Sign in to use this feature.

Years

Between: -

Subjects

remove_circle_outline
remove_circle_outline
remove_circle_outline
remove_circle_outline
remove_circle_outline
remove_circle_outline
remove_circle_outline

Journals

Article Types

Countries / Regions

Search Results (19)

Search Parameters:
Keywords = automated Western blot

Order results
Result details
Results per page
Select all
Export citation of selected articles as:
13 pages, 912 KB  
Article
Quantification of the Actin-Binding Protein Flightless-I in Human Serum by Automated Western Blot System and Investigation of Its Diagnostic Potential in Sepsis
by Balázs Szirmay, Dániel Ragán, Tamás Huber, Beáta Bugyi, Natália Tóth, László Deres, Diána Mühl, Csaba Csontos, Róbert Halmosi, Attila Miseta, Tamás Kőszegi and Zoltán Horváth-Szalai
Biomedicines 2025, 13(12), 2850; https://doi.org/10.3390/biomedicines13122850 - 21 Nov 2025
Viewed by 387
Abstract
Background: The actin-binding protein Flightless-I (Flii) has not been quantified in the human serum yet. We aimed to determine serum Flii levels in healthy individuals and to investigate Flii as a potential marker in patients with sepsis focusing on diagnosis, organ failures, [...] Read more.
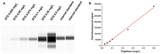
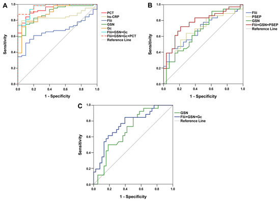
Background: The actin-binding protein Flightless-I (Flii) has not been quantified in the human serum yet. We aimed to determine serum Flii levels in healthy individuals and to investigate Flii as a potential marker in patients with sepsis focusing on diagnosis, organ failures, and short-term mortality. Methods: A total of 30 controls and 64 septic and 22 non-septic patients were enrolled in this follow-up study. Serum Flii levels were quantified by using the capillary electrophoresis-based Simple Western™ system with chemiluminescent detection. The assay was calibrated by applying dilution series of a purified recombinant human Flii standard and a parallel internal standard. Results: Flii levels of healthy controls were found between 3.5 and 8.8 mg/L, while septic and non-septic patients showed significantly lower values (p < 0.001). First-day Flii could differentiate sepsis from the non-septic inflammatory state (AUC: 0.667; p < 0.05) and indicated acute respiratory distress syndrome (ARDS) among septic patients (AUC: 0.686; p < 0.05). Furthermore, a combination of Flii and other sepsis markers seemed to offer an improved diagnostic performance (sepsis vs. non-sepsis, AUC of Flii + gelsolin (GSN) + Gc-globulin + procalcitonin: 0.974; p < 0.001 and ARDS vs. non-ARDS, AUC of Flii + GSN + presepsin: 0.776; p < 0.001) compared with single markers even in the prediction of 14-day mortality (AUC of Flii + GSN + Gc-globulin: 0.76; p < 0.001). Conclusions: We adapted a properly precise and reproducible automated Western blot method to determine concentrations of Flii in human serum. Our results revealed the relationship between Flii and sepsis; however, Flii alone did not appear to be a prominent sepsis marker. When combined with other biomarkers, measurement of serum Flightless-I may provide additional value supporting patient care. Full article
(This article belongs to the Section Cell Biology and Pathology)
Show Figures

Figure 1

21 pages, 2904 KB  
Article
Development of Automated Exosome Isolation Method Using Epigallocatechin Gallate-Modified Magnetic Beads: Standardized Protocols for Diverse Biofluids
by Heejong Shin, Eunju Jeong and Seunggwan Lee
Appl. Sci. 2025, 15(11), 6170; https://doi.org/10.3390/app15116170 - 30 May 2025
Viewed by 1743
Abstract
Exosomes are 30–150 nm extracellular vesicles that play crucial roles in intercellular communication and hold significant potential as biomarkers for non-invasive liquid biopsy. However, the current isolation methods have limitations including being time-consuming, producing low yields, and having high costs. This study presents [...] Read more.
Exosomes are 30–150 nm extracellular vesicles that play crucial roles in intercellular communication and hold significant potential as biomarkers for non-invasive liquid biopsy. However, the current isolation methods have limitations including being time-consuming, producing low yields, and having high costs. This study presents a novel automated exosome isolation method using EGCG-modified magnetic beads (EGCG@T) optimized for diverse biofluids including plasma, serum, urine, and saliva. We systematically investigated the optimal EGCG:T-Fe3O4 ratio (0.1:1), binding time, elution parameters, and extraction buffer composition for each biofluid type. The developed protocol was successfully integrated into an automated workflow using the Nextractor® NX-Junior platform, combining exosome isolation and protein extraction into a single step. Western blot and ELISA analyses confirmed that the EGCG@T method yielded a significantly higher recovery of exosomal markers (CD9, CD63, CD81, TSG101, and ALIX) compared to conventional PEG precipitation, with the efficiency varying depending on the biofluid. Notably, CD63-positive exosomes were isolated with approximately two-fold higher efficiency from urine and 1.3-fold higher efficiency from saliva using the EGCG@T method. Our findings demonstrated that biofluid-specific optimization is essential for effective exosome isolation, as exosome subpopulations exhibited distinct physicochemical properties across different sample types. This automated, rapid, and efficient exosome isolation method provides a valuable platform for future clinical applications in non-invasive disease diagnosis and monitoring through liquid biopsy. Full article
Show Figures

Figure 1

20 pages, 3067 KB  
Article
Development of a Gluten Standard from Relevant Sources of Wheat and Investigation into Gluten Content of Supplemental Enzymes Generated During Fermentation
by Pyeongsug Kim, Natasha Kim Leeuwendaal, Jonathon Niño Charari, Joan Colom, John Deaton and Kieran Rea
Fermentation 2025, 11(1), 21; https://doi.org/10.3390/fermentation11010021 - 7 Jan 2025
Viewed by 1754
Abstract
During fermentation, bacterial and fungal species synthesize substrate-specific enzymes to obtain nutrients. During this process, potential allergenic products, including immunologically important gluten peptides, can be created. Current protocols for assessing the levels of these peptides often overlook the specific gluten source. In this [...] Read more.
During fermentation, bacterial and fungal species synthesize substrate-specific enzymes to obtain nutrients. During this process, potential allergenic products, including immunologically important gluten peptides, can be created. Current protocols for assessing the levels of these peptides often overlook the specific gluten source. In this study, wheat sources provided by commercial enzyme suppliers underwent gluten extraction before being pooled into a Complete Gluten Mix, which then underwent variations of hydrolysis utilizing the digestive enzymes, pepsin and trypsin complexes. The resulting gluten peptide profiles were examined using the Wes automated Western blot system to confirm the presence of small, immunologically relevant gluten peptides. These hydrolysates were further tested for suitability as a relevant calibrant against commercially available ELISA standards. The PT3 calibrant, a hydrolyzed version of the Complete Gluten Mix, was found to be the most suitable, as it contained <50 kDa gluten peptides and gave similar absorbance readings to the majority of ELISA kit standards tested, and overlaid the GlutenTox® Competitive G12 antibody calibration curve, which was designed against the 33-mer immunogenic peptide from wheat. Additionally, no gluten bands were observed on the Wes for the enzymes of interest, which was confirmed through ELISA analysis. Full article
(This article belongs to the Special Issue Bioactive Compounds in Grain Fermentation: 2nd Edition)
Show Figures

Figure 1

15 pages, 2729 KB  
Article
Automated, Quantitative Capillary Western Blots to Analyze Host Cell Proteins in COVID-19 Vaccine Produced in Vero Cell Line
by Paul F. Gillespie, Yanjie Wang, Kuo Yin, Emily Groegler, Nicholas Cunningham, Alyssa Q. Stiving, Jessica Raffaele, Natalia Marusa, Christopher M. Tubbs, John W. Loughney, Michael A. Winters and Richard R. Rustandi
Vaccines 2024, 12(12), 1373; https://doi.org/10.3390/vaccines12121373 - 5 Dec 2024
Cited by 1 | Viewed by 2011
Abstract
Background/Objectives: Host cell protein (HCP) content is a major attribute for biological and vaccine products that must be extensively characterized prior to product licensure. Enzyme Linked Immunosorbent Assay (ELISA) and Mass Spectrometry (MS) are conventional methods for quantitative host cell protein analysis in [...] Read more.
Background/Objectives: Host cell protein (HCP) content is a major attribute for biological and vaccine products that must be extensively characterized prior to product licensure. Enzyme Linked Immunosorbent Assay (ELISA) and Mass Spectrometry (MS) are conventional methods for quantitative host cell protein analysis in biologic and vaccine products. Both techniques are usually very tedious, labor-intensive, and challenging to transfer to other laboratories. In addition, the ELISA methodology requires 2D SDS PAGE and 2D western blot antibody reagent validation to establish reagent coverage. This reagent coverage provides a rather weak link that is currently accepted, as the western blot is run under denaturing conditions and the ELISA is run under native conditions. Simple Western™ is a relatively new, automated, capillary western blot-based technology that allows for the separation, blotting, and detection of proteins. But, unlike traditional western blots, Simple Western™ is quantitative, allowing for the quantification of HCP content in biologic and vaccine samples. Antibody reagent validation is much more straightforward, as the reagent coverage can be directly linked between the 2D methodology and Simple Western™, as they are both run under denatured and reduced conditions. Methods: Herein we describe the development of a capillary western blot method to quantify the HCP content in samples generated using a Vero cell line for the production of an investigational live virus vaccine candidate (V590) for Coronavirus Disease-2019 (COVID-19). The HCP content in COVID-19 vaccine samples was evaluated using three methods: the new capillary western, the gold standard ELISA, and SDS-PAGE. Results/Conclusions: Strong agreement was observed in the HCP content data between the capillary western and SDS PAGE methods, whereas the ELISA HCP data were outliers, suggesting that the capillary western is generating HCP concentrations closer to the true concentration. This is the first report of using capillary western technology in analyzing HCP in vaccine samples. Full article
Show Figures

Figure 1

15 pages, 1110 KB  
Article
Evaluation and Limitations of the Novel Chemiluminescent Enzyme Immunoassay Technique for Measuring Total Tau Protein in the Cerebrospinal Fluid of Patients with Human Prion Disease: A 10-Year Prospective Study (2011–2020)
by Kong Weijie, Toshiaki Nonaka and Katsuya Satoh
Diagnostics 2024, 14(14), 1520; https://doi.org/10.3390/diagnostics14141520 - 15 Jul 2024
Cited by 1 | Viewed by 1576
Abstract
Background: Recently, the investigation of cerebrospinal fluid (CSF) biomarkers for diagnosing human prion diseases (HPD) has garnered significant attention. Reproducibility and accuracy are paramount in biomarker research, particularly in the measurement of total tau (T-tau) protein, which is a crucial diagnostic marker. Given [...] Read more.
Background: Recently, the investigation of cerebrospinal fluid (CSF) biomarkers for diagnosing human prion diseases (HPD) has garnered significant attention. Reproducibility and accuracy are paramount in biomarker research, particularly in the measurement of total tau (T-tau) protein, which is a crucial diagnostic marker. Given the global impact of the coronavirus disease pandemic, the frequency of measuring this protein using one of the world’s fully automated assays, chemiluminescent enzyme immunoassay (CLEA), has increased. At present, the diagnosis and monitoring of neurological diseases mainly rely on traditional methods, but their accuracy and responsiveness are limited. There is limited knowledge of the accuracy of CLEA in tau measurements. We aimed to measure T-tau protein using CLEA and to elucidate its merits and limitations. Methods: We randomly selected 60 patients with rapidly progressive dementia, using ELISA and CLEA analysis of cerebrospinal fluid specimens. Additionally, we used Western blotting to detect the presence of 14-3-3 protein and employed real-time quaking-induced conversion (RT-QuIC) assays to analyze the same set of samples. Furthermore, we examined the correlation coefficient between ELISA and CLEA results in a subset of 60 samples. Moreover, using CLEA, we evaluated the diurnal reproducibility, storage stability, dilutability, and freeze–thaw effects in three selected samples. Results: In 172 patients, 172 samples were extracted, with each patient providing only one sample, and a total of 88 (35 men and 53 women) tested positive for HPD in the RT-QuIC assay. In contrast, all CSF samples from the remaining 84 patients without HPD (50 men and 34 women) tested negative in the RT-QuIC assay. Both ELISA and CLEA showed perfect sensitivity and specificity (100%) in measuring T-tau protein levels. In addition, ELISA and CLEA are similar in terms of measurement sensitivity and marginal effect of detection extrema. CLEA analysis exhibited instability for certain samples with T-tau protein levels exceeding 2000 pg/mL, leading to low reproducibility during dilution analysis. Conclusions: Our findings indicate that CLEA outperforms ELISA in terms of diurnal reproducibility, storage stability, and freeze–thaw effects. However, ELISA demonstrated superior performance in the dilution assay. Therefore, it is imperative to develop innovative approaches for the dilution of biomarker samples for CLEA measurements during clinical trials. Full article
Show Figures

Figure 1

17 pages, 1743 KB  
Article
The Effects of Dietary Pterostilbene on the Immune Response, Antioxidant Function, and Jejunal Structure of Broilers
by Zesheng Yin, Xue Sun, Xuehong Chai, Xin Zhou, Yingjie Wang, Mengru Liu and Xingjun Feng
Animals 2024, 14(13), 1851; https://doi.org/10.3390/ani14131851 - 22 Jun 2024
Cited by 8 | Viewed by 2308
Abstract
This experiment was carried out to investigate the effect of pterostilbene (PTE) supplementation in feed on Arbor Acres broilers in terms of serum biochemical parameters, immune and inflammatory responses, antioxidant status, and intestinal morphological structure. For a duration of 42 days, a total [...] Read more.
This experiment was carried out to investigate the effect of pterostilbene (PTE) supplementation in feed on Arbor Acres broilers in terms of serum biochemical parameters, immune and inflammatory responses, antioxidant status, and intestinal morphological structure. For a duration of 42 days, a total of 480 1-day-old Arbor Acres broilers were randomly divided into four groups. Each group was assigned to receive either the basal diet or the basal diet supplemented with 200, 400, or 600 mg/kg of PTE. Each treatment consisted of eight replicates, with 15 chicks per replicate. In comparison with the control group, three PTE treatments significantly increased the lymphocyte transformation rate in the spleen of broilers. The automated biochemical analysis, enzyme-linked immunosorbent assay, and RT-qPCR analysis kits found that 400 mg/kg of PTE significantly increased the serum levels of complement C3, IL-4, and iNOS; reduced the serum levels of IL-6, TNF-α, and mRNA levels of the genes IL-6, IL-8, TNF-α, NLRP3, and IFN-γ; significantly improved the activities of antioxidant enzymes including CAT, GSH-Px, and T-SOD in the jejunum; and significantly reduced the MDA contents in the serum and jejunum of broilers. Nikon microscope observations and ImagePro Plus 6.0 measure results found that 400 mg/kg of PTE supplementation significantly reduced the relative length and weight of the jejunum and improved the jejunal villi structure, resulting in increased intestinal villi, deepened crypt, and an enhanced ratio of villi height to crypt depth (VH/CD). RT-qPCR and Western blot found that dietary PTE also resulted in increased mRNA levels of the genes Claudin-2, Occludin, ZO-1, and Sirt1, and decreased NF-κB protein levels in the jejunum. The results of this study demonstrated that dietary PTE improved the immune function and intestinal health of broilers by reducing inflammation and increasing the antioxidant capacity of the animals. Full article
(This article belongs to the Collection Sustainable Animal Nutrition and Feeding)
Show Figures

Figure 1

17 pages, 1899 KB  
Article
Intravenous Injection of PEI-Decorated Iron Oxide Nanoparticles Impacts NF-kappaB Protein Expression in Immunologically Stressed Mice
by Claudia Schwarz, Julia Göring, Cordula Grüttner and Ingrid Hilger
Nanomaterials 2023, 13(24), 3166; https://doi.org/10.3390/nano13243166 - 18 Dec 2023
Cited by 2 | Viewed by 2246
Abstract
Nanoparticle-based formulations are considered valuable tools for diagnostic and treatment purposes. The surface decoration of nanoparticles with polyethyleneimine (PEI) is often used to enhance their targeting and functional properties. Here, we aimed at addressing the long-term fate in vivo and the potential “off-target” [...] Read more.
Nanoparticle-based formulations are considered valuable tools for diagnostic and treatment purposes. The surface decoration of nanoparticles with polyethyleneimine (PEI) is often used to enhance their targeting and functional properties. Here, we aimed at addressing the long-term fate in vivo and the potential “off-target” effects of PEI decorated iron oxide nanoparticles (PEI-MNPs) in individuals with low-grade and persistent systemic inflammation. For this purpose, we synthesized PEI-MNPs (core–shell method, PEI coating under high pressure homogenization). Further on, we induced a low-grade and persistent inflammation in mice through regular subcutaneous injection of pathogen-associated molecular patterns (PAMPs, from zymosan). PEI-MNPs were injected intravenously. Up to 7 weeks thereafter, the blood parameters were determined via automated fluorescence flow cytometry, animals were euthanized, and the organs analyzed for iron contents (atomic absorption spectrometry) and for expression of NF-κB associated proteins (p65, IκBα, p105/50, p100/52, COX-2, Bcl-2, SDS-PAGE and Western blotting). We observed that the PEI-MNPs had a diameter of 136 nm and a zeta-potential 56.9 mV. After injection in mice, the blood parameters were modified and the iron levels were increased in different organs. Moreover, the liver of animals showed an increased protein expression of canonical NF-κB signaling pathway members early after PEI-MNP application, whereas at the later post-observation time, members of the non-canonical signaling pathway were prominent. We conclude that the synergistic effect between PEI-MNPs and the low-grade and persistent inflammatory state is mainly due to the hepatocytes sensing infection (PAMPs), to immune responses resulting from the intracellular metabolism of the uptaken PEI-MNPs, or to hepatocyte and immune cell communications. Therefore, we suggest a careful assessment of the safety and toxicity of PEI-MNP-based carriers for gene therapy, chemotherapy, and other medical applications not only in healthy individuals but also in those suffering from chronic inflammation. Full article
Show Figures

Figure 1

14 pages, 2353 KB  
Article
Glibenclamide-Loaded Engineered Nanovectors (GNVs) Modulate Autophagy and NLRP3-Inflammasome Activation
by Marina Saresella, Chiara Paola Zoia, Francesca La Rosa, Chiara Bazzini, Gessica Sala, Erica Grassenis, Ivana Marventano, Ambra Hernis, Federica Piancone, Elisa Conti, Silvia Sesana, Francesca Re, Pierfausto Seneci, Carlo Ferrarese and Mario Clerici
Pharmaceuticals 2023, 16(12), 1725; https://doi.org/10.3390/ph16121725 - 13 Dec 2023
Cited by 7 | Viewed by 2454
Abstract
Activation of the NLRP3 inflammasome in response to either exogenous (PAMPs) or endogenous (DAMPs) stimuli results in the production of IL-18, caspase-1 and IL-1β. These cytokines have a beneficial role in promoting inflammation, but an excessive activation of the inflammasome and the consequent [...] Read more.
Activation of the NLRP3 inflammasome in response to either exogenous (PAMPs) or endogenous (DAMPs) stimuli results in the production of IL-18, caspase-1 and IL-1β. These cytokines have a beneficial role in promoting inflammation, but an excessive activation of the inflammasome and the consequent constitutive inflammatory status plays a role in human pathologies, including Alzheimer’s disease (AD). Autophagic removal of NLRP3 inflammasome activators can reduce inflammasome activation and inflammation. Likewise, inflammasome signaling pathways regulate autophagy, allowing the development of inflammatory responses but preventing excessive and detrimental inflammation. Nanotechnology led to the development of liposome engineered nanovectors (NVs) that can load and carry drugs. We verified in an in vitro model of AD-associated inflammation the ability of Glibenclamide-loaded NVs (GNVs) to modulate the balance between inflammasome activation and autophagy. Human THP1dM cells were LPS-primed and oligomeric Aß-stimulated in the presence/absence of GNVs. IL-1β, IL-18 and activated caspase-1 production was evaluated by the Automated Immunoassay System (ELLA); ASC speck formation (a marker of NLRP3 activation) was analyzed by FlowSight Imaging flow-cytometer (AMNIS); the expression of autophagy targets was investigated by RT-PCR and Western blot (WB); and the modulation of autophagy-related up-stream signaling pathways and Tau phosphorylation were WB-quantified. Results showed that GNVs reduce activation of the NLRP3 inflammasome and prevent the Aß-induced phosphorylation of ERK, AKT, and p70S6 kinases, potentiating autophagic flux and counteracting Tau phosphorylation. These preliminary results support the investigation of GNVs as a possible novel strategy in disease and rehabilitation to reduce inflammasome-associated inflammation. Full article
(This article belongs to the Section Biopharmaceuticals)
Show Figures

Figure 1

13 pages, 1006 KB  
Article
Psycho-Cognitive Profile and NGF and BDNF Levels in Tears and Serum: A Pilot Study in Patients with Graves’ Disease
by Alice Bruscolini, Angela Iannitelli, Marco Segatto, Pamela Rosso, Elena Fico, Marzia Buonfiglio, Alessandro Lambiase and Paola Tirassa
Int. J. Mol. Sci. 2023, 24(9), 8074; https://doi.org/10.3390/ijms24098074 - 29 Apr 2023
Cited by 4 | Viewed by 2827
Abstract
Nerve Growth Factor (NGF) and Brain derived Neurotrophic Factor (BDNF) mature/precursor imbalance in tears and serum is suggested as a risk factor and symptomatology aggravation in ophthalmology and neuropsychiatric disturbances. Cognitive and mood alterations are reported by patients with Graves’ Orbitopathy (GO), indicating [...] Read more.
Nerve Growth Factor (NGF) and Brain derived Neurotrophic Factor (BDNF) mature/precursor imbalance in tears and serum is suggested as a risk factor and symptomatology aggravation in ophthalmology and neuropsychiatric disturbances. Cognitive and mood alterations are reported by patients with Graves’ Orbitopathy (GO), indicating neurotrophin alterations might be involved. To address this question, the expression levels of NGF and BDNF and their precursors in serum and tears of GO patients were analyzed and correlated with the ophthalmological and psycho-cognitive symptoms. Hamilton Rating Scale for Anxiety (HAM-A) and Depression (HAM-D), Temperament and Character Inventory (TCI), and Cambridge Neuropsychological Test Automated Battery (CANTAB) test were used as a score. NGF and BDNF levels were measured using ELISA and Western Blot and statistically analyzed for psychiatric/ocular variable trend association. GO patients show memorization time and level of distraction increase, together with high irritability and impulsiveness. HAM-A and CANTAB variables association, and some TCI dimensions are also found. NGF and BDNF expression correlates with ophthalmological symptoms only in tears, while mature/precursor NGF and BDNF correlate with the specific psycho-cognitive variables both in tears and serum. Our study is the first to show that changes in NGF and BDNF processing in tears and serum might profile ocular and cognitive alterations in patients. Full article
(This article belongs to the Special Issue Neurotrophins: Roles and Function in Human Diseases 2.0)
Show Figures

Figure 1

10 pages, 2072 KB  
Brief Report
Comparison of Automated and Traditional Western Blotting Methods
by Aino Sormunen, Emma Koivulehto, Kari Alitalo, Kalle Saksela, Nihay Laham-Karam and Seppo Ylä-Herttuala
Methods Protoc. 2023, 6(2), 43; https://doi.org/10.3390/mps6020043 - 20 Apr 2023
Cited by 24 | Viewed by 10343
Abstract
Traditional Western blotting is one of the most used analytical techniques in biological research. However, it can be time-consuming and suffer from a lack of reproducibility. Consequently, devices with different degrees of automation have been developed. These include semi-automated techniques and fully automated [...] Read more.
Traditional Western blotting is one of the most used analytical techniques in biological research. However, it can be time-consuming and suffer from a lack of reproducibility. Consequently, devices with different degrees of automation have been developed. These include semi-automated techniques and fully automated devices that replicate all stages downstream of the sample preparation, including sample size separation, immunoblotting, imaging, and analysis. We directly compared traditional Western blotting with two different automated systems, iBind™ Flex, which is a semi-automated system designed to perform the immunoblotting, and JESS Simple Western™, a fully automated and capillary-based system performing all steps downstream of sample preparation and loading, including imaging and image analysis. We found that a fully automated system can save time and importantly offer valuable sensitivity. This is particularly beneficial for limited sample amounts. The downside of automation is the cost of devices and reagents. Nevertheless, automation can be a good option to increase output and facilitate sensitive protein analyses. Full article
(This article belongs to the Section Biochemical and Chemical Analysis & Synthesis)
Show Figures

Figure 1

19 pages, 11788 KB  
Article
SPOCK1 Overexpression Suggests Poor Prognosis of Ovarian Cancer
by Lóránd Váncza, Anna Horváth, Lee Seungyeon, András Rókusz, Katalin Dezső, Andrea Reszegi, Gábor Petővári, Martin Götte, Ilona Kovalszky and Kornélia Baghy
Cancers 2023, 15(7), 2037; https://doi.org/10.3390/cancers15072037 - 29 Mar 2023
Cited by 12 | Viewed by 2984
Abstract
Purpose: Sparc/osteonectin, cwcv, and kazal-like domains proteoglycan 1 (SPOCK1) has been found in a variety of malignant tumors and is associated with a poor prognosis. We aimed to explore the role of SPOCK1 in ovarian cancer. Methods: Ovarian cancer cell lines SKOV3 and [...] Read more.
Purpose: Sparc/osteonectin, cwcv, and kazal-like domains proteoglycan 1 (SPOCK1) has been found in a variety of malignant tumors and is associated with a poor prognosis. We aimed to explore the role of SPOCK1 in ovarian cancer. Methods: Ovarian cancer cell lines SKOV3 and SW626 were transfected with SPOCK1 overexpressing or empty vector using electroporation. Cells were studied by immunostaining and an automated Western blotting system. BrdU uptake and wound healing assays assessed cell proliferation and migration. SPOCK1 expression in human ovarian cancer tissues and in blood samples were studied by immunostaining and ELISA. Survival of patients with tumors exhibiting low and high SPOCK1 expression was analyzed using online tools. Results: Both transfected cell lines synthesized different SPOCK1 variants; SKOV3 cells also secreted the proteoglycan. SPOCK1 overexpression stimulated DNA synthesis and cell migration involving p21CIP1. Ovarian cancer patients had increased SPOCK1 serum levels compared to healthy controls. Tumor cells of tissues also displayed abundant SPOCK1. Moreover, SPOCK1 levels were higher in untreated ovarian cancer serum and tissue samples and lower in recipients of chemotherapy. According to in silico analyses, high SPOCK1 expression was correlated with shorter survival. Conclusion: Our findings suggest SPOCK1 may be a viable anti-tumor therapeutic target and could be used for monitoring ovarian cancer. Full article
Show Figures

Figure 1

15 pages, 3152 KB  
Article
Prostate-Specific Membrane Antigen (PSMA)-Positive Extracellular Vesicles in Urine—A Potential Liquid Biopsy Strategy for Prostate Cancer Diagnosis?
by Susann Allelein, Keshia Aerchlimann, Gundula Rösch, Roxana Khajehamiri, Andreas Kölsch, Christian Freese and Dirk Kuhlmeier
Cancers 2022, 14(12), 2987; https://doi.org/10.3390/cancers14122987 - 17 Jun 2022
Cited by 11 | Viewed by 4251
Abstract
All cells release extracellular vesicles (EVs) to communicate with adjacent and distant cells. Consequently, circulating EVs are found in all bodily fluids, providing information applicable for liquid biopsy in early cancer diagnosis. Studies observed an overexpression of the membrane-bound prostate-specific membrane antigen (PSMA) [...] Read more.
All cells release extracellular vesicles (EVs) to communicate with adjacent and distant cells. Consequently, circulating EVs are found in all bodily fluids, providing information applicable for liquid biopsy in early cancer diagnosis. Studies observed an overexpression of the membrane-bound prostate-specific membrane antigen (PSMA) on prostate cancer cells. To investigate whether EVs derived from communicating prostate cells allow for reliable conclusions on prostate cancer development, we isolated PSMA-positive, as well as CD9-positive, EVs from cell-free urine with the use of magnetic beads. These populations of EVs were subsequently compared to CD9-positive EVs isolated from female urine in Western blotting, indicating the successful isolation of prostate-derived and ubiquitous EVs, respectively. Furthermore, we developed a device with an adapted protocol that enables an automated immunomagnetic enrichment of EVs of large sample volumes (up to 10 mL), while simultaneously reducing the overall bead loss and hands-on time. With an in-house spotted antibody microarray, we characterized PSMA as well as other EV surface markers of a prostate cohort of 44 urine samples in a more simplified way. In conclusion, the automated and specific enrichment of EVs from urine has a high potential for future diagnostic applications. Full article
(This article belongs to the Special Issue Cell-Cell Communication and Extracellular Vesicles in Cancer)
Show Figures

Figure 1

8 pages, 1041 KB  
Article
Diagnostic Accuracy of LDBIO-Toxo II IgG and IgM Western Blot in Suspected Seroconversion in Pregnancy: A Multicentre Study
by Valeria Meroni, Francesca Genco, Luigia Scudeller, Marie-Pierre Brenier-Pinchart, Hélène Fricker-Hidalgo, Coralie L’Ollivier, Luc Paris and Hervé Pelloux
Pathogens 2022, 11(6), 665; https://doi.org/10.3390/pathogens11060665 - 8 Jun 2022
Cited by 4 | Viewed by 3651
Abstract
The high sensitivity of the automated tests used for Toxoplasma gondii serology can yield false-positive IgM results due to aspecific reactions. On the other hand, specific therapy can delay IgG production and, therefore, the diagnosis of seroconversion. There is a need for confirmation [...] Read more.
The high sensitivity of the automated tests used for Toxoplasma gondii serology can yield false-positive IgM results due to aspecific reactions. On the other hand, specific therapy can delay IgG production and, therefore, the diagnosis of seroconversion. There is a need for confirmation tests to early detect seroconversions during pregnancy. We conducted a multicentre study to evaluate the diagnostic accuracy of the Toxo II IgG and a new, not yet commercialised Toxo II IgM western blot (WB) (LDBio diagnostics Lyon France) on 229 sera corresponding to 93 patients with seroconversions and 158 sera corresponding to 68 patients with nonspecific IgM. Sensitivity was 97.8% for IgM WB and 98.9% for IgG WB. Specificity was 89.7% and 100%, respectively. The concordance between IgM and IgG Toxo WB with the final diagnosis was very good, K = 0.89 and K = 0.99, respectively. In 5 cases (5.4%), the appearance of IgM, and in 55 cases (59.1%), the appearance of IgG was recorded by WB earlier than by traditional tests. In 10 cases (10.8%), IgM was detected after the traditional tests and in 2 cases (2.2%) for IgG. The association of IgG and IgM WB on the same sample not only detected all seroconversions but also correctly identified most of the false-positive results. Full article
(This article belongs to the Special Issue Toxoplasma)
Show Figures

Figure 1

14 pages, 3857 KB  
Article
High-Throughput Screen Detects Calcium Signaling Dysfunction in Hutchinson-Gilford Progeria Syndrome
by Juan A. Fafián-Labora, Miriam Morente-López, Fco. Javier de Toro and María C. Arufe
Int. J. Mol. Sci. 2021, 22(14), 7327; https://doi.org/10.3390/ijms22147327 - 7 Jul 2021
Cited by 8 | Viewed by 3835
Abstract
Hutchinson–Gilford progeria syndrome (HGPS) is a deadly childhood disorder, which is considered a very rare disease. It is caused by an autosomal dominant mutation on the LMNA gene, and it is characterized by accelerated aging. Human cell lines from HGPS patients and healthy [...] Read more.
Hutchinson–Gilford progeria syndrome (HGPS) is a deadly childhood disorder, which is considered a very rare disease. It is caused by an autosomal dominant mutation on the LMNA gene, and it is characterized by accelerated aging. Human cell lines from HGPS patients and healthy parental controls were studied in parallel using next-generation sequencing (NGS) to unravel new non-previously altered molecular pathways. Nine hundred and eleven transcripts were differentially expressed when comparing healthy versus HGPS cell lines from a total of 21,872 transcripts; ITPR1, ITPR3, CACNA2D1, and CAMK2N1 stood out among them due to their links with calcium signaling, and these were validated by Western blot analysis. It was observed that the basal concentration of intracellular Ca2+ was statistically higher in HGPS cell lines compared to healthy ones. The relationship between genes involved in Ca2+ signaling and mitochondria-associated membranes (MAM) was demonstrated through cytosolic calcium handling by means of an automated fluorescent plate reading system (FlexStation 3, Molecular Devices), and apoptosis and mitochondrial ROS production were examined by means of flow cytometry analysis. Altogether, our data suggest that the Ca2+ signaling pathway is altered in HGPS at least in part due to the overproduction of reactive oxygen species (ROS). Our results unravel a new therapeutic window for the treatment of this rare disease and open new strategies to study pathologies involving both accelerated and healthy aging. Full article
(This article belongs to the Special Issue Epigenomics of Complex Traits and Diseases 2.0)
Show Figures

Figure 1

15 pages, 5380 KB  
Article
Integrated Immunomagnetic Bead-Based Microfluidic Chip for Exosomes Isolation
by Fuzhou Niu, Xifu Chen, Xuemei Niu, Yifan Cai, Qingkui Zhang, Tao Chen and Hao Yang
Micromachines 2020, 11(5), 503; https://doi.org/10.3390/mi11050503 - 15 May 2020
Cited by 28 | Viewed by 4882
Abstract
Exosomes are essential early biomarkers for health monitoring and cancer diagnosis. A prerequisite for further investigation of exosomes is the isolation, which is technically challenging due to the complexity of body fluids. This paper presents the development of an integrated microfluidic chip for [...] Read more.
Exosomes are essential early biomarkers for health monitoring and cancer diagnosis. A prerequisite for further investigation of exosomes is the isolation, which is technically challenging due to the complexity of body fluids. This paper presents the development of an integrated microfluidic chip for exosomes isolation, which combines the traditional immunomagnetic bead-based protocol and the recently emerging microfluidic approach, resulting in benefits from both the high-purity of the former and the automated continuous superiority of the latter. The chip was designed based on an S-shaped micromixer with embedded baffle. The excellent mixing efficiency of this micromixer compared with Y-shaped and S-shaped micromixers was verified by simulation and experiments. The photolithography technique was employed to fabricate the integrated microfluidic chip, and the manufacturing process was elucidated. We finally established an experimental platform for exosomes isolation with the fabricated microfluidic chip built in. Exosomes isolation experiments were conducted using this platform. The distribution and morphology of the isolated exosomes were observed by transmission electron microscopy (TEM) and scanning electron microscopy (SEM). Quantitative size analyses based on transmission electron micrographs indicated that most of the obtained particles were between 30 and 150 nm. Western blot analyses of the isolated exosomes and the serum were conducted to verify the platform’s capability of isolating a certain subpopulation of exosomes corresponding to specified protein markers (CD63). The complete time for isolation of 150 μL serum samples was approximately 50 min, which was highly competitive with the reported existing protocols. Experimental results proved the capacity of the established integrated microfluidic chip for exosomes isolation with high purity, high integrity, and excellent efficiency. The platform can be further developed to make it possible for practical use in clinical applications as a universal exosomes isolation and characterization tool. Full article
(This article belongs to the Special Issue Microfluidics for Healthcare Based Applications)
Show Figures

Figure 1

Back to TopTop