Sign in to use this feature.

Years

Between: -

Subjects

remove_circle_outline
remove_circle_outline
remove_circle_outline
remove_circle_outline

Journals

Article Types

Countries / Regions

Search Results (7)

Search Parameters:
Keywords = exodontia

Order results
Result details
Results per page
Select all
Export citation of selected articles as:
11 pages, 289 KB  
Article
Evaluation and Comparison of Oral Health Status between Spanish and Immigrant Children Residing in Barcelona, Spain
by Ana Veloso Duran, Blanca Framis-de-Mena, Maria Carmen Vázquez Salceda and Francisco Guinot Jimeno
Children 2022, 9(9), 1354; https://doi.org/10.3390/children9091354 - 4 Sep 2022
Cited by 4 | Viewed by 3000
Abstract
The present study aimed to evaluate and compare the level of oral health among Spanish and immigrant children residing in Barcelona, Spain. Oral health status was evaluated in 1400 children aged 3 to 14 years between September 2018 and June 2019. Multiple variables [...] Read more.
The present study aimed to evaluate and compare the level of oral health among Spanish and immigrant children residing in Barcelona, Spain. Oral health status was evaluated in 1400 children aged 3 to 14 years between September 2018 and June 2019. Multiple variables (dental caries lesions, exodontia, trauma, malocclusions, gingivitis, fillings, stainless steel crowns in primary dentition, and pit and fissure sealings in permanent dentition) were compared in both populations. Statistically significant differences (p < 0.001) were found in the prevalence of caries in the primary dentition, which was higher in the immigrant group (62.3%) than in the Spanish group (42.6%). For the permanent dentition, the prevalence of dental caries lesions was 12.2% in Spanish children and 16.4% in immigrant children, showing statistically significant differences (p = 0.026) between the two groups. The prevalence of fillings in the primary dentition was 14.6% in Spanish and 12.5% in immigrant children (p = 0.253). Regarding the permanent dentition, the number of fillings was also higher in the Spanish population (6.8%) compared to the immigrant population (3.5%), again evidencing statistically significant differences (p = 0.006). Our findings suggest a better oral health status in Spanish children than in immigrant children. Full article
(This article belongs to the Collection Advance in Pediatric Dentistry)
13 pages, 2748 KB  
Article
Collagenase Administration into Periodontal Ligament Reduces the Forces Required for Tooth Extraction in an Ex situ Porcine Jaw Model
by Ran Tohar, Hen Alali, Tamar Ansbacher, Tamar Brosh, Inbal Sher, Yossi Gafni, Evgeny Weinberg and Maayan Gal
J. Funct. Biomater. 2022, 13(2), 76; https://doi.org/10.3390/jfb13020076 - 8 Jun 2022
Cited by 4 | Viewed by 4528
Abstract
Minimally invasive exodontia is among the long-sought-for development aims of safe dental medicine. In this paper, we aim, for the first time, to examine whether the enzymatic disruption of the periodontal ligament fibers reduces the force required for tooth extraction. To this end, [...] Read more.
Minimally invasive exodontia is among the long-sought-for development aims of safe dental medicine. In this paper, we aim, for the first time, to examine whether the enzymatic disruption of the periodontal ligament fibers reduces the force required for tooth extraction. To this end, recombinantly expressed clostridial collagenase G variant purified from Escherichia coli was injected into the periodontal ligament of mesial and distal roots of the first and second split porcine mandibular premolars. The vehicle solution was injected into the corresponding roots on the contralateral side. Following sixteen hours, the treated mandibles were mounted on a loading machine to measure the extraction force. In addition, the effect of the enzyme on the viability of different cell types was evaluated. An average reduction of 20% in the applied force (albeit with a large variability of 50 to 370 newton) was observed for the enzymatically treated roots, reaching up to 50% reduction in some cases. Importantly, the enzyme showed only a minor and transient effect on cellular viability, without any signs of toxicity. Using an innovative model enabling the analytical measurement of extraction forces, we show, for the first time, that the enzymatic disruption of periodontal ligament fibers substantially reduces the force required for tooth extraction. This novel technique brings us closer to atraumatic exodontia, potentially reducing intra- and post-operative complications and facilitating subsequent implant placement. The development of novel enzymes with enhanced activity may further simplify the tooth extraction process and present additional clinical relevance for the broad range of implications in the oral cavity. Full article
(This article belongs to the Special Issue Biomaterials for Oral Reconstructive Treatment)
Show Figures

Graphical abstract

8 pages, 5885 KB  
Case Report
Aesthetic and Functional Rehabilitation of Patients with Genetic Microdontia: A Multidisciplinary Approach
by Cindy Batisse, Pierre-Yves Cousson, Emmanuel Nicolas and Marion Bessadet
Healthcare 2022, 10(3), 485; https://doi.org/10.3390/healthcare10030485 - 5 Mar 2022
Cited by 4 | Viewed by 3527
Abstract
This case report presents the treatment of a 33-year-old patient with a genetic, generalized microdontia of permanent teeth. Microdontia is a developmental dental anomaly of the teeth characterized by a decrease in their size. In the literature, treatment has been multidisciplinary, often utilizing [...] Read more.
This case report presents the treatment of a 33-year-old patient with a genetic, generalized microdontia of permanent teeth. Microdontia is a developmental dental anomaly of the teeth characterized by a decrease in their size. In the literature, treatment has been multidisciplinary, often utilizing orthodontics and implantology. However, for adult patients with generalized microdontia who do not benefit from these treatments as much, a combination of adhesive dentistry, endodontics and removable prostheses remains a therapeutic alternative to consider. Given the specificities of the patient and the nature of the care, the objective of this treatment option was to manage the patient’s comfort while guaranteeing quality of care. A feature of this treatment was the use of general anesthesia for endodontic treatments and exodontia. Chairside CAD/CAM and adhesive dentistry reduced the chairside time and preserved healthy dental tissue. Full article
(This article belongs to the Special Issue Healthcare and Special Needs Patients)
Show Figures

Figure 1

10 pages, 677 KB  
Article
Comparison of Implant Stability between Regenerated and Non-Regenerated Bone. A Prospective Cohort Study
by Marta Vallecillo-Rivas, Candela Reyes-Botella, Cristina Vallecillo, María Jesús Lisbona-González, Manuel Vallecillo-Capilla and María Victoria Olmedo-Gaya
J. Clin. Med. 2021, 10(15), 3220; https://doi.org/10.3390/jcm10153220 - 21 Jul 2021
Cited by 15 | Viewed by 3810
Abstract
Implant stability is one of the main indicators of successful osseointegration. Although it has been measured in numerous studies, there has been little research on implant stability in regenerated bone. The study compares primary and secondary stability between implants placed in regenerated versus [...] Read more.
Implant stability is one of the main indicators of successful osseointegration. Although it has been measured in numerous studies, there has been little research on implant stability in regenerated bone. The study compares primary and secondary stability between implants placed in regenerated versus native bone and evaluates the influence of bone quality on the results. Sixty implants were placed in 31 patients: 30 implants inserted in native bone (non-regenerated) after a healing period of at least 6 months post-exodontia and 30 inserted in regenerated bone at 6 months after grafting with xenograft. Resonance frequency analysis (RFA) was used to obtain implant stability quotient (ISQ) values at baseline (implant placement), 8 weeks, and 12 weeks. Statistically significant differences were found between implants placed in regenerated bone and those placed in native bone at all measurement time points (p < 0.05). ISQ values were significantly influenced by bone quality at baseline (p < 0.05) but not at 8 or 12 weeks. Greater stability was obtained in implants placed in native bone; however, those placed in regenerated bone showed adequate primary and secondary stability for prosthetic loading. Bone quality influences the primary but not secondary stability of the implants in both native and regenerated bone. Full article
Show Figures

Figure 1

6 pages, 1333 KB  
Article
Odontogenic Maxillary Sinusitis: Therapeutic Management of Cases with Oroantral Fistulae
by Yasutaka Yun, Masao Yagi, Tomofumi Sakagami, Shunsuke Sawada, Yuka Kojima, Tomoe Nakatani, Risaki Kawachi, Kensuke Suzuki, Hideyuki Murata, Akira Kanda, Mikiya Asako and Hiroshi Iwai
Sinusitis 2021, 5(1), 53-58; https://doi.org/10.3390/sinusitis5010006 - 1 Mar 2021
Cited by 2 | Viewed by 10771
Abstract
Odontogenic maxillary sinusitis (OMS) is a disease in which inflammation from the teeth extend into the maxillary sinus, causing symptoms of unilateral sinusitis. OMS can recur, with some being resistant to antibiotics. In intractable cases, exodontia and endoscopic sinus surgery (ESS) are necessary [...] Read more.
Odontogenic maxillary sinusitis (OMS) is a disease in which inflammation from the teeth extend into the maxillary sinus, causing symptoms of unilateral sinusitis. OMS can recur, with some being resistant to antibiotics. In intractable cases, exodontia and endoscopic sinus surgery (ESS) are necessary treatments. Here we report our analysis on the indications for surgical intervention in cases diagnosed with and treated as OMS. We retrospectively examined 186 patients who were diagnosed with sinusitis on a computed tomography (CT) scan. For cases diagnosed with OMS, the site of the causative tooth and the presence or absence of oroantral fistula to the maxillary sinus was examined. In addition, we analyzed the therapeutic efficacy of the initial treatment of antibiotics, and what the indications were for ESS. Among the patients examined, OMS was diagnosed in 44 cases (23.6%). In 14 out of 20 cases that underwent a post-medical treatment CT scan, OMS found to be treatment-resistant. Of these 14 cases, 12 (88%) had oroantral fistulae to the maxillary sinus. In all cases where exodontia, fistula closure surgery, and endoscopic sinus surgery (ESS) were performed, the fistula disappeared and the shadow of inflammation in the paranasal sinus improved. In OMS with oroantral fistula, ESS, exodontia, and fistula closure should be recommended over medication such as macrolide therapy. Full article
Show Figures

Figure 1

14 pages, 3253 KB  
Article
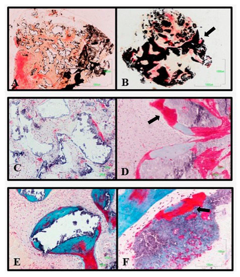
Safety and Efficacy of a New Synthetic Material Based on Monetite, Silica Gel, PS-Wallastonite, and a Hydroxyapatite Calcium Deficient: A Randomized Comparative Clinic Trial
by Javier Flores Fraile, Nansi López-Valverde, Arcadio García de Castro Andews, Juan Antonio Santos Marino, Juan M. Ramírez, Rafael Gómez de Diego, Javier Montero, Antonio López-Valverde and Leticia Alejandra Blanco Antona
Medicina 2020, 56(2), 46; https://doi.org/10.3390/medicina56020046 - 21 Jan 2020
Cited by 5 | Viewed by 3154
Abstract
Background and Objectives: Maxillary bone defects related to post-extraction alveolar ridge resorption are usual. These defects may lead to failure in further surgical implant phases given the lack of bone volume to perform the dental implant. The objective of this clinical assay [...] Read more.
Background and Objectives: Maxillary bone defects related to post-extraction alveolar ridge resorption are usual. These defects may lead to failure in further surgical implant phases given the lack of bone volume to perform the dental implant. The objective of this clinical assay was to evaluate the safety and efficacy of an experimental synthetic bone substitute in the preservation of post-extraction maxillary alveoli. Materials and Methods: 33 voluntary patients who had at least one maxillary premolar tooth that was a candidate for exodontia (n = 39) and subsequent implant rehabilitation participated. The regenerated alveoli were monitored by means of periodic clinical examinations (days 9 ± 1, 21 ± 4, 42 ± 6, and 84 ± 6), measuring the height and width of the alveolar crest (days 0 and 180 ± 5), measurement of radiodensity using tomographic techniques (days 0–5 and 175 ± 5), and histological examination of biopsies collected at 180 ± 5 days. Results: No significant differences were observed during the entire follow-up period between the two groups with respect to the safety variables studied. A variation in width of −0.9 ± 1.3 mm and −0.6 ± 1.5 mm, and a variation in height of −0.1 ± 0.9 mm and −0.3 ± 0.7 mm was observed for experimental material Sil-Oss® and Bio-Oss®, respectively. The radiodensity of the alveoli regenerated with the experimental material was significantly lower than that corresponding to Bio-Oss®. However, the histological study showed greater osteoid matrix and replacement of the material with newformed bone in the implanted beds with the experimental material. Conclusions: Both materials can be used safely and proved equally effective in maintaining alveolar flange dimensions, they are also histologically biocompatible, bioactive and osteoconductive. The experimental material showed the advantage of being resorbable and replaced with newformed bone, in addition to promoting bone regeneration. Full article
(This article belongs to the Section Dentistry and Oral Health)
Show Figures

Figure 1

11 pages, 230 KB  
Article
Factors Influencing the Onset of Intra- and Post- Operative Complications Following Tooth Exodontia: Retrospective Survey on 1701 Patients
by Erica Vettori, Fulvia Costantinides, Vanessa Nicolin, Roberto Rizzo, Giuseppe Perinetti, Michele Maglione and Roberto Di Lenarda
Antibiotics 2019, 8(4), 264; https://doi.org/10.3390/antibiotics8040264 - 13 Dec 2019
Cited by 18 | Viewed by 8751
Abstract
Complications after tooth extraction may occur because of several factors correlated to the patient’s medical history, surgical site or type of intervention. The aim of this retrospective cohort study was to evaluate type and frequency of complications after exodontic surgery, its correlation with [...] Read more.
Complications after tooth extraction may occur because of several factors correlated to the patient’s medical history, surgical site or type of intervention. The aim of this retrospective cohort study was to evaluate type and frequency of complications after exodontic surgery, its correlation with antibiotic administration and between patient’s related systemic factors. From June 2015 until February 2016 1701 exodontic interventions, for a total of 2322 extracted teeth, were carried out at the Unit of Oral Surgery in Trieste. Descriptive statistic, and backward multiple logistic regressions were performed to identify the variables associated with the presence of post-operative alveolitis or any other post-operative complication. The presence of coagulopathy and smoking habit were related to high risk of post-operative alveolitis (OR = 5.51, p = 0.035 and OR = 2.5, p = 0.029, respectively). Tooth fracture was found to be correlated with higher probability of post-operative alveolitis (p = 0.001) and concomitant chemotherapy put at a higher risk post-operative complications, including alveolitis (OR = 29.5, p = 0.018). According to the present results, antibiotic consumption did not seem to reduce the incidence of post-operative infective complications (alveolitis). A careful analysis of medical history, the adequate surgical technique, and the correct instructions in post-surgical behavior, prevent the insurgence of intra and post-operative complications. Full article
(This article belongs to the Special Issue Antibiotics and Antimicrobials in Dentistry)
Back to TopTop