Next Article in Journal
Ein Kreuz im Herzen Einer Nonne
Previous Article in Journal
"Congenital" Chest Pain–Anomalous Origin of the Left Anterior Descending Coronary Artery from the Pulmonary Artery
 
 
Cardiovascular Medicine is published by MDPI from Volume 28 Issue 1 (2025). Previous articles were published by another publisher in Open Access under a CC-BY (or CC-BY-NC-ND) licence, and they are hosted by MDPI on mdpi.com as a courtesy and upon agreement with Editores Medicorum Helveticorum (EMH).
Font Type:
Arial Georgia Verdana
Font Size:
Aa Aa Aa
Line Spacing:
Column Width:
Background:
Case Report

Surviving Acute Traumatic Transection of the Ascending Aorta and Proximal Aortic Arch

by
Dominique Fichmann
1,
Paul Robert Vogt
2,* and
Daniel Schmidlin
3
1
Medical student, University of Zürich, 8006 Zürich, Switzerland
2
Cardiac surgeon, Cardiovascular Centre Zürich, Hospital “Im Park”, 8038 Zürich, Switzerland
3
Intensive Care Medicine, Hospital “Im Park”, 8038 Zürich, Switzerland
*
Author to whom correspondence should be addressed.
Cardiovasc. Med. 2013, 16(9), 243; https://doi.org/10.4414/cvm.2013.00178
Submission received: 25 June 2013 / Revised: 25 July 2013 / Accepted: 25 August 2013 / Published: 25 September 2013

Abstract

We report a 22-year-old male patient who survived clinically unapparent acute traumatic transection of the distal ascending aorta and the proximal aortic arch. Two months after the incident, the patient presented with hoarseness, respiratory distress and severe venous congestion of the upper part of the body. Echocardiography demonstrated a huge mediastinal tumour, dilated right heart chambers as well as pericardial tamponade. In the computed tomography (CT), scan rupture of the distal ascending aorta and the proximal aortic arch was found. The preserved adventitial layer, preventing immediate death from exsanguination or pericardial tamponade, distended over time forming a false aneurysm with a diameter of 9 cm, with its main part being located to the left of the trachea. Systolo-diastolic motion of the thin-walled false aneurysm led to the typical pulse-synchronous horizontal motion of the thyroid cartilage and the trachea, described as the Cardarelli sign. As a result of systolic expansion and diastolic shrinking of this huge false aneurysm, the arterial blood pressure curve of the patient perfectly imitated the blood pressure curve seen only with a properly timed intra-aortic balloon pump. In addition, the systolic blood pressure repeatedly compressed the main pulmonary trunk, which crossed the bottom of the false aneurysm, consecutively leading to clinically apparent right heart failure, serous pericardial effusion and pericardial tamponade. The patient successfully underwent ascending aortic and proximal aortic arch replacement using deep hypothermia, circulatory arrest and selective antegrade cerebral perfusion.

1. Introduction

Traumatic aortic transection is usually caused by high-speed impacts such as car accidents or serious falls resulting in various deceleration injuries of the heart and the great vessels. The vast majority of thoracic aortic transections relate to the descending thoracic aorta distal to the origin of the left subclavian artery, described as aortic transection loco classico [1]. Seventy to ninety percent of patients with loco classico transection die immediately on the accident scene. Acute survival is possible only if aortic adventitia and parietal pleura have been preserved and, therefore, are able to prevent exsanguination [2].
Traumatic transection of the ascending aorta, however, is seen as uniformly fatal and only a few anecdotal cases with highly specific conditions are reported in the literature [3]. This report describes a patient who survived clinically unapparent acute traumatic transection of the distal ascending aorta and aortic arch before presenting in a life-threatening condition two months later.

2. Case Report

This 22-year-old otherwise healthy Burmese worker tinkered with a car battery. Explosion of the battery occurred. The worker was catapulted away, bouncing of the wall of his workshop, lost consciousness for two minutes, woke up and continued his work. Aside from some minor skin lesions, he felt well continuing his daily life.
Two months later, hoarseness, progressive respiratory distress and a decrease in exercise capacity developed. The first clinical examination revealed prominent jugular veins, a slightly enlarged liver and some ascites. Outpatient echocardiography demonstrated pericardial effusion, and the patient was sent to Yangon Medical University in Yangon, Myanmar.
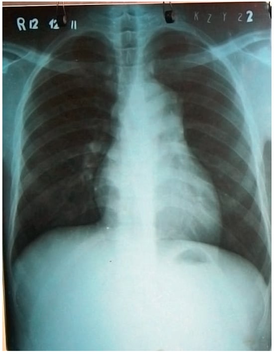
At Yangon Medical University, clinical and echocardiographic findings were confirmed. In addition, chest X-ray revealed a cardiothoracic ratio at its upper limit, but was otherwise found to be normal (Figure 1). Diuretic therapy was introduced and the patient temporarily improved.
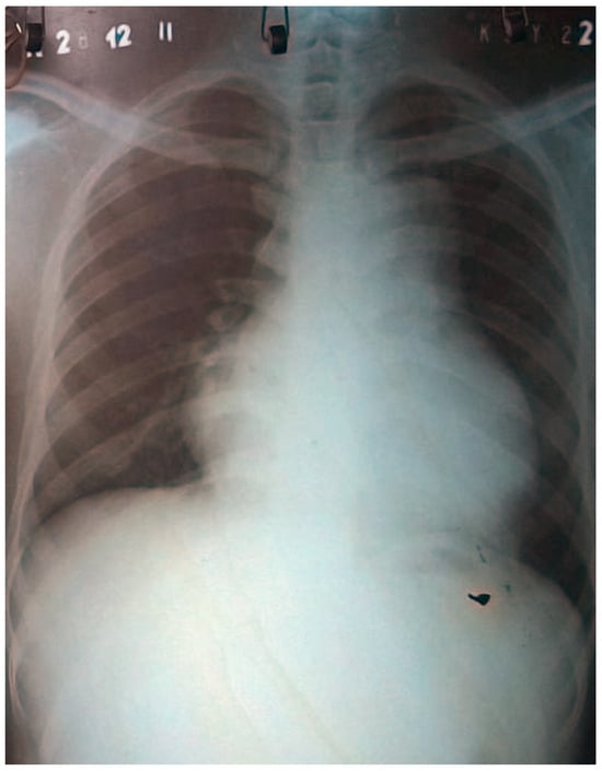
Sixteen days later, the patient complained of worsening of respiratory distress and a complete lack of exercise capacity. The chest X-ray now demonstrated marked enlargement of the heart (Figure 2). The computed tomography (CT) scan revealed a huge false aneurysm originating from the distal ascending aorta and the proximal aortic arch (Figure 3).
In addition, with the patient in supine position and slightly overstretched neck, more detailed clinical examination revealed a pulse-synchronous horizontal motion of the thyroid cartilage and the trachea, which is known as the Cardarelli sign. This was consistent with the finding of the huge false aneurysm, its main part being located to the left of the trachea. Venous congestion, liver enlargement and ascites all became impressively prominent and were the consequence of severe right heart failure.
The patient was referred for surgery. Consistent with the clinical findings of severe venous congestion, the central venous pressure was 24 mm Hg and did not change after induction of anaesthesia or with sternotomy and opening of the pericardium, which revealed severely dilated right heart chambers. Surprisingly, the patient’s arterial blood pressure curve spontaneously resembled a blood pressure curve seen only with a properly timed intra-aortic balloon pump (Figure 4).
After sternotomy and opening of the pericardium, a huge, thin-walled aneurysm of the anterior mediastinum extending to the left chest wall and even into the left apical pleural space was found. The ascending aorta and aortic arch were found to be approachable only with the help of deep hypothermia and circulatory arrest.
Heparin was given, the left common iliac artery, the brachiocephalic trunk and the right atrium were canulated and the patient been cooled down to 16 °C. A vent was inserted into the left ventricle via the upper right pulmonary vein to prevent left ventricular distension, particularly during hypothermia-induced ventricular fibrillation.
When deep hypothermia had been reached, pump flow was reduced to 600 mL/minute. The tip of the arterial canula in the brachiocephalic trunk was rotated distally. The arterial line in the common iliac artery and the origin of the brachiocephalic trunk were clamped, thus starting circulatory arrest with selective antegrade cerebral perfusion via the brachiocephalic trunk. The false aneurysm was incised, the proximal ascending aorta and the origin of the coronary arteries identified and cold crystalloid cardioplegia infused leading to prompt cardiac arrest.
Complete transection of the distal part of the ascending aorta has been found (Figure 5). In addition, the concave part of the proximal aortic arch was ruptured giving a direct view into the proximal descending thoracic aorta. The posterior wall of the false aneurysm was formed by the main pulmonary artery, which crossed the bottom of the aneurysm. Hence, during systole, the main pulmonary artery had obviously been compressed by the pulse-synchronous extension of the thin-walled aneurysm, leading to a functional main pulmonary artery stenosis with resultant right heart failure, right atrial dilatation and serous pericardial effusion.
With a 24 mm vascular prosthesis the distal anastomosis was constructed underneath the aortic arch, its distal end reaching the proximal descending aorta. After completion of the anastomosis, full pump flow was started and the patient rewarmed. Thereafter, the proximal anastomosis of the vascular graft to the ascending aorta was performed, again using strips of autologous pericardium to reinforce it. After complete rewarming, weaning from bypass, decanulation and haemostasis, the size of the right heart chambers had normalised, and the central venous pressure and the shape of the arterial blood pressure curve had become normal (Figure 6). After wound closure, the patient was transferred to the intensive care station. Postoperative recovery was uneventful and the patient was extubated ten hours after surgery. He was discharged home after twelve days in excellent condition.

3. Discussion

Acute transection of the ascending aorta and aortic arch usually is uniformly fatal and represents a well-known mechanism of immediate death in vertical highimpact accidents. Preservation of the ascending aortic and aortic arch adventitia led to survival of the initial event. Formation of the huge false aneurysm first proved hoarseness, followed by right heart failure due to dynamic and pulse-synchronous compression of the main pulmonary artery, which crossed the bottom of the aneurysm. Although the main trunk of the pulmonary artery was displaced dorsally, its entire trunk was involved into the aneurysm, as there is a common adventitia of the ascending aorta and the main pulmonary artery.
Right heart failure and pericardial tamponade produced the leading clinical findings. The pericardial effusion was a transudate due to heart failure not a consequence of a “leaking” aneurysm of the ascending aorta.
Besides the common clinical symptoms, the patient presented the rare finding of the so-called Cardarelli sign that was first described by Antonio Cardarelli and William Silver Oliver in 1878 [4,5]. The better-known Oliver-Cardarelli-sign consists of a vertical pulsation of the larynx synchronous with ventricular systole. It is elicited when the larynx is grasped between the thumb and index finger while the patient is in the erect position. The sign is indicative of an aneurysm of the aortic arch, of mediastinal tumours and chronic obstructive airways disease. The Cardarelli sign, however, indicates laryngotracheal tube pulsations that are felt as pulse-synchronous horizontal laryngeal displacements that are usually related to aneurysms of the ascending aorta and aortic arch. In our patient, we were able to observe directly and palpate this rare finding.
The native arterial blood pressure curve of the patient was even more exceptional, as its blood pressure curve perfectly imitated the arterial blood pressure curve seen only with a properly timed intra-aortic balloon pump. This was due to the systolic expansion and diastolic shrinking of this huge and extremely thin-walled false aneurysm. Ventricular ejection during systole led to a marked expansion of this pliable and elastic aneurysm, so that a marked amount of blood was stored in the huge cavity of the aneurysm. During diastole, the elastic recoil of the aneurysm repulsed the blood back into the ascending aorta, as in the filling phase of the balloon of the intra-aortic balloon pump after closure of the aortic valve. This may also have improved the patient’s coronary artery perfusion pressure, particularly in diastole, making his heart more resistant and able to tolerate an unfortunate circulatory status for a longer period of time. Hence, the intra-aortic balloon pump effect of the huge false aneurysm probably prevented earlier myocardial decompensation and, maybe, even sudden cardiac death [6]. After completion of aortic surgery, the blood pressure curve was entirely normal. To the best of our knowledge, this is the first description of a spontaneous native arterial blood pressure curve, imitating a perfectly timed intra-aortic balloon pump.
In conclusion, unapparent transection of the ascending aorta and the proximal aortic arch is completely uncommon. Moreover, the two-month survival with this large pseudoaneurysm of the ascending aorta is extremely rare. The clinical finding of the Cardarelli sign, as well as the intra-aortic balloon pump-like shape of the native, spontaneous arterial blood pressure curve, both provoked by the pseudoaneurysm, confirm the exceptional nature of this case.

Funding

No financial support.

Conflicts of Interest

No other potential conflict of interest relevant to this article was reported.

References

  1. Prijon, T.; Ermenc, B. Classification of blunt aortic injuries a new systematic overview of aortic trauma. Forensic Sci. Int. 2010, 195, 6–9. [Google Scholar] [CrossRef] [PubMed]
  2. Macura, K.J.; Corl, F.M.; Fishman, E.K.; Bluemke, D.A. Pathogenesis in acute aortic syndromes: Aortic aneurysm leak and rupture and traumatic aortic transection. Am. J. Roentgenol. 2003, 181, 303–307. [Google Scholar] [CrossRef] [PubMed]
  3. Albrecht, C.A.; Pepper, G.; Fuentes, F. Traumatic ascending aortic transection with pseudo-aneurysm. Acta Cardiol. 2003, 58, 163–164. [Google Scholar] [CrossRef] [PubMed]
  4. Cardarelli, A. Movimento Medico-Chirurgico. 1878, 11. Available online: http://www.whonamedit.com/synd.cfm/2554.html (accessed on 24 July 2013).
  5. Oliver, W.S. Physical diagnosis of thoracic aneurysm. Letter. Lancet 1878, 2, 406. [Google Scholar] [CrossRef]
  6. Pivatto Junior, F.; Tagliari, A.P.; Luvizetto, A.B.; Pereira, E.M.; Siliprandi, E.M.; Nesralla, I.A.; et al. Use of intra-aortic balloon pump in cardiac surgery: Analysis of 80 consecutive cases. Rev. Bras. Cir. Cardiovasc. 2012, 27, 251–259. [Google Scholar] [CrossRef][Green Version]
Figure 1. First chest X-ray without any evidence of a major thoracic aortic injury.
Figure 1. First chest X-ray without any evidence of a major thoracic aortic injury.
Cardiovascmed 16 00243 g001
Figure 2. Second chest X-ray 16 days later: rapid increase of the cardiothoracic ratio to 0.6.
Figure 2. Second chest X-ray 16 days later: rapid increase of the cardiothoracic ratio to 0.6.
Cardiovascmed 16 00243 g002
Figure 3. Computes tomography scan 25 days after admission: huge false aneurysm of the ascending aorta.
Figure 3. Computes tomography scan 25 days after admission: huge false aneurysm of the ascending aorta.
Cardiovascmed 16 00243 g003
Figure 4. Native radial artery blood pressure curve: perfect imitation of a properly timed intra-aortic balloon pump.
Figure 4. Native radial artery blood pressure curve: perfect imitation of a properly timed intra-aortic balloon pump.
Cardiovascmed 16 00243 g004
Figure 5. Complete transection of the middle part of the ascending aorta.
Figure 5. Complete transection of the middle part of the ascending aorta.
Cardiovascmed 16 00243 g005
Figure 6. A vascular graft has replaced the ascending aorta; note the marked decrease of right heart chambers after release of the functional pulmonary artery main stem stenosis.
Figure 6. A vascular graft has replaced the ascending aorta; note the marked decrease of right heart chambers after release of the functional pulmonary artery main stem stenosis.
Cardiovascmed 16 00243 g006

Share and Cite

MDPI and ACS Style

Fichmann, D.; Vogt, P.R.; Schmidlin, D. Surviving Acute Traumatic Transection of the Ascending Aorta and Proximal Aortic Arch. Cardiovasc. Med. 2013, 16, 243. https://doi.org/10.4414/cvm.2013.00178

AMA Style

Fichmann D, Vogt PR, Schmidlin D. Surviving Acute Traumatic Transection of the Ascending Aorta and Proximal Aortic Arch. Cardiovascular Medicine. 2013; 16(9):243. https://doi.org/10.4414/cvm.2013.00178

Chicago/Turabian Style

Fichmann, Dominique, Paul Robert Vogt, and Daniel Schmidlin. 2013. "Surviving Acute Traumatic Transection of the Ascending Aorta and Proximal Aortic Arch" Cardiovascular Medicine 16, no. 9: 243. https://doi.org/10.4414/cvm.2013.00178

APA Style

Fichmann, D., Vogt, P. R., & Schmidlin, D. (2013). Surviving Acute Traumatic Transection of the Ascending Aorta and Proximal Aortic Arch. Cardiovascular Medicine, 16(9), 243. https://doi.org/10.4414/cvm.2013.00178

Article Metrics

Back to TopTop