Sign in to use this feature.

Years

Between: -

Subjects

remove_circle_outline
remove_circle_outline
remove_circle_outline
remove_circle_outline
remove_circle_outline
remove_circle_outline
remove_circle_outline
remove_circle_outline
remove_circle_outline

Journals

remove_circle_outline
remove_circle_outline
remove_circle_outline
remove_circle_outline
remove_circle_outline
remove_circle_outline
remove_circle_outline
remove_circle_outline
remove_circle_outline
remove_circle_outline
remove_circle_outline
remove_circle_outline
remove_circle_outline
remove_circle_outline
remove_circle_outline
remove_circle_outline
remove_circle_outline
remove_circle_outline
remove_circle_outline

Article Types

Countries / Regions

remove_circle_outline
remove_circle_outline
remove_circle_outline
remove_circle_outline
remove_circle_outline
remove_circle_outline

Search Results (1,582)

Search Parameters:
Keywords = CH3D

Order results
Result details
Results per page
Select all
Export citation of selected articles as:
15 pages, 2982 KB  
Article
Hydrodynamic Shielding and Oxidation Suppression in Merging Lazy Plumes
by Atsuyoshi Sato, Arata Kioka, Masami Nakagawa and Takeshi Tsuji
Fluids 2026, 11(4), 92; https://doi.org/10.3390/fluids11040092 - 30 Mar 2026
Abstract
This paper investigates the combustion dynamics of interacting lazy multi-component gas plumes (i.e., buoyancy-dominated gas releases with a low initial momentum flux), a configuration relevant to coal mining waste emissions. By coupling a three-dimensional large eddy simulation (mesh size of 10−2 m; [...] Read more.
This paper investigates the combustion dynamics of interacting lazy multi-component gas plumes (i.e., buoyancy-dominated gas releases with a low initial momentum flux), a configuration relevant to coal mining waste emissions. By coupling a three-dimensional large eddy simulation (mesh size of 10−2 m; paralleling with 2048 processors) with detailed chemical kinetics (GRI-Mech 3.0), we analyzed the sensitivity of the flow structure and plume stabilization to the vent spacing of twin hydrogen-rich multi-component gas plumes (H2-CO-CH4-air). The results identified a distinct topological transition. While gas plumes from vents spaced at δ/D=5 (δ and D are the spacing and width of gas vents, respectively) evolve independently, those at closely spaced sources (δ/D=5/4) exhibit rapid coalescence driven by hydrodynamic shielding. This hydrodynamic merging results in a unified column with an effective hydraulic diameter of Deff2D. This leads to a significant reduction in the surface-to-volume ratio available for ambient air entrainment, maintaining a coherent combustible-rich core to higher altitudes than isolated-source correlations would predict. However, despite this mass retention, the rapid vertical acceleration of buoyancy-dominated flows induces high strain rates, significantly disrupting the reaction zone structure. These findings establish that, for clustered emission sources, the dispersion hazard is governed by a coupling between hydrodynamic coalescence, which maintains reactant concentration, and finite-rate chemistry, restricting oxidation efficiency. This paper provides critical insights for designing gas capture infrastructure and assessing flammability limits in multi-vent systems. Full article
(This article belongs to the Special Issue 10th Anniversary of Fluids—Recent Advances in Fluid Mechanics)
Show Figures

Figure 1

27 pages, 1096 KB  
Article
Seasonal Changes in Biomass Composition of Giant Miscanthus (Miscanthus × giganteus) and Their Impact on Methane Fermentation Performance
by Anna Brózda, Joanna Kazimierowicz and Marcin Dębowski
Energies 2026, 19(7), 1669; https://doi.org/10.3390/en19071669 - 28 Mar 2026
Abstract
The objective of this study was to evaluate the impact of seasonal changes in the chemical and structural composition of giant miscanthus (Miscanthus × giganteus) biomass on the performance, kinetics, and efficiency of anaerobic digestion (AD), as well as on the [...] Read more.
The objective of this study was to evaluate the impact of seasonal changes in the chemical and structural composition of giant miscanthus (Miscanthus × giganteus) biomass on the performance, kinetics, and efficiency of anaerobic digestion (AD), as well as on the overall energy and techno-economic balance of the conversion chain. The AD performance was assessed using batch biochemical methane potential (BMP) assays conducted for eight harvest dates (June–January). Comprehensive characterization included fundamental physicochemical properties of the biomass, lignocellulosic fraction composition, AD kinetics, and methane production yield. A statistically significant (p < 0.05) increase in structural fiber fractions was observed with advancing plant maturity, accompanied by a progressive decline in specific methane yield from 281 ± 32 mL CH4/g VS in June to 170 ± 11–172 ± 13 mL CH4/g VS in winter harvests. Despite a relatively stable theoretical biochemical methane potential (TBMP) ranging from 425 to 443 mL CH4/g VS, the conversion efficiency (BMP/TBMP) decreased from approximately 66% to below 40%, indicating increasing structural and kinetic limitations to substrate biodegradability. Kinetic parameters deteriorated systematically in late harvests, as reflected by a reduction in the first-order rate constant k_CH4 from 0.115 to approximately 0.072 1/d and an extension of the lag phase λ from 2.19 to over 4 days. Regression analysis revealed strong negative correlations between lignocellulosic complex content and both BMP and k_CH4, whereas the C/N ratio exhibited a positive association with process performance under the experimental conditions applied. The highest methane production per hectare (3904 ± 720 m3CH4/ha) and the most favorable economic outcome (1979 ± 465 EUR/ha) were achieved for the September harvest. The results demonstrate that harvest timing constitutes a critical optimization parameter in lignocellulosic biogas systems, governing not only methane yield and process kinetics but also the overall energy output and economic viability of the bioenergy production chain. Full article
Show Figures

Figure 1

21 pages, 1604 KB  
Article
Enhancing Hydrogenotrophic Methanation in a Bentonite-Amended Bubble Reactor Under Mesophilic Conditions
by Apostolos Spyridonidis and Katerina Stamatelatou
Energies 2026, 19(7), 1613; https://doi.org/10.3390/en19071613 (registering DOI) - 25 Mar 2026
Viewed by 179
Abstract
This study explores the use of bentonite to enhance biological biogas upgrading in a bubble reactor (BR) operated under mesophilic conditions (39 ± 1 °C). The experimental setup consisted of a 2 L vertically oriented BR (height-to-diameter ratio 16:1) fed with a synthetic [...] Read more.
This study explores the use of bentonite to enhance biological biogas upgrading in a bubble reactor (BR) operated under mesophilic conditions (39 ± 1 °C). The experimental setup consisted of a 2 L vertically oriented BR (height-to-diameter ratio 16:1) fed with a synthetic gas mixture (60% H2, 15% CO2, 25% CH4, v/v) at a gas recirculation rate of 4 L LR−1 h−1. The aim was to overcome hydrogen’s low gas–liquid mass transfer rate while avoiding the operational challenges typically associated with trickle-bed reactors (TBR). Bentonite increases the density and hydrostatic pressure of the liquid medium and likely alters its rheology, thereby extending the gas–liquid contact time without requiring elevated pressures or intensive gas recirculation. Additionally, bentonite is expected to provide microstructural support that promotes the formation of biofilm-like communities, creating favorable microenvironments for hydrogenotrophic methanogens. As a clay-based additive, bentonite may also contribute to improved process stability through adsorption of inhibitory compounds, enhanced biomass retention, and pH buffering. Under mesophilic conditions, the bentonite-modified BR achieved a methane production rate of 2.17 ± 0.06 LCH4 LR−1 d−1 at a gas retention time of 1.49 h, with methane purity reaching 96.25%. In comparison, a previously reported mesophilic BR operated under an identical reactor configuration and operating conditions but without bentonite exhibited substantially lower methane production rates, supporting the beneficial role of bentonite in biological methanation. The findings highlight bentonite’s potential dual role (physical and biological) in improving process efficiency and stability in biological methanation. Full article
Show Figures

Figure 1

12 pages, 1091 KB  
Article
Accelerated Cobalt-Catalyzed N-Methylation via Microwave-Induced Rapid Formation of Active Species Using Methanol and Methanol-d4
by Miki Takizawa, Takahiro Yamane, Akinobu Matsumoto, Takashi Miyazawa and Satoshi Horikoshi
Molecules 2026, 31(7), 1068; https://doi.org/10.3390/molecules31071068 - 24 Mar 2026
Viewed by 200
Abstract
The development of sustainable and environmentally benign N-methylation methodologies is essential for enhancing sustainable synthetic practice in pharmaceutical manufacturing. In this study, we demonstrate that microwave heating (MWH) markedly enhanced the efficiency of cobalt-catalyzed N-methylation using methanol or methanol-d4 [...] Read more.
The development of sustainable and environmentally benign N-methylation methodologies is essential for enhancing sustainable synthetic practice in pharmaceutical manufacturing. In this study, we demonstrate that microwave heating (MWH) markedly enhanced the efficiency of cobalt-catalyzed N-methylation using methanol or methanol-d4 as green C1 sources. Compared with conventional heating (CH), MWH enabled highly efficient syntheses of key pharmaceutical intermediates—including 6-dimethylamino-1-hexanol, imipramine hydrochloride, and butenafine hydrochloride—under milder conditions and shorter reaction times and without generating hazardous halogen-containing waste. UV–vis spectroscopic analysis revealed that MWH accelerated the transformation of Co(acac)2 into catalytically active Co species by approximately four-fold, providing a mechanistic basis for the enhanced reactivity. We hypothesized that this effect was caused by the selective microwave heating of the catalyst, which in turn promoted the rapid generation of catalytically active species. Notably, MWH also significantly improved the N-trideuteromethylation of amines using methanol-d4, achieving a 95% yield for imipramine-d3 hydrochloride versus 32% under CH. Molecular dynamics simulations indicated that methanol-d4 exhibited slower dipole relaxation and enhanced cluster fragmentation under microwave fields, improving catalyst–substrate contact, while kinetic isotope effects stabilized reactive intermediates. These synergistic effects account for the pronounced microwave promotion observed in deuterated systems. Overall, the combination of MWH and cobalt catalysis offers an energy-efficient, waste-minimizing, and environmentally benign strategy for the scalable synthesis of both methylated and deuterated amines. Full article
(This article belongs to the Special Issue Microwave-Assisted Synthesis and Extraction in Green Chemistry)
Show Figures

Figure 1

21 pages, 3640 KB  
Article
Hypoglycemic Effects of Glehniae Radix Polysaccharides in Female db/db Mice via Modulation of the Gut Microbiota-PPAR Signaling Axis
by Haochen Xu, Hanqing Lin, Hetong Lin, Peng Wu, Fang Zhang and Longhe Yang
Molecules 2026, 31(6), 1046; https://doi.org/10.3390/molecules31061046 - 20 Mar 2026
Viewed by 275
Abstract
Glehniae Radix, the dried root of Glehnia littoralis Fr. Schmidt ex Miq. (Apiaceae), exhibits diverse biological activities. However, research on the hypoglycemic effects of Glehniae Radix polysaccharides (GRPs), particularly in vivo studies clarifying their mechanisms of action, remains limited. This study aimed [...] Read more.
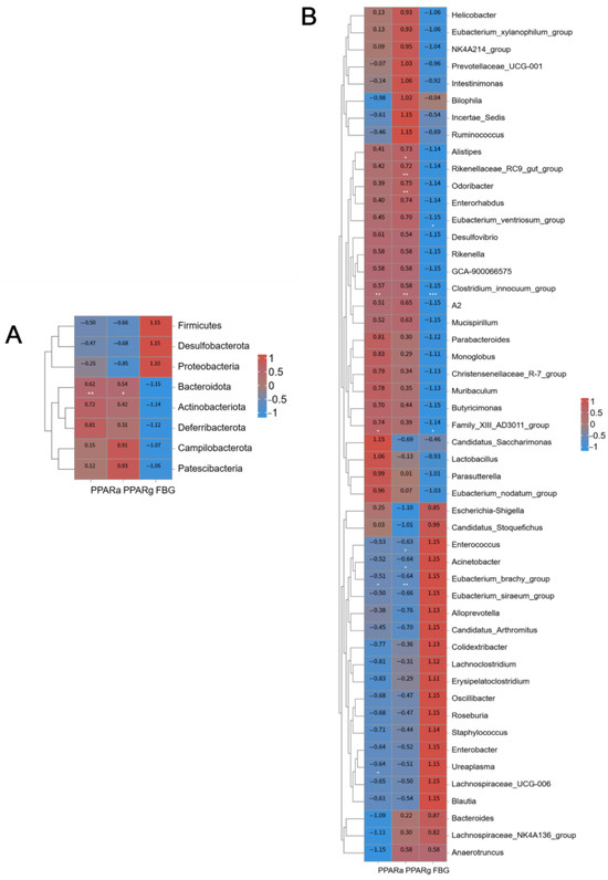
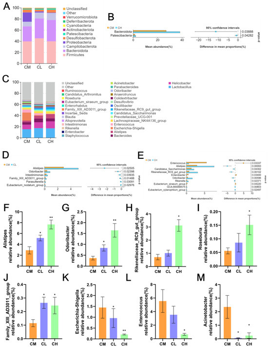
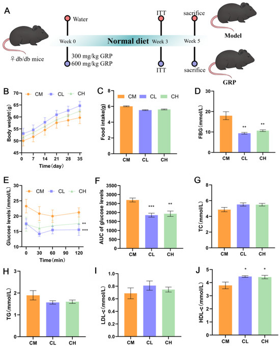
Glehniae Radix, the dried root of Glehnia littoralis Fr. Schmidt ex Miq. (Apiaceae), exhibits diverse biological activities. However, research on the hypoglycemic effects of Glehniae Radix polysaccharides (GRPs), particularly in vivo studies clarifying their mechanisms of action, remains limited. This study aimed to verify the in vivo hypoglycemic activity of crude GRP in a diabetic model and to elucidate its mechanism. GRP was extracted by water extraction and ethanol precipitation, yielding an extraction rate of 38% and a polysaccharide content of 73.48%. Its hypoglycemic effects and mechanisms were investigated in female B6.BKS(D)-Leprdb/J (db/db) mice following daily administration of GRP at doses of 300 and 600 mg/kg for five consecutive weeks. Following GRP administration, mice in the CH group (600 mg/kg) exhibited a mean reduction in fasting blood glucose levels of approximately 40.7% and an improvement in insulin tolerance test (ITT) outcomes by about 28.4%. Additionally, GRP alleviated damage to the liver, kidney, and colon; decreased hepatic total cholesterol (TC) and triglycerides (TGs) by approximately 40.8% and 24.6%, respectively; and increased colonic Zonula Occludens-1 (ZO-1) expression by an average of 49.5%. Mechanistically, GRP significantly upregulated the expression of peroxisome proliferator-activated receptor-α (PPAR-α) and PPAR-γ in the liver, while also increasing the abundance of beneficial gut bacteria such as Alistipes and suppressing harmful bacteria including Escherichia-Shigella. Furthermore, GRP activated the galactose metabolism pathway and inhibited abnormal enrichment of the steroid biosynthesis pathway, collectively ameliorating glucose metabolic disorders in female db/db mice via the “gut microbiota–PPAR signaling axis”. In light of these results, GRP exerts significant in vivo hypoglycemic effects by modulating gut microbiota balance and activating the PPAR signaling pathway. Full article
Show Figures

Figure 1

20 pages, 1417 KB  
Article
Rational Design of a Chimpanzee Adenoviral-Vector Vaccine Against Yellow Fever Through the Modification of Antigen Transmembrane Domains
by Marta Ulaszewska, Ji Ma, Susan J. Morris, Sophie M. Jegouic Goodall, Winnie Kerstens, Hendrik Jan Thibaut, Lotte Coelmont, Kai Dallmeier, Sarah C. Gilbert and Barbara Dema
Vaccines 2026, 14(3), 273; https://doi.org/10.3390/vaccines14030273 - 20 Mar 2026
Viewed by 341
Abstract
Background/Objectives: Chimpanzee adenoviral-vectored vaccines have proven to be both safe and effective, with a manufacturing and distribution pipeline capable of rapid global supply, as demonstrated during the COVID-19 pandemic. Yellow fever is a mosquito-borne viral hemorrhagic disease endemic in parts of Africa [...] Read more.
Background/Objectives: Chimpanzee adenoviral-vectored vaccines have proven to be both safe and effective, with a manufacturing and distribution pipeline capable of rapid global supply, as demonstrated during the COVID-19 pandemic. Yellow fever is a mosquito-borne viral hemorrhagic disease endemic in parts of Africa and Latin America, and although an effective live attenuated vaccine exists, its use is limited by safety and eligibility restrictions. Moreover, large outbreaks continue to expose critical challenges, such as an insufficient vaccine supply, reliance on fractional dosing, and slow and difficult-to-scale manufacturing processes. Here, we report the design, development and in vivo immunogenicity of multiple yellow fever virus (YFV) antigen constructs based on the pre-membrane (prM) and envelope (E) proteins—with or without the transmembrane domain (TM or ΔTM)—delivered using the ChAdOx1 adenoviral vector. Methods: Four ChAdOx1 YF vaccines were developed, and immunogenicity was evaluated. The efficacy of the full-length YF envelope vaccine was also tested in Balb/c mice. Results/Conclusions: In contrast to previously described orthoflavivirus vaccines on the same platform, the full-length antigen elicited superior immunogenicity and conferred protection against intracranial challenge with the YF17D virus in mice. Notably, this protection was comparable to that induced by the licensed YF17D vaccine, highlighting the promise of this platform as a next-generation yellow fever vaccine candidate. Full article
Show Figures

Figure 1

14 pages, 4006 KB  
Article
Controlled Growth of Large-Area Graphite Single Crystals at Atmospheric Pressure and High Temperature from a Metal Flux
by Thomas Poirier, Dylan Evans, Ishika Thakur, Morgen L. Smith, Placidus B. Amama, Gaihua Ye, Rui He and James H. Edgar
Crystals 2026, 16(3), 207; https://doi.org/10.3390/cryst16030207 - 18 Mar 2026
Viewed by 173
Abstract
In this study, the growth of high-quality graphite single crystals from a molten metal flux at atmospheric pressure was optimized. The crystals were precipitated from a saturated iron–carbon solution by slowly cooling (4 °C/h) from a maximum temperature to reduce the carbon solubility. [...] Read more.
In this study, the growth of high-quality graphite single crystals from a molten metal flux at atmospheric pressure was optimized. The crystals were precipitated from a saturated iron–carbon solution by slowly cooling (4 °C/h) from a maximum temperature to reduce the carbon solubility. The graphite flakes were >25 square millimeters in area and >10 microns thick, with individual crystal grains as large as 1.2 mm2. The crystals were (0002) oriented, as determined by X-ray diffraction. The high structural quality of the graphite crystals was verified by Raman spectroscopy. For graphite with the natural distribution of carbon isotopes, the G-peak at 1580 cm−1 was narrow (~12 cm−1) and the defect peak (D-peak) was absent. To demonstrate the process versatility, graphite crystals enriched in the 13C isotope were grown at 5 degrees of enrichment. The Raman G-peak linearly shifted from 1580 cm−1 to 1520 cm−1 for graphite crystals enriched from 1 to 99% 13C. The etch pit densities from defect-sensitive etching ranged from 0 to 1.6 × 108 per cm2. The process was refined by examining the grain size and quality as functions of the carbon concentration in the starting sources, the carrier gas composition, and maximum temperature. The simplicity of this process suggests it can be scaled to produce very large graphite crystals that would be suitable for a wide range of technologies. Full article
(This article belongs to the Section Crystal Engineering)
Show Figures

Figure 1

51 pages, 19017 KB  
Article
Structure- and Semantics-Aware Mesh Simplification for Generating Lightweight 3D Building Models
by Dong Chen, Chenwei Zhu, Shenglan Du, Yuliang Wang, Zhen Cao, Mingming Sui, Yiyang Kong, Shengjie Feng, Jiju Peethambaran and Liqiang Zhang
Remote Sens. 2026, 18(6), 914; https://doi.org/10.3390/rs18060914 - 17 Mar 2026
Viewed by 228
Abstract
Achieving lightweight representations of building mesh models with accurate geometry and fine structural details is a key challenge in urban 3D modelling. Most existing mesh simplification methods focus on minimizing geometric error while neglecting the specific characteristics of building models in terms of [...] Read more.
Achieving lightweight representations of building mesh models with accurate geometry and fine structural details is a key challenge in urban 3D modelling. Most existing mesh simplification methods focus on minimizing geometric error while neglecting the specific characteristics of building models in terms of geometric structure and semantic hierarchy, thus leading to structural degradation and semantic inconsistencies. To address this issue, this paper proposes a structure–semantic dual-constrained edge-collapse decimation method for simplifying dense building mesh models reconstructed from point clouds. Our core innovation lies in the joint enforcement of geometric structural constraints and building semantic constraints to effectively preserve both geometric structural features and component-level semantic structures of the models. By incorporating these two constraints, we adaptively assign higher collapse penalties to key structural edges and semantic boundaries, achieving lightweight building model simplification while maintaining fine-level structural details even under high compression ratios. Our method is extensively validated on several datasets of varying scales and complexities, including single-building models from Sketchfab, the large-scale urban datasets SUM and STPLS3D, and the ArCH cultural heritage dataset. Experimental results demonstrate that our method achieves superior or comparable performance compared to the existing methods across all the test datasets, consistently achieving lower or on-par geometric errors measured by RMSE and MAE. Furthermore, our simplified results can be semantically organized and stored under the CityGML paradigm, which provides a unified data support for sharing, semantic retrieval, downstream analysis, and other applications of lightweight building models. Full article
Show Figures

Figure 1

22 pages, 5116 KB  
Article
Development of a New Granite–Cement Composite for Solidification of Radioactive Wastes: Stability Under Immersion in Water Ecologies
by Magda E. Tawfik, Samir B. Eskander and Talat A. Bayoumi
Sustainability 2026, 18(6), 2812; https://doi.org/10.3390/su18062812 - 13 Mar 2026
Viewed by 197
Abstract
This study investigates the long-term resistance of an environmentally friendly composite made from a blend of local Ordinary Portland Cement (OPC) and ground granite waste powder (G). The composite was subjected to complete static immersion for up to twenty-four weeks in three types [...] Read more.
This study investigates the long-term resistance of an environmentally friendly composite made from a blend of local Ordinary Portland Cement (OPC) and ground granite waste powder (G). The composite was subjected to complete static immersion for up to twenty-four weeks in three types of water: potable water, groundwater, and seawater. The experimental work evaluated the effects of exposure to these three water types on various characteristics of the granite–cement composite (GCC), including compressive strength, mass gain, portlandite [CH] content, bulk density (D), total porosity (p), compactness, water absorption (A), and pH of the immersing media. Additionally, scanning electron microscopy (SEM), X-ray diffraction (XRD), and thermal analysis (TGA and DTA) were used to investigate how exposure to the three water environments altered the internal microstructure of the hydration phases of the composite over the twenty-four-week period. This systematic approach provides valuable insights into the variations that may occur in solid hydration outcomes and their sustainability in flooding scenarios. The data obtained from these analyses revealed that the granite–cement composite exhibits acceptable thermal resistance and endurance to deterioration in aquatic environments. The cement formulation contains 20% by mass of ground granite waste powder, with a water-to-cement ratio of 35%. After 24 weeks of complete static immersion, the composite achieved compressive strength values close to 24 MPa. Solidifying radioactive waste in cement–granite is a newly developed method that improves sustainability by formulating a more stable, durable, cost-effective, and less hazardous waste form. Therefore, the granite–ordinary cement composite being studied is recommended as an inert matrix for solidifying and stabilizing certain categories of radioactive waste. Full article
(This article belongs to the Topic Advanced Composite Materials)
Show Figures

Figure 1

18 pages, 2468 KB  
Article
Pyrolysis Kinetics of Kerogen and Bitumen in Shahejie Shale: Implications for In Situ Heating Strategies
by Chenge Zheng, Yiwei Wang, Xiaowei Huang, Weijiao Ma, Jinzhong Liu, Qiang Wang, Cui Weng and Yong Li
Geosciences 2026, 16(3), 117; https://doi.org/10.3390/geosciences16030117 - 12 Mar 2026
Viewed by 295
Abstract
Unconventional shale resources remain crucial to energy security. In situ conversion technology (ICP) offers a promising pathway for exploiting low–maturity shale, yet the distinct roles of kerogen and bitumen during thermal conversion are not fully understood. This study investigates the decomposition behavior of [...] Read more.
Unconventional shale resources remain crucial to energy security. In situ conversion technology (ICP) offers a promising pathway for exploiting low–maturity shale, yet the distinct roles of kerogen and bitumen during thermal conversion are not fully understood. This study investigates the decomposition behavior of kerogen and extracted bitumen from the Shahejie Formation through gold–tube pyrolysis experiments at 50 MPa and heating rates of 2 °C/h and 20 °C/h. The results show that the yield curves of C1, C2–C5, and C6–C14 generated from kerogen and bitumen exhibited similar trends. In contrast to the C15+ fraction from kerogen, which initially increased and then decreased, the yield of C15+ from bitumen began to decline from the onset of cracking. Additionally, the CO2 generated from the kerogen continued to increase until the end of pyrolysis, whereas the CO2 from the bitumen reached its maximum at an EasyRo of approximately 1.8%. The kinetic results show that bitumen has a higher activation energy for gas generation than kerogen, while kerogen has a higher activation energy for oil generation than bitumen. A heating program of 1 °C/day rate, 324 d duration, and a final temperature of 360 °C was applied to predict oil and gas generation during ICP. Below 326 °C, the proportion of C1 and C2–C5 contributed by kerogen increased and exceeded 90%. Although kerogen’s contribution ratio of C6–C14 exhibited fluctuating variation characteristics, it remained above 50% across most of the intervals. The gas–to–oil ratio increased rapidly above 299 °C and reached 375 m3/m3 by the end of heating. Full article
Show Figures

Figure 1

13 pages, 11610 KB  
Article
Single and Dual Mode SMR Sensors for Pest Detection in Plant Health Monitoring
by Usman Yaqoob, Barbara Urasinska-Wojcik, Siavash Esfahani, Marina Cole and Julian W. Gardner
Sensors 2026, 26(5), 1708; https://doi.org/10.3390/s26051708 - 8 Mar 2026
Viewed by 257
Abstract
This study presents the development and evaluation of surface functionalized solidly mounted resonators (SMRs), including custom developed at the University of Warwick (UWAR) devices and commercial Sorex sensors, for the detection and classification of plant-emitted volatile organic compounds (VOCs). The sensors were tested [...] Read more.
This study presents the development and evaluation of surface functionalized solidly mounted resonators (SMRs), including custom developed at the University of Warwick (UWAR) devices and commercial Sorex sensors, for the detection and classification of plant-emitted volatile organic compounds (VOCs). The sensors were tested against linalool, trans-2-hexenal (T2H), and D-limonene at different concentrations under both dry and humid conditions (30% ± 3% RH). A Python-based (v3.13.5) signal-processing workflow was established to filter frequency responses and extract key features, such as baseline, saturation point, and frequency shift (Δf). Adsorption behaviour was modelled using the Freundlich isotherm, showing good agreement with experimental data and suggesting heterogeneous, multilayer adsorption on CH3-terminated EC surfaces. A 2D polar classification framework combining vector-normalized Δf values from UWAR and Sorex sensors enabled a clear separation of the VOCs. The results highlight the complementary performance of the two types of SMR sensors and demonstrate that feature-engineered resonant devices, combined with computational classification, offer strong potential for future use in plant health monitoring systems. Full article
Show Figures

Figure 1

20 pages, 4387 KB  
Article
Reaction Diffusion Modelling of 3D Pillar Electrodes in Single-Catalyst CO2 Reduction Cascades
by Pablo Fernandez, Marisé García-Batlle, Bo Shang, Hailiang Wang, Gregory N. Parsons, James F. Cahoon and Rene Lopez
Electrochem 2026, 7(1), 5; https://doi.org/10.3390/electrochem7010005 - 28 Feb 2026
Cited by 1 | Viewed by 386
Abstract
Effective electrochemical CO2 reduction to liquid fuels requires that the local catalytic environment facilitates the desired reactivity, yet a microscopic understanding of this environment is difficult to achieve from experiment alone. In this work, a 3D reaction-diffusion model was developed to explore [...] Read more.
Effective electrochemical CO2 reduction to liquid fuels requires that the local catalytic environment facilitates the desired reactivity, yet a microscopic understanding of this environment is difficult to achieve from experiment alone. In this work, a 3D reaction-diffusion model was developed to explore the effects of electrode surface area and local geometry on the performance of a heterogeneous catalyst that performs a two-step CO2 reduction cascade reaction to CO and then CH3OH under aqueous conditions. Kinetic parameters for the model were inspired by experimental results using a cobalt phthalocyanine (CoPc) catalyst. Three-dimensional architectures composed of arrays of square pillars with varying dimensions and either smooth or periodically modulated surfaces were tested, revealing the extent to which geometry modulates the performance of the cascade reactions. Although structural variations modulate local concentration gradients, we find that electrochemically active surface area predominantly governs the overall cascade reaction. Moreover, the results suggest that supersaturation of CO, with concentrations up to ten-fold higher than the equilibrium solubility limit, might be critical for more efficient conversion to CH3OH. For any given geometry, the spatially averaged ratio of [CO] to [CO2] is dictated by the electrochemically active surface area and determines the yield of CH3OH. For a fixed surface area, geometries that spatially confine the electrolyte yield moderate local [CO] to [CO2] ratios within small volumes. In contrast, less confining geometries result in a broader distribution of local ratios spread over larger volumes, with both configurations yielding the same spatially averaged [CO] to [CO2] ratio. These insights provide valuable design principles—highlighting the critical importance of surface area and possibly CO supersaturation—for engineering advanced electrode architectures that leverage intermediate trapping and CO supersaturation to enhance overall performance in tandem CO2 reduction systems. Full article
(This article belongs to the Topic Electrocatalytic Advances for Sustainable Energy)
Show Figures

Graphical abstract

22 pages, 6193 KB  
Article
Temperature-Responsive Antimicrobial Nanofibrous Film Encapsulating Cinnamon Oil for Chinese Bayberry Preservation
by Mengjie Bian, Xinhui Zhang, Chong Shi, Yaqiong Wu, Yicheng Wang, Fuliang Cao, Donglu Fang and Weilin Li
Agronomy 2026, 16(5), 519; https://doi.org/10.3390/agronomy16050519 - 27 Feb 2026
Viewed by 348
Abstract
This research developed an active food packaging system featuring a tailored controlled-release mechanism. The system was fabricated using temperature-responsive poly(N-vinylcaprolactam) (PNVCL) nanofibers with a core-shell architecture. The resulting film incorporated cinnamon essential oil (CEO) as a natural preservative within a composite structure consisting [...] Read more.
This research developed an active food packaging system featuring a tailored controlled-release mechanism. The system was fabricated using temperature-responsive poly(N-vinylcaprolactam) (PNVCL) nanofibers with a core-shell architecture. The resulting film incorporated cinnamon essential oil (CEO) as a natural preservative within a composite structure consisting of PNVCL, polyvinyl alcohol (PVA), polylactic acid (PLA) and CEO. The nanofiber film obtained via coaxial electrospinning exhibited a sandwich-like structure; the obtained fiber membrane is abbreviated as PP/PC, and the number represents the essential oil content. The PP/PC-4 composite demonstrated exceptional physical barrier properties and mechanical strength, with a WVP as high as 5.74 ± 0.37 (g·mm)/(m2·h·kPa). It also achieved the highest maximum force, elastic modulus, and tensile strength, recorded at 3.08 ± 0.31 N, 228.86 ± 15.46 MPa, and 5.26 ± 0.72 MPa, respectively, along with superior thermal stability. FTIR spectroscopy confirmed molecular interactions, specifically through C–H bonding, between the PLA/CEO core and the PNVCL shell layers. After 5 d of storage at 40 °C, the PP/PC-4 film retained substantial antibacterial efficacy. The antifungal efficacy demonstrated the highest performance, exceeding the control group by 32%. The weight loss rate on day four was 28%, significantly lower than other groups, while the hardness retention rate was 73% higher than the control group and 44% higher than PLA/CEO (4%). Application of this material prolonged the shelf life of Chinese bayberry (Myrica rubra) by 4 d while enhancing key preservation metrics. Owing to its advanced barrier properties, mechanical performance and temperature-modulated release characteristics, this PNVCL-based nanofiber film demonstrated strong potential as an intelligent packaging material for prolonging the freshness of perishable food products. Full article
Show Figures

Figure 1

17 pages, 2930 KB  
Article
Diurnal Variation in Water–Air Greenhouse Gas Fluxes Across Different Aquatic Vegetation Habitats in a Shallow Subtropical Lake
by Rui Guo, Chao Guo, Jie Ke, Yuyu Xiang, Kaiying Guo, Chengcheng Deng, Xuefeng Shi, Tanglin Zhang, Jiashou Liu and Wei Li
Water 2026, 18(5), 557; https://doi.org/10.3390/w18050557 - 26 Feb 2026
Viewed by 445
Abstract
Lakes are important sources of greenhouse gases (GHGs), but diurnal flux dynamics across different aquatic vegetation habitats are not well quantified, leading to uncertainties in ecosystem-scale budgets. Here, we used high-frequency monitoring (static chamber coupled with Picarro G2301) to examine diurnal CO2 [...] Read more.
Lakes are important sources of greenhouse gases (GHGs), but diurnal flux dynamics across different aquatic vegetation habitats are not well quantified, leading to uncertainties in ecosystem-scale budgets. Here, we used high-frequency monitoring (static chamber coupled with Picarro G2301) to examine diurnal CO2 and CH4 fluxes at the water–air interface in three habitats—submerged macrophytes (SM), emergent macrophytes (EM), and non-vegetated control (BC)—in the shallow lake (Changshu Emergency Water Source Lake). During the study period, the lake was a consistent net CO2 sink (mean flux: −17.53 ± 1.64 μmol·m−2·d−1) but a net CH4 source (mean flux: 5.86 ± 1.70 μmol·m−2·d−1). Pronounced diel variability was observed: CO2 uptake was strongly enhanced during the day, whereas CH4 emissions peaked at night. Vegetation type exerted a strong control on flux magnitudes, with the SM habitat showing the highest CO2 uptake and the EM habitat the lowest CH4 emissions. Generalized linear models (GLMs) revealed that the regulatory effects of key environmental drivers (e.g., temperature, dissolved oxygen, turbidity) on gas fluxes varied significantly by habitat type and diurnal cycle, exhibiting distinct patterns of differentiation. Our findings highlight that accurate assessment of GHG fluxes from shallow lakes—and thus reliable carbon budgeting—must explicitly account for both diurnal cycles and the distinct regulatory roles of aquatic vegetation types. Full article
(This article belongs to the Special Issue Research on the Carbon and Water Cycle in Aquatic Ecosystems)
Show Figures

Figure 1

28 pages, 3745 KB  
Article
An Underwater 6-DoF Position and Orientation Estimation Method for Divers Based on the VideoPose5CH Model
by Kaidong Wang, Yi Yang, Qingbo Wei, Xingqun Zhou, Zhiqiang Hu and Quan Zheng
Sensors 2026, 26(4), 1335; https://doi.org/10.3390/s26041335 - 19 Feb 2026
Viewed by 382
Abstract
Accurate perception of a diver’s position and orientation by Autonomous Underwater Vehicles (AUVs) is essential for effective human–robot collaboration in underwater environments. However, conventional position and orientation estimation methods that combine deep learning with Perspective-n-Point (PnP) algorithms are primarily designed for rigid objects. [...] Read more.
Accurate perception of a diver’s position and orientation by Autonomous Underwater Vehicles (AUVs) is essential for effective human–robot collaboration in underwater environments. However, conventional position and orientation estimation methods that combine deep learning with Perspective-n-Point (PnP) algorithms are primarily designed for rigid objects. In contrast, divers exhibit highly variable postures underwater, with no fixed configuration. To address this limitation, this paper proposes a framework for estimating the six-degree-of-freedom (6-DoF) position and the orientation of a diver. In addition, a novel network architecture, termed “VideoPose5CH,” is proposed. In the proposed framework, temporal sequences of 2D joint coordinates are provided to VideoPose5CH, which then outputs the 3D joint coordinates of the current frame as well as the corresponding refined 2D joint locations. Subsequently, the diver’s 6-DoF position and orientation relative to the camera are further recovered via a PnP algorithm. To mitigate the scarcity of underwater 3D human pose datasets, a land-based 3D human pose dataset augmentation strategy tailored to underwater conditions is further proposed. With this strategy, diver pose estimation accuracy is improved and the robustness of the proposed method across diverse scenarios is enhanced. Experimental results demonstrate that the proposed method can stably estimate the 6-DoF position and orientation of the diver within a distance range of 2.643 m to 11.477 m. The average position errors along the three axes are 7.33 cm, 4.04 cm, and 27.15 cm, respectively, while the average orientation errors are 6.96°, 8.47°, and 2.62°. Full article
(This article belongs to the Section Navigation and Positioning)
Show Figures

Figure 1

Back to TopTop