Sign in to use this feature.

Years

Between: -

Subjects

remove_circle_outline
remove_circle_outline
remove_circle_outline
remove_circle_outline
remove_circle_outline
remove_circle_outline
remove_circle_outline
remove_circle_outline

Journals

remove_circle_outline
remove_circle_outline
remove_circle_outline
remove_circle_outline
remove_circle_outline
remove_circle_outline
remove_circle_outline
remove_circle_outline
remove_circle_outline
remove_circle_outline
remove_circle_outline
remove_circle_outline

Article Types

Countries / Regions

remove_circle_outline
remove_circle_outline
remove_circle_outline
remove_circle_outline
remove_circle_outline

Search Results (689)

Search Parameters:
Keywords = brain comorbidities

Order results
Result details
Results per page
Select all
Export citation of selected articles as:
14 pages, 3479 KB  
Article
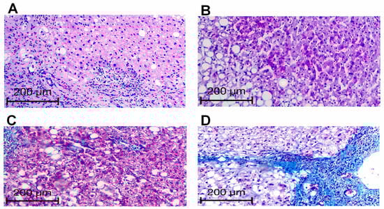
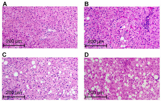
The Degree of Liver Steatosis Is Associated with Abnormally High Serum Levels of Markers of Blood–Brain Barrier Dysfunction and Systemic Inflammation in Patients with Morbid Obesity
by Gabriela Hurtado-Alvarado, Karol Iliana Ávila-Soto, Marlene Monserrat Juárez, Lucía Angélica Méndez-García, Verónica Cevallos-López, Juan Antonio Peralta-Calcaneo, Marcela Esquivel-Velázquez, Antonio González-Chávez, Julio César Zavala-Castillo, Ana Alfaro-Cruz, Jaime Héctor Gómez-Zamudio and Galileo Escobedo
Medicina 2026, 62(5), 821; https://doi.org/10.3390/medicina62050821 (registering DOI) - 25 Apr 2026
Abstract
Background and Objectives: The pathogenesis of liver steatosis is associated with obesity and systemic inflammation, particularly in subjects with body mass index (BMI) above 40 kg/m2 and altered serum levels of tumor necrosis factor alpha (TNF-α) and interleukin-10 (IL-10). Recent evidence [...] Read more.
Background and Objectives: The pathogenesis of liver steatosis is associated with obesity and systemic inflammation, particularly in subjects with body mass index (BMI) above 40 kg/m2 and altered serum levels of tumor necrosis factor alpha (TNF-α) and interleukin-10 (IL-10). Recent evidence suggests that disruption of the blood–brain barrier (BBB) may be associated with the development of steatosis, although limited data are available in humans. Thus, we assessed serum levels of neuron-specific enolase (NSE), transglutaminase 2 (TGM2), and glial fibrillary acidic protein (GFAP) as indirect markers of BBB dysfunction and examined their associations with steatosis severity, TNF-α and IL-10 in patients with morbid obesity. Materials and Methods: We biopsied the liver during bariatric surgery to assess steatosis by histology and serum markers by ELISA. Results: Most study subjects were women aged 38.7 ± 9.9 years with an average BMI of 42.3 ± 7.9 kg/m2 and a steatosis prevalence of 78.9%. After grading steatosis as none (n = 8), mild (n = 17), moderate (n = 8), or severe (n = 5), we found no differences in sex, age, BMI, comorbidities, or laboratory variables, including liver enzymes. One-way ANOVA showed that serum IL-10 was 4-fold less in severe steatosis than in mild steatosis (p = 0.038), whereas TNF-α levels increased twice in severe steatosis compared to no steatosis (p = 0.029). NSE and GFAP serum levels, but not TGM2, increased proportionally to steatosis stage, showing differences between severe steatosis and no steatosis (p = 0.012 and p = 0.0002, respectively). Pearson correlation coefficients showed that NSE and GFAP were significantly associated with TNF-α (r = 0.600 and r = 0.402, respectively), but not with IL-10. Conclusions: Steatosis severity is significantly associated with markers of BBB disruption and systemic inflammation in patients with morbid obesity, suggesting a link between the BBB and liver steatosis. Full article
Show Figures

Figure 1

21 pages, 731 KB  
Article
Population-Based Study of Drug-Resistant Epilepsy Before Age Two: Predominance of Developmental and Epileptic Encephalopathies
by Stella Lilles, Klari Heidmets, Kaisa Teele Oja, Karit Reinson, Laura Roht, Sander Pajusalu, Monica H. Wojcik, Katrin Õunap and Inga Talvik
Neurol. Int. 2026, 18(5), 76; https://doi.org/10.3390/neurolint18050076 - 22 Apr 2026
Viewed by 65
Abstract
Background/Objectives: Early-onset epilepsy is associated with a high risk of developing drug-resistant epilepsy (DRE), often manifesting as developmental and epileptic encephalopathies (DEEs). This study aimed to characterize the incidence, syndromes, comorbidities, and etiology of early-onset DRE in Estonia. Methods: This study is a [...] Read more.
Background/Objectives: Early-onset epilepsy is associated with a high risk of developing drug-resistant epilepsy (DRE), often manifesting as developmental and epileptic encephalopathies (DEEs). This study aimed to characterize the incidence, syndromes, comorbidities, and etiology of early-onset DRE in Estonia. Methods: This study is a continuation of our earlier nationwide, population-based investigation and included all children with early-onset epilepsy (seizure onset before two years) who developed drug resistance in Estonia between 2013 and 2017 (n = 37). Cases were identified at the country’s only two pediatric neurology departments, ensuring nationwide coverage. Clinical data, electroencephalography, neuroimaging, genetic investigations (chromosomal microarray, single-gene tests, gene panels, exome/genome sequencing), and etiology were analyzed overall and by epilepsy type or syndrome. Results: A total of 37 children with early-onset DRE were included. The incidence of early-onset DRE was 26.5 per 100,000 person-years, peaking in the first year of life (36.1). Drug resistance developed in 43% within six months and 65% within one year. DEEs accounted for 76% of cases, most commonly infantile epileptic spasms syndrome (IESS/West syndrome, 35%). Structural abnormalities were observed in 49% of cases (50% of DEEs), most commonly congenital brain malformations (22%). Pathogenic genetic findings were identified in 41% overall (43% of DEEs). The etiology was established in 78% of children with DRE. Among DEEs, it was found in all Dravet syndrome patients (100%) and 62% of those with IESS/West syndrome. Global developmental delay/intellectual disability occurred in 86%, and motor impairment in 46%. Conclusions: Early-onset DRE, often presenting as DEE, has high incidence, progresses rapidly to drug resistance, and causes substantial comorbidities. Full article
33 pages, 2829 KB  
Review
Restless Legs Syndrome: A Network Model of Iron-Dependent Neuromodulation—A Narrative Review
by Oscar Arias-Carrión
Brain Sci. 2026, 16(5), 440; https://doi.org/10.3390/brainsci16050440 - 22 Apr 2026
Viewed by 89
Abstract
Restless legs syndrome (RLS) is traditionally conceptualized as a dopamine-responsive sensorimotor disorder; however, new evidence suggests a more complex and heterogeneous neurobiological basis. Findings from neuroimaging, genetic studies, circadian biology, and clinical research indicate that dopaminergic dysfunction occurs within a broader context of [...] Read more.
Restless legs syndrome (RLS) is traditionally conceptualized as a dopamine-responsive sensorimotor disorder; however, new evidence suggests a more complex and heterogeneous neurobiological basis. Findings from neuroimaging, genetic studies, circadian biology, and clinical research indicate that dopaminergic dysfunction occurs within a broader context of neuromodulatory imbalance involving iron metabolism, adenosinergic signalling, glutamatergic excitability, and, potentially, noradrenergic pathways. In parallel, quantitative susceptibility mapping and related approaches have provided indirect evidence of altered brain iron distribution, although results remain variable across studies. Clinically, RLS extends beyond nocturnal discomfort and is associated with sleep fragmentation, impaired quality of life, and neuropsychiatric comorbidity, as well as treatment-related complications such as augmentation. However, current diagnostic frameworks remain predominantly phenomenological, and available biomarkers lack sufficient validation for routine clinical use. In this narrative review, the available clinical, genetic, and neuroimaging evidence is synthesized to propose an integrative, network-based model in which iron-dependent neuromodulatory processes influence excitability across cortico–striatal–thalamo–limbic circuits. This framework is intended as a hypothesis-generating model rather than a definitive explanation of disease mechanisms. Substantial heterogeneity across studies, together with variability in clinical presentation and limited reproducibility of candidate biomarkers, underscores the need for standardized methodologies and longitudinal, multimodal investigations. Future work should aim to test this model empirically, refine biological stratification, and determine whether network-informed approaches can improve diagnosis and therapeutic targeting in RLS. Full article
(This article belongs to the Special Issue Sleep Disorders: Bridging Basic Mechanisms and Clinical Translation)
Show Figures

Figure 1

17 pages, 2342 KB  
Review
Metabolism-Mediated Regulation of Brain–Heart Interactions
by Zemin Liu, Ruiyun Peng and Li Zhao
Int. J. Mol. Sci. 2026, 27(9), 3712; https://doi.org/10.3390/ijms27093712 - 22 Apr 2026
Viewed by 123
Abstract
Cardiovascular and cerebrovascular diseases are serious threats to human health and impose a significant burden on individuals and society. As the two critical and complex organs with the highest metabolic demands, the brain and the heart form an interactive relationship through metabolic networks. [...] Read more.
Cardiovascular and cerebrovascular diseases are serious threats to human health and impose a significant burden on individuals and society. As the two critical and complex organs with the highest metabolic demands, the brain and the heart form an interactive relationship through metabolic networks. As a core prerequisite for maintaining the normal physiological functions of the body, metabolic homeostasis is also a crucial foundation for ensuring the brain–heart synergy. When the human metabolism is in a stable state, the energy supply and material exchange of the brain and the heart can accurately match demand, the neural signal transmission is smooth, and the myocardial contraction is strong and regular—thus ensuring the coordinated and unified functions of these two vital organs. However, once metabolic homeostasis is disrupted, problems such as energy metabolism disorders will arise, which will then become a core inducing mechanism for cardiovascular and cerebrovascular comorbidities. This article presents a review of the research progress on the potential mechanisms of brain-heart interactions based on metabolic regulation from three aspects: neurometabolic, endocrino-metabolic and immune–metabolic regulation, the impact of cardiac function on brain metabolism, and the bidirectional regulation of brain-heart metabolism. Full article
(This article belongs to the Section Molecular Endocrinology and Metabolism)
Show Figures

Figure 1

13 pages, 254 KB  
Study Protocol
Effects of Positive Airway Pressure Therapy on Cognitive Function in Patients with Obstructive Sleep Apnea: A Prospective Observational Study Protocol
by Branislav Kollár, Stela Biathová, Katarína Klobučníková, Peter Turčáni, Žofia Rádiková, Ingrid Žitňanová, Ľubica Argalášová and Pavel Šiarnik
Life 2026, 16(4), 692; https://doi.org/10.3390/life16040692 - 21 Apr 2026
Viewed by 195
Abstract
Obstructive sleep apnea (OSA) is the most common sleep-related breathing disorder and is increasingly recognized as a contributor to cognitive decline and a potential risk factor for neurodegeneration. Previous studies have also identified various associated comorbidities such as vascular dysfunction, metabolic alterations, and [...] Read more.
Obstructive sleep apnea (OSA) is the most common sleep-related breathing disorder and is increasingly recognized as a contributor to cognitive decline and a potential risk factor for neurodegeneration. Previous studies have also identified various associated comorbidities such as vascular dysfunction, metabolic alterations, and neuroinflammatory changes. Positive airway pressure (PAP) therapy has been associated with cognitive improvement in some studies, but its long-term effects on cognitive function remain uncertain. This study employs a prospective, observational, longitudinal cohort design to examine longitudinal associations between disease severity, PAP therapy and cognition. Additionally, we aim to examine the relationships between cognitive dysfunction, brain structure and associated OSA-related risk factors. A total of 100 eligible participants with mild to severe OSA will be recruited. All participants will undergo comprehensive assessments at baseline and after 12 months, including neurological, pulmonary, and ear, nose and throat clinical examinations, polysomnography, neuropsychological testing, brain magnetic resonance imaging with volumetry, anthropometric measurements, blood and saliva sampling for the assessment of the selected laboratory parameters, gut microbiome analysis, and evaluation of endothelial function and baroreflex sensitivity. This study may improve understanding of how PAP therapy and OSA-related pathophysiological processes influence cognitive outcomes. Full article
(This article belongs to the Section Medical Research)
24 pages, 871 KB  
Systematic Review
Hemispheric Asymmetries in Bipolar Disorder: A Systematic Review
by Efthymia Nestora, Elena Ioannidou, Panayiotis Patrikelis and Vasiliki Folia
Medicina 2026, 62(4), 792; https://doi.org/10.3390/medicina62040792 - 20 Apr 2026
Viewed by 367
Abstract
Background and Objectives: The joint study of cerebral asymmetries and bipolar disorder (BD) has long attracted the interest of researchers and clinicians. Nevertheless, despite the increasing awareness of hemispheric asymmetries in BD, the combined investigation of these two constructs constitutes a relatively [...] Read more.
Background and Objectives: The joint study of cerebral asymmetries and bipolar disorder (BD) has long attracted the interest of researchers and clinicians. Nevertheless, despite the increasing awareness of hemispheric asymmetries in BD, the combined investigation of these two constructs constitutes a relatively recent area of inquiry. The main objective of the present systematic review is to systematically examine the existing literature in order to identify, integrate and critically discuss evidence of hemispheric asymmetry in BD patients in terms of brain anatomy, physiology and neuropsychological function. The initial hypotheses support the presence of atypical cerebral asymmetry and differential hemispheric activation as a function of mood states in BD. Materials and Methods: Following the collection and analysis of numerous research papers through several databases and search engines, specific papers were identified and screened according to specified inclusion and exclusion criteria. Research papers on the adult bipolar population were included, while papers including comorbidity with other disorders, lesions, or an underage or elderly population, as well as meta-analyses and reviews, were excluded. This paper aligns with the procedures in the Preferred Reporting Items for Systematic reviews and Meta-Analyses (PRISMA 2020) guidelines, and was assessed for risk of bias according to the Cochrane guidelines by the Newcastle–Ottawa Scale (NOS). Results: A total of 56 papers were identified as eligible in this review. Despite inconsistent findings across the included studies, an emerging pattern suggests the presence of atypical hemispheric asymmetry in BD, both in terms of specific brain structures and functional activity. Moreover, several studies associate depressive states with increased activation of the right hemisphere, whereas manic states appear to be linked with increased activation of the left hemisphere. Conclusions: These findings support the aforementioned hypotheses and partly align with the theoretical framework of emotional laterality theories. However, although certain patterns were observed, a comprehensive understanding of functional hemispheric asymmetry in BD has not yet been achieved. The presence of contradictory findings highlights the need for further extensive and systematic research to improve understanding of this topic. Full article
(This article belongs to the Section Psychiatry)
Show Figures

Figure 1

23 pages, 16003 KB  
Article
An Integrative Network Analysis Framework for Identifying Altered Glycosylation Pathways Associated with Autism Spectrum Disorder
by Anup Mammen Oommen, Marie Morel, Stephen Cunningham, Cathal Seoighe and Lokesh Joshi
Genes 2026, 17(4), 486; https://doi.org/10.3390/genes17040486 - 19 Apr 2026
Viewed by 288
Abstract
Background: Autism Spectrum Disorder (ASD) is a complex neurodevelopmental condition marked by heterogeneous behavioral symptoms and systemic comorbidities, including immune and gastrointestinal dysfunctions. Emerging studies suggest that glycosylation—a fundamental post-translational modification regulating cellular communication and immune responses—may play a role in ASD [...] Read more.
Background: Autism Spectrum Disorder (ASD) is a complex neurodevelopmental condition marked by heterogeneous behavioral symptoms and systemic comorbidities, including immune and gastrointestinal dysfunctions. Emerging studies suggest that glycosylation—a fundamental post-translational modification regulating cellular communication and immune responses—may play a role in ASD pathophysiology, yet its contribution remains underexplored. Methods: In this study, we developed an integrative transcriptomic and network analysis framework to investigate glycosylation-related gene expression changes and their functional associations in ASD. Using publicly available datasets from bulk and single-cell RNA sequencing of brain and blood tissues, we focused on four prior-knowledge gene subsets: glycogenes, extracellular matrix glycoproteins, immune response genes, and autism risk genes. Results: Differential expression and pathway enrichment analyses revealed consistent dysregulation of glycosylation pathways, including mucin-type O-glycan biosynthesis, glycosaminoglycan metabolism, GPI-anchor formation, and sialylation, across ASD tissues. These transcriptional changes were functionally linked to altered immune signaling (e.g., IL-17, Toll-like receptor, and complement pathways) and synaptic development pathways, forming a distinct glyco-immune axis. Network analysis identified key glycogenes such as GALNT10, NEU1, LMAN2L, and CHST1 as central molecular nodes, interacting with immune and neuronal regulators. Linkage disequilibrium analysis further revealed ASD-associated SNPs influencing the expression of these glycogenes in both blood and brain tissues. Conclusions: Together, these findings support a model in which disrupted glycosylation contributes to ASD pathophysiology by mediating immune dysregulation and altered neuronal connectivity. This study offers a systems-level framework to understand the molecular complexity of ASD and highlights glycogenes as potential biomarkers and targets for future therapeutic exploration. Full article
(This article belongs to the Special Issue Autism: Genetics, Environment, Pathogenesis, and Treatment)
Show Figures

Figure 1

17 pages, 11980 KB  
Article
Altered Cerebellar Spontaneous Activity and Its Association with Arousal Index in Comorbid Insomnia and Obstructive Sleep Apnea: A Resting-State fMRI Study
by Jiaming Huang, Qianqian Gao, Yanting Zhang, Rui Song, Sheng Shi, Xiaochuan Cui, Xiangming Fang and Yunyun Zhang
J. Clin. Med. 2026, 15(8), 3080; https://doi.org/10.3390/jcm15083080 - 17 Apr 2026
Viewed by 148
Abstract
Background: Frequent nocturnal arousals are a core feature of comorbid insomnia and obstructive sleep apnea (COMISA), yet the underlying central mechanisms remain unclear. Identifying brain functional correlates of nocturnal awakenings may help clarify arousal-related mechanisms and inform potential interventional targets. Methods: [...] Read more.
Background: Frequent nocturnal arousals are a core feature of comorbid insomnia and obstructive sleep apnea (COMISA), yet the underlying central mechanisms remain unclear. Identifying brain functional correlates of nocturnal awakenings may help clarify arousal-related mechanisms and inform potential interventional targets. Methods: A total of 99 participants (COMISA, insomnia alone, OSA alone, and healthy controls) underwent clinical assessments, polysomnography, and brain magnetic resonance imaging (MRI). MRI metrics were compared across groups, followed by correlation and regression analyses with the arousal index, adjusting for respiratory events and insomnia-related factors. Results: Patients with COMISA exhibited more severe insomnia symptoms, greater daytime dysfunction, and more frequent nocturnal awakenings than those with insomnia alone, although their arousal index did not differ from that of the OSA group. Patients with COMISA exhibited altered activity in the right cerebellar lobule VIII (Cerebelum_8_R), left middle temporal gyrus, and right inferior frontal gyrus, opercular part. Lower fractional amplitude of low-frequency fluctuations (fALFF) in the Cerebelum_8_R was associated with a higher arousal index. This association remained significant after controlling for insomnia severity and sleep efficiency but was attenuated after adjustment for AHI. Conclusions: Reduced functional activity in the Cerebelum_8_R was independently associated with sleep fragmentation in COMISA, independent of insomnia severity but potentially mediated by respiratory events. These findings suggest this region may be involved in arousal-related neural regulation and could represent a therapeutic target for the complex symptoms of COMISA. Trial Registration: Chinese Clinical Trial Registry, ChiCTR2500095809. Full article
(This article belongs to the Section Respiratory Medicine)
Show Figures

Graphical abstract

21 pages, 1446 KB  
Review
Constipation in Older Adults: Pathophysiology, Clinical Impact, and Management Strategies
by Shima Mimura, Asahiro Morishita, Atsuo Kitaoka, Kota Sasaki, Hiroki Tai, Rie Yano, Mai Nakahara, Kyoko Oura, Tomoko Tadokoro, Koji Fujita, Joji Tani, Takashi Himoto and Hideki Kobara
Geriatrics 2026, 11(2), 47; https://doi.org/10.3390/geriatrics11020047 - 16 Apr 2026
Viewed by 468
Abstract
Background/Objectives: Constipation is a common gastrointestinal problem in older adults and is associated with reduced quality of life, functional decline, frailty, and an increased risk of delirium and cognitive impairment. Its pathogenesis is multifactorial, involving age-related changes in gastrointestinal motility, neural regulation, comorbidities, [...] Read more.
Background/Objectives: Constipation is a common gastrointestinal problem in older adults and is associated with reduced quality of life, functional decline, frailty, and an increased risk of delirium and cognitive impairment. Its pathogenesis is multifactorial, involving age-related changes in gastrointestinal motility, neural regulation, comorbidities, and polypharmacy. However, this condition has traditionally been regarded as a localized gastrointestinal disorder, which may not fully reflect its systemic clinical significance in older populations. While prior narrative reviews have described multifactorial contributors to constipation, none have formally applied a geriatric syndrome framework to integrate these dimensions. This review proposes a three-criterion operational definition—multifactorial pathogenesis, association with functional decline and frailty, and contribution to adverse systemic outcomes—to characterize constipation in older adults as a “systemic geriatric syndrome,” and evaluates available evidence against each criterion. Methods: A narrative literature search was conducted using PubMed to identify relevant studies published between 1 January 2023, and 31 December 2025. MeSH terms included “Constipation” [Major Topic] and “Aged” [MeSH Terms]. Eligible articles included English-language original studies, systematic reviews, and clinical or epidemiological studies involving individuals aged ≥65 years. Results: Diagnosis in older adults is often complicated by secondary causes, including medications and neurological disorders, as well as atypical symptom presentations in individuals with cognitive impairment. Key pathophysiological mechanisms include reductions in interstitial cells of Cajal, impaired smooth muscle contractility, dysfunction of the enteric and autonomic nervous systems, and gut microbiota dysbiosis, which may promote chronic low-grade inflammation. Major contributing factors include physical inactivity, sarcopenia, dehydration, inappropriate defecation posture, and polypharmacy, particularly opioids and anticholinergic agents. Importantly, these factors interact through the brain–gut–microbiota axis, contributing not only to gastrointestinal dysfunction but also to systemic outcomes such as frailty, cognitive decline, and increased healthcare burden, thereby supporting a multidimensional disease framework. Conclusions: The available evidence collectively supports the plausibility of framing constipation in older adults as a systemic geriatric syndrome, though formal validation of this classification requires further longitudinal and mechanistic research. Comprehensive and individualized management strategies, extending beyond simple laxative use, are essential to reduce complications and preserve functional health in aging populations. Further studies are required to validate this framework. Full article
Show Figures

Figure 1

12 pages, 492 KB  
Article
New-Onset POAF After Craniotomy: Impact on Neurological Outcome, ICU Utilization, and Mortality
by Obayda Azizy, Ahmad Alwakaa, Mussab Alali, Mohamad Amer Nashtar, Mortimer Gierthmuehlen, Omar Alwakaa, Ali Canbay, Niklas Thon and Polykarpos Christos Patsalis
J. Clin. Med. 2026, 15(8), 2959; https://doi.org/10.3390/jcm15082959 - 13 Apr 2026
Viewed by 422
Abstract
Background/Objectives: Atrial fibrillation is the most common sustained arrhythmia and frequently occurs in the perioperative setting. However, its clinical relevance in neurosurgical patients remains poorly defined despite increased vulnerability related to brain injury, inflammation, and perioperative stress. This study aimed to determine whether [...] Read more.
Background/Objectives: Atrial fibrillation is the most common sustained arrhythmia and frequently occurs in the perioperative setting. However, its clinical relevance in neurosurgical patients remains poorly defined despite increased vulnerability related to brain injury, inflammation, and perioperative stress. This study aimed to determine whether newly detected postoperative atrial fibrillation (POAF) identifies a higher-risk profile and is associated with postoperative complications, resource utilization, and short-term mortality compared with patients remaining in sinus rhythm (SR). Methods: We conducted a single-center retrospective cohort study (October 2020–April 2025). Among 2619 neurosurgical procedures, only patients with both pre- and in-hospital post-procedure ECGs and no pre-existing arrhythmia were included. POAF was defined as atrial fibrillation detected on any post-procedure ECG. Outcomes were compared using Welch’s t-test, χ2/Fisher’s exact tests, and odds ratios (OR) with 95% confidence intervals (CI). This study was not designed to estimate the incidence of POAF but rather to compare outcomes within a selected ECG-screened subgroup. Results: A total of 171 patients met the inclusion criteria: 79 (46.2%) developed POAF and 92 (53.8%) remained in SR. Patients with POAF were older and had a higher burden of cardiometabolic comorbidities and were more likely to undergo craniotomy/trepanation and emergency procedures. Compared with SR, POAF was associated with higher rates of postoperative complications, longer ICU and hospital stay, lower likelihood of discharge home, and higher short-term mortality. These findings reflect a selected ECG-screened cohort and should not be interpreted as the incidence of POAF in the overall neurosurgical population. Conclusions: Newly detected POAF is associated with a higher-risk postoperative profile in neurosurgical patients. It clusters with greater comorbidity burden, more invasive and urgent procedures, increased complications, prolonged hospitalization, reduced likelihood of discharge home, and higher short-term mortality. These findings support further evaluation of rhythm surveillance and perioperative management strategies in higher-risk neurosurgical populations. Full article
(This article belongs to the Section Vascular Medicine)
Show Figures

Figure 1

23 pages, 6727 KB  
Article
Molecular Mechanisms of Zhizhu Kuanzhong Capsule in the Treatment of Co-Morbid Anxiety and Depression of Functional Dyspepsia: Network Pharmacology, Molecular Docking and In Vivo Validation
by Jing He, Ruiyun Wang, Pengcheng Yang, Zhuanglong Xiao, Tao Bai, Xiaohua Hou and Lei Zhang
Biomedicines 2026, 14(4), 867; https://doi.org/10.3390/biomedicines14040867 - 10 Apr 2026
Viewed by 365
Abstract
Objective: ZhiZhu Kuanzhong (ZZKZ) capsule, a Chinese herbal extract, is extensively employed for the clinical management of functional dyspepsia (FD) in China. This study aimed to elucidate the therapeutic efficacy and underlying mechanisms of ZZKZ on the co-morbidity of anxiety and depression [...] Read more.
Objective: ZhiZhu Kuanzhong (ZZKZ) capsule, a Chinese herbal extract, is extensively employed for the clinical management of functional dyspepsia (FD) in China. This study aimed to elucidate the therapeutic efficacy and underlying mechanisms of ZZKZ on the co-morbidity of anxiety and depression of FD. Methods: The FD model was established in Sprague–Dawley rats via neonatal gastric irritation with 0.1% iodoacetamide. Subsequently, FD rats were gavaged with ZZKZ or fluoxetine. Depression-like behaviors were evaluated using the sucrose preference test (SPT) and forced swimming test (FST), while anxiety-like behaviors were assessed via light-dark box (LDB) and open field tests (OFTs). Network pharmacology and molecular docking were conducted to explore the mechanisms of ZZKZ’s action. Hippocampal levels of monoamine neurotransmitters and monoaminergic system components were evaluated by HPLC and RT-qPCR, respectively. Serum concentrations of HPA axis hormones were determined by ELISA. Results: ZZKZ administration reversed the deficits in body weight gain and food intake in FD rats. Behaviorally, ZZKZ increased sucrose consumption in SPT and prolonged swimming duration in FST, and it increased duration and entries into the central zone in OFT. According to the prediction of network pharmacology, ZZKZ treatment elevated hippocampal levels of 5-HT/NE/DA, increased expression of TPH2/TH, and decreased expression of MAOA/SERT in FD rats. Molecular docking further confirmed high-affinity binding between core ingredients of ZZKZ and TPH2/TH/MAOA/SERT. Moreover, ZZKZ administration attenuated the stress-induced elevation of serum CRH/ACTH/CORT. Conclusions: ZZKZ effectively ameliorates the disordered gut–brain interaction and mitigates anxiety-like and depression-like behaviors, which might be modulated by the hippocampal monoaminergic system and hypothalamic–pituitary–adrenal axis response. Full article
(This article belongs to the Section Neurobiology and Clinical Neuroscience)
Show Figures

Figure 1

38 pages, 2491 KB  
Review
Current Perspectives on the Inflammatory Bowel Disease Pathogenesis of Microbiota and the Gut-Brain Axis, and Emerging Therapeutics
by Yujia Lin, Panpan Lu, Qiang Ding and Mei Liu
Biomedicines 2026, 14(4), 859; https://doi.org/10.3390/biomedicines14040859 - 9 Apr 2026
Viewed by 697
Abstract
The pathogenesis of inflammatory bowel disease (IBD) is driven by an interplay among intestinal dysbiosis and aberrant mucosal immune responses. This review centers on the microbiota as a pivotal pathogenic hub, systematically dissecting how three hallmark features of dysbiosis—reduced microbial alpha diversity, depletion [...] Read more.
The pathogenesis of inflammatory bowel disease (IBD) is driven by an interplay among intestinal dysbiosis and aberrant mucosal immune responses. This review centers on the microbiota as a pivotal pathogenic hub, systematically dissecting how three hallmark features of dysbiosis—reduced microbial alpha diversity, depletion of immunomodulatory commensals, and expansion of pro-inflammatory pathobionts—collectively compromise epithelial barrier function, promote bacterial translocation, and sustain chronic mucosal inflammation. We further integrate emerging evidence implicating bidirectional gut-brain axis communication in amplifying both peripheral inflammation and central nervous system (CNS)-mediated behavioral comorbidities. Building on this mechanistic framework, we critically evaluate next-generation microbiota-targeted interventions: standardized fecal microbiota transplantation (FMT), rationally designed live biotherapeutic products (LBPs), precision phage cocktails targeting defined pathobionts, and microbiome-informed dietary strategies. Collectively, these approaches represent a paradigm shift—from broad-spectrum immunosuppression toward mechanism-guided, ecosystem-level modulation—thereby advancing the goal of precision medicine in IBD. Full article
Show Figures

Figure 1

26 pages, 1243 KB  
Article
Machine Learning-Based Prediction of Mortality in Geriatric Traumatic Brain Injury Patients
by Yong Si, Junyi Fan, Li Sun, Shuheng Chen, Elham Pishgar, Kamiar Alaei, Greg Placencia and Maryam Pishgar
BioMedInformatics 2026, 6(2), 17; https://doi.org/10.3390/biomedinformatics6020017 - 30 Mar 2026
Viewed by 394
Abstract
Traumatic Brain Injury (TBI) is a major contributor to mortality among older adults, with geriatric patients facing disproportionately high risk due to age-related physiological vulnerability and comorbidities. Early and accurate prediction of mortality is essential for guiding clinical decision-making and optimizing ICU resource [...] Read more.
Traumatic Brain Injury (TBI) is a major contributor to mortality among older adults, with geriatric patients facing disproportionately high risk due to age-related physiological vulnerability and comorbidities. Early and accurate prediction of mortality is essential for guiding clinical decision-making and optimizing ICU resource allocation. In this study, we utilized the MIMIC-III database and identified a final analytic cohort of 667 geriatric TBI patients, on which we developed a machine learning framework for 30-day mortality prediction. A rigorous preprocessing pipeline—including Random Forest-based imputation, feature engineering, and hybrid selection—was implemented to refine predictors from 69 to 9 clinically meaningful variables. CatBoost emerged as the top-performing model, achieving an AUROC of 0.867 (95% CI: 0.809–0.922), with a sensitivity of 0.752 and a specificity of 0.888 on the independent test set. SHAP analysis confirmed the importance of the GCS score, oxygen saturation, and prothrombin time as dominant predictors. These findings highlight the potential value of interpretable machine learning tools for early mortality risk stratification in elderly TBI patients and support further validation for future clinical use. Full article
Show Figures

Figure 1

15 pages, 509 KB  
Review
Enuresis, ADHD and BDNF: A Narrative Review of the Hypothesized Interconnections and Potential Triplet Relationship
by Maria Milioudi, Stella Stabouli, Dimitrios Zafeiriou and Efthymia Vargiami
Brain Sci. 2026, 16(4), 372; https://doi.org/10.3390/brainsci16040372 - 29 Mar 2026
Viewed by 562
Abstract
Attention-deficit/hyperactivity disorder (ADHD), brain–derived neurotrophic factor (BDNF), and enuresis are interconnected in several ways, primarily through their potential links to neurodevelopmental factors and brain function. ADHD is considered a neurobehavioral and neuropsychiatric condition characterized by numerous comorbidities, and it represents one of the [...] Read more.
Attention-deficit/hyperactivity disorder (ADHD), brain–derived neurotrophic factor (BDNF), and enuresis are interconnected in several ways, primarily through their potential links to neurodevelopmental factors and brain function. ADHD is considered a neurobehavioral and neuropsychiatric condition characterized by numerous comorbidities, and it represents one of the most frequently encountered neuropsychiatric disorders in clinical practice. Enuresis constitutes a subgroup of intermittent incontinence occurring during sleep that can be further subdivided into monosymptomatic (MNE) and non-monosymptomatic enuresis (NMNE). BDNF plays a crucial role in neurodevelopment, including neuronal growth, proliferation, survival, differentiation, and synaptic plasticity. This narrative review synthesized available literature identified through a systematic search of PubMed/MEDLINE, Science Direct, and Scopus databases (January 2000–December 2025). However, the evidence base is heterogeneous, and findings regarding BDNF in ADHD are inconsistent. Studies examining BDNF in enuresis often involve urinary BDNF, which reflects local bladder production rather than central BDNF activity. Further research is needed to clarify the specific roles of BDNF in the development and manifestation of these conditions and to fully elucidate the complex relationship between BDNF, ADHD, and enuresis. Full article
(This article belongs to the Section Neuropsychiatry)
Show Figures

Figure 1

25 pages, 712 KB  
Review
Smart Drug-Delivery Approaches for Enhanced Management of Comorbid Conditions in Alzheimer’s Disease
by Gabriela-Dumitrita Stanciu, Ivona Costachescu, Camelia Dascalu and Bogdan-Ionel Tamba
Life 2026, 16(3), 510; https://doi.org/10.3390/life16030510 - 19 Mar 2026
Viewed by 536
Abstract
Alzheimer’s disease (AD) remains a major unmet medical challenge due to its complex pathology, high interpatient heterogeneity and frequent association with systemic comorbidities. Conventional pharmacotherapy is limited by poor blood–brain barrier permeability, off-target effects and reduced efficacy in polymedicated elderly populations. Smart drug-delivery [...] Read more.
Alzheimer’s disease (AD) remains a major unmet medical challenge due to its complex pathology, high interpatient heterogeneity and frequent association with systemic comorbidities. Conventional pharmacotherapy is limited by poor blood–brain barrier permeability, off-target effects and reduced efficacy in polymedicated elderly populations. Smart drug-delivery systems (DDS), particularly nanotechnology-based platforms, have emerged as promising strategies to enhance brain targeting, optimize controlled drug release and mitigate systemic toxicity. This review examines recent advances in intelligent DDS for AD, with a focus on nanocarriers designed to modulate amyloid aggregation, neuroinflammation, oxidative stress and cholinergic dysfunction. Special attention is given to the impact of the most common comorbid conditions on DDS pharmacokinetics, safety and clinical performance. Furthermore, the challenges associated with clinical translation, such as long-term safety, immunogenicity, manufacturing scalability and regulatory harmonization, are critically discussed. In this context, versatile controlled release platforms that integrate rational design, predictive modeling and Quality by Design-driven manufacturing are highlighted as key enablers of translational success. By bridging intelligent formulation design with scalable production and regulatory readiness, advanced controlled release systems offer a pathway toward precision and patient-centered therapies. Such platforms hold significant potential to accelerate the safe integration of smart DDS into Alzheimer’s disease management and broader neurotherapeutic applications. Full article
Show Figures

Figure 1

Back to TopTop