Sign in to use this feature.

Years

Between: -

Subjects

remove_circle_outline
remove_circle_outline
remove_circle_outline

Journals

Article Types

Countries / Regions

Search Results (13)

Search Parameters:
Keywords = AR42J tumor-bearing mice

Order results
Result details
Results per page
Select all
Export citation of selected articles as:
23 pages, 3734 KB  
Article
Evaluation of the Functional Suitability of Carboxylate Chlorin e6 Derivatives for Use in Radionuclide Diagnostics
by Mariia Larkina, Anastasia Demina, Nikita Suvorov, Petr Ostroverkhov, Evgenii Plotnikov, Ruslan Varvashenya, Vitalina Bodenko, Gleb Yanovich, Anastasia Prach, Viktor Pogorilyy, Sergey Tikhonov, Alexander Popov, Maxim Usachev, Beatrice Volel, Yuriy Vasil’ev, Mikhail Belousov and Mikhail Grin
Pharmaceutics 2026, 18(1), 23; https://doi.org/10.3390/pharmaceutics18010023 - 23 Dec 2025
Viewed by 437
Abstract
Radionuclide-based molecular imaging modalities are active and developing areas of functional and molecular diagnosis. Among the radionuclides used for SPECT imaging in oncology, 99mTc is a leading candidate for radiolabeling. At present, a sufficient number of complexons for 99mTc have been [...] Read more.
Radionuclide-based molecular imaging modalities are active and developing areas of functional and molecular diagnosis. Among the radionuclides used for SPECT imaging in oncology, 99mTc is a leading candidate for radiolabeling. At present, a sufficient number of complexons for 99mTc have been described; however, the development of effective delivery systems for this isotope to the area of interest is a complex research task. The use of tumor-targeting molecules as carriers for radioactive tracers is an effective strategy that has enabled the development of many novel radiopharmaceuticals for cancer imaging. Background: To date, a number of studies have shown tumorotropicity of tetrapyrrole compounds to tumor tissues, in particular derivatives of natural chlorophyll A. Methods: Purification was performed using solid-phase extraction. Assessment of radiochemical yield and purity was performed via radio-ITLC. The in vitro tumor cell accumulation was assessed using SKOV-3 and A-431 cell lines. Dose-dependent biodistribution was evaluated in Nu/J mice bearing epidermoid carcinoma (A-431) xenografts. Results: In this work, we obtained complexes with 99mTc based on water-soluble carboxylate chlorin e6 derivatives in order to evaluate their potential for use as SPECT radiopharmaceuticals. We performed radiolabelling optimization of a series of the novel chlorins and primary preclinical studies, including an assessment of the effect of their lipophilicity and charge on tumor uptake. Conclusions: Modification of the periphery of the chlorin macrocycle with chelating groups allows for complexing a wide range of metals, including 99mTc, which can be used for targeted delivery of the radionuclide to the area of interest. Full article
Show Figures

Figure 1

15 pages, 4006 KB  
Article
RNAi Screen Identifies AXL Inhibition Combined with Cannabinoid WIN55212-2 as a Potential Strategy for Cancer Treatment
by Feifei Li, Hang Gong, Xinfei Jia, Chang Gao, Peng Jia, Xin Zhao, Wenxia Chen, Lili Wang and Nina Xue
Pharmaceuticals 2024, 17(11), 1465; https://doi.org/10.3390/ph17111465 - 1 Nov 2024
Cited by 2 | Viewed by 1849
Abstract
Background and objective: Cannabinoids are commonly used as adjuvant cancer drugs to overcome numerous adverse side effects for patients. The aim of this study was to identify the target genes that show a synergistic anti-tumor role in combination with the cannabinoid WIN55212-2 [...] Read more.
Background and objective: Cannabinoids are commonly used as adjuvant cancer drugs to overcome numerous adverse side effects for patients. The aim of this study was to identify the target genes that show a synergistic anti-tumor role in combination with the cannabinoid WIN55212-2 in vitro and in vivo. Methods: A human kinome RNAi library was used to screen the targeted gene that silencing plus WIN55212-2 treatment synergistically inhibited cancer cell growth in an INCELL Analyzer 2000. Cell viability, cell phase arrest and apoptosis were evaluated by MTT and flow cytometry assay. In vivo combined anti-tumor effects and regulatory mechanisms were detected in immunocompromised and immunocompetent mice. Results: Using RNAi screening, we identified the tyrosine receptor kinase AXL as a potential gene whose silencing plus WIN55212-2 treatment synergistically inhibited the proliferation of cancer cells in an INCELL Analyzer 2000. Subsequently, we demonstrated that inhibition of AXL by TP-0903 potentiated the inhibitory role of WIN55212-2 on cellular viability, colony formation and 3D tumor sphere in HCT-8 cells. Meanwhile, TP-0903 plus WIN55212-2 treatment promoted the apoptosis of HCT-8 cells. We then investigated the synergistic anti-tumor effect of TP-0903 and WIN55212-2 using colon cancer cell xenografts in immunocompromised and immunocompetent mice. The in vivo study demonstrated that combined administration of TP-0903 plus WIN55212-2 effectively reduced tumor volume and microvessel density and promoted apoptotic cells of tumor tissues in HCT-8 exogenous mice compared to either TP-0903 or WIN55212-2 treatment alone. Moreover, in addition to tumor suppression, the combination therapy of TP-0903 and WIN55212-2 induced the infiltration of cytotoxic CD8+ T cells and significantly reduced mTOR and STAT3 activation in tumor tissues of C57BL/6J mice bearing MC-38 cells. Conclusions: This study demonstrated that targeting AXL could sensitize cannabinoids to cancer therapy by interfering with tumor cells and tumor-infiltrating CD8+ T cells. Full article
Show Figures

Figure 1

13 pages, 3079 KB  
Article
Radiolabelled FGF-2 for Imaging Activated Fibroblasts in the Tumor Micro-Environment
by Valeria Bentivoglio, Filippo Galli, Michela Varani, Danilo Ranieri, Pallavi Nayak, Annunziata D’Elia, Andrea Soluri, Roberto Massari, Chiara Lauri and Alberto Signore
Biomolecules 2024, 14(4), 491; https://doi.org/10.3390/biom14040491 - 18 Apr 2024
Cited by 2 | Viewed by 2592
Abstract
Tumor associated fibroblasts (TAFs) play a key role in tumor growth and metastatization. TAFs overexpress different biomarkers that are usually expressed at low levels in physiological conditions. Among them are the fibroblast growth factor receptors (FGFRs) that bind the fibroblast growth factors (FGFs). [...] Read more.
Tumor associated fibroblasts (TAFs) play a key role in tumor growth and metastatization. TAFs overexpress different biomarkers that are usually expressed at low levels in physiological conditions. Among them are the fibroblast growth factor receptors (FGFRs) that bind the fibroblast growth factors (FGFs). In particular, the overexpression of FGFR-2c in tumors has been associated with advanced clinical stages and increased metastatization. Here, we developed a non-invasive tool to evaluate, in vivo, the expression of FGFR-2c in metastatic cancer. This is based on 99mTc-labelled FGF-2. Methods: 99mTc-FGF-2 was tested in vitro and in vivo in mice bearing allografts of sarcoma cells. Images of 99mTc-FGF-2 were acquired using a new portable high-resolution ultra-sensitive gamma camera for small animal imaging. Results: FGF-2 was labeled with high specific activity but low labelling efficiency, thus requiring post-labeling purification by gel-filtration chromatography. In vitro binding to 2C human keratinocytes showed a Kd of 3.36 × 10−9 M. In mice bearing J774A.1 cell allografts, we observed high and rapid tumor uptake of 99mTc-FGF-2 with a high Tumor/Blood ratio at 24 h post-injection (26.1 %ID/g and 12.9 %ID) with low kidney activity and moderate liver activity. Conclusions: we labeled FGF-2 with 99mTc and showed nanomolar Kd in vitro with human keratinocytes expressing FGF-2 receptors. In mice, 99mTc-FGF-2 rapidly and efficiently accumulated in tumors expressing FGF-2 receptors. This new radiopharmaceutical could be used in humans to image TAFs. Full article
(This article belongs to the Section Molecular Medicine)
Show Figures

Figure 1

12 pages, 2843 KB  
Article
Functionalization of 68Ga-Radiolabeled Nanodiamonds with Octreotide Does Not Improve Tumor-Targeting Capabilities
by Thomas Wanek, Marco Raabe, Md Noor A Alam, Thomas Filip, Johann Stanek, Mathilde Loebsch, Christian Laube, Severin Mairinger, Tanja Weil and Claudia Kuntner
Pharmaceuticals 2024, 17(4), 514; https://doi.org/10.3390/ph17040514 - 17 Apr 2024
Cited by 1 | Viewed by 5252
Abstract
Nanodiamonds (NDs) are emerging as a novel nanoparticle class with growing interest in medical applications. The surface coating of NDs can be modified by attaching binding ligands or imaging probes, turning them into multi-modal targeting agents. In this investigation, we assessed the targeting [...] Read more.
Nanodiamonds (NDs) are emerging as a novel nanoparticle class with growing interest in medical applications. The surface coating of NDs can be modified by attaching binding ligands or imaging probes, turning them into multi-modal targeting agents. In this investigation, we assessed the targeting efficacy of octreotide-functionalized 68Ga-radiolabelled NDs for cancer imaging and compared it with the tumor uptake using [68Ga]Ga-DOTA-TOC. In vivo studies in mice bearing AR42J tumors demonstrated the highest accumulation of the radiolabeled functionalized NDs in the liver and spleen, with relatively low tumor uptake compared to [68Ga]Ga-DOTA-TOC. Our findings suggest that, within the scope of this study, functionalization did not enhance the tumor-targeting capabilities of NDs. Full article
Show Figures

Figure 1

14 pages, 1877 KB  
Article
Development of the First 18F-Labeled Radiohybrid-Based Minigastrin Derivative with High Target Affinity and Tumor Accumulation by Substitution of the Chelating Moiety
by Thomas Günther, Nadine Holzleitner, Daniel Di Carlo, Nicole Urtz-Urban, Constantin Lapa and Hans-Jürgen Wester
Pharmaceutics 2023, 15(3), 826; https://doi.org/10.3390/pharmaceutics15030826 - 3 Mar 2023
Cited by 8 | Viewed by 2923
Abstract
In order to optimize elevated kidney retention of previously reported minigastrin derivatives, we substituted (R)-DOTAGA by DOTA in (R)-DOTAGA-rhCCK-16/-18. CCK-2R-mediated internalization and affinity of the new compounds were determined using AR42J cells. Biodistribution and µSPECT/CT imaging studies at [...] Read more.
In order to optimize elevated kidney retention of previously reported minigastrin derivatives, we substituted (R)-DOTAGA by DOTA in (R)-DOTAGA-rhCCK-16/-18. CCK-2R-mediated internalization and affinity of the new compounds were determined using AR42J cells. Biodistribution and µSPECT/CT imaging studies at 1 and 24 h p.i. were carried out in AR42J tumor-bearing CB17-SCID mice. Both DOTA-containing minigastrin analogs exhibited 3- to 5-fold better IC50 values than their (R)-DOTAGA-counterparts. natLu-labeled peptides revealed higher CCK-2R affinity than their natGa-labeled analogs. In vivo, tumor uptake at 24 h p.i. of the most affine compound, [19F]F-[177Lu]Lu-DOTA-rhCCK-18, was 1.5- and 13-fold higher compared to its (R)-DOTAGA derivative and the reference compound, [177Lu]Lu-DOTA-PP-F11N, respectively. However, activity levels in the kidneys were elevated as well. At 1 h p.i., tumor and kidney accumulation of [19F]F-[177Lu]Lu-DOTA-rhCCK-18 and [18F]F-[natLu]Lu-DOTA-rhCCK-18 was high. We could demonstrate that the choice of chelators and radiometals has a significant impact on CCK-2R affinity and thus tumor uptake of minigastrin analogs. While elevated kidney retention of [19F]F-[177Lu]Lu-DOTA-rhCCK-18 has to be further addressed with regard to radioligand therapy, its radiohybrid analog, [18F]F-[natLu]Lu-DOTA-rhCCK-18, might be ideal for positron emission tomography (PET) imaging due to its high tumor accumulation at 1 h p.i. and the attractive physical properties of fluorine-18. Full article
Show Figures

Figure 1

17 pages, 2504 KB  
Article
Preclinical Evaluation of a Lead Specific Chelator (PSC) Conjugated to Radiopeptides for 203Pb and 212Pb-Based Theranostics
by Mengshi Li, Nicholas J. Baumhover, Dijie Liu, Brianna S. Cagle, Frédéric Boschetti, Guillaume Paulin, Dongyoul Lee, Zhiming Dai, Ephraim R. Obot, Brenna M. Marks, Ibrahim Okeil, Edwin A. Sagastume, Moustafa Gabr, F. Christopher Pigge, Frances L. Johnson and Michael K. Schultz
Pharmaceutics 2023, 15(2), 414; https://doi.org/10.3390/pharmaceutics15020414 - 26 Jan 2023
Cited by 35 | Viewed by 7065
Abstract
203Pb and 212Pb have emerged as promising theranostic isotopes for image-guided α-particle radionuclide therapy for cancers. Here, we report a cyclen-based Pb specific chelator (PSC) that is conjugated to tyr3-octreotide via a PEG2 linker (PSC-PEG-T) targeting somatostatin receptor [...] Read more.
203Pb and 212Pb have emerged as promising theranostic isotopes for image-guided α-particle radionuclide therapy for cancers. Here, we report a cyclen-based Pb specific chelator (PSC) that is conjugated to tyr3-octreotide via a PEG2 linker (PSC-PEG-T) targeting somatostatin receptor subtype 2 (SSTR2). PSC-PEG-T could be labeled efficiently to purified 212Pb at 25 °C and also to 212Bi at 80 °C. Efficient radiolabeling of mixed 212Pb and 212Bi in PSC-PEG-T was also observed at 80 °C. Post radiolabeling, stable Pb(II) and Bi(III) radiometal complexes in saline were observed after incubating [203Pb]Pb-PSC-PEG-T for 72 h and [212Bi]Bi-PSC-PEG-T for 5 h. Stable [212Pb]Pb-PSC-PEG-T and progeny [212Bi]Bi-PSC-PEG-T were identified after storage in saline for 24 h. In serum, stable radiometal/radiopeptide were observed after incubating [203Pb]Pb-PSC-PEG-T for 55 h and [212Pb]Pb-PSC-PEG-T for 24 h. In vivo biodistribution of [212Pb]Pb-PSC-PEG-T in tumor-free CD-1 Elite mice and athymic mice bearing AR42J xenografts revealed rapid tumor accumulation, excellent tumor retention and fast renal clearance of both 212Pb and 212Bi, with no in vivo redistribution of progeny 212Bi. Single-photon emission computed tomography (SPECT) imaging of [203Pb]Pb-PSC-PEG-T and [212Pb]Pb-PSC-PEG-T in mice also demonstrated comparable accumulation in AR42J xenografts and renal clearance, confirming the theranostic potential of the elementally identical 203Pb/212Pb radionuclide pair. Full article
Show Figures

Graphical abstract

15 pages, 4654 KB  
Article
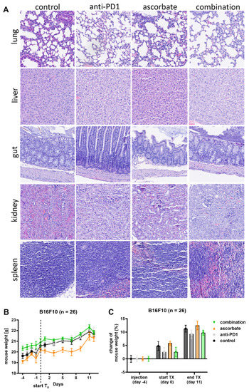
High-Dose Ascorbate in Combination with Anti-PD1 Checkpoint Inhibition as Treatment Option for Malignant Melanoma
by Markus Burkard, Heike Niessner, Christian Leischner, Alban Piotrowsky, Olga Renner, Luigi Marongiu, Ulrich M. Lauer, Christian Busch, Tobias Sinnberg and Sascha Venturelli
Cells 2023, 12(2), 254; https://doi.org/10.3390/cells12020254 - 7 Jan 2023
Cited by 11 | Viewed by 4704
Abstract
Ascorbate acts as a prooxidant when administered parenterally at high supraphysiological doses, which results in the generation of hydrogen peroxide in dependence on oxygen. Most cancer cells are susceptible to the emerging reactive oxygen species (ROS). Accordingly, we evaluated high-dose ascorbate for the [...] Read more.
Ascorbate acts as a prooxidant when administered parenterally at high supraphysiological doses, which results in the generation of hydrogen peroxide in dependence on oxygen. Most cancer cells are susceptible to the emerging reactive oxygen species (ROS). Accordingly, we evaluated high-dose ascorbate for the treatment of the B16F10 melanoma model. To investigate the effects of ascorbate on the B16F10 cell line in vitro, viability, cellular impedance, and ROS production were analyzed. In vivo, C57BL/6NCrl mice were subcutaneously injected into the right flank with B16F10 cells and tumor-bearing mice were treated intraperitoneally with ascorbate (3 g/kg bodyweight), immunotherapy (anti-programmed cell death protein 1 (PD1) antibody J43; 2 mg/kg bodyweight), or both treatments combined. The efficacy and toxicity were analyzed by measuring the respective tumor sizes and mouse weights accompanied by histological analysis of the protein levels of proliferating cell nuclear antigen (Pcna), glucose transporter 1 (Glut-1), and CD3. Treatment of B16F10 melanoma-carrying mice with high-dose ascorbate yielded plasma levels in the pharmacologically effective range, and ascorbate showed efficacy as a monotherapy and when combined with PD1 inhibition. Our data suggest the applicability of ascorbate as an additional therapeutic agent that can be safely combined with immunotherapy and has the potential to potentiate anti-PD1-based immune checkpoint blockades. Full article
Show Figures

Graphical abstract

12 pages, 1987 KB  
Article
Effective, Long-Term, Neutrophil Depletion Using a Murinized Anti-Ly-6G 1A8 Antibody
by Patricia A. Olofsen, Marjolein C. Stip, J. H. Marco Jansen, Chilam Chan, Maaike Nederend, Ralph G. Tieland, Maria Tsioumpekou and Jeanette H. W. Leusen
Cells 2022, 11(21), 3406; https://doi.org/10.3390/cells11213406 - 27 Oct 2022
Cited by 21 | Viewed by 8609
Abstract
Neutrophils are crucial innate immune cells but also play key roles in various diseases, such as cancer, where they can perform both pro- and anti-tumorigenic functions. To study the function of neutrophils in vivo, these cells are often depleted using Ly-6G or Gr-1 [...] Read more.
Neutrophils are crucial innate immune cells but also play key roles in various diseases, such as cancer, where they can perform both pro- and anti-tumorigenic functions. To study the function of neutrophils in vivo, these cells are often depleted using Ly-6G or Gr-1 depleting antibodies or genetic “knockout” models. However, these methods have several limitations, being only partially effective, effective for a short term, and lacking specificity or the ability to conditionally deplete neutrophils. Here, we describe the use of a novel murinized Ly-6G (1A8) antibody. The murinized Ly-6G antibody is of the mouse IgG2a isotype, which is the only isotype that can bind all murine Fcγ receptors and C1q and is, therefore, able to activate antibody-dependent cellular cytotoxicity (ADCC), antibody-dependent phagocytosis (ADCP) and complement-dependent cytotoxicity (CDC) pathways. We show that this mouse-Ly-6G antibody shows efficient, long-term, and near-complete (>90%) neutrophil depletion in the peripheral blood of C57Bl6/J, Balb/c, NXG and SCID mice for up to at least four weeks, using a standardized neutrophil depletion strategy. In addition, we show that neutrophils are efficiently depleted in the blood and tumor tissue of IMR32 tumor-bearing SCID mice, analyzed six weeks after the start of the treatment. Full article
(This article belongs to the Collection Emerging Roles of Neutrophil in Inflammation and Immunity)
Show Figures

Figure 1

9 pages, 876 KB  
Article
Preparation and Evaluation of [18F]AlF-NOTA-NOC for PET Imaging of Neuroendocrine Tumors: Comparison to [68Ga]Ga-DOTA/NOTA-NOC
by Johan Hygum Dam, Niels Langkjær, Christina Baun, Birgitte Brinkmann Olsen, Aaraby Yoheswaran Nielsen and Helge Thisgaard
Molecules 2022, 27(20), 6818; https://doi.org/10.3390/molecules27206818 - 12 Oct 2022
Cited by 9 | Viewed by 3859
Abstract
Background: The somatostatin receptors 1–5 are overexpressed on neuroendocrine neoplasms and, as such, represent a favorable target for molecular imaging. This study investigates the potential of [18F]AlF-NOTA-[1-Nal3]-Octreotide and compares it in vivo to DOTA- and NOTA-[1-Nal3]-Octreotide radiolabeled [...] Read more.
Background: The somatostatin receptors 1–5 are overexpressed on neuroendocrine neoplasms and, as such, represent a favorable target for molecular imaging. This study investigates the potential of [18F]AlF-NOTA-[1-Nal3]-Octreotide and compares it in vivo to DOTA- and NOTA-[1-Nal3]-Octreotide radiolabeled with gallium-68. Methods: DOTA- and NOTA-NOC were radiolabeled with gallium-68 and NOTA-NOC with [18F]AlF. Biodistributions of the three radioligands were evaluated in AR42J xenografted mice at 1 h p.i and for [18F]AlF at 3 h p.i. Preclinical PET/CT was applied to confirm the general uptake pattern. Results: Gallium-68 was incorporated into DOTA- and NOTA-NOC in yields and radiochemical purities greater than 96.5%. NOTA-NOC was radiolabeled with [18F]AlF in yields of 38 ± 8% and radiochemical purity above 99% after purification. The biodistribution in tumor-bearing mice showed a high uptake in tumors of 26.4 ± 10.8 %ID/g for [68Ga]Ga-DOTA-NOC and 25.7 ± 5.8 %ID/g for [68Ga]Ga-NOTA-NOC. Additionally, [18F]AlF-NOTA-NOC exhibited a tumor uptake of 37.3 ± 10.5 %ID/g for [18F]AlF-NOTA-NOC, which further increased to 42.1 ± 5.3 %ID/g at 3 h p.i. Conclusions: The high tumor uptake of all radioligands was observed. However, [18F]AlF-NOTA-NOC surpassed the other clinically well-established radiotracers in vivo, especially at 3 h p.i. The tumor-to-blood and -liver ratios increased significantly over three hours for [18F]AlF-NOTA-NOC, making it possible to detect liver metastases. Therefore, [18F]AlF demonstrates promise as a surrogate pseudo-radiometal to gallium-68. Full article
(This article belongs to the Special Issue Radiopharmaceuticals)
Show Figures

Figure 1

12 pages, 2087 KB  
Article
Diagnostic Ability of Methods Depicting Distress of Tumor-Bearing Mice
by Wentao Xie, Marcel Kordt, Rupert Palme, Eberhard Grambow, Brigitte Vollmar and Dietmar Zechner
Animals 2021, 11(8), 2155; https://doi.org/10.3390/ani11082155 - 21 Jul 2021
Cited by 4 | Viewed by 6201
Abstract
Subcutaneous tumor models in mice are the most commonly used experimental animal models in cancer research. To improve animal welfare and the quality of scientific studies, the distress of experimental animals needs to be minimized. For this purpose, one must assess the diagnostic [...] Read more.
Subcutaneous tumor models in mice are the most commonly used experimental animal models in cancer research. To improve animal welfare and the quality of scientific studies, the distress of experimental animals needs to be minimized. For this purpose, one must assess the diagnostic ability of readout parameters to evaluate distress. In this study, we evaluated different noninvasive readout parameters such as body weight change, adjusted body weight change, faecal corticosterone metabolites concentration, burrowing activity and a distress score by utilising receiver operating characteristic curves. Eighteen immunocompromised NOD.Cg-Prkdcscid Il2rgtm1Wjl/SzJ mice were used for this study; half were subcutaneously injected with A-375 cells (human malignant melanoma cells) that resulted in large tumors. The remaining mice were inoculated with SCL-2 cells (cutaneous squamous cell carcinoma cells), which resulted in small tumors. The adjusted body weight and faecal corticosterone metabolites concentration had a high diagnostic ability in distinguishing between mice before cancer cell injection and mice bearing large tumors. All other readout parameters had a low diagnostic ability. These results suggest that adjusted body weight and faecal corticosterone metabolites are useful to depict the distress of mice bearing large subcutaneous tumors. Full article
(This article belongs to the Section Animal Welfare)
Show Figures

Figure 1

13 pages, 3095 KB  
Communication
Simultaneous Visualization of 161Tb- and 177Lu-Labeled Somatostatin Analogues Using Dual-Isotope SPECT Imaging
by Francesca Borgna, Patrick Barritt, Pascal V. Grundler, Zeynep Talip, Susan Cohrs, Jan Rijn Zeevaart, Ulli Köster, Roger Schibli, Nicholas P. van der Meulen and Cristina Müller
Pharmaceutics 2021, 13(4), 536; https://doi.org/10.3390/pharmaceutics13040536 - 12 Apr 2021
Cited by 34 | Viewed by 6684
Abstract
The decay of terbium-161 results in the emission of β¯-particles as well as conversion and Auger electrons, which makes terbium-161 interesting for therapeutic purposes. The aim of this study was to use dual-isotope SPECT imaging in order to demonstrate visually that terbium-161 and [...] Read more.
The decay of terbium-161 results in the emission of β¯-particles as well as conversion and Auger electrons, which makes terbium-161 interesting for therapeutic purposes. The aim of this study was to use dual-isotope SPECT imaging in order to demonstrate visually that terbium-161 and lutetium-177 are interchangeable without compromising the pharmacokinetic profile of the radiopharmaceutical. The 161Tb- and 177Lu-labeled somatostatin (SST) analogues DOTATOC (agonist) and DOTA-LM3 (antagonist) were tested in vitro to demonstrate equal properties regarding distribution coefficients and cell uptake into SST receptor-positive AR42J tumor cells. The radiopeptides were further investigated in AR42J tumor-bearing nude mice using the method of dual-isotope (terbium-161/lutetium-177) SPECT/CT imaging to enable the visualization of their distribution profiles in the same animal. Equal pharmacokinetic profiles were demonstrated for either of the two peptides, irrespective of whether it was labeled with terbium-161 or lutetium-177. Moreover, the visualization of the sub-organ distribution confirmed similar behavior of 161Tb- and 177Lu-labeled SST analogues. The data were verified in quantitative biodistribution studies using either type of peptide labeled with terbium-161 or lutetium-177. While the radionuclide did not have an impact on the organ distribution, this study confirmed previous data of a considerably higher tumor uptake of radiolabeled DOTA-LM3 as compared to the radiolabeled DOTATOC. Full article
(This article belongs to the Special Issue Targeted Radionuclide Therapy)
Show Figures

Figure 1

19 pages, 5213 KB  
Communication
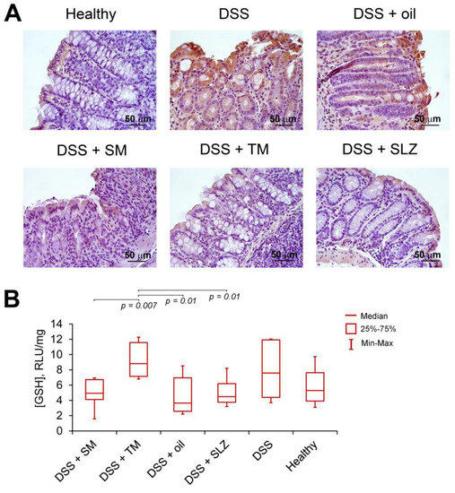
Trioxolone Methyl, a Novel Cyano Enone-Bearing 18βH-Glycyrrhetinic Acid Derivative, Ameliorates Dextran Sulphate Sodium-Induced Colitis in Mice
by Andrey V. Markov, Aleksandra V. Sen’kova, Oksana V. Salomatina, Evgeniya B. Logashenko, Dina V. Korchagina, Nariman F. Salakhutdinov and Marina A. Zenkova
Molecules 2020, 25(10), 2406; https://doi.org/10.3390/molecules25102406 - 21 May 2020
Cited by 10 | Viewed by 3778
Abstract
Semi-synthetic triterpenoids, bearing cyano enone functionality in ring A, are considered to be novel promising therapeutic agents with complex inhibitory effects on tissue damage, inflammation and tumor growth. Previously, we showed that the cyano enone-containing 18βH-glycyrrhetinic acid derivative soloxolone methyl (SM) effectively suppressed [...] Read more.
Semi-synthetic triterpenoids, bearing cyano enone functionality in ring A, are considered to be novel promising therapeutic agents with complex inhibitory effects on tissue damage, inflammation and tumor growth. Previously, we showed that the cyano enone-containing 18βH-glycyrrhetinic acid derivative soloxolone methyl (SM) effectively suppressed the inflammatory response of macrophages in vitro and the development of influenza A-induced pneumonia and phlogogen-stimulated paw edema in vivo. In this work, we reported the synthesis of a novel 18βH-glycyrrhetinic acid derivative trioxolone methyl (TM), bearing a 2-cyano-3-oxo-1(2)-en moiety in ring A and a 12,19-dioxo-9(11),13(18)-dien moiety in rings C, D, and E. TM exhibited a high inhibitory effect on nitric oxide (II) production by lipopolysaccharide-stimulated J774 macrophages in vitro and dextran sulfate sodium (DSS)-induced colitis in mice, displaying higher anti-inflammatory activity in comparison with SM. TM effectively suppressed the DSS-induced epithelial damage and inflammatory infiltration of colon tissue, the hyperproduction of colonic neutral mucin and TNFα and increased glutathione synthesis. Our in silico analysis showed that Akt1, STAT3 and dopamine receptor D2 can be considered as mediators of the anti-colitic activity of TM. Our findings provided valuable information for a better understanding of the anti-inflammatory activity of cyano enone-bearing triterpenoids and revealed TM as a promising anti-inflammatory candidate. Full article
Show Figures

Graphical abstract

12 pages, 3077 KB  
Article
Measurement of Cyanine Dye Photobleaching in Photosensitizer Cyanine Dye Conjugates Could Help in Optimizing Light Dosimetry for Improved Photodynamic Therapy of Cancer
by Nadine S. James, Ravindra R. Cheruku, Joseph R. Missert, Ulas Sunar and Ravindra K. Pandey
Molecules 2018, 23(8), 1842; https://doi.org/10.3390/molecules23081842 - 24 Jul 2018
Cited by 60 | Viewed by 7565
Abstract
Photodynamic therapy (PDT) of cancer is dependent on three primary components: photosensitizer (PS), light and oxygen. Because these components are interdependent and vary during the dynamic process of PDT, assessing PDT efficacy may not be trivial. Therefore, it has become necessary to develop [...] Read more.
Photodynamic therapy (PDT) of cancer is dependent on three primary components: photosensitizer (PS), light and oxygen. Because these components are interdependent and vary during the dynamic process of PDT, assessing PDT efficacy may not be trivial. Therefore, it has become necessary to develop pre-treatment planning, on-line monitoring and dosimetry strategies during PDT, which become more critical for two or more chromophore systems, for example, PS-CD (Photosensitizer-Cyanine dye) conjugates developed in our laboratory for fluorescence-imaging and PDT of cancer. In this study, we observed a significant impact of variable light dosimetry; (i) high light fluence and fluence rate (light dose: 135 J/cm2, fluence rate: 75 mW/cm2) and (ii) low light fluence and fluence rate (128 J/cm2 and 14 mW/cm2 and 128 J/cm2 and 7 mW/cm2) in photobleaching of the individual chromophores of PS-CD conjugates and their long-term tumor response. The fluorescence at the near-infrared (NIR) region of the PS-NIR fluorophore conjugate was assessed intermittently via fluorescence imaging. The loss of fluorescence, photobleaching, caused by singlet oxygen from the PS was mapped continuously during PDT. The tumor responses (BALB/c mice bearing Colon26 tumors) were assessed after PDT by measuring tumor sizes daily. Our results showed distinctive photobleaching kinetics rates between the PS and CD. Interestingly, compared to higher light fluence, the tumors exposed at low light fluence showed reduced photobleaching and enhanced long-term PDT efficacy. The presence of NIR fluorophore in PS-CD conjugates provides an opportunity of fluorescence imaging and monitoring the photobleaching rate of the CD moiety for large and deeply seated tumors and assessing PDT tumor response in real-time. Full article
(This article belongs to the Special Issue Advances in Photodynamic Therapy 2018)
Show Figures

Graphical abstract

Back to TopTop