Sign in to use this feature.

Years

Between: -

Subjects

remove_circle_outline
remove_circle_outline
remove_circle_outline
remove_circle_outline
remove_circle_outline
remove_circle_outline

Journals

Article Types

Countries / Regions

Search Results (13)

Search Parameters:
Keywords = apparent effusivity

Order results
Result details
Results per page
Select all
Export citation of selected articles as:
5 pages, 3097 KB  
Interesting Images
Dual Chamber Pacemaker Implant in Coronary Sinus Leading to Several Complications
by Nancy Wassef, Mina Ibrahim, Christine Botrous, Amr Anos, Kai Hogrefe and Janaka Pathiraja
Diagnostics 2024, 14(22), 2465; https://doi.org/10.3390/diagnostics14222465 - 5 Nov 2024
Viewed by 1160
Abstract
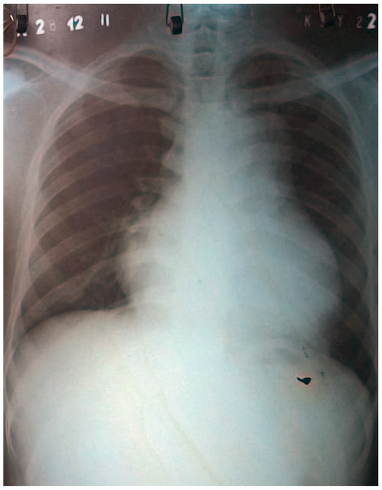
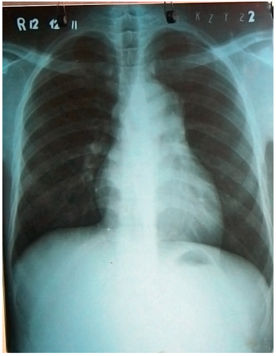
Permanent pacemaker implantation is a low-risk procedure. However, complications may occur at a rate of around 4–8%. We present a case where initial implantation resulted in complications that could have been avoided by meticulous assessment of lead position in different projections and early [...] Read more.
Permanent pacemaker implantation is a low-risk procedure. However, complications may occur at a rate of around 4–8%. We present a case where initial implantation resulted in complications that could have been avoided by meticulous assessment of lead position in different projections and early post-procedure X-ray that would have delineated other serious complications. We present a case where the right ventricular lead was placed in the coronary sinus, which resulted in the loss of pacing capture with further syncope after the pacemaker implant. This was apparent in the post-procedure electrocardiogram (ECG) with right bundle branch pacing and the lead was repositioned in the right ventricular apex the following day. Furthermore, the patient was discharged home without a chest X-ray (CXR), and she represented a week later with a haemo-pneumothorax and pericardial effusion. A chest drain was placed and was discharged after a slow recovery following several complications that could have been avoidable. Full article
Show Figures

Figure 1

14 pages, 7216 KB  
Article
MR Imaging of Hemosiderin Deposition in the Ankle Joints of Patients with Haemophilia: The Contribution of a Multi-Echo Gradient-Echo Sequence—Correlation with Osteochondral Changes and the Number and Chronicity of Joint Bleeds
by Olympia Papakonstantinou, Efstratios Karavasilis, Epaminondas Martzoukos, Georgios Velonakis, Nikolaos Kelekis and Helen Pergantou
Life 2024, 14(9), 1112; https://doi.org/10.3390/life14091112 - 4 Sep 2024
Cited by 1 | Viewed by 1835
Abstract
We aim (a) to introduce an easy-to-perform multi-echo gradient-echo sequence (mGRE) for the detection of hemosiderin deposition in the ankle joints of boys with haemophilia (b) to explore the associations between the presence and severity of hemosiderin deposition and the other components of [...] Read more.
We aim (a) to introduce an easy-to-perform multi-echo gradient-echo sequence (mGRE) for the detection of hemosiderin deposition in the ankle joints of boys with haemophilia (b) to explore the associations between the presence and severity of hemosiderin deposition and the other components of haemophilic arthropathy, the clinical score, and the number and chronicity of joint bleeds. An MRI of 41 ankle joints of 21 haemophilic boys was performed on a 3 T MRI system using an mGRE sequence in addition to the conventional protocol. Conventional MRI and mGRE were separately and independently assessed by three readers, namely, two musculoskeletal radiologists and a general radiologist for joint hemosiderin. We set as a reference the consensus reading of the two musculoskeletal radiologists, who also evaluated the presence of synovial thickening, effusion, and osteochondral changes. Excellent inter-reader agreement was obtained using the mGRE sequence compared to the conventional protocol (ICC: 0.95–0.97 versus 0.48–0.89), with superior sensitivity (90–95% versus 50–85%), specificity (95.2–100% versus 76.2–95.2%), and positive (95–100% versus 71–94.4%) and negative predictive value (91.3–95.5% versus 87–63%). Hemosiderin deposition was associated with osteochondral changes, synovial thickening, clinical score, and the total number of ankle bleeds, while it was inversely related with the time elapsed between the last joint bleed and MRI. (p < 0.05). The application of an mGRE sequence significantly improved hemosiderin detection, even when performed by the less experienced reader. Joint hemosiderin deposition was associated with the other components of haemophilic arthropathy and was mostly apparent in recent joint bleeds. Full article
(This article belongs to the Special Issue Hemophilia)
Show Figures

Figure 1

11 pages, 8631 KB  
Case Report
Pathogenesis of Hemophagocytic Lymphohistiocytosis/Macrophage Activation Syndrome: A Case Report and Review of the Literature
by Chiara Gioia, Marino Paroli, Raffaella Izzo, Lorenzo Di Sanzo, Elisabetta Rossi, Pasquale Pignatelli and Daniele Accapezzato
Int. J. Mol. Sci. 2024, 25(11), 5921; https://doi.org/10.3390/ijms25115921 - 29 May 2024
Cited by 7 | Viewed by 4791
Abstract
Hemophagocytic lymphohistiocytosis (HLH) is a life-threatening condition characterized by the uncontrolled activation of cytotoxic T lymphocytes, NK cells, and macrophages, resulting in an overproduction of pro-inflammatory cytokines. A primary and a secondary form are distinguished depending on whether or not it is associated [...] Read more.
Hemophagocytic lymphohistiocytosis (HLH) is a life-threatening condition characterized by the uncontrolled activation of cytotoxic T lymphocytes, NK cells, and macrophages, resulting in an overproduction of pro-inflammatory cytokines. A primary and a secondary form are distinguished depending on whether or not it is associated with hematologic, infectious, or immune-mediated disease. Clinical manifestations include fever, splenomegaly, neurological changes, coagulopathy, hepatic dysfunction, cytopenia, hypertriglyceridemia, hyperferritinemia, and hemophagocytosis. In adults, therapy, although aggressive, is often unsuccessful. We report the case of a 41-year-old man with no apparent history of previous disease and an acute onset characterized by fever, fatigue, and weight loss. The man was from Burkina Faso and had made trips to his home country in the previous five months. On admission, leukopenia, thrombocytopenia, increased creatinine and transaminases, LDH, and CRP with a normal ESR were found. The patient also presented with hypertriglyceridemia and hyperferritinemia. An infectious or autoimmune etiology was ruled out. A total body CT scan showed bilateral pleural effusion and hilar mesenterial, abdominal, and paratracheal lymphadenopathy. Lymphoproliferative disease with HLH complication was therefore suspected. High doses of glucocorticoids were then administered. A cytologic analysis of the pleural effusion showed anaplastic lymphoma cells and bone marrow aspirate showed hemophagocytosis. An Epstein–Barr Virus (EBV) DNA load of more than 90000 copies/mL was found. Bone marrow biopsy showed a marrow localization of peripheral T lymphoma. The course was rapidly progressive until the patient died. HLH is a rare but usually fatal complication in adults of hematologic, autoimmune, and malignant diseases. Very early diagnosis and treatment are critical but not always sufficient to save patients. Full article
(This article belongs to the Special Issue Advanced Research on Immune Cells and Cytokines)
Show Figures

Figure 1

8 pages, 1918 KB  
Case Report
Pediatric Myxedema Due to Autoimmune Hypothyroidism: A Rare Complication of a Common Disorder
by Elisa Bonino, Patrizia Matarazzo, Raffaele Buganza, Gerdi Tuli, Jessica Munarin, Claudia Bondone and Luisa de Sanctis
Children 2023, 10(4), 614; https://doi.org/10.3390/children10040614 - 24 Mar 2023
Cited by 1 | Viewed by 2539
Abstract
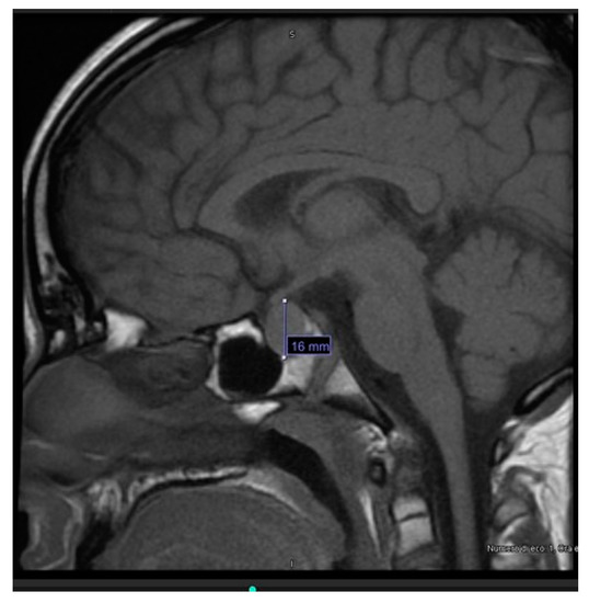
In children, hypothyroidism usually presents non-specific symptoms; symptoms can emerge gradually, compromising a timely diagnosis. We report the case of a 13-year-old male, who was admitted to the hospital due to swelling of the torso and neck. Besides these symptoms, the child was [...] Read more.
In children, hypothyroidism usually presents non-specific symptoms; symptoms can emerge gradually, compromising a timely diagnosis. We report the case of a 13-year-old male, who was admitted to the hospital due to swelling of the torso and neck. Besides these symptoms, the child was healthy, except for a significant growth delay. Ultrasound evaluation and blood tests led to the diagnosis of myxedema secondary to severe hypothyroidism, which was due to autoimmune thyroiditis. Further investigations revealed pericardial effusion and pituitary hyperplasia, with hyper-prolactinemia. Treatment with levothyroxine led to edema regression and clinical, hemato-chemical and radiological improvement. After 6 months, growth velocity increased, although the recovery of growth already lost was not guaranteed. Brain MRI showed regression of pituitary hyperplasia. The diagnostic delay in this case was probably due to the patient’s apparent good health, and the underestimation of growth restriction. This report underlines the importance of growth monitoring in adolescence, a critical period for identifying endocrine conditions; if undiagnosed, these conditions can lead to serious complications, such as myxedema in hypothyroidism, with potential effects beyond growth on multiple organs. Full article
(This article belongs to the Section Pediatric Endocrinology & Diabetes)
Show Figures

Figure 1

9 pages, 236 KB  
Article
Iatrogenic Neonatal Esophageal Perforation: A European Multicentre Review on Management and Outcomes
by Eva Sorensen, Connie Yu, Shu-Ling Chuang, Paola Midrio, Leopoldo Martinez, Mathew Nash, Ingo Jester and Amulya K. Saxena
Children 2023, 10(2), 217; https://doi.org/10.3390/children10020217 - 26 Jan 2023
Cited by 4 | Viewed by 3121
Abstract
Background: The aim of this multicenter retrospective study and literature review was to review management and outcomes of neonatal esophageal perforation (NEP). Methods: Protocol data were collected from four European Centers on gestational age, factors surrounding feeding tube insertion, management and outcomes. Results: [...] Read more.
Background: The aim of this multicenter retrospective study and literature review was to review management and outcomes of neonatal esophageal perforation (NEP). Methods: Protocol data were collected from four European Centers on gestational age, factors surrounding feeding tube insertion, management and outcomes. Results: The 5-year study period (2014–2018) identified eight neonates with median gestational age of 26 + 4 weeks (23 + 4–39) and median birth weight 636 g (511–3500). All patients had NEP from enterogastric tube insertions, with the perforation occurring at median 1st day of life (range 0–25). Seven/eight patients were ventilated (two/seven-high frequency oscillation). NEP became apparent on first tube placement (n = 1), first change (n = 5), and after multiple changes (n = 2). Site of perforation was known in six (distal n = 3, proximal n = 2 and middle n = 1). Diagnosis was established by respiratory distress (n = 4), respiratory distress and sepsis (n = 2) and post-insertion chest X-ray (n = 2). Management in all patients included antibiotics and parenteral nutrition with two/eight receiving steroids and ranitidine, one/eight steroids only and one/eight ranitidine only. One neonate had a gastrostomy inserted, while in another an enterogastric tube was orally successfully re-inserted. Two neonates developed pleural effusion and/or mediastinal abscess requiring chest tube. Three neonates had significant morbidities (related to prematurity) and there was one death 10 days post-perforation (related to prematurity complications). Conclusions: NEP during NGT insertion is rare even in premature infants after evaluating data from four tertiary centers and reviewing the literature. In this small cohort, conservative management seems to be safe. A larger sample size will be necessary to answer questions on efficacy of antibiotics, antacids and NGT re-insertion time frame in NEP. Full article
15 pages, 11105 KB  
Article
The Influence of Surgical Realignment Procedures on Dynamic Patellar Tracking: A Dynamic Magnetic Resonance Imaging-Controlled Feasibility Study
by Jannik Frings, Tobias Dust, Jennifer Meyer, Matthias Krause, Karl-Heinz Frosch, Gerhard Adam, Frank Oliver Henes, Clemens Spink and Kai-Jonathan Maas
Diagnostics 2022, 12(11), 2761; https://doi.org/10.3390/diagnostics12112761 - 11 Nov 2022
Cited by 5 | Viewed by 2789
Abstract
Persisting patellar maltracking following surgical realignment often remains unseen. The aim of this study was to analyze the effects of realignment procedures on patellofemoral kinematics in patients with patellofemoral instability (PFI) and patellofemoral maltracking (PM) by using dynamic magnetic resonance imaging (MRI). Patients [...] Read more.
Persisting patellar maltracking following surgical realignment often remains unseen. The aim of this study was to analyze the effects of realignment procedures on patellofemoral kinematics in patients with patellofemoral instability (PFI) and patellofemoral maltracking (PM) by using dynamic magnetic resonance imaging (MRI). Patients planned for surgical patellar realignment due to PFI and a clinically and radiologically apparent PM between December 2019 and May 2022 were included. Patients without PM, limited range of motion, joint effusion, or concomitant injuries were excluded. Dynamic mediolateral translation (dMPT) and patella tilt (dPT) were measured preoperatively and three months postoperatively. In 24 patients (7 men, 17 women; mean age 23.0 years), 10 tibial tubercle transfers, 5 soft tissue patella tendon transfers, 6 trochleoplasties, 3 lateral lengthenings, 1 varizating distal femoral osteotomy (DFO), and 1 torsional DFO were performed. At final follow-up, dMPT (from 10.95 ± 5.93 mm to 4.89 ± 0.40 mm, p < 0.001) and dPT (from 14.50° ± 10.33° to 8.44° ± 7.46°, p = 0.026) were significantly improved. All static radiological parameters were corrected to physiological values. Surgical patellar realignment contributed to the significant improvement of patellofemoral kinematics, with an approximation to normal values. The postoperative application of dynamic MRI allowed for a quantification of the performed correction, allowing for a postoperative control of success. Full article
(This article belongs to the Special Issue Advanced MRI in Clinical Diagnosis)
Show Figures

Figure 1

27 pages, 8117 KB  
Article
New Unexpected Species of Acheta (Orthoptera, Gryllidae) from the Italian Volcanic Island of Pantelleria
by Bruno Massa, Camillo Antonino Cusimano, Paolo Fontana and Cesare Brizio
Diversity 2022, 14(10), 802; https://doi.org/10.3390/d14100802 - 26 Sep 2022
Cited by 5 | Viewed by 4991
Abstract
In late April 2022, while listening to audio files from an unsupervised bioacoustic assessment of the shearwater populations (Aves, Procellariiformes) on the coast of Pantelleria island (Sicily, Italy), a cricket song of unknown attribution was heard. The first bioacoustic analyses, including FFT-based spectrograms [...] Read more.
In late April 2022, while listening to audio files from an unsupervised bioacoustic assessment of the shearwater populations (Aves, Procellariiformes) on the coast of Pantelleria island (Sicily, Italy), a cricket song of unknown attribution was heard. The first bioacoustic analyses, including FFT-based spectrograms and sound pressure envelopes, confirmed that it could not be attributed to the known sound of any Italian nor Mediterranean species of cricket. In the ensuing weeks, field research at the original station and further localities on the southern coast of Pantelleria provided photographs, living specimens, and further audio records. As soon as the photos were shared among the authors, it became clear the species belonged to the genus Acheta. Further bioacoustic analyses and morphological comparison with type specimens of Mediterranean and North-African congenerics in relevant collections and the scientific literature were conducted: they confirmed that the findings could only be attributed to a still undescribed species that escaped detection due to its impervious and unfrequented habitat. Acheta pantescus n. sp. is apparently restricted to the effusive coastal cliffs of the island of Pantelleria, a habitat whose scant extension and vulnerability require environmental protection actions such as the inclusion in a special Red List by the IUCN Italian Committee. Full article
Show Figures

Graphical abstract

13 pages, 2167 KB  
Article
Influence of Glucocorticoids on Cellular Senescence Hallmarks in Osteoarthritic Fibroblast-like Synoviocytes
by Olivier Malaise, Geneviève Paulissen, Céline Deroyer, Federica Ciregia, Christophe Poulet, Sophie Neuville, Zelda Plener, Christophe Daniel, Philippe Gillet, Chantal Lechanteur, Jean-Marc Brondello, Dominique de Seny and Michel Malaise
J. Clin. Med. 2021, 10(22), 5331; https://doi.org/10.3390/jcm10225331 - 16 Nov 2021
Cited by 6 | Viewed by 2722
Abstract
Osteoarthritis (OA) is recognized as being a cellular senescence-linked disease. Intra-articular injections of glucocorticoids (GC) are frequently used in knee OA to treat synovial effusion but face controversies about toxicity. We investigated the influence of GC on cellular senescence hallmarks and senescence induction [...] Read more.
Osteoarthritis (OA) is recognized as being a cellular senescence-linked disease. Intra-articular injections of glucocorticoids (GC) are frequently used in knee OA to treat synovial effusion but face controversies about toxicity. We investigated the influence of GC on cellular senescence hallmarks and senescence induction in fibroblast-like synoviocytes (FLS) from OA patients and mesenchymal stem cells (MSC). Methods: Cellular senescence was assessed via the proliferation rate, β-galactosidase staining, DNA damage and CKI expression (p21, p16INK4A). Experimental senescence was induced by irradiation. Results: The GC prednisolone did not induce an apparent senescence phenotype in FLS, with even higher proliferation, no accumulation of β-galactosidase-positive cells nor DNA damage and reduction in p21mRNA, only showing the enhancement of p16INK4A. Prednisolone did not modify experimental senescence induction in FLS, with no modulation of any senescence parameters. Moreover, prednisolone did not induce a senescence phenotype in MSC: despite high β-galactosidase-positive cells, no reduction in proliferation, no DNA damage and no CKI enhancement was observed. Conclusions: We provide reassuring in vitro data about the use of GC regarding cellular senescence involvement in OA: the GC prednisolone did not induce a senescent phenotype in OA FLS (the proliferation ratio was even higher) and in MSC and did not worsen cellular senescence establishment. Full article
Show Figures

Figure 1

12 pages, 10828 KB  
Article
Active IR Thermography Evaluation of Coating Thickness by Determining Apparent Thermal Effusivity
by Alexey Moskovchenko, Vladimir Vavilov, Michal Švantner, Lukáš Muzika and Šárka Houdková
Materials 2020, 13(18), 4057; https://doi.org/10.3390/ma13184057 - 12 Sep 2020
Cited by 22 | Viewed by 3765
Abstract
Pulsed thermography is a common technique for nondestructive testing (NDT) of materials. This study presents the apparent effusivity method for the quantitative evaluation of coating thickness in a one-sided thermal NDT procedure. The proposed algorithm is based on determining a threshold value of [...] Read more.
Pulsed thermography is a common technique for nondestructive testing (NDT) of materials. This study presents the apparent effusivity method for the quantitative evaluation of coating thickness in a one-sided thermal NDT procedure. The proposed algorithm is based on determining a threshold value of apparent effusivity, which can be found for particular coating-on-substrate structures. It has been found that the square root of the time at which the apparent effusivity curve reaches this threshold is proportional to the coating thickness. The efficiency of the proposed approach is demonstrated by analytical modeling and experimentation performed on thermally-sprayed coatings. Full article
(This article belongs to the Special Issue Microstructure, Tribological and Corrosion Behaviors of Coatings)
Show Figures

Graphical abstract

11 pages, 986 KB  
Article
Diffusion-Weighted Magnetic Resonance Imaging as a Noninvasive Parameter for Differentiating Benign and Malignant Intraperitoneal Collections
by Paul-Andrei Ștefan, Csaba Csutak, Andrei Lebovici, Georgeta Mihaela Rusu and Carmen Mihaela Mihu
Medicina 2020, 56(5), 217; https://doi.org/10.3390/medicina56050217 - 1 May 2020
Cited by 5 | Viewed by 2816
Abstract
Background and Objective: The imaging differentiation of benign from malignant intraperitoneal collections (IPCs) relies on the tumoral morphological modifications of the peritoneum, which are not always advocating for malignancy. We aimed to assess ascitic fluid with the apparent diffusion coefficient (ADC) to [...] Read more.
Background and Objective: The imaging differentiation of benign from malignant intraperitoneal collections (IPCs) relies on the tumoral morphological modifications of the peritoneum, which are not always advocating for malignancy. We aimed to assess ascitic fluid with the apparent diffusion coefficient (ADC) to determine non-invasive, stand-alone, differentiation criteria for benign and malignant intraperitoneal effusions. Materials and Methods: Sixty-one patients with known IPCs who underwent magnetic resonance examinations for reasons such as tumor staging, undetermined abdominal mass and disease follow up were retrospectively included in this study. All subjects had a final diagnosis of the fluid based on pathological examinations, which were divided into benign (n = 37) and malignant (n = 24) IPCs groups. ADC values were measured separately by two radiologists, and the average values were used for comparing the two groups by consuming the independent samples t-test. The receiver operating characteristic analysis was performed to test the ADC values’ diagnostic ability to distinguish malignant from benign collections. Results: The differentiation between benign and malignant IPCs based on ADC values was statistically significant (p = 0.0034). The mean ADC values were higher for the benign (3.543 × 10−3 mm2/s) than for the malignant group (3.057 × 10−3 mm2/s). The optimum ADC cutoff point for the diagnosis of malignant ascites was <3.241 × 10−3 mm2/s, with a sensitivity of 77.78% and a specificity of 80%. Conclusions: ADC represents a noninvasive and reproducible imaging parameter that may help to assess intraperitoneal collections. Although successful in distinguishing malignant from benign IPCs, further research must be conducted in order to certify if the difference in ADC values is a consequence of the physical characteristics of the ascitic fluids or their appurtenance to a certain histopathological group. Full article
(This article belongs to the Section Oncology)
Show Figures

Graphical abstract

21 pages, 8574 KB  
Review
Malignant Pleural Effusion and Its Current Management: A Review
by Kristijan Skok, Gaja Hladnik, Anja Grm and Anton Crnjac
Medicina 2019, 55(8), 490; https://doi.org/10.3390/medicina55080490 - 15 Aug 2019
Cited by 92 | Viewed by 33458
Abstract
Malignant pleural effusion (MPE) is an exudative effusion with malignant cells. MPE is a common symptom and accompanying manifestation of metastatic disease. It affects up to 15% of all patients with cancer and is the most common in lung, breast cancer, lymphoma, gynecological [...] Read more.
Malignant pleural effusion (MPE) is an exudative effusion with malignant cells. MPE is a common symptom and accompanying manifestation of metastatic disease. It affects up to 15% of all patients with cancer and is the most common in lung, breast cancer, lymphoma, gynecological malignancies and malignant mesothelioma. In the last year, many studies were performed focusing on the pathophysiological mechanisms of MPE. With the advancement in molecular techniques, the importance of tumor-host cell interactions is becoming more apparent. Additionally, the process of pathogenesis is greatly affected by activating mutations of EGFR, KRAS, PIK3CA, BRAF, MET, EML4/ALK and RET, which correlate with an increased incidence of MPE. Considering all these changes, the authors aim to present a literature review of the newest findings, review of the guidelines and pathophysiological novelties in this field. Review of the just recently, after seven years published, practice guidelines, as well as analysis of more than 70 articles from the Pubmed, Medline databases that were almost exclusively published in indexed journals in the last few years, have relevance and contribute to the better understanding of the presented topic. MPE still presents a severe medical condition in patients with advanced malignancy. Recent findings in the field of pathophysiological mechanisms of MPE emphasize the role of molecular factors and mutations in the dynamics of the disease and its prognosis. Treatment guidelines offer a patient-centric approach with the use of new scoring systems, an out of hospital approach and ultrasound. The current guidelines address multiple areas of interest bring novelties in the form of validated prediction tools and can, based on evidence, improve patient outcomes. However, the role of biomarkers in a clinical setting, possible new treatment modalities and certain specific situations still present a challenge for new research. Full article
Show Figures

Figure 1

10 pages, 2226 KB  
Article
Diffusion-Weighted Imaging Can Differentiate between Malignant and Benign Pleural Diseases
by Katsuo Usuda, Shun Iwai, Aika Funasaki, Atsushi Sekimura, Nozomu Motono, Munetaka Matoba, Mariko Doai, Sohsuke Yamada, Yoshimichi Ueda and Hidetaka Uramoto
Cancers 2019, 11(6), 811; https://doi.org/10.3390/cancers11060811 - 12 Jun 2019
Cited by 20 | Viewed by 4535
Abstract
It is not clear whether magnetic resonance imaging (MRI) is useful for the assessment of pleural diseases. The aim of this study is to determine whether diffusion-weighted magnetic resonance imaging (DWI) can differentiate malignant pleural mesothelioma (MPM) from pleural dissemination of lung cancer, [...] Read more.
It is not clear whether magnetic resonance imaging (MRI) is useful for the assessment of pleural diseases. The aim of this study is to determine whether diffusion-weighted magnetic resonance imaging (DWI) can differentiate malignant pleural mesothelioma (MPM) from pleural dissemination of lung cancer, empyema or pleural effusion. The DWI was calibrated with the b value of 0 and 800 s/mm2. There were 11 MPMs (8 epithelioid and 3 biphasic), 10 pleural disseminations of lung cancer, 10 empyemas, and 12 pleural effusions. The apparent diffusion coefficient (ADC) of the pleural diseases was 1.22 ± 0.25 × 10−3 mm2/s in the MPMs, 1.31 ± 0.49 × 10−3 mm2/s in the pleural disseminations, 2.01 ± 0.45 × 10−3 mm2/s in the empyemas and 3.76 ± 0.62 × 10−3 mm2/s in the pleural effusions. The ADC of the MPMs and the pleural disseminations were significantly lower than the ADC of the empyemas and the pleural effusions. Concerning the diffusion pattern of DWI, all 11 MPMs showed strong continuous diffusion, 9 of 10 pleural disseminations showed strong scattered diffusion and 1 pleural dissemination showed strong continuous diffusion, all 10 empyemas showed weak continuous diffusion, and all 12 pleural effusions showed no decreased diffusion. DWI can evaluate pleural diseases morphologically and qualitatively, and thus differentiate between malignant and benign pleural diseases. Full article
(This article belongs to the Special Issue Role of Medical Imaging in Cancers)
Show Figures

Figure 1

4 pages, 624 KB  
Case Report
Surviving Acute Traumatic Transection of the Ascending Aorta and Proximal Aortic Arch
by Dominique Fichmann, Paul Robert Vogt and Daniel Schmidlin
Cardiovasc. Med. 2013, 16(9), 243; https://doi.org/10.4414/cvm.2013.00178 - 25 Sep 2013
Cited by 2 | Viewed by 57
Abstract
We report a 22-year-old male patient who survived clinically unapparent acute traumatic transection of the distal ascending aorta and the proximal aortic arch. Two months after the incident, the patient presented with hoarseness, respiratory distress and severe venous congestion of the upper part [...] Read more.
We report a 22-year-old male patient who survived clinically unapparent acute traumatic transection of the distal ascending aorta and the proximal aortic arch. Two months after the incident, the patient presented with hoarseness, respiratory distress and severe venous congestion of the upper part of the body. Echocardiography demonstrated a huge mediastinal tumour, dilated right heart chambers as well as pericardial tamponade. In the computed tomography (CT), scan rupture of the distal ascending aorta and the proximal aortic arch was found. The preserved adventitial layer, preventing immediate death from exsanguination or pericardial tamponade, distended over time forming a false aneurysm with a diameter of 9 cm, with its main part being located to the left of the trachea. Systolo-diastolic motion of the thin-walled false aneurysm led to the typical pulse-synchronous horizontal motion of the thyroid cartilage and the trachea, described as the Cardarelli sign. As a result of systolic expansion and diastolic shrinking of this huge false aneurysm, the arterial blood pressure curve of the patient perfectly imitated the blood pressure curve seen only with a properly timed intra-aortic balloon pump. In addition, the systolic blood pressure repeatedly compressed the main pulmonary trunk, which crossed the bottom of the false aneurysm, consecutively leading to clinically apparent right heart failure, serous pericardial effusion and pericardial tamponade. The patient successfully underwent ascending aortic and proximal aortic arch replacement using deep hypothermia, circulatory arrest and selective antegrade cerebral perfusion. Full article
Show Figures

Figure 1

Back to TopTop