Sign in to use this feature.

Years

Between: -

Subjects

remove_circle_outline
remove_circle_outline
remove_circle_outline
remove_circle_outline

Journals

Article Types

Countries / Regions

Search Results (10)

Search Parameters:
Keywords = chest wall sarcoma

Order results
Result details
Results per page
Select all
Export citation of selected articles as:
16 pages, 770 KB  
Systematic Review
Full-Thickness Chest Wall Resection and Reconstruction for Locally Invasive Phyllodes Tumors: A Systematic Review
by Yun Sun Lim, Ryan Tsui Hon Goh, Breanna Wei Ning Ang, Ailica Wan Xin Lee, Eugene Kwong Fei Leong, Lowell Leow, Qin Xiang Ng and Serene Si Ning Goh
Cancers 2025, 17(12), 1907; https://doi.org/10.3390/cancers17121907 - 8 Jun 2025
Cited by 1 | Viewed by 1900
Abstract
Background/Objectives: Phyllodes tumors (PTs) are rare fibroepithelial breast neoplasms with a high propensity for local recurrence, particularly in borderline and malignant forms. Although wide local excision with negative margins is standard, the role of full-thickness chest wall resection (FTCWR) for PTs invading the [...] Read more.
Background/Objectives: Phyllodes tumors (PTs) are rare fibroepithelial breast neoplasms with a high propensity for local recurrence, particularly in borderline and malignant forms. Although wide local excision with negative margins is standard, the role of full-thickness chest wall resection (FTCWR) for PTs invading the chest wall remains unclear. This systematic review evaluated the outcomes of FTCWR in such cases, focusing on oncologic effectiveness and reconstruction. Methods: A comprehensive literature search of PubMed, Embase, Scopus databases, and Google Scholar (up to the end of November 2024) identified 18 case reports describing 18 patients (mean age of 42.9 years) with locally invasive PTs. Results: Most patients presented with large (>5 cm), recurrent malignant tumors fixed to the chest wall, with the largest measuring 38 cm. Median disease-free survival was 12 months (range: 1–60), with local recurrence in 5.6% and distant metastases in 22.2% of cases. Common complications included respiratory and wound-related issues. Despite the radical surgery, all patients achieved satisfactory cosmetic results. Conclusions: While FTCWR appears feasible and provides symptom relief and short-term disease control in select patients, the evidence remains limited to case reports. Its long-term oncologic benefit is still uncertain, and further research, including prospective studies and multi-center registries, is needed to elucidate its role in clinical practice. Full article
(This article belongs to the Special Issue Rare Breast Tumors)
Show Figures

Figure 1

18 pages, 11899 KB  
Case Report
Primary Chest Wall Ewing Sarcoma: Treatment and Long-Term Results
by Ottavia Salimbene, Domenico Viggiano, Francesco Muratori, Roberto Lo Piccolo, Flavio Facchini, Angela Tamburini, Domenico Andrea Campanacci, Luca Voltolini and Alessandro Gonfiotti
Life 2024, 14(6), 766; https://doi.org/10.3390/life14060766 - 17 Jun 2024
Cited by 3 | Viewed by 4765
Abstract
Objective: The aim of the study is to evaluate early and long-term results of chest wall primary Ewing’s sarcoma patients treated in the time period February 2000–February 2023 by a multidisciplinary approach. Methods: We retrospectively reviewed the medical records of patients who underwent [...] Read more.
Objective: The aim of the study is to evaluate early and long-term results of chest wall primary Ewing’s sarcoma patients treated in the time period February 2000–February 2023 by a multidisciplinary approach. Methods: We retrospectively reviewed the medical records of patients who underwent chest wall resection for a primary tumor. Treatment approach, extent of resection, 30-day mortality, overall survival (OS), local recurrence-free survival (LRFS), and metastasis-free survival (MFS) were analyzed. Results: Overall, n = 15 consecutive patients were treated for chest wall primary Ewing’s sarcoma. A median of n = 3 ribs was resected with a median of n = 2 ribs adjacent to the lesion. Resections were extended to the adjacent structures in n = 5 patients (33.3%). In all cases, we performed a prosthetic reconstruction, associated with muscle flap (n = 10, 66.6%) or with rigid titanium bars and muscle flap (n = 6, 40%). A radical resection was accomplished in n = 13 patients (84.6%). The median surgical time was 310 ± 120 min; median hospitalization was 7.8 ± 1.9 days. Post-operative mortality was zero. We recorded n = 4 (30.7%) post-operative complication. The median follow-up (FU) was 26 months. Moreover, 5-year overall and event-free survival were 52% and 48%, respectively. Conclusions: This case series confirms the benefit of the multidisciplinary approach for Ewing sarcomas in early and long-term results. Full article
(This article belongs to the Special Issue Recent Advances in Modern Thoracic Surgery)
Show Figures

Figure 1

13 pages, 3723 KB  
Article
Outcome Analysis of Treatment Modalities for Thoracic Sarcomas
by Milos Sarvan, Harry Etienne, Lorenz Bankel, Michelle L. Brown, Didier Schneiter and Isabelle Opitz
Cancers 2023, 15(21), 5154; https://doi.org/10.3390/cancers15215154 - 26 Oct 2023
Cited by 3 | Viewed by 1998
Abstract
Background: Primary chest wall sarcomas are a rare and heterogeneous group of chest wall tumors that require multimodal oncologic and surgical therapy. The aim of this study was to review our experience regarding the surgical treatment of chest wall sarcomas, evaluating the short- [...] Read more.
Background: Primary chest wall sarcomas are a rare and heterogeneous group of chest wall tumors that require multimodal oncologic and surgical therapy. The aim of this study was to review our experience regarding the surgical treatment of chest wall sarcomas, evaluating the short- and long-term results. Methods: In this retrospective single-center study, patients who underwent surgery for soft tissue and bone sarcoma of the chest wall between 1999 and 2018 were included. We analyzed the oncologic and surgical outcomes of chest wall resections and reconstructions, assessing overall and recurrence-free survival and the associated clinical factors. Results: In total, 44 patients underwent chest wall resection for primary chest wall sarcoma, of which 18 (41%) received surgery only, 10 (23%) received additional chemoradiotherapy, 7% (3) received surgery with chemotherapy, and 30% (13) received radiotherapy in addition to surgery. No perioperative mortality occurred. Five-year overall survival was 51.5% (CI 95%: 36.1–73.4%), and median overall survival was 1973 days (CI 95% 1461; -). As determined in the univariate analysis, the presence of metastasis upon admission and tumor grade were significantly associated with shorter survival (p = 0.037 and p < 0.01, respectively). Five-year recurrence-free survival was 71.5% (95% CI 57.6%; 88.7%). Tumor resection margins and metastatic disease upon diagnosis were significantly associated with recurrence-free survival (p < 0.01 and p < 0.01, respectively). Conclusion: Surgical therapy is the cornerstone of the treatment of chest wall sarcomas and can be performed safely. Metastasis and high tumor grade have a negative influence on overall survival, while tumor margins and metastasis have a negative influence on local recurrence. Full article
(This article belongs to the Special Issue New Insights in Thoracic Sarcoma)
Show Figures

Graphical abstract

11 pages, 3124 KB  
Article
Superimposed Mosaicism in the Form of Extremely Extended Segmental Plexiform Neurofibroma Caused by a Novel Pathogenic Variant in the NF1 Gene
by Klára Veres, Judit Bene, Kinga Hadzsiev, Miklós Garami, Sára Pálla, Rudolf Happle, Márta Medvecz and Zsuzsanna Zsófia Szalai
Int. J. Mol. Sci. 2023, 24(15), 12154; https://doi.org/10.3390/ijms241512154 - 29 Jul 2023
Cited by 6 | Viewed by 2966
Abstract
Plexiform neurofibromas occurring in approximately 20–50% of all neurofibromatosis type-1 (NF1) cases are histologically benign tumors, but they can be fatal due to compression of vital structures or transformation to malignant sarcomas or malignant peripheral nerve sheath tumors. All sizeable plexiform neurofibromas are [...] Read more.
Plexiform neurofibromas occurring in approximately 20–50% of all neurofibromatosis type-1 (NF1) cases are histologically benign tumors, but they can be fatal due to compression of vital structures or transformation to malignant sarcomas or malignant peripheral nerve sheath tumors. All sizeable plexiform neurofibromas are thought to result from an early second mutation giving rise to a loss of heterozygosity of the NF1 gene. In this unusual case, a 12-year-old girl presented with a rapidly growing, extremely extensive plexiform neurofibroma with segmental distribution over the entire right arm, extending to the right chest wall and mediastinum, superimposed on classic cutaneous lesions of NF1. After several surgical interventions, the patient was efficiently treated with an oral selective MEK inhibitor, selumetinib, which resulted in a rapid reduction of the tumor volume. Molecular analysis of the NF1 gene revealed a c.2326-2 A>G splice-site mutation in the clinically unaffected skin, peripheral blood sample, and plexiform neurofibroma, which explains the general clinical symptoms. Furthermore, a novel likely pathogenic variant, c.4933dupC (p.Leu1645Profs*7), has been identified exclusively in the girl’s plexiform neurofibromas. This second-hit mutation can explain the extremely extensive segmental involvement. Full article
(This article belongs to the Special Issue Molecular and Genetic Studies in Neurocutaneous Syndromes)
Show Figures

Figure 1

16 pages, 3776 KB  
Article
The Role of Surgery in Primary Chest Wall Tumors: Over 20 Years’ Experience in Resection and Reconstruction
by Giorgio Lo Iacono, Antonio Mazzella, Shehab Mohamed, Francesco Petrella, Giulia Sedda, Monica Casiraghi, Lara Girelli, Luca Bertolaccini and Lorenzo Spaggiari
Cancers 2023, 15(7), 2153; https://doi.org/10.3390/cancers15072153 - 5 Apr 2023
Cited by 11 | Viewed by 3227
Abstract
Background: Primary chest wall tumors comprise a heterogeneous group of neoplasms arising from soft tissues and bones. While surgical excision is the standard of care for benign tumors, the management of malignant tumors requires multimodal treatment. We conducted a predictive analysis of outcome, [...] Read more.
Background: Primary chest wall tumors comprise a heterogeneous group of neoplasms arising from soft tissues and bones. While surgical excision is the standard of care for benign tumors, the management of malignant tumors requires multimodal treatment. We conducted a predictive analysis of outcome, recurrence-free and overall survival. Methods: We retrospectively reviewed the clinical and pathological records of all patients treated in our center between 1998 and 2020. Results: 53 patients (15–85 years) were treated in our department. The average tumor diameter was 65 ± 35 mm (10–160 mm). Negative margins were obtained in 48 patients (90.6%), whereas in the remaining 5, R1 resection was accomplished. Median overall survival was 63,03 months (1–282 months). Overall survival was 90% at 1 year, 78% at 2 years, and 61% at 5 years. Our analysis identified tumor diameter, postoperative complications, and high grade of malignancy as factors that can influence prognosis. Conclusions: The treatment of primary chest wall tumors remains a very challenging process. Different histological types preclude definition of an unequivocal approach. Complete resection with healthy margins remains a definitive cornerstone in the treatment of these cancers as part of a more comprehensive approach. Full article
(This article belongs to the Special Issue Thoracic Neuroendocrine Tumors and the Role of Emerging Therapies)
Show Figures

Figure 1

6 pages, 1141 KB  
Case Report
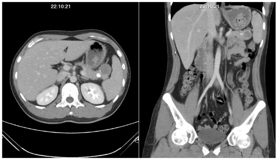
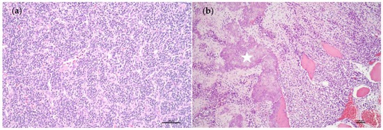
A Rare Case Report of Mesenchymal Chondrosarcoma with Pancreatic Metastasis
by Jian-Jiun Chen and Cheng-Wei Chou
Medicina 2022, 58(5), 639; https://doi.org/10.3390/medicina58050639 - 5 May 2022
Cited by 9 | Viewed by 3832
Abstract
Background: Mesenchymal chondrosarcoma is a rare but aggressive subtype of sarcoma. The majority of involvement locates in the axial skeleton. Treatment modalities include radical surgery, local radiotherapy, and systemic chemotherapy. However, the long-term survival outcome remains poor. Case presentation: We present [...] Read more.
Background: Mesenchymal chondrosarcoma is a rare but aggressive subtype of sarcoma. The majority of involvement locates in the axial skeleton. Treatment modalities include radical surgery, local radiotherapy, and systemic chemotherapy. However, the long-term survival outcome remains poor. Case presentation: We present the case of a 33-year-old male with a palpable chest wall mass for one year, diagnosed with mesenchymal chondrosarcoma with surgical removal. Later, he had an unusual pancreatic tail tumor as the first presentation of disease metastasis which was proven by surgical resection one year later. Conclusion: Although mesenchymal chondrosarcoma locates mainly in the axial skeletal system, extra-skeletal soft tissue or organ involvement might be seen occasionally. Active surveillance with multidisciplinary team management could significantly prolong survival outcomes. Full article
(This article belongs to the Section Oncology)
Show Figures

Figure 1

12 pages, 608 KB  
Article
What Do We Know about Survival in Skeletally Premature Children Aged 0 to 10 Years with Ewing Sarcoma? A Multicenter 10-Year Follow-Up Study in 60 Patients
by Sarah E. Bosma, Lizz van der Heijden, Luis Sierrasesúmaga, Hans J. H. M. Merks, Lianne M. Haveman, Michiel A. J. van de Sande and Mikel San-Julián
Cancers 2022, 14(6), 1456; https://doi.org/10.3390/cancers14061456 - 12 Mar 2022
Cited by 9 | Viewed by 3336
Abstract
(1) Background: Younger age has been associated with better overall survival (OS) in Ewing sarcoma (ES), especially under the age of 10. The favorable survival in younger patients underlines the need for minimizing treatment burden and late sequelae. Our study aimed at describing [...] Read more.
(1) Background: Younger age has been associated with better overall survival (OS) in Ewing sarcoma (ES), especially under the age of 10. The favorable survival in younger patients underlines the need for minimizing treatment burden and late sequelae. Our study aimed at describing clinical characteristics, treatment and outcome of a cohort of ES patients aged 0–10. (2) Methods: In this retrospective multicenter study, all consecutive ES patients aged 0–10, treated in four sarcoma centers in the Netherlands (n = 33) and one in Spain (n = 27) between 1982 and 2008, with a minimum follow-up of 10 years, were included. OS, local recurrence-free survival (LRFS) and distant metastasis-free survival (DMFS) were calculated. Potential factors of influence on OS (risk and protective factors) were analyzed. (3) Results: 60 patients with median follow-up 13.03 years were included. All patients were treated with chemotherapy in combination with local treatment, being surgery alone in 30 (50%) patients, radiotherapy (RT) alone in 12 (20%) patients or surgery plus RT in 18 (30%) patients (12 pre- and 6 postoperative). Limb salvage was achieved in 93% of patients. The 10-OS, -LRFS and -DMFS are 81% (95% CI: 71–91%), 89% (95% CI: 85–93%) and 81% (95% CI: 71–91%), respectively. Six patients developed LR, of which two developed subsequent DM; all had axial ES (pelvis, spine or chest wall), and these patients all died. Ten patients developed DM; eight died due to progressive disease, and two are currently in remission, both with pulmonary metastasis only. Negative or wide resection margin was significantly associated with better OS. Age < 6 years, tumor volume < 200 mL, absence of metastatic disease and treatment after 2000 showed trends towards better OS. Two patients developed secondary malignancy; both had chemotherapy combined with definitive RT for local treatment. (4) Conclusions: Overall survival of these youngest patients with ES was very good. Limb salvage surgery was achieved in >90% of patients. Wide resection margin was the only factor significantly associated with better survival. Full article
(This article belongs to the Special Issue Pediatric Sarcoma in the Era of Precision Genomics)
Show Figures

Figure 1

17 pages, 749 KB  
Article
Negative Impact of Wound Complications on Oncologic Outcome of Soft Tissue Sarcomas of the Chest Wall
by Mehran Dadras, Pascal Koepp, Johannes Maximilian Wagner, Christoph Wallner, Maxi Sacher, Marcus Lehnhardt, Björn Behr and Kamran Harati
Cancers 2020, 12(1), 101; https://doi.org/10.3390/cancers12010101 - 31 Dec 2019
Cited by 8 | Viewed by 2690
Abstract
A link of complications with worse oncologic prognosis has been established for multiple malignancies, while the limited literature on soft-tissue sarcomas is inconclusive. The aim of this study was to examine risk factors and the oncologic impact of wound complications after curative resection [...] Read more.
A link of complications with worse oncologic prognosis has been established for multiple malignancies, while the limited literature on soft-tissue sarcomas is inconclusive. The aim of this study was to examine risk factors and the oncologic impact of wound complications after curative resection of primary soft-tissue sarcomas of the chest wall. Patients with primary soft tissue sarcomas of the chest wall were identified. Groups with and without wound complications were compared by using univariate and multivariate analysis to identify risk factors. For patients with clear surgical margins (R0), univariate and multivariate analysis of factors associated with 5-year local recurrence free survival (LRFS), metastasis free survival (MFS), and disease specific survival (DSS) were performed. A total of 102 patients were included in the study. Wound complications occurred in 11 patients (10.8%) within 90 days. Cardiovascular morbidity and operation time represented independent risk factors for wound complications. In 94 patients with clear surgical margins, those with wound complications had an estimated 5-year LRFS of 30% versus 72.6% and a 5-year DSS of 58.3% versus 82.1%. Wound complications could be identified as an independent predictor for worse LRFS and DSS. Patients with a high risk of wound complications should be identified and strategies implemented to reduce surgical complications and possibly improve oncologic prognosis. Full article
(This article belongs to the Special Issue Bone and Soft Tissue Tumors)
Show Figures

Figure 1

4 pages, 159 KB  
Article
Primary Angiosarcoma of the Breast—Series of 11 Consecutive Cases—A Single-Centre Experience
by M. Kunkiel, M. Maczkiewicz, A. Jagiełło-Gruszfeld and Z. Nowecki
Curr. Oncol. 2018, 25(1), 50-53; https://doi.org/10.3747/co.25.3816 - 1 Feb 2018
Cited by 28 | Viewed by 1431
Abstract
Angiosarcomas of the breast are rare parenchymal malignancies of the chest wall. Surgery is the main treatment modality with chemotherapy and radiotherapy used in case of recurrence. With generally unfavourable prognosis and lack of clear treatment guidelines due to its rarity and scarcity [...] Read more.
Angiosarcomas of the breast are rare parenchymal malignancies of the chest wall. Surgery is the main treatment modality with chemotherapy and radiotherapy used in case of recurrence. With generally unfavourable prognosis and lack of clear treatment guidelines due to its rarity and scarcity of available data, angiosarcoma of the breast is a challenging clinical situation for both oncologist and patient. We present here the results of a series of 11 consecutive primary angiosarcoma cases treated at our institute between 2000 and 2015. Full article
5 pages, 2630 KB  
Case Report
Extraskeletal Myxoid Chondrosarcoma of the Heart and Review of Current Literature
by H.L. Geyer and N. Karlin
Curr. Oncol. 2010, 17(5), 58-62; https://doi.org/10.3747/co.v17i5.606 - 1 Oct 2010
Cited by 10 | Viewed by 931
Abstract
Extraskeletal myxoid chondrosarcoma (EMS) is a rare oncologic phenomenon characterized by chondroid and neurogenic differentiation in extraskeletal locations. These tumours represent fewer than 2.5% of all soft-tissue sarcomas and are most commonly found in the lower extremities, limb girdles, distal extremities, [...] Read more.
Extraskeletal myxoid chondrosarcoma (EMS) is a rare oncologic phenomenon characterized by chondroid and neurogenic differentiation in extraskeletal locations. These tumours represent fewer than 2.5% of all soft-tissue sarcomas and are most commonly found in the lower extremities, limb girdles, distal extremities, and trunk. Their presence in cardiac tissue is exceedingly unusual; just a single case of EMS metastatic to the heart has been reported, and no cases of primary cardiac EMS are known. Here, we report the case of a 26-year-old man who presented to his physician with a chest wall mass. Further evaluation led to the discovery of a large intracardiac mass with multiple end-organ growths. Complete work-up of this patient included cardiac biopsy, echocardiography, magnetic resonance imaging, positron-emission tomography, computed tomography, and fluorescence in situ hybridization studies for the translocation involving the EWSR1 gene locus (22q12). Results of the foregoing studies confirmed the diagnosis of ems, but the origin of this patient’s tumours remains elusive and the contention between a primary cardiac source and cardiac metastasis has yet to be resolved. This article describes the histopathology, immunohistochemistry, and chromosomal aberrations common to ems, together with the common presenting features, natural history, and prognosis. Full article
Back to TopTop