Sign in to use this feature.

Years

Between: -

Subjects

remove_circle_outline
remove_circle_outline
remove_circle_outline
remove_circle_outline
remove_circle_outline

Journals

Article Types

Countries / Regions

Search Results (12)

Search Parameters:
Keywords = Splenial lesion

Order results
Result details
Results per page
Select all
Export citation of selected articles as:
8 pages, 1138 KB  
Case Report
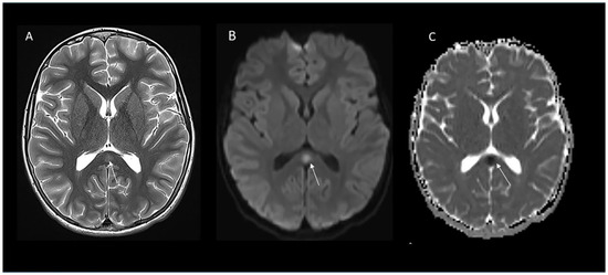
Influenza B-Associated Mild Encephalopathy with Reversible Splenial Lesion in an Adult: A Case Report
by Nicodemus Edrick Oey, Moe Pearl Shwe, Alvin Dingyuan Wang and Andrew Che Fai Hui
Neurol. Int. 2025, 17(12), 194; https://doi.org/10.3390/neurolint17120194 - 30 Nov 2025
Viewed by 430
Abstract
Background/Objectives: Mild Encephalopathy with Reversible Splenial Lesion (MERS) is a potential complication of certain viral infections, but adult cases involving influenza are rare in the literature. Here, we report a case of a 31-year-old Chinese gentleman with an atypical presentation of Influenza B-associated [...] Read more.
Background/Objectives: Mild Encephalopathy with Reversible Splenial Lesion (MERS) is a potential complication of certain viral infections, but adult cases involving influenza are rare in the literature. Here, we report a case of a 31-year-old Chinese gentleman with an atypical presentation of Influenza B-associated mild encephalopathy with reversible splenial lesion (MERS). Methods: This is a case report with a detailed chronology followed by a discussion of pathophysiology. Results: The patient presented acutely to the tertiary hospital with a severe headache and a peculiar automatism pattern of behaviour involving intermittent screaming, involuntary jerking movements of the upper limbs, and incoherent speech, which culminated in an episode of tonic–clonic seizure lasting 3 min. Symptoms started on the day that the patient was diagnosed with Influenza B and given the antiviral Baloxavir by his GP. Clinically, there was high anion gap metabolic acidosis with hyperlactatemia, rhabdomyolysis, hepatitis transaminitis and absolute lymphopenia. Nasopharyngeal swab PCR and immunofluorescence was positive for Influenza B. EEG was normal, but an MRI of the brain showed a cytotoxic lesion of the splenium of the corpus callosum. The patient was started on Oseltamivir and made a complete neurological recovery, with a repeat MRI showing resolution of the splenial lesion at 3 months. MERS is a rare clinic-radiological syndrome characterized by a transient encephalopathy and a reversible lesion in the splenium of the corpus callosum, which has been reported mostly in the pediatric population. Conclusions: This case report of an influenza B-triggered MERS in an adult highlights the importance of maintaining MERS as a differential for acute encephalopathy in adults with a viral prodrome. Full article
(This article belongs to the Section Brain Tumor and Brain Injury)
Show Figures

Figure 1

14 pages, 862 KB  
Article
Clinical Variability of Pediatric MERS: Insights from a Retrospective Observational Study
by Mariaelena Romeo, Maria Polselli, Vittorio Mantero, Romina Moavero, Luigi Mazzone and Massimiliano Valeriani
J. Clin. Med. 2025, 14(12), 4169; https://doi.org/10.3390/jcm14124169 - 12 Jun 2025
Cited by 2 | Viewed by 909
Abstract
Background/Objectives: Mild encephalitis/encephalopathy with reversible splenial lesion (MERS) is a rare neurological disorder primarily affecting pediatric patients but also observed in adults. The radiological hallmark of MERS is a reversible lesion in the splenium of the corpus callosum. Although MERS generally has [...] Read more.
Background/Objectives: Mild encephalitis/encephalopathy with reversible splenial lesion (MERS) is a rare neurological disorder primarily affecting pediatric patients but also observed in adults. The radiological hallmark of MERS is a reversible lesion in the splenium of the corpus callosum. Although MERS generally has a favorable prognosis, its variable presentation poses diagnostic challenges. This study examines the clinical variability, diagnostic hurdles, and outcomes of pediatric MERS cases. Methods: Our retrospective study included 19 pediatric patients (11 female and 8 males with an average age of 8.41 years) diagnosed with MERS between 2016 and 2024. Clinical data, including demographic characteristics, prodromal symptoms, neurological features, MRI findings, laboratory results, treatments, and outcomes, were analyzed. Results: Among the 19 patients, 84% were previously healthy, with the remaining 16% having pre-existing medical conditions. The most common prodromal symptoms were fever (68%), vomiting (47%), and diarrhea (32%). Neurological manifestations included seizures (26%), headache (21%), and drowsiness (21%), among others. In terms of etiology, infections were identified in 52% of the patients, with viral agents, particularly rotavirus, being the most common (40%). Hyponatremia was present in 63% of the cohort. The typical MRI splenial lesion underwent complete resolution in all patients. Treatment varied, with 53% of patients receiving electrolyte rehydration, and 21% receiving intravenous immunoglobulin or corticosteroids. All patients, but one, achieved full recovery. Discussion: This study reinforces the clinical heterogeneity of MERS in pediatric patients, emphasizing its favorable prognosis independently of presentation. Viral infections and hyponatremia were the most frequent etiologies. Full article
(This article belongs to the Special Issue Clinical Advances in Child Neurology)
Show Figures

Figure 1

11 pages, 1229 KB  
Article
Diffusion Restriction in the Splenium: A Comparative Study of Cytotoxic Lesions of the Corpus Callosum (CLOCCs) versus Lesions of Vascular Etiology
by Brian Stamm, Christina M. Lineback, Mengxuan Tang, Dan Tong Jia, Ella Chrenka, Farzaneh A. Sorond and Behnam Sabayan
J. Clin. Med. 2023, 12(22), 6979; https://doi.org/10.3390/jcm12226979 - 8 Nov 2023
Cited by 7 | Viewed by 3059
Abstract
Cytotoxic lesions of the corpus callosum (CLOCCs) have broad differential diagnoses. Differentiating these lesions from lesions of vascular etiology is of high clinical significance. We compared the clinical and radiological characteristics and outcomes between vascular splenial lesions and CLOCCs in a retrospective cohort [...] Read more.
Cytotoxic lesions of the corpus callosum (CLOCCs) have broad differential diagnoses. Differentiating these lesions from lesions of vascular etiology is of high clinical significance. We compared the clinical and radiological characteristics and outcomes between vascular splenial lesions and CLOCCs in a retrospective cohort study. We examined the clinical and radiologic characteristics and outcomes in 155 patients with diffusion restriction in the splenium of the corpus callosum. Patients with lesions attributed to a vascular etiology (N = 124) were older (64.1 vs. 34.6 years old, p < 0.001) and had >1 vascular risk factor (91.1% vs. 45.2%, p < 0.001), higher LDL and A1c levels, and echocardiographic abnormalities (all p ≤ 0.05). CLOCCs (N = 31) more commonly had midline splenial involvement (p < 0.001) with only splenial diffusion restriction (p < 0.001), whereas vascular etiology lesions were more likely to have multifocal areas of diffusion restriction (p = 0.002). The rate of in-hospital mortality was significantly higher in patients with vascular etiology lesions (p = 0.04). Across vascular etiology lesions, cardio-embolism was the most frequent stroke mechanism (29.8%). Our study shows that corpus callosum diffusion restricted lesions of vascular etiology and CLOCCs are associated with different baseline, clinical, and radiological characteristics and outcomes. Accurately differentiating these lesions is important for appropriate treatment and secondary prevention. Full article
(This article belongs to the Special Issue Ischemic Stroke, with Latest on Diagnosis to Treatment and Recovery)
Show Figures

Graphical abstract

8 pages, 3981 KB  
Case Report
Autoimmune Glial Fibrillary Acidic Protein (Gfap) Astrocytopa-Thy Accompanied with Reversible Splenial Lesion Syndrome (RESLES): A Case Report and Literature Review
by Siting Wang, Jianlan Yuan and Jingli Liu
Brain Sci. 2023, 13(4), 659; https://doi.org/10.3390/brainsci13040659 - 14 Apr 2023
Cited by 12 | Viewed by 3333
Abstract
Background: Autoimmune glial fibrillary acidic protein (GFAP) astrocytopathy usually presents as meningoencephalomyelitis. Many patients developed flu-like symptoms preceding the neurologic symptoms. Reversible lesion in the splenium of the corpus callosum (SCC) is a clinical and radiological syndrome secondary to many kinds of etiologies, [...] Read more.
Background: Autoimmune glial fibrillary acidic protein (GFAP) astrocytopathy usually presents as meningoencephalomyelitis. Many patients developed flu-like symptoms preceding the neurologic symptoms. Reversible lesion in the splenium of the corpus callosum (SCC) is a clinical and radiological syndrome secondary to many kinds of etiologies, including infections, which is termed RESLES. Case presentation: we reported a case developing irregularly high fever, both temporal pain, low limbs fatigue with frequent urination admitted to our neurology department. CSF test showed GFAP-IgG positive, elevated WBC counts and protein, with low glucose and chlorine, while MRI showed a reversible lesion on SCC, leading us to diagnose autoimmune GFAP autocytopathy accompanied with RESLES. The boy had significantly improved after anti-virus and steroids therapy. Discussion: Autoimmune GFAP autocytopathy accompanied with RESLES is rarely seen, and pathogenesis for the co-existence has not been clarified. Autoimmune GFAP autocytopathy and RESLES are both related to viral infection. Our case covered infectious symptoms and improved after antiviral treatment, suggesting virus infection may perform a key role in pathogenesis. Full article
(This article belongs to the Section Molecular and Cellular Neuroscience)
Show Figures

Figure 1

9 pages, 882 KB  
Case Report
A Case of COVID-Related MERS (Clinically Mild Encephalitis/Encephalopathy with a Reversible Splenial Lesion) with a Typical Imaging Course and Hyponatremia in Adults—A Case Report and Literature Review
by Mieko Tokano, Norihito Tarumoto, Iichiro Osawa, Jun Sakai, Mariko Okada, Kazuhide Seo, Yoshihiko Nakazato, Toshimasa Yamamoto, Takuya Maeda and Shigefumi Maesaki
COVID 2023, 3(2), 183-191; https://doi.org/10.3390/covid3020013 - 1 Feb 2023
Cited by 3 | Viewed by 3344
Abstract
Clinically mild encephalitis/encephalopathy with reversible splenial lesions (MERS) is a mild form of encephalitis/encephalopathy that appears in association with various conditions, including infection. COVID-19 is also known to cause MERS. MERS more commonly occurs in children, and adult cases are relatively rare. Typical [...] Read more.
Clinically mild encephalitis/encephalopathy with reversible splenial lesions (MERS) is a mild form of encephalitis/encephalopathy that appears in association with various conditions, including infection. COVID-19 is also known to cause MERS. MERS more commonly occurs in children, and adult cases are relatively rare. Typical head MRI findings include a round lesion in the mid-layer of the corpus callosum with a high signal intensity on diffusion-weighted images. Most improve within a week. Although the exact mechanism by which the cerebral corpus callosum is affected is still unknown, several hypotheses have been proposed, including the involvement of electrolyte abnormalities (e.g., hyponatremia) and inflammatory cytokines (e.g., IL-6). In this report, we describe the first case of COVID-associated MERS with a typical imaging course and hyponatremia, with a review of the relevant literature. When psychiatric symptoms and the disturbance of consciousness appear in COVID patients, MERS should be considered in addition to delirium due to fever and hypoxia. Full article
Show Figures

Figure 1

6 pages, 577 KB  
Case Report
Reversible Splenial Lesion Syndrome (RESLES) after Nitrous Oxide Abuse: A Case Report
by Yiming Tao, Jie Han, Xiangdong Jian and Yongsheng Li
Brain Sci. 2022, 12(10), 1284; https://doi.org/10.3390/brainsci12101284 - 23 Sep 2022
Cited by 3 | Viewed by 2707
Abstract
Background: Reversible splenial-lesion syndrome (RESLES) is a relatively rare and underrecognized clinical-imaging syndrome involving the splenium of the corpus callosum (SCC). RESLES can be caused by various etiologies. Case description: An 18-year-old man with no previous history of neurological or psychiatric disorders presented [...] Read more.
Background: Reversible splenial-lesion syndrome (RESLES) is a relatively rare and underrecognized clinical-imaging syndrome involving the splenium of the corpus callosum (SCC). RESLES can be caused by various etiologies. Case description: An 18-year-old man with no previous history of neurological or psychiatric disorders presented to our hospital with headache, intermittent blurred vision, and limb weakness after 150 days of recreational nitrous-oxide abuse. The patient’s serum vitamin B12 concentration was normal, and magnetic-resonance imaging (MRI) examination revealed isointensity on T1-weighted imaging (T1WI) of the corpus callosum and high signal intensity on T2WI, T2FLAIR, and diffusion-weighted MRI (DWI); thus, a diagnosis of RESLES was established. The patient received 0.5 mg of mecobalamin daily and nitrous oxide was discontinued. After 4 weeks, the patient’s symptoms disappeared and the imaging examination revealed normal findings. Conclusion: We report for the first time a case of headache, blurred vision, and hallucination caused by RESLES associated with nitrous-oxide abuse. In cases of headaches and hallucinations of unknown etiology, the possibility of RESLES caused by nitrous oxide abuse should be considered. Full article
(This article belongs to the Section Neuropharmacology and Neuropathology)
Show Figures

Figure 1

8 pages, 324 KB  
Case Report
Reversible Splenial Lesion Syndrome as a Challenging Casuistry
by Dominika Tatar, Bogusława Bocian, Krzysztof Świerzy and Karina Badura Brzoza
Int. J. Environ. Res. Public Health 2022, 19(16), 9842; https://doi.org/10.3390/ijerph19169842 - 10 Aug 2022
Cited by 3 | Viewed by 2335
Abstract
The corpus callosum plays a vital role in brain function. In particular, in the trunk of the corpus callosum, in the course of various diseases, there may be temporary, reversible changes (reversible splenial lesion syndrome (RESLES)), as well as partially reversible and irreversible [...] Read more.
The corpus callosum plays a vital role in brain function. In particular, in the trunk of the corpus callosum, in the course of various diseases, there may be temporary, reversible changes (reversible splenial lesion syndrome (RESLES)), as well as partially reversible and irreversible changes. This article discusses the differentiation of RESLES and other conditions with changes in the corpus callosum lobe, as well as the accompanying clinical symptoms. Moreover, a case report of a patient in whom the above changes appeared in the nuclear magnetic resonance (NMR) image is presented. A 20-year-old patient with the diagnosis of Ehlers–Danlos syndrome type VI was admitted to the psychiatric ward in an emergency because of psychomotor agitation, refusal to take food and fluids, delusional statements with a message, grandeur, and auditory hallucinations. In the performed magnetic resonance imaging (MRI) of the brain, the corpus callosum non-characteristic in T2-weighted images revealed a hyperintensive area, which was significantly hyperintensive in diffusion magnetic resonance (DWI) sequences and in apparent diffusion coefficient (ADC) sequences with reduced signal intensity and no signs of bleeding. The hypothesis of subacute ischemic stroke of the corpus callosum was presented. In the control MRI of the brain, changes in the corpus callosum completely regressed, thus excluding an ischemic etiology and favoring the diagnosis of RESLES. During hospitalization, the patient experienced significant fluctuations in mental status, with the dominant symptoms typical of the paranoid syndrome in the form of disturbances in the course and structure of thinking and perception, and a clear and stable improvement was obtained after the administration of long-acting intramuscular olanzapine. Taking into account the clinical and radiological picture, the age of the episode, the rapidity of the disease development, the persistence of its clinical symptoms after the withdrawal of radiological changes in the brain NMR image, as well as the significant improvement in the clinical condition after the introduction of antipsychotic drugs, the final diagnosis was made of schizophrenia. Full article
8 pages, 570 KB  
Case Report
Two Pediatric Cases of Multisystem Inflammatory Syndrome with Overlapping Neurological Involvement Following SARS-CoV-2 Vaccination and Unknown SARS-CoV2 Infection: The Importance of Pre-Vaccination History
by Veronica Santilli, Emma Concetta Manno, Carmela Giancotta, Chiara Rossetti, Nicola Cotugno, Donato Amodio, Gioacchino Andrea Rotulo, Annalisa Deodati, Roberto Bianchi, Giulia Lucignani, Daniela Longo, Massimiliano Valeriani and Paolo Palma
Vaccines 2022, 10(7), 1136; https://doi.org/10.3390/vaccines10071136 - 16 Jul 2022
Cited by 14 | Viewed by 3095
Abstract
The SARS-CoV-2 vaccine roll-out has been successful around the world. However, there are increasing concerns about adverse events. We report two pediatric cases of Multisystem-Inflammatory-Syndrome (MIS-C) with neurological involvement that occurred after SARS-CoV-2 vaccination and unknown recent SARS-CoV-2 infection. Brain magnetic resonance revealed [...] Read more.
The SARS-CoV-2 vaccine roll-out has been successful around the world. However, there are increasing concerns about adverse events. We report two pediatric cases of Multisystem-Inflammatory-Syndrome (MIS-C) with neurological involvement that occurred after SARS-CoV-2 vaccination and unknown recent SARS-CoV-2 infection. Brain magnetic resonance revealed mild-encephalopathy with reversible-splenial-lesion in both cases and complete resolution within 4 weeks. In conclusion, this report aims to describe rare emerging clinical entities that can help pediatricians to make an early diagnosis and to provide appropriate treatment. Multisystem-Inflammatory-Syndromes following COVID-19 vaccination remain rare events. When a history of a recent contact with SARS-CoV-2 is present, a careful evaluation by the clinicians in charge of immunization activities is suggested prior to proceeding with the vaccination. Full article
(This article belongs to the Special Issue Vaccination Related Adverse Reaction)
Show Figures

Figure 1

10 pages, 5886 KB  
Article
Splenial Callosal Disconnection in Right Hemianopic Patients Induces Right Visual-Spatial Neglect
by Francesco Tomaiuolo, Giovanni Raffa, Serena Campana, Giada Garufi, Stefano Lasaponara, Loredana Voci, Salvatore M. Cardali, Antonino Germanò, Fabrizio Doricchi and Michael Petrides
Brain Sci. 2022, 12(5), 640; https://doi.org/10.3390/brainsci12050640 - 12 May 2022
Cited by 4 | Viewed by 2849
Abstract
Posterior cerebral artery (PCA) territory infarction involving occipital cortical damage can give rise to contralateral homonymous hemianopia. Here, we report two rare cases of patients with lesions in the left hemisphere PCA territory who developed right visuo-spatial neglect. One patient suffered right hemianopia [...] Read more.
Posterior cerebral artery (PCA) territory infarction involving occipital cortical damage can give rise to contralateral homonymous hemianopia. Here, we report two rare cases of patients with lesions in the left hemisphere PCA territory who developed right visuo-spatial neglect. One patient suffered right hemianopia and right visuo-spatial neglect after a stroke that damaged the left primary visual cortex and the callosal splenial fibers. The other unique case is of a patient who had a brain tumor in the posterior cerebral region in the left hemisphere and initially exhibited only right hemianopia that developed into right visuo-spatial neglect after tumor resection that included the splenial fibers. These cases indicate that, as in cases with damage in the right PCA territory, lesions in the left PCA yield visuo-spatial neglect when the damage produces contralateral hemianopia and concomitant disconnection of the splenium of the corpus callosum, which interferes with the arrival of visual inputs from the intact right to the lesioned left hemisphere. These results also emphasize the necessity of sparing the splenial fibers in surgical interventions in patients who exhibit hemianopia. Full article
(This article belongs to the Special Issue Novel Understandings in Visual Awareness and Spatial Neglect)
Show Figures

Figure 1

8 pages, 1175 KB  
Case Report
Multisystem Inflammatory-like Syndrome in a Child Following COVID-19 mRNA Vaccination
by Tina Y. Poussaint, Kerri L. LaRovere, Jane W. Newburger, Janet Chou, Lise E. Nigrovic, Tanya Novak and Adrienne G. Randolph
Vaccines 2022, 10(1), 43; https://doi.org/10.3390/vaccines10010043 - 30 Dec 2021
Cited by 27 | Viewed by 17330
Abstract
A 12-year-old male was presented to the hospital with acute encephalopathy, headache, vomiting, diarrhea, and elevated troponin after recent COVID-19 vaccination. Two days prior to admission and before symptom onset, he received the second dose of the Pfizer-BioNTech COVID-19 vaccine. Symptoms developed within [...] Read more.
A 12-year-old male was presented to the hospital with acute encephalopathy, headache, vomiting, diarrhea, and elevated troponin after recent COVID-19 vaccination. Two days prior to admission and before symptom onset, he received the second dose of the Pfizer-BioNTech COVID-19 vaccine. Symptoms developed within 24 h with worsening neurologic symptoms, necessitating admission to the pediatric intensive care unit. Brain magnetic resonance imaging within 16 h of admission revealed a cytotoxic splenial lesion of the corpus callosum (CLOCC). Nineteen days prior to admission, he developed erythema migrans, and completed an amoxicillin treatment course for clinical Lyme disease. However, Lyme antibody titers were negative on admission and nine days later, making active Lyme disease an unlikely explanation for his presentation to hospital. An extensive workup for other etiologies on cerebrospinal fluid and blood samples was negative, including infectious and autoimmune causes and known immune deficiencies. Three weeks after hospital discharge, all of his symptoms had dissipated, and he had a normal neurologic exam. Our report highlights a potential role of mRNA vaccine-induced immunity leading to MIS-C-like symptoms with cardiac involvement and a CLOCC in a recently vaccinated child and the complexity of establishing a causal association with vaccination. The child recovered without receipt of immune modulatory treatment. Full article
Show Figures

Figure 1

4 pages, 1505 KB  
Case Report
Clinically Mild Encephalopathy with a Reversible Splenial Lesion Caused by Influenza B Virus in an Unvaccinated Child
by Silvia Ventresca, Claudia Guiducci, Sara Tagliani, Sara Dal Bo, Paolo Ricciardelli, Patrizia Cenni and Federico Marchetti
Pediatr. Rep. 2021, 13(1), 72-75; https://doi.org/10.3390/pediatric13010009 - 4 Feb 2021
Cited by 2 | Viewed by 3193
Abstract
Reversible lesions involved in the splenium of corpus callosum (RESLES) are a rare clinic-radiological condition, whose pathogenesis could be related to infectious events (such as in mild encephalopathy with reversible splenial lesion—MERS), epilepsy or metabolic/electrolyte disorders. MERS is characterized by an acute mild [...] Read more.
Reversible lesions involved in the splenium of corpus callosum (RESLES) are a rare clinic-radiological condition, whose pathogenesis could be related to infectious events (such as in mild encephalopathy with reversible splenial lesion—MERS), epilepsy or metabolic/electrolyte disorders. MERS is characterized by an acute mild encephalopathy associated with lesions in the splenium of corpus callosum on brain magnetic resonance imaging. Viral infections are commonly associated with this condition and type A influenza is the most common cause. The prognosis is generally favorable with spontaneous resolution of clinical and radiological abnormalities. We report a case report of type B influenza MERS in an 8-year-old unvaccinated girl with complete clinical and radiological recovery. Full article
Show Figures

Figure 1

3 pages, 650 KB  
Case Report
Mild Encephalopathy with Reversible Lesions in the Splenium of Corpus Callosum and Bilateral Cerebral Deep white Matter in Identical twins
by Junko Tahara, Jun Shinozuka, Hitoshi Awaguni, Shin-ichiro Tanaka, Shigeru Makino, Rikken Maruyama and Shinsaku Imashuku
Pediatr. Rep. 2016, 8(3), 6615; https://doi.org/10.4081/pr.2016.6615 - 19 Sep 2016
Cited by 6 | Viewed by 681
Abstract
Identical twin brothers developed mild encephalopathy at the age of 7.0 and 9.7 years (Patient 1) and 10.7 years (Patient 2). Patient 1 had influenza A at the time of his second episode, but triggering agents were not evident at the first episode. [...] Read more.
Identical twin brothers developed mild encephalopathy at the age of 7.0 and 9.7 years (Patient 1) and 10.7 years (Patient 2). Patient 1 had influenza A at the time of his second episode, but triggering agents were not evident at the first episode. The triggering agents in Patient 2 were unclear. The neurological features of both patients included transient facial numbness, left arm paresis, dysarthria, and gait disturbance. Diffusion-weighted images from magnetic resonance imaging showed high signal levels at the splenium of corpus callosum and in the bilateral cerebral deep white matter. These results are characteristic of mild encephalitis/encephalopathy with a reversible isolated splenium of corpus callosum lesion. All three episodes were treated with a methylprednisolone pulse. Acyclovir was also administered to Patient 2 and to Patient 1 during his first episode. Patient 1 received an anti-influenza agent and intravenous immunoglobulin during his second episode. Both patients recovered completely without sequelae. Genetic factors, which may predispose identical twins to develop encephalopathy, are discussed. Full article
Back to TopTop