A Step Forward in Understanding the Expression of Classical Aquaporins in the Male Reproductive Tract: Study Findings in Cattle (Bos taurus)
Abstract
1. Introduction
2. Results
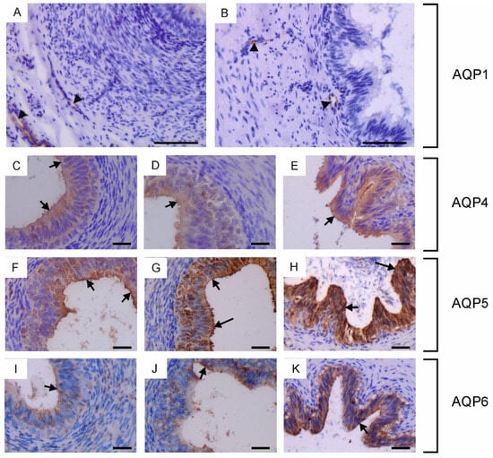
2.1. Immunolocalization of Classical Aquaporins in Bovine Male Reproductive Tract
2.2. Immunoblotting of Classical Aquaporins in Bovine Male Reproductive System
3. Discussion
4. Materials and Methods
4.1. Animals and Tissue Collection
4.2. Antibodies
4.3. Immunohistochemistry (IHC)
4.4. Western Blot (WB)
5. Conclusions
Supplementary Materials
Author Contributions
Funding
Institutional Review Board Statement
Informed Consent Statement
Data Availability Statement
Acknowledgments
Conflicts of Interest
References
- Rato, L.; Socorro, S.; Cavaco, J.E.; Oliveira, P.F. Tubular Fluid Secretion in the Seminiferous Epithelium: Ion Transporters and Aquaporins in Sertoli Cells. J. Membr. Biol. 2010, 236, 215–224. [Google Scholar] [CrossRef] [PubMed]
- Carrageta, D.F.; Bernardino, R.L.; Soveral, G.; Calamita, G.; Alves, M.G.; Oliveira, P.F. Aquaporins and Male (In)fertility: Expression and Role throughout the Male Reproductive Tract. Arch. Biochem. Biophys. 2020, 679, 108222. [Google Scholar] [CrossRef] [PubMed]
- James, E.R.; Carrell, D.T.; Aston, K.I.; Jenkins, T.G.; Yeste, M.; Salas-Huetos, A. The Role of the Epididymis and the Contribution of Epididymosomes to Mammalian Reproduction. Int. J. Mol. Sci. 2020, 21, 5377. [Google Scholar] [CrossRef] [PubMed]
- Michalek, K.; Oberska, P.; Małkowska, P.; Bartkiene, E. In Search of New Potential Markers for Male Fertility and Semen Quality Control. Aquaporins in Reproductive System and Metabolomic Profiling of Semen. J. Physiol. Pharmacol. 2021, 72, 300–319. [Google Scholar]
- Hermo, L.; Krzeczunowicz, D.; Ruz, R. Cell Specificity of Aquaporins 0, 3, and 10 Expressed in the Testis, Efferent Ducts, and Epididymis of Adult Rats. J. Androl. 2004, 25, 494–505. [Google Scholar] [CrossRef] [PubMed]
- Nelson, R.D.; Stricklett, P.; Gustafson, C.; Stevens, A.; Ausiello, D.; Brown, D.; Kohan, D.E. Expression of an AQP2 Cre Recombinase Transgene in Kidney and Male Reproductive System of Transgenic Mice. Am. J. Physiol. Cell Physiol. 1998, 275, C216–C226. [Google Scholar] [CrossRef] [PubMed]
- Stevens, A.L.; Breton, S.; Gustafson, C.E.; Bouley, R.; Nelson, R.D.; Kohan, D.E.; Brown, D. Aquaporin 2 is a Vasopressin-Independent, Constitutive Apical Membrane Protein in Rat Vas Deferens. Am. J. Physiol. Cell Physiol. 2000, 278, C791–C802. [Google Scholar] [CrossRef] [PubMed]
- Lu, D.Y.; Li, Y.; Bi, Z.W.; Yu, H.M.; Li, X.J. Expression and Immunohistochemical Localization of Aquaporin-1 in Male Reproductive Organs of the Mouse. Anat. Histol. Embryol. 2008, 37, 1–8. [Google Scholar] [CrossRef] [PubMed]
- Arrighi, S.; Aralla, M.; Genovese, P.; Picabea, N.; Bielli, A. Undernutrition during Fetal to Prepubertal Life Affects Aquaporin 9 but not Aquaporins 1 and 2 Expression in the Male Genital Tract of Adult Rats. Theriogenology 2010, 74, 1661–1669. [Google Scholar] [CrossRef]
- Da Silva, N.; Silberstein, C.; Beaulieu, V.; Piétrement, C.; Van Hoek, A.N.; Brown, D.; Breton, S. Postnatal Expression of Aquaporins in Epithelial Cells of the Rat Epididymis. Biol. Reprod. 2006, 74, 427–438. [Google Scholar] [CrossRef]
- Jesus, T.T.; Bernardino, R.L.; Martins, A.D.; Sá, R.; Sousa, M.; Alves, M.G.; Oliveira, P.F. Aquaporin-4 as a Molecular Martner of Cystic Fibrosis Transmembrane Conductance Regulator in Rat Sertoli Cells. Biochem. Biophys. Res. Commun. 2014, 446, 1017–1021. [Google Scholar] [CrossRef] [PubMed]
- Oberska, P.; Grabowska, M.; Marynowska, M.; Murawski, M.; Gączarzewicz, D.; Syczewski, A.; Michałek, K. Cellular Distribution of Aquaporin 3, 7 and 9 in Male Reproductive Tract: A Lesson from Bovine Study (Bos taurus). Int. J. Mol. Sci. 2024, 25, 1567. [Google Scholar] [CrossRef]
- Arrighi, S.; Bosi, G.; Accogli, G.; Desantis, S. Seasonal and Ageing-Depending Changes of Aquaporins 1 and 9 Expression in the Genital Tract of Buffalo Bulls (Bubalus bubalis). Reprod. Domest. Anim. 2016, 51, 515–523. [Google Scholar] [CrossRef]
- Klein, C.; Troedsson, M.H.; Rutllant, J. Region-specific Expression of Aquaporin Subtypes in Equine Testis, Epididymis, and Ductus Deferens. Anat. Rec. 2013, 296, 1115–1126. [Google Scholar] [CrossRef] [PubMed]
- Mohamed, E.A.; Im, J.W.; Kim, D.H.; Bae, H.R. Differential Expressions of Aquaporin Subtypes in the Adult Mouse Testis. Dev. Reprod. 2022, 26, 59–69. [Google Scholar] [CrossRef]
- Boj, M.; Chauvigné, F.; Cerdà, J. Aquaporin Biology of Spermatogenesis and Sperm Physiology in Mammals and Teleosts. Biol. Bull. 2015, 229, 93–108. [Google Scholar] [CrossRef] [PubMed]
- Verkman, A.S. Aquaporins in Endothelia. Kidney Int. 2006, 69, 1120–1123. [Google Scholar] [CrossRef] [PubMed]
- Clermont, Y. Contractile Elements in the Limiting Membrane of the Seminiferous Tubules of the Rat. Exp. Cell Res. 1958, 15, 438–440. [Google Scholar] [CrossRef]
- Maekawa, M.; Kamimura, K.; Nagano, T. Peritubular Myoid Cells in the Testis: Their Structure and Function. Arch. Histol. Cytol. 1996, 59, 1–13. [Google Scholar] [CrossRef]
- Yoshikawa, H.; Fukuda, T.; Kikuchi, M.; Oyamada, T.; Yoshikawa, T. The Relevance of Myoid Cells and Myofibroblasts in Testicular Fibrosis in Two Horses. J. Equine Sci. 2001, 12, 9–15. [Google Scholar] [CrossRef]
- Kawabe, Y.; Numabe, T.; Tanemura, K.; Hara, K. Characteristics of Alpha Smooth Muscle Actin-Positive Peritubular Cells in Prepubertal Bovine Testes. Biochem. Biophys. Res. Commun. 2022, 609, 48–53. [Google Scholar] [CrossRef] [PubMed]
- O’Shaughnessy, P. Testicular Development. In Knobil and Neill’s Physiology of Reproduction, 4th ed.; Plant, T., Zeleznik, A., Eds.; Academic Press: Amsterdam, The Netherlands, 2015; pp. 567–594. [Google Scholar]
- Zhou, R.; Wu, J.; Liu, B.; Jiang, Y.; Chen, W.; Li, J.; He, Q.; He, Z. The Roles and Mechanisms of Leydig Cells and Myoid Cells in Regulating Spermatogenesis. Cell. Mol. Life Sci. 2019, 76, 2681–2695. [Google Scholar] [CrossRef] [PubMed]
- Oliveira, R.L.; Campolina-Silva, G.H.; Nogueira, J.C.; Mahecha, G.A.; Oliveira, C.A. Differential Expression and Seasonal Variation on Aquaporins 1 and 9 in the Male Genital System of Big Fruit-Eating Bat Artibeus lituratus. Gen. Comp. Endocrinol. 2013, 186, 116–125. [Google Scholar] [CrossRef] [PubMed]
- Ribeiro, J.C.; Alves, M.G.; Yeste, M.; Cho, Y.S.; Calamita, G.; Oliveira, P.F. Aquaporins and (in)fertility: More than just water transport. Biochim. Biophys. Acta Mol. Basis Dis. 2021, 1867, 166039. [Google Scholar] [CrossRef] [PubMed]
- Brown, D.; Verbavatz, J.M.; Valenti, G.; Lui, B.; Sabolić, I. Localization of the CHIP28 Water Channel in Reabsorptive Segments of the rat Male Reproductive Tract. Eur. J. Cell Biol. 1993, 61, 264–273. [Google Scholar] [PubMed]
- Domeniconi, R.F.; Orsi, A.M.; Justulin, L.A., Jr.; Leme Beu, C.C.; Felisbino, S.L. Immunolocalization of Aquaporins 1, 2 and 7 in Rete testis, Efferent ducts, Epididymis and Vas Deferens of Adult Dog. Cell Tissue Res. 2008, 332, 329–335. [Google Scholar] [CrossRef] [PubMed]
- Zhou, Q.; Clarke, L.; Nie, R.; Carnes, K.; Lai, L.W.; Lien, Y.H.; Verkman, A.; Lubahn, D.; Fisher, J.S.; Katzenellenbogen, B.S.; et al. Estrogen Action and Male Fertility: Roles of the Sodium/Hydrogen Exchanger-3 and Fluid Reabsorption in Reproductive Tract Function. Proc. Natl. Acad. Sci. USA 2001, 98, 14132–14137. [Google Scholar] [CrossRef] [PubMed]
- Badran, H.H.; Hermo, L.S. Expression and Regulation of Aquaporins 1, 8, and 9 in the Testis, Efferent Ducts, and Epididymis of Adult Rats and during Postnatal Development. J. Androl. 2002, 23, 358–373. [Google Scholar] [CrossRef] [PubMed]
- Schimming, B.C.; Pinheiro, P.; de Matteis, R.; Machado, C.M.; Domeniconi, R.F. Immunolocalization of Aquaporins 1 and 9 in the Ram Efferent Ducts and Epididymis. Reprod. Domest. Anim. 2015, 50, 617–624. [Google Scholar] [CrossRef]
- Michalek, K. Aquaglyceroporins in the Kidney: Present State of Knowledge and Prospects. J. Physiol. Pharmacol. 2016, 67, 185–193. [Google Scholar]
- Sullivan, R.; Mieusset, R. The Human Epididymis: Its Function in Sperm Maturation. Hum. Reprod. Update 2016, 22, 574–587. [Google Scholar] [CrossRef] [PubMed]
- Yeste, M.; Morató, R.; Rodríguez-Gil, J.E.; Bonet, S.; Prieto-Martínez, N. Aquaporins in the Male Reproductive Tract and Sperm: Functional Implications and Cryobiology. Reprod. Domest. Anim. 2017, 52 (Suppl. 4), 12–27. [Google Scholar] [CrossRef] [PubMed]
- Mobasheri, A.; Marples, D.; Young, I.S.; Floyd, R.V.; Moskaluk, C.A.; Frigeri, A. Distribution of the AQP4 Water Channel in Normal Human Tissues: Protein and Tissue Microarrays Reveal Expression in Several New Anatomical Locations, including the Prostate Gland and Seminal Vesicles. Channels 2007, 1, 29–38. [Google Scholar] [CrossRef] [PubMed]
- Huang, H.F.; He, R.H.; Sun, C.C.; Zhang, Y.; Meng, Q.X.; Ma, Y.Y. Function of Aquaporins in Female and Male Reproductive Systems. Hum. Reprod. Update 2006, 12, 785–795. [Google Scholar] [CrossRef]
- Ferrero, G.; Festa, R.; Follia, L.; Lettieri, G.; Tarallo, S.; Notari, T.; Giarra, A.; Marinaro, C.; Pardini, B.; Marano, A.; et al. Small Noncoding RNAs and Sperm Nuclear Basic Proteins Reflect the Environmental Impact on Germ Cells. Mol. Med. 2024, 30, 12. [Google Scholar] [CrossRef] [PubMed]
- Marinaro, C.; Lettieri, G.; Chianese, T.; Bianchi, A.R.; Zarrelli, A.; Palatucci, D.; Scudiero, R.; Rosati, L.; De Maio, A.; Piscopo, M. Exploring the Molecular and Toxicological Mechanism Associated with Interactions between Heavy Metals and the Reproductive System of Mytilus galloprovincialis. Comp. Biochem. Physiol. Toxicol. Pharmacol. 2024, 275, 109778. [Google Scholar] [CrossRef] [PubMed]
- Michałek, K.; Grabowska, M. Investigating Cellular Location of Aquaporins in the Bovine Kidney. A New View on Renal Physiology in Cattle. Res. Vet. Sci. 2019, 125, 162–169. [Google Scholar] [CrossRef]
- Michałek, K.; Laszczyńska, M.; Ciechanowicz, A.K.; Herosimczyk, A.; Rotter, I.; Oganowska, M.; Lepczyński, A.; Dratwa-Chałupnik, A. Immunohistochemical Identification of Aquaporin 2 in the Kidneys of Young Beef Cattle. Biotech. Histochem. 2014, 89, 342–347. [Google Scholar] [CrossRef]





Disclaimer/Publisher’s Note: The statements, opinions and data contained in all publications are solely those of the individual author(s) and contributor(s) and not of MDPI and/or the editor(s). MDPI and/or the editor(s) disclaim responsibility for any injury to people or property resulting from any ideas, methods, instructions or products referred to in the content. |
© 2024 by the authors. Licensee MDPI, Basel, Switzerland. This article is an open access article distributed under the terms and conditions of the Creative Commons Attribution (CC BY) license (https://creativecommons.org/licenses/by/4.0/).
Share and Cite
Oberska, P.; Grabowska, M.; Marynowska, M.; Murawski, M.; Gączarzewicz, D.; Syczewski, A.; Michałek, K. A Step Forward in Understanding the Expression of Classical Aquaporins in the Male Reproductive Tract: Study Findings in Cattle (Bos taurus). Int. J. Mol. Sci. 2024, 25, 7653. https://doi.org/10.3390/ijms25147653
Oberska P, Grabowska M, Marynowska M, Murawski M, Gączarzewicz D, Syczewski A, Michałek K. A Step Forward in Understanding the Expression of Classical Aquaporins in the Male Reproductive Tract: Study Findings in Cattle (Bos taurus). International Journal of Molecular Sciences. 2024; 25(14):7653. https://doi.org/10.3390/ijms25147653
Chicago/Turabian StyleOberska, Patrycja, Marta Grabowska, Marta Marynowska, Maciej Murawski, Dariusz Gączarzewicz, Andrzej Syczewski, and Katarzyna Michałek. 2024. "A Step Forward in Understanding the Expression of Classical Aquaporins in the Male Reproductive Tract: Study Findings in Cattle (Bos taurus)" International Journal of Molecular Sciences 25, no. 14: 7653. https://doi.org/10.3390/ijms25147653
APA StyleOberska, P., Grabowska, M., Marynowska, M., Murawski, M., Gączarzewicz, D., Syczewski, A., & Michałek, K. (2024). A Step Forward in Understanding the Expression of Classical Aquaporins in the Male Reproductive Tract: Study Findings in Cattle (Bos taurus). International Journal of Molecular Sciences, 25(14), 7653. https://doi.org/10.3390/ijms25147653

