Sign in to use this feature.

Years

Between: -

Subjects

remove_circle_outline
remove_circle_outline
remove_circle_outline
remove_circle_outline
remove_circle_outline
remove_circle_outline

Journals

Article Types

Countries / Regions

Search Results (20)

Search Parameters:
Keywords = 2-DG analogs

Order results
Result details
Results per page
Select all
Export citation of selected articles as:
16 pages, 5767 KB  
Case Report
Ultrasound-Guided Prolotherapy for Sciatica Secondary to Sacrospinous Ligament Calcification: A Potential and Previously Overlooked Etiological Factor in Deep Gluteal Syndrome—A Case Report and Literature Review
by Yonghyun Yoon, King Hei Stanley Lam, Jaeyoung Lee, Rowook Park, Jaehyun Shim, Jonghyeok Lee, Daniel Chiung-Jui Su, Kenneth Dean Reeves and Stephen Cavallino
Life 2025, 15(9), 1486; https://doi.org/10.3390/life15091486 - 22 Sep 2025
Viewed by 361
Abstract
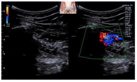
Background: Deep gluteal syndrome (DGS) is an underdiagnosed cause of sciatica-like pain, involving the entrapment of the sciatic nerve by various structures within the subgluteal space. While cases of ossification or calcification in the context of severe pelvic imbalance have been rarely reported, [...] Read more.
Background: Deep gluteal syndrome (DGS) is an underdiagnosed cause of sciatica-like pain, involving the entrapment of the sciatic nerve by various structures within the subgluteal space. While cases of ossification or calcification in the context of severe pelvic imbalance have been rarely reported, isolated SSL calcification as a primary cause of DGS remains largely unexplored and undocumented. This case report presents the first documented instance of sacrospinous ligament (SSL) calcification identified as the primary cause of DGS and its successful management with ultrasound-guided prolotherapy. Case Presentation: A 51-year-old female presented with severe, worsening left-sided sciatica of several months’ duration. Physical examination revealed an antalgic gait, positive sacroiliac joint tests, and multiple positive DGS-specific provocative tests (FAIR, Pace sign, Seated Piriformis Stretch). Radiographs and musculoskeletal ultrasound (MSK-US) confirmed calcification within the left sacrospinous ligament, with associated sciatic nerve swelling. The patient underwent three sessions of ultrasound-guided prolotherapy (dextrose 10% with lidocaine) targeting the calcification site, followed by a structured rehabilitation program. Results: The patient reported a significant reduction in pain, from a Visual Analog Scale (VAS) score of 10/10 to 1/10 within one month. All previously positive provocative tests converted to negative, indicating a resolution of the nerve entrapment. Functional mobility was fully restored. Conclusions: This case highlights isolated sacrospinous ligament calcification as a potential and previously overlooked pathological entity responsible for deep gluteal syndrome. To our knowledge, this is the first report to implicate ligamentous calcification as a primary etiological factor in DGS. Musculoskeletal ultrasound proved indispensable for both diagnosis and treatment guidance. Furthermore, ultrasound-guided prolotherapy emerged as a successful and minimally invasive therapeutic option in this case, potentially by stabilizing the ligament and reducing neurogenic inflammation. This case expands the differential diagnosis of sciatica, introduces a new target for intervention in refractory cases, and underscores the need for future studies in larger patient cohorts to validate these findings. Full article
(This article belongs to the Special Issue Pain and Therapy: Historical Perspectives and Future Directions)
Show Figures

Figure 1

14 pages, 4803 KB  
Article
Ion and Water Transports in Double Gyroid Nanochannels Formed by Block Copolymer Anion Exchange Membranes
by Karim Aissou, Maximilien Coronas, Jason Richard, Erwan Ponsin, Sambhav Vishwakarma, Eddy Petit, Bertrand Rebiere, Camille Bakkali-Hassani, Stéphanie Roualdes and Damien Quemener
Batteries 2025, 11(4), 126; https://doi.org/10.3390/batteries11040126 - 26 Mar 2025
Cited by 1 | Viewed by 901
Abstract
Mechanically improved polymeric membranes with high ionic conductivity (IC) and good permeability are highly desired for next-generation anion exchange membranes (AEMs) in order to reduce Ohmic losses and enhance water management in alkaline membrane fuel cells. To move towards the fabrication of such [...] Read more.
Mechanically improved polymeric membranes with high ionic conductivity (IC) and good permeability are highly desired for next-generation anion exchange membranes (AEMs) in order to reduce Ohmic losses and enhance water management in alkaline membrane fuel cells. To move towards the fabrication of such high-performance membranes, the creation of hydrophilic ion-conducting double gyroid (DG) nanochannels within block copolymer (BCP) AEMs is a promising approach. However, this attractive solution remains difficult to implement due to the complexity of constructing a well-developed ion-conducting DG morphology across the entire membrane thickness. To deal with this issue, water permeable polystyrene-block-poly(2-vinylpyridine)-block-poly(ethylene oxide) membranes with ion-conducting DG nanochannels were produced by combining a solvent vapor annealing (SVA) treatment with a methylation process. Here, the SVA treatment enabled the manufacture of DG-forming BCP AEMs while the methylation process allowed for the conversion of pyridine sites to N-methylpyridinium (NMP+) cations via a Menshutkin reaction. Following this SVA-methylation method, the IC value of water-permeable (~384 L h−1 m−2 bar−1) DG-structured BCP AEMs in their OHcounter anion form was measured to be of ~2.8 mS.cm−1 at 20 °C while a lower IC value was probed, under the same experimental conditions, from as-cast NMP+-containing analogs with a non-permeable disordered phase (~1.2 mS.cm−1). Full article
Show Figures

Figure 1

11 pages, 4915 KB  
Article
Structural Insights into the Nonmutagenicity of 2-Haloacetophenone
by Hunmin Jung, Naveen Kumar Rayala, Ritesh Pal and Seongmin Lee
Molecules 2025, 30(6), 1264; https://doi.org/10.3390/molecules30061264 - 12 Mar 2025
Viewed by 780
Abstract
A wide variety of endogenous and exogenous alkylating agents covalently modify DNA to produce N7-alkyl-2′-deoxyguanosine (N7-alkylG) adducts as major DNA lesions. The mutagenic potentials of many N7-alkylG adducts with an intercalatable moiety remain poorly understood. We have discovered that the antiriot agent 2-chloroacetophenone [...] Read more.
A wide variety of endogenous and exogenous alkylating agents covalently modify DNA to produce N7-alkyl-2′-deoxyguanosine (N7-alkylG) adducts as major DNA lesions. The mutagenic potentials of many N7-alkylG adducts with an intercalatable moiety remain poorly understood. We have discovered that the antiriot agent 2-chloroacetophenone readily reacts with dG to produce N7-acetophenone-dG adducts, implicating the genotoxic properties of 2-chloroacetophenone. 2-Chloroacetophenone, however, has been found to be nonmutagenic in both bacterial and mammalian cells. To gain insights into the nonmutagenic nature of N7-acetophenone-dG, we prepared N7-acetophenone-dG-containing oligonucleotide via 2′-fluorine-mediated transition-state destabilization and conducted kinetic and structural studies of human DNA polymerase eta (polη) incorporating nucleotide opposite 2′-F-N7-acetophenone-dG. The kinetic experiments reveal that the presence of the lesion at the templating position greatly hinders nucleotide incorporation. A crystal structure of polη bound to a nonhydrolyzable dCTP analog opposite 2′-F-N7-acetophenone-dG shows that the templating N7-acetophenone-dG is in a syn conformation, precluding binding of an incoming nucleotide in the catalytic site. These unusual conformations explain the observed inefficient incorporation of nucleotide opposite the lesion. Our studies suggest that certain bulky N7-alkylG lesions adopt a syn conformer and present an intercalatable moiety into the nascent base-pairing site, deterring nucleotide incorporation and thus lowering mutagenicity. Full article
Show Figures

Figure 1

27 pages, 4908 KB  
Article
Potent Biological Activity of Fluorinated Derivatives of 2-Deoxy-d-Glucose in a Glioblastoma Model
by Maja Sołtyka-Krajewska, Marcin Ziemniak, Anna Zawadzka-Kazimierczuk, Paulina Skrzypczyk, Ewelina Siwiak-Niedbalska, Anna Jaśkiewicz, Rafał Zieliński, Izabela Fokt, Stanisław Skóra, Wiktor Koźmiński, Krzysztof Woźniak, Waldemar Priebe and Beata Pająk-Tarnacka
Biomedicines 2024, 12(10), 2240; https://doi.org/10.3390/biomedicines12102240 - 1 Oct 2024
Cited by 2 | Viewed by 3572
Abstract
Background: One defining feature of various aggressive cancers, including glioblastoma multiforme (GBM), is glycolysis upregulation, making its inhibition a promising therapeutic approach. One promising compound is 2-deoxy-d-glucose (2-DG), a d-glucose analog with high clinical potential due to its ability to [...] Read more.
Background: One defining feature of various aggressive cancers, including glioblastoma multiforme (GBM), is glycolysis upregulation, making its inhibition a promising therapeutic approach. One promising compound is 2-deoxy-d-glucose (2-DG), a d-glucose analog with high clinical potential due to its ability to inhibit glycolysis. Upon uptake, 2-DG is phosphorylated by hexokinase to 2-DG-6-phosphate, which inhibits hexokinase and downstream glycolytic enzymes. Unfortunately, therapeutic use of 2-DG is limited by poor pharmacokinetics, suppressing its efficacy. Methods: To address these issues, we synthesized novel halogenated 2-DG analogs (2-FG, 2,2-diFG, 2-CG, and 2-BG) and evaluated their glycolytic inhibition in GBM cells. Our in vitro and computational studies suggest that these derivatives modulate hexokinase activity differently. Results: Fluorinated compounds show the most potent cytotoxic effects, indicated by the lowest IC50 values. These effects were more pronounced in hypoxic conditions. 19F NMR experiments and molecular docking confirmed that fluorinated derivatives bind hexokinase comparably to glucose. Enzymatic assays demonstrated that all halogenated derivatives are more effective HKII inhibitors than 2-DG, particularly through their 6-phosphates. By modifying the C-2 position with halogens, these compounds may overcome the poor pharmacokinetics of 2-DG. The modifications seem to enhance the stability and uptake of the compounds, making them effective at lower doses and over prolonged periods. Conclusions: This research has the potential to reshape the treatment landscape for GBM and possibly other cancers by offering a more targeted, effective, and metabolically focused therapeutic approach. The application of halogenated 2-DG analogs represents a promising advancement in cancer metabolism-targeted therapies, with the potential to overcome current treatment limitations. Full article
(This article belongs to the Section Cancer Biology and Oncology)
Show Figures

Figure 1

18 pages, 2735 KB  
Article
Stable Production of a Recombinant Single-Chain Eel Follicle-Stimulating Hormone Analog in CHO DG44 Cells
by Munkhzaya Byambaragchaa, Sei Hyen Park, Sang-Gwon Kim, Min Gyu Shin, Shin-Kwon Kim, Myung-Hum Park, Myung-Hwa Kang and Kwan-Sik Min
Int. J. Mol. Sci. 2024, 25(13), 7282; https://doi.org/10.3390/ijms25137282 - 2 Jul 2024
Cited by 3 | Viewed by 2016
Abstract
This study aimed to produce single-chain recombinant Anguillid eel follicle-stimulating hormone (rec-eel FSH) analogs with high activity in Cricetulus griseus ovary DG44 (CHO DG44) cells. We recently reported that an O-linked glycosylated carboxyl-terminal peptide (CTP) of the equine chorionic gonadotropin (eCG) β-subunit contributes [...] Read more.
This study aimed to produce single-chain recombinant Anguillid eel follicle-stimulating hormone (rec-eel FSH) analogs with high activity in Cricetulus griseus ovary DG44 (CHO DG44) cells. We recently reported that an O-linked glycosylated carboxyl-terminal peptide (CTP) of the equine chorionic gonadotropin (eCG) β-subunit contributes to high activity and time-dependent secretion in mammalian cells. We constructed a mutant (FSH-M), in which a linker including the eCG β-subunit CTP region (amino acids 115–149) was inserted between the β-subunit and α-subunit of wild-type single-chain eel FSH (FSH-wt). Plasmids containing eel FSH-wt and eel FSH-M were transfected into CHO DG44 cells, and single cells expressing each protein were isolated from 10 and 7 clones. Secretion increased gradually during the cultivation period and peaked at 4000–5000 ng/mL on day 9. The molecular weight of eel FSH-wt was 34–40 kDa, whereas that of eel FSH-M increased substantially, with two bands at 39–46 kDa. Treatment with PNGase F to remove the N glycosylation sites decreased the molecular weight remarkably to approximately 8 kDa. The EC50 value and maximal responsiveness of eel FSH-M were approximately 1.23- and 1.06-fold higher than those of eel FSH-wt, indicating that the mutant showed slightly higher biological activity. Phosphorylated extracellular-regulated kinase (pERK1/2) activation exhibited a sharp peak at 5 min, followed by a rapid decline. These findings indicate that the new rec-eel FSH molecule with the eCG β-subunit CTP linker shows potent activity and could be produced in massive quantities using the stable CHO DG44 cell system. Full article
(This article belongs to the Special Issue New Sights into Bioinformatics of Gene Regulations and Structure)
Show Figures

Figure 1

15 pages, 721 KB  
Article
Stable Production of a Tethered Recombinant Eel Luteinizing Hormone Analog with High Potency in CHO DG44 Cells
by Munkhzaya Byambaragchaa, Sei Hyen Park, Sang-Gwon Kim, Min Gyu Shin, Shin-Kwon Kim, Sung-Pyo Hur, Myung-Hum Park, Myung-Hwa Kang and Kwan-Sik Min
Curr. Issues Mol. Biol. 2024, 46(6), 6085-6099; https://doi.org/10.3390/cimb46060363 - 15 Jun 2024
Cited by 1 | Viewed by 1849
Abstract
We produced a recombinant eel luteinizing hormone (rec-eel LH) analog with high potency in Chinese hamster ovary DG44 (CHO DG44) cells. The tethered eel LH mutant (LH-M), which had a linker comprising the equine chorionic gonadotropin (eLH/CG) β-subunit carboxyl-terminal peptide (CTP) region (amino [...] Read more.
We produced a recombinant eel luteinizing hormone (rec-eel LH) analog with high potency in Chinese hamster ovary DG44 (CHO DG44) cells. The tethered eel LH mutant (LH-M), which had a linker comprising the equine chorionic gonadotropin (eLH/CG) β-subunit carboxyl-terminal peptide (CTP) region (amino acids 115 to 149), was inserted between the β-subunit and α-subunit of wild-type tethered eel LH (LH-wt). Monoclonal cells transfected with the tethered eel LH-wt and eel LH-M plasmids were isolated from five to nine clones of CHO DG44 cells, respectively. The secreted quantities abruptly increased on day 3, with peak levels of 5000–7500 ng/mL on day 9. The molecular weight of tethered rec-eel LH-wt was 32–36 kDa, while that of tethered rec-eel LH-M increased to approximately 38–44 kDa, indicating the detection of two bands. Treatment with the peptide N-glycanase F decreased the molecular weight by approximately 8 kDa. The oligosaccharides at the eCG β-subunit O-linked glycosylation sites were appropriately modified post-translation. The EC50 value and maximal responsiveness of eel LH-M increased by approximately 2.90- and 1.29-fold, respectively, indicating that the mutant exhibited more potent biological activity than eel LH-wt. Phosphorylated extracellular regulated kinase (pERK1/2) activation resulted in a sharp peak 5 min after agonist treatment, with a rapid decrease thereafter. These results indicate that the new tethered rec-eel LH analog had more potent activity in cAMP response than the tethered eel LH-wt in vitro. Taken together, this new eel LH analog can be produced in large quantities using a stable CHO DG44 cell system. Full article
Show Figures

Graphical abstract

14 pages, 3390 KB  
Article
Effects of Drying Methods on Morphological Characteristics, Metabolite Content, and Antioxidant Capacity of Cordyceps sinensis
by Mengjun Xiao, Tao Wang, Chuyu Tang, Min He, Yuling Li and Xiuzhang Li
Foods 2024, 13(11), 1639; https://doi.org/10.3390/foods13111639 - 24 May 2024
Cited by 6 | Viewed by 1962
Abstract
Cordyceps sinensis is a rare and endangered medicinal herb in China and a typical medicinal and food plant. Most of the research related to Cordyceps sinensis focuses on its pharmacological effects, artificial cultivation and clinical applications. However, there are few comprehensive evaluations on [...] Read more.
Cordyceps sinensis is a rare and endangered medicinal herb in China and a typical medicinal and food plant. Most of the research related to Cordyceps sinensis focuses on its pharmacological effects, artificial cultivation and clinical applications. However, there are few comprehensive evaluations on the quality of Cordyceps sinensis under different drying methods. In this study, the effects of vacuum freeze-drying (DG), oven-drying (HG) and air-drying (YG) on the morphological characteristics, microstructure, antioxidant activity and metabolites of Cordyceps sinensis were investigated using wild Cordyceps sinensis as the research object. The results showed that in their appearance and morphology, the YG- and HG-method Cordyceps sinensis samples were darker in color and wilted, while the DG- method Cordyceps sinensis samples were golden yellow in color and had better fullness. In terms of microstructure, the stomata of the YG and HG method Cordyceps sinensis samples were relatively small and irregularly shaped, whereas those of the DG method Cordyceps sinensis samples were larger and neat. In terms of antioxidant capacity, the HG-method samples were the lowest, followed by the YG group, and the DG group had the highest total antioxidant capacity. A correlation analysis revealed a significant relationship between antioxidant capacity and lipids, lipid molecules, nucleosides, nucleotides, and analogs. A metabolomics analysis identified 1937 metabolites from 18 superclasses, with lipids, lipid-like molecules, organic acids and derivatives, organoheterocyclic compounds, and organic oxygen compounds being the predominant metabolites in Cordyceps sinensis. Differentially accumulated metabolites (DAMs) in DG samples showed higher levels of lipids and lipid molecules, organic oxygen compounds, organic acids and derivatives, and organoheterocyclic compounds compared to the other drying methods, suggesting DG as the optimal preservation method for Cordyceps sinensis. These findings offer insights for selecting appropriate drying methods and maintaining the post-drying quality of Cordyceps sinensis. Full article
(This article belongs to the Section Food Engineering and Technology)
Show Figures

Figure 1

18 pages, 7583 KB  
Article
A Novel Dielectric Modulated Gate-Stack Double-Gate Metal-Oxide-Semiconductor Field-Effect Transistor-Based Sensor for Detecting Biomolecules
by Dibyendu Chowdhury, Bishnu Prasad De, Bhargav Appasani, Navaneet Kumar Singh, Rajib Kar, Durbadal Mandal, Nicu Bizon and Phatiphat Thounthong
Sensors 2023, 23(6), 2953; https://doi.org/10.3390/s23062953 - 8 Mar 2023
Cited by 14 | Viewed by 3314
Abstract
In this article, the performance of n-type junctionless (JL) double-gate (DG) MOSFET-based biosensors with and without gate stack (GS) has been studied. Here, the dielectric modulation (DM) method is applied to detect biomolecules in the cavity. The sensitivity of n-type JL-DM-DG-MOSFET and n-type [...] Read more.
In this article, the performance of n-type junctionless (JL) double-gate (DG) MOSFET-based biosensors with and without gate stack (GS) has been studied. Here, the dielectric modulation (DM) method is applied to detect biomolecules in the cavity. The sensitivity of n-type JL-DM-DG-MOSFET and n-type JL-DM-GSDG-MOSFET-based biosensors have also been evaluated. The sensitivity (ΔVth) improved in JL-DM-GSDG MOSFET/JL-DM-DG-MOSFET-based biosensors for neutral/charged biomolecules is 116.66%/66.66% and 1165.78%/978.94%, respectively, compared with the previously reported results. The electrical detection of biomolecules is validated using the ATLAS device simulator. The noise and analog/RF parameters are compared between both biosensors. A lower threshold voltage is observed in the GSDG-MOSFET-based biosensor. The Ion/Ioff ratio is higher for DG-MOSFET-based biosensors. The proposed GSDG-MOSFET-based biosensor demonstrates higher sensitivity than the DG-MOSFET-based biosensor. The GSDG-MOSFET-based biosensor is suitable for low-power, high-speed, and high sensitivity applications. Full article
Show Figures

Figure 1

19 pages, 6809 KB  
Article
2-Deoxyglucose, an Inhibitor of Glycolysis, Enhances the Oncolytic Effect of Coxsackievirus
by Pavel O. Vorobyev, Dmitry V. Kochetkov, Peter M. Chumakov, Natalia F. Zakirova, Sofia I. Zotova-Nefedorova, Konstantin V. Vasilenko, Olga N. Alekseeva, Sergey N. Kochetkov, Birke Bartosch, Anastasiya V. Lipatova and Alexander V. Ivanov
Cancers 2022, 14(22), 5611; https://doi.org/10.3390/cancers14225611 - 15 Nov 2022
Cited by 12 | Viewed by 3930
Abstract
Glioblastoma multiforme (GBM) is one of the most common types of brain tumor. Despite intensive research, patients with GBM have a poor prognosis due to a very high rate of relapse and significant side effects of the treatment, with a median survival of [...] Read more.
Glioblastoma multiforme (GBM) is one of the most common types of brain tumor. Despite intensive research, patients with GBM have a poor prognosis due to a very high rate of relapse and significant side effects of the treatment, with a median survival of 14.6 months. Oncolytic viruses are considered a promising strategy to eliminate GBM and other types of cancer, and several viruses have already been introduced into clinical practice. However, identification of the factors that underly the sensitivity of tumor species to oncolytic viruses or that modulate their clinical efficacy remains an important target. Here, we show that Coxsackievirus B5 (CVB5) demonstrates high oncolytic potential towards GBM primary cell species and cell lines. Moreover, 2-deoxyglucose (2DG), an inhibitor of glycolysis, potentiates the cytopathic effects of CVB5 in most of the cancer cell lines tested. The cells in which the inhibition of glycolysis enhanced oncolysis are characterized by high mitochondrial respiratory activity and glycolytic capacity, as determined by Seahorse analysis. Thus, 2-deoxyglucose and other analogs should be considered as adjuvants for oncolytic therapy of glioblastoma multiforme. Full article
(This article belongs to the Special Issue Oncolytic Viruses: A Key Step toward Cancer Immunotherapy)
Show Figures

Figure 1

15 pages, 6363 KB  
Article
WP1234—A Novel Anticancer Agent with Bifunctional Activity in a Glioblastoma Model
by Beata Pająk, Ewelina Siwiak-Niedbalska, Anna Jaśkiewicz, Maja Sołtyka and Tomasz Domoradzki
Biomedicines 2022, 10(11), 2799; https://doi.org/10.3390/biomedicines10112799 - 3 Nov 2022
Cited by 4 | Viewed by 2237
Abstract
Glioblastoma multiforme (GBM) is the most common primary malignant brain tumor in adults with a poor prognosis. Despite significant progress in drug development, the blood–brain barrier (BBB) continues to limit the use of novel chemotherapeutics. Thus, our attention has been focused on the [...] Read more.
Glioblastoma multiforme (GBM) is the most common primary malignant brain tumor in adults with a poor prognosis. Despite significant progress in drug development, the blood–brain barrier (BBB) continues to limit the use of novel chemotherapeutics. Thus, our attention has been focused on the design, synthesis, and testing of small-molecule anticancer agents that are able to penetrate the BBB. One such compound is the D-glucose analog, 2-deoxy-D-glucose (2-DG), which inhibits glycolysis and induces GBM cell death. 2-DG has already been tested in clinical trials but was not approved as a drug, in part due to inadequate pharmacokinetics. To improve the pharmacokinetic properties of 2-DG, a series of novel derivatives was synthesized. Herein, we report the biological effects of WP1234, a 2-ethylbutyric acid 3,6-diester of 2-DG that can potentially release 2-ethylbutyrate and 2-DG inside the cells when metabolized. Using biochemical assays and examining cell viability, proliferation, protein synthesis, and apoptosis induction, we assessed the cytotoxic potential of WP1234. WP1234 significantly reduced the viability of GBM cells in a dose- and time-dependent manner. The lactate and ATP synthesis assays confirmed the inhibition of glycolysis elicited by released 2-DG. Furthermore, an evaluation of histone deacetylases (HDAC) activity revealed that the 2-ethylbutyrate action resulted in HDAC inhibition. Overall, these results demonstrated that WP1234 is a bifunctional molecule with promising anticancer potential. Further experiments in animal models and toxicology studies are needed to evaluate the efficacy and safety of this new 2-DG derivative. Full article
Show Figures

Figure 1

16 pages, 1200 KB  
Review
The Antiviral Effects of 2-Deoxy-D-glucose (2-DG), a Dual D-Glucose and D-Mannose Mimetic, against SARS-CoV-2 and Other Highly Pathogenic Viruses
by Beata Pająk, Rafał Zieliński, John Tyler Manning, Stanislava Matejin, Slobodan Paessler, Izabela Fokt, Mark R. Emmett and Waldemar Priebe
Molecules 2022, 27(18), 5928; https://doi.org/10.3390/molecules27185928 - 12 Sep 2022
Cited by 29 | Viewed by 6205
Abstract
Viral infection almost invariably causes metabolic changes in the infected cell and several types of host cells that respond to the infection. Among metabolic changes, the most prominent is the upregulated glycolysis process as the main pathway of glucose utilization. Glycolysis activation is [...] Read more.
Viral infection almost invariably causes metabolic changes in the infected cell and several types of host cells that respond to the infection. Among metabolic changes, the most prominent is the upregulated glycolysis process as the main pathway of glucose utilization. Glycolysis activation is a common mechanism of cell adaptation to several viral infections, including noroviruses, rhinoviruses, influenza virus, Zika virus, cytomegalovirus, coronaviruses and others. Such metabolic changes provide potential targets for therapeutic approaches that could reduce the impact of infection. Glycolysis inhibitors, especially 2-deoxy-D-glucose (2-DG), have been intensively studied as antiviral agents. However, 2-DG’s poor pharmacokinetic properties limit its wide clinical application. Herein, we discuss the potential of 2-DG and its novel analogs as potent promising antiviral drugs with special emphasis on targeted intracellular processes. Full article
(This article belongs to the Special Issue Recent Advances in Antiviral Drugs Discovery)
Show Figures

Figure 1

31 pages, 19859 KB  
Review
Recent Advances on Innovative Materials from Biowaste Recycling for the Removal of Environmental Estrogens from Water and Soil
by Elisabetta Loffredo
Materials 2022, 15(5), 1894; https://doi.org/10.3390/ma15051894 - 3 Mar 2022
Cited by 24 | Viewed by 4048
Abstract
New technologies have been developed around the world to tackle current emergencies such as biowaste recycling, renewable energy production and reduction of environmental pollution. The thermochemical and biological conversions of waste biomass for bioenergy production release solid coproducts and byproducts, namely biochar (BC), [...] Read more.
New technologies have been developed around the world to tackle current emergencies such as biowaste recycling, renewable energy production and reduction of environmental pollution. The thermochemical and biological conversions of waste biomass for bioenergy production release solid coproducts and byproducts, namely biochar (BC), hydrochar (HC) and digestate (DG), which can have important environmental and agricultural applications. Due to their physicochemical properties, these carbon-rich materials can behave as biosorbents of contaminants and be used for both wastewater treatment and soil remediation, representing a valid alternative to more expensive products and sophisticated strategies. The alkylphenols bisphenol A, octylphenol and nonylphenol possess estrogenic activity comparable to that of the human steroid hormones estrone, 17β-estradiol (and synthetic analog 17α-ethinyl estradiol) and estriol. Their ubiquitous presence in ecosystems poses a serious threat to wildlife and humans. Conventional wastewater treatment plants often fail to remove environmental estrogens (EEs). This review aims to focus attention on the urgent need to limit the presence of EEs in the environment through a modern and sustainable approach based on the use of recycled biowaste. Materials such as BC, HC and DG, the last being examined here for the first time as a biosorbent, appear appropriate for the removal of EEs both for their negligible cost and continuously improving performance and because their production contributes to solving other emergencies, such as virtuous management of organic waste, carbon sequestration, bioenergy production and implementation of the circular economy. Characterization of biosorbents, qualitative and quantitative aspects of the adsorption/desorption process and data modeling are examined. Full article
(This article belongs to the Special Issue Recycled Materials in Civil and Environmental Engineering)
Show Figures

Figure 1

21 pages, 8243 KB  
Article
Synergistic Anticancer Effect of Glycolysis and Histone Deacetylases Inhibitors in a Glioblastoma Model
by Beata Pająk, Ewelina Siwiak-Niedbalska, Anna Jaśkiewicz, Maja Sołtyka, Rafał Zieliński, Tomasz Domoradzki, Izabela Fokt, Stanisław Skóra and Waldemar Priebe
Biomedicines 2021, 9(12), 1749; https://doi.org/10.3390/biomedicines9121749 - 23 Nov 2021
Cited by 15 | Viewed by 3541
Abstract
Over the last decade, we have seen tremendous progress in research on 2-deoxy-D-glucose (2-DG) and its analogs. Clinical trials of 2-DG have demonstrated the challenges of using 2-DG as a monotherapy, due to its poor drug-like characteristics, leading researchers to focus on improving [...] Read more.
Over the last decade, we have seen tremendous progress in research on 2-deoxy-D-glucose (2-DG) and its analogs. Clinical trials of 2-DG have demonstrated the challenges of using 2-DG as a monotherapy, due to its poor drug-like characteristics, leading researchers to focus on improving its bioavailability to tissue and organs. Novel 2-DG analogs such as WP1122 and others have revived the old concept of glycolysis inhibition as an effective anticancer strategy. Combined with other potent cytotoxic agents, inhibitors of glycolysis could synergistically eliminate cancer cells. We focused our efforts on the development of new combinations of anticancer agents coupled with 2-DG and its derivatives, targeting glioblastoma, which is in desperate need of novel approaches and therapeutic options and is particularly suited to glycolysis inhibition, due to its reliance on aerobic glycolysis. Herein, we present evidence that a combined treatment of 2-DG analogs and modulation of histone deacetylases (HDAC) activity via HDAC inhibitors (sodium butyrate and sodium valproate) exerts synergistic cytotoxic effects in glioblastoma U-87 and U-251 cells and represents a promising therapeutic strategy. Full article
(This article belongs to the Special Issue Killing It Softly–New Approaches to Overcome Cancer Chemoresistance)
Show Figures

Figure 1

17 pages, 5134 KB  
Article
3,6′-Dithiopomalidomide Ameliorates Hippocampal Neurodegeneration, Microgliosis and Astrogliosis and Improves Cognitive Behaviors in Rats with a Moderate Traumatic Brain Injury
by Pen-Sen Huang, Ping-Yen Tsai, Ling-Yu Yang, Daniela Lecca, Weiming Luo, Dong Seok Kim, Barry J. Hoffer, Yung-Hsiao Chiang, Nigel H. Greig and Jia-Yi Wang
Int. J. Mol. Sci. 2021, 22(15), 8276; https://doi.org/10.3390/ijms22158276 - 31 Jul 2021
Cited by 17 | Viewed by 5431
Abstract
Traumatic brain injury (TBI) is a leading cause of disability and mortality worldwide. It can instigate immediate cell death, followed by a time-dependent secondary injury that results from disproportionate microglial and astrocyte activation, excessive inflammation and oxidative stress in brain tissue, culminating in [...] Read more.
Traumatic brain injury (TBI) is a leading cause of disability and mortality worldwide. It can instigate immediate cell death, followed by a time-dependent secondary injury that results from disproportionate microglial and astrocyte activation, excessive inflammation and oxidative stress in brain tissue, culminating in both short- and long-term cognitive dysfunction and behavioral deficits. Within the brain, the hippocampus is particularly vulnerable to a TBI. We studied a new pomalidomide (Pom) analog, namely, 3,6′-dithioPom (DP), and Pom as immunomodulatory imide drugs (IMiD) for mitigating TBI-induced hippocampal neurodegeneration, microgliosis, astrogliosis and behavioral impairments in a controlled cortical impact (CCI) model of TBI in rats. Both agents were administered as a single intravenous dose (0.5 mg/kg) at 5 h post injury so that the efficacies could be compared. Pom and DP significantly reduced the contusion volume evaluated at 24 h and 7 days post injury. Both agents ameliorated short-term memory deficits and anxiety behavior at 7 days after a TBI. The number of degenerating neurons in the CA1 and dentate gyrus (DG) regions of the hippocampus after a TBI was reduced by Pom and DP. DP, but not Pom, significantly attenuated the TBI-induced microgliosis and DP was more efficacious than Pom at attenuating the TBI-induced astrogliosis in CA1 and DG at 7D after a TBI. In summary, a single intravenous injection of Pom or DP, given 5 h post TBI, significantly reduced hippocampal neurodegeneration and prevented cognitive deficits with a concomitant attenuation of the neuroinflammation in the hippocampus. Full article
(This article belongs to the Special Issue Molecular and Cellular Mechanisms in Inflammatory Synaptopathy)
Show Figures

Figure 1

19 pages, 4711 KB  
Article
Mapping the Transglycosylation Relevant Sites of Cold-Adapted β-d-Galactosidase from Arthrobacter sp. 32cB
by Maria Rutkiewicz, Marta Wanarska and Anna Bujacz
Int. J. Mol. Sci. 2020, 21(15), 5354; https://doi.org/10.3390/ijms21155354 - 28 Jul 2020
Cited by 10 | Viewed by 3181
Abstract
β-Galactosidase from Arthrobacter sp. 32cB (ArthβDG) is a cold-adapted enzyme able to catalyze hydrolysis of β-d-galactosides and transglycosylation reaction, where galactosyl moiety is being transferred onto an acceptor larger than a water molecule. Mutants of ArthβDG: D207A and [...] Read more.
β-Galactosidase from Arthrobacter sp. 32cB (ArthβDG) is a cold-adapted enzyme able to catalyze hydrolysis of β-d-galactosides and transglycosylation reaction, where galactosyl moiety is being transferred onto an acceptor larger than a water molecule. Mutants of ArthβDG: D207A and E517Q were designed to determine the significance of specific residues and to enable formation of complexes with lactulose and sucrose and to shed light onto the structural basis of the transglycosylation reaction. The catalytic assays proved loss of function mutation E517 into glutamine and a significant drop of activity for mutation of D207 into alanine. Solving crystal structures of two new mutants, and new complex structures of previously presented mutant E441Q enables description of introduced changes within active site of enzyme and determining the importance of mutated residues for active site size and character. Furthermore, usage of mutants with diminished and abolished enzymatic activity enabled solving six complex structures with galactose, lactulose or sucrose bounds. As a result, not only the galactose binding sites were mapped on the enzyme’s surface but also the mode of lactulose, product of transglycosylation reaction, and binding within the enzyme’s active site were determined and the glucopyranose binding site in the distal of active site was discovered. The latter two especially show structural details of transglycosylation, providing valuable information that may be used for engineering of ArthβDG or other analogous galactosidases belonging to GH2 family. Full article
Show Figures

Figure 1

Back to TopTop