the most relevant action points for the development of online training modules. Full article
Show Figures

Figure 1

21 pages, 1416 KB  
Article
Transport of Pigs of Two Market Weights at Two Space Allowances: Effects on Behaviour, Blood Parameters, and Meat Quality under Summer and Winter Conditions
by Jessica Gonçalves Vero, Nicolas Devillers, Ana Maria Bridi, Kyle A. T. Moak, Gizella Aboagye, Guilherme Agostinis Ferreira, Jansller Luiz Genova, Sabine Conte and Luigi Faucitano
Animals 2023, 13(17), 2767; https://doi.org/10.3390/ani13172767 - 30 Aug 2023
Cited by 7 | Viewed by 2105 | Correction
Abstract
This study was carried out through two separate experiments aiming at evaluating the effects of two space allowances (0.54 and 0.62 m2/pig in summer and 0.44 m2/pig and 0.50 m2/pig in winter) on the behavioural and physiological [...] Read more.
This study was carried out through two separate experiments aiming at evaluating the effects of two space allowances (0.54 and 0.62 m2/pig in summer and 0.44 m2/pig and 0.50 m2/pig in winter) on the behavioural and physiological response, and meat quality of pigs of two slaughter weights (120 kg and 140 kg). In summer, higher blood haematocrit levels were found at slaughter in heavier pigs transported at a smaller space allowance (p = 0.04). During lairage, pigs transported at a smaller space allowance started fighting later (p = 0.04). Fighting behaviour was greater in heavier pigs (p ≤ 0.05), whilst their drinking activity was lower (p < 0.05). This resulted in greater exsanguination blood CK levels (p < 0.01) and drier hams (p = 0.05) in heavier pigs. In winter, only lower space allowance influenced some meat quality traits (p < 0.05), but these effects were minor. The effects of space allowance during summer transports on within-truck ambient conditions, post-transport pigs’ welfare, and meat quality are similar. Mixing heavier pigs may result in greater aggressiveness and more fatigue-related meat quality variation during summer. Overall, winter transport results may have been biased by the short journey and within-truck load distribution. Full article
Show Figures

Figure 1

15 pages, 1021 KB  
Article
Postmortem Metabolism and Pork Quality Development Are Affected by Electrical Stimulation across Three Genetic Lines
by Matthew D. Spires, Jocelyn S. Bodmer, Mariane Beline, Jordan C. Wicks, Morgan D. Zumbaugh, Tim Hao Shi, Brian T. Reichert, Allan P. Schinckel, Alan L. Grant and David E. Gerrard
Animals 2023, 13(16), 2599; https://doi.org/10.3390/ani13162599 - 11 Aug 2023
Cited by 3 | Viewed by 1739
Abstract
Variations in postmortem metabolism in muscle impact pork quality development. Curiously, some genetic lines are more refractile to adverse pork quality development than others and may regulate energy metabolism differently. The aim of this study was to challenge pork carcasses from different genetic [...] Read more.
Variations in postmortem metabolism in muscle impact pork quality development. Curiously, some genetic lines are more refractile to adverse pork quality development than others and may regulate energy metabolism differently. The aim of this study was to challenge pork carcasses from different genetic populations with electrical stimulation (ES) to determine how postmortem metabolism varies with genetic line and explore control points that reside in glycolysis in dying muscle. Three genetic populations (GP) were subjected to ES (100 V or 200 V, 13 pulses, 2 s on/2 s off) at 15- or 25-min post-exsanguination, or no stimulation (NS). Genetic population affected relative muscle relative abundance of different myosin heavy chains, glycogen, G6P, and lactate concentrations. Genetic lines responded similarly to ES, but a comparison of ES treatment groups revealed a trend for an interaction between voltage, time of ES, and time postmortem. Higher voltage accelerated pH decline at 20 min up to 60 min postmortem. Trends in color and firmness scores and L* values were consistent with pH and metabolite data. These data show that genetic populations respond differently to postmortem perturbation by altering glycolytic flux and suggest differences in postmortem glycolysis may be partially responsible for differences in meat quality between genetic populations, though not entirely. Full article
(This article belongs to the Special Issue Pork Production: Meat Quality, Process, and Safety)
Show Figures

Figure 1

15 pages, 2074 KB  
Article
Agonic Aspiration of Blood: Not Useful as an Animal-Based Indicator of Electrical Stunning Ineffectiveness in Pigs (Sus scrofa domesticus)
by Maria Francisca Ferreira, Emma Fàbrega, Isabel Pires and Maria Madalena Vieira-Pinto
Animals 2023, 13(14), 2292; https://doi.org/10.3390/ani13142292 - 13 Jul 2023
Cited by 1 | Viewed by 2492
Abstract
Agonic aspiration of blood (AAB) may result from an inadequate exsanguination with accidental trachea severing, that can be favoured by ineffective stunning of pigs (Sus scrofa domesticus). This study aimed to evaluate AAB as an animal-based indicator of electrical stunning ineffectiveness, [...] Read more.
Agonic aspiration of blood (AAB) may result from an inadequate exsanguination with accidental trachea severing, that can be favoured by ineffective stunning of pigs (Sus scrofa domesticus). This study aimed to evaluate AAB as an animal-based indicator of electrical stunning ineffectiveness, which could be used by official veterinarians during the post-mortem inspection of pigs. Information on 3584 finishing pigs was collected at a Portuguese abattoir that performs head-to-body electrical stunning with horizontal bleeding. Of them, 15.5% of the pigs presented signs of ineffective stunning. AAB lung lesions were found in 27.8% of lungs. Despite what was predicted, a strong correlation was found between well stunned animals and the presence of blood lesions in lungs (p = 0.006). Statistical significances were found between pigs’ lateral recumbency at the conveyor and the presence of blood affecting one lung. Under the conditions of this study, the authors cannot point to AAB lung lesions as an animal-based indicator of electrical stunning ineffectiveness. Further studies should be conducted to establish a better understanding of the causes of aspiration of blood, in particular how horizontal bleeding may affect the occurrence of similar lesions. Full article
Show Figures

Figure 1

15 pages, 2762 KB  
Review
Severe Trauma-Induced Coagulopathy: Molecular Mechanisms Underlying Critical Illness
by Christian Zanza, Tatsiana Romenskaya, Fabrizio Racca, Eduardo Rocca, Fabio Piccolella, Andrea Piccioni, Angela Saviano, George Formenti-Ujlaki, Gabriele Savioli, Francesco Franceschi and Yaroslava Longhitano
Int. J. Mol. Sci. 2023, 24(8), 7118; https://doi.org/10.3390/ijms24087118 - 12 Apr 2023
Cited by 19 | Viewed by 7965
Abstract
Trauma remains one of the leading causes of death in adults despite the implementation of preventive measures and innovations in trauma systems. The etiology of coagulopathy in trauma patients is multifactorial and related to the kind of injury and nature of resuscitation. Trauma-induced [...] Read more.
Trauma remains one of the leading causes of death in adults despite the implementation of preventive measures and innovations in trauma systems. The etiology of coagulopathy in trauma patients is multifactorial and related to the kind of injury and nature of resuscitation. Trauma-induced coagulopathy (TIC) is a biochemical response involving dysregulated coagulation, altered fibrinolysis, systemic endothelial dysfunction, platelet dysfunction, and inflammatory responses due to trauma. The aim of this review is to report the pathophysiology, early diagnosis and treatment of TIC. A literature search was performed using different databases to identify relevant studies in indexed scientific journals. We reviewed the main pathophysiological mechanisms involved in the early development of TIC. Diagnostic methods have also been reported which allow early targeted therapy with pharmaceutical hemostatic agents such as TEG-based goal-directed resuscitation and fibrinolysis management. TIC is a result of a complex interaction between different pathophysiological processes. New evidence in the field of trauma immunology can, in part, help explain the intricacy of the processes that occur after trauma. However, although our knowledge of TIC has grown, improving outcomes for trauma patients, many questions still need to be answered by ongoing studies. Full article
(This article belongs to the Special Issue Molecular Research on Platelet Function in Disease 2.0)
Show Figures

Figure 1

12 pages, 1474 KB  
Review
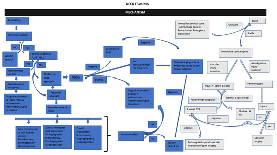
Diagnostic Approaches to Vascular Injury in Polytrauma—A Literature Review
by Vuyolwethu C. Ntola and Timothy C. Hardcastle
Diagnostics 2023, 13(6), 1019; https://doi.org/10.3390/diagnostics13061019 - 7 Mar 2023
Cited by 14 | Viewed by 7564
Abstract
Background: Polytrauma is understood as significant injuries, occurring at the same time, to two or more anatomical regions (the ISS regions) or organ systems, with at least one of the injuries considered as posing a threat to life. Trauma is the main cause [...] Read more.
Background: Polytrauma is understood as significant injuries, occurring at the same time, to two or more anatomical regions (the ISS regions) or organ systems, with at least one of the injuries considered as posing a threat to life. Trauma is the main cause of unexpected demise in individuals below the age of 44 years and represents a huge burden on society. Vascular injury is highly morbid; it can lead to rapid exsanguination and death, posing a threat to both life and the limb. Independent predictors of outcome include mechanism of injury, associated injuries, and time from injury to definitive care. The mechanisms of vascular injury in the setting of polytrauma are either blunt, penetrating or a combination of the two. Methods: Comprehensive literature review of current diagnostic approaches to traumatic vascular injury in the context of polytrauma. The factors influencing the diagnostic approach are highlighted. The focus is the epidemiology of vascular injury and diagnostic approaches to it in the context of polytrauma. Results: Traumatic vascular injuries are associated with limb loss or even death. They are characterised by multiple injuries, the dilemma of the diagnostic approach, timing of intervention and higher risk of limb loss or death. The systematic approach in terms of clinical diagnosis and imaging is crucial in order save life and preserve the limb. The various diagnostic tools to individualise the investigation are discussed. Conclusion: This paper highlights the significance of timely and appropriate use of diagnostic tools for traumatic vascular trauma to save life and to preserve the limb. The associated injury also plays a crucial role in deciding the imaging modalities. At times, more than one investigation may be required. Full article
(This article belongs to the Section Pathology and Molecular Diagnostics)
Show Figures

Figure 1

12 pages, 6769 KB  
Article
Haemorrhage and Survival Times: Medical–Legal Evaluation of the Time of Death and Relative Evidence
by Maricla Marrone, Loredana Bellantuono, Alessandra Stellacci, Federica Misceo, Maria Silvestre, Fiorenza Zotti, Alessandro Dell’Erba and Roberto Bellotti
Diagnostics 2023, 13(4), 732; https://doi.org/10.3390/diagnostics13040732 - 15 Feb 2023
Cited by 2 | Viewed by 2562
Abstract
Haemorrhage is the name used to describe the loss of blood from damaged blood vessels (arteries, veins, capillaries). Identifying the time of haemorrhage remains a clinical challenge, knowing that blood perfusion of systemic tissues is poorly correlated with the perfusion of specific tissues. [...] Read more.
Haemorrhage is the name used to describe the loss of blood from damaged blood vessels (arteries, veins, capillaries). Identifying the time of haemorrhage remains a clinical challenge, knowing that blood perfusion of systemic tissues is poorly correlated with the perfusion of specific tissues. In forensic science, one of the most discussed elements is the time of death. This study aims to provide the forensic scientist with a valid model to establish a precise time-of-death interval in cases of exsanguination following trauma with vascular injury, which can be useful as a technical aid in the investigation of criminal cases. To calculate the calibre and resistance of the vessels, we used an extensive literature review of distributed one-dimensional models of the systemic arterial tree as a reference. We then arrived at a formula that allows us to estimate, based on a subject’s total blood volume and the calibre of the injured vessel, a time interval within which a subject’s death from haemorrhage from vascular injury falls. We applied the formula to four cases in which death had been caused by the injury of a single arterial vessel and obtained comforting results. The study model we have offered is only a good prospect for future work. In fact, we intend to improve the study by expanding the case and statistical analysis with particular regard to the interference factors to confirm its actual usability in practical cases; in this way, useful corrective factors can be identified. Full article
(This article belongs to the Special Issue Trauma Diagnosis: Multidisciplinary Management and Forensic Profiles)
Show Figures

Figure 1

10 pages, 441 KB  
Article
Hemorrhagic Shock: Blood Marker Sequencing and Pulmonary Gas Exchange
by Benedikt Treml, Axel Kleinsasser, Johann Knotzer, Robert Breitkopf, Corinna Velik-Salchner and Sasa Rajsic
Diagnostics 2023, 13(4), 639; https://doi.org/10.3390/diagnostics13040639 - 9 Feb 2023
Cited by 3 | Viewed by 3621
Abstract
Background: The early identification of internal hemorrhage in critically ill patients may be difficult. Besides circulatory parameters, hemoglobin and lactate concentration, metabolic acidosis and hyperglycemia serve as laboratory markers for bleeding. In this experiment, we examined pulmonary gas exchange in a porcine model [...] Read more.
Background: The early identification of internal hemorrhage in critically ill patients may be difficult. Besides circulatory parameters, hemoglobin and lactate concentration, metabolic acidosis and hyperglycemia serve as laboratory markers for bleeding. In this experiment, we examined pulmonary gas exchange in a porcine model of hemorrhagic shock. Moreover, we sought to investigate if a chronological order of appearance regarding hemoglobin, lactatemia, standard base excess/deficit (SBED) and hyperglycemia exists in early severe hemorrhage. Methods: In this prospective, laboratory study, twelve anesthetized pigs were randomly allocated to exsanguination or a control group. Animals in the exsanguination group (n = 6) endured a 65% blood loss over 20 min. No intravenous fluids were administered. Measurements were taken before, immediately after, and at 60 min after the completed exsanguination. Measurements included pulmonary and systemic hemodynamic variables, hemoglobin concentration, lactate, base excess (SBED), glucose concentration, arterial blood gases, and a multiple inert gas assessment of pulmonary function. Results: At baseline, variables were comparable. Immediately after exsanguination, lactate and blood glucose were increased (p = 0.001). The arterial partial pressure of oxygen was increased at 60 min after exsanguination (p = 0.04) owing to a decrease in intrapulmonary right-to-left shunt and less ventilation-perfusion inequality. SBED was different to the control only at 60 min post bleeding (p < 0.001). Hemoglobin concentration did not change at any time (p = 0.97 and p = 0.14). Conclusions: In experimental shock, markers of blood loss became positive in chronological order: lactate and blood glucose concentrations were raised immediately after blood loss, while changes in SBED lagged behind and became significant one hour later. Pulmonary gas exchange is improved in shock. Full article
(This article belongs to the Section Medical Imaging and Theranostics)
Show Figures

Figure 1

10 pages, 848 KB  
Article
Evaluation of the Impact of a Tourniquet Training Program: A Cross-Sectional Study
by Valentín González-Alonso, María del Carmen Usero-Pérez, Raquel Seguido Chacón, Alicia Gómez de la Fuente, Jonathan Cortés-Martín, Raquel Rodríguez-Blanque and Juan Carlos Sánchez-García
Int. J. Environ. Res. Public Health 2023, 20(3), 2742; https://doi.org/10.3390/ijerph20032742 - 3 Feb 2023
Cited by 2 | Viewed by 3007
Abstract
Among the main preventable causes of death in the area of operations is external exsanguinating hemorrhage in the extremities, hence the importance of the tourniquet as a therapeutic tool in this type of injury and, therefore, of the training of personnel participating in [...] Read more.
Among the main preventable causes of death in the area of operations is external exsanguinating hemorrhage in the extremities, hence the importance of the tourniquet as a therapeutic tool in this type of injury and, therefore, of the training of personnel participating in international missions. The main objective of this study is to determine the impact of training in the application of this device. This is a quasi-experimental, prospective, cross-sectional study, carried out with 97 healthy volunteers, military personnel who perform their work in the Royal Guard barracks of El Pardo. The study was conducted between June 2019 and July 2021. The correct determination of the device placement site and the times of correct device placement were evaluated by determining whether there was blood flow using Doppler ultrasound measurements. Statistically significant results were obtained for application time (76.68 s to 58.06 s; p < 0.001), correct device placement (p < 0.001), and achievement of complete ischemia in the upper extremity (23.7% pretest vs. 24.7% post-test; p < 0.001). In the lower extremity, after training, longer application duration (43.33 s to 47.30 s) and lower ischemia achievement (59.8% pretest vs. 37.8% post-test) were obtained. Standardized and regulated training improves device application. More intensive training is necessary to obtain better results. Full article
(This article belongs to the Special Issue Advancing Research on Emergency Care)
Show Figures

Figure 1

31 pages, 2296 KB  
Review
Management of Hemorrhagic Shock: Physiology Approach, Timing and Strategies
by Fabrizio G. Bonanno
J. Clin. Med. 2023, 12(1), 260; https://doi.org/10.3390/jcm12010260 - 29 Dec 2022
Cited by 31 | Viewed by 50274
Abstract
Hemorrhagic shock (HS) management is based on a timely, rapid, definitive source control of bleeding/s and on blood loss replacement. Stopping the hemorrhage from progressing from any named and visible vessel is the main stem fundamental praxis of efficacy and effectiveness and an [...] Read more.
Hemorrhagic shock (HS) management is based on a timely, rapid, definitive source control of bleeding/s and on blood loss replacement. Stopping the hemorrhage from progressing from any named and visible vessel is the main stem fundamental praxis of efficacy and effectiveness and an essential, obligatory, life-saving step. Blood loss replacement serves the purpose of preventing ischemia/reperfusion toxemia and optimizing tissue oxygenation and microcirculation dynamics. The “physiological classification of HS” dictates the timely management and suits the ‘titrated hypotensive resuscitation’ tactics and the ‘damage control surgery’ strategy. In any hypotensive but not yet critical shock, the body’s response to a fluid load test determines the cut-off point between compensation and progression between the time for adopting conservative treatment and preparing for surgery or rushing to the theater for rapid bleeding source control. Up to 20% of the total blood volume is given to refill the unstressed venous return volume. In any critical level of shock where, ab initio, the patient manifests signs indicating critical physiology and impending cardiac arrest or cardiovascular accident, the balance between the life-saving reflexes stretched to the maximum and the insufficient distal perfusion (blood, oxygen, and substrates) remains in a liable and delicate equilibrium, susceptible to any minimal change or interfering variable. In a cardiac arrest by exsanguination, the core of the physiological issue remains the rapid restoration of a sufficient venous return, allowing the heart to pump it back into systemic circulation either by open massage via sternotomy or anterolateral thoracotomy or spontaneously after aorta clamping in the chest or in the abdomen at the epigastrium under extracorporeal resuscitation and induced hypothermia. This is the only way to prevent ischemic damage to the brain and the heart. This is accomplishable rapidly and efficiently only by a direct approach, which is a crush laparotomy if the bleeding is coming from an abdominal +/− lower limb site or rapid sternotomy/anterolateral thoracotomy if the bleeding is coming from a chest +/− upper limbs site. Without first stopping the bleeding and refilling the heart, any further exercise is doomed to failure. Direct source control via laparotomy/thoracotomy, with the concomitant or soon following venous refilling, are the two essential, initial life-saving steps. Full article
(This article belongs to the Special Issue Evaluation and Management of Major Trauma)
Show Figures

Figure 1

Back to TopTop