Sign in to use this feature.

Years

Between: -

Subjects

remove_circle_outline
remove_circle_outline
remove_circle_outline
remove_circle_outline
remove_circle_outline

Journals

Article Types

Countries / Regions

Search Results (31)

Search Parameters:
Keywords = double-lumen tube

Order results
Result details
Results per page
Select all
Export citation of selected articles as:
11 pages, 2005 KB  
Article
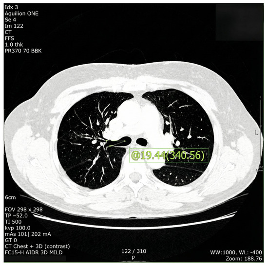
Comprehensive Tracheobronchial Morphometry in Korean Adults: Clinical Implications for Double-Lumen Tube Sizing and Right Upper Lobe Alignment
by Seihee Min, Youn Joung Cho and Jae-Hyon Bahk
J. Clin. Med. 2026, 15(1), 318; https://doi.org/10.3390/jcm15010318 - 1 Jan 2026
Viewed by 190
Abstract
Background/Objectives: Accurate knowledge of tracheobronchial anatomy is essential for safe airway management, particularly during one-lung ventilation using double-lumen tubes (DLTs). However, population-specific morphometric data in Asian adults remain limited. We aimed to establish a comprehensive morphometric profile of the tracheobronchial tree in Korean [...] Read more.
Background/Objectives: Accurate knowledge of tracheobronchial anatomy is essential for safe airway management, particularly during one-lung ventilation using double-lumen tubes (DLTs). However, population-specific morphometric data in Asian adults remain limited. We aimed to establish a comprehensive morphometric profile of the tracheobronchial tree in Korean adults using 2D and 3D computed tomography (CT), and evaluate the clinical implications for DLT sizing and right upper lobe (RUL) alignment. Methods: This retrospective observational study included 398 adults who underwent preoperative chest CT. Measurements included tracheal dimensions, bronchial lengths, bronchial diameters, and anteroposterior angle of the RUL orifice. Height tertiles and sex-stratified linear regression analyses were performed to evaluate height–bronchial diameter relationships. Results: Bronchial dimensions were larger in men; however, height was more closely related to bronchial diameter in women. In women, each 1 cm increase in height corresponded to a 0.071 mm increase in left and a 0.077 mm increase in right bronchial transverse diameter (p < 0.001 for both). The RUL orifice showed posterior deviation of 15.5 ± 12.2° in men and 9.9 ± 11.4° in women, with height and weight being independent but weak predictors (R2 = 0.05). Bronchial diameter measurements showed consistent differences between 2D and 3D CT, with 2D images generally overestimating transverse diameters. Conclusions: The present analysis provides population-specific reference values for Korean adults. Our findings support the use of 2D CT as a practical tool for estimating bronchial dimensions and guiding DLT selection, and may serve as foundation for future airway devices tailored to Asian populations. Full article
Show Figures

Figure 1

16 pages, 1137 KB  
Article
To Breathe or Not to Breathe: Spontaneous Ventilation During Thoracic Surgery in High-Risk COPD Patients—A Feasibility Study
by Matyas Szarvas, Csongor Fabo, Gabor Demeter, Adam Oszlanyi, Stefan Vaida, Jozsef Furak and Zsolt Szabo
J. Clin. Med. 2025, 14(22), 8244; https://doi.org/10.3390/jcm14228244 - 20 Nov 2025
Viewed by 804
Abstract
Background: Spontaneous ventilation with intubation (SVI) during video-assisted thoracoscopic surgery (VATS) has been introduced as a hybrid technique that combines the physiological benefits of spontaneous breathing with the safety of a secured airway. However, its application in patients with chronic obstructive pulmonary [...] Read more.
Background: Spontaneous ventilation with intubation (SVI) during video-assisted thoracoscopic surgery (VATS) has been introduced as a hybrid technique that combines the physiological benefits of spontaneous breathing with the safety of a secured airway. However, its application in patients with chronic obstructive pulmonary disease (COPD) remains controversial due to concerns about hypercapnia, hypoxemia, and dynamic hyperinflation. To date, no study has directly compared COPD and non-COPD patients undergoing VATS lobectomy under SVI using identical anesthetic and surgical protocols. Methods: A prospective observational study was conducted between January 2022 and December 2024 at a single tertiary thoracic surgery center. A total of 36 patients undergoing elective VATS lobectomy with SVI were included and divided into two groups: COPD (n = 17) and non-COPD (n = 19), based on GOLD criteria. All patients were intubated with a double-lumen tube and allowed to maintain spontaneous ventilation during one-lung ventilation (OLV) after recovery from neuromuscular blockade. Arterial blood gas (ABG) samples were collected at four predefined time points (T1–T4), and intraoperative respiratory parameters, hemodynamics, spontaneous ventilation time, and spontaneous ventilation fraction (SpVent%) were recorded. Postoperative outcomes, including ICU stay, complications, and conversion to controlled ventilation, were analyzed. Statistical comparisons were performed using t-test, Mann–Whitney U test, chi-square test, and ANCOVA with adjustment for age, sex, BMI, and FEV1%. Results: All 36 procedures were successfully completed under SVI without conversion to controlled mechanical ventilation or thoracotomy. Baseline demographics were comparable between COPD and non-COPD patients regarding age (68.4 ± 6.9 vs. 67.8 ± 7.1 years; p = 0.78) and BMI (27.1 ± 4.6 vs. 26.3 ± 4.2 kg/m2; p = 0.56), while pulmonary function was significantly lower in COPD patients (FEV1/FVC 53.8% (IQR 47.5–59.9) vs. 82.4% (78.5–85.2); p < 0.001). The duration of spontaneous ventilation was significantly longer in the COPD group (82 ± 14 min vs. 58 ± 16 min; p < 0.001), and remained significant after ANCOVA adjustment (β = +23.7 min; p = 0.001). The SpontVent% was higher in COPD patients (80% [70–90] vs. 60% [45–80]), showing a trend toward significance (p = 0.11). Intraoperative permissive hypercapnia was well tolerated: peak PaCO2 levels at T3 were higher in COPD (52 ± 6 mmHg) than in non-COPD patients (47 ± 5 mmHg; p = 0.06), without pH dropping below 7.25 in either group. No significant differences were observed in mean arterial pressure, oxygen saturation, ICU stay (1.1 ± 0.4 vs. 1.0 ± 0.5 days; p = 0.48), or postoperative complication rates (p = 0.67). All patients were extubated in the operating room. Conclusions: Intubated spontaneous ventilation during VATS lobectomy is feasible and safe in both COPD and non-COPD patients when performed by experienced teams. COPD patients, despite impaired baseline lung function, were able to maintain spontaneous breathing for significantly longer periods without developing severe hypercapnia, acidosis, or hemodynamic instability. These findings suggest that SVI may represent a lung-protective alternative to fully controlled one-lung ventilation, particularly in hypercapnia-adapted COPD patients. Further multicenter studies are warranted to validate these results and define standardized thresholds for CO2 tolerance, patient selection, and intraoperative monitoring during SVI. Full article
(This article belongs to the Special Issue Recent Advances and Challenges in Cardiothoracic Surgery)
Show Figures

Figure 1

8 pages, 863 KB  
Case Report
Anesthetic Management of Acute Airway Decompensation in Bronchobiliary Fistula Due to Intrahepatic Cholangiocarcinoma: A Case Report
by Andrew J. Warburton, Randal A. Serafini and Adam Von Samek
Anesth. Res. 2025, 2(3), 17; https://doi.org/10.3390/anesthres2030017 - 29 Jul 2025
Cited by 1 | Viewed by 1030
Abstract
This case report describes the acute and multidisciplinary management anesthesiologists performed for an intra-operative bronchobiliary fistula during a routine endoscopic retrograde cholangiopancreatography for a patient with intrahepatic cholangiocarcinoma. During the procedure, an unexpected rapid airway deterioration was encountered due to bile infiltration of [...] Read more.
This case report describes the acute and multidisciplinary management anesthesiologists performed for an intra-operative bronchobiliary fistula during a routine endoscopic retrograde cholangiopancreatography for a patient with intrahepatic cholangiocarcinoma. During the procedure, an unexpected rapid airway deterioration was encountered due to bile infiltration of the right bronchus and anesthesia circuit, necessitating (1) emergent extubation and reintubation with bronchoscopy, (2) extubation and reintubation with double-lumen endotracheal tube with right-bronchial blocker, and (3) transportation of the patient from endoscopy to interventional radiology for biliary drain placement. Overall, this case highlights a rare but serious consideration for patients with intrahepatic cholangiocarcinoma who may present with a bronchobiliary fistula and the steps taken to prevent total airway compromise and ensure rapid patient stabilization through coordination with advanced gastroenterology, interventional pulmonology, and interventional radiology. Full article
Show Figures

Figure 1

21 pages, 2319 KB  
Systematic Review
The Effect of Thermal-Softened Endotracheal Tubes on Postoperative Sore Throat and Other Complications—A Systematic Review and Meta-Analysis
by Hui-Zen Hee, Chen-Hsi Chiu and Cheng-Wei Lu
J. Clin. Med. 2025, 14(11), 3620; https://doi.org/10.3390/jcm14113620 - 22 May 2025
Viewed by 1655
Abstract
Background: Endotracheal tube (ETT) intubation during general anesthesia (GA) is commonly associated with postoperative sore throat. This study aimed to evaluate whether thermal-softened ETTs reduce the postoperative sore throat incidence in patients undergoing elective surgery under GA. Methods: We conducted a [...] Read more.
Background: Endotracheal tube (ETT) intubation during general anesthesia (GA) is commonly associated with postoperative sore throat. This study aimed to evaluate whether thermal-softened ETTs reduce the postoperative sore throat incidence in patients undergoing elective surgery under GA. Methods: We conducted a comprehensive search of the literature across PubMed, Cochrane Library, and EMBASE to identify randomized controlled trials (RCTs) evaluating the effect of thermal-softened ETTs on postoperative sore throat in patients undergoing elective surgeries under GA. The primary outcome was postoperative sore throat incidence, while secondary outcomes included hoarseness, vocal cord lesions, and time to intubation. Data were extracted independently by two authors, and the risk of bias was assessed using the Revised Cochrane risk of bias tool (version 2.0). A meta-analysis was then performed using the random-effects model, with the results expressed as risk ratios (RRs) and mean difference (MDs). Results: Eight studies, with a total of 970 participants, were included. Thermal-softened ETTs significantly reduced postoperative sore throat incidence (RR: 0.60, 95% CI: 0.44 to 0.82, p = 0.001). Subgroup analysis showed no difference for single-lumen tubes (RR: 0.76, 95% CI: 0.45 to 1.26, p = 0.28), but remained significant for double-lumen tubes (RR: 0.5, 95% CI: 0.39 to 0.65, p < 0.00001). No significant difference was found in hoarseness (RR: 0.86, 95% CI: 0.64 to 1.17, p = 0.34), but a lower incidence of vocal cord lesions (RR: 0.52, 95% CI: 0.40 to 0.68, p < 0.00001) was observed. No difference was found in the time to intubation (MD: −6.51, 95% CI: −20.04 to 7.02, p = 0.35). Conclusions: Thermal-softened ETTs may reduce the incidence of postoperative sore throat and vocal cord lesions but have no significant effect on hoarseness or intubation time. Full article
Show Figures

Figure 1

16 pages, 1059 KB  
Article
Perioperative Outcomes of Non-Intubated Versus Intubated Anesthesia in Video-Assisted Thoracoscopic Surgery for Early-Stage Non-Small Cell Lung Cancer: A Propensity Score-Matched Analysis
by Hsiang-Han Huang, Li-Hua Chen, Hou-Chuan Lai, Zhi-Fu Wu, Ching-Lung Ko, Kai-Li Lo, Go-Shine Huang and Wei-Cheng Tseng
J. Clin. Med. 2025, 14(10), 3466; https://doi.org/10.3390/jcm14103466 - 15 May 2025
Viewed by 1685
Abstract
Background: Previous studies have shown that ventilation strategies used in general anesthesia influence perioperative outcomes of video-assisted thoracoscopic surgery (VATS). This study investigated the perioperative effects of non-intubated anesthesia (NIA) versus intubated anesthesia (IA) in patients with early-stage non-small cell lung cancer (NSCLC) [...] Read more.
Background: Previous studies have shown that ventilation strategies used in general anesthesia influence perioperative outcomes of video-assisted thoracoscopic surgery (VATS). This study investigated the perioperative effects of non-intubated anesthesia (NIA) versus intubated anesthesia (IA) in patients with early-stage non-small cell lung cancer (NSCLC) undergoing VATS. Methods: This retrospective cohort study analyzed patients who underwent elective VATS for early-stage NSCLC between January 2015 and December 2022. Patients were categorized into the NIA and IA groups based on the ventilation strategies during general anesthesia. Comprehensive outcome data, including intraoperative and postoperative variables, were compared between the two groups. Univariate and multivariate logistic regression models were used to assess the odds ratios for conversion from NIA to IA. Results: A total of 372 patients who received NIA and 1560 who received IA for VATS were eligible for analysis. After propensity score matching, 336 patients were included in each group. In the matched analysis, patients who received NIA demonstrated favorable perioperative outcomes, including reduced opioid consumption, lower postoperative complication rates, and shorter hospital stays, compared to those who received IA. Additionally, patients with a lower baseline oxygen saturation and those who experienced intraoperative pulmonary and cardiovascular adverse events had a higher risk of conversion from NIA to IA. Conclusions: NIA during VATS in patients with early-stage NSCLC was associated with superior perioperative outcomes. Prospective studies are warranted to further evaluate the impact of NIA on perioperative outcomes in this patient population. Full article
(This article belongs to the Section Anesthesiology)
Show Figures

Figure 1

10 pages, 684 KB  
Article
Impact of Single-Lumen Versus Double-Lumen Endotracheal Tube on Postoperative Swallowing Function in Lung Transplantation Patients: A Single-Center, Retrospective Cohort Study
by Rishi Ashok Patel, Haley Nitchie, Bethany J. Wolf, Cecilia Taylor and Loren Francis
J. Clin. Med. 2025, 14(9), 3075; https://doi.org/10.3390/jcm14093075 - 29 Apr 2025
Viewed by 1350
Abstract
Background/Objectives: The role of double-lumen endotracheal tube (DLT) versus single-lumen endotracheal tube (SLT) use during lung transplantation (LTx) and its effects on postoperative dysphagia have not yet been studied. It has been shown that new-onset oropharyngeal dysphagia (OPD) is common after various [...] Read more.
Background/Objectives: The role of double-lumen endotracheal tube (DLT) versus single-lumen endotracheal tube (SLT) use during lung transplantation (LTx) and its effects on postoperative dysphagia have not yet been studied. It has been shown that new-onset oropharyngeal dysphagia (OPD) is common after various thoracic surgeries including lung transplantation and that OPD is associated with increased postoperative complications. Methods: A single-center, retrospective cohort study was performed using a data exploration tool in the electronic medical record. Data included demographic characteristics, medical history, postoperative dysphagia measured by Functional Oral Intake Scale (FOIS) via modified barium swallow study (MBSS) within 5 days of surgery, and other secondary outcomes. Results: In univariate analysis, participants who had a DLT (49 patients) had significantly higher FOIS scores (indicating better swallowing function) as compared to those with an SLT (21 patients) (p = 0.035). Lumen type remained significant in a multivariable model, with use of a DLT showing more than a 5-fold increase in the odds of a higher FOIS score after controlling for other factors (p = 0.004; cumulative OR (95% CI): 5.2 (1.7–15.9)). Participants who had a DLT had shorter hospital length of stay (LOS) (p = 0.017; single 18 days (IQR = 13), double 14 days (IQR 7)). Those who had a DLT experienced significantly greater ventilator-free time at postoperative day 30 compared to those who received an SLT (p = 0.018). ICU LOS was similar between those who received a DLT vs. SLT. Conclusions: Overall, DLT seems to confer reduced new-onset OPD after lung transplantation surgery when compared with SLT. The use of DLT instead of SLT for lung isolation for LTx may have the potential to reduce morbidity and mortality in this population. Full article
(This article belongs to the Section Anesthesiology)
Show Figures

Figure 1

13 pages, 234 KB  
Perspective
From Awake to Minimalist Spontaneous Ventilation Thoracoscopic Lung Surgery: An Ongoing Journey
by Eugenio Pompeo
J. Clin. Med. 2025, 14(7), 2475; https://doi.org/10.3390/jcm14072475 - 4 Apr 2025
Cited by 3 | Viewed by 1989
Abstract
Spontaneous ventilation lung surgery (SVLS) without intubation is aimed at avoiding adverse effects of mechanical ventilation lung surgery (MVLS) entailing one-lung mechanical ventilation through a double-lumen tracheal tube. This innovative strategy has evolved following the publication of a small randomized study of thoracoscopic [...] Read more.
Spontaneous ventilation lung surgery (SVLS) without intubation is aimed at avoiding adverse effects of mechanical ventilation lung surgery (MVLS) entailing one-lung mechanical ventilation through a double-lumen tracheal tube. This innovative strategy has evolved following the publication of a small randomized study of thoracoscopic pulmonary wedge resection carried out under spontaneous ventilation without tracheal intubation in fully awake patients. It now entails target-controlled sedation, the use of a laryngeal mask, and thoracic analgesia by intercostal or paravertebral blocks and has shown promise both in unicenter and multicenter studies, resulting in optimal feasibility and safety and highly satisfactory results, particularly in patients undergoing lung cancer resection and metastasectomy, lung biopsy for undetermined interstitial lung disease, lung volume reduction surgery for end-stage emphysema, and bullectomy for primary and secondary spontaneous pneumothorax. However, concerns and unresolved issues still exist regarding the advantages and disadvantages of SVLS as well as the identification of optimal indications. This perspective is aimed at providing a critical overview of the current knowledge about SVLS with emphasis on recent data comparing the results with those of MVLS published in the last 10 years. Full article
(This article belongs to the Special Issue Thoracic Surgery: Current Practice and Future Directions)
12 pages, 1951 KB  
Case Report
Successful Treatment of Unilateral Pulmonary Edema as Minimally Invasive Mitral Valve Surgery Complication—Case Presentation
by Marius Mihai Harpa, Sânziana Flamind Oltean, Hussam Al Hussein, David Emanuel Anitei, Iulia Alexandra Puscas, Cosmin Marian Bănceu, Mihaly Veres, Diana Roxana Opriș, Radu Alexandru Balau and Horatiu Suciu
J. Clin. Med. 2024, 13(24), 7654; https://doi.org/10.3390/jcm13247654 - 16 Dec 2024
Cited by 7 | Viewed by 2516
Abstract
Background/Objectives: In recent decades, the advantages of minimizing surgical trauma have led to the development of minimally invasive surgical procedures. While the benefits often outweigh the risks, several challenges are encountered that are not present in conventional surgical approaches. Unilateral pulmonary edema (UPE) [...] Read more.
Background/Objectives: In recent decades, the advantages of minimizing surgical trauma have led to the development of minimally invasive surgical procedures. While the benefits often outweigh the risks, several challenges are encountered that are not present in conventional surgical approaches. Unilateral pulmonary edema (UPE) after mitral interventions performed through a right-sided approach is a rare but potentially life-threatening event. Methods: We present the case of a 49-year-old patient who underwent endoscopic mitral valve repair. Immediately following ICU admission, the patient’s oxygen saturation suddenly dropped, and serous discharge was exteriorized from the endotracheal tube, with a thoracic X-ray revealing right-sided unilateral pulmonary edema. Results: The therapeutical course was complex. The patient developed hemodynamic instability, leading to cardiac arrest, which required cardiopulmonary resuscitation and the initiation of peripheral veno-arterial extracorporeal membrane oxygenation (VA-ECMO). The endotracheal cannula was replaced with a right-sided double-lumen cannula, and the patient was placed on two ventilators operating independently. The patient was weaned off extracorporeal membrane oxygenation (ECMO) on the fifth day and extubated on the sixth postoperative day. Conclusions: We successfully treated this patient using ECMO and independent lung ventilation. Several cases have been described in the literature, but the pathogenesis and risk factors of UPE remain unclear. Management depends on the severity of UPE, but a deeper understanding of its underlying mechanisms could provide cardiac surgeons with enhanced strategies for preventing UPE and implementing timely interventions. Full article
Show Figures

Figure 1

9 pages, 229 KB  
Review
Advancements in Respiratory Surgery Anesthesia: A Collaborative Approach to Perioperative Management and Recovery
by Nobuyasu Komasawa
Anesth. Res. 2024, 1(3), 204-212; https://doi.org/10.3390/anesthres1030019 - 25 Nov 2024
Cited by 1 | Viewed by 3313
Abstract
Thoracic surgery is a highly complex field requiring collaboration between surgeons, anesthesiologists, pulmonologists, and other specialists. Successful outcomes depend on thorough preoperative evaluations that consider the patient’s overall health, lifestyle habits, and surgical risks. Key elements include proper intraoperative anesthesia management, postoperative pain [...] Read more.
Thoracic surgery is a highly complex field requiring collaboration between surgeons, anesthesiologists, pulmonologists, and other specialists. Successful outcomes depend on thorough preoperative evaluations that consider the patient’s overall health, lifestyle habits, and surgical risks. Key elements include proper intraoperative anesthesia management, postoperative pain control, and the integration of enhanced recovery after surgery (ERAS) protocols to optimize recovery. Double-lumen tubes (DLTs) are essential for one-lung ventilation during thoracic procedures, although they can be invasive. Recent advancements, such as video-assisted laryngoscopes, have improved the success of DLTs and reduced the invasiveness of DLT intubation and extubation. Postoperative pain management is crucial for minimizing complications and enhancing recovery. Techniques like epidural analgesia, nerve blocks, and patient-controlled analgesia improve patient outcomes by allowing early mobility and deep breathing. Dexmedetomidine (DEX), a sedative with minimal respiratory impact, has shown promise in reducing delirium and aiding recovery. This review highlights the importance of teamwork, pain management, and emerging technologies in improving thoracic surgery outcomes. Advances in these areas, particularly within ERAS protocols, continue to enhance patient care and overall surgical success. Full article
10 pages, 1516 KB  
Article
A Comparison of Conventional Rotating Method and Non-Rotating Method for Double-Lumen Tube Insertion Using a Customized Rigid J-Shaped Stylet for One-Lung Ventilation: A Randomized Controlled Trial
by Soomin Lee, Sung Joon Han, Jiho Park, Yoon-Hee Kim, Boohwi Hong, Chahyun Oh and Seok-Hwa Yoon
J. Clin. Med. 2024, 13(17), 5302; https://doi.org/10.3390/jcm13175302 - 6 Sep 2024
Cited by 1 | Viewed by 2317
Abstract
Background: The conventional double-lumen tube (DLT) insertion method requires a rotatory maneuver that was developed using direct laryngoscopy and may not be optimal for video laryngoscopy. This study compared a new non-rotatory maneuver with the conventional method for DLT insertion using video [...] Read more.
Background: The conventional double-lumen tube (DLT) insertion method requires a rotatory maneuver that was developed using direct laryngoscopy and may not be optimal for video laryngoscopy. This study compared a new non-rotatory maneuver with the conventional method for DLT insertion using video laryngoscopy. Methods: Patients scheduled for thoracic surgery requiring one-lung ventilation were randomly assigned to either the rotating (R) or non-rotating (NR) method groups. All patients were intubated using a customized rigid J-shaped stylet, a video laryngoscope, and a left-sided silicone DLT. The conventional rotatory maneuver was performed in the R group. In the NR group, the stylet was inserted with its tip oriented anteriorly (12 o’clock direction) while maintaining the bronchial lumen towards the left (9 o’clock direction). After reaching the glottic opening, the tube was inserted using a non-rotatory maneuver, maintaining the initial orientation. The primary endpoint was the intubation time. Secondary endpoints included first-trial success rate, sore throat, hoarseness, and airway injury. Results: Ninety patients (forty-five in each group) were included. The intubation time was significantly shorter in the NR group compared to the R group (22.0 [17.0, 30.0] s vs. 28.0 [22.0, 34.0] s, respectively), with a median difference of 6 s (95% confidence interval [CI], 3–11 s; p = 0.017). The NR group had a higher first-attempt success rate and a lower incidence of sore throats. Conclusions: The non-rotatory technique with video laryngoscopy significantly reduced intubation time and improved first-attempt success rate, offering a viable and potentially superior alternative to the conventional rotatory technique. Full article
(This article belongs to the Section Anesthesiology)
Show Figures

Figure 1

28 pages, 17913 KB  
Article
Analysis of Bending Deformation and Stress of 6063-T5 Aluminum Alloy Multi-Cavity Tube Filled with Liquid
by Xinlong Zhang, Zhaosong Jiang, Shuang Zhao, Xiaodong Xie, Jiang Xiao, Xueyan Liu, Zhe Wu and Yang Zhang
Materials 2024, 17(13), 3230; https://doi.org/10.3390/ma17133230 - 1 Jul 2024
Cited by 1 | Viewed by 2003
Abstract
The production of aluminum alloy multi-lumen tubes primarily involves hot bending formation, a process where controlling thermal deformation quality is difficult. Specifically, the inner cavity wall of the tube is prone to bending instability defects under the bending stress field. To address these [...] Read more.
The production of aluminum alloy multi-lumen tubes primarily involves hot bending formation, a process where controlling thermal deformation quality is difficult. Specifically, the inner cavity wall of the tube is prone to bending instability defects under the bending stress field. To address these challenges in the bending deformation of aluminum alloy multi-lumen tubes, a multi-lumen liquid-filled bypass forming method is proposed in this paper. This study focuses on the 6063-T5 aluminum alloy double-lumen tube as the research object. The liquid-filled bending deformation behavior of the aluminum alloy double-lumen tube was investigated, and the deformation theory of the aluminum alloy double-lumen tube was studied. Through experimental and numerical simulation methods, the influence of support internal pressure, bending radius, and tube wall thickness on the liquid-filled bending deformation behavior of the double-lumen tube was examined. The results indicate that when the value of internal pressure was 7.5 MPa, the straightening of the outer wall was improved by 2.51%, the thinning rate of wall thickness was minimized, and the internal concave defect was effectively suppressed. The liquid-filled bending method provides a promising new approach for the integrated bending and forming of multi-lumen tubes. Full article
Show Figures

Figure 1

14 pages, 5426 KB  
Review
Innovations to Improve Lung Isolation Training for Thoracic Anesthesia: A Narrative Review
by Corinne Grandjean, Gabriele Casso, Leslie Noirez, Manuel Granell Gil, Georges L. Savoldelli and Patrick Schoettker
J. Clin. Med. 2024, 13(7), 1848; https://doi.org/10.3390/jcm13071848 - 23 Mar 2024
Cited by 6 | Viewed by 3034
Abstract
A double-lumen tube or bronchial blocker positioning using flexible bronchoscopy for lung isolation and one-lung ventilation requires specific technical competencies. Training to acquire and retain such skills remains a challenge in thoracic anesthesia. Recent technological and innovative developments in the field of simulation [...] Read more.
A double-lumen tube or bronchial blocker positioning using flexible bronchoscopy for lung isolation and one-lung ventilation requires specific technical competencies. Training to acquire and retain such skills remains a challenge in thoracic anesthesia. Recent technological and innovative developments in the field of simulation have opened up exciting new horizons and possibilities. In this narrative review, we examine the latest development of existing training modalities while investigating, in particular, the use of emergent techniques such as virtual reality bronchoscopy simulation, virtual airway endoscopy, or the preoperative 3D printing of airways. The goal of this article is, therefore, to summarize the role of existing and future applications of training models/simulators and virtual reality simulators for training flexible bronchoscopy and lung isolation for thoracic anesthesia. Full article
(This article belongs to the Special Issue Current Trends and Future Challenges in Thoracic Anesthesia)
Show Figures

Figure 1

8 pages, 890 KB  
Brief Report
Establishment of a Novel Miniature Double-Lumen Catheter Single-Cannulation Venovenous Extracorporeal Membrane Oxygenation Model in the Rat
by Yutaka Fujii and Takuya Abe
Membranes 2024, 14(3), 55; https://doi.org/10.3390/membranes14030055 - 20 Feb 2024
Cited by 1 | Viewed by 3413
Abstract
In recent years, venovenous extracorporeal membrane oxygenation (VV ECMO) has been used to support patients with severe lung disease. Active use of VV ECMO was also recommended for severe respiratory failure due to COVID-19. However, VV ECMO is also known to cause various [...] Read more.
In recent years, venovenous extracorporeal membrane oxygenation (VV ECMO) has been used to support patients with severe lung disease. Active use of VV ECMO was also recommended for severe respiratory failure due to COVID-19. However, VV ECMO is also known to cause various complications due to extracorporeal circulation. Although we conducted ECMO research using rats, we have not been able to establish whether double-lumen single-cannulation VV ECMO models in rats have been described previously. The purpose of this study was to establish a simple, stable, and maintainable miniature double-lumen single-canulation VV ECMO model in rats. A double-lumen catheter used as a plain central venous catheter (SMAC plus Seldinger type; Covidien Japan Co., Tokyo, Japan) was passed through the right external jugular vein and advanced into the right atrium as a conduit for venous uptake. The VV ECMO system comprised a roller pump, miniature membrane oxygenator, and polyvinyl chloride tubing line. During VV ECMO, blood pressure and hemodilution rate were maintained at around 80 mmHg and 30%, respectively. Hemoglobin was kept at >9 g/dL, no serious hemolysis was observed, and VV ECMO was maintained without blood transfusion. Oxygenation and removal of carbon dioxide from the blood were confirmed and pH was adequately maintained. This miniature VV ECMO model appears very useful for studying the mechanisms of biological reactions during VV ECMO. Full article
Show Figures

Figure 1

11 pages, 1139 KB  
Article
Design and Evaluation of a Spoke-Based Double-Lumen Pediatric Gastrostomy Tube
by Mihika Aedla, Charlotte J. Cheng, Anson Y. Zhou, Siya Zhang, Jocelyn Hsu, Katherine Hu, Jason C. Qian, Kevin Van de Sompel, Anthony Ho, Karun V. Sharma and Elizabeth A. Logsdon
Children 2024, 11(2), 263; https://doi.org/10.3390/children11020263 - 19 Feb 2024
Cited by 1 | Viewed by 2423
Abstract
Gastrostomy tubes (G-tubes) are the gold standard for feeding assistance for children with feeding dysfunction. Current G-tubes pose complications that interrupt the delivery of feed, including tube displacement and difficulty of at-home use. This study details an alternative, spoke-based, double-lumen G-tube design and [...] Read more.
Gastrostomy tubes (G-tubes) are the gold standard for feeding assistance for children with feeding dysfunction. Current G-tubes pose complications that interrupt the delivery of feed, including tube displacement and difficulty of at-home use. This study details an alternative, spoke-based, double-lumen G-tube design and preliminary validation of its function and usability. Pull force testing was performed on spoke G-tube models across three sizes and two classifications (hard/soft). Preliminary models were evaluated against market standards. Though the pull force of the spoke model was found to be lower than that of both market standards, hard modifications to the spoke model improved retentive force. Ease of use was tested amongst users unfamiliar with G-tube placement. The spoke design required 12.3 ± 4.7 s to deploy, less than half the time required for market standards. However, balloon G-tubes were still perceived to be easiest to use by 70% of participants, with indications that a spoke design may be easier to use if sized similarly to current G-tubes, with auxiliary improvements to factors such as grip. While there is a need for improvements in the material properties and manufacturing of the proposed design, this study provides early validation of the potential to address complications of existing G-tubes. Full article
(This article belongs to the Special Issue Infant Feeding: Advances and Future Challenges)
Show Figures

Figure 1

18 pages, 1896 KB  
Article
Spontaneous Ventilation Combined with Double-Lumen Tube Intubation during Thoracic Surgery: A New Anesthesiologic Method Based on 141 Cases over Three Years
by Zsolt Szabo, Csongor Fabo, Matyas Szarvas, Maria Matuz, Adam Oszlanyi, Attila Farkas, Dora Paroczai, Judit Lantos and Jozsef Furak
J. Clin. Med. 2023, 12(20), 6457; https://doi.org/10.3390/jcm12206457 - 11 Oct 2023
Cited by 2 | Viewed by 2777
Abstract
Background: Non-intubated thoracic surgery has not achieved widespread acceptance despite its potential to improve postoperative outcomes. To ensure airway safety, our institute has developed a technique combining spontaneous ventilation with double-lumen tube intubation (SVI). This study aimed to verify the feasibility and limitations [...] Read more.
Background: Non-intubated thoracic surgery has not achieved widespread acceptance despite its potential to improve postoperative outcomes. To ensure airway safety, our institute has developed a technique combining spontaneous ventilation with double-lumen tube intubation (SVI). This study aimed to verify the feasibility and limitations of this SVI technique. Methods: For the SVI method, anesthesia induction involves fentanyl and propofol target-controlled infusion, with mivacurium administration. Bispectral index monitoring was used to ensure the optimal depth of anesthesia. Short-term muscle relaxation facilitated double-lumen tube intubation and early surgical steps. Chest opening preceded local infiltration, followed by a vagal nerve blockade to prevent the cough reflex and a paravertebral blockade for pain relief. Subsequently, the muscle relaxant was ceased. The patient underwent spontaneous breathing without coughing during surgical manipulation. Results: Between 10 March 2020 and 28 October 2022, 141 SVI surgeries were performed. Spontaneous respiration with positive end-expiratory pressure was sufficient in 65.96% (93/141) of cases, whereas 31.21% (44/141) required pressure support ventilation. Only 2.84% (4/141) of cases reversed to conventional anesthetic management, owing to technical or surgical difficulties. Results of the 141 cases: The mean maximal carbon dioxide pressure was 59.01 (34.4–92.9) mmHg, and the mean lowest oxygen saturation was 93.96% (81–100%). The mean one-lung, mechanical and spontaneous one-lung ventilation time was 74.88 (20–140), 17.55 (0–115) and 57.73 (0–130) min, respectively. Conclusions: Spontaneous ventilation with double-lumen tube intubation is safe and feasible for thoracic surgery. The mechanical one-lung ventilation time was reduced by 76.5%, and the rate of anesthetic conversion to relaxation was low (2.8%). Full article
(This article belongs to the Special Issue Advances in Minimally Invasive Thoracic Surgery)
Show Figures

Graphical abstract

Back to TopTop