Sign in to use this feature.

Years

Between: -

Subjects

remove_circle_outline
remove_circle_outline
remove_circle_outline
remove_circle_outline
remove_circle_outline
remove_circle_outline
remove_circle_outline

Journals

Article Types

Countries / Regions

Search Results (10)

Search Parameters:
Keywords = BHRF1

Order results
Result details
Results per page
Select all
Export citation of selected articles as:
26 pages, 2679 KB  
Article
EBV Early Lytic Antigens, EBNA2 and PDL-1, in Progressive Multiple Sclerosis Brain: A Coordinated Contribution to Viral Immune Evasion
by Lucia Benincasa, Barbara Rosicarelli, Chiara Meloni and Barbara Serafini
Int. J. Mol. Sci. 2026, 27(1), 437; https://doi.org/10.3390/ijms27010437 - 31 Dec 2025
Viewed by 2077
Abstract
Epstein-Barr virus (EBV) infection shows the strongest causative association with multiple sclerosis (MS), but its contribution to disease progression and the mechanisms allowing for viral persistence in the MS brain are still elusive. Studies in post-mortem MS brain tissue indicate an ongoing yet [...] Read more.
Epstein-Barr virus (EBV) infection shows the strongest causative association with multiple sclerosis (MS), but its contribution to disease progression and the mechanisms allowing for viral persistence in the MS brain are still elusive. Studies in post-mortem MS brain tissue indicate an ongoing yet ineffective antiviral immune reaction in advanced stages of the disease. EBV has evolved strategies to evade immune recognition and clearance by the host immune system during both the latency and lytic phase of its life cycle. Recent evidence demonstrates that cells expressing EBV latent membrane protein (LMP) 2A exploit the PD-1/PDL1 inhibitory immune checkpoint to escape immune surveillance and maintain a persistent latent infection in the MS brain. This study investigated whether the virus also utilizes this inhibitory mechanism during other phases of the viral life cycle. By using multiple immunostainings on highly inflamed MS brain tissues containing meningeal tertiary lymphoid structures (TLSs), we analyzed PD-L1 expression on EBV-infected cells expressing EBNA2, five EBV lytic gene products, BZLF1, BHRF1, BMRF1, BALF2, and gp350/220, as well as on follicular dendritic cells within the TLSs. This is the first study describing in secondary progressive MS brain tissue the expression and the cellular and tissue distribution of PD-L1 on EBV-infected cells being in different stages of the viral life cycle, and confirms the meningeal TLSs as immune-permissive habitats favoring the maintenance of an intracerebral EBV reservoir. Full article
(This article belongs to the Special Issue Insights in Multiple Sclerosis (MS) and Neuroimmunology: 2nd Edition)
Show Figures

Graphical abstract

14 pages, 1681 KB  
Article
Analyzing the Impact of the Highest Expressed Epstein–Barr Virus-Encoded microRNAs on the Host Cell Transcriptome
by Tim Hohmann, Urszula Hohmann, Faramarz Dehghani, Olaf Grisk and Simon Jasinski-Bergner
Int. J. Mol. Sci. 2024, 25(14), 7838; https://doi.org/10.3390/ijms25147838 - 17 Jul 2024
Cited by 2 | Viewed by 1901
Abstract
The Epstein–Barr virus (EBV) has a very high prevalence (>90% in adults), establishes a lifelong latency after primary infection, and exerts an oncogenic potential. This dsDNA virus encodes for various molecules, including microRNAs (miRs), which can be detected in the latent and lytic [...] Read more.
The Epstein–Barr virus (EBV) has a very high prevalence (>90% in adults), establishes a lifelong latency after primary infection, and exerts an oncogenic potential. This dsDNA virus encodes for various molecules, including microRNAs (miRs), which can be detected in the latent and lytic phases with different expression levels and affect, among others, immune evasion and malignant transformation. In this study, the different EBV miRs are quantified in EBV-positive lymphomas, and the impact on the host cell transcriptome of the most abundant EBV miRs will be analyzed using comparative RNA sequencing analyses. The EBV miRs ebv-miR-BART1, -BART4, -BART17, and -BHRF1-1 were most highly expressed, and their selective overexpression in EBV-negative human cells resulted in a large number of statistically significantly down- and up-regulated host cell genes. Functional analyses showed that these dysregulated target genes are involved in important cellular processes, including growth factor pathways such as WNT, EGF, FGF, and PDGF, as well as cellular processes such as apoptosis regulation and inflammation. Individual differences were observed between these four analyzed EBV miRs. In particular, ebv-miR-BHRF1-1 appears to be more important for malignant transformation and immune evasion than the other EBV miRs. Full article
(This article belongs to the Special Issue miRNAs in Carcinogenesis of Solid and Hematological Malignancies)
Show Figures

Figure 1

14 pages, 2404 KB  
Article
Crystal Structures of Epstein–Barr Virus Bcl-2 Homolog BHRF1 Bound to Bid and Puma BH3 Motif Peptides
by Chathura D. Suraweera, Mark G. Hinds and Marc Kvansakul
Viruses 2022, 14(10), 2222; https://doi.org/10.3390/v14102222 - 9 Oct 2022
Cited by 4 | Viewed by 2647
Abstract
Apoptosis is a powerful defense mechanism used by multicellular organisms to counteract viral infection. In response to premature host cell suicide, viruses have evolved numerous countermeasures to ensure cell viability to optimize their replication by encoding proteins homologous in structure and function to [...] Read more.
Apoptosis is a powerful defense mechanism used by multicellular organisms to counteract viral infection. In response to premature host cell suicide, viruses have evolved numerous countermeasures to ensure cell viability to optimize their replication by encoding proteins homologous in structure and function to cellular pro-survival Bcl-2 proteins. Epstein–Barr virus (EBV), a member of the Gammaherpesviridae, encodes the Bcl-2 homolog BHRF1, a potent inhibitor of Bcl-2-mediated apoptosis. BHRF1 acts by directly targeting Bid and Puma, two proapoptotic proteins of the Bcl-2 family. Here, we determined the crystal structures of BHRF1 bound to peptides spanning the Bcl-2 binding motifs (Bcl-2 homology 3 motif, BH3) of Bid and Puma. BHRF1 engages BH3 peptides using the canonical ligand-binding groove of its Bcl-2 fold and maintains a salt bridge between an Arg residue with a conserved Asp residue in the BH3 motif mimicking the canonical ionic interaction seen in host Bcl-2:BH3 motif complexes. Furthermore, both Bid and Puma utilize a fifth binding pocket in the canonical ligand binding groove of BHRF1 to provide an additional hydrophobic interaction distinct from the interactions previously seen with Bak and Bim. These findings provide a structural basis for EBV-mediated suppression of host cell apoptosis and reveal the flexibility of virus encoded Bcl-2 proteins in mimicking key interactions from the endogenous host signaling pathways. Full article
(This article belongs to the Section Human Virology and Viral Diseases)
Show Figures

Figure 1

26 pages, 1356 KB  
Review
Virus-Mediated Inhibition of Apoptosis in the Context of EBV-Associated Diseases: Molecular Mechanisms and Therapeutic Perspectives
by Zbigniew Wyżewski, Matylda Barbara Mielcarska, Karolina Paulina Gregorczyk-Zboroch and Anna Myszka
Int. J. Mol. Sci. 2022, 23(13), 7265; https://doi.org/10.3390/ijms23137265 - 30 Jun 2022
Cited by 23 | Viewed by 5244
Abstract
Epstein-Barr virus (EBV), the representative of the Herpesviridae family, is a pathogen extensively distributed in the human population. One of its most characteristic features is the capability to establish latent infection in the host. The infected cells serve as a sanctuary for the [...] Read more.
Epstein-Barr virus (EBV), the representative of the Herpesviridae family, is a pathogen extensively distributed in the human population. One of its most characteristic features is the capability to establish latent infection in the host. The infected cells serve as a sanctuary for the dormant virus, and therefore their desensitization to apoptotic stimuli is part of the viral strategy for long-term survival. For this reason, EBV encodes a set of anti-apoptotic products. They may increase the viability of infected cells and enhance their resistance to chemotherapy, thereby contributing to the development of EBV-associated diseases, including Burkitt’s lymphoma (BL), Hodgkin’s lymphoma (HL), gastric cancer (GC), nasopharyngeal carcinoma (NPC) and several other malignancies. In this paper, we have described the molecular mechanism of anti-apoptotic actions of a set of EBV proteins. Moreover, we have reviewed the pro-survival role of non-coding viral transcripts: EBV-encoded small RNAs (EBERs) and microRNAs (miRNAs), in EBV-carrying malignant cells. The influence of EBV on the expression, activity and/or intracellular distribution of B-cell lymphoma 2 (Bcl-2) protein family members, has been presented. Finally, we have also discussed therapeutic perspectives of targeting viral anti-apoptotic products or their molecular partners. Full article
(This article belongs to the Special Issue Herpesviruses and Their Host Cells: EBV- and KSHV-Associated Diseases)
Show Figures

Figure 1

16 pages, 2688 KB  
Article
The Effect of the Expression of the Antiapoptotic BHRF1 Gene on the Metabolic Behavior of a Hybridoma Cell Line
by Iván Martínez-Monge, Pere Comas, David Catalán-Tatjer, Jordi Prat, Antoni Casablancas, Carlos Paredes, Martí Lecina and Jordi Joan Cairó
Appl. Sci. 2021, 11(14), 6258; https://doi.org/10.3390/app11146258 - 6 Jul 2021
Cited by 1 | Viewed by 3554
Abstract
One of the most important limitations of mammalian cells-based bioprocesses, and particularly hybridoma cell lines, is the accelerated metabolism related to glucose and glutamine consumption. The high uptake rates of glucose and glutamine (i.e., the main sources of carbon, nitrogen and energy) lead [...] Read more.
One of the most important limitations of mammalian cells-based bioprocesses, and particularly hybridoma cell lines, is the accelerated metabolism related to glucose and glutamine consumption. The high uptake rates of glucose and glutamine (i.e., the main sources of carbon, nitrogen and energy) lead to the production and accumulation of large amounts of lactate and ammonia in culture broth. Lactate and/or ammonia accumulation, together with the depletion of the main nutrients, are the major causes of apoptosis in hybridoma cell cultures. The KB26.5 hybridoma cell line, producing an IgG3, was engineered with BHRF1 (KB26.5-BHRF1), an Epstein–Barr virus-encoded early protein homologous to the antiapoptotic protein Bcl-2, with the aim of protecting the hybridoma cell line from apoptosis. Surprisingly, besides achieving effective protection from apoptosis, the expression of BHRF1 modified the metabolism of the hybridoma cell line. Cell physiology and metabolism analyses of the original KB26.5 and KB26.5-BHRF1 revealed an increase of cell growth rate, a reduction of glucose and glutamine consumption, as well as a decrease in lactate secretion in KB26.5-BHRF1 cells. A flux balance analysis allowed us to quantify the intracellular fluxes of both cell lines. The main metabolic differences were identified in glucose consumption and, consequently, the production of lactate. The lactate production flux was reduced by 60%, since the need for NADH regeneration in the cytoplasm decreased due to a more than 50% reduction in glucose uptake. In general terms, the BHRF1 engineered cell line showed a more efficient metabolism, with an increase in biomass volumetric productivity under identical culture conditions. Full article
(This article belongs to the Topic Bioreactors: Control, Optimization and Applications)
Show Figures

Figure 1

15 pages, 18325 KB  
Article
Role of Epstein–Barr Virus C Promoter Deletion in Diffuse Large B Cell Lymphoma
by Seiyo Mabuchi, Fumiya Hijioka, Takahiro Watanabe, Yusuke Yanagi, Yusuke Okuno, H. M. Abdullah Al Masud, Yoshitaka Sato, Takayuki Murata and Hiroshi Kimura
Cancers 2021, 13(3), 561; https://doi.org/10.3390/cancers13030561 - 1 Feb 2021
Cited by 18 | Viewed by 5134
Abstract
The Epstein–Barr virus (EBV) is the cause of several malignancies, including diffuse large B cell lymphoma (DLBCL). We recently found that EBV genomes in EBV-positive cancer specimens have various deletions (Okuno et al. Nat Microbiol. 2019). Here, we focus on the deletion of [...] Read more.
The Epstein–Barr virus (EBV) is the cause of several malignancies, including diffuse large B cell lymphoma (DLBCL). We recently found that EBV genomes in EBV-positive cancer specimens have various deletions (Okuno et al. Nat Microbiol. 2019). Here, we focus on the deletion of C promoter (Cp), which transcribes EBV nuclear antigen (EBNA) genes in type III latency. The Cp deletion found in a DLBCL patient (332 bp) was introduced into EBV-BAC of the B95-8 strain. Interestingly, the dCp virus transformed B cells more efficiently than WT and revertant strains. Deletion of Cp also promoted tumor formation and severe pathogenicity in a mouse xenograft model. RNA sequencing and qRT–PCR analyses revealed that Cp transcription was undetectable in the dCp cells. Instead, transcription from the W promoter (Wp), an alternative promoter for EBNA, was activated in the dCp mutant. We also found that the expression of latent membrane protein 2A (LMP2A) was somehow induced in the dCp mutant. Double knockout of Cp and LMP2A indicated that LMP2A is crucial for B cell transformation, but the increased transformation induced by Cp deletion cannot be explained by LMP2A alone. We also tested the effect of an anti-apoptotic viral BCL2 homolog, BHRF1, because its expression was reportedly induced more efficiently by that of Wp. However, increased growth transformation via Cp deletion was not due to the BHRF1 gene. Taken together, the results indicated that deletion of a specific region in Cp increased in vitro transformation and the rate of progression of EBV-positive lymphoproliferative disorders in vivo. Our data suggest that genomic alteration not only of the host but also the virus promotes EBV-positive tumor generation and expansion, although the molecular mechanism underlying this phenomenon is still unclear. However, LMP2A and BHRF1 are not involved. Full article
(This article belongs to the Special Issue Molecular Advances in Diffuse Large B-Cell Lymphoma)
Show Figures

Figure 1

17 pages, 8734 KB  
Article
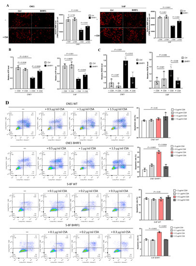
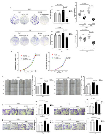
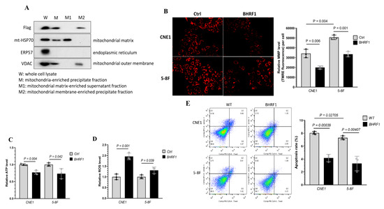
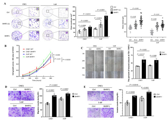
BHRF1 Enhances EBV Mediated Nasopharyngeal Carcinoma Tumorigenesis through Modulating Mitophagy Associated with Mitochondrial Membrane Permeabilization Transition
by Shujie Song, Zhiying Jiang, David Ethan Spezia-Lindner, Ting Liang, Chang Xu, Haifeng Wang, Ye Tian and Yidong Bai
Cells 2020, 9(5), 1158; https://doi.org/10.3390/cells9051158 - 7 May 2020
Cited by 14 | Viewed by 4374
Abstract
Epstein–Barr virus (EBV) is a major contributor to nasopharyngeal carcinoma (NPC) tumorigenesis. Mitochondria have been shown to be a target for tumor viral invasion, and to mediate viral tumorigenesis. In this study, we detected that mitochondrial morphological changes in tumor tissues of NPC [...] Read more.
Epstein–Barr virus (EBV) is a major contributor to nasopharyngeal carcinoma (NPC) tumorigenesis. Mitochondria have been shown to be a target for tumor viral invasion, and to mediate viral tumorigenesis. In this study, we detected that mitochondrial morphological changes in tumor tissues of NPC patients infected with EBV were accompanied by an elevated expression of BHRF1, an EBV encoded protein homologue to Bcl-2. High expression of BHRF1 in human NPC cell lines enhanced tumorigenesis and metastasis features. With BHRF1 localized to mitochondria, its expression induced cyclophlin D dependent mitochondrial membrane permeabilization transition (MMPT). The MMPT further modulated mitochondrial function, increased ROS production and activated mitophagy, leading to enhanced tumorigenesis. Altogether, our results indicated that EBV-encoded BHRF1 plays an important role in NPC tumorigenesis through regulating cyclophlin D dependent MMPT. Full article
(This article belongs to the Section Mitochondria)
Show Figures

Graphical abstract

20 pages, 1651 KB  
Article
Infection of Epstein–Barr Virus in Type III Latency Modulates Biogenesis of Exosomes and the Expression Profile of Exosomal miRNAs in the Burkitt Lymphoma Mutu Cell Lines
by Asuka Nanbo, Harutaka Katano, Michiyo Kataoka, Shiho Hoshina, Tsuyoshi Sekizuka, Makoto Kuroda and Yusuke Ohba
Cancers 2018, 10(7), 237; https://doi.org/10.3390/cancers10070237 - 19 Jul 2018
Cited by 30 | Viewed by 7250
Abstract
Infection of Epstein–Barr virus (EBV), a ubiquitous human gamma herpesvirus, is associated with various malignancies in B lymphocytes and epithelial cells. EBV encodes 49 microRNAs in two separated regions, termed the BART and BHRF1 loci. Although accumulating evidence demonstrates that EBV infection regulates [...] Read more.
Infection of Epstein–Barr virus (EBV), a ubiquitous human gamma herpesvirus, is associated with various malignancies in B lymphocytes and epithelial cells. EBV encodes 49 microRNAs in two separated regions, termed the BART and BHRF1 loci. Although accumulating evidence demonstrates that EBV infection regulates the profile of microRNAs in the cells, little is known about the microRNAs in exosomes released from infected cells. Here, we characterized the expression profile of intracellular and exosomal microRNAs in EBV-negative, and two related EBV-infected Burkitt lymphoma cell lines having type I and type III latency by next-generation sequencing. We found that the biogenesis of exosomes is upregulated in type III latently infected cells compared with EBV-negative and type I latently infected cells. We also observed that viral and several specific host microRNAs were predominantly incorporated in the exosomes released from the cells in type III latency. We confirmed that multiple viral microRNAs were transferred to the epithelial cells cocultured with EBV-infected B cells. Our findings indicate that EBV infection, in particular in type III latency, modulates the biogenesis of exosomes and the profile of exosomal microRNAs, potentially contributing to phenotypic changes in cells receiving these exosomes. Full article
(This article belongs to the Special Issue Epstein–Barr Virus Associated Cancers)
Show Figures

Figure 1

18 pages, 1656 KB  
Review
Pathobiologic Roles of Epstein–Barr Virus-Encoded MicroRNAs in Human Lymphomas
by Mohsen Navari, Maryam Etebari, Mostafa Ibrahimi, Lorenzo Leoncini and Pier Paolo Piccaluga
Int. J. Mol. Sci. 2018, 19(4), 1168; https://doi.org/10.3390/ijms19041168 - 12 Apr 2018
Cited by 39 | Viewed by 7709
Abstract
Epstein–Barr virus (EBV) is a human γ-herpesvirus implicated in several human malignancies, including a wide range of lymphomas. Several molecules encoded by EBV in its latent state are believed to be related to EBV-induced lymphomagenesis, among which microRNAs—small RNAs with a posttranscriptional regulating [...] Read more.
Epstein–Barr virus (EBV) is a human γ-herpesvirus implicated in several human malignancies, including a wide range of lymphomas. Several molecules encoded by EBV in its latent state are believed to be related to EBV-induced lymphomagenesis, among which microRNAs—small RNAs with a posttranscriptional regulating role—are of great importance. The genome of EBV encodes 44 mature microRNAs belonging to two different classes, including BamHI-A rightward transcript (BART) and Bam HI fragment H rightward open reading frame 1 (BHRF1), with different expression levels in different EBV latency types. These microRNAs might contribute to the pathogenetic effects exerted by EBV through targeting self mRNAs and host mRNAs and interfering with several important cellular mechanisms such as immunosurveillance, cell proliferation, and apoptosis. In addition, EBV microRNAs can regulate the surrounding microenvironment of the infected cells through exosomal transportation. Moreover, these small molecules could be potentially used as molecular markers. In this review, we try to present an updated and extensive view of the role of EBV-encoded miRNAs in human lymphomas. Full article
(This article belongs to the Special Issue The Role of MicroRNAs in Human Diseases)
Show Figures

Figure 1

25 pages, 2039 KB  
Review
The Immunomodulatory Capacity of an Epstein-Barr Virus Abortive Lytic Cycle: Potential Contribution to Viral Tumorigenesis
by Abigail Morales-Sánchez and Ezequiel M. Fuentes-Panana
Cancers 2018, 10(4), 98; https://doi.org/10.3390/cancers10040098 - 30 Mar 2018
Cited by 45 | Viewed by 10511
Abstract
Epstein-Barr virus (EBV) is characterized by a bipartite life cycle in which latent and lytic stages are alternated. Latency is compatible with long-lasting persistency within the infected host, while lytic expression, preferentially found in oropharyngeal epithelial tissue, is thought to favor host-to-host viral [...] Read more.
Epstein-Barr virus (EBV) is characterized by a bipartite life cycle in which latent and lytic stages are alternated. Latency is compatible with long-lasting persistency within the infected host, while lytic expression, preferentially found in oropharyngeal epithelial tissue, is thought to favor host-to-host viral dissemination. The clinical importance of EBV relates to its association with cancer, which we think is mainly a consequence of the latency/persistency mechanisms. However, studies in murine models of tumorigenesis/lymphomagenesis indicate that the lytic cycle also contributes to cancer formation. Indeed, EBV lytic expression is often observed in established cell lines and tumor biopsies. Within the lytic cycle EBV expresses a handful of immunomodulatory (BCRF1, BARF1, BNLF2A, BGLF5 & BILF1) and anti-apoptotic (BHRF1 & BALF1) proteins. In this review, we discuss the evidence supporting an abortive lytic cycle in which these lytic genes are expressed, and how the immunomodulatory mechanisms of EBV and related herpesviruses Kaposi Sarcoma herpesvirus (KSHV) and human cytomegalovirus (HCMV) result in paracrine signals that feed tumor cells. An abortive lytic cycle would reconcile the need of lytic expression for viral tumorigenesis without relaying in a complete cycle that would induce cell lysis to release the newly formed infective viral particles. Full article
(This article belongs to the Special Issue Epstein–Barr Virus Associated Cancers)
Show Figures

Figure 1

Back to TopTop