Sign in to use this feature.

Years

Between: -

Subjects

remove_circle_outline
remove_circle_outline
remove_circle_outline
remove_circle_outline
remove_circle_outline
remove_circle_outline
remove_circle_outline
remove_circle_outline
remove_circle_outline

Journals

remove_circle_outline
remove_circle_outline
remove_circle_outline
remove_circle_outline
remove_circle_outline
remove_circle_outline
remove_circle_outline
remove_circle_outline
remove_circle_outline
remove_circle_outline
remove_circle_outline

Article Types

Countries / Regions

remove_circle_outline
remove_circle_outline
remove_circle_outline
remove_circle_outline

Search Results (702)

Search Parameters:
Keywords = biophysical characterization

Order results
Result details
Results per page
Select all
Export citation of selected articles as:
36 pages, 9313 KB  
Article
Development of Bispecific Antibody Targeting Human IL-17A and IL-6
by Beata Pamuła, Martyna Banach, Marta Mikońska, Karolina Korytkowska, Krzysztof Lacek, Oliwia Śniadała, Małgorzata Marczak, Krzysztof Flis, Aleksandra Sowińska, Damian Kołakowski, Jerzy Pieczykolan, Beata Zygmunt, Maciej Wieczorek and Olga Abramczyk
Antibodies 2026, 15(2), 29; https://doi.org/10.3390/antib15020029 (registering DOI) - 30 Mar 2026
Abstract
Background/Objectives: Antibodies are a rapidly expanding field in drug discovery, but their monospecificity limits therapeutic applications, particularly in complex inflammatory diseases. Multispecific therapeutics, which combine variable regions targeting two or more antigens, offer potential advantages such as enhanced efficacy, broader target modulation, [...] Read more.
Background/Objectives: Antibodies are a rapidly expanding field in drug discovery, but their monospecificity limits therapeutic applications, particularly in complex inflammatory diseases. Multispecific therapeutics, which combine variable regions targeting two or more antigens, offer potential advantages such as enhanced efficacy, broader target modulation, and reduced side effects. This study aimed to identify and characterize bispecific, VHH-based antibodies simultaneously targeting IL-6 and IL-17A—two key cytokines involved in autoimmune and chronic inflammatory conditions. Methods: A phage display screening was conducted using llama-derived VHH libraries to select binders against human IL-6 and IL-17A. Binding affinities of individual VHHs and assembled bispecific constructs were assessed using Bio-Layer Interferometry (BLI). Functional activity was evaluated using reporter cell lines responsive to IL-6 and IL-17A signaling. Biophysical and quality assessments of selected VHHs and bispecific antibodies were performed using the Uncle screening platform and LabChip capillary electrophoresis. Results: Several high-affinity VHH binders were identified for both IL-6 and IL-17A, and incorporated into bispecific antibody formats. The bispecific candidates exhibited simultaneous inhibition of both cytokine pathways in functional reporter assays. Biophysical characterization confirmed good stability and purity profiles for selected molecules. Conclusions: This study demonstrates the feasibility of generating stable, functional bispecific VHH-based antibodies targeting IL-6 and IL-17A. These constructs show potential as therapeutic agents for treating autoimmune and chronic inflammatory diseases by modulating multiple signaling pathways simultaneously. Full article
(This article belongs to the Section Antibody Discovery and Engineering)
Show Figures

Figure 1

11 pages, 1708 KB  
Article
Cilia Dynamics in Primary Ciliary Dyskinesia: A Biophysical Characterization of the RSPH4A Founder Variant
by Gabriel Rosario-Ortiz, José Muñiz-Hernández, Natalia M. Ortiz-Pérez, Marcos J. Ramos-Benitez, Ricardo A. Mosquera and Wilfredo De Jesús-Rojas
Cells 2026, 15(7), 607; https://doi.org/10.3390/cells15070607 (registering DOI) - 29 Mar 2026
Abstract
Primary ciliary dyskinesia (PCD) is a rare ciliopathy resulting in chronic oto-sino-pulmonary disease. PCD diagnosis can be achieved by a combination of different diagnostic and adjuvant tools, including high-speed video-microscopy analysis (HSVA). A founder variant has been described in Puerto Rico as the [...] Read more.
Primary ciliary dyskinesia (PCD) is a rare ciliopathy resulting in chronic oto-sino-pulmonary disease. PCD diagnosis can be achieved by a combination of different diagnostic and adjuvant tools, including high-speed video-microscopy analysis (HSVA). A founder variant has been described in Puerto Rico as the most common cause of PCD in the island. Background/Objectives: In HSVA, objective parameters such as ciliary beat frequency (CBF) and subjective parameters such as ciliary beat pattern (CBP) shed light on the biophysical properties of cilia. However, the subjective nature of CBP creates a gap in knowledge; characteristics such as the length, angle, and bending index of cilia are poorly described. Our goal is to quantify cilia dynamics of the RSPH4A (c.921+3_921+6delAAGT (intronic)) founder variant in Puerto Rico through biophysical properties of cilia. This approach enhances longitudinal patient care by understanding treatment progress through biophysical ciliary function. Methods: We analyzed images from HSVA of six patients with PCD homozygous for the founder variant and six healthy controls (HC) (n = 12). Results: We found that ciliary length (PCD = 7.62 ± 0.95 μm, HC = 8.12 ± 1.36 μm, p = 0.204 ns), orientation vector (PCD = 7.20 ± 0.93 μm, HC = 7.25 ± 1.01 μm, p = 0.883 ns), straight angle (PCD = 1.67 ± 0.27 rad, HC = 1.76 ± 0.29 rad, p = 0.380 ns), and area (PCD = 2.35 ± 0.52 μm2, HC = 2.10 ± 0.53 μm2, p = 0.264 ns) did not have statistically significant differences between PCD and HC. In contrast, bending index (PCD = 1.06 ± 0.04, HC = 1.12 ± 0.09, p = 0.01), bent angle (PCD = 1.11 ± 0.30 rad, HC = 0.67 ± 0.21 rad, p < 0.0001), net angle (PCD = 0.56 ± 0.26 rad, HC = 1.09 ± 0.35 rad, p < 0.0001), amplitude (PCD = 5.77 ± 1.25 μm, HC = 7.99 ± 1.65 μm, p < 0.0001), and amplitude per second (PCD = 48.83 ± 13.23 A(s), HC = 91.66 ± 27.96 A(s), p < 0.0001) showed significant differences between both groups. Conclusions: Reduced angular excursion and amplitude in PCD demonstrate that the beating pattern of the RSPH4A founder variant is dysfunctional as compared with healthy controls. Our study provides an objective framework to understand the biophysical properties of the RSPH4A founder variant. Full article
(This article belongs to the Special Issue The Role of Cilia in Health and Diseases—2nd Edition)
Show Figures

Figure 1

22 pages, 9026 KB  
Article
Global Warming Potential Induced by Albedo and Greenhouse Gases Across Different Land Uses of the Saline-Alkaline Agropastoral Ecotone in the Songnen Plain
by Fangyuan Zhao, Gang Dong, Zhenning Shi, Jingyan Chen, Shicheng Jiang, Zhuwen Xu, Raffaele Lafortezza and Changliang Shao
Agronomy 2026, 16(7), 705; https://doi.org/10.3390/agronomy16070705 - 27 Mar 2026
Viewed by 192
Abstract
Land-use change contributes significantly to climate change mitigation through biophysical changes (albedo, α) and biogeochemical (greenhouse gases, GHG) emissions (here refers to methane, CH4, and nitrous oxide, N2O). While the impact of grassland–cropland conversion on global warming potential (GWP) [...] Read more.
Land-use change contributes significantly to climate change mitigation through biophysical changes (albedo, α) and biogeochemical (greenhouse gases, GHG) emissions (here refers to methane, CH4, and nitrous oxide, N2O). While the impact of grassland–cropland conversion on global warming potential (GWP) is well-documented globally, research remains scarce in the saline-alkaline agropastoral transition zone (APTZ) of the western Songnen Plain, Northeast China, an ecotone uniquely characterized by soil-crusting and seasonal inundation. We conducted in situ bi-weekly measurements of N2O and CH4 fluxes (June–September) to acquire growing season GWPN2O and GWPCH4, alongside α. The study compared an undisturbed fenced meadow (FMD) with three adjacent land-use types, clipped meadow (CMD), saline-alkaline meadow (SAL), and paddy rice field (PDY), converted from FMD from 2018 to 2022. Annual α-induced GWP (GWPΔα) was positive across all converted sites (CMD, SAL, and PDY), indicating a warming effect due to lower α compared to FMD. The PDY exhibited the highest CH4 emission (5.04 kg CO2 m−2 yr−1), exceeding other land uses by three orders of magnitude (p < 0.05). Conversely, N2O emissions remained consistently minimal and stable across all sites. When integrating the net ecosystem exchange of CO2 (NEE), the PDY functioned as a net warming source. In contrast, the warming effects of α and non-CO2 GHGs were effectively offset by the NEE in other land uses. Machine learning identified soil water content (SWC) as the dominant predictor of α across all land uses in growing season. However, a mechanistic divergence was observed, i.e., α in low saline-alkali ecosystems (FMD, CMD and PDY) was shaped by coupled biotic and soil moisture controls, whereas in the degraded SAL ecosystem, α is almost exclusively abiotic-driven. These findings demonstrate that land-use conversion in the Songnen Plain governs complex land-surface feedbacks through distinct pathways. This study provides a quantitative framework for integrating biophysical and biogeochemical impacts to optimize land management for climate resilience in saline-alkaline agropastoral ecotones. Full article
(This article belongs to the Section Grassland and Pasture Science)
Show Figures

Figure 1

25 pages, 17591 KB  
Article
Monitoring of Changes in Desertification in the High Andean Zone of Candarave: Case Study in Tacna, Perú, at the Headwaters of the Atacama Desert
by German Huayna, Jorge Muchica-Huamantuma, Edwin Pino-Vargas, Pablo Franco-León, Eusebio Ingol-Blanco, Fredy Cabrera-Olivera, Carolyn Salazar, Gloria Choque and Edgar Taya-Acosta
Sustainability 2026, 18(7), 3179; https://doi.org/10.3390/su18073179 - 24 Mar 2026
Viewed by 128
Abstract
Desertification is one of the main threats to high Andean ecosystems, particularly in arid and semi-arid regions subject to increasing climatic and anthropogenic pressures. This study evaluated the spatial-temporal dynamics of desertification in the province of Candarave (Tacna, Peru) by integrating the Remote [...] Read more.
Desertification is one of the main threats to high Andean ecosystems, particularly in arid and semi-arid regions subject to increasing climatic and anthropogenic pressures. This study evaluated the spatial-temporal dynamics of desertification in the province of Candarave (Tacna, Peru) by integrating the Remote Sensing-based Desertification Index (RSDI), constructed from a principal component analysis incorporating four biophysical indicators: vegetation greenness, surface moisture, soil grain size, and fraction of solar radiation reflected (albedo), derived from Landsat 5 and 8 satellite images processed in Google Earth Engine. Temporal trends were analyzed using the Mann–Kendall test, while system stability was evaluated using the coefficient of variation, allowing different degrees of stability and environmental degradation to be characterized during the period 2010–2025. The results show that moderate and severe desertification classes predominate in higher altitude areas, covering approximately 92% of the study area, and are characterized by insignificant to weakly significant negative trends associated with high to relatively high temporal volatility. In contrast, stable areas with no significant changes represent 5.3% of the territory, while restoration processes occupy a small proportion, close to 2.7%. The high variability observed in the high Andean sectors is mainly linked to the interaction between reduced water availability, climate variability, and extreme events, as well as anthropogenic pressures, particularly overgrazing and aquifer exploitation. This multitemporal analysis allows us to anticipate the evolution of desertification and highlights the need to strengthen conservation planning in order to reduce the degradation of strategic high Andean ecosystems in the Tacna region. Full article
(This article belongs to the Section Air, Climate Change and Sustainability)
Show Figures

Figure 1

22 pages, 2038 KB  
Article
Biophysical Characterization of a Carotenoprotein from Marine Sponge Tedania ignis Reveals Pigment-Dependent Stability and Antibiotic Interactions
by Philippe Lima Duarte, Paulo Anderson Paiva Martins, Jéssica de Assis Duarte, Manoel Ferreira da Costa Filho, Ellen Araújo Malveira, Celso Shiniti Nagano, Alexandre Holanda Sampaio, Edson Holanda Teixeira, Rômulo Farias Carneiro and Mayron Alves de Vasconcelos
Mar. Drugs 2026, 24(3), 118; https://doi.org/10.3390/md24030118 - 21 Mar 2026
Viewed by 275
Abstract
Carotenoproteins from marine sponges represent an underexplored class of pigment–protein complexes with distinctive structural and functional properties. Here, we report the isolation and biophysical characterization of a blue carotenoprotein from the sponge Tedania ignis, termed Ti-CP. The protein was purified and shown [...] Read more.
Carotenoproteins from marine sponges represent an underexplored class of pigment–protein complexes with distinctive structural and functional properties. Here, we report the isolation and biophysical characterization of a blue carotenoprotein from the sponge Tedania ignis, termed Ti-CP. The protein was purified and shown to consist of two closely related isoforms with molecular masses of approximately 27–29 kDa. Reverse-phase chromatography enabled separation of the apoprotein (ApoTi-CP) and its associated carotenoids, which were identified as oxygenated carotenoids consistent with astaxanthin and mytiloxanthin. Circular dichroism analysis revealed that both Ti-CP and ApoTi-CP are dominated by β-sheet secondary structure and display highly similar conformational profiles. In contrast, dynamic light scattering demonstrated that carotenoid binding is critical for protein stability, as the native form exhibited a compact and monodisperse organization, whereas ApoTi-CP showed pronounced aggregation. Isothermal titration calorimetry revealed that Ti-CP, but not ApoTi-CP, interacts with tetracycline, oxacillin, and streptomycin, indicating that pigment-mediated stabilization modulates ligand binding. Both Ti-CP and ApoTi-CP reduced bacterial viability and biofilm formation in a strain-dependent manner and enhanced antibiotic activity, including synergistic effects against resistant bacteria. Together, these results provide a comprehensive description of a previously uncharacterized sponge carotenoprotein and highlight the dual role of carotenoids in structural stabilization and antimicrobial modulation, reinforcing the biotechnological relevance of marine pigment–protein complexes. Full article
(This article belongs to the Section Marine Chemoecology for Drug Discovery)
Show Figures

Figure 1

18 pages, 3153 KB  
Article
Genetic Polymorphisms Associated with Lithium Response in Bipolar Disorder: An Integrative Review and In Silico Protein–Protein Interaction Analysis
by Ovinuchi Ejiohuo and Aleksandra Szczepankiewicz
Pharmaceuticals 2026, 19(3), 511; https://doi.org/10.3390/ph19030511 - 20 Mar 2026
Viewed by 259
Abstract
Background/Objectives: Management of bipolar disorder is marked by variability in lithium response, with responders constituting a distinct clinical subgroup. Although pharmacogenetic studies implicate polymorphisms in neuroplasticity-related genes (BDNF) and hypothalamic–pituitary–adrenal (HPA) axis regulators (NR3C1), the underlying biophysical mechanisms [...] Read more.
Background/Objectives: Management of bipolar disorder is marked by variability in lithium response, with responders constituting a distinct clinical subgroup. Although pharmacogenetic studies implicate polymorphisms in neuroplasticity-related genes (BDNF) and hypothalamic–pituitary–adrenal (HPA) axis regulators (NR3C1), the underlying biophysical mechanisms remain poorly characterized. This study aims to bridge this structural–mechanistic gap by quantifying the atomic-level effects of key lithium-response polymorphisms on protein–protein interaction stability and conformational dynamics. Methods: Variant sequences for BDNF rs6265 and NR3C1 rs56149945 were generated and structurally modeled with SWISS-MODEL. Protein–protein interaction analyses focused on the BDNF–TrkB and NR3C1–FKBP5 systems. Structural alignment and conformational comparisons were performed with ChimeraX and US-align, while interaction energetics were evaluated with PRODIGY and HawkDock. Conformational flexibility was assessed using CABS-flex through RMSF analysis. Results: Structural validation showed acceptable model quality. Binding analyses indicated stronger interactions in the variant complexes. In the BDNF–TrkB complex, binding affinity shifted from −13.8 to −15.1 kcal/mol with an ~8.5-fold lower dissociation constant, while the NR3C1–FKBP5 variant complex shifted from −16.3 to −18.8 kcal/mol with an ~65-fold lower dissociation constant. MM/GBSA calculations supported increased stability, with binding energies changing from −61.98 to −83.91 kcal/mol (BDNF–TrkB) and from −18.88 to −31.25 kcal/mol (NR3C1–FKBP5). Structural superposition showed high conservation of global folds (pruned RMSD 0.779 Å and 0.310 Å; TM-scores 0.753 and 0.967). RMSF profiles were largely overlapping, indicating localized interface adjustments rather than global conformational changes. Conclusions: These findings suggest that lithium-response polymorphisms may modulate protein–protein interaction stability while preserving overall structure, providing a structural framework for exploring genetic influences on lithium treatment response. Full article
(This article belongs to the Section Pharmacology)
Show Figures

Graphical abstract

23 pages, 1512 KB  
Review
Antitumor Mechanisms of Pulsed Electromagnetic Fields in Cancer Cells: A Review of Molecular and Cellular Evidence
by Jesús Antonio Lara-Reyes, Libia Xamanek Cortijo-Palacios, María Elena Hernández-Aguilar, Gonzalo E. Aranda-Abreu and Fausto Rojas-Durán
Radiation 2026, 6(1), 12; https://doi.org/10.3390/radiation6010012 - 18 Mar 2026
Viewed by 456
Abstract
Cancer remains a significant global health burden, often requiring conventional treatments characterized by considerable side effects and limited tumor specificity. This review addresses the critical gap in understanding the non-thermal mechanisms by which Pulsed Electromagnetic fields (PEMFs) exert selective anti-tumor effects. Our primary [...] Read more.
Cancer remains a significant global health burden, often requiring conventional treatments characterized by considerable side effects and limited tumor specificity. This review addresses the critical gap in understanding the non-thermal mechanisms by which Pulsed Electromagnetic fields (PEMFs) exert selective anti-tumor effects. Our primary objective is to analyze the molecular and cellular events through which low-intensity PEMF triggers stress responses and apoptosis in neoplastic cells without impacting normal cell viability. This comprehensive review synthesizes current evidence on the biological effects of PEMFs. Findings indicate that PEMFs disrupts intracellular homeostasis, induces reactive oxygen species-mediated oxidative stress, and activates endoplasmic reticulum stress, collectively driving malignant cells towards apoptosis or cell cycle arrest. Importantly, these effects are preferentially observed in cancer cells due to their inherent biophysical vulnerabilities—such as depolarized membrane potentials—and depend critically on specific PEMFs parameters. In conclusion, PEMFs acts as a multifaceted disruptor of cancer cell homeostasis, representing a promising non-invasive therapeutic modality. Further research is essential to optimize dosimetry and identify primary molecular sensors such as radical pair dynamics, to enhance clinical application and explore synergistic combinations with existing therapies. Full article
Show Figures

Graphical abstract

37 pages, 4652 KB  
Article
Synthesis, Characterization, and Bioactivity of a Dioxime-Based Copper(II) Complex: SOD/Catalase Mimicry, DNA/HSA Binding, and In Silico Evaluation for Cuproptosis-Mediated Anticancer Activity
by Mortaga M. Abou-Krisha, Abd El-Motaleb M. Ramadan, Heba A. Sahyon and Ahmed M. Fathy
Inorganics 2026, 14(3), 84; https://doi.org/10.3390/inorganics14030084 - 16 Mar 2026
Viewed by 353
Abstract
Cisplatin’s chemotherapy is hindered by drug resistance and toxicity, making copper complexes a potential alternative. A novel copper(II) complex, [CuLBr], was synthesized from a tetradentate vicinal dioxime ligand (H2L) and characterized. [CuLBr] features a distorted square pyramidal geometry with a CuN [...] Read more.
Cisplatin’s chemotherapy is hindered by drug resistance and toxicity, making copper complexes a potential alternative. A novel copper(II) complex, [CuLBr], was synthesized from a tetradentate vicinal dioxime ligand (H2L) and characterized. [CuLBr] features a distorted square pyramidal geometry with a CuN4Br chromophore. DFT calculations showed a narrowed HOMO-LUMO gap and increased electrophilicity, enhancing its chemical reactivity. [CuLBr] exhibited potent biomimetic catalytic activity, functioning as an efficient superoxide dismutase mimic and catalase mimic. Biophysical studies (UV-Vis, fluorescence, and viscosity) demonstrated a strong, spontaneous affinity of [CuLBr] for calf thymus DNA and Human Serum Albumin, suggesting groove-binding and static quenching mechanisms. In vitro assays revealed superior anticancer activity against HepG-2, HCT-116, and MDA-MB-231 cell lines, with greater selectivity than the free ligand and doxorubicin. Molecular docking studies reveal a high binding affinity of [CuLBr] with key proteins, including ferredoxin-1 and VEGF. This may suggest potential dual mechanisms of action, involving the induction of cuproptosis and the inhibition of tumor angiogenesis. These findings position [CuLBr] as an effective multi-metal-based anticancer agent with advantageous selectivity. Full article
Show Figures

Figure 1

21 pages, 1455 KB  
Review
Biophysical and Structural Characterization of Antibody–Drug Conjugates
by Isabel P. Mariano and Abhinav Nath
Cancers 2026, 18(6), 917; https://doi.org/10.3390/cancers18060917 - 12 Mar 2026
Viewed by 674
Abstract
Antibody–drug conjugates (ADCs) comprise a monoclonal antibody covalently bound to a cytotoxic payload by a linker. ADCs minimize off-target effects on healthy tissues, leveraging the specificity of monoclonal antibodies to deliver cytotoxic drugs to the intended tumor site. ADCs can be prone to [...] Read more.
Antibody–drug conjugates (ADCs) comprise a monoclonal antibody covalently bound to a cytotoxic payload by a linker. ADCs minimize off-target effects on healthy tissues, leveraging the specificity of monoclonal antibodies to deliver cytotoxic drugs to the intended tumor site. ADCs can be prone to poor behavior, including aggregation and misfolding, leading to poor efficacy, impaired pharmacokinetics, and immunogenicity. It is advantageous to understand the developability and potential liabilities of a protein candidate prior to costly in vivo studies or clinical trials. This review summarizes biophysical and structural techniques used to characterize ADCs and introduces emerging techniques aimed at accurately assessing the developability of protein candidates. Stability is commonly assayed using techniques like differential scanning calorimetry (DSC), differential scanning fluorimetry (DSF), or spectroscopic probes such as circular dichroism and intrinsic fluorescence. Drug-to-antibody ratio (DAR) is a critical parameter that can be measured using absorbance spectroscopy or chromatographic analysis. Aggregation and self-association can be probed using scattering techniques such as dynamic light scattering (DLS), static light scattering (SLS), and size exclusion chromatography–multi-angle light scattering (SEC-MALS), as well as more specialized approaches such as fluorescence correlation spectroscopy (FCS) and analytical ultracentrifugation (AUC). Mass spectrometry (MS) provides extremely valuable insight into stability, covalent modifications, and, through approaches like hydrogen–deuterium exchange (HDX-MS), structural dynamics of ADCs. Looking forward, the use of biophysical assays in ex vivo matrices and strategic use of artificial intelligence/machine learning (AI/ML) approaches are likely to advance the efficient and rapid development of ADCs and other next-generation protein therapeutics. Full article
(This article belongs to the Special Issue Advances in Antibody–Drug Conjugates (ADCs) in Cancers)
Show Figures

Figure 1

26 pages, 2843 KB  
Article
Stalling the Enemy: Targeting Nsp13 for Next-Generation SARS-CoV-2 Antivirals
by Jose M. Castro, Ryan L. Slack, Yee T. Ong, Huanchun Zhang, Levi B. Gifford, Valentine V. Courouble, Riley M. Aiken, Vishal Shankar, Timothy R. O’Leary, Patrick R. Griffin, Shuiyun Lan, Yuhong Du, Haian Fu and Stefan G. Sarafianos
Int. J. Mol. Sci. 2026, 27(6), 2587; https://doi.org/10.3390/ijms27062587 - 11 Mar 2026
Viewed by 382
Abstract
The SARS-CoV-2 public health challenges have highlighted the urgent need for coronavirus-targeting life-saving therapeutics. Given the emergence of drug-resistant strains, the development of antivirals against viral proteins beyond the commonly targeted main protease or RNA-dependent RNA polymerase is critical. The SARS-CoV-2 nonstructural protein [...] Read more.
The SARS-CoV-2 public health challenges have highlighted the urgent need for coronavirus-targeting life-saving therapeutics. Given the emergence of drug-resistant strains, the development of antivirals against viral proteins beyond the commonly targeted main protease or RNA-dependent RNA polymerase is critical. The SARS-CoV-2 nonstructural protein 13 (nsp13) is a highly conserved RNA helicase and an essential component of the viral replication–transcription complex (RTC). It unwinds double-stranded RNA to facilitate viral transcription and replication, making it a strong target for drug development. To identify nsp13 inhibitors, we used an ultra-high-throughput nucleic acid unwinding assay to screen a library of FDA-approved drugs and bioactive compounds. We identified forty inhibitors with IC50 values ranging from 1.4 to 10 μM. Ten were further selected for biochemical and biophysical characterization. Four of these are bound to nsp13 without interacting with the nucleic acid substrate and without inhibiting the ATPase activity of nsp13. Hydrogen–deuterium exchange coupled with Mass Spectrometry (HDX-MS) studies show compound binding causes differential exchange in two regions of nsp13. Furthermore, these compounds have antiviral activity against infectious SARS-CoV-2 in multiple cell lines, with cytotoxicity affecting, in some cases, the apparent antiviral effect. Future optimization efforts could help develop therapeutics against SARS-CoV-2 and other potential coronavirus threats. Full article
(This article belongs to the Special Issue Antiviral Drugs Discovery)
Show Figures

Graphical abstract

22 pages, 540 KB  
Perspective
Modulating Vimentin: A Systems-Level Therapeutic Strategy for Sepsis and Complex Diseases
by Ruihuan Chen, Jianping Wu, Daniel Jafari and Annica K. B. Gad
Life 2026, 16(3), 457; https://doi.org/10.3390/life16030457 - 11 Mar 2026
Viewed by 365
Abstract
Sepsis remains a leading global health challenge, characterized by high mortality and a persistent lack of disease-modifying therapies. Despite decades of investment, therapeutic progress has been constrained by reductionist strategies that target isolated pathogenic components. This perspective argues that these failures reflect a [...] Read more.
Sepsis remains a leading global health challenge, characterized by high mortality and a persistent lack of disease-modifying therapies. Despite decades of investment, therapeutic progress has been constrained by reductionist strategies that target isolated pathogenic components. This perspective argues that these failures reflect a fundamental mischaracterization of sepsis—not as a disorder of discrete pathways, but as the collapse of complex biological systems in which normally coordinated processes become desynchronized. We identify the intermediate filament protein vimentin as a determinant of system fate governing the transition from adaptive host defense to pathological breakdown. Acting as a context-dependent network integrator and signal amplifier, vimentin coordinates antagonistic cellular programs by integrating biochemical and biophysical cues across immune, vascular, and metabolic systems. Under physiological stress, this coordination enables the orderly activation and resolution of inflammatory and suppressive responses required for pathogen control and restoration of homeostasis. In sepsis, persistent or excessive insults drive vimentin-mediated overactivation, uncoupling these programs and propagating systems-level instability that culminates in organ dysfunction. By integrating mechanistic, preclinical, and emerging clinical evidence, this perspective proposes vimentin modulation as a clinically translatable, systems-oriented strategy aimed at realigning host response networks to address the dynamic, opposing pathologies of sepsis that have eluded current therapies. Full article
(This article belongs to the Special Issue Current Advances in Diagnosis and Treatment of Sepsis)
Show Figures

Figure 1

22 pages, 4150 KB  
Article
Combining Yeast Display and Bacterial Genomic Library for the Unbiased Isolation of Novel Polysaccharide-Binding Peptides
by Angela Stabile, Gaia Scaramella, Simone Puccio, John Brady, Lise Goltermann, Tim Tolker-Nielsen, Barbara Bellich, Simone De Zotti, Cristina Lagatolla, Fortunato Ferrara, Roberto Rizzo, Paola Cescutti and Daniele Sblattero
Int. J. Mol. Sci. 2026, 27(5), 2417; https://doi.org/10.3390/ijms27052417 - 6 Mar 2026
Viewed by 527
Abstract
Here, we present a novel yeast surface display-based platform for the discovery of biofilm-associated exopolysaccharide-binding peptides. Unlike conventional synthetic libraries, our approach utilizes the genomic diversity of Burkholderia multivorans strain C1576 through open-reading frame-filtered genomic fragment libraries, thereby enriching for naturally encoded carbohydrate-binding [...] Read more.
Here, we present a novel yeast surface display-based platform for the discovery of biofilm-associated exopolysaccharide-binding peptides. Unlike conventional synthetic libraries, our approach utilizes the genomic diversity of Burkholderia multivorans strain C1576 through open-reading frame-filtered genomic fragment libraries, thereby enriching for naturally encoded carbohydrate-binding domains. By iterative fluorescence-activated cell sorting, we identified 21 peptides with confirmed binding to two structurally distinct rhamnose-rich polysaccharides: the exopolysaccharide Epol C1576 and the capsular polysaccharide CPS KpB-1. Biophysical characterization revealed that these peptides adopt predominantly α-helical or disordered conformations and undergo structural rearrangements upon polysaccharide binding. Functional assays demonstrated that selected peptides modulate biofilm architecture and bacterial viability in a species-specific manner, although they do not have a direct bactericidal effect against planktonic cells. This proof-of-concept study establishes yeast surface display as a powerful tool for the discovery of biofilm-targeting peptides and provides a basis for development of novel diagnostics and therapeutics to combat biofilm-associated infections. Full article
(This article belongs to the Special Issue Interactions and Functions Between Peptides and Polysaccharides)
Show Figures

Figure 1

26 pages, 4935 KB  
Review
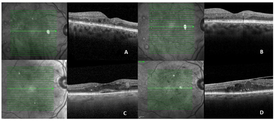
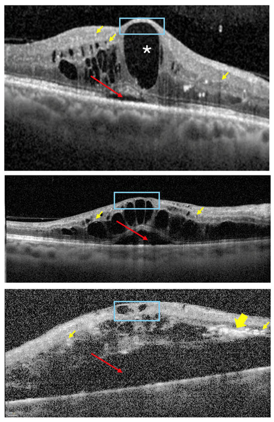
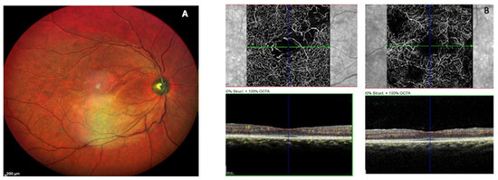
Inflammatory Biomarkers in Diabetic Macular Edema
by António Campos, Maria João Furtado, Ângela Carneiro, Angelina Meireles, Carlos Neves, António Francisco Ambrósio, Inês Leal, João Figueira, João Pedro Marques, José Henriques, Manuel Falcão, Nuno Gomes, Rita Flores, Rufino Silva and Bernardete Pessoa
J. Clin. Med. 2026, 15(5), 1949; https://doi.org/10.3390/jcm15051949 - 4 Mar 2026
Viewed by 575
Abstract
Diabetic retinopathy (DR) is a major complication of both Type 1 and Type 2 diabetes mellitus (T1DM and T2DM). Disease progression can result in visual impairment, primarily due to diabetic macular edema (DME) or proliferative diabetic retinopathy (PDR). Although several ocular treatments are [...] Read more.
Diabetic retinopathy (DR) is a major complication of both Type 1 and Type 2 diabetes mellitus (T1DM and T2DM). Disease progression can result in visual impairment, primarily due to diabetic macular edema (DME) or proliferative diabetic retinopathy (PDR). Although several ocular treatments are available for DME, a subset of patients fails to respond, reflecting the multifactorial, complex, and systemic nature of DR. Inflammatory biomarkers can be classified according to different characteristics, including imaging biomarkers—most commonly assessed using optical coherence tomography (OCT)—and molecular biomarkers, which are defined by their biochemical and biophysical properties. Pro- and anti-inflammatory cytokines, chemokines, adipokines, and inflammation-related enzymes are recognized as key inflammatory biomarkers and can be detected in the vitreous humour, aqueous humour, tears, serum, and other biological tissues. The identification and characterization of reliable biomarkers may help determine disease severity, monitor disease progression, and predict the risk of specific outcomes, thereby aiding in the prevention of end-stage disease (prognostic biomarkers). In addition, biomarkers may serve as predictive tools for therapeutic response, guiding personalized treatment strategies and enabling ongoing monitoring. This review provides a comprehensive overview of the role of inflammatory biomarkers in the diagnosis and management of DR and DME. Full article
(This article belongs to the Section Ophthalmology)
Show Figures

Figure 1

13 pages, 1256 KB  
Article
Biophysical Characterization and In Vitro Evaluation of Doxycycline-Loaded Egg Yolk Phospholipid Liposomes
by Baatarmanlai Dorjgochoo, Delgernaran Gomboragchaa, Odonchimeg Munkhjargal, Baatarjargal Purevdorj, Enkhgerel Baljinnyam, Idertungalag Sambuu-Yondon, Amgalanzaya Dorjgochoo and Enkhtaivan Erdene
Biophysica 2026, 6(2), 18; https://doi.org/10.3390/biophysica6020018 - 28 Feb 2026
Viewed by 272
Abstract
Antimicrobial resistance represents not only a biological challenge but also a physicochemical limitation associated with antibiotic transport, membrane interaction, and local availability. In this preliminary study, a liposome-encapsulated doxycycline delivery system was developed using egg yolk-derived phospholipids, and its biophysical properties and release [...] Read more.
Antimicrobial resistance represents not only a biological challenge but also a physicochemical limitation associated with antibiotic transport, membrane interaction, and local availability. In this preliminary study, a liposome-encapsulated doxycycline delivery system was developed using egg yolk-derived phospholipids, and its biophysical properties and release behavior were investigated. Phospholipids were isolated from egg yolk and used to prepare doxycycline-loaded liposomes via a thin-film hydration method combined with freeze–thaw processing. Liposome morphology was characterized by atomic force microscopy (AFM), while encapsulation efficiency was quantified by reversed-phase high-performance liquid chromatography (RP-HPLC). In vitro release kinetics were evaluated using a dialysis diffusion method, and antibacterial activity was assessed as a functional indicator of drug availability using minimum inhibitory concentration (MIC) assays against Staphylococcus aureus and methicillin-resistant S. aureus (MRSA). The prepared liposomes exhibited morphology with diameters of approximately 153 nm (PDI = 0.223). The encapsulation efficiency of doxycycline hyclate was 8.41%, and complete drug release was achieved within 48 h. Liposome-encapsulated doxycycline demonstrated a two-fold reduction in MIC values compared with free doxycycline. These findings offer preliminary insight to support further optimization and expanded investigation of liposome-encapsulated antibiotic delivery systems. Full article
Show Figures

Figure 1

15 pages, 1905 KB  
Review
Mitochondria-Targeted Biophysical Priming of Autologous Biologics for Skin Regeneration and Wound Repair
by Geun-Ho Kang, Kilyong Lee, Chang Hwan Jeon, Seong Kyoung Kim and SungHoon Cho
Int. J. Mol. Sci. 2026, 27(5), 2201; https://doi.org/10.3390/ijms27052201 - 26 Feb 2026
Viewed by 515
Abstract
Skin aging, photoaging, and chronic wounds are increasingly recognized to be driven by mitochondria-centered mechanisms characterized by oxidative stress, defective mitophagy, and impaired bioenergetics in cutaneous cells. Autologous biologics, including platelet-rich plasma, stromal vascular fraction, bone marrow aspirate concentrate, and mesenchymal stromal/stem cell–derived [...] Read more.
Skin aging, photoaging, and chronic wounds are increasingly recognized to be driven by mitochondria-centered mechanisms characterized by oxidative stress, defective mitophagy, and impaired bioenergetics in cutaneous cells. Autologous biologics, including platelet-rich plasma, stromal vascular fraction, bone marrow aspirate concentrate, and mesenchymal stromal/stem cell–derived products, are widely used for skin rejuvenation and wound repair. Recent studies have suggested that many of these effects are mediated by mitochondrial mechanisms, including metabolic reprogramming, redox modulation, and intercellular mitochondrial transfer. Concurrently, biophysical modalities such as red/near-infrared photobiomodulation (PBM), low-intensity pulsed ultrasound, mechanical stimulation, and nanoengineered cues can modulate mitochondrial function in skin-relevant cells. In this review, we integrate these lines of evidence to introduce the concept of mitochondria-targeted biophysical priming of autologous biologics for dermatological applications. We summarize the mitochondrial biology in skin pathology, evaluate these biologics as mitochondria-active therapies, and outline ex vivo priming implementation using PBM, ultrasound, or mechanical stimulation. Finally, we discuss key regulatory considerations that support clinical translation. Full article
Show Figures

Graphical abstract

Back to TopTop