Sign in to use this feature.

Years

Between: -

Subjects

remove_circle_outline
remove_circle_outline
remove_circle_outline
remove_circle_outline
remove_circle_outline
remove_circle_outline
remove_circle_outline

Journals

Article Types

Countries / Regions

Search Results (66)

Search Parameters:
Keywords = HRCT patterns

Order results
Result details
Results per page
Select all
Export citation of selected articles as:
15 pages, 4017 KB  
Review
COVID-19 and Interstitial Lung Disease
by Roberto G. Carbone, Sharada Nagoti, Assaf Monselise, Keith M. Wille, Francesco Puppo and Pallav L. Shah
Medicina 2026, 62(1), 22; https://doi.org/10.3390/medicina62010022 - 23 Dec 2025
Viewed by 1683
Abstract
Background and Objectives: COVID-19 is an infection caused by the SARS-CoV-2 coronavirus that may develop several complications. Interstitial lung disease (ILD) is the major long-term complication of COVID-19 disease leading to progressive lung fibrosis and reduced respiratory function. The aim of this [...] Read more.
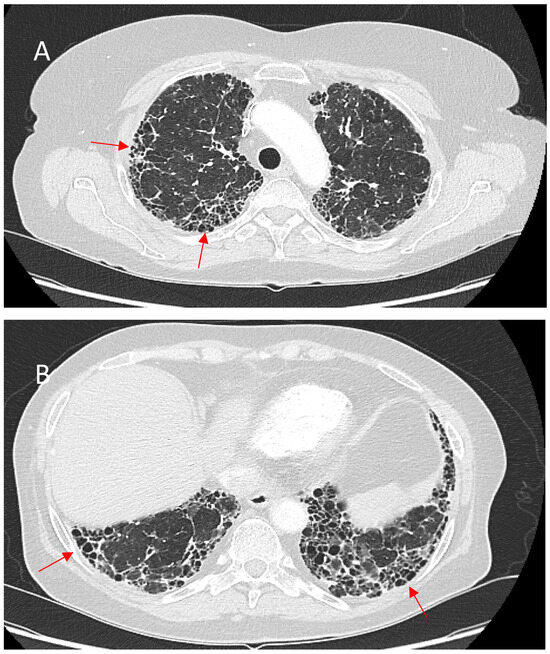
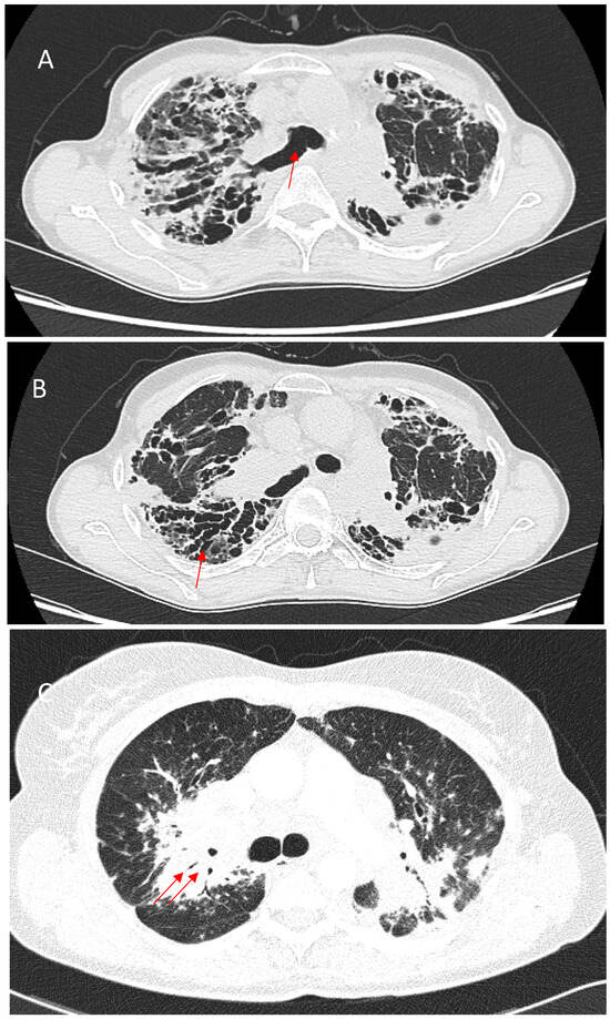
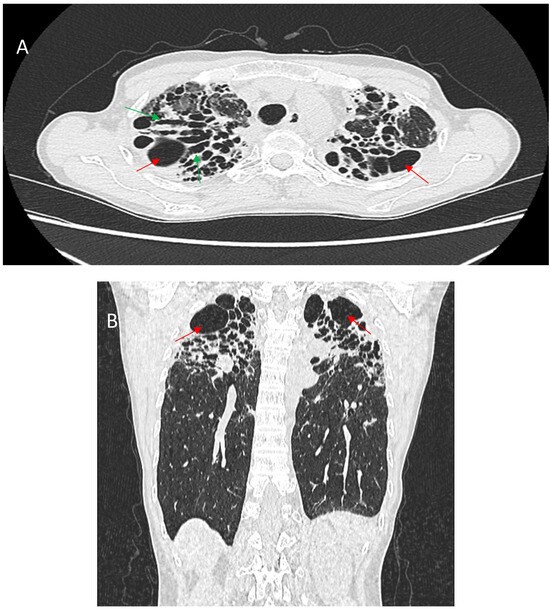
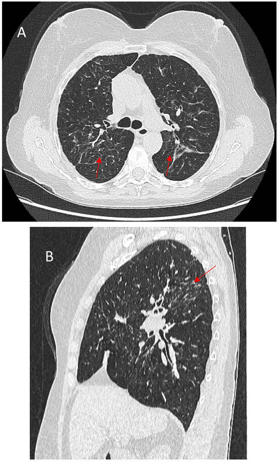
Background and Objectives: COVID-19 is an infection caused by the SARS-CoV-2 coronavirus that may develop several complications. Interstitial lung disease (ILD) is the major long-term complication of COVID-19 disease leading to progressive lung fibrosis and reduced respiratory function. The aim of this narrative review is to provide an updated overview of post-COVID-19 ILD by examining research publications and clinical guidelines selected from PubMed, Web of Science, and major respiratory medicine journals from 2020 to 2025. Methods: ILDs are diagnosed by medical history, physiological examination, pulmonary function tests, and chest X-ray or high-resolution computed tomography (HRCT) scan. Lung biopsy, especially cryobiopsy or video-assisted thoracoscopic (VATS) biopsy, can be performed to define histological patterns and confirm the diagnosis. Results: Post-COVID-19 ILD is a chronic condition characterized by long-term respiratory symptoms, radiological findings, and reduced lung function. Fibrotic injury is a consequence of the initial infection and could be influenced by persistent inflammation and dysregulated tissue repair. Risk factors include severe acute illness, advanced age, male sex, and smoking. Clinical course and prognosis of post-COVID-19 ILD is uncertain, as most patients experience gradual improvement or stability, whereas others develop progressive lung function decline. Treatment of post-COVID-19 ILD is not presently defined by guidelines but comprises corticosteroids, antifibrotics (including new drugs such as nerandomilast), supportive oxygen, pulmonary physiotherapy rehabilitation, smoking cessation, and vaccination. Conclusions: ILD represents a significant long-term complication of COVID-19 infection. Further investigations are required to better understand its pathophysiology and clinical management. As research progresses, more effective diagnostic and therapeutic strategies are expected to emerge. Full article
(This article belongs to the Special Issue Diagnosis and Treatment of Interstitial Lung Disease)
Show Figures

Figure 1

12 pages, 242 KB  
Article
Fibrotic Patterns and Diagnostic Correlates in Hypersensitivity Pneumonitis: Clinical, Radiologic, and Hematologic Insights
by Esma Sevil Akkurt, Berna Akıncı Ozyurek, Kerem Ensarioglu, Tugce Sahin Ozdemirel, Ozlem Duvenci Birben, Hakan Erturk and Tunahan Dolmus
Diagnostics 2025, 15(24), 3137; https://doi.org/10.3390/diagnostics15243137 - 9 Dec 2025
Viewed by 386
Abstract
Background: Hypersensitivity pneumonitis (HP) is an interstitial lung disease characterized by immune-mediated inflammation and variable degrees of fibrosis. Aims: To evaluate the clinical, radiological, and hematological features of patients diagnosed with HP. Study Design: Retrospective cross-sectional study. Methods: We included 100 patients diagnosed [...] Read more.
Background: Hypersensitivity pneumonitis (HP) is an interstitial lung disease characterized by immune-mediated inflammation and variable degrees of fibrosis. Aims: To evaluate the clinical, radiological, and hematological features of patients diagnosed with HP. Study Design: Retrospective cross-sectional study. Methods: We included 100 patients diagnosed and followed for HP between 2020 and 2024. Demographic characteristics, pulmonary function test results, diffusing capacity, six-minute walk test findings, antigen exposure history, and high-resolution computed tomography (HRCT) patterns were retrospectively analyzed. Results: The mean age was 63 ± 14 years, with equal sex distribution. Sixty-five percent of patients had identifiable antigen exposure, predominantly related to birds or bird products (86.4%). Surgical lung biopsy confirmed the diagnosis in 29% of cases. The most common HRCT findings were reticulation (87%), ground-glass opacities (84.7%), and centrilobular nodules (75%); fibrotic features were present in 48% of patients. Glucocorticoids were the main treatment (77%), and antifibrotic therapy was used in 20% of cases. Neutrophil count showed a modest positive correlation with honeycombing (r = 0.27, p = 0.025). Basophil count demonstrated a mild association with bird-related antigen exposure (r = 0.26, p = 0.035). Conclusions: Peripheral neutrophil and basophil counts showed weak but statistically significant associations with fibrotic HRCT features and exposure patterns. These exploratory findings suggest that routinely available hematologic parameters may provide supportive information alongside radiologic and clinical data. Prospective studies are needed to validate their diagnostic and prognostic relevance in HP. Full article
(This article belongs to the Section Clinical Diagnosis and Prognosis)
10 pages, 1836 KB  
Article
The Role of High-Resolution Lung Computed Tomography to Distinguish Between Fibrosing Hypersensitivity Pneumonitis and Usual Interstitial Pneumonia
by Dmitry A. Kuleshov, Svetlana Yu. Chikina, Galina V. Nekludova, Igor E. Tyurin and Sergey N. Avdeev
Life 2025, 15(12), 1867; https://doi.org/10.3390/life15121867 - 5 Dec 2025
Viewed by 495
Abstract
Background: Hypersensitivity pneumonitis (HP) is an interstitial lung disease (ILD) caused by repeated exposure to inhaled antigens in susceptible subjects. High-resolution computed tomography (HRCT) of the lungs is the leading diagnostic method for ILDs, but in some cases HRCT findings are not [...] Read more.
Background: Hypersensitivity pneumonitis (HP) is an interstitial lung disease (ILD) caused by repeated exposure to inhaled antigens in susceptible subjects. High-resolution computed tomography (HRCT) of the lungs is the leading diagnostic method for ILDs, but in some cases HRCT findings are not sufficient to distinguish HP and other ILDs, particularly, fibrotic HP (fHP) and usual interstitial pneumonia (UIP). Objective: The aim of this study was to develop HRCT criteria to diagnose fHP in patients with a UIP-like pattern. Methods: In this retrospective study, we analyzed HRCT scans of patients with fHP and a UIP-like pattern who underwent lung biopsy, and patients with idiopathic pulmonary fibrosis (IPF) and a UIP pattern in HRCT. Results: We included 51 patients with confirmed fHP and 24 patients with IPF/UIP in the analysis. IPF/UIP patients were older, were prevalently males, and did not have any systemic autoimmune diseases or risk factors for other ILDs. fHP patients were younger, with an equal number of males and females, and were more likely to be exposed to environmental antigens. HRCT abnormalities in the fHP group predominated in the lower lung areas or were diffuse in axial scans, whereas IPF/UIP patients mostly demonstrated a diffuse craniocaudal distribution and subpleural axial predominance. Centrilobular nodules and mosaic attenuation were present significantly more often in the fHP group; honeycombing, traction bronchiectasis, and emphysema prevailed in IPF/UIP patients. In the logistic regression analysis, patients with fHP and IPF/UIP differed in the presence of centrilobular nodules, honeycombing, and in both craniocaudal and axial distributions of HRCT abnormalities. In the ROC analysis, the combination of centrilobular nodules, honeycombing, and diffuse axial and craniocaudal distributions can predict the diagnosis of fHP (AUC, 0.953 ± 0.022; 95%CI, 0.910–0.995; p < 0.001). Mosaic attenuation and reticulation did not change the probability of fHP. Conclusions: The most significant HRCT features of fHP compared to the UIP pattern were centrilobular nodules, honeycombing, and a diffuse axial and craniocaudal distribution of abnormal findings. Reticulation, mosaic attenuation, and GGO do not increase the probability of fHP. Full article
(This article belongs to the Section Medical Research)
Show Figures

Figure 1

23 pages, 3476 KB  
Review
CT Imaging Features of Pulmonary Sarcoidosis: Typical and Atypical Radiological Features and Their Differential Diagnosis
by Elisa Baratella, Valeria di Luca, Alessandra Oliva, Ilaria Fiorese, Antonio Segalotti, Marina Troian, Stefano Lovadina, Barbara Ruaro, Francesco Salton, Roberta Polverosi and Maria Assunta Cova
Medicina 2025, 61(12), 2094; https://doi.org/10.3390/medicina61122094 - 25 Nov 2025
Viewed by 1442
Abstract
Sarcoidosis is a chronic, idiopathic, multisystemic inflammatory disease characterized by non-caseating granulomas, most commonly affecting the lungs and mediastinal lymph nodes. Radiological imaging plays a fundamental role in the diagnosis, assessment of disease extent, and differentiation from other pulmonary conditions. This narrative review [...] Read more.
Sarcoidosis is a chronic, idiopathic, multisystemic inflammatory disease characterized by non-caseating granulomas, most commonly affecting the lungs and mediastinal lymph nodes. Radiological imaging plays a fundamental role in the diagnosis, assessment of disease extent, and differentiation from other pulmonary conditions. This narrative review offers a comprehensive overview of the imaging features of pulmonary sarcoidosis, focusing on both typical patterns—such as bilateral hilar lymphadenopathy, perilymphatic nodules, and upper lobe-predominant infiltrates—and atypical manifestations—including alveolar opacities, miliary nodules, fibrocystic changes, and lower lobe involvement. Emphasis is placed on the utility of high-resolution computed tomography (HRCT) in detecting early parenchymal changes and complications such as fibrosis, bronchiectasis, and pulmonary hypertension. Differential diagnosis, including tuberculosis, silicosis, metastatic disease, organizing pneumonia, and hypersensitivity pneumonitis, are discussed to aid interpretation. Recognizing the spectrum of radiological presentations is essential for distinguishing sarcoidosis from other interstitial and granulomatous lung diseases. Radiologists play a pivotal role in the multidisciplinary diagnostic process, contributing to timely diagnosis, risk stratification, and optimized patient management. Full article
(This article belongs to the Section Pulmonology)
Show Figures

Figure 1

16 pages, 769 KB  
Review
Combined Pulmonary Fibrosis and Emphysema (CPFE): A “New” Smoking-Related Interstitial Lung Disease (ILD)
by Carina Adina Afloarei, Tudor Birladeanu, Adriana Loredana Pintilie, David Toma, Dragos Traian Marius Marcu, Andreea Zabara Antal, Mihai Zabara and Radu Crisan Dabija
Biomedicines 2025, 13(11), 2703; https://doi.org/10.3390/biomedicines13112703 - 3 Nov 2025
Viewed by 1312
Abstract
Background: Combined Pulmonary Fibrosis and Emphysema (CPFE) is a distinct syndrome characterized by upper-lobe emphysema and lower-lobe fibrosis, predominantly in older male smokers. Despite often preserved spirometric volumes, patients exhibit severely reduced diffusing capacity and high susceptibility to complications, including pulmonary hypertension (PH), [...] Read more.
Background: Combined Pulmonary Fibrosis and Emphysema (CPFE) is a distinct syndrome characterized by upper-lobe emphysema and lower-lobe fibrosis, predominantly in older male smokers. Despite often preserved spirometric volumes, patients exhibit severely reduced diffusing capacity and high susceptibility to complications, including pulmonary hypertension (PH), acute exacerbations, and lung cancer, contributing to poor prognosis. Purpose: This review aims to synthesize current evidence on CPFE, focusing on clinical phenotype, functional impairment, differential diagnosis, complications, and emerging management strategies, highlighting distinctions from idiopathic pulmonary fibrosis (IPF) and chronic obstructive pulmonary disease (COPD). Methods: A narrative review of observational cohorts, retrospective series, and clinical studies examining CPFE patients was performed. Data on demographics, smoking history, symptomatology, pulmonary function, radiology, comorbidities, complications, and treatment approaches were extracted and integrated. Results: CPFE affects mainly males aged 65–70, with >90% reporting > 40 pack–years smoking history. Dyspnea is the cardinal symptom (>95%), often disproportionate to preserved FVC and TLC, accompanied by chronic cough in 30–70%. Exercise-induced desaturation is frequent, correlating with PH, observed in 47–90% of patients. Pulmonary function tests reveal preserved volumes, normal or near-normal FEV1/FVC, and severely reduced DLCO (35–45%), distinguishing CPFE from COPD and IPF. HRCT confirms the combined emphysematous and fibrotic pattern, critical for differential diagnosis. Acute exacerbations occur in 20–28% of cases, lung cancer in 22–46% (mostly squamous cell), and long-term oxygen therapy is required in >70%. Five-year survival is 35–55%, lower than emphysema alone and comparable or worse than IPF. Management focuses on smoking cessation, antifibrotics, oxygen therapy, and complication-specific treatments, and selected patients may undergo lung transplantation. Conclusions: CPFE is a clinically and functionally unique entity with a high burden of pulmonary and systemic complications. Accurate recognition using HRCT and DLCO, along with early intervention and tailored management, is essential to improve patient outcomes and guide prognostic stratification. Full article
(This article belongs to the Section Molecular and Translational Medicine)
Show Figures

Figure 1

13 pages, 1011 KB  
Article
Phenotypic Expression of Respiratory Diseases and Tailored Treatment in Patients with Intermediate Alpha-1 Antitrypsin Deficiency: Evidence from a Retrospective Analysis of a Selected Cohort of Patients
by Anna Annunziata, Giuseppe Fiorentino, Francesca Simioli, Lidia Atripaldi, Marco Balestrino, Giacomo Zuccarini, Barbara Piras, Alessandro Libra, Fabio Pino, Pierpaolo Di Micco, Carmine Siniscalchi, Ilaria Ferrarotti, Luigi Aronne, Raffaella Manzo, Carlo Vancheri and Cecilia Calabrese
Medicina 2025, 61(10), 1747; https://doi.org/10.3390/medicina61101747 - 25 Sep 2025
Viewed by 697
Abstract
Introduction: Alpha-1 antitrypsin deficiency (AATD) is a genetic condition caused by SERPINA1 variants with variable severity. Current international guidelines do not recommend augmentation therapy for intermediate AATD; nevertheless, some patients show clinically severe phenotypes in real-world practice. We aimed to evaluate, in [...] Read more.
Introduction: Alpha-1 antitrypsin deficiency (AATD) is a genetic condition caused by SERPINA1 variants with variable severity. Current international guidelines do not recommend augmentation therapy for intermediate AATD; nevertheless, some patients show clinically severe phenotypes in real-world practice. We aimed to evaluate, in an exploratory manner, the potential effects of augmentation therapy on exacerbations, quality of life, and lung function in this subgroup. Methods: In this multicenter retrospective study, we included 27 heterozygous patients with intermediate AATD (serum AAT 50–110 mg/dL), Chronic Obstructive Pulmonary Disease (COPD), and/or emphysema. Clinical phenotypes included emphysema-predominant disease, COPD with frequent exacerbations, and overlap with bronchiectasis/asthma; HRCT patterns were recorded. We assessed the annual number of exacerbations (moderate: steroids/antibiotics; severe: hospitalization/including pneumothorax), St. George’s Respiratory Questionnaire (SGRQ), and lung function before and after 12 months of therapy. Results: Augmentation therapy was associated with a reduction in annual exacerbations from a median (IQR) of 2 (1.5–3) to 1 (0–1) (p < 0.0001) and an improvement in SGRQ total score (58.89 ± 16.83 to 48.34 ± 21.20; p = 0.0039). The mean SGRQ change exceeded the 4-point MCID for COPD. No significant changes were observed in spirometry or Diffusing Capacity of the Lung for Carbon Monoxide (DLCO). Conclusions: These exploratory findings suggest that augmentation therapy may reduce exacerbations and improve quality of life in selected patients with intermediate AATD and COPD/emphysema. Given the retrospective design, small sample, and lack of a control group, the results should be interpreted as hypothesis-generating and warrant confirmation in prospective studies. Full article
(This article belongs to the Section Pulmonology)
Show Figures

Figure 1

41 pages, 9317 KB  
Systematic Review
High-Resolution CT Findings in Interstitial Lung Disease Associated with Connective Tissue Diseases: Differentiating Patterns for Clinical Practice—A Systematic Review with Meta-Analysis
by Janet Camelia Drimus, Robert Cristian Duma, Daniel Trăilă, Corina Delia Mogoșan, Diana Luminița Manolescu and Ovidiu Fira-Mladinescu
J. Clin. Med. 2025, 14(17), 6164; https://doi.org/10.3390/jcm14176164 - 31 Aug 2025
Cited by 1 | Viewed by 6247
Abstract
Objectives: Connective tissue diseases (CTDs) include a diverse group of systemic autoimmune conditions, among which interstitial lung disease (ILD) is acknowledged as a major determinant of prognosis. High-resolution computed tomography (HRCT) is the gold standard for ILD assessment. The distribution of HRCT [...] Read more.
Objectives: Connective tissue diseases (CTDs) include a diverse group of systemic autoimmune conditions, among which interstitial lung disease (ILD) is acknowledged as a major determinant of prognosis. High-resolution computed tomography (HRCT) is the gold standard for ILD assessment. The distribution of HRCT patterns across CTDs remain incompletely defined. The objective of this systematic review is to synthesize available evidence regarding the prevalence of specific radiological patterns within CTD-ILDs and to assess whether specific patterns occur at different frequencies among individual CTDs. Methods: The inclusion criteria encompassed original human studies published in English between 2015 and 2024, involving adult participants (≥18 years) with CTD-ILDs assessed primarily by HRCT and designed as retrospective, prospective, or cross-sectional trials with extractable data. We systematically searched PubMed, Scopus, and Web of Science (January 2025). Risk of bias was evaluated using the Newcastle–Ottawa Scale (NOS) for cohort and case–control studies, and the JBI Critical Appraisal Checklist for cross-sectional studies. Data were extracted and categorized by HRCT pattern for each CTD, and then summarized descriptively and statistically. Results: We analyzed 23 studies published between 2015 and 2024, which included 2020 patients with CTD-ILDs. The analysis revealed non-specific interstitial pneumonia (NSIP) as the most prevalent pattern overall (36.5%), followed by definite usual interstitial pneumonia (UIP) (24.8%), organizing pneumonia (OP) (9.8%) and lymphoid interstitial pneumonia (LIP) (1.25%). HRCT distribution varied by CTD: NSIP predominated in systemic sclerosis, idiopathic inflammatory myopathies, and mixed connective tissue disease; UIP was most frequent in rheumatoid arthritis; LIP was more common in Sjögren’s syndrome. While global differences were statistically significant, pairwise comparisons often lacked significance, likely due to sample size constraints. Discussion: Limitations include varying risk of bias across study designs, heterogeneity in HRCT reporting, small sample sizes, and inconsistent follow-up, which may reduce precision and generalizability. In addition to the quantitative synthesis, this review offers a detailed description of each radiologic pattern mentioned above, illustrated by representative examples to support the recognition in clinical settings. Furthermore, it includes a brief overview of the major CTDs associated with ILD, summarizing their epidemiological data, risk factors for ILD and clinical presentation and diagnostic recommendations. Conclusions: NSIP emerged as the most common HRCT pattern across CTD-ILDs, with UIP predominating in RA. Although inter-disease differences were observed, statistical significance was limited, likely reflecting sample size constraints. These findings emphasize the diagnostic and prognostic relevance of HRCT pattern recognition and highlight the need for larger, standardized studies. Full article
(This article belongs to the Special Issue Advances in Pulmonary Disease Management and Innovation in Treatment)
Show Figures

Figure 1

14 pages, 1906 KB  
Article
AI-Based HRCT Quantification in Connective Tissue Disease-Associated Interstitial Lung Disease
by Anna Russo, Vittorio Patanè, Alessandra Oliva, Vittorio Viglione, Linda Franzese, Giulio Forte, Vasiliki Liakouli, Fabio Perrotta and Alfonso Reginelli
Diagnostics 2025, 15(17), 2179; https://doi.org/10.3390/diagnostics15172179 - 28 Aug 2025
Cited by 1 | Viewed by 1480
Abstract
Background: Interstitial lung disease (ILD) is a frequent and potentially progressive manifestation in patients with connective tissue diseases (CTDs). Accurate and reproducible quantification of parenchymal abnormalities on high-resolution computed tomography (HRCT) is essential for evaluating treatment response and monitoring disease progression, particularly in [...] Read more.
Background: Interstitial lung disease (ILD) is a frequent and potentially progressive manifestation in patients with connective tissue diseases (CTDs). Accurate and reproducible quantification of parenchymal abnormalities on high-resolution computed tomography (HRCT) is essential for evaluating treatment response and monitoring disease progression, particularly in complex cases undergoing antifibrotic therapy. Artificial intelligence (AI)-based tools may improve consistency in visual assessment and assist less experienced radiologists in longitudinal follow-up. Methods: In this retrospective study, 48 patients with CTD-related ILD receiving antifibrotic treatment were included. Each patient underwent four HRCT scans, which were evaluated independently by two radiologists (one expert, one non-expert) using a semi-quantitative scoring system. Percentage estimates of lung involvement were assigned for four parenchymal patterns: hyperlucency, ground-glass opacity (GGO), reticulation, and honeycombing. AI-based analysis was performed using the Imbio Lung Texture Analysis platform, which generated continuous volumetric percentages for each pattern. Concordance between AI and human interpretation was assessed, along with mean absolute error (MAE) and inter-reader differences. Results: The AI-based system demonstrated high concordance with the expert radiologist, with an overall agreement of 81% across patterns. The MAE between AI and the expert ranged from 1.8% to 2.6%. In contrast, concordance between AI and the non-expert radiologist was significantly lower (60–70%), with higher MAE values (3.9% to 5.2%). McNemar’s and Wilcoxon tests confirmed that AI aligned more closely with the expert than the non-expert reader (p < 0.01). AI proved particularly effective in detecting subtle changes in parenchymal burden during follow-up, especially when visual interpretation was inconsistent. Conclusions: AI-driven quantitative imaging offers performance comparable to expert radiologists in assessing ILD patterns on HRCT and significantly outperforms less experienced readers. Its reproducibility and sensitivity to change support its role in standardizing follow-up evaluations and enhancing multidisciplinary decision-making in patients with CTD-related ILD, particularly in progressive fibrosing cases receiving antifibrotic therapy. Full article
(This article belongs to the Special Issue Application of Radiomics in Clinical Diagnosis)
Show Figures

Figure 1

13 pages, 441 KB  
Article
Pulmonary Involvement in Patients with Positive Myositis Antibodies in Rheumatology: A Retrospective Monocentric Analysis
by Falk Schumacher, Malte Kanbach, Maximilian Zimmermann, Daniel Majorski, Wigbert Schulze, Maximilian Wollsching-Strobel, Doreen Kroppen, Sarah Bettina Stanzel, Wolfram Windisch, Johannes Strunk and Melanie Berger
J. Clin. Med. 2025, 14(15), 5443; https://doi.org/10.3390/jcm14155443 - 1 Aug 2025
Viewed by 893
Abstract
Background: Pulmonary involvement is the most common prognosis-related organ involvement in idiopathic inflammatory myopathy (IIM). Owing to the large number of antibodies, the evidence for lung involvement and rare antibodies is limited. In everyday clinical practice, the interpretation of positive myositis antibodies represents [...] Read more.
Background: Pulmonary involvement is the most common prognosis-related organ involvement in idiopathic inflammatory myopathy (IIM). Owing to the large number of antibodies, the evidence for lung involvement and rare antibodies is limited. In everyday clinical practice, the interpretation of positive myositis antibodies represents a challenge. Methods: This study is a retrospective monocentric analysis. The data collection regarding positive myositis antibodies and possible pulmonary involvement was carried out from July 2019 to May 2022. Data analysis revealed positive results for one of the following antibodies: EJ, PL7, OJ, PL12, Mi-2α, TIF1γ, MDA5, SAE, NXP2, SRP, Ku, PM-Scl100 and PM-Scl75. In our analysis, patients with IIM, patients with inflammatory rheumatic disease other than IIM and patients without inflammatory rheumatic disease are described. The results of high-resolution computed tomography (HRCT), pulmonary function tests, echocardiographic examinations and their associated clinical findings are examined. Results: In the entire cohort, 209 patients with positive myositis antibodies were detected. In total, 22 (10.5%) patients had interstitial lung disease (ILD) patterns on HRCT. In the subgroup of patients with IIM, a significantly higher proportion of patients with lung involvement (n = 13, 35.1%) was found than in the group with other inflammatory rheumatic diseases (IRDs) (n = 6, 6.7%) or in the group without IRDs (n = 3, 3.7%). When the antibody groups were considered, the PL12-positive patients had the largest proportion of ILD (42%), followed by the MDA5-positive patients (40%). Conclusions: In patients with IIM, myositis antibodies are highly relevant for assessing the risk of lung involvement. In groups with other IRD or without IRD, antibody detection does not represent this high relevance for lung involvement. A differentiated assessment of the various MSAs or MAAs detected, as well as clinical parameters, allows for further important risk assessment for prognosis-relevant lung involvement. Full article
(This article belongs to the Section Immunology & Rheumatology)
Show Figures

Figure 1

15 pages, 294 KB  
Review
The Role of [18F]FDG PET Imaging for the Assessment of Pulmonary Lymphangitic Carcinomatosis: A Comprehensive Narrative Literature Review
by Francesco Dondi, Pietro Bellini, Michela Cossandi, Luca Camoni, Roberto Rinaldi, Gian Luca Viganò and Francesco Bertagna
Diagnostics 2025, 15(13), 1626; https://doi.org/10.3390/diagnostics15131626 - 26 Jun 2025
Viewed by 1743
Abstract
Background/Objectives: Pulmonary lymphangitic carcinomatosis (PLC) is a rare, aggressive manifestation of metastatic cancer characterized by lymphatic infiltration of the lungs, typically indicating advanced disease and poor prognosis. Methods: This comprehensive narrative review evaluates the role of [18F]fluorodeoxyglucose ([18F]FDG) positron emission tomography [...] Read more.
Background/Objectives: Pulmonary lymphangitic carcinomatosis (PLC) is a rare, aggressive manifestation of metastatic cancer characterized by lymphatic infiltration of the lungs, typically indicating advanced disease and poor prognosis. Methods: This comprehensive narrative review evaluates the role of [18F]fluorodeoxyglucose ([18F]FDG) positron emission tomography (PET) imaging in assessing PLC. Results: Current evidence demonstrates that [18F]FDG PET/CT achieves high diagnostic accuracy, with sensitivity and specificity ranging from 86 to 97% and 84 to 100%, respectively, particularly when employing semiquantitative metrics such as peritumoral standardized uptake value (SUVmax) thresholds (e.g., ≥2.1). PET/CT surpasses high-resolution computed tomography (HRCT) in distinguishing PLC from mimics like pulmonary sarcoidosis by identifying distinct metabolic patterns: bronchovascular hypermetabolism in PLC versus subpleural nodular uptake in sarcoidosis. Prognostically, metabolic tumor burden (e.g., SUVmax × involved lobes) and novel cPLC classifications (localized to the ipsilateral or contralateral lung) independently predict progression-free survival. However, challenges persist, including non-specific tracer uptake in inflammatory conditions and variability in SUV measurements due to technical factors. Emerging digital PET/CT systems, with enhanced spatial resolution, may improve the detection of focal PLC and reduce false negatives. While [18F]FDG PET/CT is invaluable for whole-body staging, therapeutic monitoring and biopsy guidance, the standardization of protocols and multicenter validation of prognostic models are critical for clinical integration. Future research should explore novel tracers (e.g., PSMA for prostate cancer-related PLC) and machine learning approaches to refine diagnostic and prognostic accuracy. Conclusions: This review underscores the role and the transformative potential of [18F]FDG PET/CT in PLC management while advocating for rigorous standardization to maximize its clinical utility. Full article
(This article belongs to the Special Issue Recent Advances in Radiomics in Medical Imaging)
12 pages, 2010 KB  
Article
Radiological Insights into UIP Pattern: A Comparison Between IPF and Non-IPF Patients
by Stefano Palmucci, Miriam Adorna, Angelica Rapisarda, Alessandro Libra, Sefora Fischetti, Gianluca Sambataro, Letizia Antonella Mauro, Emanuele David, Pietro Valerio Foti, Claudia Mattina, Corrado Spatola, Carlo Vancheri and Antonio Basile
J. Clin. Med. 2025, 14(12), 4162; https://doi.org/10.3390/jcm14124162 - 12 Jun 2025
Viewed by 2317
Abstract
Background/Objectives: This study aims to distinguish radiological differences between primary idiopathic Usual Interstitial Pneumonia (UIP) and secondary UIP patterns Methods: This retrospective study included patients with HRCT findings consistent with a UIP pattern. Final diagnoses were established via multidisciplinary discussion and [...] Read more.
Background/Objectives: This study aims to distinguish radiological differences between primary idiopathic Usual Interstitial Pneumonia (UIP) and secondary UIP patterns Methods: This retrospective study included patients with HRCT findings consistent with a UIP pattern. Final diagnoses were established via multidisciplinary discussion and classified as primary UIP/IPF or secondary UIP, following the 2022 ATS/ERS/JRS/ALAT guidelines. An expert thoracic radiologist (>10 years of experience), blinded to clinical data, reviewed the earliest available HRCT assessing key imaging features: honeycombing (micro-, macro- or exuberant), fibrosis distribution (symmetry, anterior-upper lobe sign, etc.), ground-glass opacities (GGO), dilatation of esophagus. Additionally, AI software AVIEW Build 1.1.46.28-win Coreline (©Coreline Soft Co., Ltd. All Rights Reserved). performed lung texture analysis, quantifying total lung volume and radiological patterns. Statistical analysis was performed to reveal results. Results: Among 53 cases, 31 were classified as IPF and 22 as secondary UIP cases. The expert radiologist achieved a diagnostic sensitivity of 82.9%, specificity of 889%, with a positive predictive value of 93.5%—in distinguishing between primary and secondary UIP. Primary UIP cases exhibited typical hallmark radiological features, including uniform honeycombing with cranio-caudal distribution (90.3%). Reticulations contributed significantly to the fibrotic texture, maintaining a consistent cranio-caudal gradient and axial symmetry (84.8%). Secondary UIP displayed more significant radiological heterogeneity, including patchy fibrosis with irregular GGO distribution (84.5% versus 53.33%); other findings—such as exuberant honeycombing, four corner sign and wedge-shaped fibrosis—were mainly observed in secondary pattern with respective percentages of 31.8%, 9% and 49%. Conclusions: Experienced thoracic radiologists, leveraging hallmark imaging features, play a critical role in improving diagnostic accuracy between primary and secondary UIP patterns. Full article
(This article belongs to the Section Respiratory Medicine)
Show Figures

Graphical abstract

32 pages, 7018 KB  
Review
Fibrotic Pulmonary Sarcoidosis—From Pathogenesis to Management
by Ewa Łyżwa, Jacek Wakuliński, Monika Szturmowicz, Witold Tomkowski and Małgorzata Sobiecka
J. Clin. Med. 2025, 14(7), 2381; https://doi.org/10.3390/jcm14072381 - 30 Mar 2025
Cited by 6 | Viewed by 3465
Abstract
Sarcoidosis is a multiorgan, granulomatous disease of an unknown etiology. The characteristic feature of the disease is the formation of noncaseating granulomas. Spontaneous resolution occurs in most patients, but the clinical course may be chronic or progressive, complicated by pulmonary fibrosis, which is [...] Read more.
Sarcoidosis is a multiorgan, granulomatous disease of an unknown etiology. The characteristic feature of the disease is the formation of noncaseating granulomas. Spontaneous resolution occurs in most patients, but the clinical course may be chronic or progressive, complicated by pulmonary fibrosis, which is a major cause of mortality in sarcoidosis. Recent studies have provided new information on the immunological mechanisms of pulmonary fibrosis. Its pathogenesis includes the alteration of lymphocyte activity and the imbalance between their subpopulations, the polarization of macrophages to the profibrotic phenotype, and an imbalance between the activity of metalloproteinases and their tissue inhibitors. A multidisciplinary approach is required for the optimal management of fibrotic pulmonary sarcoidosis. Clinical symptoms, serum biomarkers, imaging, pulmonary function test results, other organ involvement, comorbidities, and complications should be considered when assessing disease activity and selecting the most appropriate treatment. The use of anti-inflammatory drugs is often discussed. There has been no consensus reached on whether antifibrotic agents should be added or used in monotherapy as initial treatment in such cases. This article will review all the information on fibrotic pulmonary sarcoidosis and present factors associated with fibrosis development, prognosis, and treatment options. Full article
(This article belongs to the Section Respiratory Medicine)
Show Figures

Figure 1

15 pages, 5420 KB  
Article
Presence and Evolution of Radiological Changes at 6 and 12 Months After COVID-19 Pneumonia and Their Risk Factors
by Celia Roig-Martí, Antonio Navarro-Ballester, María-Pilar Fernández-García, Ignacio Pérez-Catalán, Ana Segura-Fábrega, María Varea-Villanueva, Sofía Folgado-Escudero, Germán Herrero-Rodríguez, Elena Domínguez-Bajo, Sergio Fabra-Juana, María-José Esteve-Gimeno, María-Lidón Mateu-Campos, Jorge Usó-Blasco and José-Manuel Ramos-Rincón
Medicina 2025, 61(3), 382; https://doi.org/10.3390/medicina61030382 - 22 Feb 2025
Viewed by 1943
Abstract
Background and Objectives: The pulmonary sequelae of COVID-19 and their evolution are of interest to the scientific community. We aimed to determine the radiological changes at 6 and 12 months after COVID-19 pneumonia, its evolution and its risk factors. Materials and Methods [...] Read more.
Background and Objectives: The pulmonary sequelae of COVID-19 and their evolution are of interest to the scientific community. We aimed to determine the radiological changes at 6 and 12 months after COVID-19 pneumonia, its evolution and its risk factors. Materials and Methods: This retrospective longitudinal study included adults admitted for COVID-19 pneumonia from 1 March 2020 to 30 April 2021 who had a high-resolution computed tomography (HRCT) scan at 6 months and 12 months after hospital discharge. The primary outcome was the appearance of radiological abnormalities on HRCT and the number of lung segments affected by them at 6 and 12 months, while the main explanatory variables were about the disease course, analytical parameters and treatment. Results: This study included n = 108 patients, with a mean age of 64 years. There was a decrease in the percentage of patients presenting parenchymal (93.5% to 88.9%, p < 0.001) and reticular (63% to 62%, p < 0.001) patterns on HRCT at 12 months compared to 6, and an increase in those presenting a fibrotic pattern (62% to 63.9%, p < 0.001). Ground-glass opacities were the most frequent radiological change at 6 and 12 months (91.7% and 87%, respectively). There was a significant reduction in the total number of lung segments with ground-glass opacities (445 to 382, p < 0.001) and consolidation (158 to 136, p = 0.019) and an increase in those with bronchiectasis (66 to 80, p = 0.033) between the two moments. After multivariate analysis, high-flow oxygen therapy (HFOT), highest ferritin levels, hypertension and ≥71 years showed an association with the development of subpleural parenchymal bands, consolidation, bronchiectasis and septal thickening at 6 and 12 months. Conclusions: Parenchymal patterns seem to be more frequent than reticular and fibrotic patterns after COVID-19 pneumonia. The fibrotic pattern was the only one that worsened significantly over time, with bronchiectasis being the only change that increased at 12 months. Older age, hypertension, the need for HFOT, and high levels of ferritin may be directly associated with worse radiological outcomes after COVID-19 pneumonia. Full article
(This article belongs to the Section Infectious Disease)
Show Figures

Figure 1

18 pages, 274 KB  
Article
Mortality and Predictive Factors for Death Following the Diagnosis of Interstitial Lung Disease in Patients with Rheumatoid Arthritis: A Retrospective, Long-Term Follow-Up Study
by Shunsuke Mori, Fumikazu Sakai, Mizue Hasegawa, Kazuyoshi Nakamura and Kazuaki Sugahara
J. Clin. Med. 2025, 14(4), 1380; https://doi.org/10.3390/jcm14041380 - 19 Feb 2025
Viewed by 3257
Abstract
Objective: The aim of this study was to determine mortality and predictive factors for death in patients with rheumatoid arthritis (RA) diagnosed with and without interstitial lung disease (ILD). Methods: We retrospectively performed a long-term follow-up study of patients diagnosed with RA at [...] Read more.
Objective: The aim of this study was to determine mortality and predictive factors for death in patients with rheumatoid arthritis (RA) diagnosed with and without interstitial lung disease (ILD). Methods: We retrospectively performed a long-term follow-up study of patients diagnosed with RA at our medical center between April 2001 and June 2023. The diagnosis and classification of ILD were made based on pulmonary high-resolution computed tomography (HRCT), taken at RA diagnosis and during follow-up. Results: Among 781 patients with RA, 78 were diagnosed with ILD; all cases except one were subclinical. The most common HRCT pattern was definite usual interstitial pneumonia (UIP) followed by nonspecific interstitial pneumonia (NSIP)/UIP, probable UIP, NSIP, and early UIP. During follow-up (mean of 10.0 years), the crude incidence rate of death (95% confidence interval [CI]) was 7.1 (5.2–10.0) and 1.5 (1.0–1.9) per 100 person-years in RA patients with and without ILD. Poor control of RA activity was associated with increased incidence rates of death. The standardized mortality ratio (95% CI) compared with the general population was 1.32 (1.11–1.53) for all RA patients, 2.09 (1.45–2.73) for RA-ILD patients, and 1.16 (0.95–1.38) for non-ILD RA patients. Lung cancer and respiratory failure were the most common causes of death in RA-ILD patients. The Multivariable Fine-Gray regression analysis revealed that ILD (adjusted hazard ratio [HR] 2.97 [95% CI 1.95–4.53]), advanced age (1.08 per additional year [1.05–1.10]), and low body mass index (3.07 [2.10–4.49]) were strong predictive factors for mortality in RA patients. HRCT patterns did not affect the risk of death in RA-ILD patients. Conclusions: Regardless of HRCT pattern, RA-ILD contributes to the increased mortality risk in patients with RA. Full article
(This article belongs to the Special Issue Rheumatoid Arthritis: Clinical Updates on Diagnosis and Treatment)
17 pages, 1114 KB  
Article
Transthoracic Lung Ultrasound in Systemic Sclerosis-Associated Interstitial Lung Disease: Capacity to Differentiate Chest Computed-Tomographic Characteristic Patterns
by Cinzia Rotondo, Giuseppe Busto, Valeria Rella, Raffaele Barile, Fabio Cacciapaglia, Marco Fornaro, Florenzo Iannone, Donato Lacedonia, Carla Maria Irene Quarato, Antonello Trotta, Francesco Paolo Cantatore and Addolorata Corrado
Diagnostics 2025, 15(4), 488; https://doi.org/10.3390/diagnostics15040488 - 17 Feb 2025
Cited by 6 | Viewed by 1800
Abstract
Background/Objectives: Even today, interstitial lung disease (ILD) is diagnosed by chest high-resolution computed tomography (lung HR-CT). Large amounts of data are available about the usefulness of transthoracic lung ultrasound (LUS) in ILD. This study aimed to evaluate the transthoracic LUS capacity to [...] Read more.
Background/Objectives: Even today, interstitial lung disease (ILD) is diagnosed by chest high-resolution computed tomography (lung HR-CT). Large amounts of data are available about the usefulness of transthoracic lung ultrasound (LUS) in ILD. This study aimed to evaluate the transthoracic LUS capacity to discriminate different ILD patterns in systemic sclerosis (SSc) patients, such as usual interstitial pneumonia (UIP), non-specific interstitial pneumonia (NSIP) with ground glass opacification/opacity (GGO), and NSIP with GGO and reticulations, as well as the possibility of identifying progressive fibrosing ILD. Methods: We enrolled SSc-patients attending the outpatient Clinic of the Rheumatology Unit of Policlinico of Foggia and the Rheumatology Unit of Policlinico of Bari who satisfied these inclusion criteria: age older than 18 years; the satisfaction of ACR/EULAR 2013 classification criteria for SSc; chest HR-CT scan within three months before or three months after transthoracic LUS evaluation; and availability of recent and complete pulmonary function test. The exclusion criteria were as follows: history or recent reactivation of chronic obstructive pulmonary disease, lung cancer, lung infection, heart failure, pulmonary oedema, pulmonary arterial hypertension, acute respiratory distress syndrome and diffuse alveolar haemorrhage and thoracic surgery. All enrolled SSc-patients underwent transthoracic LUS, performed by an experienced sonographer. The ILD diagnosis and the respective patterns were assessed by chest HR-CT, which still represents the best diagnostic tool. Results: ILD was observed in 99 (63.5%) patients. Of these, 25% had the UIP pattern and 75% the NSIP pattern (46 with GGO, 28 with GGO and reticulations). By receiver operating characteristic (ROC) curve analysis, higher values of accuracy, sensitivity, specificity, and negative clinical utility index (CUI) were found for pleural line irregularity (0.84 (95% CI: 0.75–0.91), 96%, and 73.6%, p = 0.0001; 0.72), and pleural line thickness (0.84 (95% CI: 0.74–0.91), 72%, and 96.4%, p = 0.0001; 0.85) for detecting the UIP pattern. The best performance among transthoracic LUS signs for NSIP with the GGO pattern was observed for B-lines (accuracy: 0.88 (95% CI: 0.80–0.93), sensitivity: 93.4% and specificity: 82.4, p = 0.0001; CUI+: 0.75, CUI−: 0.77). LUS signs with higher accuracy, sensitivity, and specificity for NSIP with GGO and reticulations were pleural line irregularity (0.89 (95% CI: 0.80–0.95), 96.4%, and 82.4%, p = 0.0001) with CUI−: 0.72, and B-lines (0.89 (95% CI: 0.80–0.95), 96.4%, 82.4%, p = 0.0001), with CUI+: 0.80 and CUI−: 0.70. Furthermore, a total number of B-lines > 10 maximises LUS performance with 92.3% sensitivity, and an accuracy of 0.83 (p = 0.0001) for detecting the NSIP pattern, particularly GGO. A sample-restricted analysis (66 SSc patients) evidenced the presence of progressive fibrosing ILD in 77% of these patients. By binary regression analysis, the unique LUS sign associated with progressive fibrosing ILD was the presence of pleural line irregularity (OR: 3.6; 95% CI 1.08–11.9; p = 0.036). Conclusions: Our study demonstrated that transthoracic LUS presented a high capacity to discriminate the different patterns of SSc-ILD. Therefore, the hypothesis that transthoracic LUS is an effective screening method for the evaluation of the presence of SSc-ILD and establishing the correct timing of chest HR-CT, in order to avoid patients receiving excessive exposure to ionising radiation, is supported. Full article
(This article belongs to the Special Issue Diagnosis, Classification, and Monitoring of Pulmonary Diseases)
Show Figures

Figure 1

Back to TopTop