Aesthetic and Functional Rehabilitation of Patients with Genetic Microdontia: A Multidisciplinary Approach
Abstract
:1. Introduction
2. Case Presentation
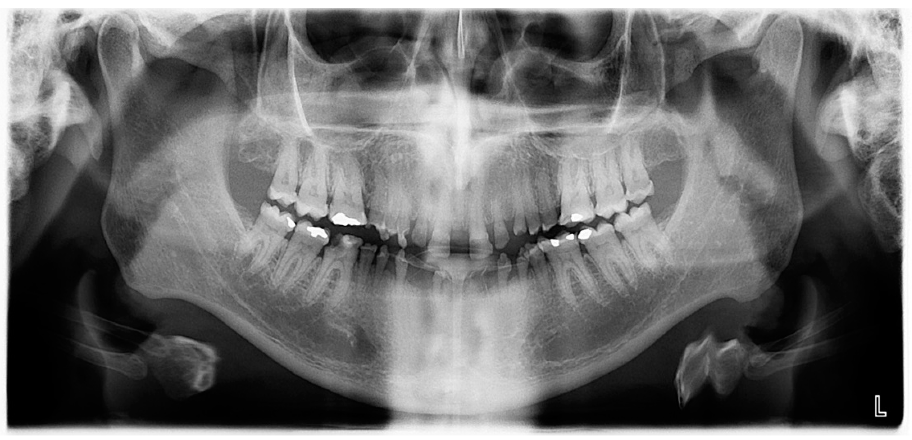
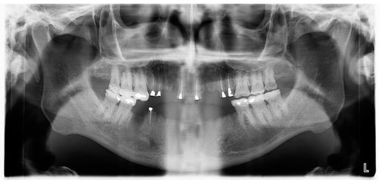
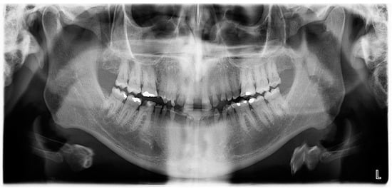
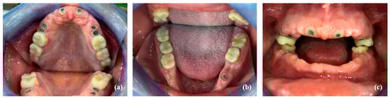
2.1. Clinical and Radiological Examination
2.2. Therapeutic Objectives and Proposals
2.3. Treatment
- (1)
- Validation of the setup in the mouth and fabrication of the transitional removable partial dentures: the increase in OVD was accomplished by transferring a composite resin mock-up (Voco StructurPremium, Cuxhaven, Germany) to the molars in the mouth. The aesthetic evaluation of the increased OVD was verified on the day of placement (consistency in profile). However, the functional verification was done after one week of wearing the mock-up considering the patient’s feedback, phonetics and the absence of pain, clicking or cracking in the temporomandibular joints. Two alginate impressions were made using custom trays in the maxilla and mandible with and without mock-ups in place, and silicone maxillomandibular records (VPS Hydro Bite HENRY SCHEIN, Melville, NY, USA) were made in order to finalize the transitional removable partial dentures.
- (2)
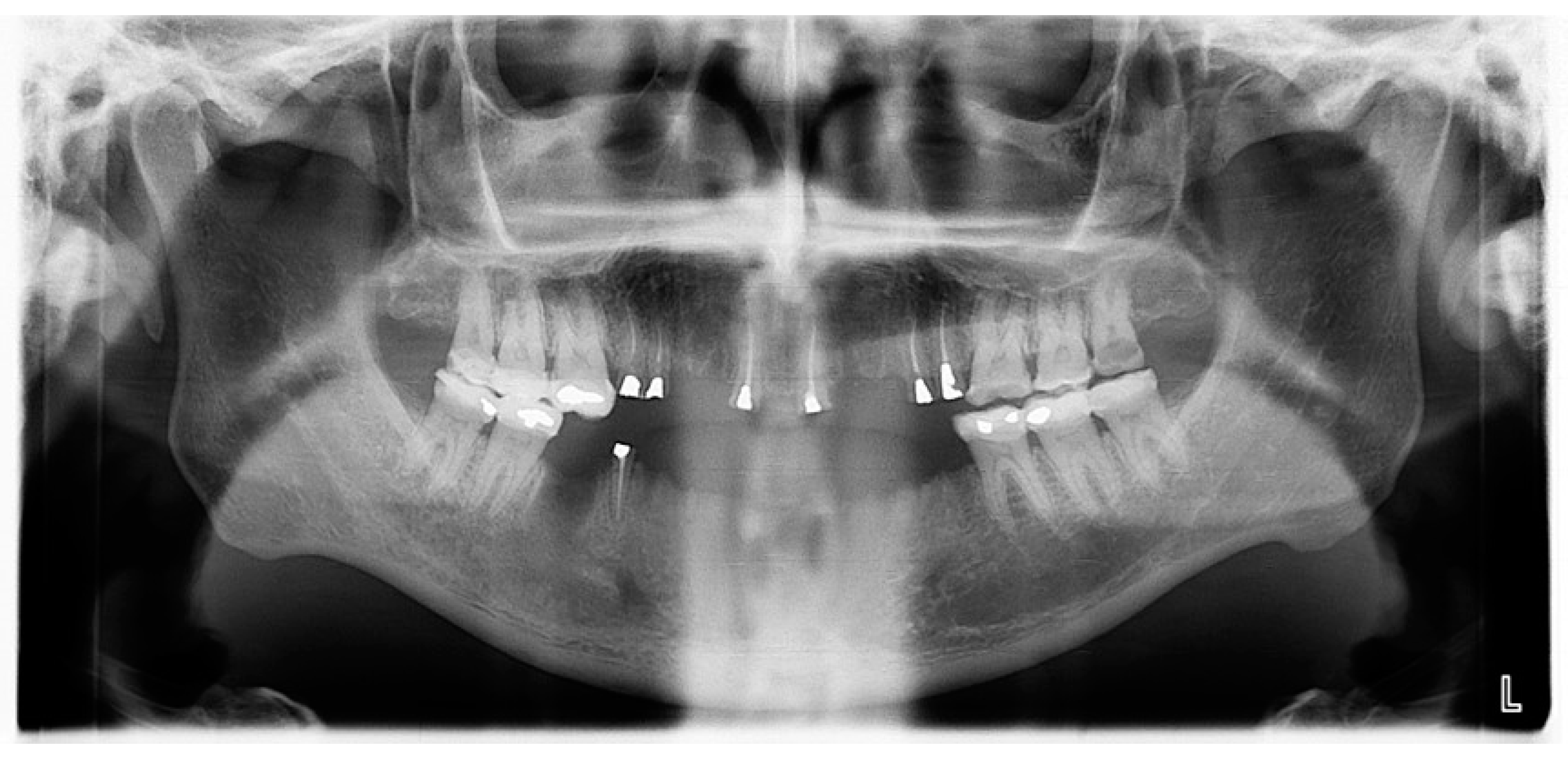
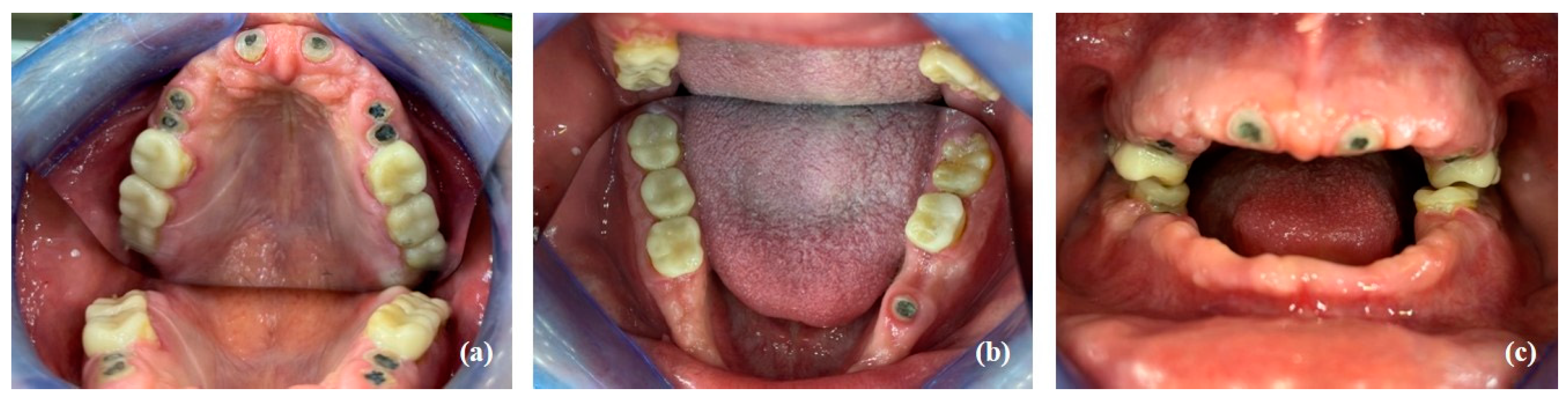
- Pre-prosthetic care: exodontia, endodontic and restorative treatments were performed under general anesthesia. The following procedures were performed: endodontic treatment and bonded amalgam restorations for overdenture abutments of teeth numbers 11, 14, 15, 21, 24, 25 and 45 and exodontia of 46, 44, 43, 41, 33, 34, 35, 23, 22, 13 and 12 (Figure 6). The TRPD were placed on the day of surgery and a postoperative consultation was performed the following day to evaluate and adjust the prostheses (Figure 7).
- (3)
- Fabrication of fixed prostheses: the onlays were fabricated in two clinical sessions using chairside CAD/CAM techniques with a PrimeScan™ intraoral scanner (Dentsply Sirona, York, PA, USA). Two opposing quadrants were restored each session (left posterior segments 2 and 3, then right posterior segments 1 and 4).Preliminary digital impressions with the mock-up in place were made to ensure that the coronal anatomy of the future onlays were identical to the mock-up. The preparation for the onlays consisted of the removal of the mock-up and the occlusal restorations, the curettage of any decay and the preparation of any existing undercuts. Finally, an occlusal reduction was performed to provide sufficient height for the restorative material of the onlays (Figure 8). The onlays were then digitally designed in the same clinical session (Figure 8).The choice of milling material was justified by the very minimal restoration thickness (due to the small occlusal vertical dimension increase). All onlays were therefore milled from hybrid resin/ceramic blocks (VITA Enamic®, Bad Säckingen, Germany). The onlays were bonded intraorally using rubber dam isolation and a light-curing adhesive with no adhesion potential (Variolink® Esthetic, Ivoclar, Saint jorioz, France) in accordance with the manufacturer’s instructions for use (Figure 9).
- (4)
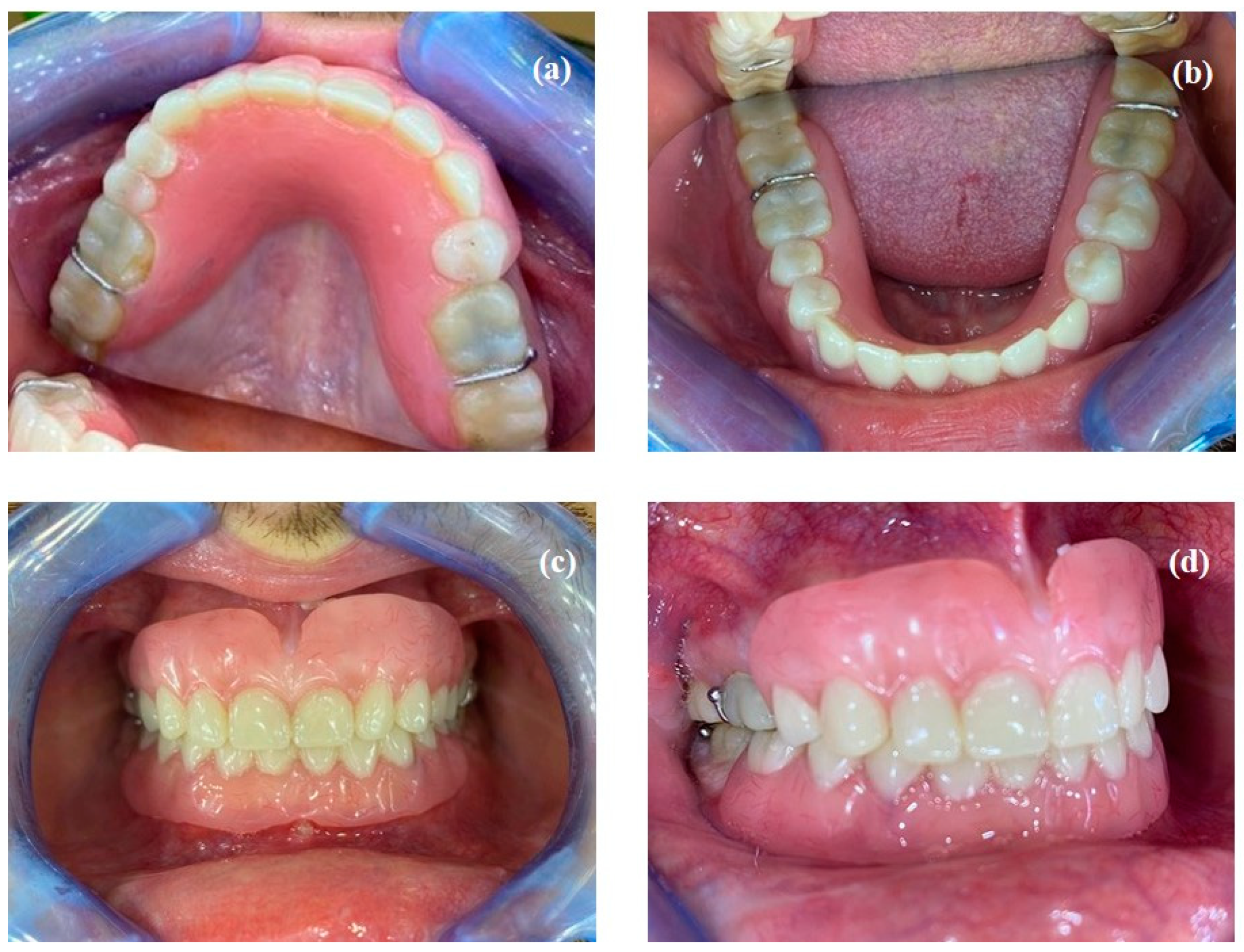
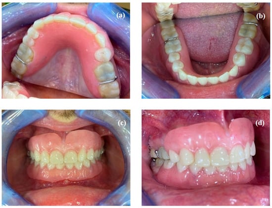
- Fabrication of definitive removable partial dentures: the definitive prostheses were fabricated using the conventional technique from functional impressions. The patient’s new smile is shown in Figure 10.
3. Discussion
4. Conclusions
Author Contributions
Funding
Institutional Review Board Statement
Informed Consent Statement
Acknowledgments
Conflicts of Interest
References
- Shafer, W.G.; Hine, M.K.; Levy, B.M. A Textbook of Oral Pathology, 1st ed.; W. B. Saunders Co.: Philadelphia, PA, USA, 1958; p. 26. [Google Scholar]
- Bargale, S.D.; Kiran, S.D.P. Non-Syndromic Occurrence of True Generalized Microdontia with Mandibular Mesiodens—A Rare Case. Head Face Med. 2011, 7, 7–19. [Google Scholar] [CrossRef] [PubMed] [Green Version]
- Brook, A.H.; Jernvall, J.; Smith, R.N.; Hughes, T.E.; Townsend, G.C. The Dentition: The Outcomes of Morphogenesis Leading to Variations of Tooth Number, Size and Shape. Aust. Dent. J. 2014, 59 (Suppl. 1), 131–142. [Google Scholar] [CrossRef] [PubMed]
- Jeong, K.H.; Kim, D.; Song, Y.-M.; Sung, J.; Kim, Y.H. Epidemiology and Genetics of Hypodontia and Microdontia: A Study of Twin Families. Angle Orthod. 2015, 85, 980–985. [Google Scholar] [CrossRef] [PubMed] [Green Version]
- Laverty, D.P.; Thomas, M.B.M. The Restorative Management of Microdontia. Br. Dent. J. 2016, 221, 160–166. [Google Scholar] [CrossRef] [PubMed]
- Tubert-Jeannin, S.; Riordan, P.J.; Morel-Papernot, A.; Porcheray, S.; Saby-Collet, S. Validation of an Oral Health Quality of Life Index (GOHAI) in France. Community Dent. Oral Epidemiol. 2003, 31, 275–284. [Google Scholar] [CrossRef] [PubMed]
- Silness, J.; Löe, H. Periodontal Disease in Pregnancy. II. Correlation between Oral Hygiene and Perio-Dontal Condition. Acta Odontol. Scand. 1964, 22, 112–135. [Google Scholar] [CrossRef] [PubMed]
- Chen, Y.; Zhou, F.; Peng, Y.; Chen, L.; Wang, Y. Non-Syndromic Occurrence of True Generalized Microdontia with Hypodontia: A Case Report. Medicine 2019, 98, e16283. [Google Scholar] [CrossRef] [PubMed]
- Kalk, W.; Denissen, H.W.; Käyser, A.F. Preventive Goals in Oral Implantology. Int. Dent. J. 1993, 43, 483–491. [Google Scholar] [PubMed]
- Kay, W.D.; Abes, M.S. Sensory Perception in Overdenture Patients. J. Prosthet. Dent. 1976, 35, 615–619. [Google Scholar] [CrossRef]
- Fontijn-Tekamp, F.A.; Slagter, A.P.; Van Der Bilt, A.; Van ’T Hof, M.A.; Witter, D.J.; Kalk, W.; Jansen, J.A. Biting and Chewing in Overdentures, Full Dentures, and Natural Dentitions. J. Dent. Res. 2000, 79, 1519–1524. [Google Scholar] [CrossRef] [PubMed]
- Crum, R.J.; Rooney, G.E. Alveolar Bone Loss in Overdentures: A 5-Year Study. J. Prosthet. Dent. 1978, 40, 610–613. [Google Scholar] [CrossRef]
- Stalder, A.; Berger, C.H.; Buser, R.; Wittneben, J.; Schimmel, M.; Abou-Ayash, S. Biological and Technical Complications in Root Cap-Retained Overdentures after 3–15 Years in Situ: A Retrospective Clinical Study. Clin. Oral Investig. 2021, 25, 2325–2333. [Google Scholar] [CrossRef] [PubMed]
- Appukuttan, D.P. Strategies to Manage Patients with Dental Anxiety and Dental Phobia: Literature Review. Clin. Cosmet. Investig. Dent. 2016, 8, 35–50. [Google Scholar] [CrossRef] [PubMed] [Green Version]
- Magne, P.; So, W.-S.; Cascione, D. Immediate Dentin Sealing Supports Delayed Restoration Placement. J. Prosthet. Dent. 2007, 98, 166–174. [Google Scholar] [CrossRef]
- Awada, A.; Nathanson, D. Mechanical Properties of Resin-Ceramic CAD/CAM Restorative Materials. J. Prosthet. Dent. 2015, 114, 587–593. [Google Scholar] [CrossRef] [PubMed]
- Bonnet, G.; Batisse, C.; Segyo, J.W.; Veyrune, J.-L.; Nicolas, E.; Bessadet, M. Influence of the Renewal of Removable Dentures on Oral Health Related Quality of Life. Springerplus 2016, 5, 2019. [Google Scholar] [CrossRef] [PubMed] [Green Version]










Publisher’s Note: MDPI stays neutral with regard to jurisdictional claims in published maps and institutional affiliations. |
© 2022 by the authors. Licensee MDPI, Basel, Switzerland. This article is an open access article distributed under the terms and conditions of the Creative Commons Attribution (CC BY) license (https://creativecommons.org/licenses/by/4.0/).
Share and Cite
Batisse, C.; Cousson, P.-Y.; Nicolas, E.; Bessadet, M. Aesthetic and Functional Rehabilitation of Patients with Genetic Microdontia: A Multidisciplinary Approach. Healthcare 2022, 10, 485. https://doi.org/10.3390/healthcare10030485
Batisse C, Cousson P-Y, Nicolas E, Bessadet M. Aesthetic and Functional Rehabilitation of Patients with Genetic Microdontia: A Multidisciplinary Approach. Healthcare. 2022; 10(3):485. https://doi.org/10.3390/healthcare10030485
Chicago/Turabian StyleBatisse, Cindy, Pierre-Yves Cousson, Emmanuel Nicolas, and Marion Bessadet. 2022. "Aesthetic and Functional Rehabilitation of Patients with Genetic Microdontia: A Multidisciplinary Approach" Healthcare 10, no. 3: 485. https://doi.org/10.3390/healthcare10030485
APA StyleBatisse, C., Cousson, P.-Y., Nicolas, E., & Bessadet, M. (2022). Aesthetic and Functional Rehabilitation of Patients with Genetic Microdontia: A Multidisciplinary Approach. Healthcare, 10(3), 485. https://doi.org/10.3390/healthcare10030485

