Sign in to use this feature.

Years

Between: -

Subjects

remove_circle_outline
remove_circle_outline
remove_circle_outline
remove_circle_outline
remove_circle_outline
remove_circle_outline
remove_circle_outline
remove_circle_outline
remove_circle_outline

Journals

remove_circle_outline
remove_circle_outline
remove_circle_outline
remove_circle_outline
remove_circle_outline
remove_circle_outline
remove_circle_outline
remove_circle_outline

Article Types

Countries / Regions

remove_circle_outline
remove_circle_outline
remove_circle_outline
remove_circle_outline
remove_circle_outline
remove_circle_outline

Search Results (676)

Search Parameters:
Keywords = +2-frameshift

Order results
Result details
Results per page
Select all
Export citation of selected articles as:
12 pages, 1967 KB  
Case Report
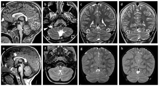
Studying Familial Bainbridge–Ropers Syndrome Due to a Novel ASXL3 Germline Variant and Expanding the Clinical Spectrum
by Daiana Mariano, Valentina Petrone, Francesca Madia, Mariasavina Severino, Luca Basso, Valeria Capra, Maria Stella Vari, Antonio Marras, Giacomo Tantari and Giuseppe d’Annunzio
Children 2026, 13(5), 599; https://doi.org/10.3390/children13050599 (registering DOI) - 27 Apr 2026
Abstract
Background/Objectives: Bainbridge–Ropers syndrome (BRPS) is a rare neurodevelopmental disorder caused by truncating and splicing pathogenic variants in the additional sex combs-like 3 (ASXL3) gene. It is primarily characterized by neurodevelopmental delay and craniofacial dysmorphism. Most reported cases involve de novo [...] Read more.
Background/Objectives: Bainbridge–Ropers syndrome (BRPS) is a rare neurodevelopmental disorder caused by truncating and splicing pathogenic variants in the additional sex combs-like 3 (ASXL3) gene. It is primarily characterized by neurodevelopmental delay and craniofacial dysmorphism. Most reported cases involve de novo mutations in the ASXL3 gene, whereas inherited mutations have been rarely described. The present report aims to describe the clinical and molecular presentation of a familial case of BRPS and to highlight the potential role of parental mosaicism. Methods: We describe the clinical and molecular presentation of a 12-year-old boy and his 20-month-old half-brother, both affected by Bainbridge–Ropers syndrome. Trio-exome sequencing (ES) was performed in the family to identify variants in the ASXL3 gene, and targeted Sanger sequencing was also performed for segregation analysis. Results: Genetic analysis identified a previously unreported heterozygous frameshift variant in the ASXL3 gene (c.1648_1649del; p.Met550Aspfs*5) shared by both siblings. The variant was inherited from their clinically unaffected mother, who carries the mutation in the mosaic state with a variant allele fraction of approximately 15% in peripheral blood DNA. Conclusions: This observation highlights parental mosaicism as a potential mechanism underlying the familial recurrence of BRPS and emphasizes the importance of considering mosaic variants during the genetic evaluation and counseling of affected families. Full article
Show Figures

Figure 1

12 pages, 1136 KB  
Article
WWOX-Related Epileptic Encephalopathy (WOREE Syndrome): Clinical Case Study and Literature Review
by Annamaria Sapuppo, Roberta Rizzo, Gaia Fusto, Roberta Rocca, Vincenzo Sortino, Xena Giada Pappalardo, Martino Ruggieri and Raffaele Falsaperla
Curr. Issues Mol. Biol. 2026, 48(5), 449; https://doi.org/10.3390/cimb48050449 (registering DOI) - 25 Apr 2026
Abstract
The WW domain-containing oxidoreductase (WWOX) gene, well-known as a tumor suppressor, also has a crucial role as a transcription factor in the developing brain. The bi-allelic loss of the WWOX gene causes a condition characterized by drug-resistant epilepsy, developmental delay, and [...] Read more.
The WW domain-containing oxidoreductase (WWOX) gene, well-known as a tumor suppressor, also has a crucial role as a transcription factor in the developing brain. The bi-allelic loss of the WWOX gene causes a condition characterized by drug-resistant epilepsy, developmental delay, and neurological impairments, often resulting in mortality within the first year of life, known as WWOX-related epileptic encephalopathy (WOREE) syndrome (MIM: 616211). Whole Exome Sequencing (WES) analysis was performed on a female patient who died within three months of birth and was diagnosed with microcephaly, severe early-onset refractory seizures, and drug-resistant epileptic encephalopathy. WES revealed a 38 kb CNV deletion spanning WWOX exons 6–7, and a known frameshift variant in exon 8, impairing a highly clinically significant region of the encoded protein. Clinical and genetic features of reported WOREE patients with WWOX gene deletions similar to our patient were analyzed. Our case highlights the clinical heterogeneity of WWOX variants in WOREE syndrome and expands the spectrum of reported compound heterozygous deletions. Further research needs to elucidate WWOX pathophysiology and improve diagnostic and therapeutic strategies. Full article
(This article belongs to the Special Issue Molecular Neuropsychiatry: Target Discovery for Mental Disorders)
Show Figures

Figure 1

14 pages, 953 KB  
Communication
Resistome Profiling of a Large Collection of Staphylococcus aureus Isolates Uncovers Frameshift-Silenced mupA Gene Mediating Mupirocin Susceptibility
by Martyna Kasela, Katarzyna Suśniak, Mateusz Ossowski and Anna Malm
Int. J. Mol. Sci. 2026, 27(9), 3764; https://doi.org/10.3390/ijms27093764 - 23 Apr 2026
Viewed by 85
Abstract
Staphylococcus aureus is a high-priority pathogen causing skin and soft tissue infections (SSTIs). The frequent resistance to anti-staphylococcal agents exhibited by this underscores the need for accurate diagnostics to guide effective therapy. Therefore, this study aimed to compare phenotypic and genotypic resistance in [...] Read more.
Staphylococcus aureus is a high-priority pathogen causing skin and soft tissue infections (SSTIs). The frequent resistance to anti-staphylococcal agents exhibited by this underscores the need for accurate diagnostics to guide effective therapy. Therefore, this study aimed to compare phenotypic and genotypic resistance in S. aureus isolates from nasal carriers and SSTIs and to elucidate gene-silencing mechanisms. In total, 355 S. aureus isolates (256 isolated from carriers and 79 from SSTIs) were studied for their phenotypic and genotypic resistance to β-lactams, macrolides, tetracyclines, aminoglycosides, and mupirocin. The silenced mupA gene (low prevalence: 0.6%; 2/335), linked to mupirocin resistance, was sequenced, and expression was assessed via reverse transcription qualitative PCR (RT-qPCR) in all mupA-positive isolates. SSTI isolates showed significantly higher resistance to erythromycin, gentamicin, and mupirocin, along with a higher prevalence of multidrug-resistant strains and ermC and tetM genes. Sequencing revealed multiple mutations in silent mupA, including a critical frameshift (c.372 delA) in a poly(A) tract that brings about premature truncation. RT-qPCR indicated upregulation of silent mupA variants and high variability in functional strains, suggesting that frameshift alone prevents resistance. These findings highlight silent resistance genes as key targets for advancing S. aureus surveillance and for combating emerging threats. Full article
13 pages, 3028 KB  
Article
A Novel Col4a5-G814fs Knock-In Mouse Model Reveals Phenotypic Heterogeneity Among Truncating COL4A5 Mutations in X-Linked Alport Syndrome
by Yingqi Lin, Lei Sun, Mengying Li, Xinyu Kuang, Xiuli Gong, Qin Cai, Yanwen Chen, Miao Xu, Wenyan Huang and Fanyi Zeng
Genes 2026, 17(4), 485; https://doi.org/10.3390/genes17040485 - 19 Apr 2026
Viewed by 212
Abstract
Background/Objectives: X-linked Alport syndrome (XLAS) arises from pathogenic variants in COL4A5. Truncating variants are generally classified as severe, but whether clinically meaningful heterogeneity exists within this group remains unclear. This study aimed to establish a novel Col4a5 knock-in mouse model based [...] Read more.
Background/Objectives: X-linked Alport syndrome (XLAS) arises from pathogenic variants in COL4A5. Truncating variants are generally classified as severe, but whether clinically meaningful heterogeneity exists within this group remains unclear. This study aimed to establish a novel Col4a5 knock-in mouse model based on a clinical variant and to determine whether truncating mutation position influences disease severity. Methods: A de novo COL4A5 frameshift variant, c.2440delG, was identified in a patient with severe early-onset XLAS. A Col4a5-G814fs knock-in mouse was generated by CRISPR/Cas9 on the C57BL/6J inbred mouse strain background and compared with the established Col4a5-G5X nonsense model using survival analysis, serial functional measurements, kidney histopathology, transmission electron microscopy, and RNA sequencing. Results: The Col4a5-G814fs knock-in mouse was successfully generated and showed loss of glomerular α5(IV) collagen chain expression. Compared with G5X mice, G814fs mice exhibited shorter survival (median 141 vs. 161.5 days, p = 0.0004), earlier onset of proteinuria, and more severe kidney functional decline. By 16 weeks, G814fs mice also showed more severe glomerular basement membrane abnormalities and more extensive glomerulosclerosis. RNA sequencing revealed a shared inflammatory gene signature in both models, together with selective upregulation of genes related to the PPAR signaling pathway and fatty acid metabolism in G814fs kidneys. Conclusions: This study reports a novel de novo COL4A5 frameshift variant and establishes the first Col4a5-G814fs knock-in mouse model. Direct comparison with the G5X model shows that distinct truncating COL4A5 mutations can be associated with substantially different disease severity, providing a useful platform for future mechanistic and therapeutic studies in XLAS. Full article
(This article belongs to the Section Human Genomics and Genetic Diseases)
Show Figures

Figure 1

8 pages, 1464 KB  
Case Report
Long-Term Follow-Up of a Patient with a Novel Homozygous ASTN1 Variant: A Case Report
by Buşra Kasap, Dilek Uludağ Alkaya, Nilay Güneş, Salih Türk, Barış Korkmaz and Beyhan Tüysüz
Neurol. Int. 2026, 18(4), 72; https://doi.org/10.3390/neurolint18040072 - 19 Apr 2026
Viewed by 130
Abstract
Background/Objectives: Severe neurodevelopmental disorders caused by homozygous ASTN1 variants have recently been reported. The aim of this study is to present the expanded phenotype and prognostic findings through a longitudinal follow-up of a patient with a homozygous ASTN1 variant. Methods: We conducted a [...] Read more.
Background/Objectives: Severe neurodevelopmental disorders caused by homozygous ASTN1 variants have recently been reported. The aim of this study is to present the expanded phenotype and prognostic findings through a longitudinal follow-up of a patient with a homozygous ASTN1 variant. Methods: We conducted a 15-year clinical evaluation of a girl who initially presented at 10 years of age. The genetic etiology was investigated using exome sequencing. Results: The patient had a profound intellectual disability, severe expressive language delay, and infantile-onset epilepsy. She also had microcephaly, achieved independent walking at age 7 and had speech limited to only two words at admission. A novel homozygous frameshift variant, c.2096del (p.Cys699Serfs*22), in ASTN1 was identified. Over the follow-up period, her postnatal microcephaly became more pronounced, and she experienced a late relapse into generalized tonic–clonic seizures after a decade-long remission. She remains entirely dependent on caregivers for basic self-care at age 25. Conclusions: ASTN1-related phenotype is associated with a severe neurodevelopmental disease, and the late relapse of seizures after prolonged remission highlights the need for lifelong neurological monitoring and multidisciplinary care. Full article
Show Figures

Figure 1

12 pages, 7319 KB  
Article
Novel ITGB6 Mutations Causing Amelogenesis Imperfecta
by Hyemin Yin, Soojin Jang, Hyuntae Kim, James P. Simmer, Jan C.-C. Hu and Jung-Wook Kim
Genes 2026, 17(4), 431; https://doi.org/10.3390/genes17040431 - 8 Apr 2026
Viewed by 414
Abstract
Background/Objectives: Amelogenesis imperfecta (AI) is a heterogeneous group of rare hereditary conditions mainly affecting the quantity and/or quality of tooth enamel. Its phenotypic expression is diverse, as is the mutational spectrum of the AI-causing genes and mutations. Integrins are cell-surface receptors that mediate [...] Read more.
Background/Objectives: Amelogenesis imperfecta (AI) is a heterogeneous group of rare hereditary conditions mainly affecting the quantity and/or quality of tooth enamel. Its phenotypic expression is diverse, as is the mutational spectrum of the AI-causing genes and mutations. Integrins are cell-surface receptors that mediate adhesion between cells and between cells and the extracellular matrix. Among these, mutations in integrin αvβ6 have been shown to cause AI; however, phenotypic variation exists between the knockout mouse model and human cases, as well as among different human AI families. Methods: We recruited AI families and performed mutational analysis using whole exome sequencing. Results: We identified compound heterozygous ITGB6 mutations in two families. In Family 1, a paternally transmitted nonsense mutation (NM_000888.5: c.1060C>T, p.(Gln354*)) and a maternally transmitted missense mutation (NM_000888.5: c.2312A>G, p.(Asn771Ser)) were identified; in Family 2, a paternal missense mutation (NM_000888.5: c.1693T>C, p.(Cys565Arg)) and a maternal frameshift mutation (NM_000888.5: c.2091delC, p.(Asn698Metfs*13)) were identified, each causing AI in the respective proband. Both probands exhibited generalized hypoplastic and hypomineralized AI, but no other extraoral symptoms. Conclusions: This report will not only expand the known mutational spectrum of the ITGB6 gene but also provide evidence for the genotype–phenotype correlations, thereby improving our understanding of the functional role of ITGB6 during amelogenesis. Full article
Show Figures

Figure 1

9 pages, 1047 KB  
Case Report
The First Case of Kleefstra Syndrome in a Rwandan Patient with Global Developmental Delay
by Norbert Dukuze, Janvier Hitayezu, Jeanne Primitive Uyisenga, Esther Uwibambe, Jean Hubert Caberg, Vinciane Dideberg, Vincent Bours, Abdullateef Isiaka Alagbonsi, Leon Mutesa and Annette Uwineza
Genes 2026, 17(4), 429; https://doi.org/10.3390/genes17040429 - 7 Apr 2026
Viewed by 367
Abstract
Background: Kleefstra syndrome (KS) is a rare neurodevelopmental disorder caused by haploinsufficiency of EHMT1; it is characterized by global developmental delay, intellectual disability, hypotonia, distinctive facial features, and variable congenital anomalies. Autistic features, behavioral abnormalities and severe speech impairment are frequently reported. [...] Read more.
Background: Kleefstra syndrome (KS) is a rare neurodevelopmental disorder caused by haploinsufficiency of EHMT1; it is characterized by global developmental delay, intellectual disability, hypotonia, distinctive facial features, and variable congenital anomalies. Autistic features, behavioral abnormalities and severe speech impairment are frequently reported. However, molecularly confirmed cases of KS from Africa remain extremely limited, largely due to restricted access to genomic diagnostic infrastructures. Methods: We describe a 15-month-old patient from Rwanda presenting with neonatal hypotonia, global developmental delay, short stature, and characteristic dysmorphic facial features. Comprehensive clinical evaluation was performed, followed by trio-based exome sequencing to identify the underlying genetic cause of this neurodevelopmental disorder. Results: Exome sequencing identified a de novo heterozygous frameshift variant in EHMT1 (NM_024757.5: c.2871dup; p. Phe958Leufs*219), confirming the diagnosis of KS. Conclusions: This report presents the first molecularly confirmed case of KS in Rwanda. It highlights additional clinical features like bilateral 5th toe clinodactyly, short stature and absence of obesity in KS. There is a need to further delineate the study of EHMT1 and investigate the natural history of KS across different populations for optimal patient management and to reduce diagnostic odyssey. The diagnostic utility of exome sequencing for neurodevelopmental disorders needs to be strengthened, with strong emphasis on expanding genomic medicine to help diagnose rare diseases in resource-limited settings. Full article
(This article belongs to the Special Issue Genes and Pediatrics)
Show Figures

Figure 1

14 pages, 7172 KB  
Article
Identification of Three Novel MAGED2 Variants Causing Antenatal Bartter Syndrome in Three Chinese Families
by Shufa Yang, Xiaojuan Li, Haili Jiang, Jiahui Cheng, Changlong Li, Xinyi Xie and Xiaoqin Xiao
Genes 2026, 17(4), 424; https://doi.org/10.3390/genes17040424 - 3 Apr 2026
Viewed by 380
Abstract
Background/Objectives: We aimed to report three novel MAGED2 variants associated with transient antenatal Bartter syndrome (TABS) and to summarize the prenatal and postnatal features of MAGED2-related TABS through case analysis and literature review. Methods: Three unrelated Chinese families with polyhydramnios-affected [...] Read more.
Background/Objectives: We aimed to report three novel MAGED2 variants associated with transient antenatal Bartter syndrome (TABS) and to summarize the prenatal and postnatal features of MAGED2-related TABS through case analysis and literature review. Methods: Three unrelated Chinese families with polyhydramnios-affected pregnancies underwent genetic testing. Clinical data, including prenatal imaging, delivery details, and postnatal outcomes were reviewed. A literature review of reported MAGED2 variants and associated phenotypes was conducted. Results: Three previously unreported MAGED2 variants were identified: two frameshift variants (c.1511del [p.Gly504Alafs*72] and c.338del [p.Pro113ArgfsTer4]) and one deletion (chrX:54,820,664–54,839,053 [GRCh37]). All fetuses presented with polyhydramnios; two were large for gestational age (LGA). Additional findings included ventriculomegaly and scrotal enlargement. Two male infants were delivered at 33 weeks following repeated amnioreduction, with transient postnatal electrolyte abnormalities and normal neurodevelopment at 3 and 4 years. One fetus with a frameshift variant died in utero at 26 + 1 weeks. A literature review of 53 cases revealed 38 distinct MAGED2 variants, predominantly null variants (65.8%). Polyhydramnios was the most consistent antenatal sign. No intellectual disability was reported in surviving individuals. Conclusions: These findings expand the MAGED2 mutational spectrum. Polyhydramnios and LGA represents the most frequent features in TABS. In fetuses presenting with early-onset severe polyhydramnios (around 19–20 weeks of gestation), particular attention should be paid to possible exon-level or partial deletions involving MAGED2 during genetic evaluation. Full article
(This article belongs to the Section Human Genomics and Genetic Diseases)
Show Figures

Figure 1

25 pages, 3245 KB  
Case Report
Aggrecanopathy as an Underrecognized Cause of Idiopathic Short Stature: The Importance of Early Genetic Confirmation for Timely Diagnosis and Management—Case Reports and Literature Review
by Aleksandra Sosin, Tetiana Tkachuk, Aleksandra Furtak, Magdalena Janeczko, Karol Stożek, Teofila Książek, Helena Poławska, Damian Loska, Sebastian Wardak, Jerzy Starzyk and Dominika Januś
Diseases 2026, 14(4), 127; https://doi.org/10.3390/diseases14040127 - 1 Apr 2026
Viewed by 450
Abstract
Background: Short stature is a frequent clinical problem with a broad differential diagnosis. Emerging evidence indicates that pathogenic variants in the ACAN gene represent an underrecognized cause of growth failure and are often misclassified as idiopathic short stature. Case presentation: We report two [...] Read more.
Background: Short stature is a frequent clinical problem with a broad differential diagnosis. Emerging evidence indicates that pathogenic variants in the ACAN gene represent an underrecognized cause of growth failure and are often misclassified as idiopathic short stature. Case presentation: We report two pediatric patients harboring pathogenic ACAN gene variants, both presenting with short stature and distinctive facial dysmorphism. The first patient, a 15-year-old boy, exhibited short stature, advanced bone age, and a characteristic facial gestalt, including ptosis, hypertelorism, down-slanting palpebral fissures, and fleshy auricles, features not previously described in association with aggrecanopathy. Genetic analysis revealed a novel heterozygous frameshift variant, c.5677_5684del (p.Glu1893TrpfsTer8), in exon 12 of the ACAN gene. The second patient, a 5.5-year-old girl, presented with short stature, mild facial dysmorphism (down-slanting palpebral fissures and retracted mandible), and feeding difficulties. Copy number variation analysis identified a heterozygous deletion encompassing exons 15–19 of the ACAN gene. In both patients, the endocrine evaluation was unremarkable, and no chronic systemic disease was identified. The genetic findings were concordant with the clinical phenotype, confirming aggrecanopathy as the underlying cause of growth failure. Conclusions: These cases further delineate the phenotypic spectrum of ACAN-related short stature and underscore the diagnostic value of genetic testing in children with unexplained or idiopathic growth failure. Importantly, we expand the dysmorphological phenotype of aggrecanopathy by describing previously unreported facial features, which may facilitate earlier clinical recognition and diagnosis. The timely identification of pathogenic variants in the ACAN gene may have significant implications for patient management and long-term outcomes. Full article
(This article belongs to the Special Issue ‘Rare Syndromes: Diagnosis and Treatment’ in 2024–2026)
Show Figures

Figure 1

19 pages, 7784 KB  
Article
Comparative Analysis of the Mitochondrial Genome and Population Evolution in the Chinese Giant Salamander (Andrias davidianus)
by Peng Zhan, Jia Xie, Si-Si Mi, Yu-Xiao He, Rui Qin, Tian-Ge Yang and Hong Liu
Diversity 2026, 18(4), 207; https://doi.org/10.3390/d18040207 - 31 Mar 2026
Viewed by 341
Abstract
Mitochondrial genomes provide powerful insights into evolutionary history, population structure, and conservation genetics. Here, we analyzed complete mitochondrial genomes (mitogenomes) from 38 Chinese giant salamanders (Andrias davidianus, CGSs) sampled from both wild and conservation-bred populations. CGS mitogenomes exhibited remarkable structural conservation, [...] Read more.
Mitochondrial genomes provide powerful insights into evolutionary history, population structure, and conservation genetics. Here, we analyzed complete mitochondrial genomes (mitogenomes) from 38 Chinese giant salamanders (Andrias davidianus, CGSs) sampled from both wild and conservation-bred populations. CGS mitogenomes exhibited remarkable structural conservation, yet pronounced heterogeneity in nucleotide diversity, selection regimes, and repetitive element distributions across lineages. Cytb and ND3 showed elevated intraspecific variability relative to the standard cox1 barcode, highlighting their superior resolution for fine-scale population analyses. Although most mitochondrial genes were subject to strong purifying selection, lineage-specific signals of positive selection were detected in ND2, and a rare, potentially deleterious frameshift mutation was identified in ND1 from a captive individual. Lineage-associated variation in mitogenomic SSRs and widespread mito-nuclear phylogenetic discordance revealed a highly admixed population structure shaped by historical connectivity and introgression. Together, our results underscore the value of integrative mitogenomic analyses for resolving complex evolutionary histories and informing conservation management of endangered amphibians. Full article
(This article belongs to the Section Phylogeny and Evolution)
Show Figures

Figure 1

15 pages, 309 KB  
Article
Challenges in Diagnosis and Management of Coffin–Lowry Syndrome—Single-Center Experience
by Ana Maria Chirilas, Alexandru Cărămizaru, Anca-Lelia Riza, Andreea Mitut-Veliscu, Andrei Costache, Rebecca-Cristiana Șerban, Aritina Morosanu, Carmen Niculescu, Alexandru-Cătălin Pâslaru, Florin Burada and Ioana Streata
Diagnostics 2026, 16(7), 990; https://doi.org/10.3390/diagnostics16070990 - 25 Mar 2026
Viewed by 443
Abstract
Background/Objectives: Coffin–Lowry syndrome (CLS) is a rare X-linked disease caused by pathogenic variants in the RPS6KA3 gene. It is generally characterized by syndromic intellectual disability and distinctive facial features, skeletal abnormalities, stimulus-induced drop attacks in males, and variable manifestations in females. Methods [...] Read more.
Background/Objectives: Coffin–Lowry syndrome (CLS) is a rare X-linked disease caused by pathogenic variants in the RPS6KA3 gene. It is generally characterized by syndromic intellectual disability and distinctive facial features, skeletal abnormalities, stimulus-induced drop attacks in males, and variable manifestations in females. Methods: We report clinical and genetic findings in a series of 10 cases, eight males and two females, evaluated at the Regional Centre of Medical Genetics Dolj—Emergency Clinical County Hospital Craiova. Results: Genetic testing identified 10 de novo variants in the RPS6KA3 gene consisting of six missense mutations, one nonsense variant, one frameshift, and two variants in non-coding or intronic regions. Case management requires multidisciplinary coordination and is limited to resources mostly available in reference centers. Conclusions: CLS highlights the importance of molecular diagnosis in rare genetic disorders, particularly when clinical features are subtle or atypical. These findings have practical implications for clinical management, suggesting the need for comprehensive genetic screening and individualized care approaches. Full article
9 pages, 2376 KB  
Case Report
Concomitant Clonal CBFB::MYH11 and PDGFRB Fusions in a Case of De Novo Acute Myeloid Leukemia
by Qiliang Ding, Natasha E. Lewis, Cody J. Artymiuk, Renee M. Olson, Rong He, Rhett P. Ketterling, David S. Viswanatha, Patricia T. Greipp and Cinthya J. Zepeda Mendoza
Hematol. Rep. 2026, 18(2), 24; https://doi.org/10.3390/hematolrep18020024 - 23 Mar 2026
Viewed by 268
Abstract
Background: Acute myeloid leukemia (AML) with CBFB::MYH11 fusion and myeloid/lymphoid neoplasms with eosinophilia and tyrosine kinase gene fusions (MLN-TK) are genetically defined and typically mutually exclusive entities. Case Presentation: We report a unique case of de novo AML harboring two clonal, [...] Read more.
Background: Acute myeloid leukemia (AML) with CBFB::MYH11 fusion and myeloid/lymphoid neoplasms with eosinophilia and tyrosine kinase gene fusions (MLN-TK) are genetically defined and typically mutually exclusive entities. Case Presentation: We report a unique case of de novo AML harboring two clonal, transcriptionally active class-defining fusions: CBFB::MYH11 and GOLGA4::PDGFRB. A 61-year-old woman presented with leukocytosis with neutrophilia, eosinophilia, and monocytosis; circulating blasts; and a markedly hypercellular marrow. Cytogenetic analysis revealed inv(16)(p13.1q22) and t(3;5)(p21;q32) in all 20 metaphases, and RNA sequencing confirmed expression of both CBFB::MYH11 and GOLGA4::PDGFRB fusions. In addition, an oncogenic WT1 frameshift variant was identified. Hematopathologic findings were largely consistent with AML with CBFB::MYH11 fusion but exhibited features reminiscent of PDGFRB-rearranged MLN-TK. The patient achieved complete remission following the standard 7 + 3 induction chemotherapy regimen for AML with gemtuzumab ozogamicin. Conclusions: This case illustrates the diagnostic challenges posed by concomitant class-defining alterations in hematologic neoplasms and underscores the importance of integrated genomic assessment. Full article
Show Figures

Figure 1

7 pages, 19063 KB  
Case Report
Steroid-Resistant Focal Segmental Glomerulosclerosis with Alport-like Glomerular Basement Membrane Lesions Due to a MYO1E Mutation: A Pediatric Case Report
by Andrea Angioi, Doloretta Piras, Nicola Lepori, Paola Bianco, Matteo Floris, Gianfranca Cabiddu, Antonella Barreca and Antonello Pani
Int. J. Mol. Sci. 2026, 27(6), 2838; https://doi.org/10.3390/ijms27062838 - 20 Mar 2026
Viewed by 424
Abstract
Steroid-resistant nephrotic syndrome (SRNS) in childhood frequently reflects monogenic podocytopathies in which immunosuppression is ineffective. Biallelic variants in MYO1E, encoding the class I myosin Myo1E, cause a distinctive form of focal segmental glomerulosclerosis (FSGS) often accompanied by “Alport-like” multilamination of the glomerular [...] Read more.
Steroid-resistant nephrotic syndrome (SRNS) in childhood frequently reflects monogenic podocytopathies in which immunosuppression is ineffective. Biallelic variants in MYO1E, encoding the class I myosin Myo1E, cause a distinctive form of focal segmental glomerulosclerosis (FSGS) often accompanied by “Alport-like” multilamination of the glomerular basement membrane (GBM). Early recognition has therapeutic and prognostic implications. A previously healthy 4-year-old boy presented with generalized edema and nephrotic-range proteinuria. Glucocorticoids induced no remission; sequential calcineurin inhibition (cyclosporine, then tacrolimus) and a single dose of ofatumumab yielded only transient, partial reductions in proteinuria. A first biopsy elsewhere showed FSGS with nonspecific IgM/C3 trapping; electron microscopy (EM) was not performed. At age 10, repeat biopsy with EM revealed ~30% segmental foot-process effacement, focal GBM thickening (to 1740 nm), irregular lamina densa multilamination, and lamellar duplications without immune-complex deposits—features highly suggestive of hereditary GBM disease. Targeted sequencing identified compound-heterozygous MYO1E variants segregating in trans: a canonical splice-donor change (c.2785+1G>A) and a frameshift (c.3094_3097del; p.Thr1032Profs*73). Each parent was an unaffected heterozygous carrier; the sibling was negative. Supportive therapy with ramipril was continued. At last follow-up (January 2025), renal function was normal (serum creatinine 0.5 mg/dL; creatinine clearance 122 mL/min) with stable sub-nephrotic proteinuria (0.52 g/day; 16 mg/m2 per hour) and normotension. This case broadens clinicopathologic recognition of MYO1E-associated nephropathy and highlights the teaching point that Alport-like GBM changes are not pathognomonic for type IV collagen disorders but may signal defects in podocyte cytoskeletal anchoring. Full article
(This article belongs to the Special Issue Advances in Molecular Research of Kidney Diseases)
Show Figures

Figure 1

10 pages, 1484 KB  
Brief Report
A Novel Frameshift Mutation in SLC20A2 in a Korean Patient with Primary Brain Calcification, Parkinsonism and Memory Impairment
by Eva Bagyinszky, Minju Kim, Young Ho Park, Danyeong Kim, Seong Soo A. An and SangYun Kim
Biomedicines 2026, 14(3), 675; https://doi.org/10.3390/biomedicines14030675 - 16 Mar 2026
Viewed by 451
Abstract
Objectives: The patient presented various neurological symptoms in her 50s, such as memory issues, insomnia, depression, and motor impairment. Diverse investigations were performed to identify the underlying causes on her neurological symptoms and understand her neuro- deteriorations. Methods: Clinical neurological and brain imaging [...] Read more.
Objectives: The patient presented various neurological symptoms in her 50s, such as memory issues, insomnia, depression, and motor impairment. Diverse investigations were performed to identify the underlying causes on her neurological symptoms and understand her neuro- deteriorations. Methods: Clinical neurological and brain imaging analyses: CT, MRI and PET were performed on the patient. Blood was drawn for the whole-exome sequencing and functional studies with biomarker for amyloid-beta oligomers and SLC20A2 protein in plasma. Results: Brain imaging revealed calcifications in multiple regions, including the subcortical white matter, basal ganglia, thalami, and dentate nuclei. Genetic analysis revealed a c.1152_1153delCA, p.Asn384Lysfs*30 variant in SLC20A2 gene. The decreased SLC20A2 protein levels in plasma in comparison to healthy controls suggested a loss-of-function mechanism from the mutation. The patient had a positive AlzOn result, indicating an increased tendency for amyloid oligomerization and suggesting a potential indirect link between SLC20A2 and amyloid-beta pathways. Conclusions: A novel frameshift mutation, Asn384Lysfs*30, in the SLC20A2 gene was identified in a patient with Primary Brain Calcification (PBC). This mutation was located in a critical large loop region of the protein, where other similar mutations (e.g., Gly366fs89, Ser385Ilefs*70) were previously reported. These findings indicated that mutations in SLC20A2 caused the reduced protein expressions, potentially resulting PBC through haploinsufficiency. Full article
(This article belongs to the Section Neurobiology and Clinical Neuroscience)
Show Figures

Graphical abstract

11 pages, 1034 KB  
Article
Surface Plasmon Resonance Analysis for Evaluating ASO Targeting Structured RNA
by Tomohiro Shinozaki, Takuya Hasegawa, MST Tahmina Akter, Kazuyuki Kumagai, Youichi Suzuki and Taiichi Sakamoto
Methods Protoc. 2026, 9(2), 48; https://doi.org/10.3390/mps9020048 - 15 Mar 2026
Viewed by 812
Abstract
Antisense oligonucleotides (ASOs) are nucleic acid therapeutics that regulate gene expression through sequence-specific hybridization with target RNA. Under physiological conditions, many target RNAs adopt higher-order structures, which can strongly influence ASO accessibility and binding behavior. Although UV melting analysis is widely used to [...] Read more.
Antisense oligonucleotides (ASOs) are nucleic acid therapeutics that regulate gene expression through sequence-specific hybridization with target RNA. Under physiological conditions, many target RNAs adopt higher-order structures, which can strongly influence ASO accessibility and binding behavior. Although UV melting analysis is widely used to evaluate the thermal stability of ASO/RNA duplexes, this approach does not adequately account for the structural features of target RNAs. In this study, we investigated the utility of surface plasmon resonance (SPR) analysis as an in vitro method to evaluate ASO binding while considering RNA structural constraints. Multiple ASOs were designed to target PRF84, an 84-nucleotide RNA motif that induces −1 programmed ribosomal frameshifting in HIV-1 gag-pol expression. SPR analyses were performed to compare ASO interactions with complementary RNA fragments and with structurally folded PRF84. The results demonstrated that identical ASOs exhibited distinct binding behaviors depending on whether the target was a complementary RNA or PRF84, indicating that RNA structure significantly affects ASO binding. These findings suggest that SPR analysis enables the evaluation of ASO–RNA interactions taking structure into account, and may be a useful alternative approach to conventional UV melting analysis-based ASO screening. Full article
(This article belongs to the Special Issue Advanced Methods and Technologies in Drug Discovery)
Show Figures

Graphical abstract

Back to TopTop