Sign in to use this feature.

Years

Between: -

Subjects

remove_circle_outline
remove_circle_outline
remove_circle_outline
remove_circle_outline
remove_circle_outline

Journals

Article Types

Countries / Regions

Search Results (14)

Search Parameters:
Keywords = efferent ducts

Order results
Result details
Results per page
Select all
Export citation of selected articles as:
8 pages, 1355 KB  
Article
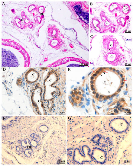
Localization of β-Nerve Growth Factor in the Stallion Reproductive Tract
by Alison Mickelson, Forgivemore Magunda, James Graham and Patrick McCue
Vet. Sci. 2024, 11(8), 367; https://doi.org/10.3390/vetsci11080367 - 12 Aug 2024
Viewed by 2708
Abstract
β-Nerve growth factor (β-NGF) is a protein produced in the reproductive tract of camelids (camels, llamas, and alpacas) that has been identified as the ovulation inducing factor in seminal plasma. β-NGF from seminal plasma deposited into the reproductive tract of the female camelid [...] Read more.
β-Nerve growth factor (β-NGF) is a protein produced in the reproductive tract of camelids (camels, llamas, and alpacas) that has been identified as the ovulation inducing factor in seminal plasma. β-NGF from seminal plasma deposited into the reproductive tract of the female camelid acts systemically to stimulate the secretion of luteinizing hormone (LH) from the anterior pituitary, which in turn induces follicle maturation and ovulation. The objectives of the present study were to determine if β-NGF is present in the reproductive tract of the stallion and identify the specific site(s) of production. The hypotheses were that β-NGF would be present in the stallion reproductive tract and would primarily be localized in Sertoli cells of the testes and the prostate gland. Immunohistochemistry on paraffin-embedded paraformaldehyde-fixed tissues was performed using a rabbit polyclonal anti-β-NGF antibody on a total of six male equine reproductive tracts, including a one-day old colt, a one-year-old colt, and four adult stallion tracts. Strong immunostaining was observed in the efferent ducts of the testes and the epithelial cells of the prostate, seminal vesicles, bulbourethral glands, and ampullae. Weaker β-NGF staining was noted in Leydig cells, Sertoli cells, and spermatogonia within the testes and in epithelial cells of the epididymis. In conclusion, immunohistochemistry revealed that β-NGF is present in the stallion reproductive tract, and the protein is primarily present in the efferent ducts of the testes and in all accessory sex glands. Full article
(This article belongs to the Special Issue Horse Reproduction and Fertility)
Show Figures

Figure 1

20 pages, 2507 KB  
Article
Cellular and Molecular Mechanisms Underlying Altered Excitability of Cardiac Efferent Neurons in Cirrhotic Rats
by Choong-Ku Lee, Huu Son Nguyen, Seong Jun Kang and Seong-Woo Jeong
Biomedicines 2024, 12(8), 1722; https://doi.org/10.3390/biomedicines12081722 - 1 Aug 2024
Cited by 1 | Viewed by 1722
Abstract
Patients with cirrhosis often exhibit cardiac autonomic dysfunction (CAD), characterized by enhanced cardiac sympathetic activity and diminished cardiac vagal tone, leading to increased morbidity and mortality. This study delineates the cellular and molecular mechanisms associated with altered neuronal activities causing cirrhosis-induced CAD. Biliary [...] Read more.
Patients with cirrhosis often exhibit cardiac autonomic dysfunction (CAD), characterized by enhanced cardiac sympathetic activity and diminished cardiac vagal tone, leading to increased morbidity and mortality. This study delineates the cellular and molecular mechanisms associated with altered neuronal activities causing cirrhosis-induced CAD. Biliary and nonbiliary cirrhotic rats were produced by common bile duct ligation (CBDL) and intraperitoneal injections of thioacetamide (TAA), respectively. Three weeks after CBDL or TAA injection, the assessment of heart rate variability revealed autonomic imbalance in cirrhotic rats. We observed increased excitability in stellate ganglion (SG) neurons and decreased excitability in intracardiac ganglion (ICG) neurons in cirrhotic rats compared to sham-operated controls. Additionally, threshold, rheobase, and action potential duration exhibited opposite alterations in SG and ICG neurons, along with changes in afterhyperpolarization duration. A- and M-type K⁺ channels were significantly downregulated in SG neurons, while M-type K⁺ channels were upregulated, with downregulation of the N- and L-type Ca2⁺ channels in the ICG neurons of cirrhotic rats, both in transcript expression and functional activity. Collectively, these findings suggest that cirrhosis induces an imbalance between cardiac sympathetic and parasympathetic neuronal activities via the differential regulation of K+ and Ca2+ channels. Thus, cirrhosis-induced CAD may be associated with impaired autonomic efferent functions within the homeostatic reflex arc that regulates cardiac functions. Full article
Show Figures

Figure 1

14 pages, 3111 KB  
Article
A Step Forward in Understanding the Expression of Classical Aquaporins in the Male Reproductive Tract: Study Findings in Cattle (Bos taurus)
by Patrycja Oberska, Marta Grabowska, Marta Marynowska, Maciej Murawski, Dariusz Gączarzewicz, Andrzej Syczewski and Katarzyna Michałek
Int. J. Mol. Sci. 2024, 25(14), 7653; https://doi.org/10.3390/ijms25147653 - 12 Jul 2024
Cited by 3 | Viewed by 2005
Abstract
Aquaporins (AQPs), also known as water channels, appear to be particularly promising in maintaining male reproductive potential. Therefore, this study aimed to determine the presence of classical AQPs in the bovine (Bos taurus) reproductive system and analyze changes in their expression [...] Read more.
Aquaporins (AQPs), also known as water channels, appear to be particularly promising in maintaining male reproductive potential. Therefore, this study aimed to determine the presence of classical AQPs in the bovine (Bos taurus) reproductive system and analyze changes in their expression with age using immunohistochemistry and Western blotting. Of the six classical AQPs, AQP0, AQP1, AQP4, AQP5 and AQP6 were detected, while AQP2 was absent. In the testis, AQP0 was visible in Leydig cells in selected animals, while AQP1 was found in myoid cells surrounding the seminiferous tubules of mature individuals. This characteristic expression patterns of AQP0, limited only to certain bulls, is difficult to explain unequivocally. It is possible that AQP0 expression in cattle is subject to individual variability or changes in response to specific physiological conditions. In the caput and corpus epididymis, AQP0 showed weak expression in epithelial cells of immature animals and stronger expression in basal and principal cells of reproductive bulls. In all animals, AQP1 was present on the apical surface of epithelial cells in the initial segment of the caput epididymis. AQP4, AQP5 and AQP6 were identified in principal and basal cells along the entire epididymis of reproductive bulls. The abundance of AQP4 and AQP6 increased from the caput to the cauda epididymis with the growth and development of the animals. In all males, AQP4, AQP5 and AQP6 were observed in epithelial cells of the vas deferens, and their expression in this section increased with age. In conclusion, the abundance and distribution of the classical AQPs in various cell types and parts of the male reproductive system indicate their crucial role in maintaining water homeostasis, which is essential for normal reproductive function in cattle. Full article
(This article belongs to the Special Issue Molecular Biology and Hormonal Regulation in Reproductive Processes)
Show Figures

Figure 1

22 pages, 1607 KB  
Review
pH Homeodynamics and Male Fertility: A Coordinated Regulation of Acid-Based Balance during Sperm Journey to Fertilization
by Pengyuan Dai, Meng Zou, Ziyi Cai, Xuhui Zeng, Xiaoning Zhang and Min Liang
Biomolecules 2024, 14(6), 685; https://doi.org/10.3390/biom14060685 - 12 Jun 2024
Cited by 14 | Viewed by 10176
Abstract
pH homeostasis is crucial for spermatogenesis, sperm maturation, sperm physiological function, and fertilization in mammals. HCO3 and H+ are the most significant factors involved in regulating pH homeostasis in the male reproductive system. Multiple pH-regulating transporters and ion channels localize [...] Read more.
pH homeostasis is crucial for spermatogenesis, sperm maturation, sperm physiological function, and fertilization in mammals. HCO3 and H+ are the most significant factors involved in regulating pH homeostasis in the male reproductive system. Multiple pH-regulating transporters and ion channels localize in the testis, epididymis, and spermatozoa, such as HCO3 transporters (solute carrier family 4 and solute carrier family 26 transporters), carbonic anhydrases, and H+-transport channels and enzymes (e.g., Na+-H+ exchangers, monocarboxylate transporters, H+-ATPases, and voltage-gated proton channels). Hormone-mediated signals impose an influence on the production of some HCO3 or H+ transporters, such as NBCe1, SLC4A2, MCT4, etc. Additionally, ion channels including sperm-specific cationic channels for Ca2+ (CatSper) and K+ (SLO3) are directly or indirectly regulated by pH, exerting specific actions on spermatozoa. The slightly alkaline testicular pH is conducive to spermatogenesis, whereas the epididymis’s low HCO3 concentration and acidic lumen are favorable for sperm maturation and storage. Spermatozoa pH increases substantially after being fused with seminal fluid to enhance motility. In the female reproductive tract, sperm are subjected to increasing concentrations of HCO3 in the uterine and fallopian tube, causing a rise in the intracellular pH (pHi) of spermatozoa, leading to hyperpolarization of sperm plasma membranes, capacitation, hyperactivation, acrosome reaction, and ultimately fertilization. The physiological regulation initiated by SLC26A3, SLC26A8, NHA1, sNHE, and CFTR localized in sperm is proven for certain to be involved in male fertility. This review intends to present the key factors and characteristics of pHi regulation in the testes, efferent duct, epididymis, seminal fluid, and female reproductive tract, as well as the associated mechanisms during the sperm journey to fertilization, proposing insights into outstanding subjects and future research trends. Full article
Show Figures

Figure 1

8 pages, 2531 KB  
Case Report
Surgical Excision of an Extratesticular Anaplastic Carcinoma in a Variable Kingsnake (Lampropeltis mexicana)
by Viola Zappone, Claudia Rifici, Matteo Marino, Manuel Morici, Giada Giambrone and Filippo Spadola
Animals 2024, 14(6), 874; https://doi.org/10.3390/ani14060874 - 13 Mar 2024
Viewed by 1832
Abstract
An adult male variable kingsnake (Lampropeltis mexicana) was presented for examination due to a three-week history of anorexia and obvious body deformities. On objective examination the animal was in poor condition, and on palpation, an intracoelomic mass was noted approximately in [...] Read more.
An adult male variable kingsnake (Lampropeltis mexicana) was presented for examination due to a three-week history of anorexia and obvious body deformities. On objective examination the animal was in poor condition, and on palpation, an intracoelomic mass was noted approximately in the distal third of the body, cranial to the cloaca. In agreement with the owner, an exploratory celiotomy was planned and performed and the mass was surgically removed. Modified Wright–Giemsa stain impression smears were taken, which were consistent with an undifferentiated tumour. Histological examination revealed the presence of a solid proliferation composed of highly tubular anaplastic cells and abundant multinucleated cells. The neoplastic cells were positive for cytokeratin (AE1/AE3), but not for vimentin. Periodic acid–Schiff (PAS) staining revealed the presence of large granular cells, which can be identified as the characteristic cells of the efferent ducts. Based on the morphological and immunohistochemical findings, the diagnosis of extratesticular anaplastic carcinoma was made. To the authors’ knowledge, this type of neoplasm has never been reported in the male genital apparatus of snakes. Full article
(This article belongs to the Section Veterinary Clinical Studies)
Show Figures

Figure 1

21 pages, 4531 KB  
Article
C1q/TNF-Related Proteins 1, 6 and 8 Are Involved in Corneal Epithelial Wound Closure by Targeting Relaxin Receptor RXFP1 In Vitro
by Hagen Fabian Nicolaus, Thomas Klonisch, Friedrich Paulsen and Fabian Garreis
Int. J. Mol. Sci. 2023, 24(7), 6839; https://doi.org/10.3390/ijms24076839 - 6 Apr 2023
Cited by 4 | Viewed by 2831
Abstract
Inadequate wound healing of ocular surface injuries can lead to permanent visual impairment. The relaxin ligand-receptor system has been demonstrated to promote corneal wound healing through increased cell migration and modulation of extracellular matrix formation. Recently, C1q/tumor necrosis factor-related protein (CTRP) 8 was [...] Read more.
Inadequate wound healing of ocular surface injuries can lead to permanent visual impairment. The relaxin ligand-receptor system has been demonstrated to promote corneal wound healing through increased cell migration and modulation of extracellular matrix formation. Recently, C1q/tumor necrosis factor-related protein (CTRP) 8 was identified as a novel interaction partner of relaxin receptor RXFP1. Additional data also suggest a role for CTRP1 and CTRP6 in RXFP1-mediated cAMP signaling. However, the role of CTRP1, CTRP6 and CTRP8 at the ocular surface remains unclear. In this study, we investigated the effects of CTRP1, CTRP6, and CTRP8 on epithelial ocular surface wound closure and their dependence on the RXFP1 receptor pathway. CTRP1, CTRP6, and CTRP8 expression was analyzed by RT-PCR and immunohistochemistry in human tissues and cell lines derived from the ocular surface and lacrimal apparatus. In vitro ocular surface wound modeling was performed using scratch assays. We analyzed the effects of recombinant CTRP1, CTRP6, and CTRP8 on cell proliferation and migration in human corneal and conjunctival epithelial cell lines. Dependence on RXFP1 signaling was established by inhibiting ligand binding to RXFP1 using a specific anti-RXFP1 antibody. We detected the expression of CTRP1, CTRP6, and CTRP8 in human tissue samples of the cornea, conjunctiva, meibomian gland, efferent tear ducts, and lacrimal gland, as well as in human corneal, conjunctival, and meibomian gland epithelial cell lines. Scratch assays revealed a dose-dependent increase in the closure rate of surface defects in human corneal epithelial cells after treatment with CTRP1, CTRP6, and CTRP8, but not in conjunctival epithelial cells. Inhibition of RXFP1 fully attenuated the effect of CTRP8 on the closure rate of surface defects in human corneal epithelial cells, whereas the CTRP1 and CTRP6 effects were not completely suppressed. Conclusions: Our findings demonstrate a novel role for CTRP1, CTRP6, and CTRP8 in corneal epithelial wound closure and suggest an involvement of the relaxin receptor RXFP1 signaling pathway. This could be a first step toward new approaches for pharmacological and therapeutic intervention. Full article
(This article belongs to the Special Issue Precision Medicine in Ocular Diseases 2.0)
Show Figures

Figure 1

13 pages, 77977 KB  
Article
The Structure of the Female Genital System of the Diving Beetle Scarodytes halensis (Fabricius, 1787) (Hydroporinae, Dytiscidae), and the Organization of the Spermatheca and the Spermathecal Gland Complex
by Romano Dallai, David Mercati, Pietro P. Fanciulli and Pietro Lupetti
Insects 2023, 14(3), 282; https://doi.org/10.3390/insects14030282 - 13 Mar 2023
Cited by 2 | Viewed by 2643
Abstract
The fine structure of the female reproductive organs of the diving beetle Scarodytes halensis has been described, with particular attention to the complex organization of the spermatheca and the spermathecal gland. These organs are fused in a single structure whose epithelium is involved [...] Read more.
The fine structure of the female reproductive organs of the diving beetle Scarodytes halensis has been described, with particular attention to the complex organization of the spermatheca and the spermathecal gland. These organs are fused in a single structure whose epithelium is involved in a quite different activity. The secretory cells of the spermathecal gland have a large extracellular cistern with secretions; duct-forming cells, by their efferent duct, transport the secretions up to the apical cell region where they are discharged into the gland lumen. On the contrary, the spermatheca, filled with sperm, has a quite simple epithelium, apparently not involved in secretory activity. The ultrastructure of the spermatheca is almost identical to that described in a closely related species Stictonectes optatus. Sc. halensis has a long spermathecal duct connecting the bursa copulatrix to the spermatheca–spermathecal gland complex. This duct has a thick outer layer of muscle cells. Through muscle contractions, sperm can be pushed forwarding up to the complex of the two organs. A short fertilization duct allows sperm to reach the common oviduct where eggs will be fertilized. The different organization of the genital systems of Sc. halensis and S. optatus might be related to a different reproductive strategy of the two species. Full article
(This article belongs to the Section Insect Physiology, Reproduction and Development)
Show Figures

Figure 1

24 pages, 11507 KB  
Article
Immunohistochemical Changes in the Testicular Excurrent Duct System of Healthy, Male Japanese Quail (Coturnix coturnix japonica) Observed at 4, 6–7, 12, and 52 Weeks of Age
by Mohammed I. A. Ibrahim, June H. Williams and Christo J. Botha
Int. J. Mol. Sci. 2022, 23(22), 14028; https://doi.org/10.3390/ijms232214028 - 14 Nov 2022
Cited by 3 | Viewed by 2437
Abstract
The immunolocalization of the cytoskeletal and the extracellular matrix proteins was investigated in the testicular excurrent duct system of healthy Japanese quail at 4, 6–7, 12 and 52 weeks of age. TdT dUTP Nick End Labeling (TUNEL) assay was used to assess apoptotic [...] Read more.
The immunolocalization of the cytoskeletal and the extracellular matrix proteins was investigated in the testicular excurrent duct system of healthy Japanese quail at 4, 6–7, 12 and 52 weeks of age. TdT dUTP Nick End Labeling (TUNEL) assay was used to assess apoptotic cell formation. The epithelia of the testicular excurrent duct system in birds of all age groups displayed various immunolabeling intensities and localization of cytokeratin 5 and beta-tubulin, while α-SMA was observed in epithelia only of 4-week-old birds. In all age groups, vimentin immunostaining was observed in the rete testes and efferent ductular epithelia, but not in the epididymal duct unit. The periductal smooth muscle cells of the excurrent duct system displayed variably intense immunopositivity with cytokeratin 5, desmin, fibronectin, α-SMA, and beta-tubulin. Furthermore, beta-tubulin and vimentin immunolabeled endothelial cells and fibroblasts with various intensities, while fibronectin immunostained extracellular matrices surrounding these cells. TUNEL-positive apoptotic cells were observed in the rete testes and efferent ductular epithelia, with increased frequency (p < 0.001) in 52-week-old birds. The study serves as a baseline normal for this region in healthy birds at 4, 6–7, 12, and 52 weeks of age, for comparison in future similar immunohistochemical studies involving environmental toxins affecting this region. Full article
(This article belongs to the Special Issue Recent Advances in Intermediate Filaments)
Show Figures

Graphical abstract

15 pages, 3597 KB  
Review
Essential Roles of Efferent Duct Multicilia in Male Fertility
by Mohammed Hoque, Eunice N. Kim, Danny Chen, Feng-Qian Li and Ken-Ichi Takemaru
Cells 2022, 11(3), 341; https://doi.org/10.3390/cells11030341 - 20 Jan 2022
Cited by 21 | Viewed by 6913
Abstract
Cilia are microtubule-based hair-like organelles on the cell surface. Cilia have been implicated in various biological processes ranging from mechanosensation to fluid movement. Ciliary dysfunction leads to a plethora of human diseases, known as ciliopathies. Although non-motile primary cilia are ubiquitous, motile multicilia [...] Read more.
Cilia are microtubule-based hair-like organelles on the cell surface. Cilia have been implicated in various biological processes ranging from mechanosensation to fluid movement. Ciliary dysfunction leads to a plethora of human diseases, known as ciliopathies. Although non-motile primary cilia are ubiquitous, motile multicilia are found in restricted locations of the body, such as the respiratory tract, the oviduct, the efferent duct, and the brain ventricles. Multicilia beat in a whip-like motion to generate fluid flow over the apical surface of an epithelium. The concerted ciliary motion provides the driving force critical for clearing airway mucus and debris, transporting ova from the ovary to the uterus, maintaining sperm in suspension, and circulating cerebrospinal fluid in the brain. In the male reproductive tract, multiciliated cells (MCCs) were first described in the mid-1800s, but their importance in male fertility remained elusive until recently. MCCs exist in the efferent ducts, which are small, highly convoluted tubules that connect the testis to the epididymis and play an essential role in male fertility. In this review, we will introduce multiciliogenesis, discuss mouse models of male infertility with defective multicilia, and summarize our current knowledge on the biological function of multicilia in the male reproductive tract. Full article
(This article belongs to the Section Intracellular and Plasma Membranes)
Show Figures

Figure 1

20 pages, 2275 KB  
Article
Aquaporins Are Differentially Regulated in Canine Cryptorchid Efferent Ductules and Epididymis
by Caterina Squillacioti, Nicola Mirabella, Giovanna Liguori, Giuseppe Germano and Alessandra Pelagalli
Animals 2021, 11(6), 1539; https://doi.org/10.3390/ani11061539 - 25 May 2021
Cited by 10 | Viewed by 4724
Abstract
The efferent ductules and the epididymis are parts of the male reproductive system where spermatozoa mature. Specialized epithelial cells in these ducts contribute to the transport of fluids produced by spermatozoa’s metabolic activity. Aquaporins (AQPs) have been demonstrated to be expressed in the [...] Read more.
The efferent ductules and the epididymis are parts of the male reproductive system where spermatozoa mature. Specialized epithelial cells in these ducts contribute to the transport of fluids produced by spermatozoa’s metabolic activity. Aquaporins (AQPs) have been demonstrated to be expressed in the spermatozoan membrane and testis epithelial cells, where they contribute to regulating spermatozoan volume and transit through environments of differing osmolality. Due to the lack of detailed literature regarding AQP expression in the canine male genital tract, the aim of this study was to investigate both the distribution and expression of AQP7, AQP8, and AQP9 in the efferent ductules and epididymal regions (caput, corpus, and cauda) from normal and cryptorchid dogs by using immunohistochemistry, Western blotting, and real-time reverse transcription polymerase chain reaction (RT-PCR). Our results show different patterns for the distribution and expression of the examined AQPs, with particular evidence of their upregulation in the caput and downregulation in the cauda region of the canine cryptorchid epididymis. These findings are associated with a modulation of Hsp70 and caspase-3 expression, suggesting the participation of AQPs in the luminal microenvironment modifications that are peculiar characteristics of this pathophysiological condition. Full article
Show Figures

Figure 1

15 pages, 2928 KB  
Article
The Video Microscopy-Linked Electrochemical Cell: An Innovative Method to Improve Electrochemical Investigations of Biodegradable Metals
by Tycho Zimmermann, Norbert Hort, Yuqiuhan Zhang, Wolf-Dieter Müller and Andreas Schwitalla
Materials 2021, 14(7), 1601; https://doi.org/10.3390/ma14071601 - 25 Mar 2021
Cited by 5 | Viewed by 2649
Abstract
An innovative, miniature video-optical-electrochemical cell was developed and tested that allows for the conducting of electrochemical corrosion measurements and simultaneous microscopic observations over a small, well-defined surface area of corroding or degrading samples. The setup consisted of a miniature electrochemical cell that was [...] Read more.
An innovative, miniature video-optical-electrochemical cell was developed and tested that allows for the conducting of electrochemical corrosion measurements and simultaneous microscopic observations over a small, well-defined surface area of corroding or degrading samples. The setup consisted of a miniature electrochemical cell that was clamped onto the metal sample and fixed under a video microscope before being filled with electrolyte. The miniature cell was comprised of afferent/efferent electrolyte ducts as well as a connection to the Mini Cell System (MCS) for electrochemical measurements. Consequently, all measured and induced currents and voltages referred to the same small area corroding completely within the field of view of the microscope, thus allowing for real-time observation and linking of surface phenomena such as hydrogen evolution and oxide deposition to electrochemical data. The experimental setup was tested on commercial purity (cp) and extra-high purity (XHP) magnesium (Mg) samples using open circuit potential and cyclic voltammetry methods under static and flowing conditions. The corrosion potential was shifted more anodically for cp Mg in comparison to XHP Mg under dynamic conditions. The corrosion current assessed from the cyclic voltametric curves were higher for the cp Mg in comparison to XHP Mg. However, there were no differences between static and flow conditions in the case of XHP Mg in contrast to cp Mg, where the current density was two times higher at dynamic conditions. The measurements and observations with this new method pave the way for a more detailed understanding of magnesium corrosion mechanisms, thus improving predictive power of electrochemical corrosion measurements on newly developed magnesium or other biodegradable alloys applied for medical devices. Different electrochemical tests can be run under various conditions, while being easy to set up and reproduce as well as being minimally destructive to the sample. Full article
(This article belongs to the Special Issue Absorbable Metals for Biomedical Applications)
Show Figures

Figure 1

14 pages, 2290 KB  
Article
Neutrophil Extracellular Traps Promote the Development and Growth of Human Salivary Stones
by Mirco Schapher, Michael Koch, Daniela Weidner, Michael Scholz, Stefan Wirtz, Aparna Mahajan, Irmgard Herrmann, Jeeshan Singh, Jasmin Knopf, Moritz Leppkes, Christine Schauer, Anika Grüneboom, Christoph Alexiou, Georg Schett, Heinrich Iro, Luis E. Muñoz and Martin Herrmann
Cells 2020, 9(9), 2139; https://doi.org/10.3390/cells9092139 - 22 Sep 2020
Cited by 41 | Viewed by 5197
Abstract
Salivary gland stones, or sialoliths, are the most common cause of the obstruction of salivary glands. The mechanism behind the formation of sialoliths has been elusive. Symptomatic sialolithiasis has a prevalence of 0.45% in the general population, is characterized by recurrent painful periprandial [...] Read more.
Salivary gland stones, or sialoliths, are the most common cause of the obstruction of salivary glands. The mechanism behind the formation of sialoliths has been elusive. Symptomatic sialolithiasis has a prevalence of 0.45% in the general population, is characterized by recurrent painful periprandial swelling of the affected gland, and often results in sialadenitis with the need for surgical intervention. Here, we show by the use of immunohistochemistry, immunofluorescence, computed tomography (CT) scans and reconstructions, special dye techniques, bacterial genotyping, and enzyme activity analyses that neutrophil extracellular traps (NETs) initiate the formation and growth of sialoliths in humans. The deposition of neutrophil granulocyte extracellular DNA around small crystals results in the dense aggregation of the latter, and the subsequent mineralization creates alternating layers of dense mineral, which are predominantly calcium salt deposits and DNA. The further agglomeration and appositional growth of these structures promotes the development of macroscopic sialoliths that finally occlude the efferent ducts of the salivary glands, causing clinical symptoms and salivary gland dysfunction. These findings provide an entirely novel insight into the mechanism of sialolithogenesis, in which an immune system-mediated response essentially participates in the physicochemical process of concrement formation and growth. Full article
(This article belongs to the Special Issue NET Formation in Health and Disease)
Show Figures

Figure 1

12 pages, 6254 KB  
Article
Characterization of Extracellular Vesicles from Cilia and Epithelial Cells of Ductuli Efferentes in a Turtle (Pelodiscus sinensis)
by Imran Tarique, Yifei Liu, Xuebing Bai, Abdul Haseeb, Ping Yang, Yufei Huang, Wenjia Qu, Ruizhi Wu, Waseem Ali Vistro and Quisheng Chen
Animals 2019, 9(11), 888; https://doi.org/10.3390/ani9110888 - 1 Nov 2019
Cited by 11 | Viewed by 4115
Abstract
The ductuli efferentes (DE) form a transit passage for the passage of spermatozoa from the rete testis to the epididymis. After spermiation, various epithelial secretory proteins are transferred via extracellular vesicles (EVs) to the spermatozoa for their maturation and long-term viability. The aim [...] Read more.
The ductuli efferentes (DE) form a transit passage for the passage of spermatozoa from the rete testis to the epididymis. After spermiation, various epithelial secretory proteins are transferred via extracellular vesicles (EVs) to the spermatozoa for their maturation and long-term viability. The aim of the present study was to investigate the distribution, classification, and source of multivesicular bodies (MVBs) and their EVs in the epithelia of the efferentes duct in a turtle species, the soft-shelled freshwater turtle Pelodiscus sinensis by using light and transmission electron microscopy. The results showed that CD63 as a classical exosome marker was strongly immunolocalized within the apical and lateral cytoplasm of the ciliated cells (CC) and moderate to weak in the non-ciliated cells (NCC) of DE. The ultrastructure revealed that early endosome was present at the basement membrane and perinuclear cytoplasm of both CC and NCC, whereas MVBs were located over the nucleus in the cytoplasm of NCC and adjacent to the basal bodies of cilia within the CC. Many EVs, as sources of MVBs, were located within the blebs that were attached to the cilia of CC, within the apical blebs from NCC, and the lateral spaces of CC and NCC. There was ultrastructure evidence of EVs associated with spermatozoa in the lumens of DE. Collectively, the present study provides cytological evidence that the DE epithelium secreted EVs to the lumen by (1) apical blebs, (2) ciliary blebs, and (3) from the basolateral region. These EVs were associated with spermatozoa in the DE lumen of this turtle. Characterization and cellular distribution of these EVs in the DE of a turtle may provide a study model to further investigate the transferring of micromolecules via EVs to the spermatozoa. Full article
(This article belongs to the Section Animal Reproduction)
Show Figures

Graphical abstract

14 pages, 3288 KB  
Article
MT-Feeding-Induced Impermanent Sex Reversal in the Orange-Spotted Grouper during Sex Differentiation
by Qing Wang, Minwei Huang, Cheng Peng, Xiang Wang, Ling Xiao, Dengdong Wang, Jiaxing Chen, Huihong Zhao, Haifa Zhang, Shuisheng Li, Huirong Yang, Yun Liu, Haoran Lin and Yong Zhang
Int. J. Mol. Sci. 2018, 19(9), 2828; https://doi.org/10.3390/ijms19092828 - 19 Sep 2018
Cited by 28 | Viewed by 5282
Abstract
In this study, we systematically investigated the process of sex reversal induced by 17-methyltestosterone (MT) feeding and MT-feeding withdrawal at the ovary differentiation stage in orange-spotted groupers, Epinephelus coioides. Gonadal histology showed that MT feeding induced a precocious sex reversal from immature [...] Read more.
In this study, we systematically investigated the process of sex reversal induced by 17-methyltestosterone (MT) feeding and MT-feeding withdrawal at the ovary differentiation stage in orange-spotted groupers, Epinephelus coioides. Gonadal histology showed that MT feeding induced a precocious sex reversal from immature ovaries to testes, bypassing the formation of an ovarian cavity, and MT-feeding withdrawal led to an ovarian fate. In both the MT feeding and MT-feeding withdrawal phases, cytochrome P450 family 11 subfamily B (cyp11b) gene expression and serum 11-KT levels were not significantly changed, suggesting that the MT-treated fish did not generate endogenous steroids, even though active spermatogenesis occurred. Finally, by tracing doublesex-expressing and Mab-3-related transcription factor 1 (dmrt1)-expressing cells and TUNEL (terminal deoxynucleotidyl transferase 2-deoxyuridine, 5-triphosphate nick end labeling) assays, we found that the efferent duct formed first, and then, the germ cells and somatic cells of the testicular tissue were generated around the efferent duct during MT-feeding-induced precocious sex reversal. Collectively, our findings provide insights into the molecular and cellular mechanisms underlying sex reversal induced by exogenous hormones during sex differentiation in the protogynous orange-spotted grouper. Full article
(This article belongs to the Section Biochemistry)
Show Figures

Figure 1

Back to TopTop